Архитектоника мезонефроса сенегальского многопёра (Polypterus senegalus (Cuvier 1829), Polypteriformes)
- Авторы: Евдокимов Е.Г.1, Флёрова Е.А.1
-
Учреждения:
- Федеральное государственное бюджетное образовательное учреждение высшего образования “Ярославский государственный университет имени П.Г. Демидова”
- Выпуск: Том 102, № 12 (2023)
- Страницы: 1389-1397
- Раздел: Статьи
- URL: https://journals.rcsi.science/0044-5134/article/view/231778
- DOI: https://doi.org/10.31857/S004451342312005X
- EDN: https://elibrary.ru/GRIKIM
- ID: 231778
Цитировать
Полный текст
Аннотация
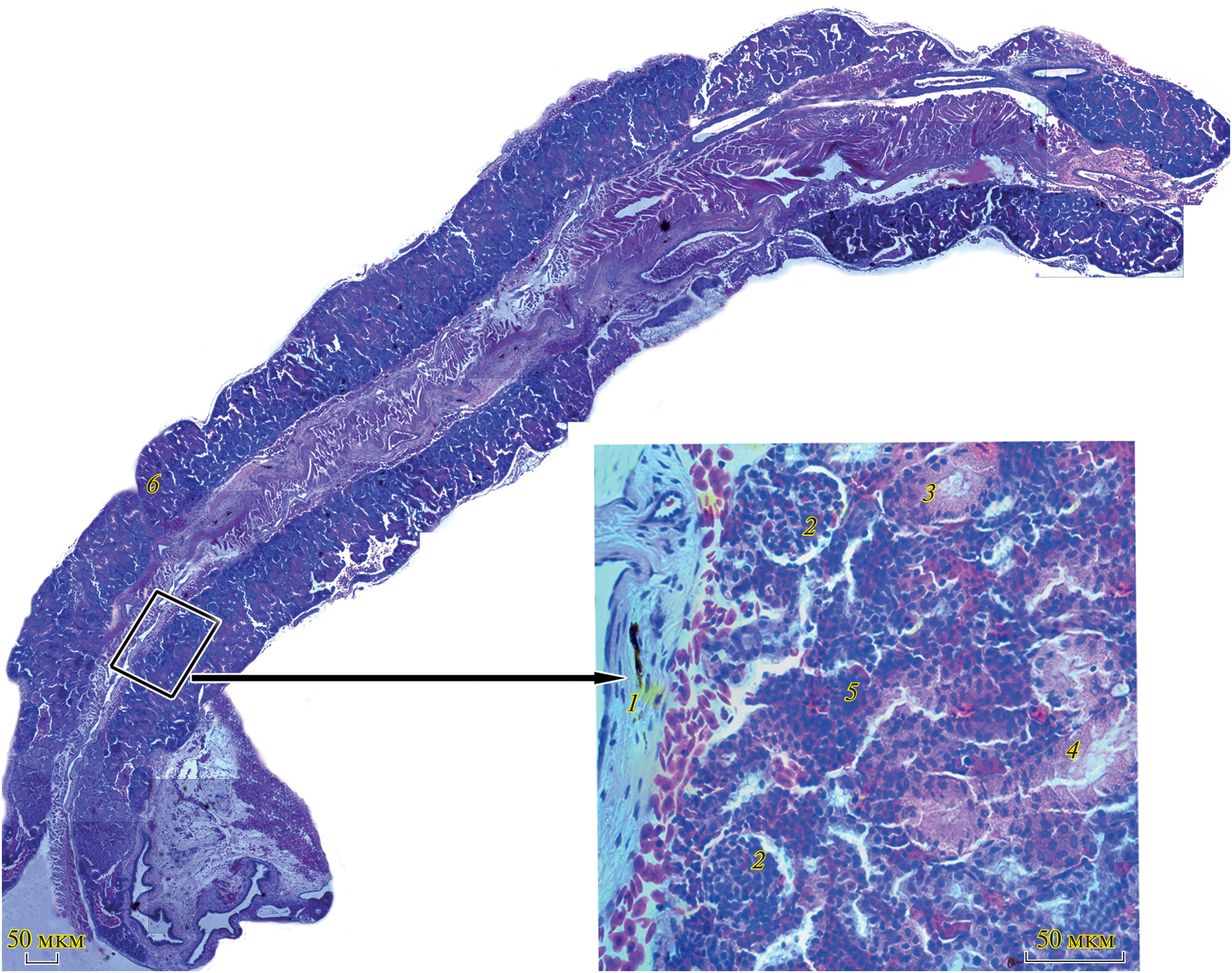
Методом послойных серийных гистологических срезов впервые проведена реконструкция мезонефроса P. senegalus. Показано, что распределение структур нефрона и кроветворной ткани органа сходно с распределением данных структур у лучепёрых рыб. Наибольшая доля кроветворной ткани локализована на краниально-вентральном полюсе органа. Наибольшее количество почечных телец, которые имеют наименьшую площадь поверхности и которые наиболее удалены один от другого, обнаружено в каудальной части мезонефроса. Такое расположение структурных единиц почки в совокупности с особенностями васкуляризаии органа (положение экстраорганных и множественное ветвление внутриорганных сосудов) позволяет создать достаточное артериальное давление для эффективного выделения первичной мочи, что приближает почку P. senegalus к мезонефросу земноводных. Данные признаки эволюционно закрепились в базальных группах лучепёрых рыб и сохранились в процессе эволюционного развития, проявляясь у эволюционно молодых видов данной группы.
Ключевые слова
Об авторах
Е. Г. Евдокимов
Федеральное государственное бюджетное образовательное учреждение высшего образования“Ярославский государственный университет имени П.Г. Демидова”
Автор, ответственный за переписку.
Email: skrad200052@yandex.ru
Россия, 150003, Ярославль
Е. А. Флёрова
Федеральное государственное бюджетное образовательное учреждение высшего образования“Ярославский государственный университет имени П.Г. Демидова”
Автор, ответственный за переписку.
Email: skrad200052@yandex.ru
Россия, 150003, Ярославль
Список литературы
- Грушко М.П., Федорова Н.Н., Ижерская В.А., 2021. Особенности формирования основных органов и систем красноперки (Scardinius erythrophthalmus) в раннем онтогенезе // Актуальные вопросы ветеринарной биологии. № 1. Вып. 49. С. 30–35.
- Дзержинский Ф.Я., 2005. Сравнительная анатомия позвоночных животных. Изд. 2-е. М.: Аспект-Пресс. 281 с.
- Каплунова О.А., 2015. Юкстамедуллярный путь кровотока в почке (сравнительно-анатомический и возрастной аспекты) // Морфология. Т. 147. № 1. С. 53–58.
- Ложниченко О.В., Амплеева А.В., Хвостова С.М., 2010. Физиологические аспекты кроветворения в мезонефросе у осетровых рыб // Вестник АГТУ. Сер. Рыбное хозяйство. № 2. С. 106–110.
- Петренко В.М., 2009. Устройство периферического сосудистого русла как гидравлического редуктора // Международный журнал прикладных и фундаментальных исследований. № 5. С. 86–87.
- Тимакова Т.К., Флёрова Е.А., Заботкина Е.А., 2014. Методы световой и электронной микроскопии в биологии и ветеринарии: учебно-методическое пособие. Ярославль: ФГБОУ ВПО “Ярославская ГСХА”. 72 с.
- AL-Muhanna M.W.H., 2018. Anatomical and histological study of the kidney of Caracus caracus (Linnaeus, 1758) // Journal of Pharmaceutical Sciences and Research. T. 10. № 4. P. 794–797.
- Betancur R.R., Wiley E.O., Arratia G., Acero A., Bailly N., Miya M., Lecointre G., Orti G., 2017. Phylogenetic classification of bony fishes // BMC evolutionary biology. V. 17. P. 1–40.
- Bjørgen H., Koppang E.O., 2022. Anatomy of teleost fish immune structures and organs // Principles of Fish Immunology: From Cells and Molecules to Host Protection. P. 1–30.
- Charmi A., Parto P., Bahmani M., Kazemi R., 2010. Morphological and Histological Study of Kidney in Juvenile Great Sturgeon (Huso huso) and Persian Sturgeon (Acipenser persicus) // American-Eurasian Journal of Agricultural & Environmental Sciences. V. 7. № 5. P. 505–511.
- Chevalier R.L., 2017. Evolutionary nephrology // Kidney international reports. V. 2. № 3. P. 302–317.
- Dantzler W.H., 2016. Transport of Inorganic Ions by Renal Tubules // Comparative Physiology of the Vertebrate Kidney. New York: Springer. P. 81–157.
- Flerova E.A., Evdokimov E.G., 2022. New Data on Nephron Microanatomy and Ultrastructure of Senegal Bichir (Polypterus senegalus) // Biology. V. 11. P. 1374.
- Kovalchuk L.E., Likhacheva L.M., 1990. Ultrastruktura pochechnogo teltsa presnovodnykh ryb [Ultrastructure of the renal corpuscle of fresh water fishes] // Arkh. Anat. Gistol. Embriol. V. 99. № 8. P. 69–74.
- Lutek K., Foster K.L., Standen E.M., 2022. Behaviour and muscle activity across the aquatic–terrestrial transition in Polypterus senegalus // Journal of Experimental Biology. V. 225. № 23. P. jeb243902.
- Mohammed W.H., AL-Muhanna, 2018. Anatomical and histological study of the kidney of Caracus caracus (Linnaeus, 1758) // Journal of Pharmaceutical Sciences and Research. V. 10. № 4. P. 794–797.
- Mokhtar D.M., 2021. The structural and ultrastructural organization of the cellular constituents of the trunk kidney of grass carp (Ctenopharyngodon idella) // Microscopy Research and Technique. V. 84. № 3. P. 537–547.
- Morovvati H., Mahabady M.K., Shahbazi1 S., 2012. Histomorphological and anatomical study of kidney in berzem (Barbus pectoralis) // International Journal of Fisheries and Aquaculture. V. 4. № 11. P. 221–227.
- Near T.J., Eytan R.I., Dornburg A., Kuhn K.L., Moore J.A., Davis M.P., Wainwright P.C., Friedman M., Smith W.L. et al., 2012. Resolution of ray-finned fish phylogeny and timing of diversification // Proceedings of the National Academy of Science. V. 109. № 34. P. 13 698–13 703.
- Ojeda J.L., Icardo J.M., Domezain A., 2003. Renal corpuscle of the sturgeon kidney: An ultrastructural, chemical dissection, and lectin-binding study // The Anatomical Record Part A: Discoveries in Molecular, Cellular, and Evolutionary Biology. V. 272. № 2. P. 563–573.
- Ojeda J.L., Icardo J.M., Wong W.P., Ip Y.K., 2006. Microanatomy and ultrastructure of the kidney of the African lungfish Protopterus dolloi // The Anatomical Record Part A: Discoveries in Molecular, Cellular, and Evolutionary Biology: An Official Publication of the American Association of Anatomists. V. 288. № 6. P. 609–625.
- Roduit N., 2005. Two complementary efficient methods to quantify porosity types in digital images of thin sections with the software JMicroVision // Abstract, Scenic Sedimentology, 24th IAS Meeting.
- Senarat S., Kettratad J., Poolprasert P., Yenchum W., 2013. Anterior Kidney of the Yellow mystus, Hemibagrus filamentus (Fang and Chaux, 1949) // Agricultural Technology and Biological Sciences: Walailak Journal of Science and Technology. V. 10. № 6. P. 597–600.
- Standen E.M., Standen E.M., Du T.Y., Laroche P., Larsson H.C., 2016. Locomotor flexibility of Polypterus senegalus across various aquatic and terrestrial substrates // Zoology. V. 119. № 5. P. 447–454.
- Zeinab M.E., Manal M.R., Souad A.K., Tasneem R.E., 2015. Comparative studies on the adaptive renal structures of some teleost fish species inhabiting different habitats // Journal of Bioscience and Applied Research. V. 1. № 6. P. 256–265.





