Идентификация мелиттинподобных белков с молекулярной массой 67 кДа, взаимодействующих с Na+/K+-ATPазой
- Авторы: Варфоломеева Л.А.1, Климанова Е.А.2, Сидоренко С.В.2, Федоров Д.А.2, Лопина О.Д.2
-
Учреждения:
- Институт биохимии им. А.Н. Баха, Федеральный исследовательский центр биотехнологии Российской академии наук
- Биологический факультет, Московский государственный университет им. М.В. Ломоносова
- Выпуск: Том 57, № 6 (2023)
- Страницы: 1077-1083
- Раздел: РОЛЬ РЕДОКС-ЗАВИСИМЫХ БЕЛКОВ В РЕАЛИЗАЦИИ РЕДОКС-РЕГУЛЯЦИИ КЛЕТОК
- URL: https://journals.rcsi.science/0026-8984/article/view/231955
- DOI: https://doi.org/10.31857/S0026898423060216
- EDN: https://elibrary.ru/QLKRWL
- ID: 231955
Цитировать
Полный текст
Аннотация
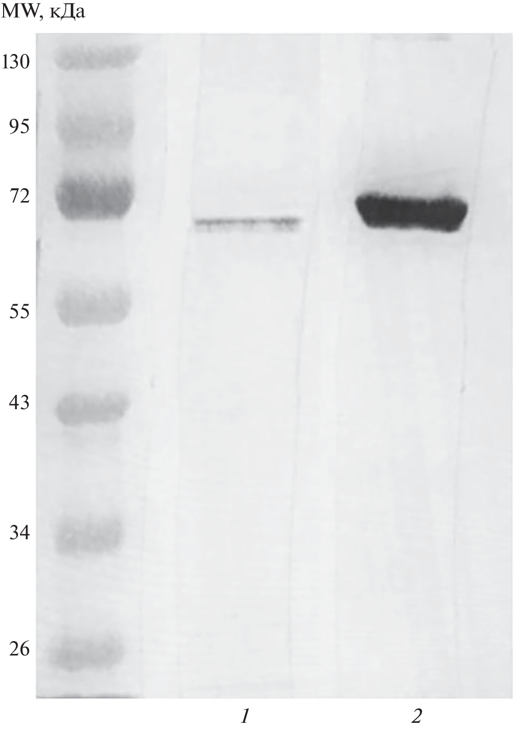
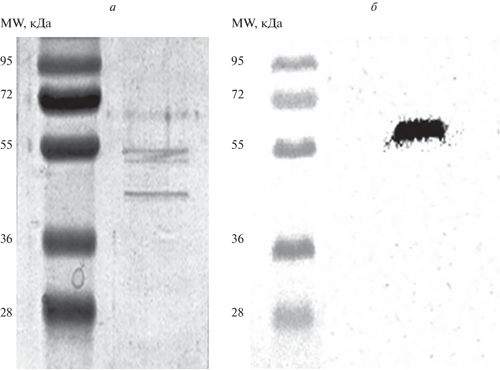
Установлено, что мелиттин, пептид из яда пчелы, взаимодействует со многими белками, включая белки-мишени кальмодулина и ионтранспортирующие АТРазы Р-типа. Предполагается, что мелиттин имитирует белковый модуль, участвующий в белок-белковых взаимодействиях внутри клеток. Ранее методом перекрестной иммунопреципитации установлено, что натрий-калиевая ATPаза (Na+/K+-АТРаза), содержащая α1-изоформу каталитической субъединицы, соосаждается с белком с молекулярной массой около 70 кДа, взаимодействующим с антителами против мелиттина. В присутствии специфического ингибитора Na+/K+-АТРазы (уабаина) количество белка с молекулярной массой 70 кДа, взаимодействующего с Na+/K+-АТРазой, возрастает. Для идентификации мелиттинподобного белка в почках мыши использовали метод аффинной хроматографии с иммобилизованными антителами, специфичными к мелиттину. В результате получена фракция мелиттинподобных белков с молекулярной массой около 70 кДа. Методом масс-спектрометрического анализа установлено, что в полученной белковой фракции содержится три молекулярных шаперона из суперсемейства Hsp70: митохондриальный mtHsp70 (морталин), Hsp73, Grp78 эндоплазматического ретикулума. Эти данные позволяют предполагать, что шапероны из суперсемейства Hsp70 содержат мелиттинподобный модуль.
Ключевые слова
Об авторах
Л. А. Варфоломеева
Институт биохимии им. А.Н. Баха, Федеральный исследовательский центр биотехнологииРоссийской академии наук
Email: klimanova.ea@yandex.ru
Россия, 119071, Москва
Е. А. Климанова
Биологический факультет, Московский государственный университет им. М.В. Ломоносова
Автор, ответственный за переписку.
Email: klimanova.ea@yandex.ru
Россия, 119234, Москва
С. В. Сидоренко
Биологический факультет, Московский государственный университет им. М.В. Ломоносова
Email: klimanova.ea@yandex.ru
Россия, 119234, Москва
Д. А. Федоров
Биологический факультет, Московский государственный университет им. М.В. Ломоносова
Email: klimanova.ea@yandex.ru
Россия, 119234, Москва
О. Д. Лопина
Биологический факультет, Московский государственный университет им. М.В. Ломоносова
Email: klimanova.ea@yandex.ru
Россия, 119234, Москва
Список литературы
- Raghuraman H., Chattopadhyay A. (2007) Melittin: a membrane-active peptide with diverse functions. Biosci. Rep. 27, 189–223.
- Dempsey C.E. (1990) The actions of melittin on membranes. Biochim. Biophys. Acta. 1031, 143–161.
- Kaetzel M.A., Dedman J.R. (1987) Identification of a 55-kDa high-affinity calmodulin-binding protein from Electrophorus electricus. J. Biol. Chem. 262, 1818–1822.
- Cuppoletti J., Abbott A.J. (1990) Interaction of melittin with the (Na+/K+)ATPase: evidence for a melittin-induced conformational change. Arch. Biochem. Biophys. 283, 249–257.
- Каманина Ю.В., Климанова Е.А., Дергоусова Е.А., Петрушанко И.Ю., Лопина О.Д. (2016) Идентификация участка полипептидной цепи α-субъединицы Na+/K+-АТРазы, взаимодействующего с мелиттинподобным белком c молекулярной массой 67 кДа. Биохимия. 81, 369–375.
- Cuppoletti J. (1990) [125I]azidosalicylyl melittin binding domains: evidence for a polypeptide receptor on the gastric (H+/K+)ATPase. Arch. Biochem. Biophys. 278, 409–415.
- Lowry O.H., Rosebrough N.J., Farr A.L., Randall R.J. (1951) Protein measurement with the Folin phenol reagent. J. Biol. Chem. 193, 265–275.
- Долгова Н.В., Каманина Ю.В., Акимова O.A., Орлов С.Н., Рубцов A.M., Лопина O.Д. (2007) Белок, связывание которого с Na+/K+-ATPазой регулируется уабаином. Биохимия. 72, 1061–1071.
- Laemmli U.K. (1970) Cleavage of structural proteins during the assembly of the head of bacteriophage T4. Nature. 227, 680–685.
- Rosenzweig R., Nillegoda N.B., Mayer M.P., Bukau B. (2019) The Hsp70 chaperone network. Nat. Rev. Mol. Cell Biol. 20, 665–680.
Дополнительные файлы








