Experimental Assessment of 3-meta-Pyridine-1,2,4-Oxadiazole Deoxycholic Acid Derivative as a Prototype of 5-α-Reductase Inhibitors in silico and in vivo Models
- Authors: Meshkova Y.V.1, Baev D.S.1, Sorokina I.V.1, Popadyuk I.I.1, Salomatina O.V.1, Zhukova N.A.1, Tolstikova T.G.1, Salakhutdinov N.F.1
-
Affiliations:
- Novosibirsk Institute of Organic Chemistry SB RAS
- Issue: Vol 49, No 1 (2023)
- Pages: 79-92
- Section: Articles
- URL: https://journals.rcsi.science/0132-3423/article/view/145870
- DOI: https://doi.org/10.31857/S0132342323010189
- EDN: https://elibrary.ru/GGKQXV
- ID: 145870
Cite item
Full Text
Abstract
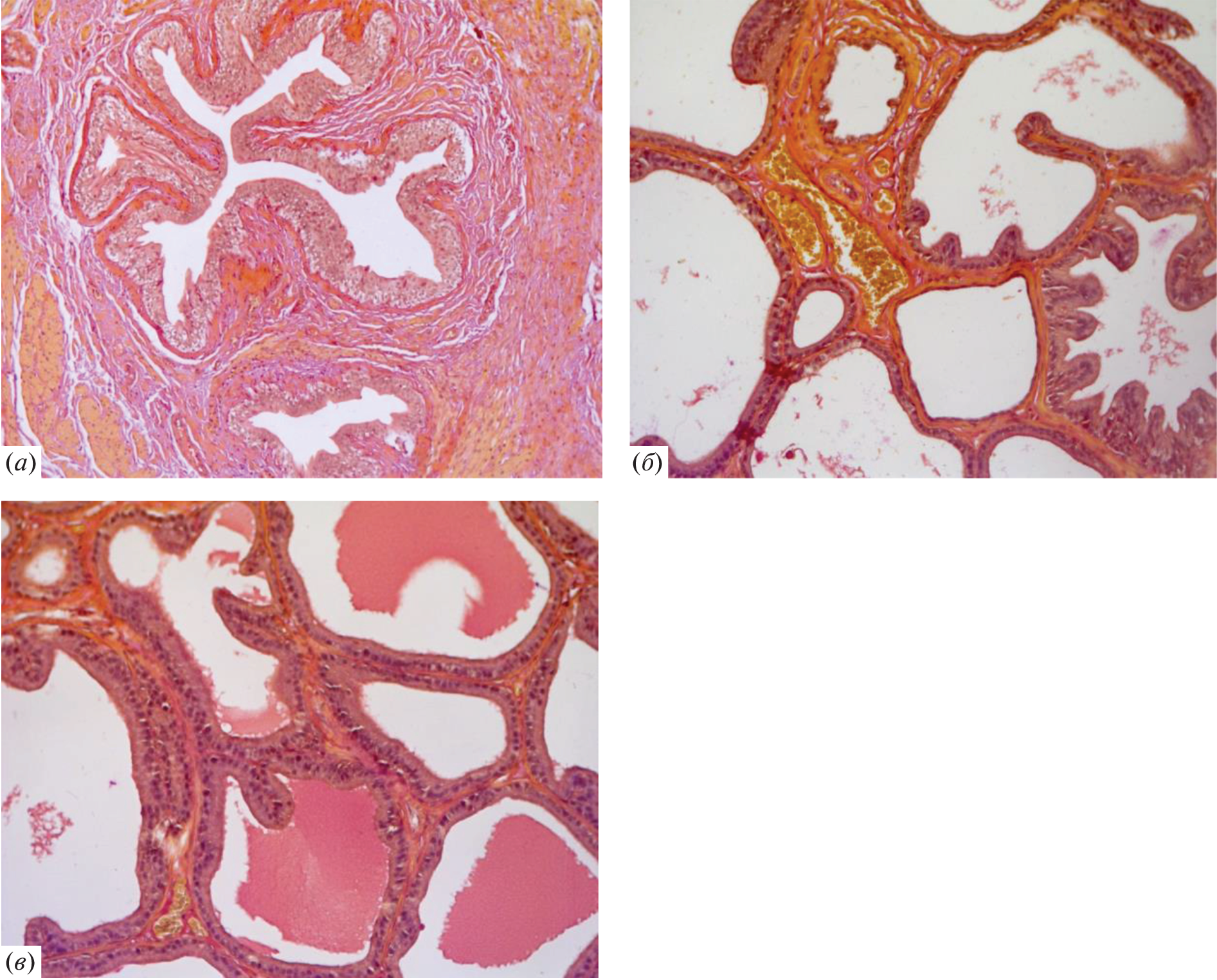
5-α-Reductase (5-AR) inhibitors are considered the most effective drugs in the treatment of proliferative processes in prostate adenoma. These include two synthetic azasteroids – finasteride and dutasteride, which cause side effects in conditions of long-term course therapy which form the disorders of sexual function in men. We propose 3-meta-pyridine-1,2,4-oxadiazole derivative of deoxycholic acid as prototype of low-toxic 5-AR inhibitors. It has been shown that the new agent is able to penetrate the 5-AR binding site through the formation of covalent adducts with NADP-H, like finasteride. At the same time, both ligands have comparable with the target binding energy values (–20 and –15 kcal/mol, respectively, for finasteride and target compound). In experiments on testosterone and sulpiride models of BPH, we have found that intragastric administration of DCA derivative at a dose of 20 mg/kg and finasteride at a dose of 10 mg/kg has a similar prostatoprotective effect by reducing proliferative processes in the glandular epithelium and prostate stroma of rats. The new agent is less toxic than finasteride: the LD50 value in mice is >1500 mg/kg versus 1060 mg/kg in finasteride. Based on the results obtained, the 3-meta-pyridine-1,2,4-oxadiazole derivative of deoxycholic acid can be considered as a promising candidate for preclinical testing.
About the authors
Yu. V. Meshkova
Novosibirsk Institute of Organic Chemistry SB RAS
Email: sorokina.irina55@gmail.com
Russia, 630090, Novosibirsk, prosp. Lavrentieva 9
D. S. Baev
Novosibirsk Institute of Organic Chemistry SB RAS
Email: sorokina.irina55@gmail.com
Russia, 630090, Novosibirsk, prosp. Lavrentieva 9
I. V. Sorokina
Novosibirsk Institute of Organic Chemistry SB RAS
Author for correspondence.
Email: sorokina.irina55@gmail.com
Russia, 630090, Novosibirsk, prosp. Lavrentieva 9
I. I. Popadyuk
Novosibirsk Institute of Organic Chemistry SB RAS
Email: sorokina.irina55@gmail.com
Russia, 630090, Novosibirsk, prosp. Lavrentieva 9
O. V. Salomatina
Novosibirsk Institute of Organic Chemistry SB RAS
Email: sorokina.irina55@gmail.com
Russia, 630090, Novosibirsk, prosp. Lavrentieva 9
N. A. Zhukova
Novosibirsk Institute of Organic Chemistry SB RAS
Email: sorokina.irina55@gmail.com
Russia, 630090, Novosibirsk, prosp. Lavrentieva 9
T. G. Tolstikova
Novosibirsk Institute of Organic Chemistry SB RAS
Email: sorokina.irina55@gmail.com
Russia, 630090, Novosibirsk, prosp. Lavrentieva 9
N. F. Salakhutdinov
Novosibirsk Institute of Organic Chemistry SB RAS
Email: sorokina.irina55@gmail.com
Russia, 630090, Novosibirsk, prosp. Lavrentieva 9
References
- Launer B.M., McVary K.T., Ricke W.A., Lloyd G.L. // BJU Int. 2021. V. 127. P. 722–728. https://doi.org/10.1111/bju.15286
- Lim K.B. // Asian J. Urol. 2017. V. 4. P. 148–151. https://doi.org/10.1016/j.ajur.2017.06.004
- Carson C., Rittmaster R. // Urology. 2003. V. 61. P. 2–7. https://doi.org/10.1016/S0090-4295(03)00045-1
- Vickman R.E., Franco O.E., Moline D.C., Vander Griend D.J., Thumbikat P., Hayward S.W. // Asian J. Urol. 2020. V. 7. P. 191–202. https://doi.org/10.1016/j.ajur.2019.10.003
- La Vignera S., Condorelli R.A., Russo G.I., Morgia G., Calogero A.E. // Andrology. 2016. V. 4. P. 404–411. https://doi.org/10.1111/andr.12186
- Thiruchelvam N. // Renal and Urological Surgery III. 2014. V. 32. P. 314–322. https://doi.org/10.1016/j.mpsur.2014.04.006
- Gravas S., Cornu J.N., Drake M.J., Gacci M., Gratzke C., Herrmann T.R.W., Madersbacher S., Mamoulakis C., Tikkinen K.A.O. // Eur. Assoc. Urol. 2018. https:// uroweb.org/wp-content/uploads/EAU-Guidelines-on-the-Management-of-Non-neurogenic-Male-LUTS-2018-large-text.pdf
- Kim E.H., Brockman J.A., Andriole G.L. // Asian J. Urol. 2018. V. 5. P. 28–32. https://doi.org/10.1016/j.ajur.2017.11.005
- Сорокина И.В., Попадюк И.И., Жукова Н.А., Низомов С.А., Мешкова Ю.В., Баев Д.С., Саломатина О.В., Толстикова Т.Г., Салахутдинов Н.Ф. // Патент RU 2 750 488 C1, 2021.
- Huang Y., Cui J., Jia L., Gan C., Song H., Zeng C., Zhou A. // Molecules. 2013. V. 18. P. 7436–7447. https://doi.org/10.3390/molecules18077436
- Verzele D., Madder A. // J. Org. Chem. 2007. P. 1793–1797. https://doi.org/10.1002/ejoc.200600972
- Schrodinger Small Molecule Drug Discovery Suite. 2017. https://www.schrodinger.com
- Harder E., Damm W., Maple J., Wu C., Reboul M., Xiang J.Y., Wang L., Lupyan D., Dahlgren M.K., Knight J.L., Kaus J., Cerutti D., Krilov G., Jorgensen W., Abel R., Friecner R. // J. Chem. Theory Comput. 2016. V. 12. P. 281–296. https://doi.org/10.1021/acs.jctc.5b00864
- Xiao Q., Wang L., Supekar S., Shen T., Liu H., Ye F., Huang J., Fan H., Wei Z., Zhang C. // Nat. Commun. 2020. V. 11. P. 1–10. https://doi.org/10.1038/S41467-020-19249-Z
- Makino C., Watanabe A., Deguchi T., Shiozawa H., Schreck I., Rozehnal V., Ishizuka T., Watanabe N., Ando O., Murayama N., Yamazaki H. // Xenobiotica. 2019. V. 49. P. 961–969. https://doi.org/10.1080/00498254.2018.1514545
- Tsalta C.D., Madatian A., Schubert E.M., Xia F., Hardesty W., Deng Y., Seymour J.L., Gorychi P.D. // Drug Metab. Dispos. 2011. V. 39. P. 1620–1632. https://doi.org/10.1124/dmd.110.036467
- Makridakis N., Akalu A., Reichardt J.K.V. // Oncogene. 2004. V. 23. P. 7399–7405. https://doi.org/10.1038/sj.onc.1207922
- Li J., Tian Y., Guo S., Gu H., Yuan Q., Xie X. // PLoS One. 2018. V. 13. P. 1–13. https://doi.org/10.1371/journal.pone.0191469
- Миронов А.Н., Бунятян Н.Д. // Руководство по проведению доклинических исследований лекарственных средств. Часть первая. М.: Гриф и К., 2012. 944 с.
- Altavilla D., Minutoli L., Polito F., Irrera N., Arena S., Magno C., Rinaldi M., Burnett B.P., Squadrito F., Bitto A. // Br. J. Pharmacol. 2012. V. 167. P. 95–108. https://doi.org/10.1111/j.1476-5381.2012.01969.x
- Hsu C.Y., Lin Y.S., Weng W.C., Panny L., Chen H.L., Tung M.C., Ou Y.C., Lin C.C., Yang C.H. // Life. 2021. V. 11. P. 743. https://doi.org/10.3390/life11080743
- Veeresh Babu S.V., Veeresh B., Patil A.A., Warke Y.B. // Eur. J. Pharmacol. 2010. V. 626. P. 262–265. https://doi.org/10.1016/j.ejphar.2009.09.037
- Сорокина И.В., Жукова Н.А., Мешкова Ю.В., Баев Д.С., Толстикова Т.Г., Бакарев М.А., Лушникова Е.Л. // Бюллетень экспериментальной биологии и медицины. 2022. Т. 173. С. 656–663. https://doi.org/10.47056/0365-9615-2022-173-5-656-663
- Van Coppenolle F., Slomianny C., Carpentier F., Le Bourhis X., Achidouch A., Croix D., Legrand G., Dewailly E., Fournier S., Cousse H., Authie D., Raynaud J.-P., Beauvillain J.-C., Dupouy J.-P., Prevarskaya N. // Am. J. Physiol. Endocrinol. Metab. 2001. V. 280. P. 120–129. https://doi.org/10.1152/ajpendo.2001.280.1.e120
- Тюзиков И.А., Мартов А.Г. // Андрология. 2012. № 3. С. 39–47.
- Han Y.T., Yun H. // Org. Prep. Proc. Int. 2017. V. 49. P. 163–168. https://doi.org/10.1080/00304948.2017.1291005
- Shruthi N., Poojary B., Kumar V., Hussain M.M., Rai V.M., Pai V.R., Bhat M., Revannasiddappa B.C. // RSC Adv. 2016. V. 6. P. 8303–8316. https://doi.org/10.1039/C5RA23282A
- Friesner R.A., Murphy R.B., Repasky M.P., Frye L.L., Greenwood J.R., Halgren T.A., Sanschagrin P.C., Mainz D.T. // J. Med. Chem. 2006. V. 49. P. 6177–6196. https://doi.org/10.1021/jm051256o
- Biovia Dicovery Studio Visualizer. 2016. https://discover.3ds.com/discovery-studio-visualizer-download
- Jeon W.-Y., Kim O.S., Seo C.-S., Jin S.E., Kim J.-A., Shin H.-K., Kim Y., Lee Y. // BMC Complement. Altern. Med. 2017. V. 17. P. 384. https://doi.org/10.1186/s12906-017-1877-y
- Автандилов Г.Г. // Медицинская морфометрия. М.: Медицина, 1990. 384 с.
- Саноцкий И.В. // Методы определения токсичности и опасности химических веществ (токсикометрия). Москва: Медицина, 1970. 99 с.
Supplementary files










