Morphological differences in the isthmus and funnel of the fallopian tubes of women in young and old age
- Authors: Balandina I.A.1, Snigireva S.V.1, Balandin A.A.1
-
Affiliations:
- E.A. Vagner Perm State Medical University
- Issue: Vol 14, No 5 (2023)
- Pages: 33-40
- Section: Original studies
- URL: https://journals.rcsi.science/pediatr/article/view/252876
- DOI: https://doi.org/10.17816/PED624864
- ID: 252876
Cite item
Abstract
BACKGROUND: Scientific interest in age-related changes of the female organism is invariably increasing, which is caused, first of all, by the increase in life expectancy of modern man.
AIM: Identification of patterns of age-related morphological changes in the isthmus and funnel of fallopian tubes of women giving birth in old age versus young age using sectional material.
MATERIALS AND METHODS: The study was performed on the sectional material of 70 women who had given birth and were divided into two groups: group 1 included 34 women of young age (22–35 years) and group 2 consisted of 36 elderly women (75–88 years). The external diameter of the isthmus and funnel of the fallopian tubes was determined. For histological examination, fallopian tubes fragments taken at autopsy were stained with Van Gieson picrofuchsin and hematoxylin and eosin.
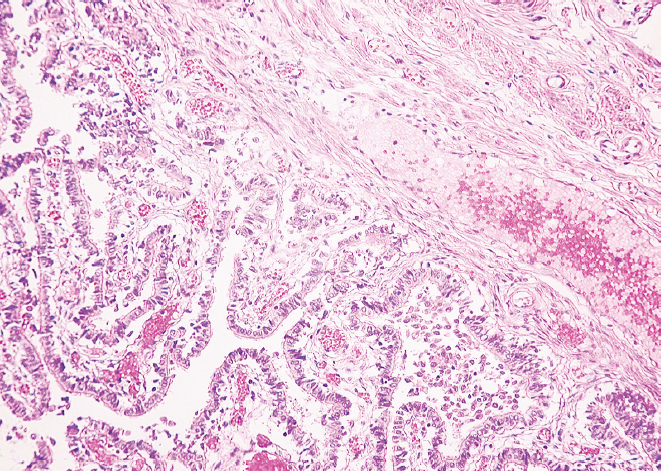
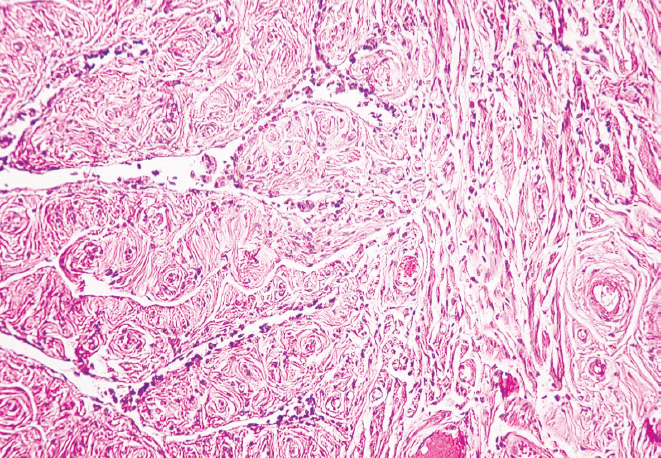
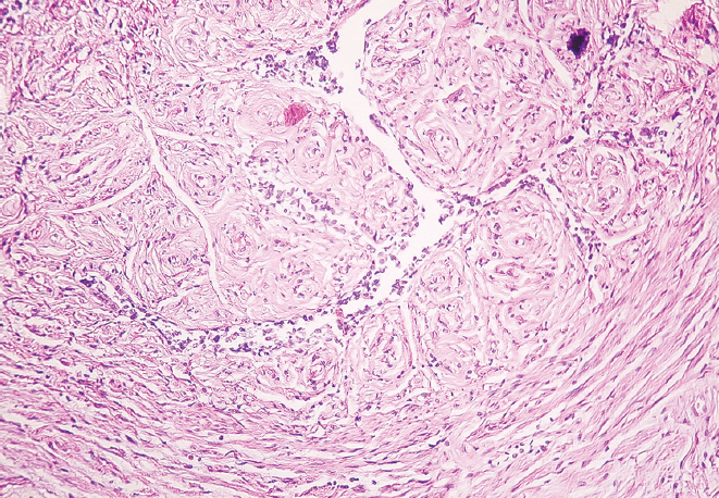
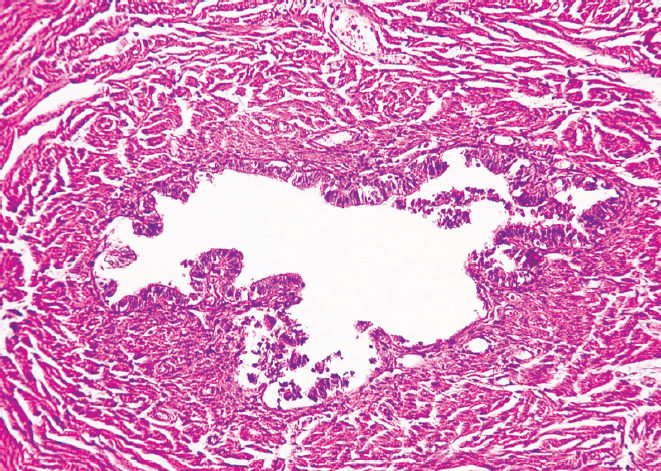
RESULTS: There was a decrease in the external diameter of the isthmus and funnel of both fallopian tubes in women from young age to old age (p < 0.01). At old age, there was a predominance of external diameter parameters of the isthmus and funnel of the right fallopian tube in comparison with those of the left fallopian tube (p < 0.01), while at young age there was only a tendency for the diameter of the isthmus and funnel of the right fallopian tube to predominate (p > 0.05). The histological study showed the presence of thickened folds of the mucous membrane and flattened epithelium in the studied areas in older women, thinning of the muscular membrane layers and overgrowth of connective tissue in comparison with the samples taken for the study in younger women.
CONCLUSIONS: Morphologic restructuring of the isthmus and funnel of the fallopian tubes from young to old age consists in thickening of the mucous membrane folds, flattening of the epithelium, overgrowth of connective tissue in the wall and reduction of their outer diameter with predominant parameters in the right fallopian tube.
Full Text
##article.viewOnOriginalSite##About the authors
Irina A. Balandina
E.A. Vagner Perm State Medical University
Author for correspondence.
Email: balandina_ia@mail.ru
ORCID iD: 0000-0002-4856-9066
SPIN-code: 6484-8520
Dr. Sci. (Medicine), Professor, Head of the Department of Normal, Topographical and Clinical Anatomy, Operative Surgery
Russian Federation, PermSofia V. Snigireva
E.A. Vagner Perm State Medical University
Email: snigirevasofy@yandex.ru
ORCID iD: 0000-0003-0738-8178
Methodologist of the Department of Normal, Topographical and Clinical Anatomy, Operative Surgery
Russian Federation, PermAnatolii A. Balandin
E.A. Vagner Perm State Medical University
Email: balandinnauka@mail.ru
ORCID iD: 0000-0002-3152-8380
SPIN-code: 8298-5970
Operative Surgery
Russian Federation, PermReferences
- Alekseev YuD, Ivakhina SA, Efimov AA, et al. Age-related morphologic changes in organs of the female genital system. Modern problems of science and education. 2016;(4):51.
- Anisimov VN. Molecular and physiological mechanisms of aging. In 2 vol. Saint Petersburg: Nauka, 2008. 434 p. (In Russ.)
- Balandin AA, Balandina IA, Pankratov MK. Effectiveness of treatment of elderly patients with traumatic brain injury complicated by subdural hematoma. Advances in Gerontology. 2021;34(3):461–465. doi: 10.34922/AE.2021.34.3.017
- Balandin AA, Zheleznov LM, Balandina IA. Comparative characteristics of human thalamus parameters in the first period of mature age and in senile age in mesocephals. Siberian Scientific Medical Journal. 2021;41(2):101–105. doi: 10.18699/SSMJ20210214
- Balandin AA, Zheleznov LM, Balandina IA, et al. The dynamics of the structural organization of the corpus callosum from young to old age. Advances in Gerontology. 2020;33(5):916–920. doi: 10.34922/AE.2020.33.5.012
- Balandina IA, Nekrasova AM. Morphological changes in the ampula of the uterine tubes in different periods of life of giving women. Medical science and education in the Urals. 2021;22(3):9–12. doi: 10.36361/1814-8999-2021-22-3-9-12
- Bakhidze EV, Belyaeva AV, Berlev IV, et al. Menopausal hormonal therapy and breast cancer. Advances in Gerontology. 2021;34(2): 277–286. doi: 10.34922/AE.2021.34.2.014
- Bukatov VV, Osipova OA. Peculiarities of myocardial remodeling in patients of different age groups 6 months after myocardial infarction. Humans and their Health. 2021;24(4):34–43. doi: 10.21626/vestnik/2021-4/05
- Direev AO, Munz IV, Mazdorova EV, et al. Age-related characteristics of retinal vessels in aging (literature review). Advances in Gerontology. 2021;34(1):54–63. doi: 10.34922/AE.2021.34.1.007
- Zharikova TS, Milyukov VE, Nikolenko VN. The patterns of change in length of the coronary arteries in humans in the second period of mature ageand in early old age. Sechenov Medical Journal. 2018;(1):16–18.
- Kaplunova OA. Age features of arterial human kidney vessels. Medical Herald of the South of Russia. 2019;10(4):51–58. doi: 10.21886/2219-8075-2019-10-4-51-58
- Katerlina IR, Izranov VA, Solovieva IG, et al. Interhemispheric asymmetry of the brain and morphologic asymmetry of the thyroid gland. Vestnik Novosibirsk State University. Series: Biology and Clinical Medicine. 2010;8(1):129–132.
- Severin FF, Skulachev VP. Programmed cell death as a target of the fight against aging of the organism. Advances in Gerontology. 2009;(1):37–48.
- Shadlinskaya SV. Cellular composition and microanatomy of lymphoid formations of the vestibule of the vagina in postnatal ontogenesis. Sechenov Medical Journal. 2019;(1):57–62. doi: 10.47093/22187332.2019.1.57-62
- Yuzefovich NA, Yudina OA, Melnikov IA, Studenikina TM. Feature of the expression of vimentin, desmin, vascular endothelial growth factor in an aortic media in normal and abdominal aortic aneurysm. Medical news. 2017;(8):71–76.
- Briceag I, Costache A, Purcarea VL, et al. Fallopian tubes — literature review of anatomy and etiology in female infertility. J Med Life. 2015;8(2):129–131.
- Correr S, Makabe S, Heyn R, et al. Microplicae-like structures of the fallopian tube in postmenopausal women as shown by electron microscopy. Histol Histopathol. 2006;21(3):219–226. doi: 10.14670/HH-21.219
- Hart DA. Sex differences in biological systems and the conundrum of menopause: potential commonalities in post-menopausal disease mechanisms. Int J Mol Sci. 2022;23(8):4119. doi: 10.3390/ijms23084119
- Ezzati M, Djahanbakhch O, Arian S, Carr BR. Tubal transport of gametes and embryos: a review of physiology and pathophysiology. J Assist Reprod Genet. 2014;31(10):1337–1347. doi: 10.1007/s10815-014-0309-x
- Grund S, Grümmer R. Direct cell-cell interactions in the endometrium and in endometrial pathophysiology. Int J Mol Sci. 2018;9(8):2227. doi: 10.3390/ijms19082227
- Hamada H. Molecular and cellular basis of left-right asymmetry in vertebrates. Proc Jpn Acad Ser B Phys Biol Sci. 2020;96(7): 273–296. doi: 10.2183/pjab.96.021
- Hena H, Ara S, Ullah M, et al. Age Related change of total length of fallopian tubes in Bangladesh female cadaver. Update Dental College Journal. 2011;1(2):13–16. doi: 10.3329/updcj.v1i2.13980
- Hrishikesh T, Santosh KS. A morphological study on fallopian tube. Int J Anat Res. 2016;4(4):3066–3071. doi: 10.16965/ijar.2016.403
- Javaheri B, Pitsillides AA. Aging and mechanoadaptive responsiveness of bone. Curr Osteoporos Rep. 2019;17(6):560–569. doi: 10.1007/s11914-019-00553-7
- Maryam S, Emily JA, Christopher PC. The fallopian tube and broad ligament. In: Diagnostic gynecologic and obstetric pathology. 3rd edirion. Crum CP, Nucci MR, Boyd TK, editors. Elsevier, 2018. P. 716–760. doi: 10.1016/B978-0-323-44732-4.00021-2
- Slobodian O, Guzik O. Anatomic peculiarities of cervix uteri ligaments in pre- and postnatal human ontogenesis. Mold Med J. 2017;60(3):50–53. doi: 10.5281/zenodo.1051160
- Susan JC. Morphology of the aging lung on computed tomography. J Thorac Imaging. 2016;31(3):140–150. doi: 10.1097/RTI.0000000000000211
- Tamash YaV, Khayrullin RM, Supilnikov AA, Lysov NA. Variant anatomy of the fallopian tubes and ovaries: side-to-side differences, reference values. Ann Anat. 2021;237(S1):151747. doi: 10.1016/j.aanat.2021.151747
- Velez MP, Alvarado BE, Rosendaal N, et al. Age at natural menopause and physical functioning in postmenopausal women: the Canadian Longitudinal Study on Aging. Menopause. 2019;26(9):958–965. doi: 10.1097/GME.0000000000001362
Supplementary files






