Гибридные белки, содержащие протеородопсин Exiguobacterium sibiricum
- Авторы: Петровская Л.Е.1,2, Крюкова Е.А.1,3, Большаков В.А.4, Лукашев Е.П.4, Силецкий С.А.4, Мамедов М.Д.4, Судаков Р.В.4, Долгих Д.А.1,3,4, Кирпичников М.П.1,4
-
Учреждения:
- ФГБУН “Институт биоорганической химии им. академиков М.М. Шемякина и Ю.А. Овчинникова” РАН
- Московский физико-технический институт
- Институт биохимической физики им. Н.М. Эмануэля РАН
- Московский государственный университет им. М.В. Ломоносова
- Выпуск: Том 50, № 3 (2024)
- Страницы: 301-310
- Раздел: Статьи
- URL: https://journals.rcsi.science/0132-3423/article/view/261482
- DOI: https://doi.org/10.31857/S0132342324030099
- EDN: https://elibrary.ru/NZAHXH
- ID: 261482
Цитировать
Полный текст
Аннотация
Сконструированы гены гибридных белков, включающих протеородопсин Exiguobacterium sibiricum (ESR) и различные N-концевые растворимые домены. Эффективный синтез в клетках Escherichia coli наблюдался только в случае гибридов с шапероном Caf1M и мальтозосвязывающим белком MBP, экспрессируемых в виде предшественников с собственными сигнальными последовательностями. Изучение выделенного белка MBP-ESR в составе мицелл и протеолипосом продемонстрировало формирование и распад основных интермедиатов фотоцикла при рН > 8. Фотоэлектрический ответ гибридных белков Caf-ESR и MBP-ESR сопоставим по амплитуде с ответом ESR дикого типа, что указывает на их гомогенную ориентацию в мембране протеолипосом. Полученные конструкции могут быть использованы для создания систем бактериальной экспрессии различных ретинальных белков, обеспечивающих их единообразное встраивание в протеолипосомы.
Полный текст
Сокращения: ESR – ретинальный белок Exiguobacterium sibiricum; BR – бактериородопсин; Caf1M – шаперон капсульного антигена F1; DDM – n-додецил-β-D-мальтопиранозид; MBP – мальтозосвязывающий белок; PR – протеородопсин; wt ESR – ESR дикого типа.
ВВЕДЕНИЕ
Микробные родопсины – мембранные светочувствительные белки, содержащие хромофор ретиналь, который связан через основание Шиффа с остатком лизина [1–3]. В результате поглощения кванта света в их молекулах происходит ряд молекулярных событий, включающих изомеризацию ретиналя и его возвращение в исходное состояние, изменение степени протонирования основания Шиффа и ключевых аминокислотных остатков, трансмембранный перенос протонов или других ионов в случае ион-транспортных родопсинов [4, 5]. Наиболее известный и хорошо изученный представитель семейства – бактериородопсин (BR), обнаруженный в пурпурных мембранах Halobacterium salinarum [6, 7]. Значительный вклад в исследования этого белка внесли Ю.А. Овчинников и его сотрудники [8, 9].
Родопсины выполняют в клетках микроорганизмов разнообразные функции, однако можно утверждать, что наиболее распространенная функция этих белков –энергетическая. В результате трансмембранного переноса протонов BR создает электрохимический градиент (протон-движущую силу), которая используется клетками для синтеза АТФ при участии АТФ-синтазы. Такой способ генерации энергии, основанный на протонтранспортной активности BR, позволяет галобактериям выживать при понижении концентрации кислорода в среде [10]. Позднее у различных морских эубактерий были открыты протеородопсины (PR), которые вносят значительный вклад в утилизацию солнечной энергии и адаптацию микроорганизмов к существованию в олиготрофных условиях [11, 12].
Исследование транспортной активности микробных родопсинов предполагает их встраивание в замкнутый липидный бислой, например, в составе протеолипосом. Эти сферические частицы размером от 100 нм до 1 мкм, образованные липидами различного состава, являются удобной моделью природных мембран и позволяют подобрать подходящие условия для правильного фолдинга и эффективного функционирования мембранных белков [13, 14]. Уже на ранних этапах изучения BR было успешно продемонстрировано его встраивание в протеолипосомы, содержащие АТФ-синтазу различного происхождения, которое сопровождалось светозависимым синтезом АТФ [15–17]. Впоследствии были получены искусственные органеллы большего размера, содержащие PR и использующие накопленную энергию для белкового синтеза или полимеризации актина [18, 19].
Для достижения максимальной эффективности подобных систем большинство молекул светочувствительного белка должно быть ориентировано в одном направлении [20, 21]. Ориентация белков в мембране определяется различными факторами, прежде всего конфигурацией молекулы, размером частиц и свойствами входящих в ее состав липидов [20, 22, 23]. Например, BR преимущественно встраивается С-концом наружу, вследствие чего транспорт протонов осуществляется внутрь протеолипосом [24]. Для PR характерна обратная ориентация, поэтому в ответ на вспышку света происходит закисление среды [25]. В ряде случаев отдельные молекулы белка встраиваются в искусственный бислой в противоположных направлениях, в результате чего снижается эффективность транспорта и усложняется интерпретация полученных данных [21, 26].
Известно несколько подходов, обеспечивающих получение протеолипосом с одинаковой ориентацией молекул ретинального белка. Одним из первых было предложено разделение BR-содержащих протеолипосом с помощью гель-фильтрации [27]. Использование для формирования липосом липидов, содержащих заряженные группировки, позволяет регулировать встраивание в бислой белков, которые имеют различный заряд на N- и C-концах, включая PR [28]. Более универсальным представляется способ, основанный на увеличении размера одного из концов молекулы, например, за счет присоединения частиц никель-содержащей смолы к гексагистидиновой последовательности рекомбинантных белков [29]. Такой довесок препятствует проникновению соответствующего конца белка во внутреннюю полость липосом, что способствует единообразному встраиванию в липидный бислой. Аналогичный механизм обеспечивает однородную ориентацию природных мембранных белков, содержащих крупные растворимые домены [30]. Получение гибридов PR с различными растворимыми белками-партнерами способствовало его направленному встраиванию в протеолипосомы [31].
Объект наших исследований – ESR – ретинальный белок Exiguobacterium sibiricum, относящийся к семейству протеородопсинов [32–34]. От других представителей семейства ESR отличается наличием остатка лизина в положении, соответствующем донору протонов для основания Шиффа [35, 36]. Для изучения его транспортной активности в составе протеолипосом нами было получено несколько вариантов гибридных белков, содержащих ESR и различные растворимые домены. Установлено, что N-концевой гибрид Caf-ESR обеспечивает эффективное встраивание молекул белка в бислой в одном направлении, в то время как C-концевые гибриды склонны к разнонаправленному встраиванию, что приводит к уменьшению наблюдаемого переноса зарядов [37]. Цель данной работы – конструирование и экспрессия генов различных N-концевых гибридов для повышения уровня синтеза ESR в Escherichia coli и направленного включения белка в протеолипосомы.
РЕЗУЛЬТАТЫ И ОБСУЖДЕНИЕ
Конструирование и экспрессия гибридных генов. Для получения гибридных полипептидов, включающих ESR и N-концевые растворимые домены, мы провели клонирование генов нескольких белков-партнеров, ранее использованных для повышения уровня продукции и растворимости мембранных белков в клетках бактерий и бесклеточных системах экспрессии. Известно большое число работ, в которых с этой целью применяли тиоредоксин и мальтозосвязывающий белок (MBP) E. coli, а также белок Mistic Bacillus subtilis [38–41]. В частности, MBP обладает способностью не только существенно повышать выход рекомбинантных белков, но и облегчает их сворачивание [42, 43]. Описано успешное получение гибридных белков, включающих MBP и рецепторы, сопряженные с G-белком [44, 45], а также бактериородопсин [40]. В некоторых работах были использованы конструкции, кодирующие зрелый MBP [40, 46], в других – кодирующие белок-предшественник, содержащий природный сигнальный пептид [44, 45].
Флуоресцентный белок mCherry на N-конце гибридного белка обеспечивал направленное встраивание PR в протеолипосомы [31]. Ранее нами было показано, что гибридный белок, содержащий периплазматический шаперон Yersinia pestis Caf1M, эффективно экспрессируется в клетках бактерий и способствует единообразному встраиванию ESR в искусственный липидный бислой [37]. Таким образом, использованный нами набор включал пять белков-партнеров (рис. 1), причем три из них содержали сигнальные последовательности, обеспечивающие секрецию в периплазму. Соответствующие гены были объединены с последовательностью, кодирующей ESR, в составе единой рамки считывания. Для независимого фолдинга между доменами был размещен гибкий пептидный линкер, включающий 10 а.о. (GGGGSGGGGS). Схема клонирования обеспечивала добавление к С-концевой части гибридных белков гексагистидиновой последовательности для их очистки с помощью никель-аффинной хроматографии.
Рис. 1. Схемы строения гибридных белков. SP – сигнальная последовательность. Темно-серым цветом обозначен глицин-сериновый линкер, черным – гексагистидиновая последовательность.
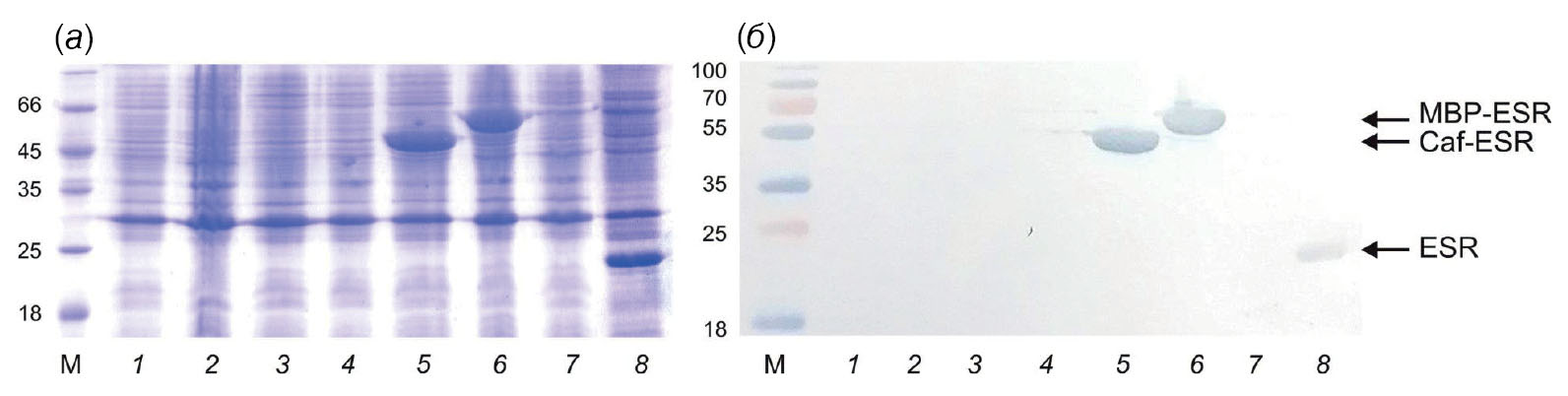
Экспрессию полученных гибридных генов проводили в одинаковых условиях, индукцию транскрипции осуществляли добавлением ИПТГ. В результате выделения и анализа мембранной фракции культур клеток, продуцирующих соответствующие полипептиды, был обнаружен эффективный синтез двух гибридных белков – Caf-ESR, который содержал Caf1M в качестве N-концевого домена, и MBP-ESR, экспрессируемых в виде предшественников с собственными сигнальными последовательностями (рис. 2, дорожки 5, 6).
Рис. 2. Экспрессия гибридных белков, содержащих ESR, в клетках E. coli. Белковый электрофорез в 13%-ном SDS-ПААГ (а) и вестерн-блот-анализ (б) с анти-His-конъюгатом образцов мембранной фракции клеток E. coli С43(DE3), экспрессирующих гибридные белки (дорожки 1–7) и ESR дикого типа (дорожка 8). Номера дорожек 1–7 соответствуют нумерации конструкций на рис. 1. М – маркеры молекулярного веса белков (кДа).
Локализация в мембране, а также обнаружение единственной формы белков с помощью электрофореза и вестерн-блоттинга позволяют предположить, что в процессе секреции происходит отщепление сигнальных последовательностей у предшественников Caf-ESR и MBP-ESR, в результате чего их N-концевые растворимые домены располагаются в периплазматическом пространстве. Следует отметить, что экспрессия гибридного белка MBP-ESR, лишенного сигнальной последовательности, в данных условиях не была обнаружена. Также не удалось детектировать экспрессию N-концевых гибридов с mCherry (включая вариант с сигнальной последовательностью PelB), тиоредоксином и белком Mistic.
Ранее мы показали, что гибридные белки, содержащие mCherry или тиоредоксин на С-конце ESR, успешно экспрессируются в клетках бактерий [37]. Такое расположение растворимых белков-партнеров совместимо со свойственной ESR и другим микробным родопсинам ориентацией в мембране (N-конец в периплазматическом пространстве, C-конец в цитоплазме). Можно предположить, что N-концевые гибриды ESR с секретируемыми белками Caf1M и MBP ориентированы таким же образом. Расположение mCherry, зрелого MBP или тиоредоксина на N-конце ESR детерминирует противоположную ориентацию ретинального белка в клеточной мембране (N-конец в цитоплазме), что, вероятно, нарушает процесс его фолдинга. Известно, что накопление неправильно свернутых мембранных белков инициирует в клетках развитие стрессового ответа, который в числе прочих механизмов включает повышенный синтез протеолитических ферментов [47–49], что, вероятно, объясняет отсутствие экспрессии соответствующих гибридов.
Свойства гибридного белка MBP-ESR в составе мицелл. Характеристика гибридного белка Caf-ESR была проведена нами ранее [37]. Для оценки влияния N-концевого домена MBPESR на свойства входящего в его состав ретинального белка он был выделен из мембранной фракции клеток штамма-продуцента в результате солюбилизации в n-додецил-β-D-мальтопиранозиде (DDM) и последующей никель-аффинной хроматографии. Необходимо отметить, что эффективность солюбилизации данного гибрида оказалась существенно выше, чем у Caf-ESR (~80% против 25%), что можно объяснить его более высокой растворимостью благодаря использованию MBP в качестве белка-партнера. Значения максимума поглощения для MBP-ESR составили 525 нм при рН 7 и 523 нм при рН 9, что соответствует небольшому “синему” сдвигу по сравнению с диким типом ESR (528 нм при рН 7).
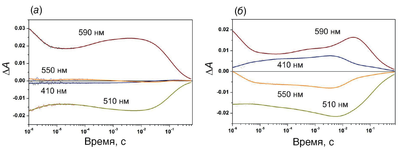
Кинетику светоиндуцированных изменений поглощения MBP-ESR при четырех длинах волн измеряли при двух значениях рН, при этом, как и в случае дикого типа ESR [50], было обнаружено отсутствие интермедиата М (депротонированного основания Шиффа) при рН 7 (рис. 3а). Интермедиаты с максимумом поглощения 590 нм доминируют на протяжении всего фотоцикла. В течение первых 10 мкс после вспышки первый из них частично распадается с появлением других длинноволновых интермедиатов, распад которых с τ ~ 84 мс завершает фотоцикл (рис. 3а).
Рис. 3. Фотоцикл MBP-ESR в мицеллах DDM при рН 7 (а) и рН 9 (б).
При рН 9 в результате распада интермедиатов K и L, сопровождающегося снижением поглощения при 550 и 590 нм, наблюдается рост поглощения при 410 нм (образование интермедиата М) с характерными временными константами τ ~ 8 и 220 мкс, 2.7 мс. Распад М включает два компонента (11.5 и 386 мс) и приводит к возникновению интермедиата N2/O в результате первой компоненты распада М. Распад интермедиата N2/O c τ ~ 85 и 386 мс завершает фотоцикл и возвращает белок в исходное состояние (рис. 3б). В целом константы указанных преобразований близки к константам, характерным для ESR дикого типа и гибрида CafESR ([37], табл. 1), что указывает на сходные функциональные свойства белков. Небольшое замедление процессов, связанных с медленными стадиями образования и распада интермедиата М (увеличение характерных времен τ2, τ6) может быть обусловлено влиянием крупного растворимого белка-партнера.
Таблица 1. Константы фотоцикла (мс) ESR дикого типа и гибридных белков MBP-ESR и Caf-ESR в мицеллах DDM при рН 9.0
Белок | τ1 | τ2 | τ3 | τ4 | τ5 | τ6 |
Wt esr* | 0.0044 ± 0.0002 | 0.130 ± 0.008 | 2.24 ± 0.13 | 12.10 ± 0.38 | 82.6 ± 3.6 | 310 ± 14 |
Mbp-esr | 0.0080 ± 0.0006 | 0.220 ± 0.018 | 2.70 ± 0.18 | 11.50 ± 0.52 | 85.2 ± 4.5 | 386 ± 22 |
Caf-esr* | 0.0040 ± 0.0003 | 0.080 ± 0.010 | 2.23 ± 0.11 | 14.20 ± 0.66 | 60.0 ± 3.9 | 322 ± 29 |
* Использованы данные из статьи Petrovskaya et al. [37].
Свойства гибридного белка MBP-ESR в составе протеолипосом. Для изучения ориентации гибридного белка MBP-ESR мы получили протеолипосомы на основе азолектина, содержащие данный гибрид, и исследовали их фотоэлектрический ответ и фотоцикл при различных значениях рН. Метод прямой электрометрии основывается на слиянии протеолипосом, содержащих транспортный белок, в данном случае ESR, с искусственной макроскопической мембраной (коллодиевая пленка, пропитанная раствором фосфолипидов в н-декане). В результате переноса протонов под действием света происходит генерация разности потенциалов между ячейками по обе стороны мембраны. Анализ полученных кинетических кривых наряду с результатами изучения фотоцикла позволяет сделать выводы о механизме транспорта протонов через мембрану и об ориентации белка в мембране протеолипосом [51, 52].
Ранее нами было показано, что фотоэлектрический ответ ESR включает микро- и миллисекундные фазы, в основном соответствующие депротонированию основания Шиффа, переносу протона на акцептор Asp85 и его репротонированию от донора Lys96 и высвобождению протона на внеклеточной стороне мембраны [34, 51, 53]. Фотоэлектрический ответ гибридных белков, содержащих ESR на N-конце (ESR-Cherry и ESRTrx), сопровождается существенным уменьшением общей амплитуды ответа, в особенности, электрогенных стадий в миллисекундном временном диапазоне [37] (рис. 4). Полученные данные свидетельствуют о значительной доле неправильно ориентированных молекул ретинального белка в мембране протеолипосом. Напротив, гибридные белки Caf-ESR [37] и MBP-ESR продемонстрировали фотоэлектрический ответ, сопоставимый по амплитуде с ответом ESR дикого типа (рис. 4), что указывает на их гомогенную ориентацию в протеолипосомах. Характерная особенность гибридов Caf-ESR и MBP-ESR – более медленная кинетика микросекундных электрогенных стадий, связанных с образованием интермедиата М. Кроме того, фотоэлектрический ответ MBP-ESR обнаруживает ускоренный спад потенциала в миллисекундной области, предположительно связанный с влиянием крупного растворимого домена. Эти особенности электрогенных реакций гибридного белка требуют более детального кинетического анализа, который будет проведен в последующей работе.
Рис. 4. Кинетика образования трансмембранной разницы потенциалов (ΔΨ) протеолипосомами, содержащими ESR дикого типа и гибридные белки, при рН 7.5. Стрелкой отмечен момент лазерной вспышки. Данные для ESR, Caf-ESR, ESR-Cherry и ESR-Trx взяты из статьи Petrovskaya et al. [37].
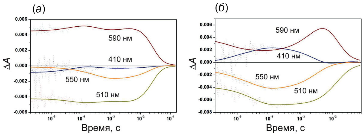
В кинетике светоиндуцированных изменений поглощения гибридного белка MBP-ESR в составе протеолипосом при рН 7.5 образование интермедиата М (увеличение поглощения при 410 нм) не наблюдается (рис. 5а), что также было характерно для других гибридных белков, включающих ESR [37]. При рН 8.5 в течение первых 10 мкс обнаруживается снижение поглощения при 590 нм, что соответствует распаду интермедиатов K и L (рис. 5б). После этого детектируется накопление состояния М (τ ~ 5 и 32 мкс), которое переходит в интермедиат N2/O с характерным временем 2.6 мс. Его распад и возвращение в исходное состояние ESR происходит с константами ~12 и 58 мс. Следует отметить, что протеолипосомы, содержащие ESR дикого типа, демонстрируют выраженное образование интермедиата М при рН 7.5 [50]. Его видимое отсутствие в фотоцикле протеолипосом, содержащих гибридные белки, может быть связано с влиянием растворимых доменов на физико-химические свойства мембранного окружения и, следовательно, на pKa образования интермедиата М в этих белках [37].
Рис. 5. Кинетика светоиндуцированных изменений поглощения при характерных длинах волн протеолипосомами, содержащими MBP-ESR, при рН 7.5 (а) и 8.5 (б).
ЭКСПЕРИМЕНТАЛЬНАЯ ЧАСТЬ
В работе использовали реактивы фирм Merck (США), Panreac (Испания), Sigma (США), нитроцеллюлозную мембрану (Bio-Rad, США), компоненты сред для культивирования бактерий (Amresco, США), наборы для выделения ДНК (Thermo Fisher Scientific, США), органические растворители производства Химмед (Россия). Растворы готовили на деионизированной воде Milli-Q.
Клонирование рекомбинантных ДНК осуществляли стандартными методами в клетках E. coli XL1-Blue (Stratagene, США). Использовали ферменты производства Thermo Fisher Scientific (США). Олигонуклеотиды синтезированы фирмой Евроген (Россия).
Конструирование гибридных генов. Конструирование генов секретируемых гибридных белков mCherry-ESR (с сигнальной последовательностью PelB) и Caf-ESR (с собственной сигнальной последовательностью) подробно описано ранее [37]. Для получения гибридного гена mCherry-ESR, не содержащего сигнальной последовательности, ген ESR амплифицировали из плазмиды pET-ESR [32] с использованием праймеров Bam_ESR и ESR_Xho (табл. 2) и после обработки рестриктазами BamHI и XhoI клонировали в плазмиду pChFn3 [54], обработанную этими же рестриктазами. Плазмиду, кодирующую гибридный белок Trx-ESR, получали клонированием этого же ПЦР-фрагмента в вектор pET32 (Novagen, США). Для объединения с геном Mistic фрагмент плазмиды pET-ESR, полученный обработкой рестриктазами NdeI и XhoI, клонировали в плазмиду pMT32H10 [38]. Ген MBP (с сигнальной последовательностью и без) амплифицировали из клеток E. coli штамма XL1-Blue с использованием праймеров Nde_MBP или Nde_MBP2 соответственно и MBP_Bam (табл. 2), обрабатывали рестриктазами NdeI и BamHI и клонировали в вектор, полученный обработкой ДНК pCaf-ESR [37] этими же рестриктазами. Последовательность вставки в полученных плазмидах подтверждали секвенированием с использованием стандартных праймеров Т7prom и T7term (Евроген, Россия).
Таблица 2. Нуклеотидные последовательности праймеров
Название праймера | Последовательность (5'–3') |
Bam_ESR | ATAAGGATCCGGTGGAGGTGGCTCTGAAGAAGTCAATTTACTCGTTC |
ESR_Xho | ACATCTCGAGGGACGTCAGCGTTTTTCCTT |
Nde_MBP | ATTATCATATGAAAATAAAAACAGGTGCACG |
Nde_MBP2 | ATTATCATATGAAAATCGAAGAAGGTAAACTGG |
MBP_Bam | ATTATGGATCCGCCTCCACCCTTGGTGATACGAGTCTGCG |
Примечание: подчеркнуты сайты узнавания эндонуклеаз рестрикции.
Выделение мембранной фракции. Культуру штамма E. coli С43(DE3), трансформированную одной из полученных плазмид, выращивали в среде LB с ампициллином (100 мкг/мл) при 37°С до значения OD560 0.5–0.7, индуцировали добавлением 0.2 мМ изопропил-β-D-тиогалактопиранозида (IPTG), после чего добавляли 7.5 мкМ all-trans-ретиналь (Sigma, США) и продолжали культивирование в течение 16 ч при 25°С. Клетки осаждали при 7000 g и 5°С в течение 10 мин, затем осадок ресуспендировали в буфере, содержащем 50 мМ Tris-HCl (pH 8.0), 5 мМ EDTA, 20% сахарозы, лизоцим (0.2 мг/мл), и разрушали ультразвуком. Суспензию центрифугировали 30 мин при 6000 g. Полученный супернатант центрифугировали 1 ч при 100 000 g, осадок мембранной фракции суспендировали в 50 мМ Tris-HCl, pH 8.0.
Вестерн-блот-анализ. Белки, разделенные гельэлектрофорезом в 13%-ном SDS-ПААГ по методу Лэммли, переносили на нитроцеллюлозную мембрану (Bio-Rad, США) с помощью прибора для полусухого переноса. После инкубации в растворе 1%-ного BSA в TBS (20 мМ Tris-HCl, 150 мМ NaCl, pH 8.0) в течение 1 ч при 37°C мембрану выдерживали 1 ч при комнатной температуре в растворе конъюгата моноклональных антител к His-тагу с пероксидазой (1 мкг/мл; Invitrogen, США) в 1%-ном BSA в TBS. После трехкратной промывки TBS с добавлением 0.1% Tween-20 проводили окрашивание мембраны с использованием преципитирующего 3,3',5,5'-тетраметилбензидина (Clinical Science Products, США).
Выделение гибридного белка MBP-ESR. Мембраны из клеток E. coli C43(DE3), экспрессирующих MBP-ESR, получали, как описано выше, и солюбилизировали добавлением 1% DDM (Anatrace, США). Рекомбинантные белки очищали на колонке с Ni-сефарозой, как описано ранее [32], затем тщательно отмывали с помощью центрифужных фильтрующих устройств Ultracel YM-30 (Merck Millipore, США) и переводили в комплексный буфер (по 5 мМ цитрата натрия, MES, MOPS и CHES, 100 мМ NaCl, рН 7.4), содержащий 0.05% DDM.
Исследование спектральных и фотоэлектрических характеристик MBP-ESR. Спектры поглощения регистрировали на спектрофотометре UV1700 (Shimadzu, Япония). Кинетику светоиндуцированных изменений поглощения измеряли, как описано ранее [35]. При 410 нм регистрировали изменения поглощения, вызванные образованием и распадом М-интермедиата; при 590 нм ‒ изменения поглощения вследствие образования и распада N- и O-интермедиатoв; при 550 нм ‒ вследствие возвращения в исходное состояние, а также образования и распада K-, M- и N-интермедиатов; при 510 нм – изменения, отражающие в основном превращения L-интермедиата. Для активации фотоцикла использовали вторую гармонику Nd-YAG-лазера (532 нм, 7 нс, 10 мДж).
Встраивание в протеолипосомы на основе азолектина, измерения фотоиндуцированных изменений поглощения в суспензии липосом и фотоэлектрические измерения прямым электрометрическим методом протеолипосом, адсорбированных на армированной коллодиевой пленкой макроскопической фосфолипидной мембране, проводили, как описано ранее [36, 53, 55]. Использовали сконструированную для измерений прямым электрометрическим методом установку с временным разрешением до 100 нс в сочетании с импульсным Nd-YAG-лазером (532 нм, 12 нс, 40 МДж). Кинетику образования ΔΨ на макроскопической мембране в ответ на лазерную вспышку, пропорционального генерируемого ESR ΔΨ на мембране протеолипосом, измеряли электродами Ag/AgCl, расположенными по разные стороны макроскопической мембраны.
Данные оптических измерений с временным разрешением были сведены к сумме отдельных компонент с использованием программного обеспечения Mathematica (Wolfram, США), Origin (OriginLab Corporation, США) и MATLAB (The Mathworks, США).
ЗАКЛЮЧЕНИЕ
Структурно-функциональные исследования мембранных белков требуют разработки эффективных методов их продукции в гетерологичных системах, позволяющих нарабатывать миллиграммовые количества препаратов в правильно свернутом, функционально активном состоянии. Конструирование гибридных белков способствует успешному решению этих задач, а также обеспечивает условия для гомогенного встраивания в мембрану, что может иметь решающее значение для корректной оценки функциональной активности целевых биомолекул.
В результате анализа экспрессии полученных в данной работе гибридных белковых конструкций, содержащих протеородопсин ESR и различные белки-партнеры, установлено, что высокий уровень синтеза в клетках бактерий достигается только при использовании в качестве N-концевых партнеров природных секретируемых белков, включающих собственный сигнальный пептид (Caf-ESR и MBP-ESR). Изучение свойств выделенных гибридных белков в составе мицелл и протеолипосом показало, что они демонстрируют спектрально-временные параметры фотоцикла и кинетику генерации мембранного потенциала, характерные в общих чертах для исходного белка ESR.
Полученные конструкции могут быть использованы для создания систем бактериальной экспрессии различных мембранных белков в составе гибридов, обеспечивающих их единообразное встраивание в протеолипосомы.
ФОНДОВАЯ ПОДДЕРЖКА
Работа выполнена при финансовой поддержке гранта Министерства науки и высшего образования Российской Федерации (соглашение № 075-15-2020-795, уникальный идентификатор проекта RF-190220X0027).
СОБЛЮДЕНИЕ ЭТИЧЕСКИХ СТАНДАРТОВ
Настоящая статья не содержит описания исследований с участием людей или использованием животных в качестве объектов исследования.
КОНФЛИКТ ИНТЕРЕСОВ
Авторы заявляют об отсутствии конфликта интересов.
Об авторах
Л. Е. Петровская
ФГБУН “Институт биоорганической химии им. академиков М.М. Шемякина и Ю.А. Овчинникова” РАН; Московский физико-технический институт
Автор, ответственный за переписку.
Email: lpetr65@yahoo.com
Россия, 117997 Москва, ул. Миклухо-Маклая, 16/10; 141701 Долгопрудный, Институтский пер., 9
Е. А. Крюкова
ФГБУН “Институт биоорганической химии им. академиков М.М. Шемякина и Ю.А. Овчинникова” РАН; Институт биохимической физики им. Н.М. Эмануэля РАН
Email: lpetr65@yahoo.com
Россия, 117997 Москва, ул. Миклухо-Маклая, 16/10; 119334 Москва, ул. Косыгина, 4
В. А. Большаков
Московский государственный университет им. М.В. Ломоносова
Email: lpetr65@yahoo.com
биологический факультет
Россия, 119991 Москва, Ленинские горы, 1/11Е. П. Лукашев
Московский государственный университет им. М.В. Ломоносова
Email: lpetr65@yahoo.com
биологический факультет
Россия, 119991 Москва, Ленинские горы, 1/11С. А. Силецкий
Московский государственный университет им. М.В. Ломоносова
Email: lpetr65@yahoo.com
Научно-исследовательский институт физико-химической биологии им. А.Н. Белозерского
Россия, 119992 Москва, Ленинские горы, 1/40М. Д. Мамедов
Московский государственный университет им. М.В. Ломоносова
Email: lpetr65@yahoo.com
Научно-исследовательский институт физико-химической биологии им. А.Н. Белозерского
Россия, 119992 Москва, Ленинские горы, 1/40Р. В. Судаков
Московский государственный университет им. М.В. Ломоносова
Email: lpetr65@yahoo.com
Научно-исследовательский институт физико-химической биологии им. А.Н. Белозерского
Россия, 119992 Москва, Ленинские горы, 1/40Д. А. Долгих
ФГБУН “Институт биоорганической химии им. академиков М.М. Шемякина и Ю.А. Овчинникова” РАН; Институт биохимической физики им. Н.М. Эмануэля РАН; Московский государственный университет им. М.В. Ломоносова
Email: lpetr65@yahoo.com
Московский государственный университет им. М.В. Ломоносова, биологический факультет
Россия, 117997 Москва, ул. Миклухо-Маклая, 16/10; 119334 Москва, ул. Косыгина, 4; 119991 Москва, Ленинские горы, 1/11М. П. Кирпичников
ФГБУН “Институт биоорганической химии им. академиков М.М. Шемякина и Ю.А. Овчинникова” РАН; Московский государственный университет им. М.В. Ломоносова
Email: lpetr65@yahoo.com
Московский государственный университет им. М.В. Ломоносова, биологический факультет
Россия, 117997 Москва, ул. Миклухо-Маклая, 16/10; 119991 Москва, Ленинские горы, 1/11Список литературы
- Govorunova E.G., Sineshchekov O.A., Li H., Spudich J.L. // Annu. Rev. Biochem. 2017. V. 86. P. 845–872. https://doi.org/10.1146/annurev-biochem-101910144233
- Gushchin I., Gordeliy V. // In: Membrane Protein Complexes: Structure and Function. Subcellular Biochemistry. V. 87 / Eds. Harris J., Boekema E. Singapore: Springer Singapore, 2018. P. 19–56. https://doi.org/10.1007/978-981-10-7757-9_2
- Kandori H. // Biophys. Rev. 2020. V. 12. P. 355–361. https://doi.org/10.1007/s12551-020-00645-0
- Brown L.S. // Biochim. Biophys. Acta Biomembr. 2022. V. 1864. P. 183867. https://doi.org/10.1016/j.bbamem.2022.183867
- Lanyi J.K. // Biochim. Biophys. Acta. 2006. V. 1757. P. 1012–1018. https://doi.org/10.1016/j.bbabio.2005.11.003
- Oesterhelt D., Stoeckenius W. // Nature. 1971. V. 233. P. 149–152. https://doi.org/10.1038/newbio233149a0
- Lanyi J.K., Luecke H. // Curr. Opin. Str. Biol. 2001. V. 11. P. 415–419. https://doi.org/10.1016/S0959-440X(00)00226-8
- Ovchinnikov Y.A., Abdulaev N.G., Feigina M.Y., Kiselev A.V., Lobanov N.A. // FEBS Lett. 1979. V. 100. P. 219–224. https://doi.org/10.1016/0014-5793(79)80338-5
- Ovchinnikov Y.A. // Photochem. Photobiol. 1987. V. 45. P. 909–914. https://doi.org/10.1111/j.1751-1097.1987.tb07902.x
- Oesterhelt D., Stoeckenius W. // Proc. Natl. Acad. Sci. USA. 1973. V. 70. P. 2853–2857. https://doi.org/10.1073/pnas.70.10.2853
- Gómez-Consarnau L., Raven J.A., Levine N.M., Cutter L.S., Wang D., Seegers B., Arístegui J., Fuhrman J.A., Gasol J.M., Sañudo-Wilhelmy S.A. // Sci. Adv. 2019. V. 5. P. eaaw8855. https://doi.org/10.1126/sciadv.aaw8855
- DeLong E.F., Beja O. // PLoS Biol. 2010. V. 8. e1000359. https://doi.org/10.1371/journal.pbio.1000359
- Lyukmanova E., Shenkarev Z., Khabibullina N., Kopeina G., Shulepko M., Paramonov A., Mineev K., Tikhonov R., Shingarova L., Petrovskaya L., Dolgikh D., Arseniev A., Kirpichnikov M. // Biochim. Biophys. Acta. 2012. V. 1818. P. 349– 358. https://doi.org/10.1016/j.bbamem.2011.10.020
- Amati A.M., Graf S., Deutschmann S., Dolder N., von Ballmoos C. // Biochem. Soc. Trans. 2020. V. 48. P. 1473–1492. https://doi.org/10.1042/bst20190966
- Racker E., Stoeckenius W. // J. Biol. Chem. 1974. V. 249. P. 662–663. https://doi.org/10.1016/S0021-9258(19)43080-9
- Deisinger B., Nawroth T., Zwicker K., Matuschka S., John G., Zimmer G., Freisleben H.-J. // Eur. J. Biochem. 1993. V. 218. P. 377–383. https://doi.org/10.1111/j.1432-1033.1993.tb18387.x
- Pitard B., Richard P., Duñarach M., Girault G., Rigaiud J.-L. // Eur. J. Biochem. 1996. V. 235. P. 769–778. https://doi.org/10.1111/j.1432-1033.1996.00769.x
- Lee K.Y., Park S.-J., Lee K.A., Kim S.-H., Kim H., Meroz Y., Mahadevan L., Jung K.-H., Ahn T.K., Parker K.K. // Nat. Biotechnol. 2018. V. 36. P. 530–535. https://doi.org/10.1038/nbt.4140
- Choi H.-J., Montemagno C.D. // Nano Lett. 2005. V. 5. P. 2538–2542. https://doi.org/10.1021/nl051896e
- Rigaud J.-L., Pitard B., Levy D. // Biochim. Biophys. Acta. 1995. V. 1231. P. 223–246. https://doi.org/10.1016/0005-2728(95)00091-v
- Shen H. H., Lithgow T., Martin L. // Int. J. Mol. Sci. 2013. V. 14. P. 1589–1607. https://doi.org/10.3390/ijms14011589
- Bogdanov M., Dowhan W., Vitrac H. // Biochim. Biophys. Acta. 2014. V. 1843. P. 1475–1488. https://doi.org/10.1016/j.bbamcr.2013.12.007
- Cymer F., Von Heijne G., White S.H. // J. Mol. Biol. 2015. V. 427. P. 999–1022. https://doi.org/10.1016/j.jmb.2014.09.014
- Huang K.-S., Bayley H., Khorana H.G. // Proc. Nat. Acad. Sci. USA. 1980. V. 77. P. 323–327. https://doi.org/10.1073/pnas.77.1.323
- Dioumaev A.K., Wang J.M., Bálint Z., Váró G., Lanyi J.K. // Biochemistry. 2003. V. 42. P. 6582– 6587. https://doi.org/10.1021/bi034253r
- Seigneuret M., Rigaud J.-L. // FEBS Lett. 1985. V. 188. P. 101–106. https://doi.org/10.1016/0014-5793(85)80883-8
- Seigneuret M., Rigaud J.-L. // FEBS Lett. 1988. V. 228. P. 79–84. https://doi.org/10.1016/0014-5793(88)80589-1
- Tunuguntla R., Bangar M., Kim K., Stroeve P., Ajo-Franklin C.M., Noy A. // Biophys. J. 2013. V. 105. P. 1388–1396. https://doi.org/10.1016/j.bpj.2013.07.043
- Pfleger N., Wörner A.C., Yang J., Shastri S., Hellmich U.A., Aslimovska L., Maier M.S., Glaubitz C. // Biochim. Biophys. Acta. 2009. V. 1787. P. 697–705. https://doi.org/10.1016/j.bbabio.2009.02.022
- Lee H., Kim H. // Biochem. Biophys. Res. Commun. 2014. V. 453. P. 268–276. https://doi.org/10.1016/j.bbrc.2014.05.111
- Ritzmann N., Thoma J., Hirschi S., Kalbermatter D., Fotiadis D., Muller D.J. // Biophys. J. 2017. V. 113. P. 1181–1186. https://doi.org/10.1016/j.bpj.2017.06.022
- Petrovskaya L.E., Lukashev E.P., Chupin V.V., Sychev S.V., Lyukmanova E.N., Kryukova E.A., Ziganshin R.H., Spirina E.V., Rivkina E.M., Khatypov R.A., Erokhina L.G., Gilichinsky D.A., Shuvalov V.A., Kirpichnikov M.P. // FEBS Lett. 2010. V. 584. P. 4193–4196. https://doi.org/10.1016/j.febslet.2010.09.005
- Петровская Л.Е., Балашов С.П., Лукашев Е.П., Имашева Э.С., Гущин И.Ю., Дюмаев А.К., Рубин А.Б., Долгих Д.А., Горделий В.И., Лани Я.К., Кирпичников М.П. // Биохимия. 2015. Т. 80. С. 814–828. [Petrovskaya L., Balashov S., Lukashev E., Imasheva E., Gushchin I.Y., Dioumaev A., Rubin A., Dolgikh D., Gordeliy V., Lanyi J., Kirpichnikov M. // Biochemistry (Moscow). 2015. V. 80. P. 688–700]. https://doi.org/10.1134/S000629791506005X
- Петровская Л.Е., Силецкий С.А., Лукашев Е.П., Балашов С.П., Долгих Д.А., Кирпичников М.П. // Биохимия. 2023. Т. 88. С. 1867–1879. [Petrovskaya L.E., Siletsky S.A., Mamedov M.D., Lukashev E.P., Balashov S.P., Dolgikh D.A., Kirpichnikov M.P. // Biochemistry (Moscow). 2023. V. 88. P. 1544–1554]. https://doi.org/10.1134/s0006297923100103
- Balashov S.P., Petrovskaya L.E., Imasheva E.S., Lukashev E.P., Dioumaev A.K., Wang J.M., Sychev S.V., Dolgikh D.A., Rubin A.B., Kirpichnikov M.P., Lanyi J.K. // J. Biol. Chem. 2013. V. 288. P. 21254–21265. https://doi.org/10.1074/jbc.M113.465138
- Siletsky S.A., Mamedov M.D., Lukashev E.P., Balashov S.P., Dolgikh D.A., Rubin A.B., Kirpichnikov M.P., Petrovskaya L.E. // Biochim. Biophys. Acta Bioenerg. 2019. V. 1860. P. 1–11. https://doi.org/10.1016/j.bbabio.2018.09.365
- Petrovskaya L.E., Lukashev E.P., Mamedov M.D., Kryukova E.A., Balashov S.P., Dolgikh D.A., Rubin A.B., Kirpichnikov M.P., Siletsky S.A. // Int. J. Mol. Sci. 2023. V. 24. P. 7369. https://doi.org/10.3390/ijms24087369
- Петровская Л.Е., Шульга А.А., Бочарова О.В., Ермолюк Я.С., Крюкова Е.А., Чупин В.В., Бломмерс М.Ж.Ж., Арсеньев А.С., Кирпичников М.П. // Биохимия. 2010. Т. 75. C. 1001–1013. [Petrovskaya L., Shulga A., Bocharova O., Ermolyuk Y.S., Kryukova E., Chupin V., Blommers M., Arseniev A., Kirpichnikov M. // Biochemistry (Moscow). 2010. V. 75. P. 881–891]. https://doi.org/10.1134/S0006297910070102
- Ishihara G., Goto M., Saeki M., Ito K., Hori T., Kigawa T., Shirouzu M., Yokoyama S. // Prot. Expr. Purif. 2005. V. 41. P. 27–37. https://doi.org/10.1016/j.pep.2005.01.013
- Chen G.Q., Gouaux J.E. // Prot. Sci. 1996. V. 5. P. 456–467. https://doi.org/10.1002/pro.5560050307
- Lyukmanova E., Shenkarev Z., Khabibullina N., Kulbatskiy D., Shulepko M., Petrovskaya L., Arseniev A., Dolgikh D., Kirpichnikov M. // Aсt. Nat. 2012. V. 4. P. 58–64. https://doi.org/10.32607/20758251-2012-4-4-58-64
- Raran-Kurussi S., Waugh D.S. // PLoS One. 2012. V. 7. e49589. https://doi.org/10.1371/journal.pone.0049589
- Kapust R.B., Waugh D.S. // Prot. Sci. 1999. V. 8. P. 1668–1674. https://doi.org/10.1110/ps.8.8.1668
- Yeliseev A., Zoubak L., Gawrisch K. // Prot. Expr. Purif. 2007. V. 53. P. 153–163. https://doi.org/10.1016/j.pep.2006.12.003
- Weiß H.M., Grisshammer R. // Eur. J. Biochem. 2002. V. 269. P. 82–92. https://doi.org/10.1046/j.0014-2956.2002.02618.x
- Hu J., Qin H., Gao F.P., Cross T.A. // Prot. Expr. Purif. 2011. V. 80. P. 34–40. https://doi.org/10.1016/j.pep.2011.06.001
- Gubellini F., Verdon G., Karpowich N.K., Luff J.D., Boel G., Gauthier N., Handelman S.K., Ades S.E., Hunt J.F. // Mol. Cell. Proteom. 2011. V. 10. P. 930. https://doi.org/10.1074/mcp.M111.007930
- Xu L.Y., Link A.J. // Biotechnol. Lett. 2009. V. 31. P. 1775–1782. https://doi.org/10.1007/s10529-009-0075-5
- Petrovskaya L.E., Ziganshin R.H., Kryukova E.A., Zlobinov A.V., Gapizov S.S., Shingarova L.N., Mironov V.A., Lomakina G.Y., Dolgikh D.A., Kirpichnikov M.P. // Appl. Biochem. Biotechnol. 2021. V. 193. P. 3672–3703. https://doi.org/10.1007/s12010-021-03634-5
- Balashov S.P., Petrovskaya L.E., Lukashev E.P., Imasheva E.S., Dioumaev A.K., Wang J.M., Sychev S.V., Dolgikh D.A., Rubin A.B., Kirpichnikov M.P., Lanyi J.K. // Biochemistry. 2012. V. 51. P. 5748–5762. https://doi.org/10.1021/bi300409m
- Siletsky S.A., Mamedov M.D., Lukashev E.P., Balashov S.P., Petrovskaya L.E. // Biophys. Rev. 2022. V. 14. P. 771–778. https://doi.org/10.1007/s12551-022-00986-y
- Drachev L.A., Jasaitis A.A., Kaulen A.D., Kondrashin A.A., Liberman E.A., Nemecek I.B., Ostroumov S.A., Semenov A.Y., Skulachev V.P. // Nature. 1974. V. 249. P. 321–324. https://doi.org/10.1038/249321a0
- Siletsky S.A., Mamedov M.D., Lukashev E.P., Balashov S.P., Dolgikh D.A., Rubin A.B., Kirpichnikov M.P., Petrovskaya L.E. // Biochim. Biophys. Acta. 2016. V. 1857. P. 1741–1750. https://doi.org/10.1016/j.bbabio.2016.08.004
- Petrovskaya L., Gapizov S. S., Shingarova L., Kryukova E., Boldyreva E., Yakimov S., Svirschevskaya E., Lukashev E., Dolgikh D., Kirpichnikov M. // Russ. J. Bioorg. Chem. 2014. V. 40. P. 375–382. https://doi.org/10.1134/S1068162014030121
- Siletsky S.A., Lukashev E.P., Mamedov M.D., Borisov V.B., Balashov S.P., Dolgikh D.A., Rubin A.B., Kirpichnikov M.P., Petrovskaya L.E. // Biochim. Biophys. Acta Bioenerg. 2021. V. 1862. P. 148328. https://doi.org/10.1016/j.bbabio.2020.148328
Дополнительные файлы







