Комбинированная тактика хирургического лечения пациентов с гигантской опухолью оболочек периферических нервов по типу «песочных часов» правого реберно-позвоночного угла
- Авторы: Городнина А.В.1, Кудзиев А.В.1, Назаров А.С.1, Малышок Д.Э.1, Орлов А.Ю.1
-
Учреждения:
- Российский научно-исследовательский нейрохирургический институт им. проф. А.Л. Поленова — филиал Национального медицинского исследовательского центра имени В.А. Алмазова
- Выпуск: Том 13, № 1 (2022)
- Страницы: 43-50
- Раздел: Клинический случай
- URL: https://journals.rcsi.science/pediatr/article/view/108380
- DOI: https://doi.org/10.17816/PED13143-50
- ID: 108380
Цитировать
Аннотация
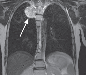
Паравертебральные опухоли медиастинальной локализации — обширная группа патологических процессов с различной гистологической картиной и биологическим поведением, хирургическим лечением при которой занимаются врачи разных специальностей, таких как нейрохирурги и хирурги-онкологи. В настоящее время наиболее предпочтительным методом хирургического лечения данных объемных образований принято считать торакоскопическое удаление, ввиду наименьшей травматичности, меньшего количества осложнений и сокращения времени послеоперационного восстановления пациентов. Представлен клинический случай хирургического лечения пациентки с гигантской паравертебральной опухолью, исходящей из IV грудного корешка. Опухоль стала случайной находкой при выполнении плановой флюорографии. Очаговой неврологической симптоматики не отмечалось. Учитывая топографо-анатомические особенности объемного образования, пациентке было проведено комбинированное двуэтапное оперативное вмешательство: сначала выполняли ламинэктомию и удаление фораминального компонента опухоли из заднего доступа, затем одно портовое видеоассистированное торакоскопическое удаление медиастинально расположенного фрагмента опухоли. Операция проходила в условиях коллабированного легкого на стороне вмешательства. В послеоперационном периоде неврологического дефицита не отмечено, по данным контрольной интроскопии опухоль удалена тотально. По результатам гистологического исследования — нейрофиброма (Grade I). Приведенный клинический пример показывает успешную коллаборацию спинальных и торакальных хирургов, а также иллюстрирует возможности современной минимально инвазивной хирургии.
Полный текст
Открыть статью на сайте журналаОб авторах
Ангелина Викторовна Городнина
Российский научно-исследовательский нейрохирургический институт им. проф. А.Л. Поленова — филиал Национального медицинского исследовательского центра имени В.А. Алмазова
Автор, ответственный за переписку.
Email: angelinagorodnina@gmail.com
мл. науч. сотр. НИЛ нейрохирургии позвоночника и периферической нервной системы
Россия, Санкт-ПетербургАндрей Валерьевич Кудзиев
Российский научно-исследовательский нейрохирургический институт им. проф. А.Л. Поленова — филиал Национального медицинского исследовательского центра имени В.А. Алмазова
Email: andro_p@gmail.com
врач-нейрохирург
Россия, Санкт-ПетербургАлександр Сергеевич Назаров
Российский научно-исследовательский нейрохирургический институт им. проф. А.Л. Поленова — филиал Национального медицинского исследовательского центра имени В.А. Алмазова
Email: nazarow_alex@mail.ru
канд. мед. наук, старший научный сотрудник НИЛ нейрохирургии позвоночника и периферической нервной системы
Россия, Санкт-ПетербургДарья Эдуардовна Малышок
Российский научно-исследовательский нейрохирургический институт им. проф. А.Л. Поленова — филиал Национального медицинского исследовательского центра имени В.А. Алмазова
Email: dashadzhil@gmail.com
врач-невролог отделения клинической нейрофизиологии
Россия, Санкт-ПетербургАндрей Юрьевич Орлов
Российский научно-исследовательский нейрохирургический институт им. проф. А.Л. Поленова — филиал Национального медицинского исследовательского центра имени В.А. Алмазова
Email: andrei@mail.ru
д-р мед. наук, руководитель НИЛ нейрохирургии позвоночника и периферической нервной системы
Россия, Санкт-ПетербургСписок литературы
- Басанкин И.В., Нарыжный Н.В., Гюльзатян А.А., Малахов С.Б. Клинический случай гибридного удаления гигантской невриномы по типу «песочных часов» в грудном отделе позвоночника // Инновационная медицина Кубани. 2020. № 4(20). C. 43–47. doi: 10.35401/2500-0268-2020-20-4-43-47
- Chunbo Li., Yun Ye., Yutong Gu., Jian Dong. Minimally invasive resection of extradural dumbbell tumors of thoracic spine: surgical techniques and literature review // European Spine Journal. 2016. Vol. 25, No. 12. P. 4108–4115. doi: 10.1007/s00586-016-677-z
- Eden K. The dumb-bell tumours of the spine // British Journal of Surgery. 1941. Vol. 28, No. 112. P. 549–570. doi: 10.1002/bjs.18002811205
- Heuer G.J. So-called hour-glass tumors of the spine // Arch Surg. 1929. Vol. 18, No. 4. P. 935–981. doi: 10.1001/archsurg.1929.0110130023001
- Liebsch C., Graf N., Wilke H.J. EUROSPINE2016 FULL PAPER AWARD: Wire cerclage can restore the stability of the thoracic spine after median sternotomy: an in vitro study with entire rib cage specimens // Eur Spine J. 2017. Vol. 26, No. 5. P. 1401–1407. doi: 10.1007/s00586-016-768-x
- Himmiche M., Joulali Y., Benabdallah I.S., et al. Shwannomes rachidiens: étude de series // Pan Afr Med J. 2019. Vol. 33. P. 199. doi: 10.1160/pamj.2019.33.199.17921
- Pojskić M., Zbytek B., Mutrie C.J., Arnautović K.I. Spinal dumbbell epidural hemangioma: two stage/same sitting/same position posterior microsurgical and transthoracic endoscopic resection — case report and review of the literature // Acta Clin Croat. 2018. Vol. 57, No. 4. P. 797–808. doi: 10.2071/acc.2018.57.0.27
- Sis H.L., Mannen E.M., Wong B.M., et al. Effect of follower load on motion and stiffness of the human thoracic spine with intact rib cage // J Biomech. 2016. Vol. 49, No. 41. P. 3252–3259. doi: 10.1016/j.jbiomech.2016.08.003
- Sridhar K., Ramamurthi R., Vasudevan M.C., et al. Giant invasive spinal schwannomas: definition and surgical management // J Neurosurg. 2001. Vol. 94, No. 2. P. 210–215. doi: 10.3171/spi.2001.9.2.0210
- Chen X., Ma Q., Wang S., et al. Surgical treatment of thoracic dumbbell tumors // Eur J Surg Oncol. 2019. Vol. 45, No. 5. P. 851–856. doi: 10.1016/j.ejso.2018.10.536
Дополнительные файлы










