Radiological evaluation of a calyceal diverticulum presenting with hematuria
- Авторлар: Masino F.1, Montatore M.1, Eusebi L.2, Gifuni R.1, Muscatella G.1, Balbino M.1, Sortino G.2, Pitoni L.2, Guglielmi G.1,3,4
-
Мекемелер:
- Foggia University School of Medicine
- Carlo Urbani Hospital
- Dimiccoli Hospital
- IRCCS Casa Sollievo della Sofferenza Hospital
- Шығарылым: Том 5, № 3 (2024)
- Беттер: 592-600
- Бөлім: Reviews
- URL: https://journals.rcsi.science/DD/article/view/310040
- DOI: https://doi.org/10.17816/DD623209
- ID: 310040
Дәйексөз келтіру
Толық мәтін
Аннотация
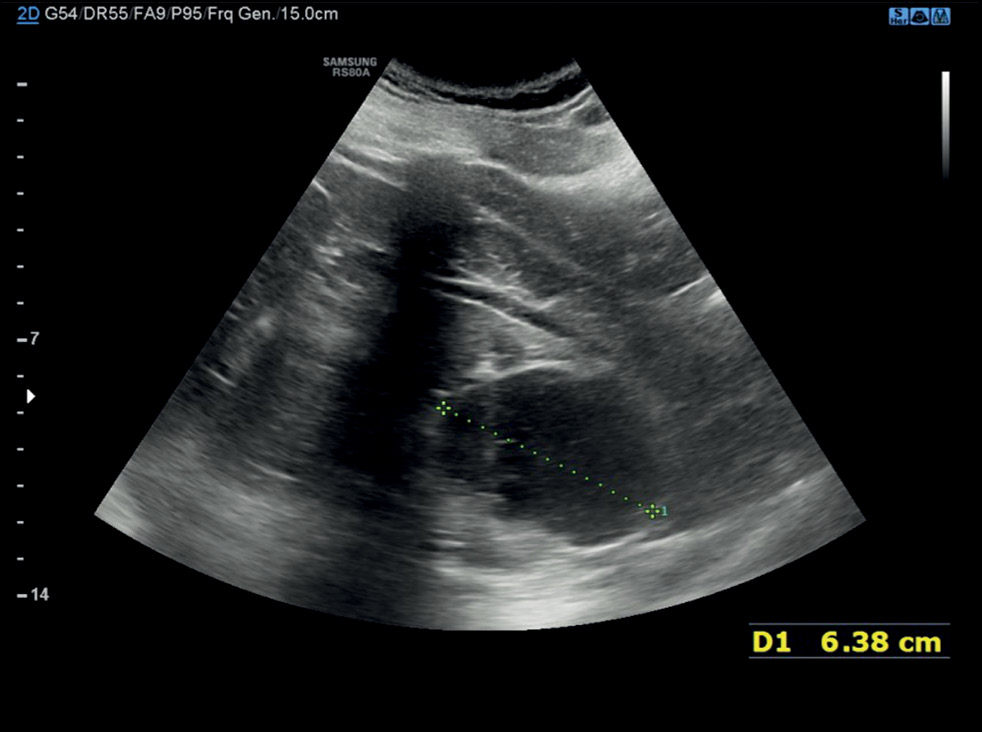
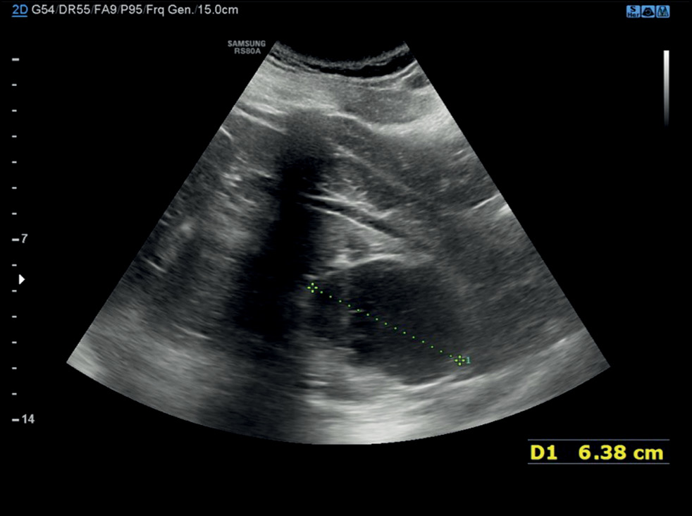
Calyceal diverticula, also known as pyelogenic cysts, are a relatively uncommon condition, which is usually asymptomatic and incidentally diagnosed during routine imaging. In some cases, they may lead to concerning symptoms such as hematuria and flank pain, mimicking a renal tumor. In this case report, the patient suffered from hematuria that was initially suspected as a renal malignancy but was ultimately attributed to a calyceal diverticulum. The presented case allows evaluating one of the rarest and underestimated causes of hematuria and describes the main imaging features of calyceal diverticula. In particular, ultrasonography, computed tomography urography, dual-energy computed tomography, and magnetic resonance urography were performed. Subsequently, this case report also serves an educational purpose.
Негізгі сөздер
Толық мәтін
##article.viewOnOriginalSite##Авторлар туралы
Federica Masino
Foggia University School of Medicine
Email: federicamasino@gmail.com
ORCID iD: 0009-0004-4289-3289
MD
Италия, FoggiaManuela Montatore
Foggia University School of Medicine
Email: manuela.montatore@unifg.it
ORCID iD: 0009-0002-1526-5047
MD
Италия, FoggiaLaura Eusebi
Carlo Urbani Hospital
Email: lauraeu@virgilio.it
ORCID iD: 0000-0002-4172-5126
MD
Италия, JesiRossella Gifuni
Foggia University School of Medicine
Email: rossella.gifuni@gmial.com
ORCID iD: 0009-0009-9679-3861
MD
Италия, FoggiaGianmichele Muscatella
Foggia University School of Medicine
Email: muscatella94@gmail.com
ORCID iD: 0009-0004-3535-5802
MD
Италия, FoggiaMarina Balbino
Foggia University School of Medicine
Email: marinabalbino93@gmail.com
ORCID iD: 0009-0009-2808-5708
MD
Италия, FoggiaGiuseppe Sortino
Carlo Urbani Hospital
Email: giuseppesortino@live.it
MD
Италия, JesiLucia Pitoni
Carlo Urbani Hospital
Email: lucia.pitoni22@gmail.com
ORCID iD: 0000-0002-8419-090X
MD
Италия, JesiGiuseppe Guglielmi
Foggia University School of Medicine; Dimiccoli Hospital; IRCCS Casa Sollievo della Sofferenza Hospital
Хат алмасуға жауапты Автор.
Email: giuseppe.guglielmi@unifg.it
ORCID iD: 0000-0002-4325-8330
MD, Professor
Италия, Foggia; Barletta; San Giovanni RotondoӘдебиет тізімі
- Zhao Y, Zhang R, Yun Y, et al. A case report of renal calyceal diverticulum with hypertension in children and review of literature. BMC pediatrics. 2022;22(1):35. doi: 10.1186/s12887-021-03081-5
- Zhang R, Shen W, Li X, et al. A Petal-like Calyceal Diverticulum. Urology. 2015;86(6):e31–e32. doi: 10.1016/j.urology.2015.09.003
- Zhang Z, Zhang Y, Wang X, et al. Challenges in the diagnosis of calyceal diverticulum: A report of two cases and review of the literature. Journal of X-ray science and technology. 2020;27(6):1155–1167. doi: 10.3233/XST-190549
- Waingankar N, Hayek S, Smith AD, Okeke Z. Calyceal diverticula: a comprehensive review. Reviews in urology. 2014;16(1):29–43.
- Kurkov AV, Pominalnaya VM, Nechay VV, et al. A Case Report of Calyceal Diverticulum: Differential Diagnosis for Organ-Preserving Operations. Frontiers in surgery. 2021;8:731796. doi: 10.3389/fsurg.2021.731796
- Montatore M, Muscatella G, Eusebi L, et al. Current Status on New Technique and Protocol in Urinary Stone Disease. Current Radiology Reports. 2023;11:161–176. doi: 10.1007/s40134-023-00420-5
- Eusebi L, Masino F, Gifuni R, et al. Role of Multiparametric-MRI in Bladder Cancer. Current Radiology Reports. 2023;11:69–80. doi: 10.1007/s40134-023-00412-5
Қосымша файлдар







