A Highly Aggressive Invasive Race Group PstS2 in Russian Populations of the Wheat Yellow Rust Pathogen
- Authors: Shaydayuk E.L.1, Gultyaeva E.I.1
-
Affiliations:
- All Russian Institute of Plant Protection
- Issue: Vol 57, No 1 (2023)
- Pages: 60-67
- Section: PHYTOPATHOGENIC FUNGI
- URL: https://journals.rcsi.science/0026-3648/article/view/138051
- DOI: https://doi.org/10.31857/S0026364823010129
- EDN: https://elibrary.ru/HRXOZS
- ID: 138051
Cite item
Full Text
Abstract
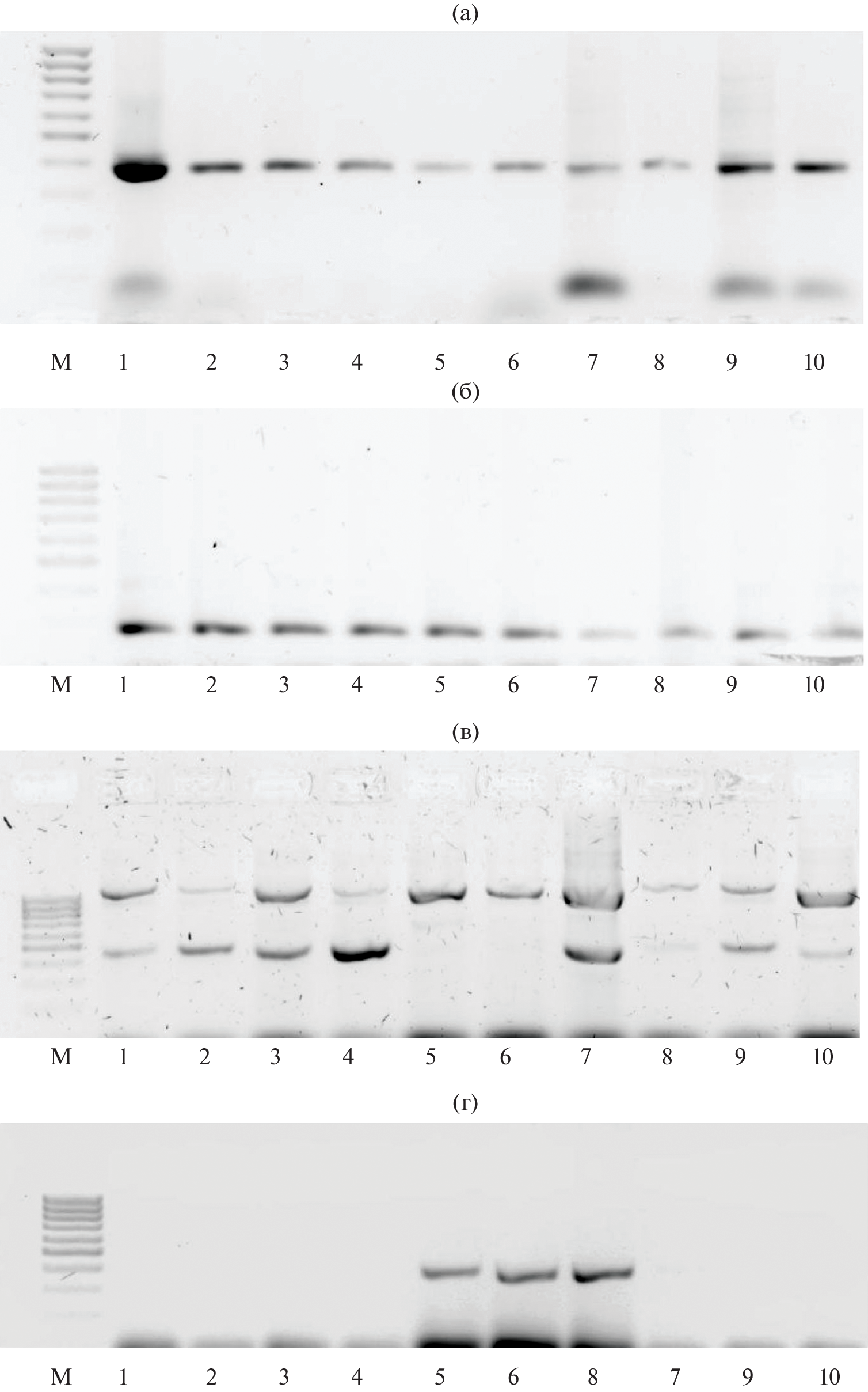
The expansion of the area of harmfulness of the wheat yellow rust pathogen (Puccinia striiformis) (Pst) has be observed all over the world in the 2000s. This is due to the emergence of new highly aggressive invasive groups of races PstS1 and PstS2, adopted to the high temperatures, and also as a result of virulence mutations of regional pathogen populations. SCAR-markers were developed for identification of invasive races, and pathogen collections from many countries were studied. In these studies in first in Russia, the analysis of regional populations of P. striiformis for the presence of invasive races PstS1 and PstS2 was carried out. Single pustule isolates were obtained from urediosamples collected from common and durum wheat, triticale and wild grasses in seven regions of the Russian Federation (North Caucasian, Northwestern, Central Black Earth, Lower Volga, Middle Volga, Volga-Vyatka, West Siberian) in 2019–2020. In total 82 isolates were studied. Using SCAR markers, three genotypes were identified in the studied collection of P. striiformis, and one of which belongs to the invasive group PstS2. The other two genotypes had a different origin (other). Isolates of PstS2 group were received from pathogen population samples collected in the Russian Northwest in 2020. Virulence analysis revealed two phenotypes among them: PstS2_R1 (3 isolates) and PstS2_R2 (1 isolate). According to information from the Global Rust Reference Center (http://www.wheatrust.org/), the main characteristic of isolates from invasive PstS2 group is virulence to wheat lines with resistance genes Yr2, Yr6, Yr7, Yr8, Yr9 and Yr25. The Russian R1 phenotype PstS2 was also characterized by virulence to these genes, as well as to Yr1, Yr32, and YrSp. The PstS2_R2 phenotype differed from PstS2_R1 for avirulence to Yr25 and virulence to Yr3 and Yr4. The main difference of Russian PstS2 isolates with detected in other countries is virulence to wheat lines with genes Yr4, Yr32, and YrSp. The first detection of invasive races in the Northwest of Russia indicates the relevance of annual monitoring of regional populations of P. striiformis.
About the authors
E. L. Shaydayuk
All Russian Institute of Plant Protection
Author for correspondence.
Email: eshaydayuk@bk.ru
Russia, Saint Petersburg
E. I. Gultyaeva
All Russian Institute of Plant Protection
Author for correspondence.
Email: eigultyaeva@gmail.com
Russia, Saint Petersburg
References
- Brar G.S., Kutcher H.R. Race characterization of Puccinia striiformis f.sp. tritici, the cause of wheat stripe rust, in Saskatchewan and southern Alberta, Canada and virulence comparison with races from the United States. Plant Dis. 2016. V. 100 P. 1744–1753. https://doi.org/10.1080/07060661.2014.924560
- Chen X., Penman L., Wan A. et al. Virulence races of Puccinia striiformis f.sp. tritici in 2006 and 2007 and development of wheat stripe rust and distributions, dynamics, and evolutionary relationships of races from 2000 to 2007 in the United States. Can. J. Plant Pathol. 2010. V. 32 (3). P. 315–333. https://doi.org/10.1080/07060661.2010.499271
- Chen X.M. Epidemiology and control of stripe rust (Puccinia striiformis f.sp. tritici) on wheat. Can. J. Plant Pathol. 2005. V. 27 (3). P. 314–337. https://doi.org/10.1080/07060660509507230
- Chen X.M. Integration of cultivar resistance and fungicide application for control of wheat stripe rust. Can. J. Plant Pathol. 2014. V. 36 (3). P. 311–326. https://doi.org/10.1080/07060661.2014.924560
- Chen X.M., Moore M., Milus E.A. et al. Wheat stripe rust epidemics and races of Puccinia striiformis f.sp. tritici in the United States in 2000. Plant Dis. 2002. V. 86 (1). P. 39–46. https://doi.org/10.1094/PDIS.2002.86.1.39
- Flath K., Bartels G. Virulenzsituation in osterreichischen und deutschen Populationen des Weizengelbrostes. Bereicht uber die 52. Tagung der Vereinigung der Pflanzenzuchter und Saatgutkaufleute Osterreichs, Gumpenstein, Verlag und Druck der Bundesanstalt fur alpenlandische Landwirtschaft Gumpenstein, 2002, pp. 51–56.
- Fursov S. The role of wheat in the implementation of the export of the secondary grain market based on the achievements of selection. APK: ekonomika, upravleniye. 2018. №. 5. P. 44–50 (in Russ.).
- Gassner G., Straib W. Untersuchungen Über die Infektionsbedingungen von Puccinia glumarum und Puccinia graminis. Arb. Biol. Reichsanst.Land-Forst- wirtsch Berlin-Dahlem. 1929. V. 16 (4). P. 609–629.
- Gultyaeva E.I., Shaydayuk E., Gannibal P. Leaf rust resistance genes in wheat cultivars registered in Russia and their influence on adaptation processes in pathogen populations. Agriculture. 2021. V. 11 (4). P. 319. https://doi.org/10.3390/agriculture11040319
- Hendrix J.W., Lloyd E.H. Low temperature survival of the stripe rust fungus in host tissue. Phytopathol. 1966. V. 56. P. 2–148.
- Hovmøller M.S., Justesen A.F., Brown J.K.M. Clonality and longdistance migration of Puccinia striiformis f.sp. tritici in north-west Europe. Plant Pathol. 2002. V. 51 (1). P. 24–32. https://doi.org/10.1046/j.1365-3059.2002.00652.x
- Hovmøller M.S., Justesen A.F. Appearance of atypical Puccinia striiformis f.sp. tritici phenotypes in northwestern Europe. Aust. J. Agric. Res. 2007. V. 58 (6). P. 518–524. https://doi.org/10.1071/AR06146
- Hovmøller M.S., Yahyaoui A.H., Milus E.A., Justesen A.F. Rapid global spread of two aggressive strains of a wheat rust fungus. Mol. Ecol. 2008. V. 17 (17). P. 3818–3826. https://doi.org/10.1111/j.1365-294X.2008.03886.x
- Hovmøller M.S., Sørensen C.K., Walter S. et al. Diversity of Puccinia striiformis on cereals and grasses. Annu. Rev. Phytopathol. 2011. V. 49 (1). P. 197–217. https://doi.org/10.1146/annurev-phyto-072910-095230
- Hovmøller M.S., Walter S., Bayles R. et al. Replacement of the European wheat yellow rust population by new races from the centre of diversity in the near-Himalayan region. Plant. Pathol. 2015. V. 65 (3). P. 402–411. https://doi.org/10.1111/ppa.12433,http://onlinelibrary.wiley.com/doi/10.1111/ppa.12433/abstract
- Hovmøller M.S., Patpour M., Rodriguez-Algaba J. et al. GRRC report of yellow and stem rust races 2021, Aarhus University, Denmark. Available online: www.wheatrust.org
- Hubbard A., Lewis C.M., Yoshida K. et al. Field pathogenomics reveals the emergence of a diverse wheat yellow rust population. Genome Biol. 2015. V. 16 (23). https://doi.org/10.1186/s13059-015-0590-8
- Justesen A.F., Ridoutb C.J., Hovmøller M.S. The recent history of Puccinia striiformis f.sp. tritici in Denmark as revealed by disease incidence and AFLP markers. Plant. Pathol. 2002. V. 51 (1). P. 13–23. https://doi.org/10.1046/j.0032-0862.2001.00651.x
- Kokhmetova A., Sharma R., Rsaliyev S. et al. Evaluation of Central Asian wheat germplasm for stripe rust resistance. Plant Genet. Resour. 2017. V. 16 (2). P. 178–184. https://doi.org/10.1017/S1479262117000132
- Kokhmetova A.M., Atishova M.N., Galymbek K. Identification of wheat germplasm resistant to leaf, stripe and stem rust using molecular markers. Bulletin of NAS RK. 2020. V. 2. P. 45–52. https://doi.org/10.32014/2020.2518-1467.40
- Kokhmetova A., Rsaliyev A., Malysheva A. et al. Identification of stripe rust resistance genes in common wheat cultivars and breeding lines from Kazakhstan. Plants. 2021. V. 10 (11). P. 2303. https://doi.org/10.3390/plants10112303
- Liu T., Wan A., Liu D. et al. Changes of races and virulence genes in Puccinia striiformis f.sp. tritici, the wheat stripe rust pathogen, in the United States from 1968 to 2009. Plant Dis. 2017. V. 101 (8). P. 1522–1532. https://doi.org/10.1094/PDIS-12-16-1786-RE
- Markell S.G., Milus E.A. Emergence of a novel population of Puccinia striiformis f.sp. tritici in eastern United States. Phytopathol. 2008. V. 98. P. 632–639. https://doi.org/10.1094/PHYTO-98-6-0632
- McCallum B.D., Hiebert C.W., Cloutier S. et al. A review of wheat leaf rust research and the development of resistant cultivars in Canada. Can. J. Plant Pathol. 2016. V. 38 (1). P. 1–18. https://doi.org/10.1080/07060661.2016.1145598
- McIntosh R.A., Wellings C.R., Park R.F. Wheat rusts. An atlas of resistance genes. CSIRO Australia, Kluwer Acad. Publ., Dordrecht, 1995.
- Milus E.A., Kristensen K., Hovmøller M.S. Evidence for increased aggressiveness in a recent widespread strain of Puccinia striiformis f.sp. tritici causing stripe rust of wheat. Phytopathology. 2009. V. 99 (1). P. 89–94. https://doi.org/10.1094/PHYTO-99-1-0089
- Milus E.A., Seyran E., McNew R. Aggressiveness of Puccinia striiformis f.sp. tritici isolates in the South Central United States. Plant Dis. 2006. V. 90 (7). P. 847–852. https://doi.org/10.1094/PD-90-0847
- Shaydayuk E.L., Yakovleva D.R., Abdullaev K.M. et al. Population genetics studies of Puccinia striiformis f.sp. tritici in Dagestan and Northwestern Russia. Trudy po prikladnoy botanike, genetike i selektsii. 2021. V. 182 (3). P. 174–181 (in Russ.). https://doi.org/10.30901/2227-8834-2021-3-174-181
- Wheat rust in Asia: meeting the challenges with old and new technologies. In: Proceedings of the 4th International Crop Science Congress; Brisbane, Australia. 2004. http://www.cropscience.org.au/icsc2004/symposia/3/7/ 141_singhrp.htm.
- Walter S., Ali S., Kemen E. et al. Molecular markers for tracking the origin and worldwide distribution of invasive strains of Puccinia striiformis. Ecol Evol. 2016. V. 6 (9). P. 2790–2804. https://doi.org/10.1002/ece3.2069
- Wellings C.R. Global status of stripe rust: A review of historical and current threats. Euphytica. 2011. V. 179 (1). P. 129–141. https://doi.org/10.1007/s10681-011-0360-y
- Wellings C.R. Puccinia striiformis in Australia: a review of the incursion, evolution and adaptation of stripe rust in the period 1979–2006. Aust. J. Agric. Res. 2007. V. 58 (6). P. 567–575. https://doi.org/10.1071/AR07130
- Zadoks J.C. Yellow rust on wheat studies in epidemiology and physiologic specialization. Tijdschr. Planteziekten. 1961. V. 67. P. 69–256.
- Фурсов С. (Fursov) Роль пшеницы в реализации экспортного потенциала зернового рынка на основе достижений селекции. АПК: экономика, управление. 2018. № 5. С. 44–50.
- Шайдаюк Е.Л., Яковлева Д.Р., Абдуллаев К.М. и др. (Shaydayuk et al.) Популяционно-генетические исследования Puccinia striiformis f. sp. tritici в Дагестане и на Северо-Западе России. Труды по прикладной ботанике, генетике и селекции. 2021. V. 182 (3). P. 174–181. https://doi.org/10.30901/2227-8834-2021-3-174-181
Supplementary files



