Combination of tuberculosis of the intra thoracic lymph nodes and acute lymphoblastic leukemia in a child
- Authors: Lozovskaya M.E.1, Yarovaya Y.A.1, Vasilieva E.B.1, Klochkova L.V.1, Malysheva E.A.2, Noskova O.M.3
-
Affiliations:
- St. Petersburg State Pediatric Medical University
- Children’s TB Dispensary No. 14
- St. Petersburg City Children Infectious Diseases No. 3
- Issue: Vol 12, No 6 (2021)
- Pages: 89-96
- Section: Clinical observation
- URL: https://journals.rcsi.science/pediatr/article/view/77801
- DOI: https://doi.org/10.17816/PED12689-96
- ID: 77801
Cite item
Abstract
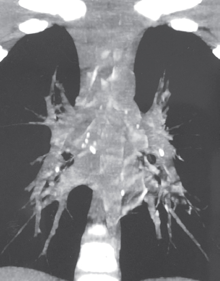
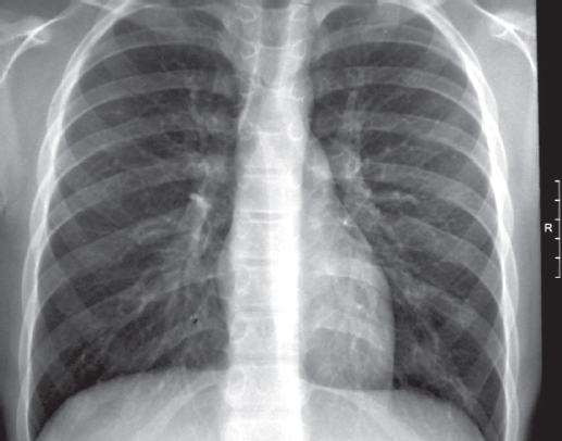
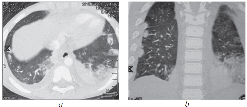
According to scientific research, malignant neoplasms in children are biomedical risk factors for the development of tuberculosis (TB). On the contrary, the occurrence of oncological disease in a child against the background of an existing tuberculous process is extremely rare. The combination of malignant neoplasm and tuberculosis creates difficulties in differential diagnosis, treatment of diseases, prevention of exacerbations and relapses. This article presents a clinical observation – the development of acute lymphoblastic leukemia (ALL) in a 6-year-old child against the background of TB of the intrathoracic lymph nodes during treatment. TB proceeded favorably despite multiple family contact in the child and resistance of Mycobacterium tuberculosis to anti-tuberculosis drugs in adult relatives of the patient. At the onset of ALL, bilateral pulmonary infiltrates and pleural effusion were observed, which were not associated with TB. Specific polychemotherapy for ALL and continued chemotherapy for TB led to the cure of two diseases. Supportive cytostatic and immunosuppressive therapy for ALL required periodic courses of anti-relapse anti-tuberculosis therapy for 5 years. After 10 years of observation, the child is healthy. Thus, the possibility of a rare in clinical practice combination of TB and ALL in children should be taken into account in the diagnosis and treatment of these diseases. During courses of immunosuppressive therapy for ALL, there is a risk of reactivation of TB. It is necessary to recommend long-term observation of such children by a phthisiatrician and an oncologist to prevent recurrence of both diseases.
Full Text
##article.viewOnOriginalSite##About the authors
Marina E. Lozovskaya
St. Petersburg State Pediatric Medical University
Email: lozovskaja-marina@rambler.ru
Dr. Sci. (Med.), Professor, Head of Departmet of Phthisiatry
Russian Federation, Saint PetersburgYulia A. Yarovaya
St. Petersburg State Pediatric Medical University
Email: julia_yarovaya@mail.ru
Cand. Sci. (Med.), Associate Professor of Department of Phthisiatry
Russian Federation, Saint PetersburgElena B. Vasilieva
St. Petersburg State Pediatric Medical University
Email: helenchern27@mail.ru
Cand. Sci. (Med.), Associate Professor of Department of Phthisiatry
Russian Federation, Saint PetersburgLudmila V. Klochkova
St. Petersburg State Pediatric Medical University
Email: lklochkova@yahoo.com
Cand. Sci. (Med.), Associate Professor, Department of Phthisiatry
Russian Federation, Saint PetersburgElena A. Malysheva
Children’s TB Dispensary No. 14
Email: ptd14@zdrav.spb.ru
Phthisiatrician of Pediatric Department
Russian Federation, Saint PetersburgOlga M. Noskova
St. Petersburg City Children Infectious Diseases No. 3
Author for correspondence.
Email: dib_3@mail.ru
Head of Tuberculosis Department No. 5
Russian Federation, Saint PetersburgReferences
- Aryaev NL, Kotova NV, Starec EA, et al. Detskaya pul’monologiya. Kiev: Zdorov´ya; 2005. 607 p. (In Russ.)
- Vasil’eva EB, Klochkova LV, Korol’ OI, et al. Tuberkulez u detej i podrostkov: Rukovodstvo. Saint Petersburg: Piter; 2005. 424 p. (In Russ.)
- Imyanitov EN, Hanson KP. Molekulyarnaya onkologiya: klinicheskie aspekty. Saint Petersburg: SPbMAPO; 2007. 213 p. (In Russ.)
- Kaznatcheev KS. Complicated questions of early diagnostics of acute leukemia at children. Vestnik NGU. Seriya: Biologiya, Klinicheskaya Medicina. 2011;9(2):211–214. (In Russ.)
- Lozovskaya ME, Belushkov VV, Gurina OP, et al. Comparative Evaluation Of Innovative Diagnostic Tests For Latent And Active TB Infection In Children. Pediatrician (St. Petersburg). 2014;5(3):46–50. (In Russ.) doi: 10.17816/PED5346-50
- Lozovskaya ME, Zaharova OP, Udal’cova EN. Tuberkulez u podrostkov v sovremennykh usloviyakh. Medicine: Theory and Practice. 2019;4(S):319–320. (In Russ.)
- Lozovskaya ME, Nikiforenko NA, Klochkova LV, et al. Clinical and epidemiological features of tuberculosis in young children in Saint Petersburg. Pediatrician (St. Petersburg). 2018;9(5):5–12. (In Russ.) doi: 10.17816/PED955-12
- Malysheva OK, Shniguer NU, Molodyk AA. Detection of oncological risk groups in infiltrative lung tuberculosis patients. Pulmonologiya. 2000;(1):19–23. (In Russ.)
- Panova LV, Ovsyankina ES, Khiteva AYu, et al. Oncological diseases as one of the problems of differential diagnosis in a tuberculosis hospital for children and adolescents. Pediatrics Journal named after G.N. Speransky. 2020;99(4):275–278. (In Russ.)
- Roitman EI, Sukhov VA, Miroshnichenko OM, Parfeeva EA. Prolonged remission in a child with acute lymphoblastic leukemia. Vestnik NovSU. 2016;97(6):58–62. (In Russ.)
- Sadovnikov AA, Panchenko KI. Rak legkogo na pochve ostatochnykh yavlenii posle perenesennogo tuberkuleza. Russian Journal of Thoracic and Cardiovascular Surgery. 2001;1:51–57. (In Russ.)
- Carvalho AC, Schumacher RF, Bigoni S, Soncini E. Contact investigation based on serial interferon-gamma release assays (IGRA) in children from the hematology-oncology ward after exposure to a patient with pulmonary tuberculosis. Infection. 2013;41(4):827–831. doi: 10.1007/s15010-013-0450-y
- Silva FA, Matos JO, de Q Mello FC, Nucci M. Risk factors for and attributable mortality from tuberculosis in patients with hematologic malignances. Haematologica. 2005;90(8):1110–1115.
- Stefan DC, Kruis AL, Schaaf HS, Wessels G. Tuberculosis in oncology patients. Ann Trop Paediatr. 2008;28(2): 111–116. doi: 10.1179/146532808X302125
- Wessels G., Hesseling P.B., Gie R.P., Nel E. The increased risk of developing tuberculosis in children with malignancy. Ann Trop Paediatr. 1992;12(3): 277–281. doi: 10.1080/02724936.1992.11747585
Supplementary files






