Clinical case of a Erythroderma induced by fibrogastroduodenoscopy
- Authors: Sidikov A.A.1, Zaslavsky D.V.1, Egorova Y.S.1, Chuprov I.N.2, Gurkovskaya Y.Y.3, Fomenko M.N.3, Zubatov M.A.1, Nasyrov R.A.1, Grekova E.V.4
-
Affiliations:
- St. Petersburg State Pediatric Medical University
- North-Western State Medical University named after I.I. Mechnikov
- Leningrad Regional Center of Specialized Types of Medical Care
- I.M. Sechenov First Moscow State Medical University
- Issue: Vol 9, No 5 (2018)
- Pages: 103-108
- Section: Articles
- URL: https://journals.rcsi.science/pediatr/article/view/10823
- DOI: https://doi.org/10.17816/PED95103-108
- ID: 10823
Cite item
Full Text
Abstract
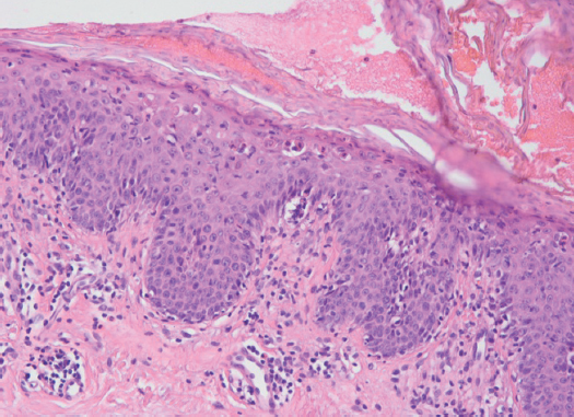
Erythroderma – the term used for the description intensive and usually widespread reddening of the skin which has arisen owing to activation of the previous inflammatory dermatosis. Among the causes of erythroderma are the progression of chronic dermatoses, refractory to therapy, medication or inadequate local treatment of dermatoses. In addition, it can be a symptom and/or a sign of systemic diseases (lymphoma, leukemia, tumors of the lungs, intestines and ovaries). Most of the cases of erythroderma described in the literature were induced by taking different types of drugs and dietary supplements. High lethality of this category of patients is associated with both the main disease that caused the development of erythroderma and the nature of emerging metabolic disorders. Erythroderma is one of the most severe conditions that threaten the life of the patient, requiring special approaches in the diagnosis and early treatment. When diagnosing and determining the forms of erythroderma, one of the determining factors is clinical examination and clinical and pathological correlation. Patients with diseases of a digestive tract have high risk of development of side effects from intake of drugs and carrying out tool methods of a research. One of the screening methods of a research is the fibrogastroduodenoskopy (EGD). We provide the description of the first case in our practice of the patient with the erythroderma which has arisen after the EGD-research. Questions of pathogenesis, differential diagnostics of an erythroderma on the basis of a clinical picture and histological signs with illustrations are also discussed.
Full Text
##article.viewOnOriginalSite##About the authors
Akmal A. Sidikov
St. Petersburg State Pediatric Medical University
Author for correspondence.
Email: medik-85@bk.ru
MD, PhD, Assistant, Department of Pathological Anatomy with a Course of Forensic Medicine
Russian Federation, Saint PetersburgDenis V. Zaslavsky
St. Petersburg State Pediatric Medical University
Email: venerology@gmail.com
MD, PhD, D.Sc., Professor, Dermatovenereology Department
Russian Federation, Saint PetersburgYuliya S. Egorova
St. Petersburg State Pediatric Medical University
Email: ys-egorova@mail.ru
MD, PhD, Associate Professor of Dermatovenereology Department
Russian Federation, Saint PetersburgIgor N. Chuprov
North-Western State Medical University named after I.I. Mechnikov
Email: igorchuprov@gmail.com
MD, PhD, D.Sc., Associate Professor, Department of Pathological Anatomy
Russian Federation, Saint PetersburgYanina Yu. Gurkovskaya
Leningrad Regional Center of Specialized Types of Medical Care
Email: yaninagurkovskay@gmail.com
MD, Doctor
Russian Federation, Saint PetersburgMarina N. Fomenko
Leningrad Regional Center of Specialized Types of Medical Care
Email: m.fomenko2009@yandex.ru
MD, Doctor
Russian Federation, Saint PetersburgMichail A. Zubatov
St. Petersburg State Pediatric Medical University
Email: zubatov@mail.ru
Sixth-Year Student
Russian Federation, Saint PetersburgRuslan A. Nasyrov
St. Petersburg State Pediatric Medical University
Email: ran.53@mail.ru
MD, PhD, Professor, Head, Department of Pathological Anatomy with a Course in Forensic Medicine
Russian Federation, Saint PetersburgEkaterina V. Grekova
I.M. Sechenov First Moscow State Medical University
Email: grekova_kate@mail.ru
Graduate Student, V.A. Rakhmanov Department of Skin and Veneral Diseases
Russian Federation, MoscowReferences
- Заславский Д.В., Раводин Р.А., Татарская О.Б., и др. Эритродермия: современные вопросы диагностики и лечения // Педиатр. - 2014. - Т. 5. - № 1. - С. 97-102. [Zaslavskiy DV, Ravodin RA, Tatarskaya OB, et al. Erythroderma: the modern questions of diagnostics and treatment. Pediatrician (St. Petersburg). 2014;5(1):97-102. (In Russ.)]
- Заславский Д.В., Чупров И.Н., Сыдиков А.А., и др. Роль маркера IL-36γ/IL-1F9 в развитии эритродермии у пациентов с псориазом // Казанский медицинский журнал. - 2015. - Т. 96. - № 1. - С. 80-84. [Zaslavskiy DV, Chuprov IN, Sydikov AA, et al. The role of IL-36γ/IL-1F9 in developing erythroderma in patients with psoriasis. Kazan Med Zh. 2015;96(1):80-84. (In Russ.)]. doi: 10.17750/KMJ2015-080.
- Заславский Д.В., Сыдиков А.А., Чупров И.Н., и др. Значение показателя IL-36γ - потенциального биомаркера при псориатической эритродермии // Российский журнал кожных и венерических болезней. - 2015. - Т. 18. - № 5. - С. 30-33. [Zaslavskiy DV, Sydikov AA, Chuprov IN, et al. The IL-36γ is potential biomarker of psoriatic erythroderma. Russian journal of skin and sexually transmitted diseases. 2015;18(5):30-33. (In Russ.)]
- Заславский Д.В., Юновидова А.А., Волькенштейн П., и др. Комплексная терапия синдрома Сезари // Иммунопатология, аллергология, инфектология. - 2016. - № 1. - С. 6-13. [Zaslavskiy DV, Yunovidova AA, Wolkenstein P, et al. Combined therapy of Sezary syndrome. Immunopatologiya, allergologiya, infektologiya. 2016;(1):6-13. (In Russ.)]. doi: 10.14427/jipai.2016.1.6.
- Заславский Д.В., Юновидова А.А., Волькенштейн П., и др. Выбор терапевтической стратегии при синдроме Сезари: Случай из практики // Фарматека. - 2016. - № 20. - С. 53-58. [Zaslavskiy DV, Yunovidova AA, Wolkenstein P, et al. Choice of therapeutic strategy in sezary syndrome: case report. Farmateka. 2016;(20):53-58. (In Russ.)]
- Заславский Д.В., Чупров И.Н., Насыров Р.А., и др. Гистологические модели (паттерны) воспаления при эритродермии // Иммунопатология, аллергология, инфектология. - 2016. - № 4. - С. 65-73. [Zaslavsky DV, Chuprov IN, Nasyrov RA, et al. The histological patterns of inflammation in erythroderma. Immunopatologiya, allergologiya, infektologiya. 2016;(4):65-73. (In Russ.)]. doi: 10.14427/jipai.2016.4.65.
- Олисова О.Ю., Теплюк Н.П., Плиева Л.Р., Ломоносов К.М. Эритродермическая форма болезни Девержи // Российский журнал кожных и венерических болезней. - 2014. - T. 17. - № 1. - С. 18-20. [Olisova OY, Teplyuk NP, Plieva LR, Lomonosov KM. The erythrodermal form of devergie’s disease. Russian journal of skin and sexually transmitted diseases. 2014;17(1):18-20. (In Russ.)]
- Родионов А.Н., Заславский Д.В., Чупров И.Н., и др. Дерматопатология воспалительных заболеваний кожи / Под ред. А.Н. Родионова. - Ташкент: Baktria press, 2014. [Rodionov AN, Zaslavskiy DV, Chuprov IN, et al. AN Rodionov, editor. Dermatopatologiya vospalitel’nyh zabolevanij kozhi. Tashkent: Baktria press; 2014. (In Russ.)]
- Doyon JB, Liu KJ, Berman RA. Metoprolol-induced Total Body Erythroderma. J Gen Intern Med. 2017;32(2):221-2. doi: 10.1007/s11606-016-3900-2.
- Kopac P, Zidarn M, Kosnik M. Epidemiology of hypersensitivity reactions to penicillin in Slovenia. Acta Dermatovenerol Alp Pannonica Adriat. 2012;21(4): 65-67.
- Liu A, Giroux L. A Suspected Case of Silodosin-Induced Erythroderma. Drug Saf Case Rep. 2015;2(1):1. doi: 10.1007/s40800-014-0003-z.
- Ozmen S, Murat S, Yoney A. Cutaneous drug eruptions in children; single centre experience. Turk Arch Ped. 2011;46(4):63-67.
- Pichler WJ. Delayed Drug Hypersensitivity Reactions. Ann Intern Med. 2003;139(8):683. doi: 10.7326/0003-4819-139-8-200310210-00012.
- Rener-Primec Z, Balkovec V. Valproate-related erythrodermia with reversible encephalopathy: a rare but serious adverse reaction, case report. Acta Dermatovenerol Alp Pannonica Adriat. 2014;23(2): 35-38.
- Rothe MJ, Bernstein ML, Grant-Kels JM. Life-threatening erythroderma: diagnosing and treating the “red man”. Clin Dermatol. 2005;23(2):206-217. doi: 10.1016/j.clindermatol.2004.06.018.
- Saha M, Gorai S, Madhab V. Oxcarbazepine-induced drug rash with eosinophilia and systemic symptoms syndrome presenting as exfoliative dermatitis. J Pharmacol Pharmacother. 2016;7(3):142-145. doi: 10.4103/0976-500X.189681.
- Shiohara T, Kano Y, Takahashi R. Current concepts on the diagnosis and pathogenesis of drug induced hypersensitivity syndrome. JMAJ. 2009;52(5): 347-352.
- Wolf K, Goldsmith L, Katz S, et al. Fitzpatrick’s dermatology in general medicine. 7th ed. New York: McGraw-Hill; 2007.
- Zaccara G, Franciotta D, Perucca E. Idiosyncratic adverse reactions to antiepileptic drugs. Epilepsia. 2007;48(7): 1223-44. doi: 10.1111/j.1528-1167.2007.01041.x.
Supplementary files





