Hyperekplexia. Clinical observation
- Authors: Fomina M.Y.1, Melashenko T.V.1, Palchik A.B.1, Pavlova O.I.1, Malekov D.A.1
-
Affiliations:
- Saint Petersburg State Pediatric Medical University
- Issue: Vol 12, No 4 (2021)
- Pages: 83-88
- Section: Clinical observation
- URL: https://journals.rcsi.science/pediatr/article/view/90075
- DOI: https://doi.org/10.17816/PED12483-88
- ID: 90075
Cite item
Abstract
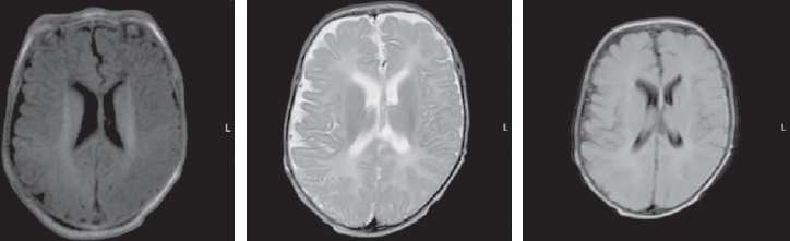
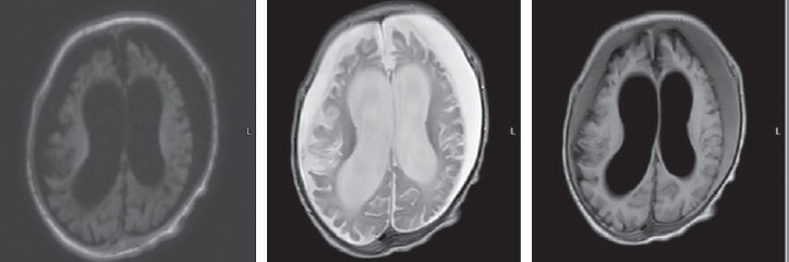
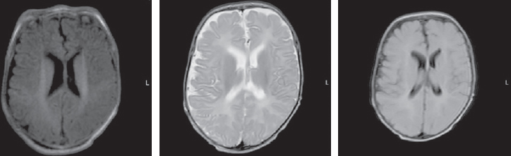
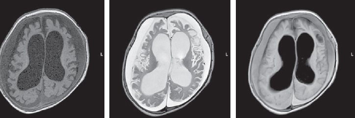
The differential diagnosis of paroxysmal conditions, as well as disorders of muscle tone (hypertension) in the neonatal period and in young children is quite complicated. Various states of the nervous system in newborns are transient and permanent, optimal and suboptimal, normal and pathological. Among them, we can mention non-epileptic paroxysmal states of early childhood. In some cases, non-epileptic paroxysmal states of early childhood is accompanied by motor disorders, manifested by an excessive increase in limb tone in newborns. This pathological condition of muscle tone in the English-language literature is referred to by the term stiffness baby (the syndrome of a “rigid” or “fettered” baby). Neonatal pathological muscle hypertonicity, unlike physiological hypertonicity of muscles of a newborn, is a rather rare condition. The article presents literature data and a description of the clinical observation of a patient with hyperekplexia. Hyperekplexia is a rare paroxysmal movement disorder in young children. The main clinical variants of the disease, methods of diagnosis and correction, the main mutations associated with this condition are considered. The article describes the own clinical observation of an early-age patient with hyperekplexia, its clinical picture, features of paroxysmal states and therapy, neuroimaging data, electroencephalographic phenomena recorded in the patient and genetic testing that confirmed the diagnosis of non-epileptic paroxysmal disorders. The child has a mutation in the ATAD1 gene associated with type 4 Hyperekplexia (618011).
Keywords
Full Text
##article.viewOnOriginalSite##About the authors
M. Y. Fomina
Saint Petersburg State Pediatric Medical University
Author for correspondence.
Email: myfomina@mail.ru
MD, Dr. Sci. (Med.), Professor, Department of Psychoneurology AF and DPO
Russian Federation, Saint PetersburgT. V. Melashenko
Saint Petersburg State Pediatric Medical University
Email: melashenkotat@mail.ru
MD, Cand. Sci. (Med.), Resident doctor, Perinatal Сenter. Department of Intensive Care and Neonatal Intensive Care
Russian Federation, Saint PetersburgA. B. Palchik
Saint Petersburg State Pediatric Medical University
Email: Axander57@mail.ru
MD, Dr. Sci. (Med.), Professor, Department of Neonatology with courses of neurology and obstetrics-gynecology of FP and DPO
Russian Federation, Saint PetersburgO. I. Pavlova
Saint Petersburg State Pediatric Medical University
Email: eegenmg@mail.ru
Resident doctor, Department of functional diagnostics
Russian Federation, Saint PetersburgD. A. Malekov
Saint Petersburg State Pediatric Medical University
Email: d.a.malekov@gmail.com
Resident doctor, Department of Radiation Diagnostics
Russian Federation, Saint PetersburgReferences
- Ivanov DO, Atlasov VO, Bobrov SA, et al.; Sev-Zap. Federal’nyj med. issled. centr im. Almazova VA; In-t Perinatologii i Pediatrii. Rukovodstvo po perinatologii. Ivanova DO, editor. Saint Petersburg: Inform-Navigator; 2015. 1214 p. (In Russ.)
- Pal’chik AB, Ponyatishin AE. Neepilepticheskie paroksizmy u grudnyh detej. Moscow: MEDprecs-inform; 2015. 136 p. (In Russ.)
- Pal’chik AB, Ponyatishin AE, Privorotskaya VV. Non-epileptic paroxysms in children: structure and phenomenology. Special education. 2017;(4):129–140. (In Russ.)
- Fomina MYU, Melashenko TV, Pavlova OI. Neonatal convulsions in full-term newborns: clinical and electrophysiological features. Pediatrician. 2018;9(5): 13–20. (In Russ.) doi: 10.17816/PED9513-20
- Andrew M, Owen MJ. Hyperekplexia: abnormal startle response due to glycine receptor mutations. Br J Psychiatry. 1997;170:106–108. doi: 10.1192/bjp.170.2.106
- Bunod R, Doummar D, Whalen S, et al. Congenital immobility and stiffness related to biallelic ATAD1 variants. Neurol Genet. 2020;6(6):520. doi: 10.1212/NXG.0000000000000520
- Chevre J, Berthier M, Bonneau D, et al. Hyperexplexia. Arch Pédiatr. 1995;2(5):469–472. (In French) doi: 10.1016/0929-693x(96)81184-5
- Hmami F, Wood SE, Chaouki S, et al. Neonatal hyperekplexia with homozygous p.R392H mutation in GLRA1. Epileptic Disord. 2014;16(3):354–357. doi: 10.1684/epd.2014.0663
- Li H, Yang ZX, Xue J, Qian P, Liu XY. Clinical and genetic analysis of hyperekplexia in a Chinese child and literature review. Zhonghua Er Ke Za Zhi. 2017;55(2):120–124. doi: 10.3760/cma.j.issn.0578-1310.2017.02.013
- Mine J, Taketani T, Yoshida K, Yokochi F, et al. Clinical and genetic investigation of 17 Japanese patients with hyperekplexia. Dev Med Child Neurol. 2015;57(4):372–377. doi: 10.1111/dmcn.12617
- Moriyoshi H, Hata Y, Inagaki R, et al. A pedigree of hereditary hyperekplexia. Rinsho Shinkeigaku. 2018;58(7): 435–439. doi: 10.5692/clinicalneurol.cn-001129
- Piard J, Essien Umanah GK, et al. ATAD1 encephalopathy and stiff baby syndrome: a recognizable clinical presentation. Brain. 2018;141(6): e50. doi: 10.1093/brain/awy100
- Gahlot SA, Pandey S. Hyperekplexia and other startle syndromes. Neurol Sci. 2020;416:117051. doi: 10.1016/j.jns.2020.117051
- Volpe JJ. Neurology of the Newborn. 5th Edition. Philadelphia: Saunders. Elsevier; 2008.
- Wolf NI, Zschocke J, Jakobs C, et al. ATAD1 encephalopathy and stiff baby syndrome: a recognizable clinical presentation. Brain. 2018;141(6): e49. doi: 10.1093/brain/awy095
Supplementary files










