Патоморфологические изменения и иммунолокализация матриксных металлопротеиназ в плаценте коров при задержании последа
- Авторы: Авдеенко В.С.1, Мороз А.И.1, Сафронов Д.И.1, Финагеев Е.Ю.1, Макавчик С.П.1, Моисеева К.А.1
-
Учреждения:
- ФГБОУ ВО «Санкт-Петербургский государственный университет ветеринарной медицины»
- Выпуск: № 5 (2024)
- Страницы: 94-101
- Раздел: Зоотехния
- URL: https://journals.rcsi.science/2500-2082/article/view/268586
- DOI: https://doi.org/10.31857/S2500208224050195
- EDN: https://elibrary.ru/zruozs
- ID: 268586
Цитировать
Аннотация
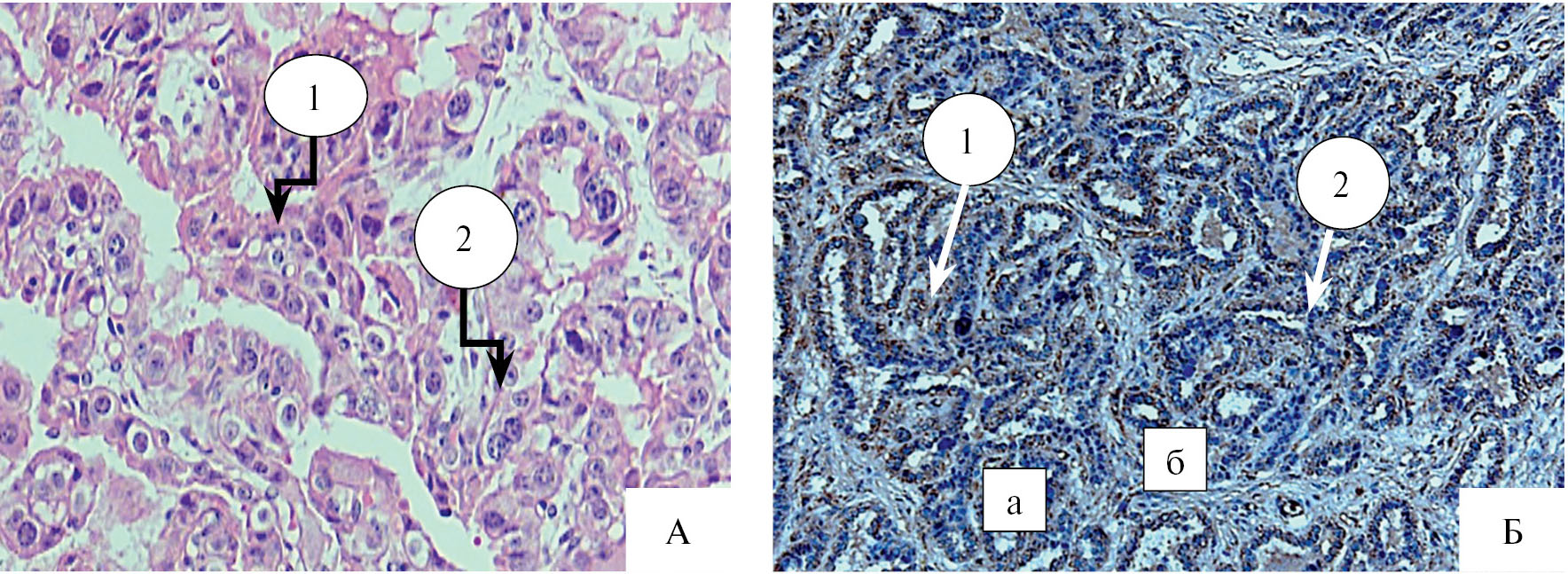
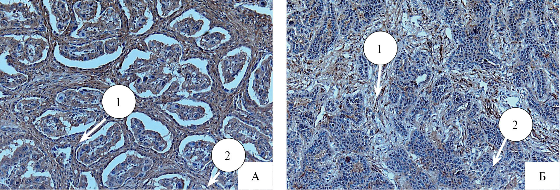
Впервые с применением гистохимических и иммуногистохимических методов были установлены эпителизированные дефекты с признаками дистрофии в криптах карункулов у коров с задержанием последа. Количество диплокариоцитов на единицу площади в плаценте при нормальных родах превышало число клеток у коров при задержании последа в три раза. В строме ворсин аллантохориона котиледонов возрастает число коллагеновых волокон более крупных размеров, чем при нормальных родах. Матриксные металлопротеиназы мембранного типа выступают в качестве потенциальных активаторов, контролирующих ремоделирование внеклеточного матрикса. В образцах, полученных от коров с задержанием последа в строме дефрагментированных материнских крипт, установлено распределение ММР, иммунопозитивные клетки фиксировались вокруг сосудов при активном продуцировании ММР-1 и ММР-3. Снижение ММР-2 и ММР-9 в плацентомах наблюдали в ворсинах аллантохориона фетальной части плаценты. Таким образом, они локализуются в котиледоне и могут влиять на своевременное высвобождение ворсин аллантохориона из крипт карункулов, обеспечивая отделение плодных оболочек плода от материнской плаценты у крупного рогатого скота.
Полный текст
Об авторах
Владимир Семенович Авдеенко
ФГБОУ ВО «Санкт-Петербургский государственный университет ветеринарной медицины»
Автор, ответственный за переписку.
Email: sashamoroz.shuramoroz@mail.ru
доктор ветеринарных наук
Россия, г. Санкт-ПетербургАлександра Игоревна Мороз
ФГБОУ ВО «Санкт-Петербургский государственный университет ветеринарной медицины»
Email: sashamoroz.shuramoroz@mail.ru
аспирант
Россия, г. Санкт-ПетербургДаниил Игнатьевич Сафронов
ФГБОУ ВО «Санкт-Петербургский государственный университет ветеринарной медицины»
Email: sashamoroz.shuramoroz@mail.ru
кандидат ветеринарных наук
Россия, г. Санкт-ПетербургЕвгений Юрьевич Финагеев
ФГБОУ ВО «Санкт-Петербургский государственный университет ветеринарной медицины»
Email: sashamoroz.shuramoroz@mail.ru
кандидат ветеринарных наук
Россия, г. Санкт-ПетербургСветлана Петровна Макавчик
ФГБОУ ВО «Санкт-Петербургский государственный университет ветеринарной медицины»
Email: sashamoroz.shuramoroz@mail.ru
доктор ветеринарных наук
Россия, г. Санкт-ПетербургКарина Абдукахоровна Моисеева
ФГБОУ ВО «Санкт-Петербургский государственный университет ветеринарной медицины»
Email: sashamoroz.shuramoroz@mail.ru
аспирант
Россия, г. Санкт-ПетербургСписок литературы
- Евглевский А.А. Аспекты развития метаболического ацидоза и кетоацидоза у коров в промышленном животноводстве // Вестник российской сельскохозяйственной науки. 2022. № 3. С. 71–75. https://doi.org/10.30850/vrsn/2022/3/71-75
- Ключникова Н.Ф., Ключников М.Т., Ключникова Е.М. Эффективность применения акантопанакса для профилактики яловости коров // Вестник российской сельскохозяйственной науки. 2023. № 6. С. 91–94. https://doi.org/10.31857/2500-2082/2023/6/91-94
- Родин И.А., Седов А.В., Капустин А.В. и др. Распространенность и этиологические факторы, обуславливающие задержание плодных оболочек у коров // Siberian Journal of Life Sciences and Sciences and Agriculture. 2021. Т. 13. № 4. С. 144–158.
- Breda F.L., Manchado-Gobatto F.B., de Barros Sousa F.A. et al. Complex networks analysis reinforces centrality hematological role on aerobic–anaerobic performances of the Brazilian Paralympic endurance team after altitude training // Scientific Reports. 2022. Vol. 7. No. 12. PP. 114–120.
- Davenport K.M., Ortega M.S., Johnson G.A., Seo H. Implantation and placentation in ruminants // Animal. 2023. Vol. 17. No. 5. PP. 180–196. https://doi.org/10.1016/j.animal.2023.100796.
- Davenport K.M., O’Neil E.V., Ortega M.S. et al. Single-cell insights into development of the bovine placenta // 2024. Vol. 110. No. 1. PP. 169–184. https://doi.org/10.1093/biolre/ioad123
- Hooshmandabbasi R., Zerbe H., Bauersachs S. et al. Pregnancy-associated glycoproteins in cows with retained fetal membranes // Theriogenology. 2018. Vol. 105. PP. 158–163.
- Johnson Gregory A., Bazer Fuller W., Heewon Seo et al. Understanding placentation in ruminants: a review focusing on cows and sheep Reprod Fertil Dev. 2023. Vol. 36. No. 2. PP. 93–111. https://doi.org/10.1071/RD23119
- Kamada H., Matsui Y. Twelve-oxoeicosatetraenoic acid-induced fetal membrane release improves postpartum ovarian function, milk production, and blood plasma biochemical parameters in cows // Animal bioscience. 2023. Vol. 36. No 9. PP. 137–146. https://doi.org/ 10.5713/ab.22.0443
- Lean I.J., LeBlanc S.J., Sheedy D.B. et al. Associations of parity with health disorders and blood metabolite concentrations in Holstein cows in different production systems // J Dairy Sci. 2023. Vol. 106. No. 1. PP. 500–518. https://doi.org/10.3168/jds.2021-21673
- Sarli G., Castagnetti C., Bianco C. et al. Canine placenta histological findings and microvascular density: the histological basis of a negative neonatal outcome? // Animals. 2021. Vol. 11. No. 5. PP. 1418–1400. https://doi.org/10.3390/ani11051418
- Scariot C.A., Scariot J., de Souza Ramos I.A. et al. Bovine anaplasmosis as a risk factor for retained placenta, mastitis, and abomasal displacement in dairy cattle // Res Vet Sci. 2023. Vol. 154. PP. 145–150. https://doi.org/10.1016/j.rvsc.2022.12.011
- Scariot P.P., Gobatto C.A., Polisel E.E. et al. Early-life mice housed in standard stocking density reduce the spontaneous physical activity and increase visceral fat deposition before reaching adulthood // Laboratory Animals. 2022. Vol. 4. No. 4. PP. 234–247.
- Scariot P.P., Manchado-Gobatto F.B., Beck W.R. et al. Monocarboxylate transporters (MCTs) in skeletal muscle and hypothalamus of less or more physically active mice exposed to aerobic training Life Sciences. 2022. Vol. 1. No. 307. PP. 120–128.
- Pereira K.H.N.P., Lourenço M.L. Reanimação neonatal de cães e gatos ao nascimento // Rev Bras Reprod Anim. 2022. Vol. 46. P. 3–16. https://doi.org/10.3390/ani12233426
- Tanner A.R., Kennedy V.C., Lynch C.S. et al. In vivo investigation of ruminant placenta function and physiology // Journal of animal science. 2022. Vol. 100. No. 6. PP. 1023–1043. https://doi.org/10.1093/jas/skac045
Дополнительные файлы








