Особенности распределения ГАМК- и нитроксидергических структур субфорникального органа крыс-самцов породы Вистар в раннем постнатальном развитии
- Авторы: Разенкова В.А.1, Коржевский Д.Э.1
-
Учреждения:
- ФГБНУ “Институт экспериментальной медицины”
- Выпуск: Том 54, № 3 (2023)
- Страницы: 226-231
- Раздел: КРАТКИЕ СООБЩЕНИЯ
- URL: https://journals.rcsi.science/0475-1450/article/view/137060
- DOI: https://doi.org/10.31857/S0475145023030060
- EDN: https://elibrary.ru/ZRXTJY
- ID: 137060
Цитировать
Полный текст
Аннотация
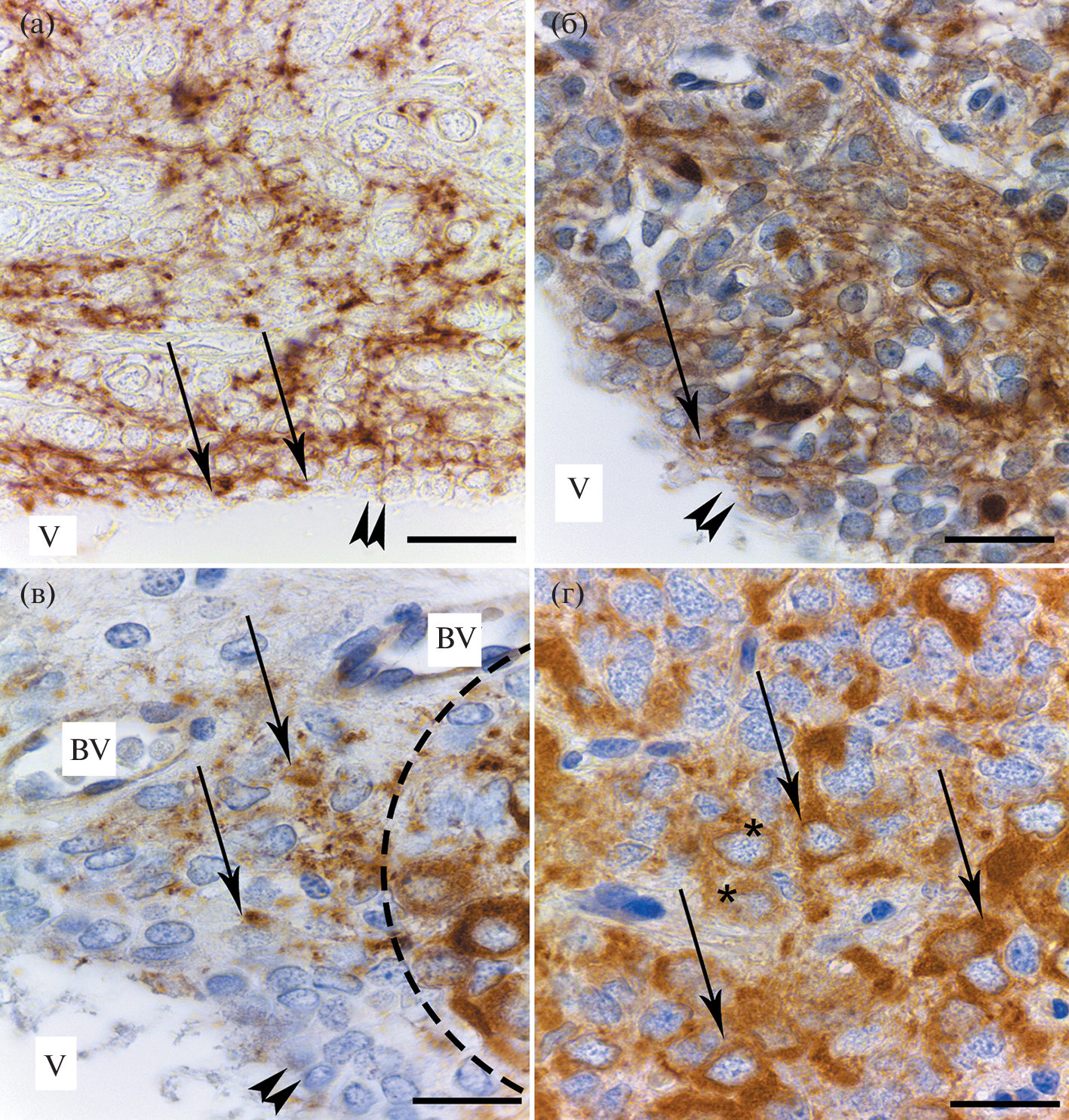
Субфорникальный орган (СФО) – один из циркумвентрикулярных (расположенных вблизи третьего желудочка) органов нервной системы млекопитающих, отвечающий за поддержание энергетического и водно-солевого баланса организма. Несмотря на растущий интерес к исследованию физиологических функций СФО, организация и взаимодействие его тканевых компонентов остаются малоизученными. В связи с этим, целью настоящего исследования стало изучение ГАМК- и нитроксидергической систем СФО с применением методов иммуногистохимии. Исследование выполнено на 7-дневных, 14-дневных и половозрелых (4–6 мес.) самцах крыс породы Вистар. Полученные данные позволили охарактеризовать изменения активности ГАМК- и нитроксидергической систем СФО в ходе развития. Гистохимический профиль экспрессии NO-синтазы изменяется в ходе первых двух недель постнатального развития, и во взрослом возрасте можно выделить три субпопуляции нитроксидергических клеток, различающихся по интенсивности реакции и тканевой локализации. Обнаруженная морфологическая гетерогенность нитроксидергических клеток в СФО может отражать функциональную специализацию различных нейронов.
Ключевые слова
Об авторах
В. А. Разенкова
ФГБНУ “Институт экспериментальной медицины”
Автор, ответственный за переписку.
Email: valeriya.raz@yandex.ru
Россия, 197376, Санкт-Петербург, ул. Академика Павлова, 12
Д. Э. Коржевский
ФГБНУ “Институт экспериментальной медицины”
Email: valeriya.raz@yandex.ru
Россия, 197376, Санкт-Петербург, ул. Академика Павлова, 12
Список литературы
- Augustine V., Gokce S.K., Lee S. et al. Hierarchical neural architecture underlying thirst regulation // Nature. 2018. V. 555. № 7695. P. 204–209. https://doi.org/10.1038/nature25488
- Blanco S., Molina F.J., Castro L. et al. Study of the nitric oxide system in the rat cerebellum during aging // BMC Neuroscience. 2010. V. 11. P. 1–14. https://doi.org/10.1186/1471-2202-11-78
- Esclapez M., Tillakaratne N.J., Kaufman D.L. et al. Comparative localization of two forms of glutamic acid decarboxylase and their mRNAs in rat brain supports the concept of functional differences between the forms // J. Neuroscience. 1994. V. 14. № 2. P. 1834–1855. https://doi.org/10.1523/JNEUROSCI.14-03-01834.1994
- Krstic R., Nicolas D., Novier A. Nitric oxide synthase in the subfornical organ of Mongolian gerbil (Meriones unguiculatus), mouse and rat // Acta Histochemica. 1995. V. 97. № 4. P. 429–434. https://doi.org/10.1016/S0065-1281(11)80068-1
- Greif K.F., Erlander M.G., Tillakaratne N.J. et al. Postnatal expression of glutamate decarboxylases in developing rat cerebellum // Neurochemical Research. 1991. V. 16. № 3. P. 235–242. https://doi.org/10.1007/BF00966086
- Hicks A.I., Kobrinsky S., Zhou S. et al. Anatomical organization of the rat subfornical organ // Frontiers in Cellular Neuroscience. 2021. V. 15. № 691711. P. 1–19. https://doi.org/10.3389/fncel.2021.691711
- Honda E., Xu S.H., Ono K. et al. Spontaneously active GABAergic interneurons in the subfornical organ of rat slice preparations // Neuroscience Letters. 2001. V. 306. № 1–2. P. 45–48. https://doi.org/10.1016/S0304-3940(01)01862-6
- Nowaczyk A., Kowalska M., Nowaczyk J. et al. Carbon monoxide and nitric oxide as examples of the youngest class of transmitters // International J. Molecular Sciences. 2021. V. 22. № 11. https://doi.org/10.3390/ijms22116029
- Ong W.Y., Satish R.L., Herr D.R. ACE2, circumventricular organs and the hypothalamus, and COVID-19 // Neuromolecular Medicine. 2022. V. 24. № 4. P. 363–373. https://doi.org/10.1007/s12017-022-08706-1
- Pulman K.J., Fry W.M., Cottrell G.T. et al. The subfornical organ: a central target for circulating feeding signals // J. Neuroscience. 2006. V. 26. № 7. P. 2022–2030. https://doi.org/10.1523/JNEUROSCI.3218-05.2006
- Sengupta P. The laboratory rat: relating its age with human’s // International J. Preventive Medicine. 2013. V. 4. № 6. P. 624–630.
Дополнительные файлы





