卷 5, 编号 3 (2024)
- 年: 2024
- 文章: 21
- URL: https://journals.rcsi.science/DD/issue/view/20644
- DOI: https://doi.org/10.17816/DD.53
完整期次
原创性科研成果
正电子发射断层扫描和计算机断层扫描相结合对EGFR基因突变的非小细胞肺癌患者的各种靶向治疗方案效果的比较评估
摘要
论证。在俄罗斯的医学文献中,还没有专门研究正电子发射断层扫描与计算机断层扫描相结合,对非小细胞肺癌和EGFR基因患者使用酪氨酸激酶抑制剂进行各种靶向治疗方案的效果进行比较评估。
目的 — 研究使用RECIST1.1标准和代谢指数SUVmax和 SUVmean的变化比较评估非小细胞肺癌和EGFR基因突变患者对酪氨酸激酶抑制剂靶向单药治疗和联合治疗肿瘤反应的可能性。
材料和方法。分析了2019年至2022年期间105名非小细胞肺癌患者的18F-氟脱氧葡萄糖(18F-FDG)正电子发射和计算机断层扫描相结合的研究方案,其中包括75名EGFR基因活化突变的患者。辐射负载因人而异,范围为45至90mSv。18F-FDG放射性药物的容积活性为260-500MBq。 评估了治疗前和治疗开始后1.5-2.0个月内最大靶灶直径总和以及代谢指数SUVmax和 SUVmean的变化。在17名非小细胞肺癌患者中,正电子发射断层扫描和计算机断层扫描相结合变化的观察持续时间至少为12个月。
结果。根据接受酪氨酸激酶抑制剂贝伐单抗或贝化疗结合综合治疗的第2组和第3组EGFR基因突变非小细胞肺癌患者的正电子发射和计算机断层扫描相结合的数据和代谢指数SUVmax和SUVmean的变化,发现疾病进展的频率(P=0.043和P=0.029)明显低于第1组患者和对照组(4.2% vs 20.0-21.8%)。部分治疗反应(P=0.092)检测率较高的趋势(58.3% vs 40.0%)也不明显。 治疗早期最大靶灶直径之和的类似变化在统计学上并不显著(p=0.187)。研究表明,在对部分非小细胞肺癌患者的长期观察中,至少有50%的病例中,最大直径总和的变化重复了第一次对照研究中发现的SUVmax和SUVmean的相应变化。
结论。根据正电子发射和计算机断层扫描相结合的数据和代谢指数SUVmax和SUVmean的变化表明,对照组患者酪氨酸激酶抑制剂贝伐珠单抗或化疗的单药靶向结合的综合治疗早期反应,与酪氨酸激酶抑制剂靶向单药治疗或化疗的反应相比,尽管根据RECIST1.1标准靶灶最大直径的变化趋势无统计意义,但疾病代谢进展的频率明显降低。至少有50%的病例在治疗早期代谢指数SUVmax和SUVmean的变化超过了靶向病灶最大直径总和的类似变化,根据 RECIST1.1标准,这些变化可用于及时识别有进一步发展的高风险患者群体。



使用人工智能服务分析胸部X光片的局限
摘要
论证。在放射诊断中,最早开始应用人工智能和积极使用至今的领域之一是胸部X光片。 然而,在使用人工智能(AI)技术解释这些研究时,放射科医生仍然每天面临着诸多局限,在做出医疗报告时必须考虑这些局限,这些局限必须受到开发人员的重视,以便进一步改进算法,提高效率。
目的。确定使用人工智能服务进行胸部X光片分析的局限,并评估这些局限的临床意义。
材料和方法。在分析155例患者胸部X光片时对人工智能服务结论与医疗报告不一致的病例进行回顾性分析。所有研究病例均来自莫斯科市统一医疗信息分析系统的统一放射信息服务。
结果。在被分析的155个差异病例中,48个(31.0%)为假阳性,78 个(50.3%)为假阴性。经专家审查发现其余29例(18.7%)为真阳性(27)或真阴性(2),因此这些病例被排除在进一步研究之外。在48个假阳性病例中,大多数(93.8%)是由于人工智能服务将胸部正常解剖结构(97.8%的病例)或导管阴影(2.2%的病例)误认为是气胸的体征。在假阴性研究中,临床显著性病理的漏诊比例为22.0%。这些病例中几乎一半(44.4%)与漏诊的肺结节有关。最常见的无临床意义的病理是肺钙化(60.9%)。
结论。在人工智能服务方面存在过度诊断的倾向。所有假阳性病例均与临床显著性病理的错误检测有关:气胸、肺结节和肺部阴影。在假阴性病例中,漏诊有临床意义显著性病理的比例很小,且不到四分之一。



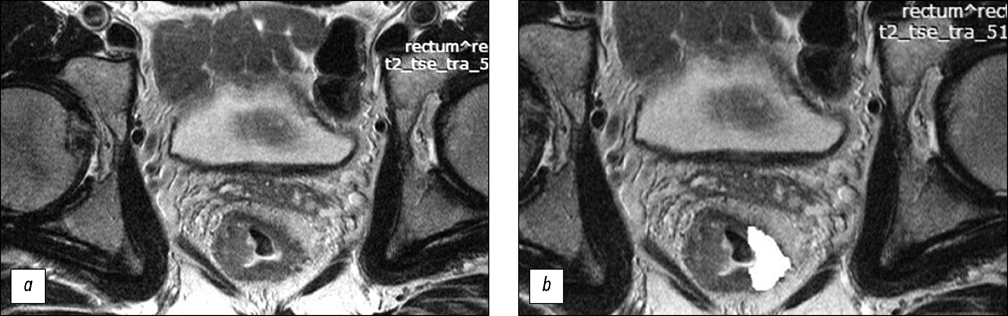
基于直肠癌患者初诊分期时获得的肿瘤加权T2核磁共振图像的纹理分析预测新辅助放化疗的效果
摘要
论证。为了预测局部晚期直肠癌对新辅助放化疗的反应,最近人们在寻找潜在无创生物标志物方面一直在做着巨大的努力。
研究目的 — 评估局部晚期直肠癌在原发加权T2图像上的纹理特征,将其作为预测标准新辅助放化疗效果的潜在因素,并在此基础上开发一套预测此类治疗效果的系统。
材料和方法。在回顾性研究中接受新辅助放化疗综合治疗的局部晚期直肠癌患者(n=82)被分为训练样本(n=58)和对照样本(n=24)。在肿瘤中心水平使用方向垂直于肠壁的高分辨率原始加权T2图像,用于纹理分析。纹理分析基于灰度级共生矩阵(GLCM),借助MAZDAver计算机程序执行了二阶统计法。 4.6和11个纹理参数的计算。在训练样本中进行手术制剂形态学评估后,查明治疗有反应(预后良好组)和无反应(预后不良组)患者组的纹理分析参数的真实差异,并在此基础上创建评估新辅助放化疗效果的评分系统。系统在对照样本上进行测试确定诊断效率的参数。
结果。在训练样本的预后良好组和预后不良组中找到分离点,其五个纹理参数上存在真实差异:AngScMom(p=0.021)、SumofSqs(p=0.003)、SumEntrp(p=0.003)、Entropy(p=0.038)和 SumVarnc(p=0.015),在创建评分系统时排除了 Entropy,因其与 SumEntrp相比有很强的直接相关性,最低的AUC, 以及与SumofSqs相比重现性低。反应预测评分系统的诊断效率在训练样本中的灵敏度、特异性、阳性预测能力和阴性预测能力分别为 72%、69%、70% 和 71%,相应的在对照样本中分别为 80%、64%、62% 和 82%。曲线下面积在训练样本中为 ROC 为 0.77,在对照样本中为 0.72。
结论。对局部晚期直肠癌患者原发肿瘤T2-VI的纹理分析可以预测诊断效率适中的新辅助放化疗效果,表明这个方向的进一步研究的前景性。



对年龄依赖性脑微血管病患者在不同严重程度认知障碍下的大脑半球皮层表面的形态测量
摘要
论证。散发性年龄依赖性脑微血管病占到所有痴呆病例的45%,在评估其认知障碍的基础方面结构性磁共振成像分析发挥着关键作用。在脑微血管病患者中,使用磁共振形态测定法得出的不同结果,需要对其进行广泛的研究,并与临床数据进行比较。
研究目的 — 使用表面形态测量法评估脑微血管病患者认识障碍的大脑萎缩特征
材料和方法。对脑微血管病变和不同严重程度认知障碍(主观、中度和痴呆)的患者,以及一组性别和年龄相当的志愿者进行前瞻性研究和评估。评估包括根据磁共振成像数据分析大脑微血管病的症状,计算大脑微血管病的总指数,并通过表面形态测量法处理 T1mpr图像,对大脑进行总体和区域定量评估,包括大脑半球皮层的厚度。
结果。主要组包括173名脑微血管病患者,对照组包括47名健康的志愿者。随着大脑结构变化和认知障碍的严重表现程度增加,局部区域的皮质厚度也出现了类似的显著下降(p < 0.05),这些区域包括:扣带回,主要是其后部;额叶的内侧和中间部分;岛叶皮质的各个部分;颞顶叶区域(特别是额上回)。脑微血管病患者大脑本身的体积(总体积、灰质和白质体积)仅与对照组有显著差异,而不同认知障碍严重程度的患者组之间则无显著差异。在痴呆与中度认知障碍组、痴呆与主观认知障碍组之间,高密度信号白质体积存在显著差异(P<0.0001)。
结论。在研究期间获得的数据证实,脑微血管病萎缩的继发性/混合性。皮质明显变薄的区域各不相同,这种情况限制了按照萎缩程度来确定大脑微血管病认知障碍的病情发展状态。这使得皮质的定量测量仅作为评估脑微血管病程的预后辅助方法。



基于增强现实技术的导航系统在颌面外科中的应用
摘要
论证。采用增强现实技术的导航系统可实现颌面部各种解剖结构的可视化,是标准手术导航系统的可选方案。 我们开发了一个管理三维模型特殊平台,并利用增强现实技术,将术中导航系统应用于外科手术。
目的。评估外科医生对使用增强现实技术的导航系统的看法,以及该系统在进行颌面手术中最常见的干预措施时的可用性。
材料和方法。为了确定在颌面外科手术中使用增强现实技术的导航系统的准确性,我们进行了一项仿真模型的研究。确定了在手术过程中成像控制下观察到的配准误差:标志点配准误差、目标配准误差和标志点定位误差。随后,几位外科医生利用增强现实技术进行了颌骨手术的临床研究。 外科医生们根据他们使用增强现实导航系统的工作情况填写了一份专门的调查表。
结果。标志点配准误差的平均值为0.9mm(标准偏差为0.7mm;95%置信区间为0.4-1.3mm)。目标配准误差平均值为1.3mm(标准偏差为0.5mm;95%置信区间为1.1-1.5mm)。标记点定位误差值最大,且为2.2mm(标准偏差为0.9毫米;95%置信区间为1.9-2.5mm)。在口腔颌面外科中,使用增强现实技术的导航系统,因系统的新颖性和使用的积极性在用户体验问卷中获得高分。质量的实用性涉及感知的技术导向,即产品、系统或服务在多大程度上有助于实现其开发阶段设定的目标。 本来期待系统的效率会稍高一些,但是,我们认为,所获得的指标与在系统中实施新的增强现实技术时遇到的技术困难有关。
结论。结果表明,在颌面外科手术中使用增强现实技术的导航系统的准确性令人满意,外科医生的使用体验良好。



在肥厚型心肌病术前诊断中心脏计算机断层扫描的诊断能力
摘要
论证。借助各种诊断设备和最新扫描技术研究肥厚型心肌病的综合方法,将确保肥厚型心肌病患者的高质量控制和有效治疗。为了研究左心室重构的表型变异,并与二尖瓣的腱索乳头肌和心肌结构的异常相结合,在新一代扫描仪上引入创新的技术和计算机的计算,具有现实意义和前景。
目的 — 研究在肥厚型心肌病表型术前诊断中计算机断层扫描的能力。
材料和方法。对47名肥厚型心肌病患者(平均年龄为52±7周岁)的术前矫正数据进行回顾性分析。为了研究心房、冠状动脉的异常和二尖瓣的形态,我们采用了自己开发的规程和阈值为90HU双相注射造影剂,自动监测左心房腔内的造影剂团。为了研究心肌的结构变化,利用构建延迟对比碘图对双能量计算机断层扫描获得的数据进行分析。所有肥厚型心肌病患者都被分为不同的形态学类型。 对每个病例的脉络-乳头器的解剖结构进行了评估。
结果。我们的研究表明肥厚型心肌病表型体现的易变性,通常可分为5种形态类型,但并不局限于这些变体。26名患者(55%)具有肥厚型心肌病的弥漫性隔膜形态表型。 5名患者(11%)发现室间隔表型,其中2名患者 (4%)的室间隔表型伴有左心室心尖部隆起/动脉瘤。 8名患者(18%)发现局灶性基底表型,4名患者(8%)发现同心表型,另有4名患者(8%)发现了心尖部表型。大多数患者被诊断为二尖瓣腱索乳头肌异常,分为乳头肌数量和位置异常,以及腱索与肌肉比例异常。10名患者(21%)的冠状动脉心内走行,其中3 名患者(14%)发现动态狭窄迹象。所有患者在延迟对比图上都显示出局灶性碘沉积。13名患者中10名(76%)的ECV细胞外体积分数值超过正常范围。双能量计算机断层扫描显示的平均左心室心肌ECV为30.58%(95%置信区间为27-34%)。
结论。我们在各代计算机断层扫描仪上开发的扫描规程,使其能够在一项研究中确定肥厚性心肌病形态类型的特征模式,并详细解释心脏的心室和瓣膜系统的几何形状、左心室的功能和冠状动脉床的状态,以及左心室心肌的结构变化。



转诊至印度金奈市专科医疗中心的COVID-19患者肺血管和胃肠道血管病变的放射学评估:前瞻性的横断面研究
摘要
论证。自2019年出现以来,冠状病毒感染大流行(COVID-19)在全球范围内的发病率和死亡率一直居高不下。 COVID-19主要是一种呼吸系统疾病,但也会影响其他器官系统,包括血管和胃肠道。COVID-19的并发症包括动脉和静脉血栓形成,大量研究表明肺栓塞风险增加。对COVID-19患者的病理解剖显示,有肺血管血栓形成和肠道缺血的病例。
目的 — 评估转诊至印度金奈市专科医疗中心的COVID-19 患者肺血管(尤其是肺栓塞)和胃肠道血管病变的放射学体症。
材料和方法。100名符合研究标准的COVID-19患者接受了肺血管计算机断层扫描和腹部造影剂计算机断层扫描。肺血管和肠道血管变化的评估由一名有5年经验的放射科医生进行。为确定 COVID-19与肺部和肠道血管变化之间关系的显著性,进行了统计分析。
结果。研究中,11 名患者出现肺栓塞,7 名患者的肠道血管出现明显变化,包括肠壁增厚、肠系膜缺血和网膜梗死,这表明 COVID-19患者胃肠道血管潜在的损伤。研究发现,COVID-19的存在与肺栓塞的发生呈正相关性,肺栓塞平均在发病11天后确诊。根据肺血管计算机断层扫描,在24名COVID-19严重急性呼吸道病程的患者中,有7人发现了肺栓塞。此外,在10名接受人工通气的患者中,有7人出现了这种并发症。在7名肠道血管发生变化的患者中,有4人也发现了肺栓塞,这表明这些变化之间存在着显著的关系。观察到的肠道血管变化是由于血管内血栓形成所致。
结论。根据结果可以得知,严重的COVID-19患者往往同时伴有肺栓塞,而且肠道血管也会发生变化。此外,多变量分析显示,有创人工通气与肺栓塞的发生存在关联。因此,这些患者的治疗决策应基于增强计算机断层扫描,因为不使用造影剂的标准计算机断层扫描无法提供必要的信息。



X光研究质量在远程医疗条件下对患者集体有效剂量的影响
摘要
论证。保证辐射诊断的质量,并提高诊断的效果,无论是市政医疗机构,还是私人医疗机构都是一项关键的任务。如获得有缺陷的X光放射学图像,就必须重复检查,同样也会给医疗机构造成声誉、时间和经济损失。 此外,重复检查还会额外增加病人的总照射剂量。
目的 — 评估门诊医疗机构中在远程医疗条件下劣质X光检查对患者照射的影响。
材料和方法。研究对象是2022年,放射科医生在莫斯科参考中心工作期间,利用专门开发的信息技术诊断检查质量控制系统记录的有缺陷的X光检查。此外,根据相应的现行法规要求,采用X光检查病人有效剂量的确定方法,并使用了信息统计处理方法。
结果。在研究过程中,发现了2059项有缺陷的检查,占远程医疗环境中描述的检查总数的0.084%。有缺陷的检查的集体有效剂量为3.613人·Sv,不到所选门诊医疗机构中患者总集体剂量的0.11%。
结论。本文表明,远程医疗的运营组织,利用信息技术推广诊断性研究质量控制系统是有效的。



人工智能在椎体压缩性骨折诊断中计算机断层扫描数据的应用经验:从测试到验证
摘要
论证。骨质疏松症通常在出现并发症阶段(低能量骨折)时才被诊断出来。 椎体压缩性骨折是骨质疏松症的一种并发症,同时也是随后不同部位骨折的预测因素,但通常没有症状。在针对其他适应症而进行的计算机断层扫描,借助椎体形态测量可以检测出压缩性骨折。 我们分析了使用人工智能服务诊断椎体压缩性骨折的方法。
目的 — 测试根据胸部计算机断层扫描数据对椎体进行形态测量分析的人工智能服务,并评估其在莫斯科市卫生局医疗机构实践中推广的可能性。
材料和方法。为了设定人工智能服务的临床任务,形成了“椎体压缩性骨折(骨质疏松)”为方向的基本诊断要求。服务通过了以下阶段:自测、功能测试、校准测试、验证和试运行。在前三个阶段,测试是在先前准备好的数据集上进行的。 在验证和试运行阶段,使用人工智能服务对医疗机构的计算机断层扫描的检测数据进行了分析。在各个阶段医生专家小组开展工作,评估服务的诊断准确性和功能实用性。将获得的人工智能服务准确性的定量指标与目标值进行比较。
结果。2021年6月至2022年6月期间测试了两种人工智能服务(№1和№2),它们使用不同的方法来确定是否存在压缩性骨折。 两项服务都成功通过了自测阶段(6次试验),以及功能测试(5次试验)和校准测试(100次试验)。№1服务的ROC曲线下面积为0.99(括号内为 95%置信区间值;0.98-1),№2服务的ROC曲线下面积为 0.91(0.85-0.96)。№1服务通过了验证阶段,没有重大意见,而№2服务则被送去修改。试运行阶段结束后,准确度指标如下:№1服务的ROC曲线下面积为 0.93(0.89-0.96),№2服务的ROC曲线下面积为 0.92(0.90-0.94)。在所有阶段,选定的人工智能服务都显示出足以进行临床验证的指标。
结论。对自动诊断椎体压缩性骨折的人工智能服务进行了测试。人工智能服务表现出很高的工作质量。 基于人工智能的服务可以作为医疗决策支持系统的辅助工具。



不同类型自主性反应的学生执行认知任务过程中其动眼神经活动和脑血液动力学的指标
摘要
论证。在人类发展的现阶段,知识积累高度动态、社会和技术发展加速的条件下,研究认知活动在时间限制条件下的心理生理学特征的必要性与日俱增。
研究目的—研究不同类型自主性反应的学生执行认知任务过程中其动眼神经活动和脑血液动力学的指标
材料和方法。罗蒙诺索夫(平均年龄19.0±0.5岁)北方(北极)联邦大学的110名学生参加了这项研究。为了查明不同时间条件下保证认知活动的具体特征,确定了受试者自主神经系统的反应类型:记录不同时间条件下解决认知问题过程中的眼球运动;为了评估脑血液动力学,同时记录了脑血流图;鉴于已查明的个体类型特征,评估了不同时间条件下认知活动的有效性。
结果。在不同时间条件下的认知工作过程中,我们选取的各组代表的认知任务执行有效性各不相同。由于动眼神经活动参数和脑血液动力学之间的相互关系较为稳定,在限时条件下,交感神经型自主性反应患者对视觉信息的处理最为有效和快速。对于迷走神经反应型的代表,其动眼神经活动和脑血液动力学之间具有最不稳定的结构,认知活动成功指数最低。
结论。在限制完成认知任务时间时,可以查明不同类型的自主性反应年轻人的脑血液动力学和动眼神经活动的普遍和特殊变化,并确定认知活动的不同的有效性。已查明的特征证实,在压力条件下,人的认知能力表现取决于神经系统的类型特性,并可通过动眼神经反应和脑血液动力学参数的特殊变化来标记。在限制时间的条件下,最成功的认知活动是通过较稳定的脑血液动力学参数和动眼神经活动的统计相互作用来保证的,反映在视觉认知活动因子模型的稳定性上,而不受时间限制。



系统评价
人工智能双参数磁共振成像筛查前列腺癌的诊断准确性:系统综述
摘要
论证。根据2021年俄罗斯最新公布的数据,将新增40137例前列腺癌病例,在男性人群中仅次于肺癌[2]。
因此,前列腺癌是男性最常见的恶性肿瘤之一。 在这种情况下,准确及时地发现前列腺癌就显得尤为重要。
本系统综述的目的 — 评估在初次就医时确诊前列腺癌构建的预测模型质量。
材料和方法。根据PRISMA协议,于2019年1月至2023年9月期间采用既定方法对eLibrary、PubMed、Google Scholar、Web of Science和Research Gate电子数据库中的文献进行了系统检索。 两位作者独立评估了研究对象的纳入与排除。
结果。这项荟萃分析包括21项研究。 共有3630名患者参与,其中 47%患有前列腺癌,53%为良性前列腺增生患者。 患者的平均年龄为67.1岁(年龄范围在36至90岁之间)。81%的研究是基于加权T2成像(T2-WI),57%基于扩散加权成像 (DWI),76%基于表观扩散系数(ADC)。43%的研究为前列腺过渡区(TZ)的增生,33%为前列腺外周区(PZ)。 52%的作者对整个器官进行了研究,而没有划分区域。分析表明,研究人员最常使用以下机器学习 (ML) 算法:MLR(Multiple Logistic Regression)(76%),SVM (Support Vector Machine)(38%) 和 RF(Random Forest) (24%).根据我们研究的文献中描述的73个预测模型的ROC-AUC评估的荟萃分析数据,使用随机效应法,最终ROC-AUC值为0.793[95%CI 0.768;0.818],I2=86.71%,p<0.001。基于T2-WI+ADC序列的模型:(0.860 [95%CI 0.813; 0.907]);以及与《黑盒》原则模型(0.733 [95%CI 0.695; 0.771])相比,最准确的是《白盒》原则模型(0.834 [95%CI0.806;0.861])。用在放射学和临床特征的模型比仅基于放射学特征的模型准确性略高(0.869 [95%CI 0.844; 0.895]vs 0.779 [95%CI 0.751; 0.807])。研究区域(PZ 和/或 TZ)模型的准确性实际上没有区别。
结论。研究结果前景广阔,但临床应用性仍需要医疗机构的专家进行更严格的验证,并在前瞻性研究中进行疗效评估。



科学评论
双能量计算机断层扫描的原理和在膀胱癌中的新应用
摘要
目前,膀胱癌患者最常见的仪器检查方法是使用计算机断层扫描和多参数磁共振成像进行尿路造影。但是,最近双能量计算机断层扫描已越来越多地用于诊断癌症。这篇概述性的文章简要描述双能量计算机断层扫描的各个方面,如物理操作原理、工作方法、规程和图像处理方法,为了这一先进技术应用于前景广阔的膀胱癌诊断领域,形成总体的认识。特别是,研究使用双能计算机断层扫描来比较基本图像(如碘图)与使用标准计算机断层扫描获得的图像的可行性。
双能量计算机断层扫描可用于膀胱癌的诊断、分期和治疗规划。然而,由于医疗机构中相应设备不足,以及缺乏受过训练的人员来正确进行检查,并恰当的描述检查结果,该方法的使用受到了限制。



影像组学在脑肿瘤中的应用前景
摘要
影像组学是一个基于医学成像定量方法的诊断学新领域,它能更有效地利用医疗设备,优化每位患者的治疗时间,并提高医学各个领域鉴别诊断的准确性。放射影像基因组学是影像组学的一个分支,旨在将病人的基因型与医学影像所呈现的表型联系起来。在综述中结合近年来该领域取得的研究成果,提出肿瘤学中影像组学和放射影像基因组学的一般问题,特别关注这些方法在神经肿瘤学中的作用,以及脑肿瘤诊断问题的解决方案。神经肿瘤学亟待解决的问题之一是判断疾病预后的能力,这是因为无法对中线胶质瘤患者进行形态学确诊和组织分子遗传学研究。此外,恶性肿瘤在空间和时间上固有的高度异质性阻碍对肿瘤生物特性的全面评估,甚至使用立体定向活检法术也是如此。放射组学方法可以帮助医生区分肿瘤的恶性程度,发挥“虚拟活检”的作用,同时避免一些侵入性操作。神经肿瘤学中的影像组学和放射影像基因组学研究结果表明,这些技术的前景毋庸置疑,但是,与其他医学和生物学领域一样,错误也不能完全排除,相关专家团队的任务就是将这种错误概率降到最低。



利用机器学习方法诊断乳腺癌
摘要
最近几年,机器学习方法在诊断领域,特别是对乳腺癌的检测受到越来越多的关注。
文章从三个方面分析了当前致力于在乳腺癌诊断中使用机器学习方法的研究:用于解决现代乳腺癌诊断中出现的辅助任务,作为初步诊断决策的患者病情智能评估,以及确定乳腺癌的风险因素。文章从三个方面分析了机器学习方法在乳腺癌诊断中的应用现状:解决现代乳腺癌诊断中出现的辅助课题,智能评估患者病情初步诊断决策,以及确定乳腺癌的风险因素。
分析表明,利用机器学习方法诊断乳腺癌为提高诊断的准确性和效率提供巨大的可能性,并且还可以完成其他额外任务。
文献分析结果,确定了用作机器学习方法中输入数据的特征。今后,收集到的信息将用于构建一个利用机器学习方法诊断乳腺癌的特征系统。



肾盏憩室伴有血尿的放射学评估
摘要
肾盏憩室,又称肾盂囊肿,是一种相当罕见的疾病。通常这些囊肿没有任何症状,在常规造影检查中偶然被诊断出来。但在某些情况下,可能会出现血尿、肋部疼痛和类似肾脏肿瘤等令人担忧的症状。本文描述了一例血尿患者的临床病例,患者最初被认为是肾脏恶性肿瘤的一种表现,但后来被归因于肾盏憩室。文中提供的数据让我们了解到血尿最罕见也最容易被低估的病因之一。此外,文章还描述了肾盏憩室的主要放射学特征。其中,患者接受了超声检查、计算机断层扫描尿路造影、双能量计算机断层扫描和核磁共振尿路造影。该临床病例的描述也具有教育目的。



临床病例及临床病例的系列
通过核磁共振纤维束成像、功能性核磁共振成像和脑电图分析中风后大脑下半球广泛损伤导致轻度神经功能缺损的临床病例。
摘要
包括大脑皮层在内的大脑不同部位受损后,神经功能缺损和生活质量下降的严重程度会有很大差异,通常与损伤量无关。病理变化的定位起着重要作用。 众所周知,优势半球和次优势半球的病变在临床表现和患者生活质量下降的程度上都有显著差异。
在临床病例分析中,一名患者在两次缺血性脑卒中后入院接受康复治疗,神经科医生和神经心理学家对其进行了检查,并通过脑电图、核磁共振成像、灌注评估计算机断层扫描、核磁共振纤维束成像和功能性核磁共振成像进行了全面的仪器检查。患者左侧肢体轻微瘫痪,自主活动调节能力障碍,神经动态指数轻度下降,注意力轻度下降,对自己的病情持批评态度。神经影像学检查结果发现,大脑中动脉区域的右侧次优势大脑半球存在广泛的梗塞后损伤。
显示脑损伤量与临床表现严重程度之间的失衡,并分析造成失衡的可能原因。根据功能研究的数据,确定优势半球,并提出功能中心重组的可能变体。与类似临床病例进行比较,分析其与本文的关系。所获得的信息扩展着运动执行、语言功能和运算能力主题改变区的认识。



年轻患者左侧阴囊疼痛的睾丸缺血诊断:附睾炎的潜在致命并发症
摘要
在极少数情况下,急性附睾炎会伴有睾丸缺血和梗塞。 通过临床症状和影像学检查结果很难区分附睾炎和睾丸扭转。在本文中,我们努力扩大用于快速准确鉴别诊断的放射治疗诊断方法的数字图像库。本病例强调了全面放射检查的重要性,以及采用跨学科方法做出准确诊断的必要性。一名24岁的男子因两周前出现左侧睾丸剧烈疼痛而来到医院就诊。据患者称,已经有一段时间出现射精疼痛、性交疼痛、阴囊发红/肿胀、生殖器发炎、恶寒、腹股沟淋巴结肿大、排尿困难和阴囊疼痛。在泌尿科医生的建议下,接受了超声检查和核磁共振成像检查。 影像学检查显示左侧睾丸缺血。根据病史,怀疑患有慢性睾丸附睾炎。由于缺血范围有限,患者无需进行左侧睾丸切除术。 接受了药物治疗。此外,患者还被诊断为左侧精索静脉曲张。对不同磁共振成像序列获得的图像进行了仔细研究。本文描述了一例罕见的睾丸附睾炎病例,这是附睾炎的一种潜在危险并发症。为避免严重后果,当阴囊突然剧烈疼痛时,应考虑到这种并发症的可能性。此案例的描述,能够优化患者的管理方法,并避免不必要的干预。



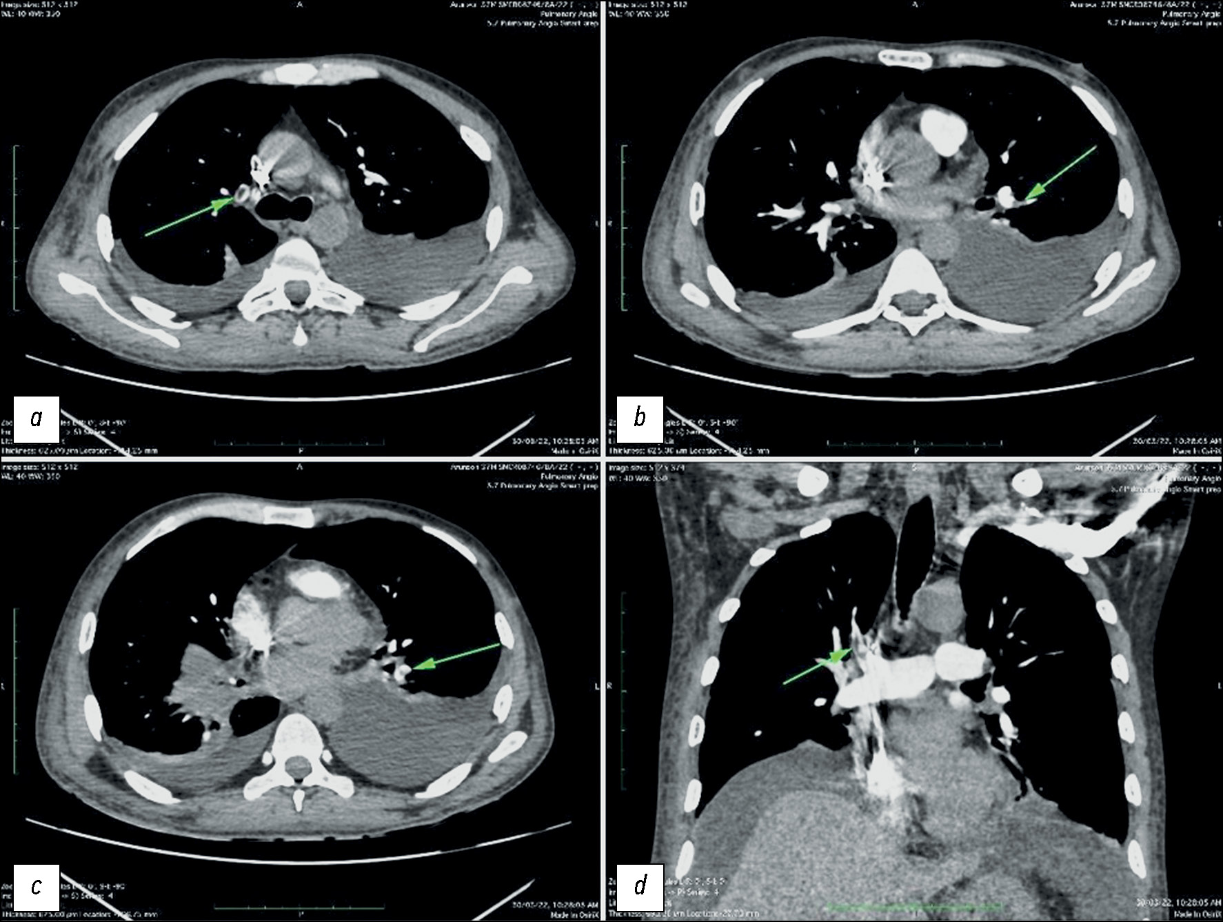
通过计算机断层扫描血管造影发现年轻肺动脉高压患者的肺动脉假性动脉瘤
摘要
假性动脉瘤和肺动脉瘤是一种罕见的疾病,但与之相关的并发症强调了识别它们的重要性。本文介绍了一名15岁患者的临床病例,该患者因咯血而入院。经诊断,发现左肺动脉瘤。随后的计算机断层扫描血管造影和肺动脉介入治疗结果证实存在肺动脉瘤,这表明咯血是由于动脉瘤破裂造成的。肺动脉介入证实了确诊。肺动脉瘤的早期发现和治疗至关重要,尤其是对年轻患者,因为及时干预可以预防严重并发症,改善疾病预后。提高对这些血管疾病的认识,并通过相应的诊断措施和干预措施对其进行及时处理,可以帮助医疗服务者有效降低与肺动脉瘤相关的潜在风险,从而提高预后准确性和医疗服务质量。



自发性肝破裂病例及影像学的作用:从计算机断层扫描到干预治疗
摘要
肝实质破裂是一种罕见但可能致命的疾病,可由外伤、医源性因素、自发性原因等引起。 本文通过一个病例报告,介绍了在治疗一名自发性肝实质破裂患者时所采用的诊断和治疗措施。一名老年妇女因弥漫性腹痛被送入急诊科。临床检查后,她接受了计算机断层扫描。第一次计算机断层扫描的结果并未发现全面的实质破裂。由于腹痛可能由肾绞痛或胆绞痛引起,已知信息模糊,因此早期诊断非常困难。在肝实质中只发现了几个椭圆形低密度肿块,肿块内充满了密度增高的液体。然而,疼痛持续了数天,由于患者病情恶化,进行了补充的放射检查,结果显示肝实质破裂。因此有必要进一步进行动脉造影,并延长住院时间,直到临床症状缓解。



原发性脑外肿瘤磁核磁共振成像误诊:临床病例系列
摘要
原发性脑外肿瘤是脑膜和颅神经的良性和恶性肿瘤。其术前鉴别诊断基于核磁共振成像(MRI)符号学分析。对这类肿瘤进行分类的关键点在于以下特征:增生形成的结构、对比度的性质、增生与脑组织的分界、是否与脑膜或颅神经相互连接。
在大多数具有典型符号学特征的病例中,根据核磁共振成像数据的视觉分析对各种类型的原发性脑外肿瘤进行鉴别诊断并不困难。在核磁共振成像表现不典型的情况下,很难可靠地区分肿瘤。在这种情况下,最大的困难在于区分不同恶性程度的脑膜瘤,区分单发性纤维瘤和脑膜瘤,以及位于脑桥小脑角肿瘤的类型确定。
本文介绍了一系列观察结果,其中包括基于核磁共振成像数据对原发性脑外肿瘤进行鉴别诊断时误诊的最典型情况。所有呈现的增生形成物均经过术后组织学检查验证。
经临床实例分析表明,考虑符号学的总体特征可以减少误诊的数量。



继发性乳腺血管肉瘤的特征:临床病例
摘要
本文描述了一个罕见的继发性乳腺血管肉瘤病例,患者是一名72岁的女性,患者是一名有乳腺癌病史的 72 岁女性。曾患乳腺癌。患者因左乳房外上象限无痛性可触及硬块来我院就诊,接受了全面的诊断检查,包括乳腺科、病理科和肿瘤科的会诊。在乳房造影、超声检查和磁共振成像等仪器诊断方法的帮助下,成功评估肿瘤的扩散程度、淋巴结损伤情况,以及是否存在远处转移。 组织活检结果证实了诊断。本文分析这一罕见病例的主要目的是教育性的,包括描述该疾病的临床表现和复杂诊断,以及讨论鉴别诊断和治疗策略。继发性乳腺血管肉瘤是一种罕见的侵袭性肿瘤,了解其独特之处对于做出正确的临床决策和改善患者的预后至关重要。由于发现较晚、硬块远处转移的风险增加以及治疗方案有限,该肿瘤的预后较差。在这种情况下,需要密切监测、采取积极的治疗策略和姑息治疗。


