Особенности структурной эпилепсии у детей, перенесших геморрагический инсульт
- Авторы: Фомина М.Ю.1, Гуменник Е.В.2, Коростовцев Д.Д.1, Ковеленова М.В.3
- 
							Учреждения: 
							- Санкт-Петербургский государственный педиатрический медицинский университет
- Детская городская больница Святой Ольги
- Клиника детской неврологии и эпилептологии EPIJAY
 
- Выпуск: Том 12, № 6 (2021)
- Страницы: 97-106
- Раздел: Клинический случай
- URL: https://journals.rcsi.science/pediatr/article/view/106329
- DOI: https://doi.org/10.17816/PED12697-106
- ID: 106329
Цитировать
Аннотация
Актуальность изучения последствий геморрагических инсультов у детей раннего возраста обусловлена частотой цереброваскулярной патологии, формированием стойкого неврологического дефицита, в том числе постинсультной эпилепсии, высокой летальностью. Известно, что геморрагии диагностируют в первые 28 дней жизни у 6,7 из 100 000 младенцев, у детей с 28-го дня жизни до 18 лет — от 0,7 до 5,1 случая на 100 тыс. детского населения. Летальность при геморрагических и ишемических инсультах у детей составляет от 7 до 28 %. Эпилептические приступы острейшего и острого периода инсульта — прогностически неблагоприятные факторы течения заболевания. В статье приведены краткие литературные данные об этиологии и локализации геморрагических инсультов, их роли в формировании фармакорезистентной эпилепсии. Особое внимание уделено роли поздней геморрагической болезни новорожденных, сопровождающейся внутричерепными кровоизлияниями, в формировании структурной эпилепсии в последующем. В работе представлены также собственные клинические наблюдения 25 пациентов, страдающих эпилепсией, после перенесенного геморрагического инсульта с описанием клинической картины, особенностей пароксизмальных состояний и их терапии, данных нейровизуализации, электроэнцефалографических феноменов. Представлен клинический пример, в котором рассмотрены клинико-анамнестические, электрофизиологические данные пациента с фармакорезистентной эпилепсией, развившейся вследствие перенесенного геморрагического инсульта на фоне поздней геморрагической болезни новорожденных.
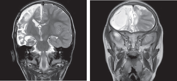
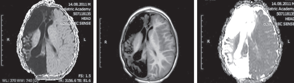
Структурная эпилепсия у детей, формирующаяся после перенесенного геморрагического инсульта, сопровождается значимыми мультирегиональными повреждениями, выраженным неврологическим дефицитом и характеризуется фармакорезистентным течением.
Ключевые слова
Полный текст
Открыть статью на сайте журналаОб авторах
Мария Юрьевна Фомина
Санкт-Петербургский государственный педиатрический медицинский университет
							Автор, ответственный за переписку.
							Email: myfomina@mail.ru
				                					                																			                								
д-р мед. наук, профессор кафедры неонатологии с курсами неврологии и акушерства-гинекологии
Россия, Санкт-ПетербургЕлена Валерьевна Гуменник
Детская городская больница Святой Ольги
														Email: helenneurol@mail.ru
				                					                																			                								
канд. мед. наук, заведующая кабинетом. Городской кабинет по лечению эпилепсии и пароксизмальных состояний
Россия, Санкт-ПетербургДмитрий Дмитриевич Коростовцев
Санкт-Петербургский государственный педиатрический медицинский университет
														Email: korostovtsevdmitry@gmail.com
				                					                																			                								
канд. мед. наук, заведующий отделением неврологии и реабилитациии, Консультативно диагностический центр
Россия, Санкт-ПетербургМарина Вячеславовна Ковеленова
Клиника детской неврологии и эпилептологии EPIJAY
														Email: mkovelenova@yahoo.com
				                					                																			                								
канд. мед. наук, доцент, невролог-эпилептолог
Россия, Санкт-ПетербургСписок литературы
- Базилевич С.Н., Одинак М.М., Дыскин Д.Е., Красаков И.В., и др. Результаты структурной и функциональной нейровизуализации у пациентов с эпилептическими приступами при цереброваскулярных заболеваниях // Журнал неврологии и психиатрии им. C.C. Корсакова 2008. № S2. C33–40.
- Гехт А.Б., Тлапшкова Л.Б., Лебедева А.В. Постинсультная эпилепсия // Журнал неврологии и психиатрии им. С.С. Корсакова. 2000. № 9. 67–70.
- Дегтярев Д.Н., Карпова А.Л., Мебелова И.И. Клинические рекомендации по диагностике и лечению геморрагической болезни новорожденных. Москва, 2015. 21 с.
- Заплатников А.Л., Бражникова О.В., Медоев С.Б., и др. Внутричерепные кровоизлияния при поздней геморрагической болезни новорожденных // Педиатрия. Consilium Medicum. 2019. № 4. C. 14–17. doi: 10.26442/26586630.2019.4.190755
- Иванов Д.О. История изучения геморрагической болезни новорожденных // Педиатр. 2017. Т. 8, № 4. С. 118–125. doi: 10.17816/PED84118-125
- Иванов Д.О., Атласов В.О., Бобров С.А., и др. Руководство по перинатологии / под ред. Д.О. Иванова. Санкт-Петербург: Информ-Навигатор, 2015. 1214 с.
- Иванов Д.О., Козлова Л.В., Деревцов В.В. Нервно-психическое развитие у детей, имевших внутриутробную задержку роста, в первом полугодии жизни // Педиатр. 2017. Т. 8, № 1. С. 40–49. doi: 10.17816/PED8140-49
- Кузнецова А.А. Щедеркина И.О. Лившиц М.И., и др. Геморрагический инсульт и постинсультная эпилепсия у детей. Индивидуальный подход при выборе тактики ведения на примере клинического наблюдения // Нейрохирургия и неврология детского возраста. 2021. № 1. С. 22–34.
- Ляпин А.П., Касаткина Т.П., Рубин А.Н., и др. Внутричерепные кровоизлияния как проявление поздней геморрагической болезни новорожденных // Педиатрия. 2013. Т. 92, № 2. С. 38–42.
- Спирин А.Л., Трашков А.П., Цыган Н.В., и др. Cупратенториальные внутримозговые кровоизлияния: патофизиологические аспекты и тактика лечения // Педиатр. 2015. Т. 6, № 1. P. 96–104. doi: 10.17816/PED6196-104
- Шабалов Н.П., Иванов Д.О., Шабалова Н.Н. Гемостаз в динамике первой недели жизни как отражение механизмов адаптации ко внеутробной жизни новорожденного // Педиатрия. Журнал им. Г.Н. Сперанского. 2000. Т. 79, № 3. С. 84–91.
- Щедеркина И.О. Заваденко Н.Н., Колтунов И.E. Эпилепсия у детей, перенесших инсульт // Эпилепсия и парокисзмальные состояния. 2015. Т. 7, № 4. С. 66–71.
- Benbadis S. The differential diagnosis of epilepsy // Epilepsy & Behavior. 2009. Vol. 15, No. 1. P. 15–21. doi: 10.1016/j.yebeh.2009.02.024
- Beslow L.A., Abend N.S., Gindville M.C., et al. Intracerebral Hemorrhage Locations and Etiologies // JAMA Neurol. 2013. Vol. 70, No. 4. P. 448–454. doi: 10.1001/jamaneurol.2013.1033
- Beslow L.A., Dowling M.M., Hassanein S.M., et al. Mortality After Pediatric Arterial Ischemic Stroke. International Pediatric Stroke Study Investigators // Pediatrics. 2018. Vol. 141, No. 5. P. 2017–4146. doi: 10.1542/peds.2017-4146
- Billinghurst L.L., Beslow L.A., Abend N.S., et al. Incidence and predictors of epilepsy after pediatric arterial ischemic stroke // Neurology. 2017. Vol. 88, No. 7. P. 630–637. doi: 10.1212/WNL.0000000000003603
- Bladin C.F., Alexandrov A.V., Bellavance A., et al. Seizures after stroke: a prospective multicenter study // Arch Neurol. 2000. Vol. 57, No. 11. P. 1617–1622. doi: 10.1001/archneur.57.11.1617
- Fisher R.S., Acevedo C., Arzimanoglou A., et al. ILAE official report: a practical clinical definition of epilepsy // Epilepsia. 2014. Vol. 55, No. 4. P. 475–482. doi: 10.1111/epi.12550
- Fox C.K., Glass H.C., Sidney S., et al. Acute seizures predict epilepsy after childhood stroke // Ann Neurol. 2013. Vol. 74, No. 2. P. 249–256. doi: 10.1002/ana.23916
- Haapaniemi E., Strbian D., Rossi C. The CAVE score for predicting late seizures after intracerebral hemorrhage // Stroke. 2014. Vol. 45, No. 7. P. 1971–1976. doi: 10.1161/STROKEAHA.114.004686
- Holtkamp M., Beghi E., Benninger F., et al. European Stroke Organisation guidelines for the management of post-stroke seizures and epilepsy // Eur Stroke J. 2017. Vol. 2, No. 2. P. 103–115. doi: 10.1177/2396987317705536
- Jordan L.C. Assessment and treatment of stroke in children // Current Treatment Options in Neurology. 2008. Vol. 10, No. 6. P. 399–409. doi: 10.1007/s11940-008-0042-9
- Puckett R.M., Offringa M. Prophylactic vitamin K for vitamin K deficiency bleeding in neonates // Review Cochrane Database Syst Rev. 2000. Vol. 2000, No. 4. P. CD002776. doi: 10.1002/14651858.CD002776
- Yinghao Z., Li X., Zhang K., Ting T. The Progress of Epilepsy after Stroke // Current Neuropharmacology. 2018. Vol. 16, No. 1. P. 71–78. doi: 10.2174/1570159X15666170613083253
Дополнительные файлы
 
				
			 
						 
					 
						 
									 
  
  
  Отправить статью по E-mail
			Отправить статью по E-mail  Опубликовать комментарии
			Опубликовать комментарии 
 Открытый доступ
		                                Открытый доступ Доступ предоставлен
						Доступ предоставлен Только для подписчиков
		                                		                                        Только для подписчиков
		                                					


