Фибрино- и фибриногенолитическое действие внеклеточных протеиназ микромицетов Aspergillus alliaceus 7DN1 и A. terreus 2
- Авторы: Осмоловский А.А.1,2, Клягин С.Д.1, Вашкевич Т.В.2, Кураков А.В.1, Крейер В.Г.2
-
Учреждения:
- Биологический факультет, Московский государственный университет имени М.В. Ломоносова
- Биотехнологический факультет, Московский государственный университет имени М.В. Ломоносова
- Выпуск: Том 57, № 4 (2023)
- Страницы: 298-300
- Раздел: КРАТКИЕ СООБЩЕНИЯ
- URL: https://journals.rcsi.science/0026-3648/article/view/138097
- DOI: https://doi.org/10.31857/S0026364823040086
- EDN: https://elibrary.ru/VVADYR
- ID: 138097
Цитировать
Полный текст
Аннотация
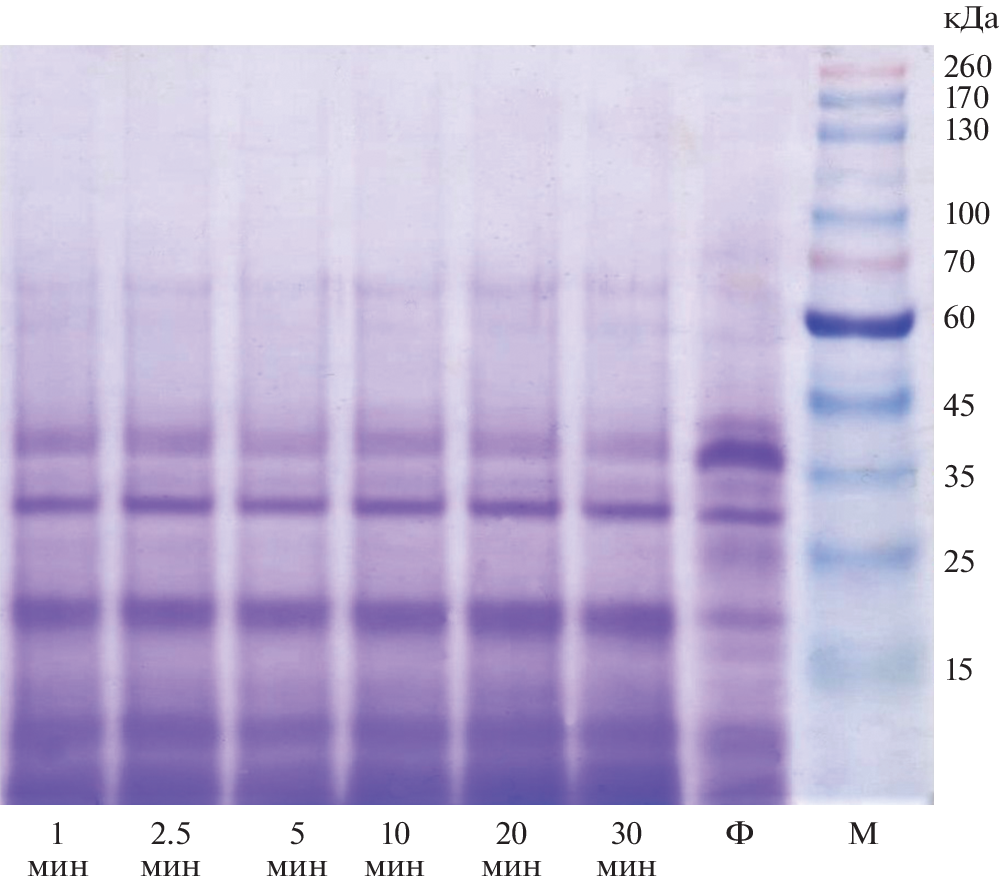
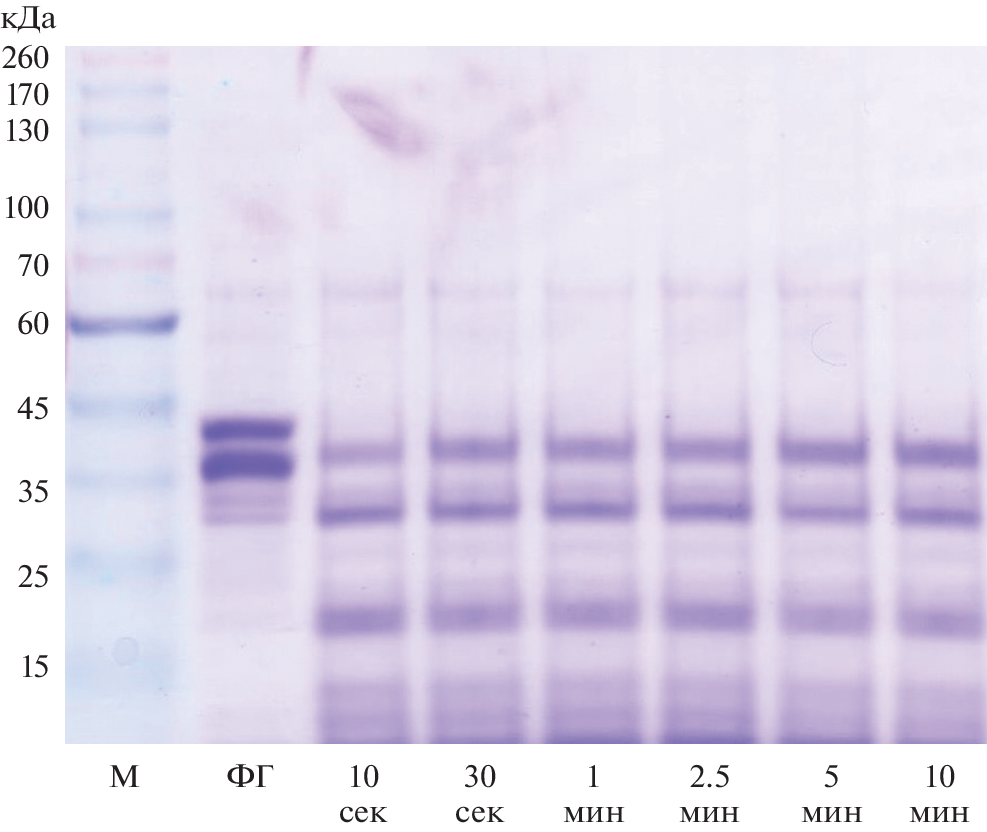
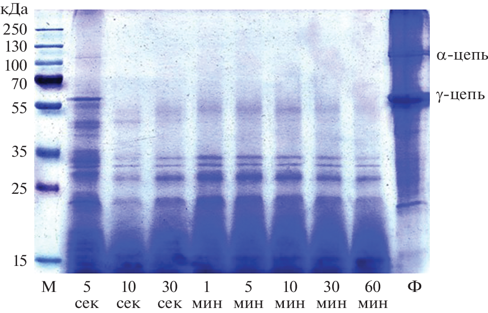
Проведено протеолитическое расщепление фибрина и фибриногена под действием протеиназ микромицетов Aspergillus alliaceus 7dN1 и A. terreus 2. Показано, что оба фермента обладают сильной α-фибриногеназной и умеренной β-фибриногеназной активностью, практически не оказывая воздействия на γ-цепи этих молекул. Продуктами расщепления в интервале времени до 60 мин являются полипептиды с молекулярной массой 15 кДа и менее.
Об авторах
А. А. Осмоловский
Биологический факультет, Московский государственный университет имени М.В. Ломоносова; Биотехнологический факультет, Московский государственный университет имени М.В. Ломоносова
Автор, ответственный за переписку.
Email: aosmol@mail.ru
Россия,
119234, Москва; Россия,
119234, Москва
С. Д. Клягин
Биологический факультет, Московский государственный университет имени М.В. Ломоносова
Автор, ответственный за переписку.
Email: sergey_klyagin@mail.ru
Россия,
119234, Москва
Т. В. Вашкевич
Биотехнологический факультет, Московский государственный университет имени М.В. Ломоносова
Автор, ответственный за переписку.
Email: 12878853t@gmail.com
Россия,
119234, Москва
А. В. Кураков
Биологический факультет, Московский государственный университет имени М.В. Ломоносова
Автор, ответственный за переписку.
Email: kurakov57@mail.ru
Россия,
119234, Москва
В. Г. Крейер
Биотехнологический факультет, Московский государственный университет имени М.В. Ломоносова
Автор, ответственный за переписку.
Email: vkreyer@yandex.ru
Россия,
119234, Москва
Список литературы
- Batomunkueva B.P., Egorov N.S. Preparations of extracellular proteinases from Aspergillus ochraceus 513 and Aspergillus alliaceus 7dN1. Mikrobiologiya. 2002. V. 71. № 1. P. 56–58.
- Lal V. Fibrinolytic drug therapy in the management of intravascular thrombosis, especially acute myocardial infarction. A review. Asian J. Pharm. Clin. Res. 2017. V. 2. A. 555593. https://doi.org/10.19080/JPCR.2017.02.555593
- Osmolovskiy A.A., Zvonareva E.S., Kreyer V.G. et al. Thrombolytic potential of the extracellular proteinase of micromycete Aspergillus terreus 2. Mikologiya i fitopatologiya. 2021. V. 55 (3). P. 225–228 (in Russ.). https://doi.org/10.31857/S0026364821030089
- Osmolovskiy A.A., Zvonareva E.S., Kreyer V.G. et al. The effect of micromycete extracellular proteases of Aspergillus genus on the proteins of haemostatic system. Russ. J. Bioorg. Chem. 2014. V. 40 (6). P. 634–639.
- Petraglia T., Latronico T., Liuzzi G.M. et al. Edible mushrooms as source of fibrin(ogen)olytic enzymes: Comparison between four cultivated species. Molecules. 2022. V. 27. A. 8145. https://doi.org/10.3390/molecules27238145
- Zvonareva E.S., Osmolovskiy A.A., Kreier V.G. et al. Production of proteinase with plasmin-like and prekallikrein activating activity by the micromycete Aspergillus terreus. Appl. Biochem. Microbiol. 2018. V. 54 (2). P. 206–210. https://doi.org/10.1134/S0003683818020151
- Осмоловский А.А., Звонарева Е.С., Крейер В.Г. и др. (Osmolovskiy et al.) Секреция протеиназ с фибринолитической активностью микромицетами рода Aspergillus // Вестник Моск. ун-та. Сер. 16. Биол. 2018. Т. 73 (1). С. 39–42.
- Осмоловский А.А., Звонарева Е.С., Крейер В.Г. и др. (Osmolovskiy et al.) Тромболитический потенциал внеклеточной протеиназы микромицета Aspergillus terreus 2 // Микология и фитопатология. 2021. Т. 55. № 3. С. 225–228.
Дополнительные файлы






