A case of spontaneous liver rupture and the role of imaging: from computed tomography to interventional treatment
- Authors: Montatore M.1, Masino F.1, Muscatella G.1, Gifuni R.1, Tupputi R.2, Quinto F.3, Guglielmi G.1,2,4
-
Affiliations:
- Foggia University School of Medicine
- Dimiccoli Hospital
- L. Bonomo Hospital
- IRCCS Casa Sollievo della Sofferenza Hospital
- Issue: Vol 5, No 3 (2024)
- Pages: 632-641
- Section: Case reports
- URL: https://journals.rcsi.science/DD/article/view/310042
- DOI: https://doi.org/10.17816/DD623377
- ID: 310042
Cite item
Full Text
Abstract
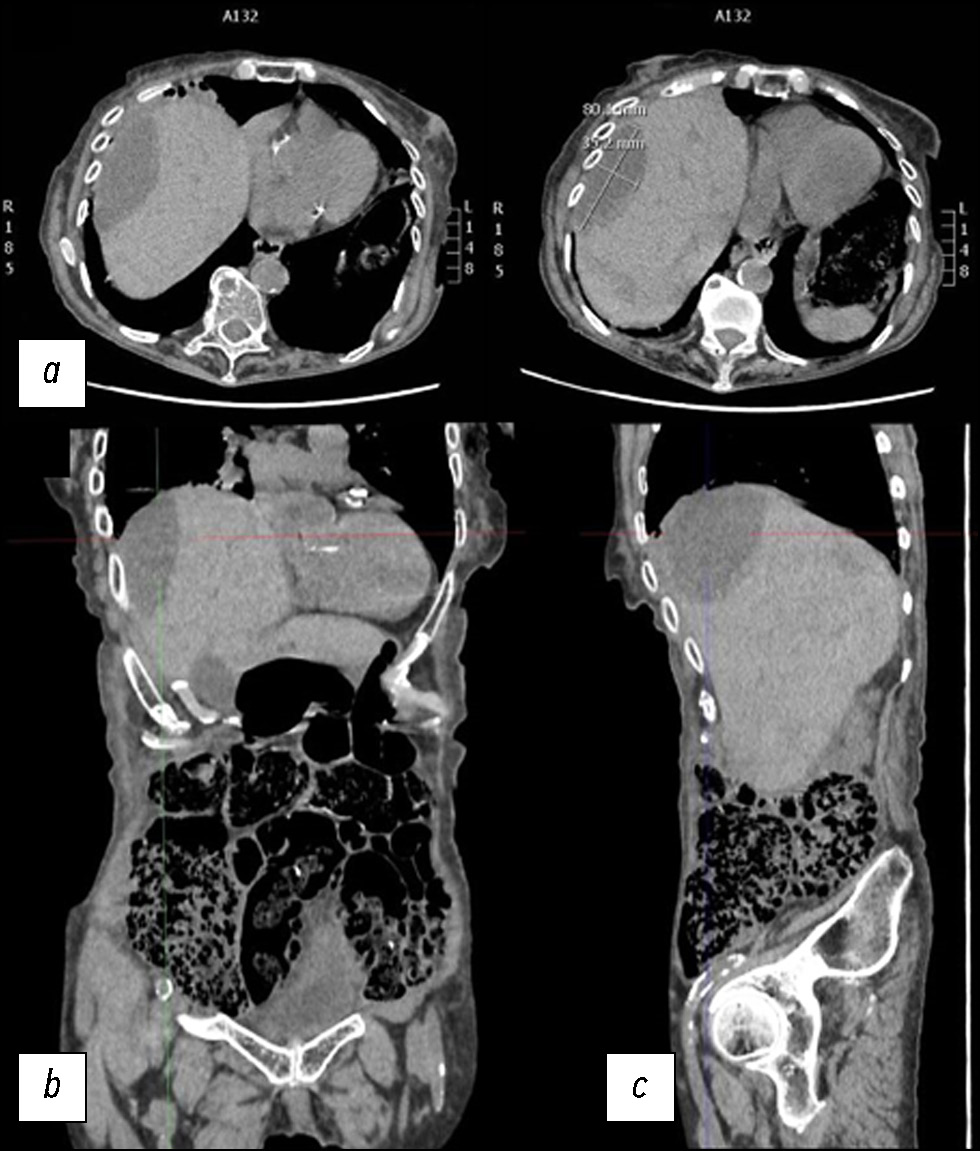
Hepatic parenchymal rupture is a rare but potentially fatal condition that can be caused by trauma, iatrogenic factors, spontaneous causes, etc. This case report describes the diagnostic and therapeutic steps employed in a patient with spontaneous hepatic parenchymal rupture. An older woman came to the emergency department with diffuse stomach pain. After clinical evaluation, she underwent computed tomography. The first computed tomography did not reveal a full-blown parenchymal rupture. Owing to data ambiguity, indicating that the abdominal discomfort could be caused by renal or biliary colic, obtaining an early diagnosis was very difficult. In truth, only few hypodense oval shapes with characteristic suprafluid densitometry were found in the liver parenchyma. However, after a few days, the discomfort persisted, and as the condition worsened, the patient underwent additional radiological examinations, which revealed the rupture of the liver parenchyma that required arteriography, and a long hospital stay until clinical resolution.
Keywords
Full Text
##article.viewOnOriginalSite##About the authors
Manuela Montatore
Foggia University School of Medicine
Email: manuela.montatore@unifg.it
ORCID iD: 0009-0002-1526-5047
MD
Italy, FoggiaFederica Masino
Foggia University School of Medicine
Email: federicamasino@gmail.com
ORCID iD: 0009-0004-4289-3289
MD
Italy, FoggiaGianmichele Muscatella
Foggia University School of Medicine
Email: muscatella94@gmail.com
ORCID iD: 0009-0004-3535-5802
MD
Italy, FoggiaRossella Gifuni
Foggia University School of Medicine
Email: rossella.gifuni@unifg.it
ORCID iD: 0009-0009-9679-3861
MD
Italy, FoggiaRuggiero Tupputi
Dimiccoli Hospital
Email: rutudott@gmail.com
ORCID iD: 0009-0006-0329-6320
MD
Italy, BarlettaFabio Quinto
L. Bonomo Hospital
Email: fabio.quinto@aslbat.it
ORCID iD: 0000-0001-7730-7711
MD
Italy, AndriaGiuseppe Guglielmi
Foggia University School of Medicine; Dimiccoli Hospital; IRCCS Casa Sollievo della Sofferenza Hospital
Author for correspondence.
Email: giuseppe.guglielmi@unifg.it
ORCID iD: 0000-0002-4325-8330
MD, Professor
Italy, Foggia; Barletta; San Giovanni RotondoReferences
- Fundora W, Fuster-Anglada C, Bassaganyas C, et al. An infrequent cause of spontaneous liver rupture. Journal of hepatology. 2023;78(5):e160–e161. doi: 10.1016/j.jhep.2023.01.012
- Onishi Y, Shimizu H, Oka S, et al. Transcatheter arterial embolization for subcapsular hematoma of the liver. Abdominal radiology. 2023;48(2):765–772. doi: 10.1007/s00261-022-03732-w
- Le ACM, Bohlin T, Grønvold L, et al. Ruptured liver. Tidsskr Nor Laegeforen. 2023;143(8). doi: 10.4045/tidsskr.22.0805
- Sutton BC, Dunn ST, Landrum J, Mielke G. Fatal postpartum spontaneous liver rupture: case report and literature review. Journal of forensic sciences. 2008;53(2):472–475. doi: 10.1111/j.1556-4029.2008.00677.x
- Donati M, Stavrou GA, Donati A, Oldhafer KJ. The risk of spontaneous rupture of liver hemangiomas: a critical review of the literature. Journal of hepato-biliary-pancreatic sciences. 2011;18(6):797–805. doi: 10.1007/s00534-011-0420-7
- Jun CH, Yoon JH, Wi JW, et al. Risk factors and clinical outcomes for spontaneous rupture of pyogenic liver abscess. Journal of digestive diseases. 2015;16(1):31–36. doi: 10.1111/1751-2980.12209
- Seifeddine B, Amel C, Ghofrane T, et al. Spontaneous rupture of hydatid cyst of liver in the peritoneal cavity with intact proligerous membrane: about a case and literature review. The Pan African medical journal. 2018;30:174. doi: 10.11604/pamj.2018.30.174.15054
- Cadili A, Gates J. The Role of Angioembolization in Hepatic Trauma. The American surgeon. 2021;87(11):1793–1801. doi: 10.1177/0003134820973729
- García IC, Villalba JS, Iovino D, et al. Liver Trauma: Until When We Have to Delay Surgery? A Review. Life (Basel). 2022;12(5):694. doi: 10.3390/life12050694
- Segalini E, Morello A, Leati G, et al. Primary angioembolization in liver trauma: major hepatic necrosis as a severe complication of a minimally invasive treatment narrative review. Updates in Surgery. 2022;74(5):1511–1519. doi: 10.1007/s13304-022-01372-9
- Parks RW, Chrysos E, Diamond T. Management of liver trauma. The British journal of surgery. 1999;86(9):1121–1135. doi: 10.1046/j.1365-2168.1999.01210.x
Supplementary files








