Герпетиформный дерматит дюринга в детской дерматологии: вопросы диагностики и лечения
- Авторы: Новиков Ю.А.1, Заславский Д.В.2, Правдина О.В.3, Зыкова Е.А.3, Липатникова А.С.1, Большакова Е.С.2, Манылова Е.С.2, Дроздова Л.Н.2
-
Учреждения:
- Бюджетное учреждение здравоохранения Омской области «Клинический кожно-венерологический диспансер»
- ФГБОУ ВО «Санкт-Петербургский государственный педиатрический медицинский университет» Минздрава России
- Федеральное государственное бюджетное образовательное учреждение высшего образования «Омский государственный медицинский университет» Министерства здравоохранения Российской Федерации
- Выпуск: Том 11, № 6 (2020)
- Страницы: 79-86
- Раздел: Клинический случай
- URL: https://journals.rcsi.science/pediatr/article/view/64943
- DOI: https://doi.org/10.17816/PED11679-86
- ID: 64943
Цитировать
Аннотация
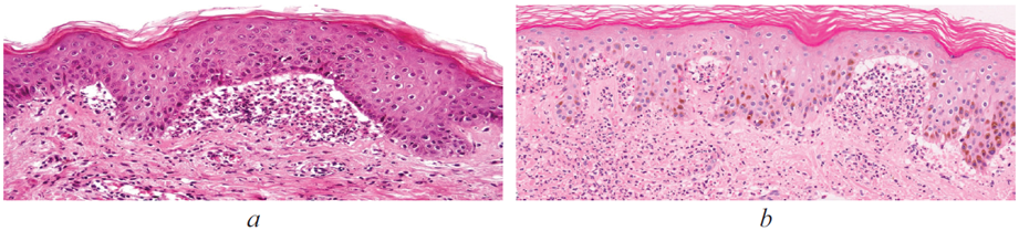
В данной статье представлен случай клинического наблюдения ребенка 5 лет с герпетиформным дерматитом Дюринга. Этот редкий дерматоз характеризуется хроническим рецидивирующим течением, наличием зудящих полиморфных высыпаний, типичными гистологическими и иммуноморфологическими признаками. Диагноз был выставлен на основании клинической картины, данных гистологического и иммуногистохимического исследования биоптата кожи, а также данных результатов исследования HLA-типирования методом ПЦР. Клиническое наблюдение этого случая представляет интерес для практикующих врачей-дерматологов в связи с редкой встречаемостью герпетиформного дерматита Дюринга у детей, сложностью дифференциально-диагностического поиска, что требует дальнейшего обобщения опыта с применением гистологических, иммуногистохимических и молекулярно-генетических методов исследования. Герпетиформный дерматит представляет собой хронические интенсивно зудящие папуло-везикулезные высыпания, которые, как правило, имеют симметричную локализацию на разгибательных поверхностях конечностей. Заболевание четко дифференцируется от других высыпаний с образованием субэпидермальных пузырей по гистологическим, иммунологическим и гастроинтестинальным критериям. Распространенность дерматоза в различных популяциях европиоидной расы составляет от 10 до 39 случаев на 100 000 населения. Герпетиформный дерматит Дюринга может развиться в любом возрасте (зарегистрированы случаи детской формы герпетиформного дерматита Дюринга), однако чаще всего заболевание встречается в возрасте 40–50 лет. Герпетиформный дерматит персистирует неопределенно долго с переменной степенью тяжести. У пациентов с дерматитом Дюринга нередко отмечается ассоциированная глютен-чувствительная энтеропатия, в большинстве случаев протекающая бессимптомно.
Полный текст
Открыть статью на сайте журналаОб авторах
Юрий Александрович Новиков
Бюджетное учреждение здравоохранения Омской области «Клинический кожно-венерологический диспансер»
Автор, ответственный за переписку.
Email: buzoo.kkvd@mail.ru
Доктор мед. наук, доцент, заведующий кафедрой дерматовенерологии и косметологии
Россия, ОмскДенис Владимирович Заславский
ФГБОУ ВО «Санкт-Петербургский государственный педиатрический медицинский университет» Минздрава России
Email: venerology@gmail.com
Доктор мед. наук, профессор, кафедра дерматовенерологии
Россия, Санкт-ПетербургОльга Валерьевна Правдина
Федеральное государственное бюджетное образовательное учреждение высшего образования «Омский государственный медицинский университет» Министерства здравоохранения Российской Федерации
Email: pravdina76@yandex.ru
Кандидат мед. наук, доцент, кафедра дерматовенерологии и венерологии
Россия, ОмскЕлена Александровна Зыкова
Федеральное государственное бюджетное образовательное учреждение высшего образования «Омский государственный медицинский университет» Министерства здравоохранения Российской Федерации
Email: zyk.alena@mail.ru
Кандидат мед. наук, ассистент, кафедра дерматовенерологии и косметологии
Россия, ОмскАнастасия Сергеевна Липатникова
Бюджетное учреждение здравоохранения Омской области «Клинический кожно-венерологический диспансер»
Email: Lime-as@mail.ru
Врач-дерматовенеролог поликлинического отделения № 1 БУЗОО «ККВД»
Россия, ОмскЕлена Семеновна Большакова
ФГБОУ ВО «Санкт-Петербургский государственный педиатрический медицинский университет» Минздрава России
Email: bolena2007@rambler.ru
Врач-дерматовенеролог, заведующая кожно-венерологическим отделением клиники
Россия, Санкт-ПетербургЕлена Сергеевна Манылова
ФГБОУ ВО «Санкт-Петербургский государственный педиатрический медицинский университет» Минздрава России
Email: tulechka78@mail.ru
Врач-дерматовенеролог клиники
Россия, Санкт-ПетербургЛюдмила Николаевна Дроздова
ФГБОУ ВО «Санкт-Петербургский государственный педиатрический медицинский университет» Минздрава России
Email: luddrozd@mail.ru
Врач-дерматовенеролог клиники
Россия, Санкт-ПетербургСписок литературы
- Бонифаци Э. Дифференциальная диагностика в детской дерматологии. – М.: Издательство Панфилова, 2014. – C. 104–110. [Bonifaci E. Differential diagnosis in pediatric dermatology. Moscow: Panfilov Publishing House; 2014. P. 104-110. (In Russ.)]
- Бутов Ю.С., Потекаев Н.Н. Руководство для врачей по дерматовенерологии. – М.: Издательство ГЭОТАР-Медиа, 2017. – C. 276–301. [Butov YuS, Potekaev NN. Rukovodstvo dlya vrachej po dermatovenerologii. Moscow: Izdatel’stvo GEOTAR-Media; 2017. P. 276-301 (In Russ.)]
- Васильев А.Г., Заславский Д.В., Трашков А.П., и др. Изменения гормонального статуса у пациентов с очаговым вульгарным псориазом // Вестник дерматологии и венерологии. – 2011. – № 5. – С. 88–90. [Vasiliyev AG, Zaslavskiy DV, Trashkov AP, et al. Changes in the hormonal status of patients with focal psoriasis vulgaris. Vestnik dermatologii i venerologii. 2011;(5):88-90. (In Russ.)]
- Горланов И.А., Леина Л.М., Милявская И.Р., Заславский Д.В. Болезни кожи новорожденных и грудных детей. – М.: Издательство Фолиант; 2016. – С. 45–55. [Gorlanov IA, Leina LM, Milyavskaya IR, Zaslavsky DV. Bolezni kozhi novorozhdennyh i grudnyh detej. Moscow: Izdatel’stvo Foliant; 2016. P. 45-55. (In Russ).]
- Горланов И.А., Леина Л.М., Милявская И.Р., Куликова С.Ю. О заболеваниях, ассоциированных с нарушением барьерной функции кожи // Педиатр. – 2013. – Т. 4. – № 3. – С. 111–114. [Gorlanov IA, Leina LM, Milyavskaya IR, Kulikova SYu. About the diseases associated with impaired barrier functionof the skin. Pediatrician (St. Petersburg). 2013;4(3):111-114. (In Russ.)] https://doi.org/10.17816/PED43111-114.
- Горланов И.А., Заславский Д.В., Куликова С.Ю., и др. Детская дерматовенерология: учебник / под ред. И.А. Горланова. – М.: ГЕОТАР-Медиа, 2017. – C. 337–341. [Gorlanov IA, Zaslavsky DV, Kulikova SYu, et al. Detskaja dermatovenerologija: uchebnik. Gorlanov IA, ed. Moscow: GEOTAR-Media; 2017. P. 337-341 (In Russ).]
- Горланов И.А., Микиртичан Г.Л., Заславский Д.В. и др. Клинико-социологические проблемы комплаентности в детской дерматологии // Вестник дерматологии и венерологии. – 2011. – Т. 87. – № 1. – С. 36–40. [Gorlanov IA, Mikirtichan GL, Zaslavskij DV, et al. Clinical and social problems of compliance in pediatric dermatology. Vestnik dermatologii i venerologii. 2011;87(1)36-40. (In Russ).]
- Заславский Д.В., Харбедия Ш.Д., Хведелидзе М.Г., и др. Результаты оценки пациентами деятельности медицинского персонала // Новые горизонты: инновации и сотрудничество в медицине и здравоохранении: материалы IX Российско-немецкой научно-практической конференции Форума им. Р. Коха и И.И. Мечникова / под общей ред. О.В. Кравченко, Г. Хана. – Новосибирск: Сибирский Центр Деловых Технологий, 2010. – С. 28–29. [Zaslavsky DV., Harbedia SD., Hvedelidze MG., et al. Rezul’taty ocenki pacientami dejatel’nosti medicinskogo personala. In: Novye gorizonty: innovacii i sotrudnichestvo v medicine i zdravoohranenii: Materialy IX rossijsko-nemeckoj nauchno-prakticheskoj konferencii Foruma im. R. Koha i I.I. Mechnikova. Kravchenko OV, Han G, eds. Novosibirsk: Sibirskii Tsentr Delovykh Tekhnologii; 2010. P. 28-29. (In Russ.)]
- Потекаев Н.Н., Львов А.Н. Дерматология Фицпатрика в клинической практике. Москва: Издательство Панфилова. – 2015. – С. 714–720. [Potekaev NN., Lvov AN. Dermatologija Ficpatrika v klinicheskoj praktike. Moscow: Izdatel’stvo Panfilova. 2015;714-720 (in Russ.)]
- Родионов А.Н., Заславский Д.В., Сыдиков А.А. Дерматология. Иллюстрированное руководство клинической диагностики по профессору Родионову А.Н. / под ред. А.Н. Родионова. – М.: Издательский дом «Граница», 2018. – 944 с. [Rodionov AN, Zaslavsky DV, Sydikov AA. Dermatology: The illustrated guide to clinical diagnostics to professor Rodionov A.N. Moscow: Izdatel’skii dom “Granitsa”; 2018. 944 p (In Russ.)].
- Родионов А.Н., Заславский Д.В., Чупров И.Н., и др. Дерматопатология воспалительных заболеваний кожи. – Ташкент, 2014. – 208 с. [Rodionov AN, Zaslavskij DV, Chuprov IN, et al. Dermatopatologija vospalitel’nyh zabolevanij kozhi. Tashkent; 2014. 208 p. (In Russ.)]
- Тихоновская И.В., Катина М.А. Буллезные дерматозы: методические рекомендации. – Витебск: ВГМУ, 2018. – C. 25–32. [Tikhonovskaya IV, Katina MA. Bulljoznye dermatozy: metodicheskie rekomendacii. Vitebsk: Vitebskij gosudarstvennyj medicinskij universitet; 2018. P. 25-32. (In Russ.)]
- Шнайдерман П., Гроссман М. Дифференциальная диагностика в дерматологии. – М.: Бином, 2017. – C. 42–51. [Schneiderman P, Grossman M. Differencial’naja diagnostika v dermatologii. Moscow: Binom; 2017. P. 42-51. (In Russ.)]
- Харбердия Ш.Д., Моисеева К.Е., Заславский Д.D., Ермакова Н.С. Результаты оценки отдельных показателей работы дерматовенерологической службы Северо-Западного Федерального округа // Медицина и организация здравоохранения. – 2019. – Т. 4. – № 2. – С. 13–19. [Harberdiya ShD, Moiseeva KE, Zaslavskij DV, Ermakova NS. Results of the assessment of individual indicators of the work of the dermatovenerological service of the North-Western Federal District. Meditsina i organizatsiya zdravookhraneniya. 2019;4(2):13-19. (In Russ.)]
- Хэбиф Т.П. Кожные болезни. Диагностика и лечение. – М.: Медпресс-информ, 2016. – C. 341–344. [Нebif TP. Skin diseases. Diagnosis and treatment. Moscow: Medpress-inform; 2016. P. 341-344. (In Russ.)]
- Юрьев В.К., Заславский Д.В., Витенко Н.В., и др. Некоторые результаты оценки пациентами качества медицинской помощи // Ученые записки СПбГМУ им. акад. Павлова И.П. – 2010. – Т. 17. – № 2. – С. 5–7. [Yuryev VK, Zaslavsky DV, Vitenko NV, et al. Nekotorye rezul’taty ocenki pacientami kachestva medicinskoj pomoshhi. Uchenye zapiski SPbGMU im. akad. Pavlova IP. 2010;17(2):5-7. (In Russ)]
Дополнительные файлы








