Endobronchial surfactant administration in full-term newborn with respiratory distress syndrome
- Authors: Ivanov D.O.1, Kiriakov K.S.1, Pshenisnov K.V.1, Tesaeva I.A.2, Nasipova M.U.2, Sizaeva E.A.3, Gabisov A.T.1
-
Affiliations:
- St. Petersburg State Pediatric Medical University
- Republican Perinatal Center of the Chechen Republic
- St. Nicholas Children’s Hospital
- Issue: Vol 13, No 6 (2022)
- Pages: 107-115
- Section: Clinical observation
- URL: https://journals.rcsi.science/pediatr/article/view/133046
- DOI: https://doi.org/10.17816/PED136107-115
- ID: 133046
Cite item
Abstract
Neonatal respiratory distress syndrome is the leading cause of neonatal acute respiratory failure. Despite the successes achieved and the existing international recommendations, in some cases there is a severe course of this disease, which requires a personalized approach to the patient and intensive care measures.
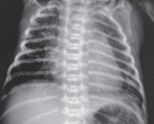
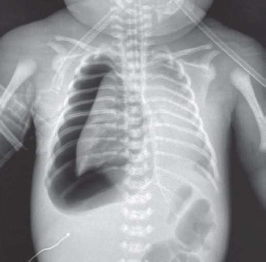
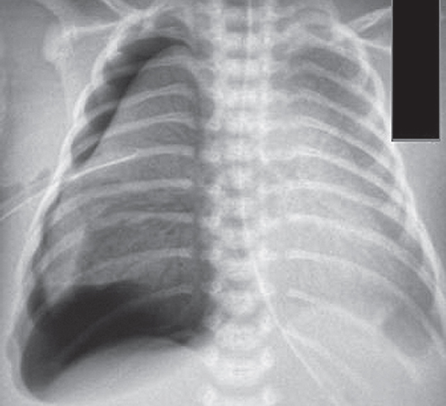
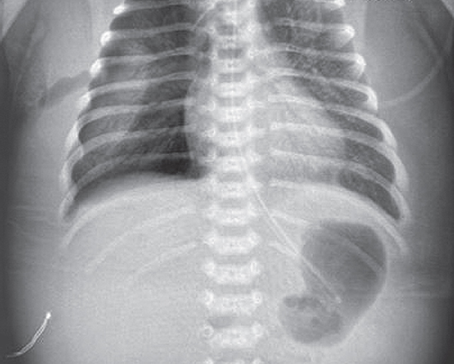
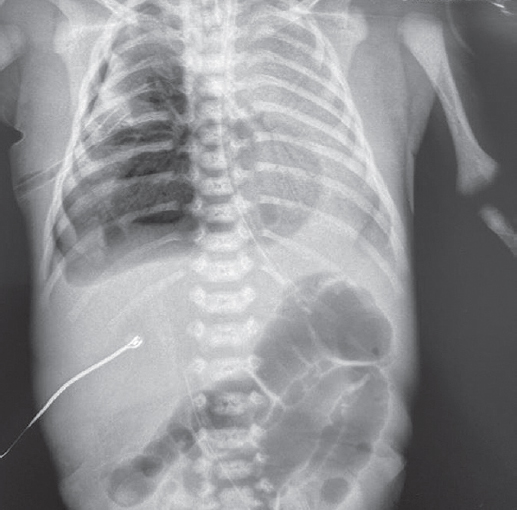
The article presents a case of successful treatment of acute respiratory distress syndrome in a full-term newborn complicated by pulmonary barotrauma using monobronchial administration of exogenous surfactant under X-ray control. In order to assess the course of the disease and the effectiveness of treatment, a retrospective analysis of medical documentation was carried out. From the first minutes of life, the child had respiratory disorders, which was the basis for non-invasive mechanical lung ventilation — nCPAP (nasal continuous positive airway pressure). Progression of hypercapnia and hypoxemia was revealed over time, and therefore tracheal intubation was performed and convective mechanical ventilation was started with FiO2 = 1,0. Monobronchial administration of exogenous surfactant was a key element of the therapy that allowed to achieve stabilization of the condition and regression of gas exchange disorders with complete recovery of the patient.
Monobronchial administration of surfactant in acute respiratory distress syndrome with heterogeneous lung involvement is an effective treatment option and can be used in clinical practice for refractory hypoxemia.
Full Text
##article.viewOnOriginalSite##About the authors
Dmitriy O. Ivanov
St. Petersburg State Pediatric Medical University
Email: doivanov@yandex.ru
MD, PhD, Dr. Sci. (Med.), Professor, Head, Neonatology with Сourses Neurology, Obstetrics and Gynecology Dept, Faculty of Postgraduate Education, Rector
Russian Federation, Saint PetersburgKirill S. Kiriakov
St. Petersburg State Pediatric Medical University
Email: kiryakov.ks@yandex.ru
Anesthesiologist-Resuscitator, Anesthesiology-Resuscitation for Children with Cardiac Surgical Pathology Department, Clinic Hospital
Russian Federation, Saint PetersburgKonstantin V. Pshenisnov
St. Petersburg State Pediatric Medical University
Author for correspondence.
Email: Psh_k@mail.ru
MD, PhD, Dr. Sci. (Med.), Assistant Professor, Professor of the Anesthesiology, Intensive Care and Emergency Pediatrics Departmen, Postgraduate Education
Russian Federation, Saint PetersburgImani A. Tesaeva
Republican Perinatal Center of the Chechen Republic
Email: dr.tesaeva89@mail.ru
Head of the Neonatal Intensive Care Unit
Russian Federation, Groznyi, Chechen RepublicMilana U. Nasipova
Republican Perinatal Center of the Chechen Republic
Email: milananasipova92@gmail.com
Anesthesiologist and Intensive Care Physician of the Neonatal Intensive Care Unit
Russian Federation, Groznyi, Chechen RepublicElena A. Sizaeva
St. Nicholas Children’s Hospital
Email: Lena.sizaeva@yandex.ru
Anesthesiologist and Intensive Care Physician of the Intensive Care Unit
Russian Federation, Saint PetersburgAzamat T. Gabisov
St. Petersburg State Pediatric Medical University
Email: azamgabisov@mail.ru
Resident, Neonatology with Courses in Neurology and Obstetrics-Gynecology Department, Faculty of Postgraduate Education
Russian Federation, Saint PetersburgReferences
- Aleksandrovich YuS, Pshenisnov KV. Respiratornaya podderzhka pri kriticheskikh sostoyaniyakh v pediatrii i neonatologii (rukovodstvo dlya vrachei). Moscow: GEOTAR-Media; 2020. 272 p. (In Russ.)
- Aleksandrovich YuS, Ivanov DO, Pshenisnov KV. Cardiopulmonary resuscitation of neonate at delivery room. Pediatrician (St. Petersburg). 2019;10(4):5–16. (In Russ.) doi: 10.17816/PED1045-16
- Aleksandrovich JuS, Pshenisnov KV, Hienas V, et al. Invasive mechanical ventilation in the delivery room: is it always worthwhile? Russian Journal of Anaesthesiology and Reanimatology. 2018;(5):44–52. (In Russ.) doi: 10.17116/anaesthesiology201805144
- Vedenie novorozhdennykh s respiratornym distress-sindromom. Klinicheskie rekomendatsii. Edited by Academician of the Russian Academy of Sciences N.N. Volodin. 2016. 38 p. (In Russ.)
- Gomella TL. Neonatologiya. Vol. 2. Moscow: Binom. Laboratoriya znanii; 2015. (In Russ.)
- Zapevalova EY, Klyukhina JB, Boitsova EV, Kirbyatieva MA. Clinical current and structural changes of pulmonary tissue at children with a bronchopulmonary dysplasia in the anamnesis. Pediatrician (St. Petersburg). 2016;7(1):50–57. (In Russ.) doi: 10.17816/PED7150-57
- Ivanov DO, Avrel’kina EV, Aleksandrovich YuS, et al. Rukovodstvo po perinatologii. Vol. 2. Saint Petersburg: Inform-Navigator; 2019. 1592 p. (In Russ.)
- Moiseeva KE. Some results of evaluation the dynamics of morbidity in newborns in birth care organizations. Мedicine and Organization of Health Care. 2019;4(3):40–47. (In Russ.)
- Neonatologiya: natsional’noe rukovodstvo. Kratkoe izdanie. Volodin N.N ed. Moscow: GEOTAR-Media; 2013. 896 p. (In Russ.)
- Solomakha AY, Petrova NA, Ivanov DO, Sviryaev YV. Breathing disorders during sleep in premature infants with broncopulmonary dysplasia and pulmonary hypertension. Pediatrician (St. Petersburg). 2017;8(6): 5–10. doi: 10.17816/PED865-10 (In Russ.)
- Shabalov NP. Neonatologiya: uchebnoe posobie. In 2 vol. 7th edition. Vol. 2. Moscow: GEOTAR-Media; 2020. 752 p. (In Russ.)
- Hienas V, Aleksandrovich JuS, Pshenisnov KV, et al. Evaluation of early non-invasive respiratory support efficiency in mature newborns. Messenger of Anesthesiology and Resuscitation. 2017;14(2):20–26. (In Russ.) doi: 10.21292/2078-5658-2017-14-2-20-26
- Keszler M, Carbone MT, Cox C, Schumacher RE. Severe respiratory failure after elective repeat cesarean delivery: a potentially preventable condition leading to extracorporeal membrane oxygenation. Pediatrics. 1992;89(4 Pt 1):670–672.
- Subramanian S, Gupta AO, Bahri M, Kicklighter SzD. Transient tachypnea of the newborn. Available at: https://emedicine.medscape.com/article/976914-overview#a2
Supplementary files









