Structural features of skeletal muscle titin aggregates
- Authors: Bobyleva L.G.1, Uryupina T.A.1, Penkov N.V.2, Timchenko M.A.1, Ulanova A.D.1, Gabdulkhakov A.G.3, Vikhlyantsev I.M.1, Bobylev A.G.1
-
Affiliations:
- Institute of Theoretical and Experimental Biophysics Russian Academy of Sciences
- Institute of Cell Biophysics Russian Academy of Sciences
- Institute of Protein Research Russian Academy of Sciences
- Issue: Vol 58, No 2 (2024)
- Pages: 314-324
- Section: СТРУКТУРНО-ФУНКЦИОНАЛЬНЫЙ АНАЛИЗ БИОПОЛИМЕРОВИ ИХ КОМПЛЕКСОВ
- URL: https://journals.rcsi.science/0026-8984/article/view/265746
- DOI: https://doi.org/10.31857/S0026898424020143
- EDN: https://elibrary.ru/MYWWYU
- ID: 265746
Cite item
Full Text
Abstract
Titin is a multidomain protein of striated and smooth muscles of vertebrates. The protein consists of repeating immunoglobulin-like (Ig) and fibronectin-like (FnIII) domains, which are β-sandwiches with a predominant β-structure, and also contains disordered regions. In this work, the methods of atomic force microscopy (AFM), X-ray diffraction and Fourier transform infrared spectroscopy were used to study the morphology and structure of aggregates of rabbit skeletal muscle titin obtained in two different solutions: 0.15 M glycine-KOH, pH 7.0 and 200 mM KCl, 10 mM imidazole, pH 7.0. According to AFM data, skeletal muscle titin formed amorphous aggregates of different morphology in the above two solutions. Amorphous aggregates of titin formed in a solution containing glycine consisted of much larger particles than aggregates of this protein formed in a solution containing KCl. The “KCl-aggregates” according to AFM data had the form of a “sponge”-like structure, while amorphous “glycine-aggregates” of titin formed “branching” structures. Spectrofluorometry revealed the ability of titin “glycine aggregates” to bind to the dye thioflavin T (TT), and X-ray diffraction revealed the presence of one of the elements of the amyloid cross β-structure, a reflection of ~4.6 Å, in these aggregates. These data indicate that the “glycine-aggregates” of titin are amyloid or amyloid-like. No similar structural features were found in titin “KCl-aggregates”; they also did not show the ability to bind to thioflavin T, indicating the non-amyloid nature of these titin aggregates. Fourier transform infrared spectroscopy revealed differences in the secondary structure of the two types of titin aggregates. The data obtained demonstrate the features of structural changes during the formation of intermolecular bonds between molecules of the giant titin protein during its aggregation. The data expand the understanding of the process of amyloid protein aggregation.
Full Text
Сокращения: TT – тиофлавин T; АСМ – атомно-силовая микроскопия; ИК-Фурье – Инфракрасная спектроскопия с преобразованием Фурье.
ВВЕДЕНИЕ
Известно, что формирование пространственной структуры играет важную роль в выполнении белками своих функций и, следовательно, в жизни клетки [1, 2]. Однако по некоторым причинам, еще не до конца выясненным, нативная структура белков или пептидов начинает изменяться, что приводит к неправильному их сворачиванию и дальнейшей агрегации. Накопление агрегированных форм белков в органах и тканях человека и животных приводит к нарушению функционирования клеток с последующей их гибелью и развитием патологических изменений в организме. Заболевания, при которых в тканях накапливаются агрегированные формы белков – амилоидные агрегаты, называются амилоидозами [3, 4]. К наиболее известным амилоидозам относятся болезни Альцгеймера и Паркинсона, сахарный диабет типа 2, прионные заболевания, системные амилоидозы и др. [5–7]. Для амилоидных агрегатов характерно формирование четвертичной кросс-β-структуры [8, 9], благодаря которой амилоиды имеют высокую прочность, приобретают устойчивость к воздействию различных химических растворителей и к протеолитическому расщеплению. Методов лечения амилоидозов на сегодняшний день не существует. Это связано в первую очередь с отсутствием полного понимания процесса амилоидной агрегации на уровне структуры белковых агрегатов.
Представления о процессе амилоидной агрегации расширяют открытие функциональных амилоидов, в число которых входят амилоидные агрегаты белков курлина (curli, Escherichia coli), тафи (tafi, Salmonella spp.), чаплина (chaplin, Streptomyces coelicolor) [10–13]. Амилоиды этих белков участвуют в процессах адгезии клеток, в формировании биопленок; амилоиды чаплина связаны с образованием воздушных гиф и рассеиванием спор [13]. Функциональные амилоиды обнаружены и у эукариотических организмов. С использованием морского моллюска Aplysia (seaslug) показано, что прионная форма белка CPEB (cytoplasmic polyadenylation element-binding protein) участвует в процессах хранения памяти с помощью механизмов, приводящих к долговременным синаптическим изменениям [14]. Функциональные амилоиды обнаружены и в организме млекопитающих. Показано, что белок Mα (компонент Pmel17) человека формирует в меланосомах амилоидные агрегаты, служащие каркасом для связывания с меланином и защищающие клетки от УФ-излучения, повреждающего ДНК [15, 16].
Таким образом, амилоидные агрегаты подразделяются на патологические и функциональные, эти два типа агрегатов имеют структурные различия. Предполагается, что амилоидные белки агрегируют по-разному.
Объектом нашего исследования является гигантский мышечный белок титин (тайтин/коннектин), открытый в конце 70-х гг. прошлого века [17, 18]. К настоящему времени показано, что в результате альтернативного сплайсинга мРНК гена титина (ttn) в поперечно-полосатых мышцах млекопитающих образуются изоформы этого белка, имеющие разную длину и молекулярную массу ~700–3900 кДа [19–21]. В гладких мышцах позвоночных обнаружены изоформы титина с молекулярной массой 500–2000 кДа [20, 22]. Благодаря своей уникальной структуре и положению в саркомере титин играет особенно важную роль в формировании упругоэластичных свойств миофиламентов, действуя как молекулярная пружина, и, наряду с коллагеном, является основной детерминантой пассивной упругой силы в мышечных клетках [23–26].
Исследования, проведенные нами ранее на препаратах титина (м. м. 500 и 1500 кДа), изолированного из гладких мышц, выявили его способность формировать олигомеры и крупные амилоидные агрегаты in vitro [27–29]. Более низкомолекулярная изоформа титина (500 кДа) обладает способностью формировать разные типы агрегатов в растворах: 0.15 М глицин-КОН, pH 7.0 и 200 мM KCl, 10 мM имидазол, pH 7.0. Агрегаты гладкомышечного титина, сформированные в указанных растворах, имеют разную морфологию и способность связываться с красителем тиофлавином Т (ТТ) [28]. При этом методом рентгеновской дифракции у обоих типов агрегатов гладкомышечного титина обнаружены рефлексы ~10 и ~4.8 Å, что указывает на наличие четвертичной кросс-β-структуры, свойственной амилоидным фибриллам.
В данной работе методами атомно-силовой микроскопии (АСМ), рентгеновской дифракции и инфракрасной спектроскопии с преобразованием Фурье (ИК-Фурье) изучена морфология и структура агрегатов титина скелетных мышц кролика, полученных в двух разных растворах. Молекулярная масса скелетномышечного титина составила ~2000 кДа. Данная работа является логическим продолжением наших сравнительных исследований агрегационных свойств как более низкомолекулярных, так и более высокомолекулярных изоформ титина.
ЭКСПЕРИМЕНТАЛЬНАЯ ЧАСТЬ
Выделение титина из скелетных мышц кролика. Титин выделяли из скелетных мышц задних конечностей кролика согласно [30] и очищали методом гель-фильтрации на колонке с носителем Sepharose-CL2B. Концентрацию титина определяли спектрофотометрически (спектрофотометр SPECORD UV VIS), используя значение коэффициента экстинкции (Е2801 мг/мл), равное 1.37 [31].
Гель-электрофорез в денатурирующих условиях и Вестерн-блотинг титина. Гель-электрофорез титина в денатурирующих условиях (ДСН-ЭФ) проводили согласно [32] и [33] с незначительной нашей модификацией. В частности, мы использовали разделяющий гель, содержащий 6.5–7% полиакриламида, приготовленный по методике, описанной в [33]. Гели окрашивали Coomassie Brilliant Blue G-250 и R-250, смешанными в соотношении 1:1. Молекулярную массу титина определяли с использованием программного обеспечения TotalLab v1.11. В качестве маркеров молекулярных масс использовали актин (42 кДа), тяжелые цепи миозина (205 кДа), небулин (770 кДа) и Т2-фрагменты титина (~2000 кДа).
Вестерн-блотинг титина проводили согласно [34] с нашими модификациями. В частности, белки переносили из геля на PVDF-мембраны в течение 48 ч. Для определения титина с помощью Вестерн-блот-анализа использовали моноклональные антитела АB5 к участку молекулы титина, расположенному около М-линии саркомера, любезно предоставленные John Trinick, а также 9D10 антитела к PEVK-фрагменту молекулы белка (Висконсин, США). В качестве вторичных антител, конъюгированных с пероксидазой хрена, использовали антитела к IgG мыши (“Sigma”, США).
Условия образования агрегатов титина скелетных мышц. Очищенный титин в колоночном буфере (0.6 М KCl, 30 мМ KH2PO4, 1 мМ DTT, 0.1 М NaN3, pH 7.0) использовали для образования агрегатов. Агрегаты скелетномышечного титина (с концентрацией 0.2–0.4 мг/мл) формировали диализом в течение 24 ч при 4 °С против растворов, содержащих 0.15 М глицин-КОН, рН 7.0 и 200 мМ KCl, 10 мM имидазол, pH 7.0.
Атомно-силовая микроскопия (АСМ). Все образцы выдерживали на слюде в течение 5 мин, затем промывали водой (2 раза по 30 с), сушили и анализировали структуру полученных комплексов методом АСМ Integra-Vita (“NT-MDT“, Россия) с использованием кантилеверов NSG03 с радиусом скругления кончика 10 нм и резонансной частотой 47–150 кГц. Измерения проводили в полуконтактном (постукивающем) режиме. Полученные изображения анализировали с помощью программного обеспечения Nova (“NT-MDT”).
Флуориметрический анализ с использованием красителя тиофлавина Т. Амилоидную природу агрегатов скелетномышечного титина оценивали по интенсивности флуоресценции TT при весовом соотношении (w/w) TT/титин, равном 1 : 5. Флуоресценцию измеряли при λex = 440 нм и λem = 488 нм на спектрофлуориметре CaryEclipse (“Varian”, США).
Инфракрасная спектроскопия с преобразованием Фурье. Измерения проводили на ИК-Фурье-спектрометре Nicolet 6700 производства компании “ThermoScientific” (США), оснащенном приставкой Smart Proteus с Пельтье-контролируемым кюветодержателем в режиме пропускания в кювете из кристаллического фторида кальция с оптическим путем 10 мкм, используя детектор DTGS (сканирование в диапазоне волновых чисел от 650 до 4000 см-1 с разрешением 1 см-1, усреднение по 256 спектрам). Прибор откалиброван в соответствии с инструкциями компании-производителя.
ИК-спектры растворов препаратов титина в соответствующем буфере и спектры самого буфера измеряли при 23 °C. Концентрация белка составила 36–42 мг/мл. Белок был сконцентрирован путем разведения лиофилизированного образца в наименьшем количестве буферного раствора. После агрегации образцы центрифугировали и использовали осадок, разведенный в 30–50 мкл. Для каждого измерения рассчитывали оптический путь кюветы из CaF2, исходя из величины оптической плотности образца на 3404 см-1, используя величину поглощения воды при оптическом пути 1 мкм, равную 0.533 AU, с поправкой на концентрацию белка в пробе [35]. Оптический путь кюветы составлял (10 ± 0.1) мкм. ИК-спектр препарата белка измеряли не менее 8 раз, чередуя с измерением спектра буфера. Из каждого спектра белка вычитали спектр буфера, учитывая разницу величины оптического пути в измерениях. Каждый разностный спектр анализировали в диапазоне волновых чисел 1725–1481 см-1 на предмет содержания элементов вторичной структуры в белке, следуя принципам, описанным в работе [36]. Результаты определения содержания элементов вторичной структуры в белке усредняли. Приведены стандартные отклонения величин содержания элементов вторичной структуры в белке. Во время измерений добивались стандартизированного снижения содержания паров воды и CO2 в спектрометре путем его продувки, используя FT-IR Purge Gas Generator 74−5041 (“Parker Hannifin Corp.”, США).
Рентгеновская дифракция. Агрегаты титина для рентгеноструктурного анализа, полученные после 24-часовой инкубации при 4 °C в соответствующих растворах, подвергали лиофилизации. Лиофилизированные агрегаты титина растворяли в минимальном объеме деионизированной воды (Milli-Q) до концентрации > 10 мг/мл. Капли препаратов белка помещали между концами покрытых воском стеклянных капилляров (диаметром около 1 мм), разделенных примерно на 1.5 мм, для дальнейшего высушивания на воздухе. Это необходимо для выравнивания фибрилл в том случае, если они присутствуют в образце. Буферные растворы (контроль) помещали в специальные стеклянные капилляры “для рентгеновской дифракции”. Дифракционные изображения получены c использованием генератора Microstar X-ray с оптикой HELIOX, оснащенного CCD-детектором Platinum135 (X8 Proteumsystem, “Bruker AXS”, Германия). Использовали Cu Kα-излучение с λ = 1.54 Å (1 Å = 0.1 нм). Образцы располагали под прямым углом к рентгеновскому лучу с использованием четырехосного каппа-гониометра.
РЕЗУЛЬТАТЫ ИССЛЕДОВАНИЯ
ДСН-электрофорез и Вестерн-блотинг титина скелетных мышц кролика
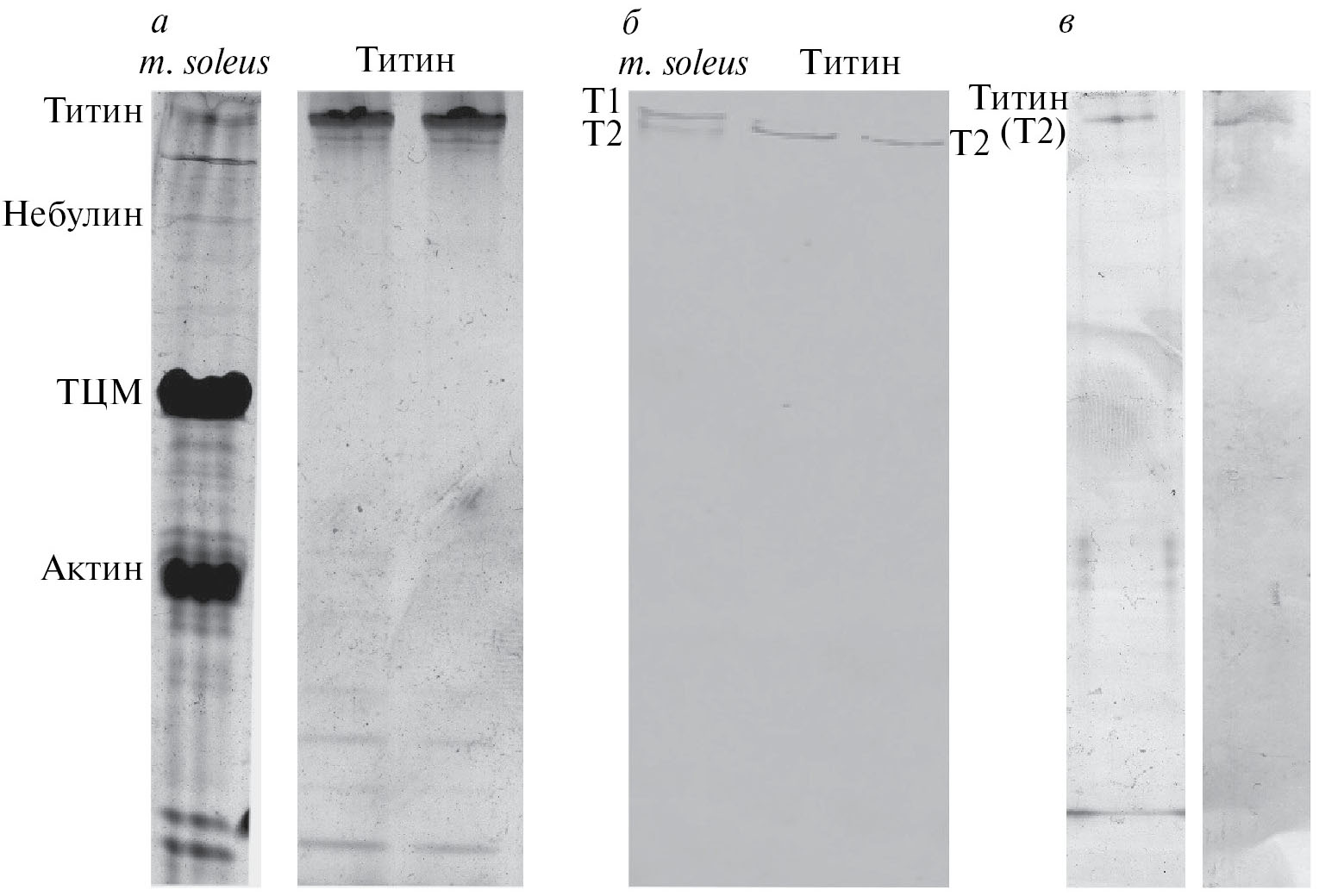
На рис. 1а представлены результаты ДСН-ЭФ в 7%-ном полиакриламидном геле, приготовленном по методу [33], препаратов очищенного скелетномышечного титина (две правые дорожки), а также экстракта белков m. soleus в качестве контроля (левая дорожка). Препараты титина содержали около 10% низкомолекулярной примеси, т. е. чистота выделенного белка составила ~90%. На рис. 1б представлена картина Вестерн-блотинга титина после ДСН-ЭФ в 2.2%-ном укрепленном агарозой полиакриламидном геле, согласно [32]. Видно, что препараты скелетномышечного титина соответствуют по молекулярной массе Т2-фрагменту этого белка. Методом Вестерн-блотинга с использованием моноклональных антител АВ5 к участку молекулы титина, расположенному около М-линии саркомера (рис. 1б), и 9D10 к PEVK-фрагменту титина, расположенному в I-зоне саркомера (рис. 1в, правая дорожка), подтверждено, что выделенный белок является титином.
Рис. 1. ДСН-гель-электрофорез и Вестерн-блотинг титина скелетных мышц кролика. а – ДСН-ЭФ препарата очищенного титина (две правые дорожки). Левая дорожка – m. soleus кролика (контроль). Электрофорез проведен в 7%-ном полиакриламидном геле. Указаны полосы актина, тяжелых цепей миозина (ТЦМ), небулина и титина. б – Вестерн-блотинг титина с использованием моноклональных антител АВ5. Электрофорез проведен в 2.2%-ном полиакриламидном геле, укрепленном агарозой. Левая дорожка – m. soleus кролика (контроль). Две правые дорожки – очищенные препараты титина. в – ДСН-ЭФ в 7%-ном полиакриламидном геле препарата очищенного титина (дорожка слева) и Вестерн-блотинг титина с использованием моноклональных антител 9D10 (дорожка справа). Т1 – полноразмерные молекулы титина, расположенные в саркомере от M-линии до Z-диска. Т2 – фрагменты титина-1, расположенные в А-диске саркомера вдоль миозиновых нитей.
АСМ агрегатов скелетномышечного титина
Как показано ранее методом АСМ, гладкомышечный титин способен формировать аморфные агрегаты [28]. С помощью АСМ нами обнаружено, что в растворе, содержащем 200 мМ KCl, 10 мM имидазол, pH 7.0, титин скелетных мышц кролика формирует структуры, напоминающие губку. Нити этих агрегатов имели в основном высоту 4–5 нм (рис. 2б). По данным АСМ в растворе, содержащем 0.15 М глицин-KOH, рН 7.0, агрегаты скелетномышечного титина выглядели как ветвящиеся цепочки, состоящие из сферических агрегатов диаметром около 100–200 нм и высотой 20–60 нм (рис. 2а).
Рис. 2. Атомно-силовая микроскопия агрегатов титина. а – Атомно-силовая микроскопия агрегатов титина в растворе 0.15 М глицин-КОН, рН 7.0; квадраты 50 и 10 мкм2. б – Атомно-силовая микроскопия агрегатов титина в растворе 200 мМ KCl, 10 мM имидазол, pH 7.0; квадраты 10 и 4.5 мкм2. Время формирования агрегатов при 4 °С – 24 ч.
Исследование связывания агрегатов скелетномышечного титина с красителем тиофлавином Т
В ходе эксперимента мы измеряли интенсивность флуоресценции ТТ в присутствии агрегатов титина, сформированных после 24 ч агрегации в растворах, содержащих KCl или глицин (рис. 3а). Интенсивность флуоресценции ТТ в присутствии агрегатов титина, сформированных в растворе, содержащем KCl, не возрастала и была даже ниже по сравнению с интенсивностью в присутствии молекулярной формы титина (рис. 3а). Интенсивность флуоресценции ТТ в присутствии агрегатов титина, сформированных в растворе, содержащем глицин, была значительно выше, чем в присутствии молекулярной формы титина (рис. 3а). Связывание ТТ с “глицин-агрегатами” титина подтверждает их амилоидную природу.
Рис. 3. а – Интенсивность флуоресценции ТТ в присутствии титина и агрегатов этого белка, сформированных в течение 24 ч в растворах, содержащих 0.15 М глицин-КОН, рН 7.0 (4, фиолетовый цвет) и 200 мМ KCl, 10 мM имидазол, pH 7.0 (2, зеленый цвет). Красный цвет (3) – интенсивность флуоресценции ТТ в присутствии молекулярной формы титина; б – ИК-Фурье-спектры титина и его агрегатов при 20 °C. Концентрация белка 36–42 мг/мл. Неагрегированный скелетномышечный титин (1, черный цвет). Агрегаты скелетномышечного титина, сформированные в растворе 200 мМ KCl, 10 мM имидазол, pH 7.0 (2, красный цвет). Агрегаты скелетномышечного титина, сформированные в растворе 0.15 М глицин-КОН, рН 7.0 (3, зеленый цвет).
ИК-Фурье-спектроскопия агрегатов скелетномышечного титина
Вторичную структуру двух типов агрегатов скелетномышечного титина мы изучали с помощью ИК-Фурье-спектроскопии. На рис. 3б представлены данные ИК-спектроскопии с преобразованием Фурье, полученные при 20 °C. Экспериментальные данные анализировали, следуя принципам, описанным в работе [36].
Из полученных данных видно, что образцы титина содержат большой процент неупорядоченной структуры, и в процессе агрегации количество неупорядоченности растет (табл. 1). Отдельно стоит указать, что в агрегатах титина, сформированных в растворе, содержащем KCl, отсутствуют α-спиральные участки и увеличен процент β-складок по сравнению с неагрегированной формой белка (табл. 1).
Таблица 1. Содержание вторичных структур в образцах титина и его агрегатах*
Образец | α-Спираль, % | β-Участок, % | Неупорядоченная структура, % |
Титин | 32 ± 2.0 | 14 ± 1.0 | 54 ± 2.0 |
Агрегаты титина (0.15 М глицин-КОН) | 14 ± 1.0 | 6 ± 1.0 | 80 ± 3.0 |
Агрегаты титина (200 мМ KCl) | 0 | 32 ± 1.5 | 68 ± 2.0 |
*Представлены результаты двух экспериментов. ИК-спектр препаратов белка измеряли не менее 8 раз, чередуя с измерением спектра буфера.
Молекулярный титин имеет спектр поглощения с широкой полосой амида I’ с максимумом при ~1637 см-1 (рис. 3б, кривая черного цвета). Агрегаты титина, сформированные в KCl-содержащем растворе, имеют спектр полосы амида I‘ с двумя пиками одинаковой интенсивности (одинаковыми по амплитуде) с максимумами при ~1619 и ~1670 см-1 соответственно (рис. 3б, кривая красного цвета). Агрегаты титина, сформированные в глицинсодержащем растворе, напротив, имеют спектр с более узкой полосой амида I’ с максимумом при 1663 см-1 (рис. 3б, кривая зеленого цвета) и дополнительный низкоинтенсивный пик (слабый по амплитуде пик) при 1627 см-1.
Исследование агрегатов скелетномышечного титина методом рентгеновской дифракции
С помощью метода дифракции рентгеновских лучей в агрегатах титина, сформированных в растворе, содержащем глицин, выявили следующие значения рефлексов: 5.9; 4.6; 4.3; 3.8; 3.6; 3.1; 3.04; 2.97; 2.8; 2.6; 2.53; 2.43 Å (рис. 4а); в агрегатах белка, сформированных в растворе, содержащем KCl, выявлены следующие значения рефлексов: 18.5; 12.5; 4.1; 3.7; 2.9; 2.48 Å (рис. 4б). Ярко выраженный рефлекс 4.6 Å у агрегатов титина, сформированных в глицинсодержащем растворе, характеризует расстояние между полипептидными цепями в кросс-β-структуре амилоидных белков [37–40].
Рис. 4. Рентгеновская дифракция агрегатов титина скелетных мышц кролика после 24 ч агрегации. а – Картина рентгеновской дифракции аморфных агрегатов титина, сформированных в растворе, содержащем 0.15 М глицин-КОН, рН 7.0. Обнаружены следующие рефлексы: 5.9; 4.6; 4.3; 3.8; 3.6; 3.1; 3.04; 2.97; 2.8; 2.6; 2.53; 2.43 Å. Рефлекс ~4.6 Å относится к элементу кросс-β-структуры и характеризует расстояние между полипептидными цепями; б – Картина рентгеновской дифракции аморфных агрегатов титина, сформированных в растворе, содержащем 200 мМ KCl, 10 мM имидазол, pH 7.0. Обнаружены следующие рефлексы: 18.5; 12.5; 4.1; 3.7; 2.9; 2.48 Å.
ОБСУЖДЕНИЕ РЕЗУЛЬТАТОВ
Молекулярная масса очищенного скелетномышечного титина составила ~2000 кДа, что соответствует так называемому Т2-фрагменту титина – основной части молекулы, взаимодействующей в А-зоне саркомера с миозиновыми нитями. При этом молекулярная масса части молекул титина, по всей вероятности, была больше, поскольку молекулы содержат PEVK-участок титина (рис. 1в, окраска антителами 9D10), расположенный в I-зоне саркомера. Таким образом, на данный момент это самый большой белок, обладающий способностью формировать амилоидоподобные агрегаты.
При подборе условий агрегации скелетномышечного титина мы руководствовались более ранними данными, полученными нами для гладкомышечного титина [28]. В частности, обнаружено, что в растворах 0.15 M глицин-KOH, pH 7.0 и 200 мМ KCl, 10 мМ имидазол, pH 7.0 две изоформы гладкомышечного титина (500 и ~1500 кДа) формируют аморфные агрегаты разной морфологии. Агрегаты подобной морфологии формирует в этих растворах и титин скелетных мышц кролика (рис. 2).
Обсуждая полученные результаты, следует обратить внимание на то, что ветвящиеся структуры, подобные “глицин-агрегатам” скелетномышечного, а также гладкомышечного титина, найдены у белка Pmel17, который формирует функциональные амилоиды [41]. Изучая полиморфизм домена RPT белка Pmel17, обнаружили возможность двух разных путей агрегации данного домена, которые демонстрируют полиморфизм при кислых значениях pH. В диапазоне значений рН 4.5–6 агрегация RPT-домена протекает по типичному механизму, зависящему от зародышеобразования, что приводит к образованию высокоупорядоченных богатых β-складчатостью изогнутых нитевидных фибрилл. При этом при рН < 4.5 агрегация происходит посредством быстрого процесса полимеризации, независимого от зародышеобразования, который дает дендритные агрегаты, имеющие более низкую степень внутренней упаковки. Эти дендритные наноструктуры могут быть преобразованы в более стабильные фибриллы путем изменения pH. Поразительное морфологическое сходство агрегатов RPT-домена функционального амилоидного белка Pmel17 и титина указывает на возможные сходные механизмы укладки их молекул.
Однако титин, в отличие от Pmel17, формирует различные агрегаты не в зависимости от изменения рН среды, а в зависимости от ионной силы раствора. При этом главные особенности двух типов агрегатов скелетномышечного и гладкомышечного титина, сформированных в разных растворах, заключаются в наличии или отсутствии у них амилоидных свойств. Так, изучение связывания агрегатов и гладкомышечного [28], и скелетномышечного (рис. 3а) титина с красителем ТТ показало, что с ТТ связываются только агрегаты, сформированные при более низкой ионной силе в растворе, содержащем глицин, но не “KCl-агрегаты”. Из этого следует, что агрегаты титина, сформированные в растворе с глицином, являются амилоидными, в отличие от агрегатов второго типа. Этот вывод подтверждается результатами проведенного нами изучения структуры двух типов агрегатов титина методом рентгеновской дифракции. Известно, что амилоидные белки имеют специфическую кросс-β-структуру, дифракционная картина которой, полученная методом рентгеновской дифракции, характеризуется наличием двух рефлексов: ~10–12 и ~4.6–4.8 Å [37, 40]. Рефлекс ~10 Å указывает на расстояние между β-листами, а рефлекс ~4.6 Å – на расстояние между полипептидными цепями в кросс-β-структуре. Ярко выраженный “амилоидный” рефлекс 4.6 Å наблюдается у агрегатов скелетномышечного титина, сформированных в растворе, содержащем глицин, а не KCl (рис. 4). Второй “амилоидный” рефлекс отсутствует. Подобные результаты получены ранее для амилоидных фибрилл некоторых форм α-синуклеина, у которых методом рентгеновской дифракции также обнаружен только один рефлекс (4.6 Å) [42]. Таким образом, учитывая данные по связыванию “глицин-агрегатов” скелетномышечного титина с TТ, а также данные рентгеновской дифракции, можно заключить, что эти агрегаты титина являются амилоидными или амилоидоподобными. Отсутствие у этих агрегатов рефлекса 10 Å, характеризующего расстояние между β-листами, может указывать на большое содержание неструктурированных участков, что и обнаружено в наших экспериментах методом ИК-Фурье-спектроскопии (табл. 1).
У агрегатов титина, сформированных в растворе, содержащем KCl, присутствовали рефлексы 12.5 и 18.5 Å (рис. 4б). Природа этих рефлексов не ясна. Отсутствуют публикации, подтверждающие, что подобные рефлексы указывают на амилоидную природу фибрилл/агрегатов белка. Этот факт и то, что “KCl-агрегаты” титина не связывают ТТ, указывают на их неамилоидную природу.
Для обоих агрегатов скелетномышечного титина получены и другие рефлексы, помимо описанных. В частности, 2.4; 2.9; 3.1; 3.7; 3.8; 4.3; 4.6 Å (рис. 4а), обнаруженные ранее у агрегатов гладкомышечного титина, сформированных в растворе, содержащем глицин [28], и рефлексы 3.7; 2.5 Å (рис. 4б) у агрегатов титина, сформированных в растворе, содержащем KCl [28]. Часть рефлексов, не относящихся к кросс-β-структуре, мы постарались идентифицировать и описали ранее [43].
Необходимо отдельно обсудить данные, полученные с помощью ИК-Фурье-спектроскопии. Амилоидные фибриллы и нативные белки с конформацией β-листа имеют максимумы в пределах двух характерных, хотя и частично перекрывающихся, спектральных областей [44]. Диапазон спектра, характерный непосредственно для амилоидных фибрилл, находится в пределах от 1611 до 1630 см-1, тогда как нативные белки со структурой β-листа имеют пики амида I’ в пределах между 1630 и 1643 см-1. Кроме того, существуют также различия в форме полосы амида I’, поскольку нативные белки со структурой β-листа имеют более широкие максимумы [44]. В нашем случае скелетномышечный титин в неагрегированной форме имеет спектр поглощения с широкой полосой амида I’ и с максимумом при ~1637 см-1, что характеризует его как нативный белок со структурой β-листа (рис. 3б, черная кривая). Фибриллы титина, сформированные в растворе, содержащем KCl, дают спектр полосы амида I’ с двумя пиками одинаковой интенсивности: 1619 и 1670 см-1 (рис. 3б, красная кривая). Пик с максимумом ~1619 см-1 относится к “амилоидным”, однако по форме он очень широкий. Учитывая данные рентгеновской дифракции, не выявившие “амилоидные” рефлексы у “KCl-агрегатов” титина, а также отсутствие связывания этих агрегатов с ТТ, можно предположить, что наличие максимума ~1619 см-1 может указывать на межмолекулярную водородную связь при отсутствии амилоидной структуры. Подобные структурные изменения могут быть следствием мисфолдинга, известного для отдельных доменов титина [45].
Фибриллы титина, сформированные в растворе, содержащем глицин, помимо основного пика с максимумом 1663 см-1, имеют явно выраженный низкоинтенсивный пик (слабый по амплитуде) на 1627 см-1 (рис. 3б, зеленая кривая). Этот пик соответствует характеристикам амилоидных агрегатов, при этом он не является основным, поэтому можно предположить, что амилоидную структуру в “глицин-агрегатах” титина имеют лишь отдельные участки его молекул при формировании соответствующих межмолекулярных связей. И количество таких участков незначительно.
Таким образом, совокупность полученных нами разными методами данных может указывать на то, что амилоидные агрегаты титина, сформированные в растворе, содержащем глицин, относятся к амилоидоподобным. Полученные данные об агрегации скелетного титина расширяют наши знания о процессе амилоидной агрегации белков.
Работа выполнена при финансовой поддержке гранта Российского научного фонда (№ 22-24-00805).
Для выполнения работы использовали оборудование Регионального Пущинского центра коллективного пользования “Структурно-функциональные исследования биосистем” Института теоретической и экспериментальной биофизики РАН (https://www.ckp-rf.ru/catalog/ckp/3037/), базовую установку спектрофотометрии ИБК РАН, Федерального исследовательского центра “Пущинский научный центр биологических исследований Российской академии наук” (http://www.ckp-rf.ru/ckp/670266/).
В работе не использовали людей или животных в качестве объектов исследования.
Авторы заявляют об отсутствии конфликта интересов.
About the authors
L. G. Bobyleva
Institute of Theoretical and Experimental Biophysics Russian Academy of Sciences
Email: ivanvikhlyantsev@gmail.com
Russian Federation, Pushchino, Moscow Region, 142290
T. A. Uryupina
Institute of Theoretical and Experimental Biophysics Russian Academy of Sciences
Email: ivanvikhlyantsev@gmail.com
Russian Federation, Pushchino, Moscow Region, 142290
N. V. Penkov
Institute of Cell Biophysics Russian Academy of Sciences
Email: ivanvikhlyantsev@gmail.com
Russian Federation, Pushchino, Moscow Region, 142290
M. A. Timchenko
Institute of Theoretical and Experimental Biophysics Russian Academy of Sciences
Email: ivanvikhlyantsev@gmail.com
Russian Federation, Pushchino, Moscow Region, 142290
A. D. Ulanova
Institute of Theoretical and Experimental Biophysics Russian Academy of Sciences
Email: ivanvikhlyantsev@gmail.com
Russian Federation, Pushchino, Moscow Region, 142290
A. G. Gabdulkhakov
Institute of Protein Research Russian Academy of Sciences
Email: ivanvikhlyantsev@gmail.com
Russian Federation, Pushchino, Moscow Region, 142290
I. M. Vikhlyantsev
Institute of Theoretical and Experimental Biophysics Russian Academy of Sciences
Author for correspondence.
Email: ivanvikhlyantsev@gmail.com
Russian Federation, Pushchino, Moscow Region, 142290
A. G. Bobylev
Institute of Theoretical and Experimental Biophysics Russian Academy of Sciences
Email: bobylev1982@gmail.com
Russian Federation, Pushchino, Moscow Region, 142290
References
- Tsytlonok M., Craig P.O., Sivertsson E., Serquera D., Perrett S., Best R.B., Wolynes P.G., Itzhaki L.S. (2013) Complex energy landscape of a giant repeat protein. Structure. 21(11), 1954–1965. doi: 10.1016/j.str.2013.08.028
- Tian P., Best R.B. (2016) Best structural determinants of misfolding in multidomain proteins. PLoS Comput. Biol. 12(5), e1004933. doi: 10.1371/journal.pcbi.1004933
- Dobson C.M. (2003) Protein folding and misfolding. Nature. 426(6968), 884–890. doi: 10.1038/nature02261
- Rousseau F., Schymkowitz J., Itzhaki L.S. (2012) Implications of 3D domain swapping for protein folding, misfolding and function. Adv. Exp. Med. Biol. 747, 137–152. doi: 10.1007/978-1-4614-3229-6_9
- Knowles T.P., Vendruscolo M., Dobson C.M. (2014) The amyloid state and its association with protein misfolding diseases. Nat. Rev. Mol. Cell Biol. 15(6), 384–396. doi: 10.1038/nrm3810
- Dobson C.M. (2004) Experimental investigation of protein folding and misfolding. Methods. 34(1), 4–14. doi: 10.1016/j.ymeth.2004.03.002
- Buxbaum J.N., Linke R.P. (2000) A molecular history of the amyloidosis. J. Mol. Biol. 421(2–3), 142–159. doi: 10.1016/j.jmb.2012.01.024
- Sunde M., Serpell L.C., Bartlam M., Fraser P.E., Pepys M.B., Blake C.С. (1997) Common core structure of amyloid fibrils by synchrotron X-ray diffraction. J. Mol. Biol. 273(3), 729–739. doi: 10.1006/jmbi.1997.1348
- Nelson R., Eisenberg D. (2006) Recent atomic models of amyloid fibril structure. Curr. Opin. Struct. Biol. 16(2), 260–265. doi: 10.1016/j.sbi.2006.03.007
- Olsen A., Jonsson A., Normark S. (1989) Fibronectin binding mediated by a novel class of surface organelles on Escherichia coli. Nature. 338, 652–655.doi: 10.1038/338652a0
- Rçmling U., Bian Z., Hammar M., Sierralta W.D., Normark S. (1998) Curli fibers are highly conserved between Salmonella typhimurium and Escherichia coli with respect to open structure and regulation. J. Bacteriol. 180, 722–731. doi: 10.1128/JB.180.3.722-731.1998
- Otzen D., Nielsen P.H. (2008) We find them here, we find them there: functional bacterial amyloid. Cell Mol. Life Sci. 65(6), 910–927. doi: 10.1007/s00018-007-7404-4
- Claessen D., Rink R., de Jong W., Siebring J., de Vreughd P., Boersma F.G.H., Dijkhuizen L., Wçsten H.A.B. (2003) A novel class of secreted hydrophobic proteins is involved in aerial hyphae formation in Streptomyces coelicolor by forming amyloid-like fibrils. Genes Dev. 17, 1714–1726. doi: 10.1101/gad.264303
- Si K., Lindquist S.L., Kandel E.R. (2003) A neuronal isoform of the aplysia CPEB has prion-like properties. Cell. 115, 879–891. doi: 10.1016/s0092-8674(03)01020-1
- Fowler D.M., Koulov A.V., Alory-Jost C., Marks M.S., Balch W.E., Kelly J.W. (2006) Functional amyloid formation within mammalian tissue. PLoS Biol. 4, 1–8. doi: 10.1371/journal.pbio.0040006
- Berson J.F., Theos A.C., Harper D.C., Tenza D., Raposo G., Marks M.S. (2003) Proprotein convertase cleavage liberates a fibrillogenic fragment of a resident glycoprotein to initiate melanosome biogenesis. J. Cell. Biol. 161, 521–533.
- Wang K., McClure J., Tu A. (1979) Titin: major myofibrillar components of striated muscle. Proc. Natl. Acad. Sci. USA. 76(8), 3698–3702. doi: 10.1073/pnas.76.8.3698
- Maruyama K., Kimura S., Ohashi K., Kuwano Y. (1981) Connectin, an elastic protein of muscle. Identification of “titin” with connectin. J. Biochem. 89(3), 701–709. doi: 10.1093/oxfordjournals.jbchem.a133249
- Guo W., Bharmal S.J., Esbona K., Greaser M.L. (2010) Titin diversity–alternative splicing gone wild. J. Biomed. Biotechnol. 2010, 753675. doi: 10.1155/2010/753675
- Kim K., Keller T.C. 3rd. (2002) Smitin, a novel smooth muscle titin-like protein, interacts with myosin filaments in vivo and in vitro. J. Cell. Biol. 156, 101–111. doi: 10.1083/jcb.200107037
- Greaser M.L., Warren C.M., Esbona K., Guo W., Duan Y., Parrish A.M., Krzesinski P.R., Norman H.S., Dunning S., Fitzsimons D.P., Moss R.L. (2008) Mutation that dramatically alters rat titin isoform expression and cardiomyocyte passive tension. J. Mol. Cell. Cardiol. 44(6), 983–991. doi: 10.1016/j.yjmcc.2008.02.272
- Labeit S., Lahmers S., Burkart C., Fong C., McNabb M., Witt S., Witt C., Labeit D., Granzier H. (2006) Expression of distinct classes of titin isoforms in striated and smooth muscles by alternative splicing, and their conserved interaction with filamins. J. Mol. Biol. 362(4), 664–681. doi: 10.1016/j.jmb.2006.07.077
- Granzier H.L., Irving T.C. (1995) Passive tension in cardiac muscle: contribution of collagen, titin, microtubules, and intermediate filaments. Biophys. J. 68(3), 1027–1044. doi: 10.1016/s0006-3495(95)80278-x
- Linke W. (2008) Sense and stretchability: the role of titin and titin-associated proteins in myocardial stress-sensing and mechanical dysfunction. Cardiovasc. Res. 77(4), 637–648. doi: 10.1016/j.cardiores.2007.03.029
- Tskhovrebova L., Trinick J. (2010) Roles of titin in the structure and elasticity of the sarcomere. J. Biomed. Biotechnol. 2010, 612482. doi: 10.1155/2010/612482
- Gautel M. (2011b) The sarcomeric cytoskeleton: who picks up the strain? Curr. Opin. Cell Biol. 23(1), 39–46. doi: 10.1016/j.ceb.2010.12.001
- Bobylev A.G., Galzitskaya O.V., Fadeev R.S., Bobyleva L.G., Yurshenas D.A., Molochkov N.V., Dovidchenko N.V., Selivanova O.M., Penkov N.V., Podlubnaya Z.A., Vikhlyantsev I.M. (2016) Smooth muscle titin forms in vitro amyloid aggregates. Biosci. Rep. 36(3), e00334. doi: 10.1042/BSR20160066
- Yakupova E.I., Vikhlyantsev I.M., Bobyleva L.G., Penkov N.V., Timchenko A.A., Timchenko M.A., Enin G.A., Khutzian S.S., Selivanova O.M., Bobylev A.G. (2018) Different amyloid aggregation of smooth muscles titin in vitro. J. Biomol. Struct. Dyn. 36(9), 2237–2248. doi: 10.1080/07391102.2017.1348988
- Bobylev A.G., Fadeev R.S., Bobyleva L.G., Kobyakova M.I., Shlyapnikov Y.M., Popov D.V., Vikhlyantsev I.M. (2021) Amyloid aggregates of smooth-muscle titin impair cell adhesion. Int. J. Mol. Sci. 22(9), 4579. doi: 10.3390/ijms22094579
- Soteriou A., Gamage M., Trinick J. (1993) A survey of interactions made by the giant protein titin. J. Cell Sci. 104(Pt 1), 119–123. doi: 10.1242/jcs.104.1.119
- Trinick J., Knight P., Whiting A. (1984) Purification and properties of native titin. J. Mol. Biol. 180(2), 331–356. doi: 10.1016/s0022-2836(84)80007-8
- Vikhlyantsev I.M., Podlubnaya Z.A. (2017) Nuances of electrophoresis study of titin/connectin. Biophys. Rev. 9(3), 189–199. doi: 10.1007/s12551-017-0266-6
- Fritz J.D., Swartz D.R., Greaser M.L. (1989) Factors affecting polyacrilamide gel electrophoresis and electroblotting of high-molecular-weight myofibrillar proteins. Analyt. Biochem. 180(2), 205–210. doi: 10.1016/0003-2697(89)90116-4
- Towbin H., Staehelin T., Gordon J. (1989) Immunoblotting in the clinical laboratory. J. Clin. Chem. Clin. Biochem. 27(8), 495–501.
- Venyaminov S., Prendergast F.G. (1997) Water (H2O and D2O) molar absorptivity in the 1000–4000 cm-1 range and quantitative infrared spectroscopy of aqueous solutions. Anal. Biochem. 248(2), 234–245. doi: 10.1006/abio.1997.2136
- Venyaminov S.Y., Kalnin N.N. (1990) Quantitative IR spectrophotometry of peptide compounds in water (H2O) solutions. II. Amide absorption bands of polypeptides and fibrous proteins in α-, β-, and random coil conformations. Biopolymers. 30, 1259–1271. doi: 10.1002/bip.360301310
- Makin O.S., Serpell L.C. (2005) Structures for amyloid fibrils. FEBS J. 272(23), 5950–5961. doi: 10.1111/j.1742-4658.2005.05025.x
- Astbury W.T., Dickinson S., Bailey K. (1935) The X-ray diffraction interpretation of denaturation and the structure of seed globulins. Biochem. J. 29(10), 2351–2360. doi: 10.1042/bj0292351
- Eanes E.D., Glenner G.G. (1968) X-ray diffraction studies on amyloid filaments J. Histochem. Cytochem. 16(11), 673–677. doi: 10.1177/16.11.673
- Jahn T.R., Makin O.S., Morris K.L., Marshall K.E., Tian P., Sikorski P., Serpell L.C. (2010) The common architecture of cross-beta amyloid. J. Mol. Biol. 395(4), 717–727. doi: 10.1016/j.jmb.2009.09.039
- Dogra P., Bhattacharya M., Mukhopadhyay S. (2017) pH-Responsive mechanistic switch regulates the formation of dendritic and fibrillar nanostructures of a functional amyloid. J. Phys. Chem. B. 121(2), 412–419. doi: 10.1021/acs.jpcb.6b11281
- Serpell L.C., Berriman J., Jakes R., Goedert M., Crowther R.A. (2000) Fiber diffraction of synthetic alpha-synuclein filaments shows amyloid-like cross-beta conformation. Proc. Natl. Acad. Sci. USA. 97(9), 4897–4902. doi: 10.1073/pnas.97.9.4897
- Бобылёв А.Г., Якупова Э.И., Бобылёва Л.Г., Галзитская О.В., Никулин А.Д., Шумейко С.А., Юршенас Д.А., Вихлянцев И.М. (2020) Изменения структуры титина при его агрегации. Молекуляр. биология. 54(4), 643–652. doi: 10.31857/S0026898420040047
- Zandomeneghi G., Krebs M.R., McCammon M.G., Fändrich M. (2004) FTIR reveals structural differences between native beta-sheet proteins and amyloid fibrils. Protein Sci. 13(12), 3314–3321. doi: 10.1110/ps.041024904
- Borgia A., Kemplen K.R., Borgia M.B., Soranno A., Shammas S., Wunderlich B., Nettels D., Best R.B., Clarke J., Schuler B. (2015) Transient misfolding dominates multidomain protein folding. Nat. Commun. 6(8861), 8861. doi: 10.1038/ncomms9861
Supplementary files






