Субдуральные гематомы у детей раннего возраста: клинико-электрофизиологические особенности
- Авторы: Мелашенко Т.В.1, Фомина М.Ю.1, Усенко И.Н.1, Родионов Ю.В.1
-
Учреждения:
- ФГБОУ ВО «Санкт-Петербургский государственный педиатрический медицинский университет» Минздрава России
- Выпуск: Том 10, № 6 (2019)
- Страницы: 93-99
- Раздел: Клинический случай
- URL: https://journals.rcsi.science/pediatr/article/view/21325
- DOI: https://doi.org/10.17816/PED10693-99
- ID: 21325
Цитировать
Полный текст
Аннотация
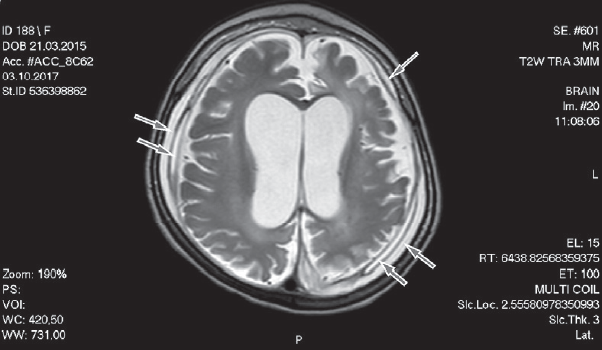
Субдуральная гематома — достаточно редкая, но серьезная патология головного мозга у детей грудного возраста, которая может привести к тяжелому неврологическому дефициту или закончиться летально. Субдуральные гематомы выявляются у 20–25 на 100 000 детей до 1 года. Ретроспективный анализ аутопсийного материала выявил, что у 72 % погибших детей в возрасте до 5 месяцев от внутричерепных кровоизлияний диагностированы субдуральные гематомы. По локализации субдуральные гематомы делятся на супра- и субтенториальные, преимущественно выявляются сочетанной локализации, которые лоцируются вдоль намета мозжечка и серпа головного мозга. Основной механизм развития субдуральных гематом связан с разрывом мостовых вен субдурального пространства в результате их натяжения, как травматической этиологии, так и возникающих при нетравматических повреждениях головного мозга, сопровождающихся прогрессирующей церебральной атрофией. Полагают, что одним из ведущих этиологических факторов развившихся субдуральных гематом у детей раннего возраста является перинатальное гипоксически-ишемическое повреждение головного мозга. Кроме того, формирование субдуральных гематом у детей раннего возраста может наблюдаться при внутриамниотических инфекциях, врожденных ферментопатиях и прежде всего у детей с ацидоуриями. У некоторых детей грудного возраста субдуральные гематомы протекают без клинической манифестации, но в большинстве случаев сопровождаются развитием неврологических нарушений, как в острый, так и в отдаленный периоды. В основном субдуральные гематомы в остром периоде манифестируют фокальными судорогами с вторичной генерализацией приступов, нарушением поведения, дыхания, симптомами внутричерепной гипертензии. При формировании хронической субдуральной гематомы наблюдается развитие структурной эпилепсии (до 20 %), микроцефалии, нарушение психомоторного развития. У 55 % детей раннего возраста с острыми субдуральными гематомами наблюдается формирование хронических субдуральных гематом.
Полный текст
Открыть статью на сайте журналаОб авторах
Татьяна Владимировна Мелашенко
ФГБОУ ВО «Санкт-Петербургский государственный педиатрический медицинский университет» Минздрава России
Автор, ответственный за переписку.
Email: melashenkotat@mail.ru
канд. мед. наук, ординатор, отделение реанимации и интенсивной терапии новорожденных
Россия, Санкт-ПетербургМария Юрьевна Фомина
ФГБОУ ВО «Санкт-Петербургский государственный педиатрический медицинский университет» Минздрава России
Email: myfomina@mail.ru
д-р мед. наук, профессор, кафедра психоневрологии ФП и ДПО
Россия, Санкт-ПетербургИван Николаевич Усенко
ФГБОУ ВО «Санкт-Петербургский государственный педиатрический медицинский университет» Минздрава России
Email: ivan_usenko91@mail.ru
ординатор, отделение микрохирургии
Россия, Санкт-ПетербургЮрий Викторович Родионов
ФГБОУ ВО «Санкт-Петербургский государственный педиатрический медицинский университет» Минздрава России
Email: neiyron@mail.ru
ординатор, отделение патологии новорожденных и детей грудного возраста
Россия, Санкт-ПетербургСписок литературы
- Cohen MC, Sprigg A, Whitby EH. Subdural hemorrhage, intradural hemorrhage and hypoxia in the pediatric and perinatal post mortem: are they related? An observational study combining the use of post mortem pathology and magnetic resonance imaging. Forensic Sci Int. 2010;200(1-3):100-107. https://doi.org/10.1016/j.forsciint.2010.03.036.
- Hong HS, Lee JY. Intracranial hemorrhage in term neonates. Childs Nerv Syst. 2018;34(6):1135-1143. https://doi.org/10.1007/s00381-018-3788-8.
- Hogberg U, Andersson J, Squier W, et al. Epidemiology of subdural haemorrhage during infancy: A population-based register study. PLoS One. 2018;13(10):e0206340. https://doi.org/10.1371/journal.pone.0206340.
- Jayawant S, Parr J. Outcome following subdural haemorrhages in infancy. Arch Dis Child. 2007;92(4): 343-347. https://doi.org/10.1136/adc.2005.084988.
- Kelly P, Hayman R, Shekerdemian LS, et al. Subdural hemorrhage and hypoxia in infants with congenital heart disease. Pediatrics. 2014;134(3):e773-781. https://doi.org/10.1542/peds.2013-3903.
- Kemp AM. Investigating subdural haemorrhage in infants. Arch Dis Child. 2002;86(2):98-102. https://doi.org/10.1136/adc.86.2.98.
- Ou-Yang M-C, Huang C-B, Huang H-C, et al. Clinical Manifestations of Symptomatic Intracranial Hemorrhage in Term Neonates: 18 Years of Experience in a Medical Center. Pediatr Neonatol. 2010;51(4):208-213. https://doi.org/10.1016/s1875-9572(10)60040-x.
- Rao P, Carty H, Pierce A. The acute reversal sign: Comparison of medical and non-accidental injury patients. Clin Radiol. 1999;54(8):495-501. https://doi.org/10.1016/s0009-9260(99)90845-0.
- Talbert D. Prenatal Origins of Subdural Hemorrhage/Effusions and Related Seizures: Acute, or Crisis in a Chronic Condition? J Clin Case Rep. 2015;05(07). https://doi.org/10.4172/2165-7920.1000565.
Дополнительные файлы






