Giant hepatic hemangiomas in newborns, review literature. Two cases of giant congenital hepatic hemangiomas
- Authors: Podkamenev A.V.1, Syrtsova A.R.1, Ti R.A.1, Kuzminykh S.V.1, Kondratiev G.V.1, Myznikova I.V.1, Kostylev A.A.2
-
Affiliations:
- St. Petersburg State Pediatric Medical University, Ministry of Healthcare of the Russian Federation
- St. Petersburg’s Children’s City Multidisciplinary Clinical Specialized Center of High Medical Technologies
- Issue: Vol 11, No 5 (2020)
- Pages: 57-65
- Section: Clinical observation
- URL: https://journals.rcsi.science/pediatr/article/view/62351
- DOI: https://doi.org/10.17816/PED11557-65
- ID: 62351
Cite item
Abstract
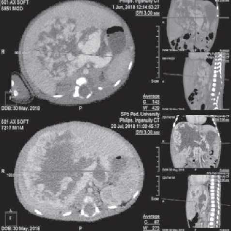
Hemangiomas are the most frequent tumors of childhood age. In the first year of life their prevalence is 10–12%. Among premature children, the prevalence of hemangiomas correlates with the degree of prematurity. Liver hemangiomas are a wide range of benign vascular formations that can acquire both malignant course and capable of spontaneous regression. Small-sized hemangiomas generally do not require specific treatment and proceed asymptomally. Large-sized formations can cause life-threatening conditions such as severe thrombocytopenia with coagulopathy (Kazabah–Merrit syndrome), anaemia, tumor hemorrhage, spontaneous and traumatic tumor breaks, heart failure associated with intra-tumor bypass of blood flow, abdominal compression syndrome, severe hypothyroidism. Diagnosis of this pathology is carried out on the basis of a set of data of medical imaging, laboratory diagnostics and clinical picture. This review presents key points of general classification, the most characteristic diagnostic signs, as well as basic algorithms of treatment of liver hemangiomas in newborns and children of the first year of life. There are also described 2 clinical cases of newborns with giant liver hemangiomas, which were examined and treated in the pathology department of newborns and infants of Perinatal Center of St. Petersburg State Pediatric Medical University with a description of the peculiarities of the course of each of them.
Full Text
##article.viewOnOriginalSite##About the authors
Alexey V. Podkamenev
St. Petersburg State Pediatric Medical University, Ministry of Healthcare of the Russian Federation
Author for correspondence.
Email: podkamenev@hotmail.com
MD, PhD, Dr. Sci. (Med.), Associate Professor, Department of Surgical Diseases of Childhood
Russian Federation, Saint PetersburgArina R. Syrtsova
St. Petersburg State Pediatric Medical University, Ministry of Healthcare of the Russian Federation
Email: syrcovaarina@gmail.com
Pediatric Surgeon, Operating Department, Perinatal Center
Russian Federation, Saint PetersburgRoman A. Ti
St. Petersburg State Pediatric Medical University, Ministry of Healthcare of the Russian Federation
Email: sprut009@yandex.ru
Pediatric Surgeon, Operating Department, Perinatal center
Russian Federation, Saint PetersburgSvetlana V. Kuzminykh
St. Petersburg State Pediatric Medical University, Ministry of Healthcare of the Russian Federation
Email: svkuzminykh@yandex.ru
Pediatric Surgeon, Operating Department, Perinatal center
Russian Federation, Saint PetersburgGleb V. Kondratiev
St. Petersburg State Pediatric Medical University, Ministry of Healthcare of the Russian Federation
Email: spbgvk@mail.ru
Pediatric Oncologist, Assistant Professor, Department of With a Course of Radiation Oncology Diagnostics and Radiotherapy
Russian Federation, Saint PetersburgIrina V. Myznikova
St. Petersburg State Pediatric Medical University, Ministry of Healthcare of the Russian Federation
Email: irinayurko2014@yandex.ru
Neonatologist, Head of the Department of Pathology of Newborns and Infants, Perinatal center
Russian Federation, Saint PetersburgAlexandr A. Kostylev
St. Petersburg’s Children’s City Multidisciplinary Clinical Specialized Center of High Medical Technologies
Email: aka181091@gmail.com
Pediatric Oncologist, Pediatric Oncologist, Department of Oncohematology
Russian Federation, Saint PetersburgReferences
- Скипенко О.Г., Камалов Ю.Р., Ховрин В.В., и др. Лучевая диагностика гемангиом печени: взгляд на проблему из хирургической клиники // Экспериментальная и клиническая гастроэнтерология. – 2011. – № 10. – С. 78–86. [Skipenko OG, Kamalov YuR, Khovrin VV, et al. Luchevaya diagnostika gemangiom pecheni: vzglyad na problemu iz khirurgicheskoy kliniki. Eksperimental’naya i klinicheskaya gastroenterologiya. 2011:(10):78-86. (In Russ.)]
- Федорова Д.В., Хачатрян Л.А. Применение пропранолола в лечении синдрома Казабаха–Мерритт у детей. // Вопросы гематологии/онкологии и иммунопатологии в педиатрии. – 2016. – Т. 15. – № 4. – С. 28–33. [Fedorova DV, Khachatryan LA. Use of propranolol in management of Kasabach-Merritt syndrome in children. Pediatric Haematology / Oncology and Immunopathology. 2016;15(4):28-33. (In Russ.)] https://doi.org/10.20953/1726-1708-2016-4-28-33.
- Чардаров Н.К, Ганиев Ф.А., Багмет Н.Н., Скипенко О.Г. Гемангиомы печени: взгляд хирурга // Анналы хирургической гепатологии. – 2012. – Т. 17. – № 1. – С. 86–93. [Chardarov NK, Ganiev FA, Bagmet NN, Skipenko OG. Liver hemangiomas: the surgical point of view. Annaly Khirurg Gepatologii. Annaly Khirurgicheskoi Gepatologii. 2012;17(1):86-93. (In Russ.)]
- Шабалов Н.П. Неонатология: учебное пособие. 4-е изд., исправленное и дополненное. В 2-х томах. Т. 2. – М.: МЕДпресс-информ, 2006. [Shabalov NP. Neonatologiya. Uchebnoe posobie. 4-e izd., ispravlennoe i dopolnennoe. V 2h tomah. T. 2. Moscow: MEDpress-inform; 2006. (In Russ.)]
- Шабалов Н.П., Цвелев Ю.В., Кира Е.Ф., и др. Основы перинатологии: учебник для студентов медицинских вузов / под ред. Н.П. Шабалова, Ю.В. Цвелева. 3-е изд., перераб. и доп. – М.: МЕДпресс-информ, 2004. – 633 с. [Shabalov NP, Cvelev YuV, Kira EF, et al. Osnovy perinatologii. Uchebnik dlya studentov medicinskih vuzov. N.P. Shabalov, YuV Cvelev editors. 3-e izd. Pererab. i dop. Moscow: MEDpress-inform; 2004. 633 s. (In Russ.)]
- Christison-Lagay ER, Burrows PE, Alomari A, et al. Hepatic hemangiomas: subtype classification and development of a clinical practice algorithm and registry. J Pediatr Surg. 2007;42(1):62-68. https://doi.org/10.1016/j.jpedsurg.2006.09.041.
- Greenberger S, Bischoff J. Infantile hemangioma-mechanism(s) of drug action on a vascular tumor. Cold Spring Harb Perspect Med. 2012;1(1): a006460. https://doi.org/10.1101/cshperspect.a006460.
- George A, Mani V, Noufal A. Update on the classification of hemangioma. J Oral Maxillofac Pathol. 2014; 18(Suppl 1):S117-S120. https://doi.org/10.4103/ 0973-029X.141321
- Chen H. Kasabach-Merritt Syndrome. In: Atlas of Genetic Diagnosis and Counseling. Springer Science+Business Media LLC; 2017. P. 1635-1639.
- Hutchins KK, Ross RD, Kobayashi D, et al. Treatment of Refractory Infantile Hemangiomas and Pulmonary Hypertension with Sirolimus in a Pediatric Patient. J Pediatr Hematol / oncol. 2017;39(7): e391-e393. https://doi.org/10.1097/mph.0000000000000961.
- ISSVA Classification of Vascular Anomalies. International Society for the Study of Vascular Anomalies. 2018. Available from: https://www.issva.org/classification. Accessed: April 11, 2020.
- Jiao-ling L, Xiu-ping G, Kun-shan C, et al. Huge fetal hepatic Hemangioma: prenatal diagnosis on ultrasound and prognosis. BMC Pregnancy Childbirth. 2018;18(1):2. https://doi.org/10.1186/s12884-017-1635-7.
- Kaylani S, Theos AJ, Pressey JG. Treatment of Infantile Hemangiomas with Sirolimus in a Patient with PHACE Syndrome. Pediatr Dermatol. 2013;30(6): e194-e197. https://doi.org/10.1111/pde.12023.
- Krowchuk DP, Frieden IJ, Mancini AJ, et al. Clinical practice guideline for the management of infantile hemangiomas. Pediatrics. 2019;143(1): e20183475. https://doi.org/10.1542/peds.2018-3475.
- Kulungowski AM, Alomari AI, Chawla A, et al. Lessons from a liver hemangioma registry: Subtype classification. J Pediatr Surg. 2012;47(1):165-170. https://doi.org/10.1016/j.jpedsurg.2011.10.037.
- Pott Bärtsch EM, Paek BW, Yoshizawa J, et al. Giant Fetal Hepatic Hemangioma. Fetal Diagn Ther. 2003;18:59-64. https://doi.org/10.1159/000066387.
- Regier TS, Ramji FG. Pediatric hepatic hemangioma. RadioGraphics. 2004;24(6):1719-1724. https://doi.org/10.1148/rg.246035188.
- Storch CH, Hoeger PH. Propranolol for infantile haemangiomas: insights into the molecular mechanisms of action. Br J Dermatol. 2010;163(2):269-274. https://doi.org/10.1111/j.1365-2133.2010.09848.x.
Supplementary files











