The effect of the composition of hepatoprotective action on biochemical and morphostructural changes in the body of laying hens under thermal stress
- Authors: Drozdova L.I.1, Krasnoperov A.S.1, Oparina O.Y.1, Malkov S.V.1, Belousov A.I.1, Chernitskiy A.E.1
-
Affiliations:
- Ural Federal Agrarian Scientific Research Center, Ural Branch of the Russian Academy of Sciences
- Issue: No 4 (2024)
- Pages: 61-66
- Section: Animal science and veterinary medicine
- URL: https://journals.rcsi.science/2500-2627/article/view/267127
- DOI: https://doi.org/10.31857/S2500262724040113
- EDN: https://elibrary.ru/FKTJFQ
- ID: 267127
Cite item
Full Text
Abstract
To reduce the negative effects of hyperthermia on the body of farm animals and poultry, various drugs and feed additives are currently used. Which do not have sufficiently adaptogenic and antitoxic properties. We studied the effect of a hepatoprotective composition consisting of dried live yeast, amorphous silicon dioxide, propylene glycol, calcium propionate, ascorbic acid, manganese, copper and zinc chelates, methionine and choline chloride on the variability of biochemical and morphological parameters of the body of laying hens under temperature stress. It was simulated by increasing the air temperature in a building where laying hens were kept from 18.0 ± 1.0 °C to 28.0 ± 1.0 °C for 48 hours. Due to hyperthermia, changes in biochemical and morphofunctional parameters were observed in the tissues and organs of birds. The obtained values of the biochemical parameters of blood serum in the birds of the control group indicated the intensity of the adaptive capabilities of their body. A complex of morphological changes confirmed a violation of protein metabolism and the regenerative-compensatory process. Pathological changes in the structure of the duodenum, characteristic of catarrhal-necrotic duodenitis, were identified. The stress reaction was also reflected in the condition of the heart muscle, in which an inflammatory process developed against the background of granular dystrophy of cardiomyocytes. The results of biochemical studies of blood serum in birds of the experimental group indicated an increase in the anti-stress response to a temperature stimulus under the influence of the studied composition (tendency to increase glucose and calcium, increase alkaline phosphatase activity by 47.4 %). The introduction of a hepatoprotective composition into the diet of laying hens during periods of temperature stress did not lead to disruption of the structure of tissues and organs, preserving cellular metabolic mechanisms. The
Full Text
В последние десятилетия в России наблюдается повышение среднегодовой температуры воздуха, что затрудняет адаптацию сельскохозяйственных животных и птиц к изменяющимся условиям окружающей среды [1, 2]. Интенсификация процессов промышленного выращивания птицы сопровождается различными факторами стресса. Из-за физиологических особенностей организма высокие температура и влажность воздуха в птичниках наиболее опасны для кур. Такие условия приводят к снижению их продуктивности, способствуют развитию иммунодепрессии и увеличению количества случаев падежа [3, 4].
В условиях современного промышленного производства ключевые этапы борьбы с температурными стрессами – совершенствование системы кормления и содержания, оптимизация технологий вентиляции и увлажнения, селекция на теплоустойчивость (в том числе по гену голошейности), оптимизация процессов инкубации, вакцинация in ovo, снижение плотности посадки птицы [5, 6, 7].
Высокая температура воздуха в помещениях активирует эффекторные системы организма птиц и усиливает их функциональную активность. Один из инструментов преодоления негативного влияния гипертермии – своевременное применение препаратов и кормовых добавок, обладающих адаптогенными и антитоксическими свойствами. Поэтому изучение способов «смягчения» негативного воздействия гипертермии на различные физиологические параметры, поведенческие реакции, продуктивность, а также гематологические, биохимические и морфологические показатели представляет собой важный аспект научных исследований [8, 9, 10].
Цель исследования – изучить влияние гепатопротективной композиции на биохимические и морфологические показатели организма кур-несушек при температурном стрессе.
Методика. Исследования проводили на базе отдела экологии и незаразной патологии животных Уральского научно-исследовательского ветеринарного института – структурного подразделения ФГБНУ УрФАНИЦ УрО РАН. Работу выполняли в июне–июле 2023 г. на курах-несушках промышленного стада кросса Декалб Уайт 36-недельного возраста. Длительность опыта составляла 66 дней.
Для постановки эксперимента по принципу пар-аналогов с учётом живой массы и продуктивности были сформированы 2 группы птиц (опытная и контрольная) по 10 голов в каждой. Комплектование групп и маркировку птиц осуществляли за 7 дней до начала эксперимента. Содержание кур-несушек напольное в групповых клетках с соблюдением зоогигиенического диапазона норм выращивания и кормления в соответствии с рекомендациями для изучаемого кросса. Поение проводили водой, соответствующей ГОСТ Р 51232–98 с использованием проточных поилок, кормление – полнорационным рассыпным комбикормом для кур-несушек ПК-1–2 (ОАО «Богдановичский комбикормовый завод», Россия). До моделирования теплового стресса и после завершения его воздействия температура воздуха составляла 18,0 ± 1,0 °C, длительность светового дня – 8 ч, интенсивность освещения – 5…6 люкс, влажность воздуха – 60…65 %, скорость движения воздуха на уровне содержания птицы – 2,0…2,5 м/с.
В течение 8-го и 9-го дня эксперимента (всего 48 ч) температуру воздуха в птичнике, где содержали кур, повышали с 18,0 ± 1,0 °C до 28,0 ± 1,0 °C с помощью инфракрасных ламп мощностью 250 Вт и поддерживали в заданном диапазоне. Другие параметры микроклимата оставались неизменными.
С первого дня эксперимента к основному рациону птиц опытной группы добавляли композицию с гепатопротективным действием в количестве 200 мг на 1 голову (согласно рекомендациям разработчика), в течение 7 дней до, во время (48 ч) и 7 дней после повышения температуры в помещении. В состав композиции входили следующие компоненты: высушенные живые дрожжи – 180 г/кг, аморфный диоксид кремния – 60 г/кг, пропиленгликоль – 75 г/кг, пропионат кальция – 25 г/кг, аскорбиновая кислота – 5 г/кг, хелаты марганца – 10 г/кг, меди – 5 г/кг и цинка – 2 г/кг, метионин – 10 г/кг, а также холин хлорид – 15 г/кг. Куры-несушки контрольной группы получали только основной рацион. Наблюдение за физиологическим состоянием птиц проводили ежедневно методом клинического осмотра.
Изучение морфологических и функциональных изменений в организме экспериментальных кур-несушек при моделировании теплового стресса и применении гепатопротективной композиции проводили с использованием биохимических и гистологических методов.
Отбор крови для биохимических исследований осуществляли перед началом скармливания композиции (1-й день опыта – фон), после окончания воздействия стрессового фактора (10-й день опыта) и после завершения опыта (66-й день опыта). Образцы крови отбирали в вакуумные пробирки с активатором свёртывания.
Биохимические исследования сыворотки крови проводили на автоматическом биохимическом и иммуноферментном анализаторе Chem Well-2910 Combi (Awaveness Technology, США) в строгом соответствии с методиками, рекомендованными Международной федерацией клинической химии IFCC, с применением стандартных наборов реактивов от компаний Vital Diagnostics Spb (Россия) и DIALAB GmbH (Австрия).
Для оценки отдаленных последствий температурного стресса и влияния гепатопротективной композиции на организм кур-несушек на 66-й день эксперимента проводили морфологические исследования: отбирали пробы сердца, легкого, печени, почек, селезенки, двенадцатиперстной кишки и поджелудочной железы, тимуса, скелетной мускулатуры. Для изготовления образцов материал иссекали на кусочки толщиной 3…5 мм, фиксировали в 10 %-ном растворе нейтрального забуференного формалина с последующей обработкой по стандартной методике на гистопроцессоре карусельного типа Epredia STP 120 (Epredia, Китай). После этой процедуры кусочки заливали в парафиновые блоки, из которых изготавливали срезы толщиной 3 мкм на микротоме Microm HM450 (Thermo Fisher Scientific, Германия). Для окраски использовали стандартные методики, включающие депарафинизацию, окрашивание в гематоксилине по методу Карацци и эозином (10:2 минуты), последующую очистку в спиртах, дегидратацию в ксилоле и заключение в синтетическую смолу [11, 12]. Микроскопические препараты исследовали с использованием микроскопа Olympus BX 43 (Olympus, Япония), микрофотографирование проводили цифровой камерой ADF Professional 03 (ADF, США).
При оценке влияния композиции гепатопротективного действия на организм кур-несушек и степень их адаптационных возможностей к предшествующему стресс-фактору особое внимание обращали на морфологическую структуру и функциональные особенности двенадцатиперстной кишки, поджелудочной железы и печени [7, 9].
Статистический анализ данных проводили с использованием программы Statistica 10.0. Данные представляли в формате: среднее (М) ± стандартное отклонение (SD), достоверность различий между выборками определяли с помощью U-критерия Манна–Уитни.
Результаты и обсуждение. После завершения температурного стресса в плазме крови птицы интактной и опытной групп регистрировали симметричное снижение общего белка на 12,3…21,5 %, альбуминов – на 16,0…17,8 %, холестерина – на 8,8…37,7 %, общего кальция – на 14,5…28,6 % и неорганического фосфора – на 27,4…29,5 % (см. таблицу). Выявленные изменения в первую очередь отражали степень негативного воздействия гипертермии на организм, которая была более отчётливо выражена у особей контрольной группы.
Один из показателей, отражающих углеводный обмен кур, – количество глюкозы в сыворотке крови. Отмечена тенденция к уменьшению ее уровня на 3,7 % (р˃0,05) после окончания воздействия стресс-фактора у птицы интактной группы, по сравнению с исходным, что, вероятно, обусловлено напряженностью иммунной системы вследствие воздействия внешнего раздражителя и ингибирования глюконеогенеза. У особей опытной группы отмечали изменения противоположной направленности (см. таблицу). Это свидетельствует о различной фазе резистентности исследуемых групп птиц. С другой стороны, наблюдаемые метаболические перестройки могут указывать на активацию катаболических процессов для поддержания энергетического гомеостаза [3, 5, 6].
Применение гепатопротективной композиции курам-несушкам усиливало антистрессовую реакцию на температурный раздражитель, что выражалось в некоторых изменениях основных биохимических показателей, но могло оказывать дополнительную функциональную нагрузку на организм птицы. Так, у птиц опытной группы после стресса содержание в сыворотке крови мочевой кислоты было ниже (р˂0,05), чем в контроле, на 25,8 %, холестерина – на 31,7 %, активность щелочной фосфатазы – на 20,9 %.
Однако к окончанию научно-производственных испытаний происходило восстановление ранее упомянутых метаболических показателей. Параметры крови кур-несушек опытной группы, характеризующие статус минерального питания, незначительно превосходили таковые у птицы интактной группы (см. таблицу). Однако кальций-фосфорное соотношение и активность щелочной фосфатазы были соответственно на 30,8 % и 47,4 % выше, чем в контроле (р˂0,05). Аналогично наблюдали тенденцию к накоплению общего холестерина в сыворотке крови кур, получавших композицию гепатопротективного действия, что также можно расценить как положительный метаболический эффект.
Параметры белкового и углеводного обмена к концу наблюдений (см. таблицу) в анализируемых группах заметно не различались и соответствовали физиологическим и возрастным особенностям кур-несушек [3, 5]. После завершения опытного периода наблюдали стабильность параметров мочевой кислоты, которые не превышали физиологической нормы [3, 5], что позволяет расценивать азотистый баланс у кур обеих групп как равновесный.
Биохимические показатели кур-несушек в период эксперимента
Показатель | Фоновые значения | Контрольная группа | Опытная группа | ||
после стресса | после окончания опыта | после стресса | после окончания опыта | ||
Общий белок, г/л | 56,99±4,65 | 49,97±3,94 | 55,50±4,16 | 44,75±1,77 | 53,50±3,33 |
Альбумины, г/л | 17,95±1,07 | 15,07±1,17 | 20,60±1,70 | 14,75±0,21 | 20,05±1,08 |
Глобулины, г/л | 39,04±4,39 | 34,90±3,75 | 34,90±3,36 | 30,00±1,56 | 33,45±2,73 |
Фосфор, ммоль/л | 2,41±0,63 | 1,90±0,18 | 3,00±1,34 | 1,75±0,35 | 2,40±0,81 |
Кальций, ммоль/л | 5,67±0,98 | 4,05±0,71 | 5,07±0,22 | 4,85±0,07 | 5,30±0,36 |
Соотношение Са/P, у.е. | 2,35±0,19 | 2,13±0,21 | 1,69±0,15 | 2,31±0,17 | 2,21±0,20* |
Мочевая кислота, ммоль/л | 457,42±174,95 | 787,00±419,58 | 316,45±37,07 | 584,20±405,45* | 359,20±100,32 |
Холестерин, ммоль/л | 3,53±1,24 | 3,22±1,28 | 3,12±0,22 | 2,20±0,28* | 3,45±0,42 |
АЛТ, Ед./л | 22,90±7,96 | 5,00±2,58 | 14,67±8,02 | 4,50±0,71 | 4,00±2,16* |
АСТ, Ед./л | 258,00±77,02 | 250,50±24,12 | 226,25±17,99 | 252,50±31,82 | 209,50±9,19 |
Щелочная фосфатаза, Ед./л | 296,00±78,77 | 1266,25±354,37 | 411,25±152,14 | 1002,00±256,86* | 606,00±300,98* |
Глюкоза, ммоль/л | 12,38±0,81 | 11,92±0,69 | 12,27±0,62 | 12,65±0,64 | 12,35±0,48 |
*различия с контрольной группой достоверны при р˂0,05.
К концу эксперимента по результатам анализа индикаторных ферментов, характеризующих функциональное состояние печени, выявлено более существенное снижение активности трансаминаз у кур-несушек опытной группы. Так, активность аланинаминотрансферазы у этих птиц была на 72,7 % (р˂0,05) ниже, чем в контроле. Выявленные изменения подтверждают гепатопротективное действие исследуемой композиции.
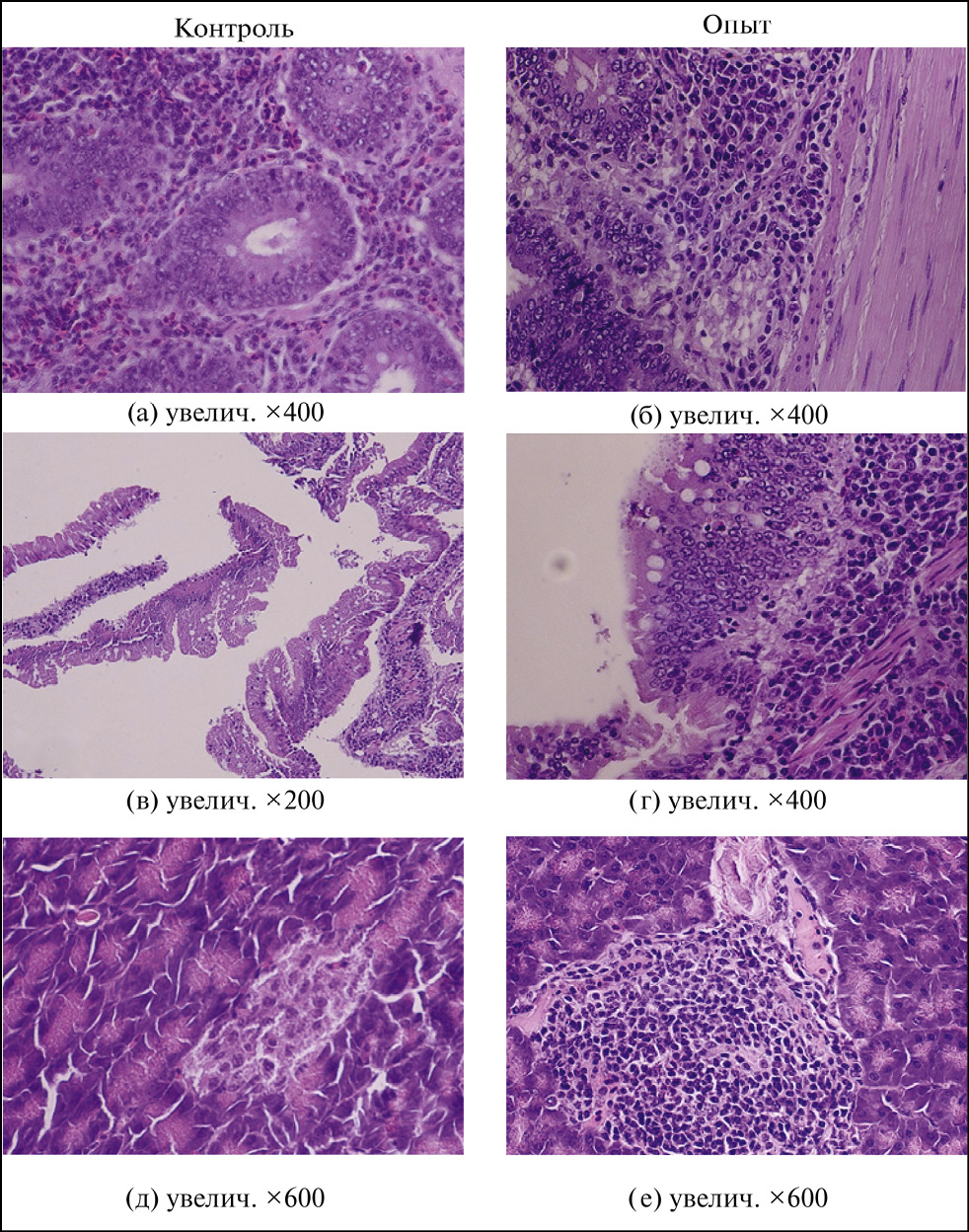
В результате анализа гистопрепаратов от интактных кур-несушек после завершения эксперимента выявлен комплекс патологических изменений в структуре двенадцатиперстной кишки, характерный для катарально-некротического дуоденита. Наряду с умеренной гиперсекрецией отдельных бокаловидных клеток визуализирован процесс некроза и десквамации эпителиального слоя ворсинок. При изучении железистого аппарата двенадцатиперстной кишки выявлена псевдоэозинофилия межуточной (интерстициальной) ткани с полиморфно-клеточной инфильтрацией (рис. 1).
Рис. 1. Гистологическая структура органов (двенадцатиперстная кишка, поджелудочная железа) кур-несушек. Окраска гематоксилином и эозином (фото Дроздовой Л. И.): a – псевдоэозинофилия в межуточной ткани железистого аппарата двенадцатиперстной кишки; б – гиперсекреция слизи, слизистый катаральный дуоденит; в – катарально-некротический дуоденит, некроз и десквамация пластов эпителия ворсинок; г – выпотевание слизистого экссудата в просвет двенадцатиперстной кишки; д – островок Лангерганса поджелудочной железы, снижение секреции; е – гиперсекреция и гиперплазия островков Лангерганса.
У особей контрольной группы поджелудочная железа демонстрировала активную секрецию, однако островки Лангерганса были уменьшены в размере и не проявляли признаков активации. Кроме того, выявлена жировая метаплазия, которая характеризовалась разрастанием жировой клетчатки в интерстициальной соединительнотканной строме железы, представляя собой процесс очаговой атрофии поджелудочной железы (см. рис. 1).
При проведении гистологического анализа двенадцатиперстной кишки птицы из опытной группы обнаружены признаки катарального дуоденита, представленные активными процессами образования слизи бокаловидными клетками эпителия ворсинок и интенсивным полиморфным клеточным наложением в межворсинчатом пространстве. На отдельных участках слизистой оболочки наблюдали процесс выпотевания слизистого секрета в просвет кишечника (см. рис. 1).
В поджелудочной железе птиц опытной группы отмечены процессы избыточной секреции, сопровождающиеся активизацией островков Лангерганса и их частичным перерождением, что возможно обусловлено применением гепатопротективной композиции (см. рис. 1).
На гистологических срезах печени интактных птиц у 50 % особей выявлено утолщение Глиссоновой капсулы. Структура органа у всех кур-несушек не претерпела изменений: печеночные балки и система триад были хорошо видны. В гепатоцитах печени четко выражены ядро и цитоплазма с мелкодисперсной белковой зернистостью, что свидетельствует о нарушении белкового обмена в виде зернистой дистрофии гепатоцитов. В 70 % случаев, наряду с зернистой дистрофией гепатоцитов, наблюдали мелкокапельную жировую дистрофию в центральной лобулярной зоне, срединное расположение ядра в гепатоцитах сохранено. Кроме того, выявлены признаки застоя крови в микроциркуляторных сосудах и лимфоидная инфильтрация в периваскулярной зоне триады. Весь патологический процесс, обнаруженный в печени исследуемой птицы, можно охарактеризовать как гепатоз на фоне развивающегося гепатита (см. рис. 2).
Рис. 2. Гистологическая структура органов (печень, сердечная мышца) кур-несушек, окраска гематоксилином и эозином (фото Дроздовой Л. И.): a – полиморфноклеточная периваскулярная инфильтрация в системе триады на фоне зернистой дистрофии гепатоцитов; б – зернистая дистрофия гепатоцитов, отек межуточной ткани в системе триады; в – признаки миокардита в сердечной мышце; г – периваскулярный отек и пролиферация элементов сосудистой стенки, зернистая дистрофия кардиомиоцитов.
При исследовании гистологических препаратов печени кур-несушек опытной группы выявлен комплекс адаптационных и регенеративных процессов. Во всех образцах регистрировали только зернистую дистрофию с незначительным отёком. Архитектура печеночных долек и балок оставалась неизменной, ядра гепатоцитов были одинаковой величины с присутствием двуядерных клеток, что указывало на процессы регенерации печёночной ткани. В синусоидах обнаружены отдельные клетки крови (рис. 2).
При изучении морфологической структуры сердечной мышцы птиц контрольной группы выявлены признаки комплексного поражения, отображающие сердечно-почечный синдром. В сердечной мышце наблюдали миокардиодистрофию, которая характерна для нарушений белкового обмена веществ. Это визуализировалось в виде зернистой дистрофии миокардиоцитов и таких структурных изменений в микроциркуляторном русле сосудов, как атеросклероз и очаговый некроз проводящей системы сердца волокон Пуркинье (см. рис. 2). На гистосрезах миокарда кур опытной группы патологических изменений не выявлено, за исключением незначительных изменений в стенке кровеносных сосудов, что можно отнести к компенсаторно-приспособительным и восстановительным процессам.
При изучении микроструктуры почек контрольной группы птиц выявлены значительные изменения как в корковом, так и в мозговом слоях органа. Наиболее существенные признаки нарушения белкового обмена обнаружены в корковом слое почек в виде зернистой дистрофии нефроцитов и внеклеточного отложения амилоида по ходу кровеносных сосудов, имела место гиперемия и нарушения проницаемости стенок сосудов с диапедезными или более обширными кровоизлияниями, периваскулярными отеками, тромбозами. В клубочковом аппарате наблюдали диффузный экстракапиллярный гломерулит (рис. 3).
Рис. 3. Гистологическая структура органов (почки, селезенка) кур-несушек. Окраска гематоксилином и эозином (фото Дроздовой Л. И.): a – амилоидоз клубочка, зернистая дистрофия нефроцитов; б – некроз эпителия извитых канальцев почки, амилоидоз клубочка; в – гломерулит и нарушение белкового обмена в нефроцитах; г – гиперплазия селезенки; e – очаги гиперплазии в пульпе селезенки.
На основе результатов исследования препаратов почек опытной группы кур-несушек установлены изменения, характерные для процессов выведения токсических веществ из организма птицы. Это нашло отражение в гломерулите и некоторых незначительных дистрофических изменениях в канальцевом аппарате почек, что подтверждает положительное воздействие гепатопротективной композиции на организм (см. рис. 3).
Анализ гистологических срезов селезенки кур-несушек контрольной группы выявил активную гиперплазию клеток лимфоидного ряда и инфильтрацию плазмоклетками, что указывает на активное производство антител (рис. 3). При исследовании препаратов селезенки птиц опытной группы также наблюдали незначительную гиперплазию, связанную с увеличения количества центров размножения. А отсутствие в ее красной пульпе глыбок гемосидерина свидетельствует о нормализации процессов детоксикации (см. рис. 3).
В легочной системе птиц контрольной группы наблюдали периваскулярный отек, утолщение стенки бронхов среднего размера и бронхиол с усиленным отделением слизи, что служит признаком компенсации сердечной недостаточности. Скелетная мускулатура кур-несушек этой группы не имела признаков повреждения, поперечнополосатая исчерченность мышечных волокон была четко выражена, в перимизии отмечали единичные жировые вакуоли, то есть почти полное исчезновение жира в межмышечной соединительной ткани.
В легочной ткани птиц опытной группы обнаружен незначительный отек. В миокарде и скелетных мышцах патологических процессов не выявлено, за исключением незначительных изменений в стенках кровеносных сосудов, что также может быть обусловлено компенсаторно-приспособительными и регенеративными процессами.
При сравнительном исследовании препаратов тимуса кур контрольной и опытной групп выявлены некоторые изменения, касающиеся в основном мозговой зоны и межуточной соединительной ткани. Так, на препаратах тимуса птицы опытной группы мозговая зона превалировала над корковой, в ней в местах расположения телец Гассаля отмечали процессы их инволюции, одновременно с этим наблюдали формирующиеся одиночные тельца Гассаля (рис. 4). У особей контрольной группы в мозговой зоне, которая также была больше корковой, обнаружены процессы гиперплазии телец Гассаля и ярко выраженные изменения, характерные для их фагоцитоза псевдоэозинофилами (см. рис. 4).
Рис. 4. Гистологическая структура органов (тимус) кур-несушек. Окраска гематоксилином и эозином (фото Дроздовой Л. И.): a – фагоцитоз псевдоэозинофилами некротизированного тельца Гассаля; б – инволюция телец Гассаля.
Выводы. Отмечена различная степень адаптационных реакций организма кур-несушек на температурный стресс-фактор, который подтверждался некоторыми изменениями биохимических и морфоструктурных показателей.
Установленные вариации значений биохимических показателей при гипертермии свидетельствовали о напряженности адаптационных возможностей организма птиц контрольной группы. Это подтверждал комплекс морфологических изменений, характерный для нарушений белкового обмена и восстановительно-компенсаторного процесса, за исключением альтерации в почечной ткани, которая выходила за рамки компенсаторного этапа, переходя в разряд патологической. Выявлены патологические изменения в структуре двенадцатиперстной кишки, свойственные для катарально-некротического дуоденита. Стресс-реакция отражалась и на состоянии сердечной мышцы, в которой на фоне зернистой дистрофии кардиомиоцитов развивался воспалительный процесс.
Введение в рацион кур гепатопротективной композиции в течение 7 дней до, во время (48 ч) и 7 дней после температурного стресса не приводит к нарушению структуры тканей и органов, сохраняя клеточные механизмы метаболизма. Кроме того, по результатам применения в рекомендованной дозе рассматриваемую композицию можно отнести к группе повышающих резистентность организма птицы благодаря усилению деятельности дезинтоксикационной функции печени и выделительной функции почек. В то же время, исследуемая композиция не способна полностью нивелировать негативное воздействие гипертермии на организм кур-несушек, однако полученные данные имеют теоретическое значение для разработки новых подходов к коррекции теплового стресса в промышленном птицеводстве.
ФИНАНСИРОВАНИЕ РАБОТЫ
Данная работа финансировалась за счет средств федерального бюджета в рамках выполнения Государственного задания 0532-2021-0009 «Разработка биологических технологий управления здоровьем животных и прижизненного формирования качества продукции животноводства и птицеводства» в соответствии с Программой ФНИ государственных академий наук по направлению 4.2.1.5 «Разработка технологий прижизненного управления качеством животноводческого сырья для получения высококачественных и безопасных продуктов питания».
СОБЛЮДЕНИЕ ЭТИЧЕСКИХ СТАНДАРТОВ
Все процедуры с птицей в эксперименте выполняли в соответствии с международными и национальными рекомендациями по уходу и использованию животных (https://oacu.oir.nih.gov/regulations-standards), согласно разрешению № 86 экспертной комиссии ФГБНУ УрФАНИЦ УрО РАН от 10.06.2024 г.
КОНФЛИКТ ИНТЕРЕСОВ
Авторы данной работы заявляют, что у них нет конфликта интересов.
About the authors
L. I. Drozdova
Ural Federal Agrarian Scientific Research Center, Ural Branch of the Russian Academy of Sciences
Author for correspondence.
Email: marafon.86@list.ru
доктор ветеринарных наук
Russian Federation, 620142, Ekaterinburg, ul. Belinskogo, 112aA. S. Krasnoperov
Ural Federal Agrarian Scientific Research Center, Ural Branch of the Russian Academy of Sciences
Email: marafon.86@list.ru
кандидат ветеринарных наук
Russian Federation, 620142, Ekaterinburg, ul. Belinskogo, 112aO. Yu. Oparina
Ural Federal Agrarian Scientific Research Center, Ural Branch of the Russian Academy of Sciences
Email: marafon.86@list.ru
кандидат ветеринарных наук
Russian Federation, 620142, Ekaterinburg, ul. Belinskogo, 112aS. V. Malkov
Ural Federal Agrarian Scientific Research Center, Ural Branch of the Russian Academy of Sciences
Email: marafon.86@list.ru
кандидат ветеринарных наук
Russian Federation, 620142, Ekaterinburg, ul. Belinskogo, 112aA. I. Belousov
Ural Federal Agrarian Scientific Research Center, Ural Branch of the Russian Academy of Sciences
Email: marafon.86@list.ru
доктор ветеринарных наук
Russian Federation, 620142, Ekaterinburg, ul. Belinskogo, 112aA. E. Chernitskiy
Ural Federal Agrarian Scientific Research Center, Ural Branch of the Russian Academy of Sciences
Email: marafon.86@list.ru
доктор биологических наук
Russian Federation, 620142, Ekaterinburg, ul. Belinskogo, 112aReferences
- Факторы микроклимата и их влияние на организм молодняка крупного рогатого скота / И. А. Шкуратова, Н. А. Верещак, А. И. Белоусов и др. // Вопросы нормативно-правового регулирования в ветеринарии. 2019. № 4. С. 114–118. doi: 10.17238/issn2072-6023.2019.4.114.
- Царев П. Ю. Характеристика лейкоцитов крови цыплят в условиях температурного стресса // Вестник КрасГАУ. 2018. № 1(136). С. 83–88.
- Бусловская Л. К., Ковтунетко А. Ю., Беляева Е. Ю. Адаптация кур к факторам промышленного содержания // Научные ведомости БелГ У. сер. Естественные науки. 2010. № 21(92). Вып. 13. С. 96–102.
- Radical response: effects of heat stress‐induced oxidative stress on lipid metabolism in the avian liver / N. K. Emami, S. Dridi, U. Jung, et al. // Antioxidants. 2021. Vol. 10. No. 1. P. 1–15. doi: 10.3390/antiox10010035.
- Забудский Ю. И. Проблемы адаптации в птицеводстве // Сельскохозяйственная биология. 2002. № 6. С. 80–85.
- Повышение стрессоустойчивости молодняка кур яичного кросса при использовании биологически активных веществ перед инкубацией / И. И. Кочиш, И. С. Луговая, Т. О. Азарнова и др. // Доклады Российской Академии наук. Науки о жизни. 2020. Т. 494. С. 491–495. doi: 10.31857/S2686738920050145.
- Морфологическое обоснование применения антиоксидантов при выращивании птицы / Е. Н. Сковородин, Г. В. Базекин, Г. З. Бронникова и др. // Вестник Башкирского государственного аграрного университета, 2020. № 1(53). С. 114–125. doi: 10.31563/1684-7628-2020-53-1-114-125.
- The microbiota-gut-brain axis during heat stress in chickens: a review / C. Cao, V. S. Chowdhury, M. A. Cline, et al. // Frontiers in Physiology. 2021. Vol. 12. No. Apr. P. 10–21. doi: 10.3389/fphys.2021.752265.
- Ayo J. O., Ogbuagu N. E. Heat stress, haematology and small intestinal morphology in broiler chickens: insight into impact and antioxidant-induced amelioration // World’s Poultry Science Journal. 2021. Vol. 77. No. 4. P. 949–968. doi: 10.1080/00439339.2021.1959279.
- Морфологический и биохимический состав крови цыплят-бройлеров при введении в рацион разработанного агрегативноустойчивого витаминно-минерального комплекса на основе селена в условиях смоделированного теплового стресса / В. А. Оробец, Е. А. Соколова, Е. С. Кастарнова и др. // Ветеринария Кубани. 2020. № 2. С. 24–26. doi: 10.33861/2071- 8020-2020-2-24-26.
- Кацы Г. Д., Коюда Л. И. Методические рекомендации к исследованию кожи и мышц млекопитающих. Луганск: ООО «Перша друкарня на Паях», 2012. 22 с.
- Меркулов Г. А. Курс патологогистологической техники. / 5 изд., испр. и доп. Л.: Издательство «Медицина» Ленинградское отделение, 1969. 423 с.
Supplementary files






