Рекомбиназная полимеразная амплификация для быстрого выявления возбудителей бактериальной пневмонии человека
- Авторы: Лапа С.А.1, Суржиков С.А.1, Благодатских С.А.2, Шершов В.Е.1, Чудинов А.В.1
-
Учреждения:
- Институт молекулярной биологии им. В.А. Энгельгардта Российской академии наук
- Государственный научный центр прикладной микробиологии и биотехнологии
- Выпуск: Том 57, № 3 (2023)
- Страницы: 539-545
- Раздел: МЕТОДЫ
- URL: https://journals.rcsi.science/0026-8984/article/view/138645
- DOI: https://doi.org/10.31857/S0026898423030072
- EDN: https://elibrary.ru/CHGYQF
- ID: 138645
Цитировать
Полный текст
Аннотация
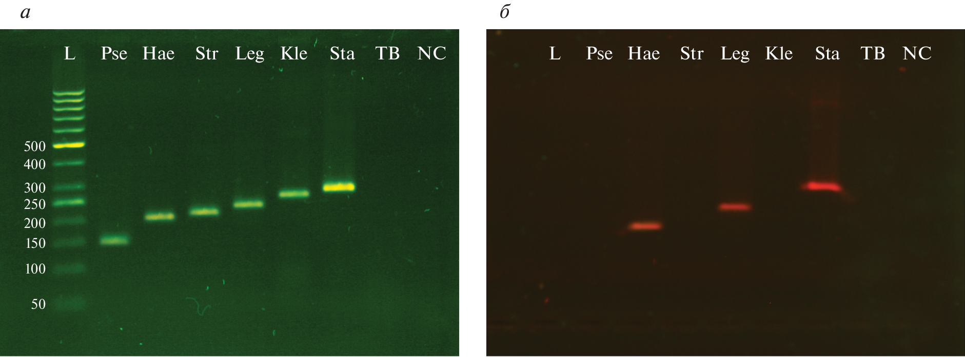
Разработана диагностическая система, основанная на рекомбиназной полимеразной амплификации (RPA), для выявления шести бактериальных возбудителей пневмонии человека. Сконструированы и оптимизированы видоспецифичные праймеры для проведения мультиплексной реакции в одном общем объеме. Использованы меченые праймеры для надежной дискриминации близких по размеру продуктов амплификации. Идентификацию возбудителя проводят путем визуального анализа электрофореграммы. Аналитическая чувствительность разработанной мультиплексной RPA составила 102‒103 копий ДНК. Специфичность метода определяли по отсутствию перекрестной амплификации исследованных образцов ДНК возбудителей пневмонии для каждой пары праймеров, а также для ДНК Mycobacterium tuberculosis H37rν. Для исследованных образцов этот показатель составил 100%. Время выполнения анализа – менее часа, включая электрофоретический контроль реакции. Тест-система может найти применение в профильных клинических лабораториях для экспресс-анализа образцов от пациентов с подозрением на пневмонию.
Ключевые слова
Об авторах
С. А. Лапа
Институт молекулярной биологии им. В.А. Энгельгардта Российской академии наук
Автор, ответственный за переписку.
Email: lapa@biochip.ru
Россия, 119991, Москва
С. А. Суржиков
Институт молекулярной биологии им. В.А. Энгельгардта Российской академии наук
Email: lapa@biochip.ru
Россия, 119991, Москва
С. А. Благодатских
Государственный научный центр прикладной микробиологии и биотехнологии
Email: lapa@biochip.ru
Россия, 142279, Московская обл., Оболенск
В. Е. Шершов
Институт молекулярной биологии им. В.А. Энгельгардта Российской академии наук
Email: lapa@biochip.ru
Россия, 119991, Москва
А. В. Чудинов
Институт молекулярной биологии им. В.А. Энгельгардта Российской академии наук
Email: lapa@biochip.ru
Россия, 119991, Москва
Список литературы
- Campigotto A., Mubareka S. (2015) Influenza-associated bacterial pneumonia; managing and controlling infection on two fronts. Expert. Rev. Anti. Infect. Ther. 13, 55–68.
- Noskin G.A., Glassroth J. (1996) Bacterial pneumonia associated with HIV-1 infection. Clin. Chest. Med. 17, 713–723.
- Henig O., Kaye K.S. (2017) Bacterial pneumonia in older adults. Infect. Dis. Clin. North. Am. 31, 689–713.
- Eshwara V.K., Mukhopadhyay C., Rello J. (2020) Community-acquired bacterial pneumonia in adults: an update. Indian. J. Med. Res. 151, 287–302.
- Harris M., Clark J., Coote N., Fletcher P., Harnden A., McKean M., Thomson A. (2011) British thoracic society standards of care committee. British thoracic society guidelines for the management of community acquired pneumonia in children: update 2011. Thorax. 66 (Suppl. 2), ii1–ii23.
- Cunha B.A. (2006) The atypical pneumonias: clinical diagnosis and importance. Clin. Microbiol. Infect. 12(Suppl. 3), 12–24.
- Azoulay E., Russell L., Van de Louw A., Metaxa V., Bauer P., Povoa P., Montero J.G., Loeches I.M., Mehta S., Puxty K., Schellongowski P., Rello J., Mokart D., Lemiale V., Mirouse A. (2020) Diagnosis of severe respiratory infections in immunocompromised patients. Intensive Care Med. 46, 298–314.
- Mabie M., Wunderink R.G. (2003) Use and limitations of clinical and radiologic diagnosis of pneumonia. Semin. Respir. Infect. 18, 72–79.
- Budayanti N.S., Suryawan K., Iswari I.S., Sukrama D.M. (2019) The quality of sputum specimens as a predictor of isolated bacteria from patients with lower respiratory tract infections at a tertiary referral hospital, Denpasar, Bali-Indonesia. Front. Med. (Lausanne). 6, 64.
- Lee N., Rainer T.H., Ip M., Zee B., Ng M.H., Antonio G.E., Chan E., Lui G., Cockram C.S., Sung J.J., Hui D.S. (2006) Role of laboratory variables in differentiating SARS-coronavirus from other causes of community-acquired pneumonia within the first 72 h of hospitalization. Eur. J. Clin. Microbiol. Infect. Dis. 25, 765–772.
- Dorigo-Zetsma J.W., Zaat S.A., Wertheim-van Dillen P.M., Spanjaard L., Rijntjes J., van Waveren G., Jensen J.S., Angulo A.F., Dankert J. (1999) Comparison of PCR, culture, and serological tests for diagnosis of Mycoplasma pneumoniae respiratory tract infection in children. J. Clin. Microbiol. 37, 14–17.
- Лапа С.А., Клочихина Е.С., Мифтахов Р.А., Золотов А.М., Заседателев А.С., Чудинов А.В. (2020) Мультиплексная ПЦР для выявления бактериальных возбудителей инфекционной пневмонии. Биоорг. химия. 46, 550–552.
- Lapa S.A., Klochikhina E.S., Miftakhov R.A., Zasedatelev A.S., Chudinov A.V. (2021) Development of multi-primer PCR system with an open architecture for rapid detection of infectious pneumonia causative agents. AIP Conf. Proc. 2388, 030018.
- Piepenburg O., Williams C.H., Stemple D.L., Armes N.A. (2006) DNA detection using recombination proteins. PLoS Biol. 4, e204.
- Lobato I.M., O’Sullivan C.K. (2018) Recombinase polymerase amplification: basics, applications and recent advances. Trends Analyt. Chem. 98, 19–35.
- Wilson K. (2001) Preparation of genomic DNA from bacteria. Curr. Protoc. Mol. Biol. 56, 2.4.1–2.4.5.
- Лапа С.А., Мифтахов Р.А., Клочихина Е.С., Аммур Ю.И., Благодатских С.А., Шершов В.Е., Заседателев А.С., Чудинов А.В. (2021) Разработка мультиплексной ОТ-ПЦР с иммобилизованными праймерами для идентификации возбудителей инфекционной пневмонии человека. Молекуляр. биология. 55, 944–955.
- Клочихина Е.С., Шершов В.Е., Кузнецова В.Е., Лапа С.А., Чудинов А.В. (2021) Особенности оптимизации мультипраймерной ПЦР для выявления возбудителей инфекционной пневмонии человека. Тонкие хим. технологии. 16, 225–231.
Дополнительные файлы



