Desmin Degradation in the Skeletal Muscle of Patients with Chronic Critical Illness
- Authors: Tyganov S.A.1, Kondratiev A.N.2, Kondratieva E.A.2,3, Kondratiev S.A.4, Zabrodskaya Y.M.2, Belova S.P.1, Skiteva E.N.1,2, Turtikova O.V.1, Zaripova K.A.1, Shenkman B.S.1
-
Affiliations:
- Institute of Biomedical Problems, Russian Academy of Sciences
- Department of Anesthesiology and Intensive Care of the Russian National Institute of Chemistry
- Kirov Military Medical Academy
- AIMIS Healthcare Group, Сlinic Athonitissa
- Issue: Vol 109, No 12 (2023)
- Pages: 1952-1962
- Section: EXPERIMENTAL ARTICLES
- URL: https://journals.rcsi.science/0869-8139/article/view/233857
- DOI: https://doi.org/10.31857/S0869813923120129
- EDN: https://elibrary.ru/CHNTIY
- ID: 233857
Cite item
Full Text
Abstract
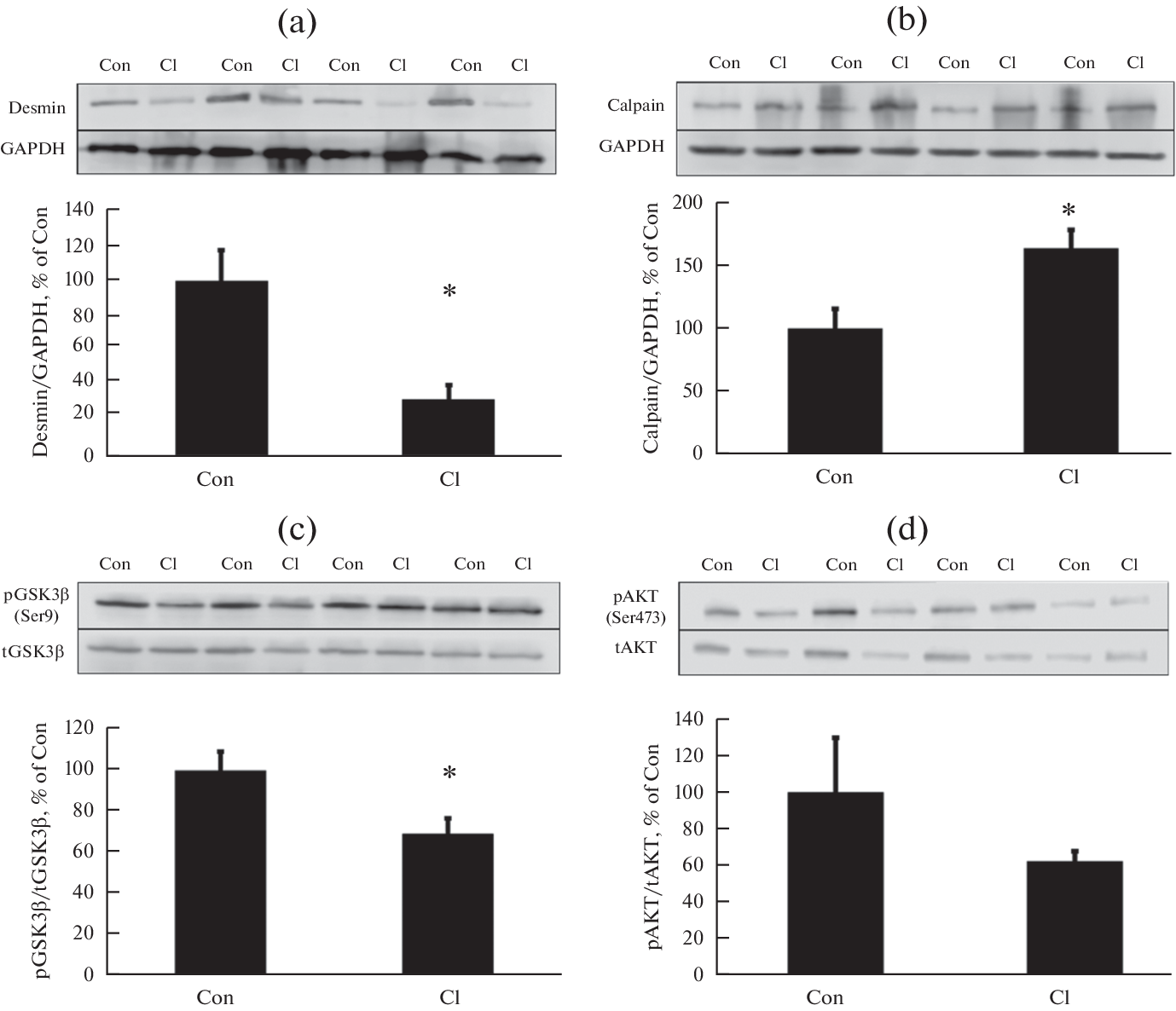
Chronically critically ill patients lose a significant amount of muscle mass during their stay in the intensive care unit, which can have long-term detrimental consequences. This, among other factors, leads to the degradation of the muscle cytoskeleton’s integrity, and at present there are no comprehensive studies that describe the mechanisms b-ehind the development of this process. The purpose of this study was to investigate the signaling processes that contribute to the degradation of desmin in patients with critical illness myopathy (CIM). Incisional muscle biopsies were taken from the soleus muscle from 6 patients undergoing treatment at the A.L. Polenov Russian Research Institute - branch of the Almazov National Medical Research Center, with chronic impairment of consciousness (lasting at least 2 months). Muscle biopsies taken from healthy men using a needle biopsy technique were used as controls. Biopsies were frozen in liquid nitrogen for subsequent Western blot and PCR analysis, as well as immunohistochemical studies. The analysis showed that fibers with an altered histological pattern of desmin were visually identified in 4 out of 6 patients studied. We also observed a significant decrease in desmin content by 69% and a 24% decrease in its mRNA content in patients with CIM. Desmin breakdown may be associated with increased calpain activity and activation of the ubiquitin-proteasome system. In this study, the content of calpain-1 increased under conditions of CIM at the protein level, but remained unchanged at the mRNA level. We observed changes in GSK3-β (Ser9) phosphorylation, which is a crucial step in the d-epolymerization of desmin filaments by calpain-1. A study on ubiquitin ligases revealed a significant 155% increase in the expression of Trim32, along with a decrease in the e-xpression of Atrogin1 and MuRF1. Thus, in this study, we observed a decrease in desmin content under conditions of CIM. The breakdown of desmin may be due to increased phosphorylation by GSK3β and subsequent cleavage by calpain-1. In addition, we observed an increase in the expression of the E3 ubiquitin ligase Trim32, the activity of which, according to literature, also increases after phosphorylation of desmin.
About the authors
S. A. Tyganov
Institute of Biomedical Problems, Russian Academy of Sciences
Author for correspondence.
Email: s.a.tyganov@gmail.com
Russia, Moscow
A. N. Kondratiev
Department of Anesthesiology and Intensive Care of the Russian National Institute of Chemistry
Email: s.a.tyganov@gmail.com
Russia, Saint Petersburg
E. A. Kondratieva
Department of Anesthesiology and Intensive Care of the Russian National Institute of Chemistry; Kirov Military Medical Academy
Email: s.a.tyganov@gmail.com
Russia, Saint Petersburg; Russia, Saint Petersburg
S. A. Kondratiev
AIMIS Healthcare Group, Сlinic Athonitissa
Email: s.a.tyganov@gmail.com
Cyprus, Limassol
Yu. M. Zabrodskaya
Department of Anesthesiology and Intensive Care of the Russian National Institute of Chemistry
Email: s.a.tyganov@gmail.com
Russia, Saint Petersburg
S. P. Belova
Institute of Biomedical Problems, Russian Academy of Sciences
Email: s.a.tyganov@gmail.com
Russia, Moscow
E. N. Skiteva
Institute of Biomedical Problems, Russian Academy of Sciences; Department of Anesthesiology and Intensive Care of the Russian National Institute of Chemistry
Email: s.a.tyganov@gmail.com
Russia, Moscow; Russia, Saint Petersburg
O. V. Turtikova
Institute of Biomedical Problems, Russian Academy of Sciences
Email: s.a.tyganov@gmail.com
Russia, Moscow
K. A. Zaripova
Institute of Biomedical Problems, Russian Academy of Sciences
Email: s.a.tyganov@gmail.com
Russia, Moscow
B. S. Shenkman
Institute of Biomedical Problems, Russian Academy of Sciences
Email: s.a.tyganov@gmail.com
Russia, Moscow
References
- Nelson JE, Cox CE, Hope AA, Carson SS (2010) Chronic critical illness. A J Respirat Crit Care Med 182(4): 446–454. https://doi.org/10.1164/rccm.201002-0210CI
- van Erp WS, Lavrijsen JC, Vos PE, Bor H, Laureys S, Koopmans RT (2015) The vegetative state: prevalence, misdiagnosis, and treatment limitations. J Am Med Dir Assoc 16(1): e85–e89. https://doi.org/10.1016/j.jamda.2014.10.014
- Parfenov AL, Razzhivin VP, Petrova MV (2022) Chronic Critical Illness: Current Aspects of the Problem (Review). Sovrem Tekhnol Med 14(3): 70–81. https://doi.org/10.17691/stm2022.14.3.08
- Llano-Diez M, Cheng AJ, Jonsson W, Ivarsson N, Westerblad H, Sun V, Cacciani N, Larsson L, Bruton J (2016) Impaired Ca(2+) release contributes to muscle weakness in a rat model of critical illness myopathy. Critic Care 20(1): 254. https://doi.org/10.1186/s13054-016-1417-z
- Bolton CF (2005) Neuromuscular manifestations of critical illness. Muscle & Nerve 32(2): 140–163. https://doi.org/10.1002/mus.20304
- Larsson L, Li X, Edstrom L, Eriksson LI, Zackrisson H, Argentini C, Schiaffino S (2000) Acute quadriplegia and loss of muscle myosin in patients treated with nondepolarizing neuromuscular blocking agents and corticosteroids: mechanisms at the cellular and molecular levels. Critic Care Med 28(1): 34–45. https://doi.org/10.1097/00003246-200001000-00006
- Latronico N, Tomelleri G, Filosto M (2012) Critical illness myopathy. Curr Opin Rheumatol 24(6): 616–622. https://doi.org/10.1097/BOR.0b013e3283588d2f
- Lacomis D, Zochodne DW, Bird SJ (2000) Critical illness myopathy. Muscle & Nerve 23(12): 1785–1788. https://doi.org/10.1002/1097-4598(200012)23:12<1785::aid-mus1>3.0.co;2-j
- Meznaric M, Angelini C (2016) Intensive Care Unit-Acquired Weakness. In: Angelini C (ed) Acquired Neuromuscular Disorders: Pathogenesis, Diagnosis and Treatment. Springer Int Publ. Cham. 163–175. https://doi.org/10.1007/978-3-319-29514-5_13
- Addinsall AB, Cacciani N, Akkad H, Salah H, Tchkonia T, Kirkland JL, Larsson L (2021) JAK/STAT inhibition augments soleus muscle function in a rat model of critical illness myopathy via regulation of complement C3/3R. J Physiol 599(11): 2869–2886. https://doi.org/10.1113/JP281220
- Aare S, Radell P, Eriksson LI, Chen YW, Hoffman EP, Larsson L (2012) Role of sepsis in the development of limb muscle weakness in a porcine intensive care unit model. Physiol Genom 44(18): 865–877. https://doi.org/10.1152/physiolgenomics.00031.2012
- Henderson CA, Gomez CG, Novak SM, Mi-Mi L, Gregorio CC (2017) Overview of the Muscle Cytoskeleton. Compr Physiol 7(3): 891–944. https://doi.org/10.1002/cphy.c160033
- Capetanaki Y, Papathanasiou S, Diokmetzidou A, Vatsellas G, Tsikitis M (2015) Desmin related disease: a matter of cell survival failure. Current Opin Cell Biol 32: 113–120. https://doi.org/10.1016/j.ceb.2015.01.004
- Aweida D, Rudesky I, Volodin A, Shimko E, Cohen S (2018) GSK3-beta promotes calpain-1-mediated desmin filament depolymerization and myofibril loss in atrophy. J Cell Biol 217(10): 3698–3714.https://doi.org/10.1083/jcb.201802018
- Mirzoev TM, Sharlo KA, Shenkman BS (2021) The Role of GSK-3beta in the Regulation of Protein Turnover, Myosin Phenotype, and Oxidative Capacity in Skeletal Muscle under Disuse Conditions. Int J Mol Sci 22(10): 508. https://doi.org/10.3390/ijms22105081
- Cohen S (2020) Role of calpains in promoting desmin filaments depolymerization and muscle atrophy. Bioch Biophys Acta Mol Cell Res 1867(10): 118788 https://doi.org/10.1016/j.bbamcr.2020.118788
- Helliwell TR, Wilkinson A, Griffiths RD, McClelland P, Palmer TE, Bone JM (1998) Muscle fibre atrophy in critically ill patients is associated with the loss of myosin filaments and the presence of lysosomal enzymes and ubiquitin. Neuropathol Appl Neurobiol 24(6): 507–517. https://doi.org/10.1046/j.1365-2990.1998.00144.x
- Clemen CS, Herrmann H, Strelkov SV, Schroder R (2013) Desminopathies: pathology and mechanisms. Acta Neuropathol 125(1): 47–75. https://doi.org/10.1007/s00401-012-1057-6
- Shah F, Franklin KA, Holmlund T, Levring Jaghagen E, Berggren D, Forsgren S, Stal P (2019) Desmin and dystrophin abnormalities in upper airway muscles of snorers and patients with sleep apnea. Respir Res 20(1): 31. https://doi.org/10.1186/s12931-019-0999-9
- Carlsson L, Thornell LE (2001) Desmin-related myopathies in mice and man. Acta Physiol Scand 171(3): 341–348. https://doi.org/10.1046/j.1365-201x.2001.00837.x
- Kisselev AF, Goldberg AL (2001) Proteasome inhibitors: from research tools to drug candidates. Chem Biol 8(8): 739–758. https://doi.org/10.1016/s1074-5521(01)00056-4
- Bodine SC, Baehr LM (2014) Skeletal muscle atrophy and the E3 ubiquitin ligases MuRF1 and MAFbx/atrogin-1. Am J Physiol Endocrinol Metabol 307(6): E469–E484. https://doi.org/10.1152/ajpendo.00204.2014
- Gomes MD, Lecker SH, Jagoe RT, Navon A, Goldberg AL (2001) Atrogin-1, a muscle-specific F-box protein highly expressed during muscle atrophy. Proc Natl Acad Sci U S A 98(25): 14440–14445. https://doi.org/10.1073/pnas.251541198
- Baehr LM, Hughes DC, Lynch SA, Van Haver D, Maia TM, Marshall AG, Radoshevich L, Impens F, Waddell DS, Bodine SC (2021) Identification of the MuRF1 Skeletal Muscle Ubiquitylome Through Quantitative Proteomics. Function 2(4): zqab029. https://doi.org/10.1093/function/zqab029
- Lokireddy S, Wijesoma IW, Sze SK, McFarlane C, Kambadur R, Sharma M (2012) Identification of atrogin-1-targeted proteins during the myostatin-induced skeletal muscle wasting. Am J Physiol Cell Physiol 303(5): C512–C529. https://doi.org/10.1152/ajpcell.00402.2011
- Cohen S, Zhai B, Gygi SP, Goldberg AL (2012) Ubiquitylation by Trim32 causes coupled loss of desmin, Z-bands, and thin filaments in muscle atrophy. J Cell Biol 198(4): 575–589. https://doi.org/10.1083/jcb.201110067
- Akkad H, Corpeno R, Larsson L (2014) Masseter muscle myofibrillar protein synthesis and degradation in an experimental critical illness myopathy model. PloS One 9(4): e92622. https://doi.org/10.1371/journal.pone.0092622
- Kachaeva EV, Shenkman BS (2012) Various jobs of proteolytic enzymes in skeletal muscle during unloading: facts and speculations. J Biomed Biotechnol 2012: 493618. https://doi.org/10.1155/2012/493618
- Jones SW, Hill RJ, Krasney PA, O’Conner B, Peirce N, Greenhaff PL (2004) Disuse atrophy and exercise rehabilitation in humans profoundly affects the expression of genes associated with the regulation of skeletal muscle mass. FASEB J: Official Publicat Federat Am Soc Exp Biol 18(9): 1025–1027. https://doi.org/10.1096/fj.03-1228fje
- de Boer MD, Selby A, Atherton P, Smith K, Seynnes OR, Maganaris CN, Maffulli N, Movin T, Narici MV, Rennie MJ (2007) The temporal responses of protein synthesis, gene expression and cell signalling in human quadriceps muscle and patellar tendon to disuse. J Physiol 585(Pt 1): 241–251. https://doi.org/10.1113/jphysiol.2007.142828
Supplementary files





