Biomodeling of mixed origin fatty liver disease
- Authors: Brus T.V.1, Vasiliev A.G.1, Kravcova A.A.1, Vasilieva A.V.1, Brus Y.S.1, Bannova A.V.2
-
Affiliations:
- Saint Petersburg State Pediatric Medical University
- V.I. Vernadsky Crimean Federal University
- Issue: Vol 14, No 5 (2023)
- Pages: 25-31
- Section: Original studies
- URL: https://journals.rcsi.science/pediatr/article/view/252875
- DOI: https://doi.org/10.17816/PED625940
- ID: 252875
Cite item
Abstract
BACKGROUND: The main examples of liver pathology of metabolic and toxic origin are non-alcoholic, alcoholic fatty liver disease and fatty degeneration of mixed origin. Currently, due to the lack of a clear understanding of the causes and pathogenesis of hepatopathy of non-infectious origin, there are no effective methods for the prevention and treatment of these conditions. A key role in studying the etiology and mechanisms of pathogenesis is played by the search for adequate experimental models of liver failure.
AIM: To develop, test and evaluate an experimental model of mixed fatty liver disease.
MATERIALS AND METHODS: The study was conducted on 30 male albino gray Wistar rats. Experimental rats, weighing 180–200 grams at the time of inclusion in the experiment, received granulated rodent food weighing 20 grams daily for 30 days, to which 6 g of crystalline fructose was introduced (at the rate of 30% of the total diet), and instead of drinking 10% ethyl alcohol solution was given freely available in the drinking bowl.
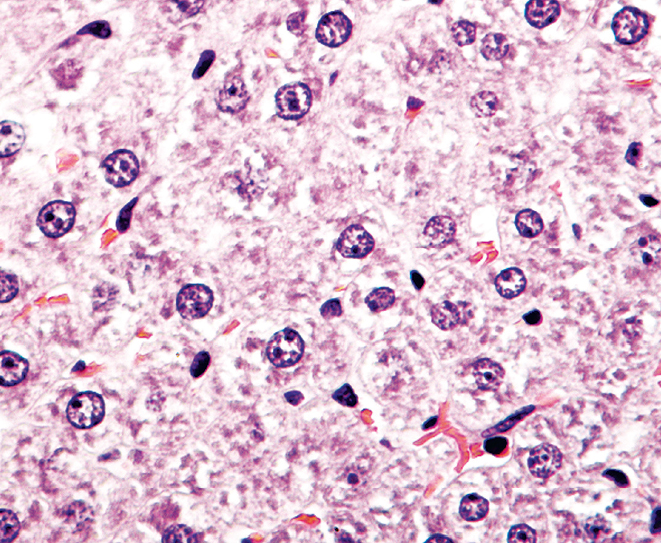
RESULTS: In experimental group, there was a statistically significant increase in the level of aspartate aminotransferase, alanylaminotransferase, and alkaline phosphatase, which confirms the development of cytolytic and cholestatic syndromes. Autopsy liver specimens showed a histological picture of fatty degeneration of hepatocytes.
CONCLUSIONS: To achieve this goal, a method was developed for modeling fatty liver of mixed origin. A high-carbohydrate and ethanol-rich diet led to the rapid development of pathological processes in the liver. The study demonstrated the feasibility of a detailed morphological study of the liver, taking into account medical history, laboratory indicators of cytolytic and cholestatic syndromes for the differential diagnosis of fatty liver of various etiologies.
Full Text
##article.viewOnOriginalSite##About the authors
Tatiana V. Brus
Saint Petersburg State Pediatric Medical University
Author for correspondence.
Email: bant.90@mail.ru
ORCID iD: 0000-0001-7468-8563
SPIN-code: 9597-4953
MD, PhD, Associate Professor, Department of Pathological Physiology with the course of Immunopathology
Russian Federation, Saint PetersburgAndrei G. Vasiliev
Saint Petersburg State Pediatric Medical University
Email: avas7@mail.ru
ORCID iD: 0000-0002-8539-7128
SPIN-code: 1985-4025
MD, PhD, Dr. Sci. (Medicine), Chairman of the Department of Pathological Physiology with the Сourse of Immunopathology
Russian Federation, Saint PetersburgAleftina A. Kravcova
Saint Petersburg State Pediatric Medical University
Email: aleftinakravcova@mail.ru
ORCID iD: 0000-0002-0657-3390
SPIN-code: 6762-1182
Associate Professor, Department of Pathological Physiology with the course of Immunopathology
Russian Federation, Saint PetersburgAnna V. Vasilieva
Saint Petersburg State Pediatric Medical University
Email: a-bondarenko@yandex.ru
ORCID iD: 0009-0008-2356-1552
SPIN-code: 5333-0144
Assistant Professor, Department of Pathological Physiology with the Course of Immunopathology
Russian Federation, Saint PetersburgYurii S. Brus
Saint Petersburg State Pediatric Medical University
Email: brusyury@gmail.com
ORCID iD: 0009-0004-8932-8076
1st year master's student in the specialty “Public Health and Healthcare”
Russian Federation, Saint PetersburgAnastasia V. Bannova
V.I. Vernadsky Crimean Federal University
Email: bannova06@list.ru
ORCID iD: 0009-0007-6867-9477
1st year student of the 1st medical faculty of the S.I. Georgievsky Medical Institute
Russian Federation, SimferopolReferences
- Brus TV, Vasiliev AG. Up-to-date concept of non-alcoholic fatty liver disease. Russian Biomedical Research. 2020;5(1):18–25.
- Patent RUS № 2757199/ 12.10.2021. Byul. No. 29. Brus TV, Vasiliev AG, Trashkov AP, et al. Method of modeling fatty liver disease of mixed genesis in rats. (In Russ.)
- Brus TV, Evgrafov VA. Pathophysiology of hepatic insufficiency. Pediatrician (St. Petersburg). 2022;13(3):55–64. doi: 10.17816/PED13355-64
- Kim АE, Shustov EB, Tsygan VN, et al. Metabolic effects of long-term exposure to wave-like oxygen fasting of moderate severity. Russian Biomedical Research. 2023;8(2):4–11. doi: 10.56871/RBR.2023.46.59.001
- Novikov VS, Shanin VYu, Akylbekov IK, et al. Hypoxia. Adaptation, pathogenesis, clinic. Saint-Petersburg: Elbi-SPb, 2000. 384 p. (In Russ.)
- Savchenko YV, Sergievskaya ZA, Lopatieva SO. Non-alcoholic fatty liver degeneration in people of different age groups: A modern view of the problem. University Therapeutic Journal. 2022;4(1):11–21. doi: 10.56871/4338.2022.10.13.002
- Trashkov AP, Brus TV, Vasiliev AG, et al. Biochemical profile of rats with non-alcoholic fatty liver disease of various gravity and its correction with Remaxol. Pediatrician (St. Petersburg). 2017;8(4):78–85. doi: 10.17816/PED8478-85
- Åberg F, Puukka P, Salomaa V, et al. Risks of light and moderate alcohol use in fatty liver disease: follow-up of population cohorts. Hepatology. 2020;71(3):835–848. doi: 10.1002/hep.30864
- De Alwis NMW, Day CP. Nonalcoholic fatty liver disease: The mist gradually clears. J Hepatol. 2008;48(S1):104–112. doi: 10.1016/j.jhep.2008.01.009
- Boyle M, Masson S, Anstee QM. The bidirectional impacts of alcohol consumption and the metabolic syndrome: cofactors for progressive fatty liver disease. J Hepatol. 2018;68(2):251–267. doi: 10.1016/j.jhep.2017.11.006
- Chang Y, Cho YK, Kim Y, et al. Nonheavy drinking and worsening of noninvasive fibrosis markers in nonalcoholic fatty liver disease: a cohort study. Hepatology. 2019;69(1):64–75. doi: 10.1002/hep.30170
- Cotrim HP, Parise ER, Oliveira CPMS, et al. Nonalcoholic fatty liver disease in Brazil. Clinical and histological profile. Ann Hepatol. 2011;10(1):33–37. doi: 10.1016/S1665-2681(19)31584-4
- Lassale C, Tzoulaki I, Moons KGM, et al. Separate and combined associations of obesity and metabolic health with coronary heart disease: a pan-European case-cohort analysis. Eur Heart J. 2018;39(5):397–406. doi: 10.1093/eurheartj/ehx448
- Lomonaco R, Ortiz-Lopez C, Orsak B, et al. Effect of adipose tissue insulin resistance on metabolic parameters and liver histology in obese patients with nonalcoholic fatty liver disease. Hepatology. 2012;55(5):1389–1397. doi: 10.1002/hep.25539
- Mitra S, De A, Chowdhury A. Epidemiology of non-alcoholic fatty liver diseases. Transl Gastroenterol Hepatol. 2020;5:16. doi: 10.21037/tgh.2019.09.08
- Rich NE, Oji S, Mufti AR, et al. Racial and ethnic disparities in nonalcoholic fatty liver disease prevalence, severity, and outcomes in the United States: a systematic review and meta-analysis. Clin Gastroenterol Hepatol. 2018;16(2):198–210. doi: 10.1016/j.cgh.2017.09.041
- Romero-Gomez M, Zelber-Sagi S, Trenell M. Treatment of NAFLD with diet, physical activity and exercise. J Hepatol. 2017;67(4): 829–846. doi: 10.1016/j.jhep.2017.05.016
- Winkler TW, Gunther F, Hollerer S, et al. A joint view on genetic variants for adiposity differentiates subtypes with distinct metabolic implications. Nat Commun. 2018;9(1):1946. DОI: 10.1038/s41467-018-04124-9
- Younossi ZM, Stepanova M, Ong J, et al. Effects of alcohol consumption and metabolic syndrome on mortality in patients with non-alcoholic and alcohol-related fatty liver disease. Clin Gastroenterol Hepatol. 2018;17(8):1625–1633. doi: 10.1016/j.cgh.2018.11.033
Supplementary files




