Роль нейрогуморального дисбаланса при посттравматическом стрессовом расстройстве в противоопухолевом иммунном ответе. Экспериментальное исследование
- Авторы: Кондашевская М.В.1, Артемьева К.А.1, Алексанкина В.В.1, Куделькина В.В.1, Косырева А.М.1, Арешидзе Д.А.1, Козлова М.А.1, Михалева Л.М.1
-
Учреждения:
- Научно-исследовательский институт морфологии человека имени академика А.П. Авцына Федерального государственного бюджетного научного учреждения “Российский научный центр хирургии имени академика Б.В. Петровскогo”
- Выпуск: Том 511, № 1 (2023)
- Страницы: 333-339
- Раздел: Статьи
- URL: https://journals.rcsi.science/2686-7389/article/view/135641
- DOI: https://doi.org/10.31857/S2686738923600127
- EDN: https://elibrary.ru/IYYKGS
- ID: 135641
Цитировать
Полный текст
Аннотация
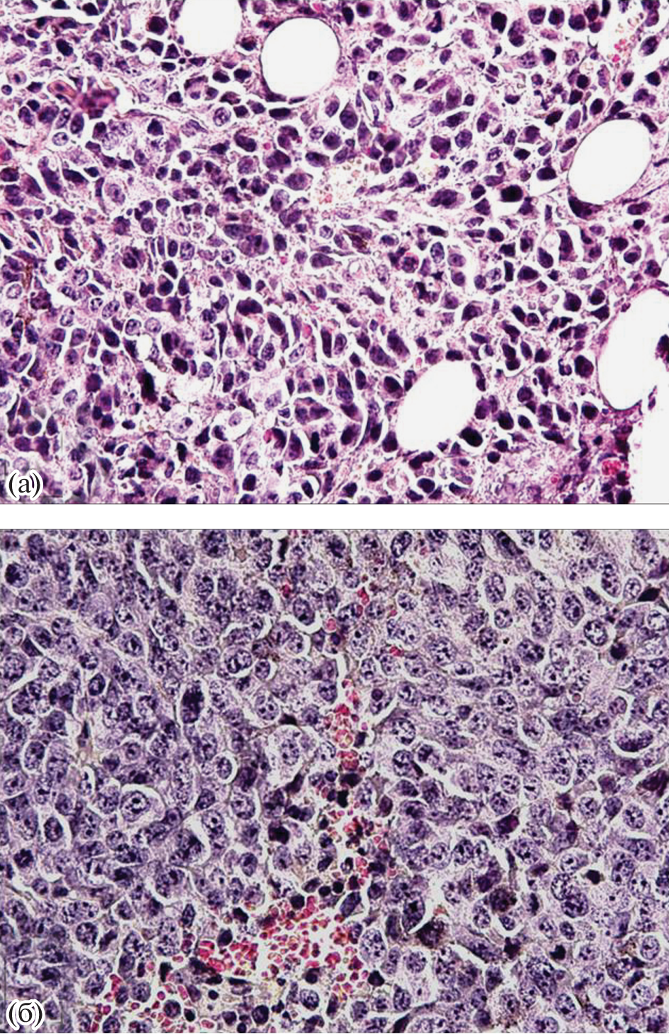
Целью исследования было изучение особенности роста и развития меланомы В16 у половозрелых самцов мышей С57Black/6 при моделировании посттравматического стрессового расстройства (ПТСР). Использованы поведенческие, иммуногистохимические, морфометрические методы, иммуноферментный анализ. Установлено характерное для ПТСР форсированное снижение уровня кортикостерона с последующей интенсификацией выработки клетками иммунной системы повышенных концентраций провоспалительных интерлейкинов и, одновременно, сокращение секреции противовоспалительных цитокинов. Получены приоритетные данные: нейрогуморальный дисбаланс, формирующийся при ПТСР, является сдерживающим фактором роста меланомы В16, по крайней мере, на начальных этапах развития онкологического процесса.
Ключевые слова
Об авторах
М. В. Кондашевская
Научно-исследовательский институт морфологии человека имени академика А.П. Авцына Федерального государственного бюджетного научного учреждения “Российский научный центр хирургии имени академика Б.В. Петровскогo”
Автор, ответственный за переписку.
Email: marivladiko@mail.ru
Россия, Москва
К. А. Артемьева
Научно-исследовательский институт морфологии человека имени академика А.П. Авцына Федерального государственного бюджетного научного учреждения “Российский научный центр хирургии имени академика Б.В. Петровскогo”
Email: marivladiko@mail.ru
Россия, Москва
В. В. Алексанкина
Научно-исследовательский институт морфологии человека имени академика А.П. Авцына Федерального государственного бюджетного научного учреждения “Российский научный центр хирургии имени академика Б.В. Петровскогo”
Email: marivladiko@mail.ru
Россия, Москва
В. В. Куделькина
Научно-исследовательский институт морфологии человека имени академика А.П. Авцына Федерального государственного бюджетного научного учреждения “Российский научный центр хирургии имени академика Б.В. Петровскогo”
Email: marivladiko@mail.ru
Россия, Москва
А. М. Косырева
Научно-исследовательский институт морфологии человека имени академика А.П. Авцына Федерального государственного бюджетного научного учреждения “Российский научный центр хирургии имени академика Б.В. Петровскогo”
Email: marivladiko@mail.ru
Россия, Москва
Д. А. Арешидзе
Научно-исследовательский институт морфологии человека имени академика А.П. Авцына Федерального государственного бюджетного научного учреждения “Российский научный центр хирургии имени академика Б.В. Петровскогo”
Email: marivladiko@mail.ru
Россия, Москва
М. А. Козлова
Научно-исследовательский институт морфологии человека имени академика А.П. Авцына Федерального государственного бюджетного научного учреждения “Российский научный центр хирургии имени академика Б.В. Петровскогo”
Email: marivladiko@mail.ru
Россия, Москва
Л. М. Михалева
Научно-исследовательский институт морфологии человека имени академика А.П. Авцына Федерального государственного бюджетного научного учреждения “Российский научный центр хирургии имени академика Б.В. Петровскогo”
Email: marivladiko@mail.ru
Россия, Москва
Список литературы
- Ferlay J., Ervik M., Lam F., et al. Global Cancer Observatory: Cancer Today // Lyon: International Agency for Research on Cancer; 2020 https://gco.iarc.fr/today. Ссылка активна на 15 февраля 2023 г.
- Cabaço L.C., Tomás A., Pojo M., et al. The Dark Side of Melanin Secretion in Cutaneous Melanoma Aggressiveness // Front Oncol. 2022. V. 12. P. 887366.
- Rebecca V.W., Somasundaram R., Herlyn M. Pre-clinical modeling of cutaneous melanoma // Nat Commun. 2020. V. 11. № 1. P. 2858.
- Schmidberger H., Rapp M., Ebersberger A et al. Long-term survival of patients after ipilimumab and hypofractionated brain radiotherapy for brain metastases of malignant melanoma: sequence matters // Strahlenther Onkol. 2018. V. 194. № 12. P. 1144–1151. https://doi.org/10.1007/s00066-018-1356-5
- Russell G., Lightman S. The human stress response // Nat Rev Endocrinol. 2019. V. 15. № 9. P. 525–534.
- Shin K.J., Lee Y.J., Yang Y.R., et al. Molecular Mechanisms Underlying Psychological Stress and Cancer // Curr Pharm Des. 2016. V. 22. № 16. P. 2389–402.
- Rudak P.T., Choi J., Parkins K.M., et al. Chronic stress physically spares but functionally impairs innate-like invariant T cells // Cell Rep. 2021. Vol. 35. № 2. P. 108979.
- Yehuda R., Seckl J. Minireview: Stress-related psychiatric disorders with low cortisol levels: a metabolic hypothesis // Endocrinology. 2011. V. 15212. P. 4496–503.
- Brown L.C., Murphy A.R., Lalonde C.S., et al. Posttraumatic stress disorder and breast cancer: Risk factors and the role of inflammation and endocrine function // Cancer. 2020. V. 126. № 14. P. 3181–3191.
- Кондашевская М.В., Цейликман В.Э., Комелькова М.В., и др. Соотношение физической усталости и морфофункционального состояния миокарда при экспериментальном хроническом стрессе // Доклады РАН. 2019. Т. 485. № 2. С. 247–250.
- Кондашевская М.В., Комелькова М.В., Цейликман В.Э., и др. Новые нейробиологические критерии профиля устойчивости при моделировании посттравматического стрессового расстройства // Доклады РАН. Науки о жизни, 2021. Т. 501. № 1. С. 522–527.
- Nahum K., Todder D., Zohar J., et al. The Role of Microglia in the (Mal) adaptive Response to Traumatic Experience in an Animal Model of PTSD // Int J Mol Sci. 2022. V. 23. № 13. P. 7185.
- Cohen H., Matar M.A., Joseph Z. Animal models of post-traumatic stress disorder // Curr Protoc Neurosci. 2013. Ch. 9. Unit 9.45.
- Янин В.Л., Бондаренко О.М., Сазонова Н.А. Методы исследования в цитологии и гистологии: учебно-методическое пособие для аспирантов заочной формы обучения к практическим занятиям по дисциплине. Ханты-Мансийск: БУ “Ханты-Мансийская государственная медицинская академия”, 2015.
- Kerr J.F.R., Gobe G.C., Winterford C.M., et al. // Meth. Cell Biol. 1995. V. 46. P. 1–27.
- Banfalvi G. Methods to detect apoptotic cell death // Apoptosis. 2017. V. 22. № 2. P. 306–323.
- Eswarappa M., Neylan T.C., Whooley M.A., et al. Inflammation as a predictor of disease course in posttraumatic stress disorder and depression: A prospective analysis from the Mind Your Heart Study // Brain Behav Immun. 2019. V. 75: 220–227.
- Dickson P.V., Gershenwald J.E., Staging and Prognosis of Cutaneous Melanoma // Surg Oncol Clin N Am. 2011. V. 20. № 1. P. 1–17.
- Aliev G., Beeraka N.M., Nikolenko V.N., et al. Neurophysiology and Psychopathology Underlying PTSD and Recent Insights into the PTSD Therapies-A Comprehensive Review // J Clin Med. 2020. V. 9. № 9. P. 2951.
- Lee H.K., Shin H.J., Koo J., et al. Blockade of transforming growth factor β2 by anti-sense oligonucleotide improves immunotherapeutic potential of IL-2 against melanoma in a humanized mouse model // Cytotherapy. 2021. V. 23. № 7. P. 599–607.






