Detection of Microcystin-Producing Cyanobacteria Microcystis, Planktothrix, and Dolichospermum Using Multiprimer Amplification of the mcy Genes
- Авторлар: Sidelev S.I.1
-
Мекемелер:
- Yaroslavl State University
- Шығарылым: Том 92, № 1 (2023)
- Беттер: 42-46
- Бөлім: EXPERIMENTAL ARTICLES
- URL: https://journals.rcsi.science/0026-3656/article/view/138166
- DOI: https://doi.org/10.31857/S0026365622600420
- EDN: https://elibrary.ru/NMQRUZ
- ID: 138166
Дәйексөз келтіру
Толық мәтін
Аннотация
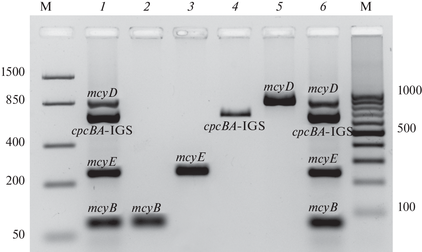
Abstract—A multiprimer PCR-based technique for the joint molecular detection of microcystin-producing planktonic cyanobacteria of the genera Microcystis, Planktothrix and Dolichospermum was developed. To amplify the mcy genes of microcystin biosynthesis, three pairs of genus-specific primers were selected, while the fourth pair was used to amplify the inter-gene spacer (IGS) cpcBA acting as an inner positive control for the presence of cyanobacterial DNA in the analyzed samples. Four PCR products of predicted size were successfully amplified using a mixture of DNA templates isolated from microсystin-producing strains of M. aeruginosa, P. agardhii, and field colonies of D. lemmermannii colonies retrieved from the environment, as well as аn environmental DNA template from lake plankton. The proposed multiprimer PCR-based approach may be used to design convenient test systems for monitoring aquatic ecosystems to prevent and/or assess the risk of accumulation of harmful cyanobacterial toxins.
Негізгі сөздер
Авторлар туралы
S. Sidelev
Yaroslavl State University
Хат алмасуға жауапты Автор.
Email: Sidelev@mail.ru
Russia, 150057, Yaroslavl
Әдебиет тізімі
- Сиделев С.И. Молекулярно-генетическая идентификация микроцистин-продуцирующих таксонов цианобактерий в озере Неро (Россия) // Микробиология. 2014. Т. 83. С. 626–628.
- Sidelev S.I. Molecular genetics identification of microcystin-producing cyanobacteria taxa in Lake Nero (Russia) // Microbiology (Moscow). 2014. V. 83. P. 709–711.
- Chernova E., Sidelev S., Russkikh I., Korneva L., Solovyova V., Mineeva N., Stepanova I., Zhakovskaya Z. Spatial distribution of cyanotoxins and ratios of microcystin to biomass indicators in the reservoirs of the Volga, Kama and Don rivers, the European part of Russia // Limnologica. 2020. V. 84. Art. 125819.
- Christiansen G., Fastner J., Erhard M., Börner T., Dittmann E. Microcystin biosynthesis in Planktothrix: genes, evolution and manipulation // J. Bacteriol. 2003. V. 185. P. 564–572.
- Molecular Tools for Detection and Quantification of Toxigenic Cyanobacteria / Eds. Kurmayer R., Sivonen K., Wilmotte A., Salmaso N. Hoboken, NJ: Wiley, 2017. 402 p.
- Kurmayer R. Isolation of single cyanobacteria colonies/filaments // Molecular Tools for Detection and Quantification of Toxigenic Cyanobacteria / Eds. Kurmayer R., Sivonen K., Wilmotte A., Salmaso N. Hoboken, NJ: Wiley, 2017. P. 32–34.
- Neilan B., Jacobs D., Goodman A.E. Genetic diversity and phylogeny of toxic cyanobacteria determined by DNA polymorphisms within the phycocyanin locus // Appl. Environ. Microbiol. 1995. V. 61. P. 3875–3883.
- Ostermaier V., Kurmayer R. Distribution and abundance of nontoxic mutants of cyanobacteria in lakes of the Alps // Microb. Ecol. 2009. V. 58. P. 323–333.
- Ouahid Y., Pérez-Silva G., del Campo F.F. Identification of potentially toxic environmental Microcystis by individual and multiple PCR amplification of specific microcystin synthetase gene regions // Environ. Toxicol. 2005. V. 20. P. 235–242.
- Rippka R., Deruelles J., Waterbury J.B., Herdman M., Stanier R.Y. Generic assignments, strain histories and properties of pure cultures of cyanobacteria // J. Gen. Microbiol. 1979. V. 111. P. 1–61.
- Rouhiainen L., Vakkilainen T., Siemer B.L., Buikema W., Haselkorn R., Sivonen K. Genes coding for hepatotoxic heptapeptides (microcystins) in the cyanobacterium Anabaena Strain 90 // Appl. Environ. Microbiol. 2004. V. 70. P. 686–692.
- Tillett D., Dittmann E., Erhard M., von Döhren H., Börner T., Neilan B.A. Structural organization of microcystin biosynthesis in Microcystis aeruginosa PCC7806: an integrated peptide polyketide synthetase system // Chem. Biol. 2000. V. 7. P. 753–764.
- Toxic Cyanobacteria in Water / Eds. Chorus I., Welker M. Boca Raton: CRC Press, 2021. 839 p.
- Vaitomaa J., Rantala A., Halinen K., Rouhiainen L., Tallberg P., Mokelke L., Sivonen K. Quantitative real-time PCR for determination of microcystin synthetase gene E copy numbers for Microcystis and Anabaena in lakes // Appl. Environ. Microbiol. 2003. V. 69. P. 7289–7297.
- Valério E., Chambel L., Paulino S., Faria N., Pereira P., Tenreiro R. Multiplex PCR for detection of microcystins-producing cyanobacteria from freshwater samples // Environ. Toxicol. 2010. V. 25. P. 251–260.
Қосымша файлдар



