Radiological assessment of pulmonary vascular changes and gastrointestinal changes in patients with COVID-19 referred to a tertiary health care center in Chennai, India: a prospective cross-sectional study
- Authors: Sathishkumar H.1, Faizal A.2, Majith A.2, Raj V.2, Venkataramani A.3
 - 
							Affiliations: 
							
- Government Chengalpattu Medical College and Hospital
 - Saveetha Medical College and Hospital, Saveetha Institute of Medical and Technical Sciences
 - Mahatma Gandhi Medical College and Research Institute
 
 - Issue: Vol 5, No 3 (2024)
 - Pages: 480-490
 - Section: Original Study Articles
 - URL: https://journals.rcsi.science/DD/article/view/310033
 - DOI: https://doi.org/10.17816/DD626759
 - ID: 310033
 
Cite item
Full Text
Abstract
BACKGROUND: The coronavirus disease pandemic (COVID-19), caused by severe acute respiratory syndrome coronavirus 2, has led to significant morbidity and mortality worldwide since its emergence in 2019. Although primarily a respiratory illness, COVID-19 can also affect other organ systems, including the vascular and gastrointestinal systems. COVID-19 is linked to both venous and arterial thrombosis, and numerous studies have indicated a heightened risk of pulmonary embolism. Autopsies have revealed pulmonary vasculature thrombosis and bowel ischemia in patients with COVID-19.
AIM: To assess radiological pulmonary vascular changes, specifically pulmonary embolism, and gastrointestinal changes in patients with COVID-19 referred to a tertiary healthcare center in Chennai, India.
MATERIALS AND METHODS: Computed tomography pulmonary angiography and contrast-enhanced computed tomography of the abdomen were conducted in 100 patients with COVID-19 who met the selection criteria. A radiologist with 5 years of experience evaluated pulmonary vascular and bowel changes. Subsequently, statistical analysis was performed to determine the significance of the relationship between patients with COVID-19 and the occurrence of pulmonary vascular and bowel changes.
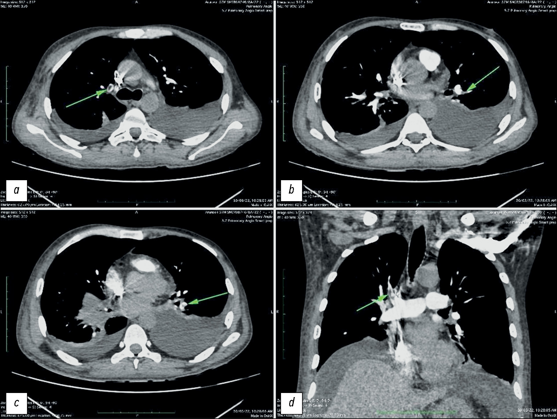
RESULTS: In this study, 11 patients exhibited pulmonary thromboembolism, and 7 showed significant bowel changes such as bowel wall thickening, mesenteric ischemia, and omental infarction, indicative of potential gastrointestinal involvement of patients with COVID-19. A positive correlation was found between pulmonary embolism prevalence in patients with COVID-19. Pulmonary embolism was diagnosed at a mean of 11 days from disease onset. Of the 24 patients with severe acute respiratory illness, 7 showed pulmonary embolism, detected by computed tomography pulmonary angiography. In addition, of the 10 patients on mechanical ventilation, pulmonary embolism was found in 7. Among the seven patients with bowel changes, four had pulmonary embolism, as detected by computed tomography pulmonary angiography, indicating a significant association between the two concomitant complications. The observed bowel changes were attributed to intravascular thrombosis.
CONCLUSIONS: Based on our findings, pulmonary emboli and bowel changes often occur in patients with COVID-19. Multivariate analyses also revealed a connection between invasive mechanical ventilation and pulmonary embolism. The results indicate that patients with severe COVID-19 may also experience concurrent acute pulmonary embolism. Thus, for these patients, the use of contrast-enhanced computed tomography instead of standard non-contrast computed tomography may aid in treatment decision-making.
Full Text
##article.viewOnOriginalSite##About the authors
Hariharan Sathishkumar
Government Chengalpattu Medical College and Hospital
														Email: harisathish00788@gmail.com
				                	ORCID iD: 0009-0005-3198-9899
				                																			                								
MD
India, ChengalpattuAfwaan Faizal
Saveetha Medical College and Hospital, Saveetha Institute of Medical and Technical Sciences
														Email: affanfaizal4498@gmail.com
				                	ORCID iD: 0009-0000-9664-6698
				                																			                								
MD
India, ChennaiAbdul Majith
Saveetha Medical College and Hospital, Saveetha Institute of Medical and Technical Sciences
							Author for correspondence.
							Email: radsaveetha@gmail.com
				                	ORCID iD: 0009-0005-2351-2644
				                																			                								
MD
India, ChennaiVishnu Raj
Saveetha Medical College and Hospital, Saveetha Institute of Medical and Technical Sciences
														Email: vishnurajsedhu@gmail.com
				                	ORCID iD: 0009-0004-2436-4586
				                																			                								
MD
India, ChennaiAgathiyanathan Venkataramani
Mahatma Gandhi Medical College and Research Institute
														Email: aakashv3@gmail.com
				                	ORCID iD: 0009-0004-7403-8164
				                																			                												                	India, 							Puducherry						
References
- Manfrini N, Notarbartolo S, Grifantini R, Pesce E. SARS-CoV-2: A Glance at the Innate Immune Response Elicited by Infection and Vaccination. Antibodies. 2024;13(1):13. doi: 10.3390/antib13010013
 - Thornton GM, Fleck BA, Kroeker E, et al. The impact of heating, ventilation, and air conditioning design features on the transmission of viruses, including the 2019 novel coronavirus: A systematic review of ventilation and coronavirus. PLOS Glob Public Health. 2022;2(7):e0000552. doi: 10.1371/journal.pgph.0000552
 - Chen AT, Wang CY, Zhu WL, Chen W. Coagulation Disorders and Thrombosis in COVID-19 Patients and a Possible Mechanism Involving Endothelial Cells: A Review. Aging Dis. 2022;13(1):144–156. doi: 10.14336/AD.2021.0704
 - Nemec HM, Ferenczy A, Christie BD 3rd, Ashley DW, Montgomery A. Correlation of D-dimer and Outcomes in COVID-19 Patients. Am Surg. 2022;88(9):2115–2118. doi: 10.1177/00031348221091940
 - Stark K, Massberg S. Interplay between inflammation and thrombosis in cardiovascular pathology. Nat Rev Cardiol. 2021;18:666–682. doi: 10.1038/s41569-021-00552-1
 - Al-Samkari H, Karp Leaf RS, Dzik WH, et al. COVID-19 and coagulation: bleeding and thrombotic manifestations of SARS-CoV-2 infection. Blood. 2020;136(4):489–500. doi: 10.1182/blood.2020006520
 - Covino M, De Matteis G, Polla DAD, et al. Predictors of in-hospital mortality AND death RISK STRATIFICATION among COVID-19 PATIENTS aged ≥80 YEARs OLD. Archives of Gerontology and Geriatrics. 2021;95:104383. doi: 10.1016/j.archger.2021.104383
 - Parekh M, Donuru A, Balasubramanya R, Kapur S. Review of the Chest CT Differential Diagnosis of Ground-Glass Opacities in the COVID Era. Radiology. 2020;297(3):E289–E302. doi: 10.1148/radiol.2020202504
 - Danzi GB, Loffi M, Galeazzi G, Gherbesi E. Acute pulmonary embolism and COVID-19 pneumonia: a random association? Eur Heart J. 2020;41(19):1858. doi: 10.1093/eurheartj/ehaa254
 - Chi G, Lee JJ, Jamil A, et al. Venous thromboembolism among hospitalized patients with COVID-19 undergoing thromboprophylaxis: a systematic review and meta-analysis. J Clin Med. 2020;9(8):2489. doi: 10.3390/jcm9082489
 - Grillet F, Behr J, Calame P, Aubry S, Delabrousse E. Acute pulmonary embolism associated with COVID-19 pneumonia detected with pulmonary CT angiography. Radiology. 2020;296(3):E186–E188. doi: 10.1148/radiol.2020201544
 - Abdelmohsen MA, Alkandari BM, Gupta VK, et al. Gastrointestinal tract imaging findings in confirmed COVID-19 patients: a non-comparative observational study. Egypt J Radiol Nucl Med. 2021;52. doi: 10.1186/s43055-021-00433-0
 
Supplementary files
				
			
					
						
						
						
						
				




