New Zwitterionic Oligonucleotides: Preparation and Complementary Binding
- Authors: Patrushev D.E.1,2, Burakova E.A.1,2, Bizyaev S.N.1,2,3, Fokina A.A.1,2, Stetsenko D.A.1,2
-
Affiliations:
- Department of Physics, Novosibirsk State University
- Institute of Cytology and Genetics, Siberian Branch, Russian Academy of Sciences
- Vorozhtsov Institute of Organic Chemistry, Siberian Branch, Russian Academy of Sciences
- Issue: Vol 57, No 2 (2023)
- Pages: 340-349
- Section: СТРУКТУРНО-ФУНКЦИОНАЛЬНЫЙ АНАЛИЗ БИОПОЛИМЕРОВ И ИХ КОМПЛЕКСОВ
- URL: https://journals.rcsi.science/0026-8984/article/view/138656
- DOI: https://doi.org/10.31857/S0026898423020180
- EDN: https://elibrary.ru/EEIRJW
- ID: 138656
Cite item
Full Text
Abstract
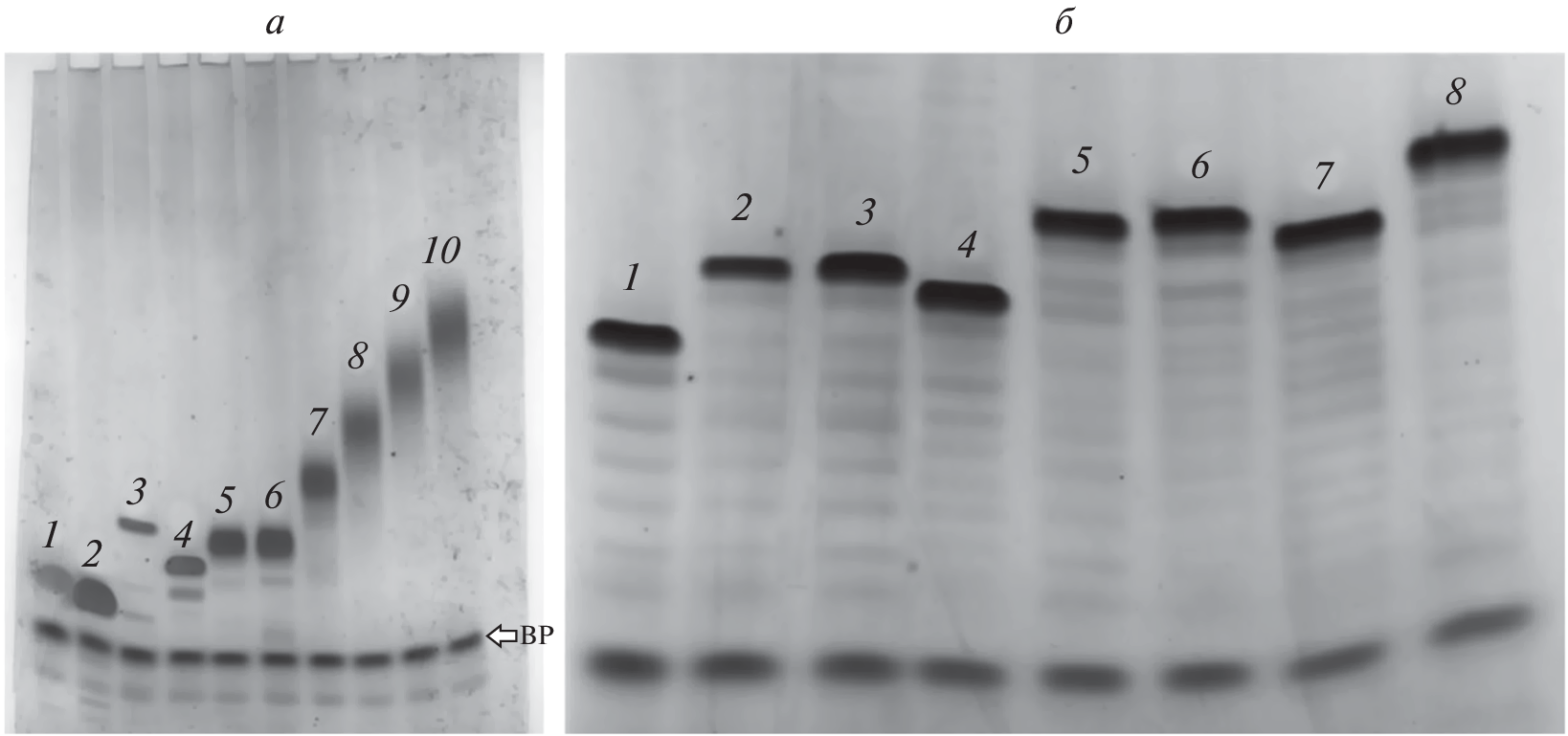
New zwitter-ionic oligonucleotide derivatives containing 1,2,3,4-tetrahydroisoquinoline-7-sulfonyl phosphoramidate group are described. Automated synthesis of these compounds was carried out according to the β-cyanoethyl phosphoramidite scheme using the Staudinger reaction between 2-trifluoroacetyl-1,2,3,4-tetrahydroisoquinoline-7-sulfonyl azide and phosphite triester within an oligonucleotide grafted to a polymer support. 1,2,3,4-Tetrahydroisoquinoline-7-sulfonyl phosphoramidate group (THIQ) proved to be stable under the conditions of standard oligonucleotide synthesis, including the removal of protective groups and cleavage of the oligonucleotide from the polymer support by treatment with a mixture of concentrated aqueous solutions of ammonia and methylamine (1 : 1) at 55oC. Oligonucleotides modified by one to five THIQ groups in various positions were obtained. The zwitter-ionic character of the obtained derivatives was reflected in their different mobility under conditions of denaturing PAGE. The thermal stability of the duplexes of oligodeoxynucleotides containing THIQ groups with complementary DNA and RNA differed only slightly from that of natural DNA:DNA and DNA:RNA duplexes. The results obtained suggest the possible use of oligonucleotides modified with zwitterionic THIQ groups as antisense therapeutic agents.
About the authors
D. E. Patrushev
Department of Physics, Novosibirsk State University; Institute of Cytology and Genetics, Siberian Branch, Russian Academy of Sciences
Email: stetsenkoda@bionet.nsc.ru
Russia, 630090 , Novosibirsk; Russia, 630090 , Novosibirsk
E. A. Burakova
Department of Physics, Novosibirsk State University; Institute of Cytology and Genetics, Siberian Branch, Russian Academy of Sciences
Email: stetsenkoda@bionet.nsc.ru
Russia, 630090 , Novosibirsk; Russia, 630090 , Novosibirsk
S. N. Bizyaev
Department of Physics, Novosibirsk State University; Institute of Cytology and Genetics, Siberian Branch, Russian Academy of Sciences; Vorozhtsov Institute of Organic Chemistry, Siberian Branch, Russian Academy of Sciences
Email: stetsenkoda@bionet.nsc.ru
Russia, 630090 , Novosibirsk; Russia, 630090 , Novosibirsk; Russia, 630090, Novosibirsk
A. A. Fokina
Department of Physics, Novosibirsk State University; Institute of Cytology and Genetics, Siberian Branch, Russian Academy of Sciences
Email: stetsenkoda@bionet.nsc.ru
Russia, 630090 , Novosibirsk; Russia, 630090 , Novosibirsk
D. A. Stetsenko
Department of Physics, Novosibirsk State University; Institute of Cytology and Genetics, Siberian Branch, Russian Academy of Sciences
Author for correspondence.
Email: stetsenkoda@bionet.nsc.ru
Russia, 630090 , Novosibirsk; Russia, 630090 , Novosibirsk
References
- Curreri A., Sankholkar D., Mitragotri S., Zhao Z. (2022) RNA therapeutics in the clinic. Bioeng. Transl. Med. e10374.
- Halloy F., Biscans A., Bujold K.E., Debacker A., Hill A.C., Lacroix A., Luige O., Strömberg R., Sundstrom L., Vogel J., Ghidini A. (2021) Innovative developments and emerging technologies in RNA therapeutics. RNA Biol. 19, 313–332.
- Zhou L.Y., Qin Z., Zhu Y.H., He Z.Y., Xu T. (2019) Current RNA-based therapeutics in clinical trials. Curr. Gene Ther. 19, 172–196.
- Quemener A.M., Centomo M.L., Sax S.L., Panella R. (2022) Small drugs, huge impact: the extraordinary impact of antisense oligonucleotides in research and drug development. Molecules. 27, 536.
- Crooke S.T., Liang X.H., Baker B.F., Crooke R.M. (2021) Antisense technology: a review. J. Biol. Chem. 296, 100416.
- Crooke S.T., Baker B.F., Crooke R.M., Liang X.H. (2021) Antisense technology: an overview and prospectus. Nat. Rev. Drug Discov. 20, 427–453.
- Arzumanov A., Walsh A.P., Rajwanshi V.K., Kumar R., Wengel J., Gait M.J. (2001) Inhibition of HIV-1 Tat-dependent trans activation by steric block chimeric 2'-O-methyl/LNA oligoribonucleotides. Biochemistry. 40, 14645–14654.
- Arechavala-Gomeza V., Khoo B., Aartsma-Rus A. (2014) Splicing modulation therapy in the treatment of genetic diseases. Appl. Clin. Genet. 7, 245–252.
- Crooke S.T. (2017) Molecular mechanisms of antisense oligonucleotides. Nucl. Acid Ther. 27, 70–77.
- Eckstein F. (2014) Phosphorothioates, essential components of therapeutic oligonucleotides. Nucl. Acid Ther. 24, 374–387.
- Shen W., De Hoyos C.L., Migawa M.T., Vickers T.A., Sun H., Low A., Bell T.A. 3rd, Rahdar M., Mukhopadhyay S., Hart C.E., Bell M., Riney S., Murray S.F., Greenlee S., Crooke R.M., Liang X.H., Seth P.P., Crooke S.T. (2019) Chemical modification of PS-ASO therapeutics reduces cellular protein-binding and improves the therapeutic index. Nat. Biotechnol. 37, 640–650.
- Crooke S.T., Vickers T.A., Liang X.H. (2020) Phosphorothioate modified oligonucleotide-protein interactions. Nucl. Acids Res. 48, 5235–5253.
- Shen W., De Hoyos C.L., Sun H., Vickers T.A., Liang X.H., Crooke S.T. (2018) Acute hepatotoxicity of 2' fluoro-modified 5-10-5 gapmer phosphorothioate oligonucleotides in mice correlates with intracellular protein binding and the loss of DBHS proteins. Nucl. Acids Res. 46, 2204–2217.
- Челобанов Б.П., Буракова Е.А., Прохорова Д.В., Фокина А.А., Стеценко Д.А. (2017) Новые производные олигодезоксинуклеотидов, содержащие межнуклеотидную N-(метансульфонил)-фосфорамидную (мезилфосфорамидную) группу. Биоорган. химия. 43, 644–649.
- Miroshnichenko S.K., Patutina O.A., Burakova E.A., Chelobanov B.P., Fokina A.A., Vlassov V.V., Altman S., Zenkova M.A., Stetsenko D.A. (2019) Mesyl phosphoramidate antisense oligonucleotides as an alternative to phosphorothioates: improved biochemical and biological properties. Proc. Natl. Acad. Sci. USA. 116, 1229–1234.
- Liang X.H., Shen W., Sun H., Kinberger G.A., Prakash T.P., Nichols J.G., Crooke S.T. (2016) Hsp90 protein interacts with phosphorothioate oligonucleotides containing hydrophobic 2'-modifications and enhances antisense activity. Nucl. Acids Res. 44, 3892–3907.
- Laurent Q., Martinent R., Moreau D., Winssinger N., Sakai N., Matile S. (2021) Oligonucleotide phosphorothioates enter cells by thiol-mediated uptake. Angew. Chem. Int. Ed. Engl. 60, 19102–19106.
- Meng M., Ducho C. (2018) Oligonucleotide analogues with cationic backbone linkages. Beilstein J. Org. Chem. 14, 1293–1308.
- Danielsen M.B., Wengel J. (2021) Cationic oligonucleotide derivatives and conjugates: a favorable approach for enhanced DNA and RNA targeting oligonucleotides. Beilstein J. Org. Chem. 17, 1828–1848.
- Yanachkov I., Zavizion B., Metelev V., Stevens L.J., Tabatadze Y., Yanachkova M., Wright G., Krichevsky A.M., Tabatadze D.R. (2017) Self-neutralizing oligonucleotides with enhanced cellular uptake. Org. Biomol. Chem. 15, 1363–1380.
- Meng M., Schmidtgall B., Ducho C. (2018) Enhanced stability of DNA oligonucleotides with partially zwitterionic backbone structures in biological media. Molecules. 23, 2941.
- Schmidtgall B., Kuepper A., Meng M., Grossmann T.N., Ducho C. (2018) Oligonucleotides with cationic backbone and their hybridization with DNA: interplay of base pairing and electrostatic attraction. Chem. Eur. J. 24, 1544–1553.
- Прохорова Д.В., Челобанов Б.П., Буракова Е.А., Фокина А.А., Стеценко Д.А. (2017) Новые производные олигодезоксирибонуклеотидов, содержащие межнуклеотидную N-тозилфосфорамидную группу: синтез и взаимодействие с комплементарными последовательностями ДНК и РНК. Биоорган. химия. 43, 45–50.
- Freier S.M., Altmann K.H. (1997) The ups and downs of nucleic acid duplex stability: structure-stability studies on chemically-modified DNA:RNA duplexes. Nucl. Acids Res. 25, 4429–4443.
- Su Y., Fujii H., Burakova E.A., Chelobanov B.P., Fujii M., Stetsenko D.A., Filichev V.V. (2019) Neutral and negatively charged phosphate modifications altering thermal stability, kinetics of formation and monovalent ion dependence of DNA G-quadruplexes. Chem. Asian J. 14, 1212–1220.
- Su Y., Edwards P.J.B., Stetsenko D.A., Filichev V.V. (2020) The importance of phosphates for DNA G-quadruplex formation: evaluation of zwitterionic G-rich oligodeoxynucleotides. ChemBioChem. 21, 2455–2466.
- Su Y., Bayarjargal M., Hale T.K., Filichev V.V. (2021) DNA with zwitterionic and negatively charged phosphate modifications: formation of DNA triplexes, duplexes and cell uptake studies. Beilstein J. Org. Chem. 17, 749–761.
- Su Y., Raguraman P., Veedu R.N., Filichev V.V. (2022) Phosphorothioate modification improves exon-skipping of antisense oligonucleotides based on sulfonyl phosphoramidates in mdx mouse myotubes. Org. Biomol. Chem. 20, 3790–3797.
- Beaucage S.L., Caruthers M.H. (1981) Deoxynucleoside phosphoramidites – a new class of key intermediates for deoxypolynucleotide synthesis. Tetrahedron Lett. 22, 1859–1862.
- Stec W.J., Zon G., Egan W., Stec B. (1984) Automated solid-phase synthesis, separation, and stereochemistry of phosphorothioate analogs of oligodeoxyribonucleotides. J. Am. Chem. Soc. 106, 6077–6079.
- Купрюшкин М.С., Апухтина В.С., Васильева С.В., Пышный Д.В., Стеценко Д.А. (2015) Новый простой и удобный метод получения олигонуклеотидов, содержащих остатки пирена или холестерина. Изв. Акад. Наук. Сер. Хим. 64, 1678–1681.
- Левина А.С., Репкова М.Н., Челобанов Б.П., Бессуднова Е.В., Мазуркова М.А., Стеценко Д.А., Зарытова В.Ф. (2017) Влияние способа доставки на противовирусную активность фосфодиэфирных, тиофосфатных и фосфорилгуанидиновых олигонуклеотидов в клетках MDCK, инфицированных вирусом птичьего гриппа А (H5N1). Молекуляр. биология. 51, 717–723.
- Lomzov A.A., Kupryushkin M.S., Shernyukov A.V., Nekrasov M.D., Dovydenko I.S., Stetsenko D.A., Pyshnyi D.V. (2019) Diastereomers of a mono-substituted phosphoryl guanidine trideoxyribonucleotide: isolation and properties. Biochem. Biophys. Res. Commun. 513, 807–811.
- Буракова Е.А., Держалова А.Ш., Челобанов Б.П., Фокина А.А., Стеценко Д.А (2019) Новые производные олигонуклеотидов, содержащие N-(сульфонил)-фосфорамидные группы. Биоорган. химия. 45, 662–668.
- Derzhalova A., Markov O., Fokina A., Shiohama Y., Zatsepin T., Fujii M., Zenkova M., Stetsenko D. (2021) Novel lipid-oligonucleotide conjugates containing long-chain sulfonyl phosphoramidate groups: synthesis and biological properties. Appl. Sci. 11, 1174.
- Heindl D. Polynucleotide containing a phosphate mimetic. Canadian Patent 2627208, September 12, 2006.
- Heindl D., Kessler D., Schube A., Thuer W., Giraut A. (2008) Easy method for the synthesis of labeled oligonucleotides. Nucl. Acids Symp. Ser. 52, 405–406.
- Santorelli A., Gothelf K.V. (2022) Conjugation of chemical handles and functional moieties to DNA during solid phase synthesis with sulfonyl azides. Nucl. Acids Res. 50, 7235–7246.
- Patutina O.A., Gaponova (Miroshnichenko) S.K., Sen’kova A.V., Savin I.A., Gladkikh D.V., Burakova E.A., Fokina A.A., Maslov M.A., Shmendel’ E.V., Wood M.J.A., Vlassov V.V., Altman S., Stetsenko D.A., Zenkova M.A. (2020) Mesyl phosphoramidate backbone modified antisense oligonucleotides targeting miR-21 with enhanced in vivo therapeutic potency. Proc. Natl. Acad. Sci. USA. 117, 32370–32379.
- Hammond S.M., Sergeeva O.V., Melnikov P.A., Zatsepin T.S., Stetsenko D.A., Wood M.J.A. (2021) Mesyl phosphoramidate oligonucleotides as potential splice switching agents: impact of backbone structure on activity and intracellular localization. Nucl. Acid Ther. 31, 190–200.
- Anderson B.A., Freestone G.C., Low A., De-Hoyos C.L., Iii W.J.D., Østergaard M.E., Migawa M.T., Fazio M., Wan W.B., Berdeja A., Scandalis E., Burel S.A., Vickers T.A., Crooke S.T., Swayze E.E., Liang X., Seth P.P. (2021) Towards next generation antisense oligonucleotides: mesylphosphoramidate modification improves therapeutic index and duration of effect of gapmer antisense oligonucleotides. Nucl. Acids Res. 49, 9026–9041.
- Zhang L., Liang X.H., De Hoyos CL., Migawa M., Nichols J.G., Freestone G., Tian J., Seth P.P., Crooke S.T. (2022) The combination of mesyl-phosphoramidate inter-nucleotide linkages and 2'-O-methyl in selected positions in the antisense oligonucleotide enhances the performance of RNaseH1 active PS-ASOs. Nucl. Acid Ther. 32, 5. https://doi.org/10.1089/nat.2022.0005
- Останин А.А., Леплина О.Ю., Буракова Е.A., Тыринова Т.В., Фокина А.A., Проскурина А.С., Богачев С.С., Стеценко Д.А., Черных Е.Р. (2020) CpG олигонуклеотиды с модифицированными фосфатными группами индуцируют созревание миелоидных дендритных клеток человека in vitro. Вавиловский журн. генетики и селекции. 24, 653–660.
- Fokina A., Wang M., Ilyina A., Klabenkova K., Burakova E., Chelobanov B., Stetsenko D. (2018) Analysis of new charge-neutral DNA/RNA analogues phosphoryl guanidine oligonucleotides (PGO) by gel electrophoresis. Anal. Biochem. 555, 9–11.
Supplementary files







