Reactive Changes of Rat Spinal Cord Microgliocytes after Acute Systemic Inflammation
- Authors: Kolos E.A.1, Korzhevskii D.E.1
-
Affiliations:
- Institute of Experimental Medicine
- Issue: Vol 109, No 7 (2023)
- Pages: 933-945
- Section: EXPERIMENTAL ARTICLES
- URL: https://journals.rcsi.science/0869-8139/article/view/137969
- DOI: https://doi.org/10.31857/S0869813923070063
- EDN: https://elibrary.ru/XMINUF
- ID: 137969
Cite item
Full Text
Abstract
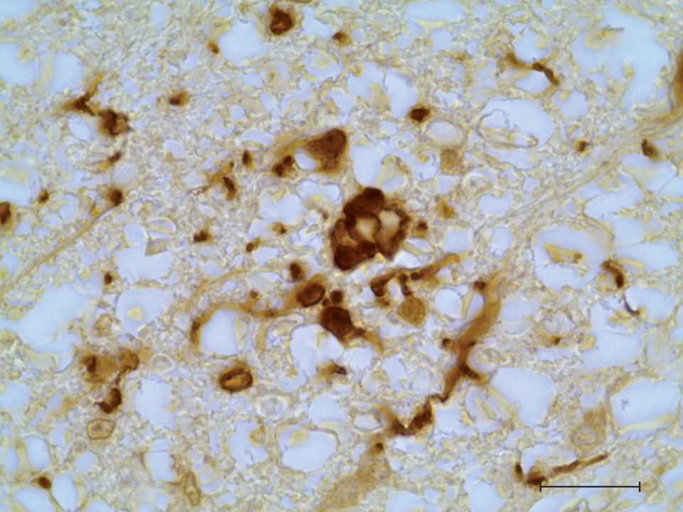
It is widely known that neuroinflammation is a key factor in the development of many neurological pathologies and neurodegenerative diseases. The dynamics of development and duration of neuroinflammatory responses are critical aspects in understanding the patterns of physiological, biochemical and behavioral consequences. The most common object of study is neuroinflammation that develops after experimental systemic inflammation. The effect of acute systemic inflammation on brain microgliocytes has been studied extensively, while spinal cord microglia have been studied less frequently. The purpose of this study was to assess the topographic and temporal features of morphofunctional changes in rat spinal cord microglial cells after experimental LPS-induced systemic inflammation. It has been established that in the early stages of neuroinflammation (24 hours after LPS administration), microgliocytes are activated in the ventral white and ventral gray matter of the spinal cord. At the same time, microgliocytes of the dorsal part of the spinal cord do not show morphological attribute of activation. An increase in the population density of microgliocytes in the ventral funiculus of the spinal cord was noted. Accumulations (aggregates) of reactive microgliocytes were also found in this area.
Keywords
About the authors
E. A. Kolos
Institute of Experimental Medicine
Author for correspondence.
Email: koloselena1984@yandex.ru
Russia, St Petersburg
D. E. Korzhevskii
Institute of Experimental Medicine
Email: koloselena1984@yandex.ru
Russia, St Petersburg
References
- Chen WW, Zhang X, Huang WJ (2016) Role of neuroinflammation in neurodegenerative diseases (Review). Mol Med Reports 13(4): 3391–3396. https://doi.org/10.3892/mmr.2016.4948
- Stuckey SM, Ong LK, Collins-Praino LE, Turner RJ (2021) Neuroinflammation as a Key Driver of Secondary Neurodegeneration Following Stroke? Int J Mol Sci 22(23): 13101. https://doi.org/10.3390/ijms222313101
- Hanna L, Poluyi E, Ikwuegbuenyi C, Morgan E, Imaguezegie G (2022) Peripheral inflammation and neurodegeneration; a potential for therapeutic intervention in Alzheimer’s disease (AD), Parkinson’s disease (PD) and amyotrophic lateral sclerosis (ALS). Egypt J Neurosurg 37: 15. https://doi.org/10.1186/s41984-022-00150-4
- DiSabato DJ, Quan N, Godbout JP (2016) Neuroinflammation: the devil is in the details. J Neurochem 139 (Suppl 2): 136–153. https://doi.org/10.1111/jnc.13607
- Ransohoff RM (2016) How neuroinflammation contributes to neurodegeneration. Science (New York) 353(6301): 777–783. https://doi.org/10.1126/science.aag2590
- Bassani TB, Vital MA, Rauh LK (2015) Neuroinflammation in the pathophysiology of Parkinson’s disease and therapeutic evidence of anti-inflammatory drugs. Arquivos de Neuro-psiquiatr 73(7): 616–623. https://doi.org/10.1590/0004-282X20150057
- Wang J, Tan L, Wang HF, Tan CC, Meng XF, Wang C, Tang SW, Yu JT (2015) Anti-inflammatory drugs and risk of Alzheimer’s disease: an updated systematic review and meta-analysis. J Alzheimer’s Disease: JAD 44(2): 385–396. https://doi.org/10.3233/JAD-141506
- McGeer PL, Rogers J, McGeer EG (2016) Inflammation, Antiinflammatory Agents, and Alzheimer’s Disease: The Last 22 Years. J Alzheimer’s Disease: JAD 54(3): 853–857. https://doi.org/10.3233/JAD-160488
- Kadusevicius E (2021) Novel Applications of NSAIDs: Insight and Future Perspectives in Cardiovascular, Neurodegenerative, Diabetes and Cancer Disease Therapy. Int J Mol Sci 22(12): 6637.https://doi.org/10.3390/ijms22126637
- Oliveira NSS, de Morais AFB, Tavares APG, de Figueiredo BQ, de Matos BA, Amorim GS, Miranda LD, Oliveira RC (2021) The use of Non-Steroidal Anti-Inflammatory Drugs (NSAIDs) as one of the pharmacological alternatives for patients with Alzheimer’s Disease: a systematic literature review. Res Society and Development 10(16): e146101623609. https://doi.org/10.33448/rsd-v10i16.23609
- Catorce MN, Gevorkian G (2016) LPS-induced Murine Neuroinflammation Model: Main Features and Suitability for Pre-clinical Assessment of Nutraceuticals. Current Neuropharmacol 14(2): 155–164. https://doi.org/10.2174/1570159x14666151204122017
- Batista CRA, Gomes GF, Candelario-Jalil E, Fiebich BL, de Oliveira ACP (2019) Lipopolysaccharide-Induced Neuroinflammation as a Bridge to Understand Neurodegeneration. Int J Mol Sci 20(9): 2293. https://doi.org/10.3390/ijms20092293
- Tamura Y, Yamato M, Kataoka Y (2022) Animal Models for Neuroinflammation and Potential Treatment Methods. Front Neurol 13: 890217. https://doi.org/10.3389/fneur.2022.890217
- Kolos EA, Korzhevskii DE (2017) Activation of Microglyocytes in the Anterior Horns of Rat Spinal Cord after Administration of Bacterial Lipopolysaccharide. Bull Exp Biol Med 163(4): 515–518. https://doi.org/10.1007/s10517-017-3841-8
- Wen W, Gong X, Cheung H, Yang Y, Cai M, Zheng J, Tong X, Zhang M (2021) Dexmedetomidine Alleviates Microglia-Induced Spinal Inflammation and Hyperalgesia in Neonatal Rats by Systemic Lipopolysaccharide Exposure. Front Cell Neurosci 15:725267.https://doi.org/10.3389/fncel.2021.725267
- Hirotsu A, Miyao M, Tatsumi K, Tanaka T (2022) Sepsis-associated neuroinflammation in the spinal cord. PloS One 17(6): e0269924. https://doi.org/10.1371/journal.pone.0269924
- Grigorev IP, Korzhevskii DE (2018) Current technologies for fixation of biological material for immunohistochemical analysis (review). Modern Technol Med 10 (2): 156–165. https://doi.org/10.17691/stm2018.10.2.19
- Ohsawa K, Imai Y, Kanazawa H, Sasaki Y, Kohsaka S (2000) Involvement of Iba1 in membrane ruffling and phagocytosis of macrophages/microglia. J Cell Sci 113 (Pt 17): 3073–3084.https://doi.org/10.1242/jcs.113.17.3073
- Kolos EA, Korzhevskii DE (2020) Spinal Cord Microglia in Health and Disease. Acta Naturae 12(1): 4–17. https://doi.org/10.32607/actanaturae.10934
- Fernandez-Arjona MDM, Grondona JM, Granados-Duran P, Fernandez-Llebrez P, Lopez-Avalos MD (2017) Microglia Morphological Categorization in a Rat Model of Neuroinflammation by Hierarchical Cluster and Principal Components Analysis. Front Cell Neurosci 11: 235. https://doi.org/10.3389/fncel.2017.00235
- Nuvolone M, Paolucc M, Sorce S, Kana V, Moos R, Matozaki T, Aguzzi A (2017) Prion pathogenesis is unaltered in the absence of SIRPα-mediated “don’t-eat-me” signaling. PloS One 12(5): e0177876. https://doi.org/10.1371/journal.pone.0177876
- Kartalou G I, Salgueiro-Pereira AR, Endres T, Lesnikova A, Casarotto P, Pousinha P, Delanoe K, Edelmann E, Castrén E, Gottmann K, Marie H, Lessmann V (2020) Anti-Inflammatory Treatment with FTY720 Starting after Onset of Symptoms Reverses Synaptic Deficits in an AD Mouse Model. Int J Mol Sci 21(23): 8957. https://doi.org/10.3390/ijms21238957
- Tyrtyshnaia A, Bondar A, Konovalova S, Sultanov R, Manzhulo I (2020) N-Docosahexanoylethanolamine Reduces Microglial Activation and Improves Hippocampal Plasticity in a Murine Model of Neuroinflammation. Int J Mol Sci 21(24): 9703. https://doi.org/10.3390/ijms21249703
- Kolos EA, Korzhevskii DE (2022) Age-related changes in microglia of the rat spinal cord. J Evol Biochem Physiol 58(4): 1142–1151. https://doi.org/10.1134/S0022093022040172
- Hoogland IC, Houbolt C, van Westerloo DJ, van Gool WA, van de Beek D (2015) Systemic inflammation and microglial activation: systematic review of animal experiments. J Neuroinflammat 12:114. https://doi.org/10.1186/s12974-015-0332-6
- Kolos EA, Korzhevskii DE (2020) Immunohistological Detection of Active Satellite Cellsin Rat Dorsal Root Ganglia after Parenteral Administration of Lipopolysaccharide and during Aging. J Evol Biochem Physiol 169(5): 665–668. https://doi.org/10.1007/s10517-020-04950-2
- Cao L, Fei, L, Chang TT, DeLeo JA (2007). Induction of interleukin-1beta by interleukin-4 in lipopolysaccharide-treated mixed glial cultures: microglial-dependent effects. J Neurochem 102(2): 408–419. https://doi.org/10.1111/j.1471-4159.2007.04588.x
- Orihuela R, McPherson CA, Harry GJ (2016) Microglial M1/M2 polarization and metabolic states. Br J Pharmacol 173(4): 649–665. https://doi.org/10.1111/bph.13139
- Hanisch UK, Kettenmann H (2007) Microglia: active sensor and versatile effector cells in the normal and pathologic brain. Nature Neurosci 10(11): 1387–1394. https://doi.org/10.1038/nn1997
- Kettenmann H, Hanisch UK, Noda M, Verkhratsky A (2011) Physiology of microglia. Physiol Rev 91(2): 461–553.https://doi.org/10.1152/physrev.00011.2010
- Stratoulias V, Venero JL, Tremblay ME, Joseph B (2019) Microglial subtypes: diversity within the microglial community. The EMBO J 38(17): e101997. https://doi.org/10.15252/embj.2019101997
- Yang X, Zhang JD, Duan L, Xiong HG, Jiang YP, Liang HC (2018) Microglia activation mediated by toll-like receptor-4 impairs brain white matter tracts in rats. J Biomed Res 32(2): 136-144. https://doi.org/10.7555/JBR.32.20170033
- Lee J, Hamanaka G, Lo EH, Arai K (2019) Heterogeneity of microglia and their differential roles in white matter pathology. CNS Neurosci & Therap 25(12): 1290–1298.https://doi.org/10.1111/cns.13266
- Marzan DE, Brügger-Verdon V, West BL, Liddelow S, Samanta J, Salzer JL (2021) Activated microglia drive demyelination via CSF1R signaling. Glia 69(6): 1583–1604. https://doi.org/10.1002/glia.23980
- Xu L, Wang J, Ding Y, Wang L, Zhu YJ (2022) Current Knowledge of Microglia in Traumatic Spinal Cord Injury. Front Neurol 12: 796704. https://doi.org/10.3389/fneur.2021.796704
- Sariol A, Mackin S, Allred MG, Ma C, Zhou Y, Zhang Q, Zou X, Abrahante JE, Meyerholz DK, Perlman S (2020) Microglia depletion exacerbates demyelination and impairs remyelination in a neurotropic coronavirus infection. Proc Natl Acad Sci U S A 117(39): 24464–24474. https://doi.org/10.1073/pnas.2007814117
- Bolton CF, Gilbert JJ, Hahn AF, Sibbald WJ (1984) Polyneuropathy in critically ill patients. J Neurol Neurosurg Psychiatry 47(11): 1223–1231.https://doi.org/10.1136/jnnp.47.11.1223
- Hund EF, Fogel W, Krieger D, DeGeorgia M, Hacke W (1996) Critical illness polyneuropathy: clinical findings and outcomes of a frequent cause of neuromuscular weaning failure. Crit Care Med 24(8): 1328–1333. https://doi.org/10.1097/00003246-199608000-00010
- Plaut T, Weiss L (2022) Electrodiagnostic Evaluation of Critical Illness Neuropathy. In: StatPearls [Internet]. Treasure Island (FL). Stat Pearls Publ. 2023.
- Hund E (2001) Neurological complications of sepsis: critical illness polyneuropathy and myopathy. J Neurol 248(11): 929–934. https://doi.org/10.1007/s004150170043
- Nayci A, Atis S, Comelekoglu U, Ozge A, Ogenler O, Coskun B, Zorludemir S (2005) Sepsis induces early phrenic nerve neuropathy in rats. Europ Respir J 26(4): 686–692. https://doi.org/10.1183/09031936.05.0111004
- Axer H, Grimm A, Pausch C, Teschner U, Zinke J, Eisenach S, Beck S, Guntinas-Lichius O, Brunkhorst FM, Witte OW (2016) The impairment of small nerve fibers in severe sepsis and septic shock. Crit Care (London, England) 20: 64. https://doi.org/10.12669/pjms.38.1.4396
- Trzeciak A, Lerman YV, Kim TH, Kim MR, Mai N, Halterman MW, Kim M (2019) Long-Term Microgliosis Driven by Acute Systemic Inflammation. J Immunol (Baltimore, Md: 1950) 203(11): 2979–2989. https://doi.org/10.4049/jimmunol.1900317
- Thomson CA, McColl A, Graham GJ, Cavanagh J (2020) Sustained exposure to systemic endotoxin triggers chemokine induction in the brain followed by a rapid influx of leukocytes. J Neuroinflammat 17: 94. https://doi.org/10.1186/s12974-020-01759-8
- Nishioku T, Dohgu S, Takata F, Eto T, Ishikawa N, Kodama KB, Nakagawa S, Yamauchi A, & Kataoka Y (2009) Detachment of brain pericytes from the basal lamina is involved in disruption of the blood-brain barrier caused by lipopolysaccharide-induced sepsis in mice. Cell Mol Neurobiol 29(3): 309–316. https://doi.org/10.1007/s10571-008-9322-x
- Wu F, Chen X, Zhai L, Wang H, Sun M, Song C, Wang T, Qian Z (2020) CXCR2 antagonist attenuates neutrophil transmigration into brain in a murine model of LPS induced neuroinflammation. Biochem Biophys Res Communicat 529(3): 839–845. https://doi.org/10.1016/j.bbrc.2020.05.124
- He H, Geng T, Chen P, Wang M, Hu J, Kang L, Song W, Tang H (2016) NK cells promote neutrophil recruitment in the brain during sepsis-induced neuroinflammation. Scient Rep 6: 27711. https://doi.org/10.1038/srep27711
- Chopra N, Menounos S, Choi JP, Hansbro PM, Diwan AD, Das A. (2021) Blood-Spinal Cord Barrier: Its Role in Spinal Disorders and Emerging Therapeutic Strategies. J Neuro Sci 3: 1–27. https://doi.org/10.3390/neurosci3010001
- Yamadera M, Fujimura H, Inoue K, Toyooka K, Mori C, Hirano H, Sakoda S (2015) Microvascular disturbance with decreased pericyte coverage is prominent in the ventral horn of patients with amyotrophic lateral sclerosis. Amyotroph Lateral Sclerosis & Frontotempor Degenerat 16(5-6): 393–401. https://doi.org/10.3109/21678421.2015.1011663
- Ge S, Pachter JS (2006) Isolation and culture of microvascular endothelial cells from murine spinal cord. J Neuroimmunol 177(1–2): 209–214. https://doi.org/10.1016/j.jneuroim.2006.05.012
- Winkler EA, Sengillo D, Sullivan JS, Henkel JS, Appel SH, Zlokovic BV (2013). Blood-spinal cord barrier breakdown and pericyte reductions in amyotrophic lateral sclerosis. Acta Neuropathol 125(1): 111–120. https://doi.org/10.1007/s00401-012-1039-8
Supplementary files





