Molecular hydrogen reduces mean and systolic blood pressure in various forms of hypertension, as well as inflammatory processes in lung tissue, in Wistar rats
- Authors: Artemieva М.М.1, Kuropatkina Т.А.2,3, Shishkina V.V.4, Serebryanaya D.V.1,5, Adasheva D.А.1, Medvedev О.S.1,6, Medvedeva N.А.1
-
Affiliations:
- Lomonosov Moscow State University
- Plekhanov Russian University of Economics
- Peoples' Friendship University of Russia
- Voronezh State Medical University named after N.N. Burdenko
- Pirogov Russian National Research Medical University
- National Medical Research Centre of Cardiology
- Issue: Vol 110, No 10 (2024)
- Pages: 1666-1682
- Section: EXPERIMENTAL ARTICLES
- URL: https://journals.rcsi.science/0869-8139/article/view/274776
- DOI: https://doi.org/10.31857/S0869813924100073
- EDN: https://elibrary.ru/VRNEGA
- ID: 274776
Cite item
Abstract
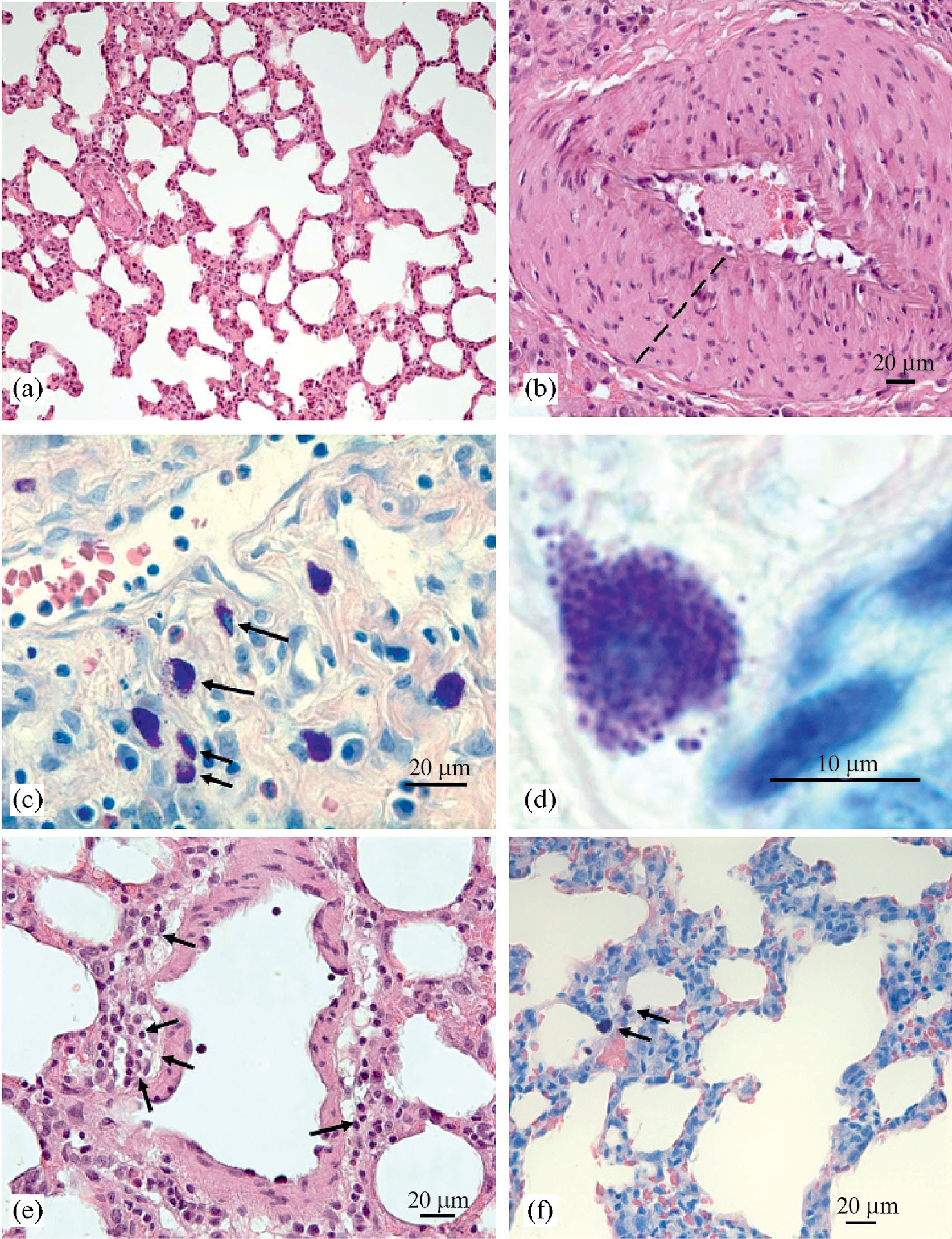
Molecular hydrogen demonstrates antioxidant and anti-inflammatory properties. It has been shown to have a protective effect in several cardiovascular diseases. The aim of this work was to study the effect of breathing atmospheric air containing 4% hydrogen on the degree of development of monocrotaline-induced pulmonary hypertension and associated lung tissue inflammation, as well as the severity of renovascular hypertension in Wistar rats. Methods. Monocrotaline-induced pulmonary hypertension (MCT-PH) was used as a model of small circle hypertension. Three groups of animals were used in the experiment: "Control" – animals injected with monocrotaline solvent, "MCT-Control" and "MCT-H2" – groups injected with MCT once. The "Control" and "MCT-Control" groups breathed atmospheric air for 21 days, and the "MCT-H2" group breathed air containing 4% hydrogen. Inhalations were kept constant until 21 days. On day 21, haemodynamic parameters were measured under urethane anesthesia and lung samples were fixed for subsequent morphological analysis. Renovascular hypertension 1R1С (RVH) was used as a model of systemic hypertension. There were two groups in the experiment: RVH-C – rats breathed atmospheric air and RVH-H2 rats breathed air containing 4% hydrogen. During the experiment, systolic blood pressure (SBP) was measured and renal excretory function was assessed. On day 28, haemodynamic parameters were measured under urethane anesthesia. Results. In the MCT model, hydrogen had no effect on the haemodynamic symptoms of MCT hypertension, but decreased mean blood pressure (MBP), SBP and the measured markers of connective tissue remodeling in the lungs, TGF-β and MMP-9, and resulted in decreased tryptase secretion and mast cell counts. In the RVG model, hydrogen breathing decreased MBP, SBP and had no effect on renal excretory function. Conclusion. Inhalation of 4% hydrogen reduces systemic MBP and SBP in both models of arterial hypertension, reduces the severity of the inflammatory process, regulates the phenotypic and functional status of mast cells and inhibits the activity of profibrotic factors in lung tissue in MCT-PH. It is likely that the central action of hydrogen is combined with its anti-inflammatory and anti-fibrotic effects.
Full Text
About the authors
М. М. Artemieva
Lomonosov Moscow State University
Author for correspondence.
Email: marinka.artemieva@gmail.com
Russian Federation, Moscow
Т. А. Kuropatkina
Plekhanov Russian University of Economics; Peoples' Friendship University of Russia
Email: marinka.artemieva@gmail.com
Russian Federation, Moscow; Moscow
V. V. Shishkina
Voronezh State Medical University named after N.N. Burdenko
Email: marinka.artemieva@gmail.com
Russian Federation, Voronezh
D. V. Serebryanaya
Lomonosov Moscow State University; Pirogov Russian National Research Medical University
Email: marinka.artemieva@gmail.com
Russian Federation, Moscow; Moscow
D. А. Adasheva
Lomonosov Moscow State University
Email: marinka.artemieva@gmail.com
Russian Federation, Moscow
О. S. Medvedev
Lomonosov Moscow State University; National Medical Research Centre of Cardiology
Email: marinka.artemieva@gmail.com
Russian Federation, Moscow; Moscow
N. А. Medvedeva
Lomonosov Moscow State University
Email: marinka.artemieva@gmail.com
Russian Federation, Moscow
References
- Ge L, Yang M, Yang NN, Yin XX, Song WG (2020) Molecular hydrogen: a preventive and therapeutic medical gas for various diseases. Oncotarget 8(60): 102653–102673. https://doi.org/10.18632/oncotarget.21130
- Ohsawa I, Ishikawa M, Takahashi K, Watanabe M, Nishimaki K, Yamagata K, Katsura K, Katayama Y, Asoh S, Ohta S (2007) Hydrogen acts as a therapeutic antioxidant by selectively reducing cytotoxic oxygen radicals. Nat Med 13(6): 688–694. https://doi.org/10.1038/nm1577 2007
- Ohta S (2011) Recent progress toward hydrogen medicine: potential of molecular hydrogen for preventive and therapeutic application. Current Pharmaceutical Design 17(22): 2241–2252. https://doi.org/10.2174/138161211797052664
- Ohta S (2014) Molecular hydrogen as a preventive and therapeutic medical gas: initiation, development and potential of hydrogen medicine. Pharmacol & Therap144(1): 1–11. https://doi.org/ 10.1016/j.pharmthera.2014.04.006
- Huang L (2016) Molecular hydrogen: a therapeutic antioxidant and beyond. Med Gas Res 6(4): 219–222. https://doi.org/10.4103/2045-9912.196904
- Atiakshin D, Kostin A, Volodkin A, Nazarova A, Shishkina V, Esaulenko D, Buchwalow I, Tiemann M, Noda M (2023) Mast Cells as a Potential Target of Molecular Hydrogen in Regulating the Local Tissue Microenvironment. Pharmaceuticals 16(6): 817. https://doi.org/10.3390/ph16060817
- Nicolson G, de Mattos G, Settineri R, Costa C, Ellithrope R, Rosenblatt S, La Valle J, Jimenez A, Ohta Sh (2016) Clinical effects of hydrogen administration: from animal and human diseases to exercise medicine. Int J Clin Med 7(1): 32–76. https://doi.org/ 10.4236/ijcm.2016.71005
- Nie C, Ding X, A R, Zheng M, Li Z, Pan S, Yang W (2021) Hydrogen gas inhalation alleviates myocardial ischemia-reperfusion injury by the inhibition of oxidative stress and NLRP3-mediated pyroptosis in rats. Life Sci 1(272): 119248. https://doi.org/10.1016/j.lfs.2021.119248
- Kimura A, Suehiro K, Mukai A, Fujimoto Y, Funao T, Yamada T, Mori T (2022) Protective effects of hydrogen gas against spinal cord ischemia-reperfusion injury. J Thorac Cardiovasc Surg 164(6): e269–e283. https://doi.org/10.1016/j.jtcvs.2021.04.077
- Nie C, Zou R, Pan S, Gao Y, Yang H, Bai J, Xi S, Wang X, Hong X, Yang W (2021) Hydrogen gas inhalation ameliorates cardiac remodelling and fibrosis by regulating NLRP3 inflammasome in myocardial infarction rats. J Cell Mol Med 25(18): 8997–9010. https://doi.org/10.1111/jcmm.16863
- Куропаткина Т, Гуфранов Х, Сычев Ф, Артемьева М, Бондаренко Г, Есауленко Д, Самойленко Т, Шишкина В, Медведева Н, Медведев О (2024) Влияние ингаляций водорода на сердечно-сосудистые и интерстициальные компоненты легочной гипертензии в экспериментах на крысах. Пульмонология 34 (1): 19–30. [Kuropatkina T, Gufranov Kh, Sychev F, Artemyeva M, Bondarenko G, Esaulenko D, Samoilenko T, Shishkina B, Medvedeva N, Medvedev O (2024) Vliyanie Effect of hydrogen inhalation on cardiovascular and interstitial components of pulmonary hypertension in rats. Pul’monologiya 34 (1): 19–30. (In Russ)]. https://doi.org/10.18093/0869-0189-2024-34-1-19-30
- Шишкина В, Антакова Л, Золотарева С, Атякшин Д (2022) Матриксные металлопротеиназы в ремоделировании внеклеточного матрикса: молекулярные, клеточные и тканевые аспекты. Журн анатом гистопатол 11(3): 93–108. [Shishkina V, Antakova L, Zolotareva S, Atiakshin D (2022) Matrix metalloproteinases in extracellular matrix remodeling: molecular, cellular and tissue aspects. J Anatom Histopathol 11 (3): 93–108. (In Russ)]. https://doi.org/10.18499/2225-7357-2022-11-3-93-108]
- Cole AR, Raza A, Ahmed H, Polizzotti BD, Padera RF, Andrews N, Kheir JN (2019) Safety of inhaled hydrogen gas in healthy mice. Med Gas Res 9(3): 133–138. https://doi.org/10.4103/2045-9912.266988
- Liu B, Jiang X, Xie Y, Jia X, Zhang J, Xue Y, Qin S (2022) The effect of a low dose hydrogen-oxygen mixture inhalation in midlife/older adults with hypertension: A randomized, placebo-controlled trial. Front Pharmacol 7(13): 1025487. https://doi.org/10.3389/fphar
- Poch D, Mandel J (2021) Pulmonary Hypertension. Ann Intern Med 174(4): ITC49–ITC64. https://doi.org/10.7326/AITC202104200
- Nogueira-Ferreira R, Vitorino R, Ferreira R, Henriques-Coelho T (2015) Exploring the monocrotaline animal model for the study of pulmonary arterial hypertension: A network approach. Pulmon Pharmacol Therap 35: 8–16. https://doi.org/10.1016/j.pupt.2015.09.007
- Textor SC, Lerman L (2010) Renovascular hypertension and ischemic nephropathy. Am J Hypertens 23(11): 1159–1169. https://doi.org/10.1038/ajh.2010.174
- Souza HCD, Martins-Pinge MC, Dias da Silva VJ, Borghi-Silva A, Gastaldi AC, Blanco JHD, Tezini GCSV (2008) Heart rate and arterial pressure variability in the experimental renovascular hypertension model in rats. Auton Neurosci 139: 38–45 https://doi.org/10.1016/j.autneu.2008.01.001
- Biasin V, Marsh LM, Egemnazarov B, Wilhelm J, Ghanim B, Klepetko W, Wygrecka M, Olschewski H, Eferl R, Olschewski A, Kwapiszewska G (2014) Meprin β, a novel mediator of vascular remodelling underlying pulmonary hypertension. J Pathol 233(1): 7–17. https://doi.org/10.1002/path.4303
- Zhang H, Huang W, Liu H, Zheng Y, Liao L (2020) Mechanical stretching of pulmonary vein stimulates matrix metalloproteinase-9 and transforming growth factor-β1 through stretch-activated channel/MAPK pathways in pulmonary hypertension due to left heart disease model rats. PLoS One 15(9): e0235824. https://doi.org/10.1371/journal.pone.0235824
- Xu L, Cai Z, Yang F, Chen M (2017) Activation-induced upregulation of MMP9 in mast cells is a positive feedback mediator for mast cell activation. Mol Med Rep 15(4): 1759–1764. https://doi.org/10.3892/mmr.2017.6215
- Waxman AB, Elia D, Adir Y, Humbert M, Harari S (2022) Recent advances in the management of pulmonary hypertension with interstitial lung disease. Eur Respir Rev 31: 210–220. https://doi.org/10.1183/ 16000617.0220-2021
- Zhang Z, Zhaj L, Zhou X, Meng X, Zhou X (2023) Role of inflammation, immunity and oxidative stress in hypertension: New insights and potential therapeutic targets. Front Immunol 13: 1098725. https://doi.org/10.3389/fimmu.2022.1098725
- Sugai K, Tamura T, Sano M, Uemura S, Fujisawa M, Katsumata Y, Endo J, Yoshizawa J, Homma K, Suzuki M, Kobayashi E, Sasaki J, Hakamata Y (2020) Daily inhalation of hydrogen gas has a blood pressure-lowering effect in a rat model of hypertension. Sci Rep 10(1): 20173. https://doi.org/10.1038/s41598-020-77349-8
- Walker SM, Bing RF, Swales JD, Thurston H (1986) Plasma noradrenaline in Goldblatt models of renovascular hypertension in the rat, before and after surgical reversal. Clin Sci (Lond) 71(2): 199–204. https://doi.org/10.1042/cs0710199
Supplementary files









