Research of the Protein Profile and Allergenic Properties of the Tropomyosin and Other Allergenic Components in the Composition of Water-Salt Extract of Giant Tiger Shrimp (Penaeus monodon)
- Authors: Berzhets V.M.1, Alatortseva G.I.1, Nesterenko L.N.1, Khlgatian S.V.1, Petrova S.Y.1, Petrova N.S.1, Vasilyeva A.V.1, Pishulina L.A.1, Emelyanova O.Y.1
-
Affiliations:
- Mechnikov Research Institute of Vaccines and Sera
- Issue: Vol 49, No 5 (2023)
- Pages: 502-508
- Section: Articles
- URL: https://journals.rcsi.science/0132-3423/article/view/139254
- DOI: https://doi.org/10.31857/S0132342323050111
- EDN: https://elibrary.ru/BQJLKL
- ID: 139254
Cite item
Full Text
Abstract
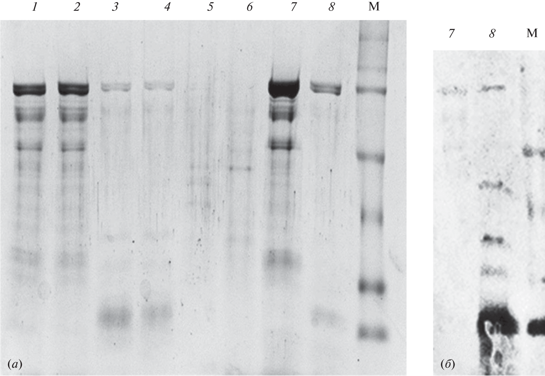
Despite the success in identifying new crustacean allergens other than tropomyosin, many potential allergens remain unidentified. At present there are no diagnostic and treatment crustaceans allergens on the Russian market, including tropomyosin of invertebrates. The aim of the research was to explore allergenic properties of tropomyosin and other proteins in water-salt extract from tiger shrimp (Penaeus monodon). Raw and boiled meat of giant tiger shrimp was used to prepare allergenic extracts. To identify the specific activity of experimental allergens, sera from patients allergic to crustaceans with an established degree of activity (class 3) were used. The levels of specific IgE were from 3.5 to 17.5 IU/mL. ELISA was performed with the allergen samples. Polyacrylamide gel electrophoresis of raw and boiled shrimp allergen preparations was followed by Western blotting with the most allergen-specific serum. It has been shown that the extracts from raw and boiled shrimp have allergenic activity (bind IgE). The heat treatment of shrimp had no effect on allergenic activity except for one sample, where a strong reaction with the antigens was found. It is proved that the selected extraction conditions make it possible to reveal the multifractional nature of the protein profile of raw and boiled shrimp extracts. In Western blotting experiments the raw shrimp extract showed a weak reaction; tropomyosin was not detected. At the same time five protein fractions were identified in the boiled shrimp samples which reacted with IgE antibodies of a patient with crustaceans’ allergy. The data obtained will allow us expanding the knowledge about crustacean allergy and continueing our research to determine the optimal conditions for cleaning shrimp allergens.
About the authors
V. M. Berzhets
Mechnikov Research Institute of Vaccines and Sera
Email: petrovastanislava@yandex.ru
Russia, 105064, Moscow, Maly Kazenny per. 5a
G. I. Alatortseva
Mechnikov Research Institute of Vaccines and Sera
Email: petrovastanislava@yandex.ru
Russia, 105064, Moscow, Maly Kazenny per. 5a
L. N. Nesterenko
Mechnikov Research Institute of Vaccines and Sera
Email: petrovastanislava@yandex.ru
Russia, 105064, Moscow, Maly Kazenny per. 5a
S. V. Khlgatian
Mechnikov Research Institute of Vaccines and Sera
Email: petrovastanislava@yandex.ru
Russia, 105064, Moscow, Maly Kazenny per. 5a
S. Yu. Petrova
Mechnikov Research Institute of Vaccines and Sera
Author for correspondence.
Email: petrovastanislava@yandex.ru
Russia, 105064, Moscow, Maly Kazenny per. 5a
N. S. Petrova
Mechnikov Research Institute of Vaccines and Sera
Email: petrovastanislava@yandex.ru
Russia, 105064, Moscow, Maly Kazenny per. 5a
A. V. Vasilyeva
Mechnikov Research Institute of Vaccines and Sera
Email: petrovastanislava@yandex.ru
Russia, 105064, Moscow, Maly Kazenny per. 5a
L. A. Pishulina
Mechnikov Research Institute of Vaccines and Sera
Email: petrovastanislava@yandex.ru
Russia, 105064, Moscow, Maly Kazenny per. 5a
O. Yu. Emelyanova
Mechnikov Research Institute of Vaccines and Sera
Email: petrovastanislava@yandex.ru
Russia, 105064, Moscow, Maly Kazenny per. 5a
References
- Альбанова В.И., Петрова С.Ю. // Атопический дерматит: учебное пособие для врачей. Москва: ГЭОТАР-Медиа, 2022. С. 50–83. https://doi.org/10.33029/9704-6852-4-ATD-2022-1-168
- Альбанова В.И., Пампура А.Н. // Атопический дерматит, 2-е издание. Москва: ГЭОТАР-Медиа. 2020. С. 55–88.
- Лепешкова Т.С., Бельтюков Е.К., Наумова В.В., Смоленская О.Г., Царькова С.А., Савельева Е.В., Закирова Л.Р. // Пищевая аллергия. Диагностика, лечение и профилактика: учебное пособие. Екатеринбург: УГМУ, 2021. С. 20–21.
- Гамбаров С.С., Кцоян Л.А. // Трудный пациент. 2019. Т. 17. С. 47–50. https://doi.org/10.24411/2074-1995-2019-10020
- Грищенко Е.А. // Аллергология и иммунология в педиатрии. 2017. Т. 48. С. 36–48. https://doi.org/10.24411/2500-1175-2017-00006
- Canonica G.W., Ansotegui I.J., Pawankar R., Schmid-Grendelmeier P., van Hage M., Baena-Cagnani C.E., Melioli G., Nunes C., Passalacqua G., Rosenwasser L., Sampson H., Sastre J., Bousquet J., Zuberbier T., Allen K., Asero R., Bohle B., Cox L., de Blay F., Ebisawa M., Maximiliano-Gomez R., Gonzalez-Diaz S., Haahtela T., Holgate S., Jakob T., Larche M., Matricardi P.M., Oppenheimer J., Poulsen L.K., Renz H.E., Rosario N., Rothenberg M., Sanchez-Borges M., Scala E., Valenta R. // World Allergy Organ. J. 2020. V. 13. P. 100091. https://doi.org/10.1016/j.wao-jou.2019.100091.13
- Chafen J.J.S., Newberry S.J., Riedl M.A., Bravata D.M., Maglione M., Suttorp M.J., Sundaram V., Paige N.M., Towfigh A., Hulley B.J., Shekelle P.G. // JAMA. 2010. V. 303. P. 1848–1856. https://doi.org/10.1001/jama.2010.582
- Sicherer S.H. // J. Allergy Clin. Immunol. 2011. V. 127. P. 594–602. https://doi.org/10.1016/j.jaci.2010.11.044
- Leung N.Y., Wai C.Y., Shu S., Wang J., Kenny T.P., Chu K.H., Leung P.S. // Clin. Rev. Allergy Immunol. 2014. V. 46. P. 180–197. https://doi.org/10.1007/s12016-012-8336-9
- Insects as sustainable food ingredients: production, processing and food applications / Ed. Dossey A.T., Morales-Ramos J.A., Rojas M.G. New York: Acad. Press, 2016. P. 252–272. https://doi.org/10.1016/C2014-0-03534-4
- Allergen nomenclature. WHO/IUIS Allergen Nomenclature Sub-Committee. http://www.allergen.org
- Piboonpocanun S., Jirapongsananuruk O., Tipayanon T., Boonchoo S., Goodman R.E. // Mol. Nutr. Food Res. 2011. V. 55. P. 1492–1498.
- Karnaneedi S., Huerlimann R., Johnston E.B., Nugraha R., Ruethers T., Taki A.C., Kamath S.D., Wade N.M., Jerry D.R., Lopata A.L. // Int. J. Mol. Sci. 2021. V. 22. 32. https://doi.org/10.3390/ijms22010032
- Бержец В.М., Петрова Н.С., Хлгатян С.В., Емельянова О.В. // Патент RU 2331437 C1, опубл. 20.08.2008. https://yandex.ru/patents/doc/RU2331437C1_20080820
- Sahabudin S., Misnan R., Yadzir Z.H., Mohamad J., Abdullah N., Bakhtiar F., Murad S. // Malaysian J. Med. Sci. 2011. V. 18. P. 2732.
- Faisal D., Vasiljevic T., Osaana D. // Int. J. Food Sci. Technol. 2019. V. 54. P. 183–193. https://doi.org/10.1111/ijfs.13922
- Liu G.-M., Cheng H., Nesbit J.B., Su W.-J., Gao M.-J., Maleki S.J. // J. Food. Sci. 2010. V. 75. P. 1–5.
- Carnes J., Ferrer A., Huertas A.J., Andreu C., Larramendi C.H., Fernandez-Caldas E. // Ann. Allergy Asthma Immunol. 2007. V. 98. P. 349–354.
- Kamath S.D., Rahman A.M., Voskamp A., Komoda T., Rolland J.M., O’Hehir R.E., Lopata A.L. // Mol. Nutr. Food Res. 2014. V. 58. P. 1144–1155. https://doi.org/10.1002/mnfr.201300584
Supplementary files




