Effectiveness of sodium nucleospermate for the development of embryos and larvae of Danio rerio
- 作者: Blazhenko A.A.1, Lebedev A.A.1, Tapilskaya N.I.2, Proshin S.N.3, Shabanov P.D.1
-
隶属关系:
- Institute of Experimental Medicine
- The Research Institute of Obstetrics, Gynecology and Reproductology named after D.O. Ott
- A.I. Herzen Russian State Pedagogic University
- 期: 卷 13, 编号 4 (2022)
- 页面: 59-64
- 栏目: Neuropsychopharmacology
- URL: https://journals.rcsi.science/1606-8181/article/view/258431
- DOI: https://doi.org/10.17816/phbn267455
- ID: 258431
如何引用文章
全文:
详细
BACKGROUND: The development of eggs and larvae of Danio rerio ex utero and the optical transparency of their embryos allow visual analysis of embryos at different stages of development and evaluation of organogenesis.
The aim of this study was to evaluate the effectiveness of sodium nucleospermate to the survival of embryos and larvae of Danio rerio.
MATERIALS AND METHODS: The study used Danio rerio fish of natural color. To assess the effectiveness of sodium nucleospermate on embryo survival, 64 eggs were collected and placed in separate wells. Three concentrations of sodium nucleospermate were tested in the experiment: 50 μg (dose 1), 1.3 μg (dose 2), and 0.0325 μg (dose 3) per well (200 μL). The experiment was conducted for 8 days, and blood circulation, exit of the larva from the egg, movements of the embryo inside the egg, and movements of the emerging larva were evaluated.
RESULTS: On day 1 in the control group, blood circulation was recorded in all embryos, and movement was determined in 21.4%. With dose 1, the blood circulation in embryos was recorded at 37.5%, and movement was noted in 6.25%. With dose 2, blood circulation was detected in all embryos, while movement was noted in 46.6%. With dose 3, blood circulation was detected in all embryos, and movement was noted 18.75%. On day 8, only active movements of the larvae along the experimental hole were evaluated because all other parameters were recorded in 100% of the surviving embryos. The experiment on day 8 showed that in the control group, 37.5% of the initially taken living embryos actively move and develop satisfactorily with the addition of sodium nucleospermate at doses 50%, 81.25%, and 75%.
CONCLUSION: The highest survival rate of Danio rerio larvae was recorded after the addition of sodium nucleospermate to the medium at an average dose of 1.3 µg/200 µL (6.5 µg/mL, or 0.0065% solution).
全文:
ВВЕДЕНИЕ
Danio rerio (Zebrafish) — это небольшая тропическая рыбка семейства карповых, обитающая в природе в прибрежных водах Индийского океана. К настоящему времени используется несколько хорошо изученных модельных объектов для определения влияния тех или иных генов на эбриогенез, скрининга лекарственных препаратов и решения ряда других задач и проблем, стоящих перед медициной и биологией. Вместе с тем по сравнению с другими модельными объектами, такими как плодовая мушка Drosophila melanogaster и червь Caenorhabditis elegance, между геномом человека и рыбки Zebrafish установлена сильная консервативная связь. Это делает тропическую рыбку отличной моделью для изучения комплексных биологических процессов, например развитие нервной, сердечно-сосудистой и гемопоэтической систем, а также ангиогенеза, апоптоза и токсических эффектов различных факторов [5]. Кроме того, существует ряд практических преимуществ, позволяющих эффективно поддерживать популяцию рыбок и надежно регистрировать изменения, возникающие в эмбрионах и личинках. Danio rerio легко разводится: в результате каждого спаривания можно получить до 200 икринок. Кроме того, развитие ex utero и оптическая прозрачность эмбрионов в процессе эмбриогенеза позволяет делать визуальный анализ эмбрионов на разных стадиях развития и собственно органогенез [6]. К 24 ч после фертилизации уже начинает формироваться общий план строения тела и все клетки-прекурсоры и ткани мозга, глаз и сердце можно легко обнаружить с помощью рутинного светового микроскопа. Эмбриогенез завершается через 72 ч после фертилизации, а наиболее важные органы, включая кардиоваскулярную систему, желудочно-кишечный тракт, печень и почки уже полностью формируются через 96 ч после оплодотворения. Считается, что такое стремительное развитие за 96 ч у Danio rerio соответствует 3-месячному развитию человеческого эмбриона [3]. К настоящему времени уже получены сотни генетических мутантов Danio rerio, фенотип которых напоминает и может быть клиническим эквивалентом заболеваний у человека. Получено также несколько химерных моделей с рецепторами и сигнальными молекулами человека. Гены, кодирующие определенные рецепторы и сигнальные молекулы, как правило, связаны с развитием кардиоваскулярной патологии, заболеваниями кроветворной и нервной систем, миопатиями и миодистрофиями, что позволяет анализировать эффективность перспективных лекарственных препаратов [2, 4]. Иммунологическая и клиническая эффективность нуклеоспермата натрия (Вирутера) ранее была доказана для лечения пациенток с хроническим эндометритом. Нуклеоспермат натрия — это высокоочищенная фракция нуклеиновых кислот из клеток молок лососевых рыб и является индуктором системы врожденного иммунитета [1]. В связи с этим представляет несомненный интерес насколько нуклеоспермат натрия эффективен в повышении выживаемости эмбрионов.
Цель работы — оценка эффективности нуклеоспермата натрия (вирутера) в отношении выживаемости эмбрионов и личинок Danio rerio.
МАТЕРИАЛЫ И МЕТОДЫ
Исследование проводили на рыбках Danio rerio природного окраса (n = 24). Рыбок содержали в просторных аквариумах при температуре воды при +21 °С раздельно самок (n = 12) и самцов (n = 12) в течение 2 сут при стандартных компонентах грунта, стандартной аэрации и рН воды. Световой цикл составлял 9/15 ч. Кормили взрослых особей 1 р/сут в 14:00, содержали на стандартном рационе. Далее через 2 сут самцов и самок в соотношении 4:3 пересаживали в один аквариум с водой температуры +23 °С, на дне аквариума была расположена стандартная сетка для нереста. Рацион кормления оставался стандартным. Через 1 сут в утренние часы самки начинали нерест. Через 3–4 ч после начала нереста рыбок аккуратно вылавливали из аквариума, сетку осторожно промывали в этом же резервуаре и со дна индивидуально микропипеткой собирали каждую икринку. Для оценки эффективности нуклеоспермата натрия в отношении выживаемости эмбрионов данного вида собранную икру в количестве 64 штук разместили в отдельных лунках, исходя из следующей схемы (рис. 1). Использовали 3 дозы нуклеоспермата натрия: Э1 — доза I нуклеоспермата натрия (50 мкг/200 мкл на лунку), Э2 — доза II (1,3 мкг/200 мкл), Э3 — доза III (0,0325 мкг/200 мкл). Эксперимент проводили в течение 8 сут и оценивали следующие параметры: кровообращение, выход личинки из икринки, движение эбриона внутри икринки, движение появившейся личинки. Полученные результаты обрабатывали статистически с использованием критерия χ2 при р < 0,05.
Рис. 1. Схема эксперимента: К — контроль; Э1 — доза I нуклеоспермата натрия (50 мкг/200 мкл на лунку), Э2 — доза II (1,3 мкг/200 мкл), Э3 — доза III (0,0325 мкг/200 мкл). Лунки содержали ту же воду из резервуара, в котором получали икру. Температура воды в лунках +23 °С
Fig. 1. Scheme of the experiment: K — control; E1 — dose 1 of sodium nucleospermate (50 µg/200 µL per well); E2 — dose 2 (1.3 µg/200 µL); E3 — dose III (0.0325 µg/200 µL). The wells contained the same water from the reservoir in which the spawn was obtained. The water temperature in the wells was +23°С
РЕЗУЛЬТАТЫ
Как показали результаты исследования, на 1-е сутки в контроле кровообращение регистрировали у всех эмбрионов, а движение — лишь у 21,4 % (рис. 2). При исследовании нуклеоспермата натрия в дозе I кровообращение у эмбрионов регистрировали с частотой 37,5 %, а движение — с частотой 6,25 %. При исследовании нуклеоспермата натрия в дозе II кровообращение выявляли у всех эмбрионов, тогда как движение —только у 46,6 %. При исследовании препарата в дозе III кровообращение зафиксировано у всех эмбрионов, движение — у 18,75 %. На 3-и сутки добавляли новый параметр оценки жизнедеятельности эмбрионов (в некоторых случаях уже личинок Danio rerio) — появление на свет личинки, параметр «движение» оценивали по передвижению личинки по экспериментальной лунке, а не внутри икринки (рис. 3, 4). В контроле кровообращение зарегистрировано у 87,5 % эмбрионов, движения не наблюдали, появилось на свет 87,5 % личинок. При исследовании препарата в дозе I кровообращение определялось у 87,5 % эмбрионов, движения не наблюдали, на свет появилось 81,25 % личинок. При исследовании препарата в дозе II кровообращение наблюдали у 93,75 % эмбрионов, движение отсутствовало, на свет появилось 93,75 % личинок. При исследовании препарата в дозе III кровообращение наблюдали у 81,25 % эмбрионов, движение — у 37,5 %, на свет появилось 81,25 % личинок. Эксперимент на 4-е сутки показал, что в контроле кровообращение, движение и появление на свет были у 87,5 % эмбрионов. При исследовании препарата в дозе I кровообращение и движение регистрировали у 93,75 % эмбрионов, появление на свет — у 18,75 %. При исследовании препарата в дозе II все параметры составляли 93,75 %. При исследовании препарата в дозе III все параметры соответствовали 81,25 %. На 7-е сутки исследования все три параметра в каждой дозе сравняли свое значение: контроль — 87,5 % кровообращение, движение, появление на свет, доза I — 81,25 %, доза II — 93,75 %, доза III — 75 %. На 8-е сутки оценивали только активное передвижение личинки по экспериментальной лунке, так как все остальные показатели составляли 100 % для выживших эмбрионов. Эксперимент на 8-е сутки показал, что в контроле активно двигаются и удовлетворительно развиваются 37,5 % первоначально взятых живых эмбрионов, при введении нуклеоспермата натрия в дозе I — 50 %, в дозе II — 81,25 %, в дозе III — 75 % (рис. 5).
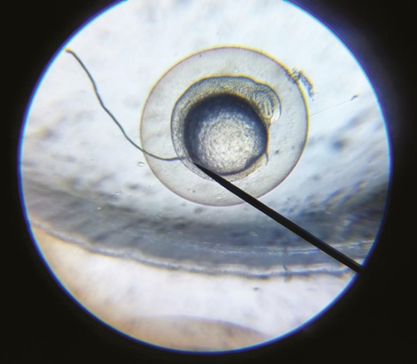
Fig. 2. Danio rerio embryo: day 1 of the experiment
Рис. 3. Эмбрион Danio rerio. Третьи сутки эксперимента
Fig. 3. Danio rerio embryo: day 3 of the experiment
Рис. 4. Личинка Danio rerio. Третьи сутки эксперимента
Fig. 4. Danio rerio larva: day 3 of the experiment
Рис. 5. Выживаемость эмбрионов и личинок Danio rerio в разные сроки эксперимента при использовании разных доз нуклеоспермата натрия. Э1, Э2, Э3 — номер экспериментальной группы
Fig. 5. Survival of Danio rerio embryos and larvae at different times of the experiment when using different doses of sodium nucleospermate
На основании полученных данных можно предположить, что нуклеоспермат натрия в указанной дозе (экспериментальная группа Э2) наиболее оптимально активирует систему врожденного иммунитета Danio rerio, вызывая развитие комплекса регулируемых цитокинами провоспалительных и противовоспалительных сигналов, нужных для завершения воспаления реакций, что способствует более эффективному развитию эмбрионов и личинок рыбки [7].
ЗАКЛЮЧЕНИЕ
Представленная модель может рассматриваться как перспективная для исследования адекватной индукции противовоспалительных цитокинов и поддержания баланса между секретируемыми про- и антипролиферативными цитокинами на этапе имплантации эмбриона и ранних этапов беременности у человека, а нуклеоспермат натрия как препарат выбора в коррекции бесплодия и привычного невынашивания беременности.
ДОПОЛНИТЕЛЬНАЯ ИНФОРМАЦИЯ
Вклад авторов. Все авторы внесли существенный вклад в разработку концепции, проведение исследования и подготовку статьи, прочли и одобрили финальную версию перед публикацией. Вклад каждого автора: А.А. Блаженко, А.А. Лебедев, Н.И. Тапильская — написание статьи, анализ данных; С.Н. Прошин, П.Д. Шабанов — редактирование статьи, разработка общей концепции.
Конфликт интересов. Авторы декларируют отсутствие явных и потенциальных конфликтов интересов, связанных с публикацией настоящей статьи.
Источник финансирования. Авторы заявляют об отсутствии внешнего финансирования при проведении исследования.
ADDITIONAL INFORMATION
Authors contribution. Thereby, all authors made a substantial contribution to the conception of the study, acquisition, analysis, interpretation of data for the work, drafting and revising the article, final approval of the version to be published and agree to be accountable for all aspects of the study. The contribution of each author: A.A. Blazhenko, A.A. Lebedev, N.I. Tapilskaya — manuscript drafting, writing and pilot data analyses; S.N. Proshin, P.D. Shabanov — paper reconceptualization and general concept discussion.
Competing interests. The authors declare that they have no competing interests.
Funding source. This study was not supported by any external sources of funding.
作者简介
Alexandra Blazhenko
Institute of Experimental Medicine
编辑信件的主要联系方式.
Email: alexandra.blazhenko@mail.ru
ORCID iD: 0000-0002-8079-0991
SPIN 代码: 8762-3604
Junior Research Assosiate, Department of Neuropharmacology, Institute of Experimental Medicine
俄罗斯联邦, Saint PetersburgAndrei Lebedev
Institute of Experimental Medicine
Email: aalebedev-iem@rambler.ru
ORCID iD: 0000-0003-0297-0425
Dr. Sci. Biol. (Pharmacology), Head of the Laboratory of General Pharmacology, Department of Neuropharmacology, Institute of Experimental Medicine
俄罗斯联邦, Saint PetersburgNatalya Tapilskaya
The Research Institute of Obstetrics, Gynecology and Reproductology named after D.O. Ott
Email: tapnatalia@yandex.ru
ORCID iD: 0000-0001-5309-0087
Dr. Med. Sci., Professor, Head of Lab. The Research Institute of Obstetrics, Gynecology and Reproductology named after D.O. Ott
俄罗斯联邦, Saint PetersburgSergei Proshin
A.I. Herzen Russian State Pedagogic University
Email: psnjsn@mail.ru
SPIN 代码: 2978-4545
Dr. Med. Sci., professor, Department of Medicine and Valeology, A.I. Herzen Russian State Pedagogic University
俄罗斯联邦, Saint PetersburgPetr Shabanov
Institute of Experimental Medicine
Email: pdshabanov@mail.ru
ORCID iD: 0000-0003-1464-1127
SPIN 代码: 8974-7477
Dr. Med. Sci. (Pharmacology), Professor and head of the Department of Pharmacology
俄罗斯联邦, Saint Petersburg参考
- Proshin SN, Glushakov RI, Semenova IV, et al. Clinical and immunological efficiency of sodium nucleospermate in treating chronic endometritis and infertility complicated by hpv infection. Experimental and Clinical Pharmacology. 2013;76(3):27–30. doi: 10.30906/0869-2092-2013-76-3-27-30
- Alunni A, Bally-Cuif L. A comparative view of regenerative neurogenesis in vertebrates. Development. 2016;143(5):741–753. doi: 10.1242/dev.122796
- Lossi L, D’Angelo L, de Girolamo P, Merighi A. Anatomical features for an adequate choice of experimental animal model in biomedicine: II. Small laboratory rodents, rabbit, and pig. Ann Anat - Anatomischer Anzeiger. 2015;204:11–28. DOI: 204.10.1016/j.aanat.2015.10.002
- Drummond BE, Wingert RA. Insights into kidney stem cell development and regeneration using zebrafish. World J Stem Cells. 2016;8(2):22–31. doi: 10.4252/wjsc.v8.i2.22
- Goldstein B, King N. The Future of Cell Biology: Emerging Model Organisms. Trends Cell Biol. 2016;26(11):818–824. doi: 10.1016/j.tcb.2016.08.005
- Matthews M, Trevarrow B, Matthews J. A virtual tour of the Guide for zebrafish Users. Lab animal. 2002;31(3):34–40. doi: 10.1038/5000140
- Wiegertjes GF, Wentzel AS, Spaink HP, et al. Polarization of immune responses in fish: The ‘macrophages first’ point of view. Mol Immunol. 2016;69:146–156. doi: 10.1016/j.molimm.2015.09.026
补充文件







