Тимусный гормон тимозин-1α снижает провоспалительный ответ клеток RAW 264.7, индуцированный эндотоксином
- Авторы: Новоселова Е.Г.1, Глушкова О.В.1, Хренов М.О.1, Лунин С.М.1, Шарапов М.Г.1, Гончаров Р.Г.1, Мубаракшина Э.К.1, Новоселова Т.В.1, Парфенюк С.Б.1
-
Учреждения:
- Институт биофизики клетки Российской академии наук, “Федеральный исследовательский центр “Пущинский научный центр биологических исследований Российской академии наук”
- Выпуск: Том 57, № 6 (2023)
- Страницы: 1006-1016
- Раздел: МОЛЕКУЛЯРНЫЕ МЕХАНИЗМЫ РЕДОКС-РЕГУЛЯЦИИ ПРИ ВОСПАЛЕНИИ
- URL: https://journals.rcsi.science/0026-8984/article/view/231945
- DOI: https://doi.org/10.31857/S0026898423060125
- EDN: https://elibrary.ru/QGCMUF
- ID: 231945
Цитировать
Полный текст
Аннотация
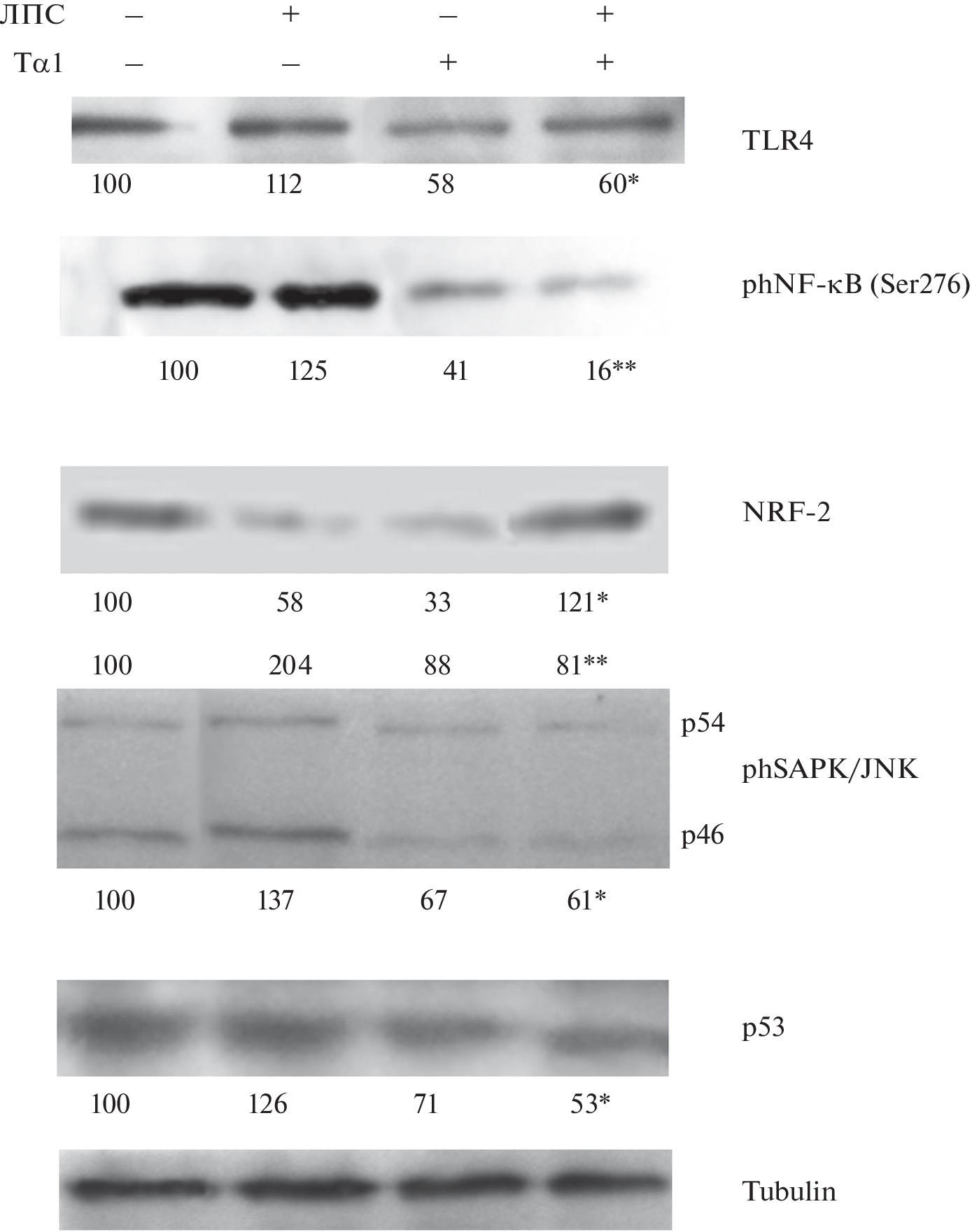
Изучено влияние тимозина-1альфа (Тα1) на противовоспалительный ответ альвеолярных макрофагов RAW 264.7, культивируемых в присутствии липополисахарида (ЛПС) из стенок грамотрицательных бактерий. При этом оценена продукция провоспалительных цитокинов, определена активность сигнальных путей NF-κB и SAPK/JNK, а также изучен уровень экспрессии ряда генов, регулирующих уровни апоптоза клеток, и активность рецепторов, принимающих участие в провоспалительном ответе на воздействие ЛПС. Показано, что, во-первых, добавление Тα1 в разной степени нормализовало продукцию цитокинов, особенно заметно интерлейкинов (IL)-1β и IL-6. Во-вторых, добавление Тα1 нормализовало активность сигнальных каскадов NF-κB и SAPK/JNK и экспрессию гена Tlr4. В-третьих, Тα1 заметно снижал уровень р53 и активность гена Р53, который является маркером апоптоза клеток. В-четвертых, доказано, что увеличение экспрессии гена Aр-1 под влиянием ЛПС снижалось при использовании Tα1. Таким образом, установлено, что присутствие Тα1 в среде культивирования клеток RAW 264.7 значительно снижает уровень провоспалительного ответа клеток на ЛПС.
Ключевые слова
Об авторах
Е. Г. Новоселова
Институт биофизики клетки Российской академии наук, “Федеральный исследовательский центр“Пущинский научный центр биологических исследований Российской академии наук”
Автор, ответственный за переписку.
Email: elenanov_06@mail.ru
Россия, 142290, Московская обл., Пущино
О. В. Глушкова
Институт биофизики клетки Российской академии наук, “Федеральный исследовательский центр“Пущинский научный центр биологических исследований Российской академии наук”
Email: elenanov_06@mail.ru
Россия, 142290, Московская обл., Пущино
М. О. Хренов
Институт биофизики клетки Российской академии наук, “Федеральный исследовательский центр“Пущинский научный центр биологических исследований Российской академии наук”
Email: elenanov_06@mail.ru
Россия, 142290, Московская обл., Пущино
С. М. Лунин
Институт биофизики клетки Российской академии наук, “Федеральный исследовательский центр“Пущинский научный центр биологических исследований Российской академии наук”
Email: elenanov_06@mail.ru
Россия, 142290, Московская обл., Пущино
М. Г. Шарапов
Институт биофизики клетки Российской академии наук, “Федеральный исследовательский центр“Пущинский научный центр биологических исследований Российской академии наук”
Email: elenanov_06@mail.ru
Россия, 142290, Московская обл., Пущино
Р. Г. Гончаров
Институт биофизики клетки Российской академии наук, “Федеральный исследовательский центр“Пущинский научный центр биологических исследований Российской академии наук”
Email: elenanov_06@mail.ru
Россия, 142290, Московская обл., Пущино
Э. К. Мубаракшина
Институт биофизики клетки Российской академии наук, “Федеральный исследовательский центр“Пущинский научный центр биологических исследований Российской академии наук”
Email: elenanov_06@mail.ru
Россия, 142290, Московская обл., Пущино
Т. В. Новоселова
Институт биофизики клетки Российской академии наук, “Федеральный исследовательский центр“Пущинский научный центр биологических исследований Российской академии наук”
Email: elenanov_06@mail.ru
Россия, 142290, Московская обл., Пущино
С. Б. Парфенюк
Институт биофизики клетки Российской академии наук, “Федеральный исследовательский центр“Пущинский научный центр биологических исследований Российской академии наук”
Email: elenanov_06@mail.ru
Россия, 142290, Московская обл., Пущино
Список литературы
- Gruver A.G., Ventevogel M.S., Sempowski G.D. (2009) Leptin receptor is expressed in thymus medulla and leptin protects against thymic remodeling during endotoxemia induced thymus involution. J. Endocrinol. 203, 75–85.
- Haynes B.F., Markert M.L., Sempowski G.D., Patel D.D., Hale L.P. (2000) The role of the thymus in immune reconstitution in aging, bone marrow transplantation, and HIV-1 infection. Annu. Rev. Immunol. 18, 529–560.
- Franceschi C., Bonafè M., Valensin S., Olivieri F., De Luca M., Ottaviani E., De Benedictis G. (2000) Inflamm-aging. An evolutionary perspective on immunosenescence. Ann. N.Y. Acad. Sci. 908, 44–54.
- Lunin S.M., Khrenov M.O., Novoselova T.V., Parfenyuk S.B., Novoselova E.G. (2008) Thymulin, a thymic peptide, prevents the overproduction of pro-inflammatory cytokines and heat shock protein Hsp70 in inflammation-bearing mice. Immunol. Invest. 37, 858–870.
- Лунин С.М., Новоселова Т.В., Хренов М.О., Глушкова О.В., Парфенюк С.Б., Смолихина Т.И., Фесенко Е.Е., Новоселова Е.Г. (2009) Иммуномодулирующие эффекты тимопентина при остром и хроническом воспалениях у мышей. Биофизика. 54, 260–266.
- Lunin S.M., Glushkova O.V., Khrenov M.O., Parfenyuk S.B., Novoselova T.V., Fesenko E.E., Novoselova E.G. (2011) Thymus peptides regulate activity of RAW 264.7 macrophage cells: inhibitory analysis and a role of signal cascades. Expert Opin. Ther. Targets. 15, 1337–1346.
- Lunin S.M., Glushkova O.V., Khrenov M.O., Novoselova T.V., Parfenyuk S.B., Fesenko E.E., Novoselova E.G. (2013) Thymic peptides restrain the inflammatory respon-se in mice with experimental autoimmune encephalomyelitis. Immunobiology. 218, 402–407.
- Lunin S.M., Khrenov M.O., Novoselova T.V., Parfenyuk S.B., Glushkova O.V., Fesenko E.E., Novoselova E.G. (2015) Modulation of inflammatory response in mice with severe autoimmune disease by thymic peptide thymulin and inhibitor of NF-kappaB signaling. Int. Immunopharmacol. 25, 260–266.
- Lunin S.M., Khrenov M.O., Glushkova O.V., Vinogradova E.V., Yashin V.A., Fesenko E.E., Novoselova E.G. (2017) Extrathymic production of thymulin induced by oxidative stress, heat shock, apoptosis, or necrosis. Int. J. Immunopathol. Pharmacol. 30, 58–69.
- Lunin S.M., Khrenov M.O., Glushkova O.V., Parfenyuk S.B., Novoselova T.V., Novoselova E.G. (2019) Immune response in the relapsing-remitting experimental autoimmune encephalomyelitis in mice: the role of the NF-κB signaling pathway. Cell. Immunol. 336, 20–27.
- Lunin S.M., Novoselova E.G., Glushkova O.V., Parfenyuk S.B., Novoselova T.V., Khrenov M.O. (2022) Cell senescence and central regulators of immune response. Int. J. Mol. Sci. 23, 4109.
- Lunin S.M., Novoselova E.G. (2010) Thymus hormones as prospective anti-inflammatory agents. Expert Opin. Ther. Targets. 14, 775–786.
- Novoselova E.G., Khrenov M.O., Glushkova O.V., Lunin S.M., Parfenyuk S.B., Novoselova T.V., Fesenko E.E. (2014) Anti-inflammatory effects of IKK inhibitor XII, thymulin, and fat-soluble antioxidants in LPS-treated mice. Mediators Inflamm. 2014, 724838.
- Novoselova E.G., Lunin S.M., Glushkova O.V., Khrenov M.O., Parfenyuk S.B., Zakharova N.M., Fesenko E.E. (2018) Thymulin, free or bound to PBCA nanoparticles, protects mice against chronic septic inflammation. PLoS One. 13, e0197601.
- Lunin S.M., Khrenov M.O., Glushkova O.V., Parfenyuk S.B., Novoselova T.V., Novoselova E.G. (2020) Precursors of thymic peptides as stress sensors. Expert Opin. Biol. Ther. 20, 1461–1475.
- Aspinall R., Andrew D. (2000) Thymic involution in aging. J. Clin. Immunol. 20, 250–256.
- Gruver A.L., Sempowski G.D. (2008) Cytokines, leptin, and stress-induced thymic atrophy. J. Leukoc. Biol. 84, 915–923.
- Medzhitov R. (2010) Inflammation 2010: new adventures of an old flame. Cell. 140, 771–776.
- Ostan R., Bucci L., Capri M., Salvioli S., Scurti M., Pini E., Monti D., Franceschi C. (2008) Immunosenescence and immunogenetics of human longevity. Neuroimmunomodulation. 15, 224–240.
- Chen L., Deng H., Cui H., Fang J., Zuo Z., Deng J., Li Y., Wang X., Zhao L. (2018) Inflammatory responses and inflammation-associated diseases in organs. Oncotarget. 9, 7204–7218.
- Reville K., Crean J.K., Vivers S., Dransfield I., Godson C. (2006) Lipoxin A4 redistributes myosin IIA, Cdc42 in macrophages: implications for phagocytosis of apoptotic leukocytes. J. Immunol. 176, 1878–1888.
- Headland S.E., Norling L.V. (2015) The resolution of inflammation: principles and challenges. Semin. Immunol. 27, 149–160.
- Serhan C.N., Savill J. (2005) Resolution of inflammation: the beginning programs the end. Nat. Immunol. 6, 1191–1197.
- Новоселова Е.Г., Лунин С.М., Хренов М.О., Новоселова Т.В., Фесенко Е.Е. (2009) Участие сигнального каскада NF-κB в реализации анти-воспалительной активности тимусных пептидов. ДАН. 428, 707–709.
- Lunin S.M., Khrenov M.O., Glushkova O.V., Parfenyuk S.B., Novoselova T.V., Novoselova E.G. (2019) Protective effect of PBCA nanoparticles loaded with thymulin against the relapsing-remitting form of experimental autoimmune encephalomyelitis in mice. Int. J. Mol. Sci. 20, E5374.
- Romani L., Bistoni F., Montagnoli C., Gaziano R., Bozza S., Bonifazi P., Zelante T., Moretti S., Rasi G., Garaci E., Puccetti P. (2007) Thymosin alpha1: an endogenous regulator of inflammation, immunity, and tolerance. Ann. N.Y. Acad. Sci. 1112, 326–338.
- Liu F., Wang H.-M., Wang T., Zhang Y.-M., Zhu X. (2016) The efficacy of thymosin α1 as immunomodulatory treatment for sepsis: a systematic review of randomized controlled trials. BMC Infect. Dis. 16, 488.
- Pica F., Chimenti M.S., Gaziano R., Buè C., Casalinuovo I.A., Triggianese P., Conigliaro P., Di Carlo D., Cordero V., Adorno G., Volpi A., Perricone R., Garaci E. (2016) Serum thymosin a 1 levels in patients with chronic inflammatory autoimmune diseases. Clin. Exp. Immunol. 186, 39–45.
- Sansoni P., Vescovini R., Fagnoni F., Biasini C., Zanni F., Zanlari L., Telera A., Lucchini G., Passeri G., Monti D., Franceschi C., Passeri M. (2008) The immune system in extreme longevity. Exp. Gerontol. 43, 61–65.
- Shi Q.-X., Chen B., Nie C., Zhao Z.-P., Zhang J.-H., Si S.-Y., Cui S.-J., Gu J.-W. (2020) Improvement in cognitive dysfunction following blast induced traumatic brain injury by thymosin α1 in rats: involvement of inhibition of Tau phosphorylation at the Thr205 epitope. Brain Res. 1747, 147038.
- Sharapov M.G., Novoselov V.I., Penkov N.V., Fesenko E.E., Vedunova M.V., Bruskov V.I., Gudkov S.V. (2018) Protective and adaptogenic role of peroxiredoxin 2 (Prx2) in neutralization of oxidative stress induced by ionizing radiation. Free Radic. Biol. Med. 134, 76–86.
- World Health Organization. (2002) The European Health Report 2002. European Ser. 97. Geneva, Switzerland.
- Fujiwara N., Kobayashi K. (2005) Macrophages in inflammation. Curr. Drug Targets Inflam. Allergy. 4, 281–286.
- Lustig A., Weeraratna A.T., Wood 3rd W.W., Teichberg D., Bertak D., Carter A., Poosala S., Firman J., Becker K.G., Zonderman A.B., Longo D.L., Taub D.D. (2007) Transcriptome analysis of age-, gender- and diet-associated changes in murine thymus. Cell Immunol. 245, 42–61.
- Lesser K.J., Paiusi I.C., Leips J. (2006) Naturally occurring genetic variation in the age-specific immune response of Drosophila melanogaster. Aging Cell. 5, 293–295.
- Serafino A., Pica F., Andreola F., Gaziano R., Moroni N., Moroni G., Zonfrillo M., Pierimarchi P., Sinibaldi-Vallebona P., Garaci E. (2014) Thymosin α1 activates complement receptor-mediated phagocytosis in human monocyte-derived macrophages. J. Innate Immun. 6, 72–88.
- Cichon A.C., Brown D.R. (2014) Nrf-2 regulation of prion protein expression is independent of oxidative stress. Mol. Cell. Neurosci. 63, 31–37.
- Yanaka A., Zhang S., Tauchi M., Suzuki H., Shibahara T., Matsui H., Nakahara A., Tanaka N., Yamamoto M. (2005) Role of the Nrf-2 gene in protection and repair of gastric mucosa against oxidative stress. Inflammopharmacology. 13, 83–90.
- Seo J., Koçak D.D., Bartelt L.C., Williams C.A., Barrera A., Gersbach C.A., Reddy T.E. (2021) AP-1 subunits converge promiscuously at enhancers to potentiate transcription. Genome Res. 31, 538–550.
- Manna P.R., Eubank D.W., Stocco D.M. (2019) The AP-1 transcriptional complex: local switch or remote command. Biochim. Biophys. Acta Rev. Cancer. 1872, 11–23.
- Weller F.E., Shah U., Cummings G.D., Chretien P.B., Mutchnick M.G. (1992) Serum levels of immunoreactive thymosin alpha 1 and thymosin beta 4 in large cohorts of healthy adults. Thymus. 19, 45–52.
Дополнительные файлы





