The possibilities of computed tomography using heart-axis-oriented multiplanar reformations in diagnostics of the great arteries transposition
- Authors: Sadykova G.K.1, Ivanov D.O.1, Bagaturia G.O.1, Ipatov V.V.2, Ryazanov V.V.1
-
Affiliations:
- St. Petersburg State Pediatric Medical University
- S.M. Kirov Military Medical Academy
- Issue: Vol 9, No 4 (2018)
- Pages: 28-35
- Section: Articles
- URL: https://journals.rcsi.science/pediatr/article/view/10401
- DOI: https://doi.org/10.17816/PED9428-35
- ID: 10401
Cite item
Full Text
Abstract
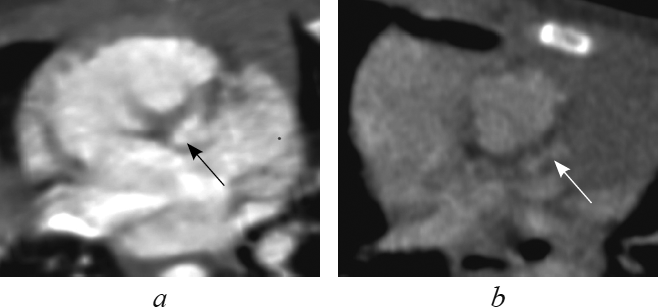
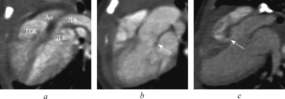
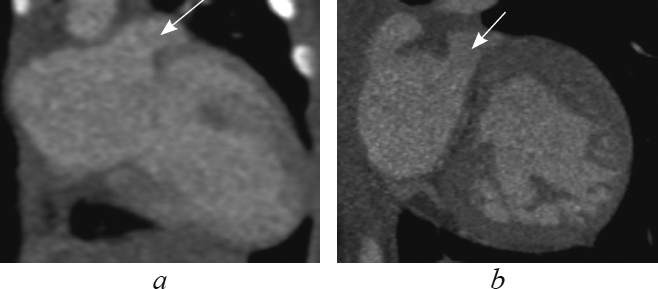
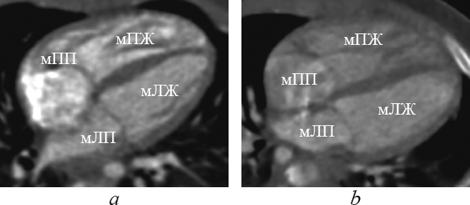
This article contents the results of computed tomography with intravenous bolus contrast media administration data analysis in children with transposition and congenitally corrected transposition of the great arteries with the consequental performing of the multiplanar heart-axis-oriented reformations. Among 148 examined children transposition of great arteries was detected in 13 patients (9 boys and 4 girls aged 1-144 day of life); congenitally corrected transposition was found in 4 cases of children aged from 6 months to 15 years and 6 months (2 boys and 2 girls). In this article comprehensive anatomical criteria of each heart chamber morphology are presented and reformations where these criteria can be seen are shown. Also in the article is given comparative characterization of heart and great arteries structures in transposition and congenitally corrected transposition in every certain heart-axis-oriented reformation. By the results of consequently performed heart-axis-oriented reformations data analysis the peculiar anatomical signs of transposition and congenitally corrected transposition are determined. The results of data analysis show that from the list of offered reformations the peculiar anatomical signs of both kinds of transposition are significantly determined in long-axis of right ventricle inflow tract reformation, left heart chambers reformation, supply ventricle division reformation, short-axis reformation at the level of great arteries. Computed tomographic angiocardiography heart-axis-oriented multiplanar reformations permit full and correct assessment of heart and main vessels, which is important for planning of surgical treatment in congenital heart diseases.
Full Text
##article.viewOnOriginalSite##About the authors
Gulnaz K. Sadykova
St. Petersburg State Pediatric Medical University
Author for correspondence.
Email: kokonya1980@mail.ru
Postgraduate Student, Department of Modern Diagnostics and Radiotherapy
Russian Federation, Saint PetersburgDmitry O. Ivanov
St. Petersburg State Pediatric Medical University
Email: doivanov@yandex.ru
MD, PhD, Dr Med Sci, Professor, Rector
Russian Federation, Saint PetersburgGeorgiy O. Bagaturia
St. Petersburg State Pediatric Medical University
Email: geobag@mail.ru
MD, Dr Med Sci, Professor, Chief of Department of Operative Surgery and Topographic Anatomy
Russian Federation, Saint PetersburgVictor V. Ipatov
S.M. Kirov Military Medical Academy
Email: mogidin@mail.ru
MD, Cand Sci Med, Docent of Department of Rentgenology and Radiology
Russian Federation, Saint PetersburgVlarimir V. Ryazanov
St. Petersburg State Pediatric Medical University
Email: 79219501454@yandex.ru
MD, Dr Med Sci, Professor, Department of Modern Diagnostics and Radiotherapy
Russian Federation, Saint PetersburgReferences
- Андерсон Р.Г., Спайсер Д.Е., Хлавачек Э.М., и др. Хирургическая анатомия сердца по Уилкоксу. - М.: Логосфера, 2015. [Anderson RH, Spicer DE, Hlavacek AM. Wilcox’s Surgical Anatomy of the Heart. Moscow: Logosfera; 2015. (In Russ.)]
- Банкл Г. Врожденные пороки сердца и крупных сосудов. - М.: Медицина, 1980. [Bankl H. Congenital Malformations of the Heart and Great Vessels. Translated into Russian. Moscow: Meditsina; 1980. (In Russ.)]
- Белоконь Н.А., Подзолков В.П. Врожденные пороки сердца. - М.: Москва, 1990. [Belokon’ NA, Podzolkov VP. Vrozhdennye poroki serdtsa. Moscow: Moskva; 1990. (In Russ.)]
- Бокерия Л.А., Беришвили И.И. Хирургическая анатомия сердца. Т. 1. - М.: НЦССХ им. Бакулева РАМН, 2009. [Bokeriya LA, Berishvili II. Khirurgicheskaya anatomiya serdtsa. Book 1. Moscow: NTsSSKh im. Bakuleva; 2009. (In Russ.)]
- Бокерия Л.А., Беришвили И.И. Хирургическая анатомия сердца. Т. 3. - М.: НЦССХ им. Бакулева РАМН, 2009. [Bokeriya LA, Berishvili II. Khirurgicheskaya anatomiya serdtsa. Book 3. Moscow: NTsSSKh im. Bakuleva; 2009. (In Russ.)]
- Воробьев А.С. Амбулаторная эхокардиография у детей: руководство для врачей. - СПб.: СпецЛит, 2010. [Vorob’ev AS. Ambulatornaya ekhokardiographia u detey: rukovodstvo dlya vrachey. Saint Petersburg: Spetslit; 2010. (In Russ.)]
- Зиньковский М.Ф. Врожденные пороки сердца. - Киев: Книга-плюс, 2008. [Zin’kovskiy MF. Vrozhdennye poroki serdtsa. Kiev: Kniga-plus; 2008. (In Russ.)]
- Митина И.Н., Бондарев Ю.И. Неинвазивная ультразвуковая диагностика врожденных пороков сердца. - М.: Видар-М, 2004. [Mitina IN, Bondarev YI. Neinvazivnaya ultrazvukovaya diagnostika vrozhdennykh porokov serdtsa. Moscow: Vidar-M; 2004. (In Russ.)]
- Мутафьян О.А. Пороки сердца у детей и подростков. Руководство для врачей. - М.: ГЭОТАР-Медиа, 2009. [Mutafyan OA. Poroki serdtsa u detey i podrostkov. Rukovodstvo dlya vrachey. Moscow: GEOTAR-Media; 2009. (In Russ.)]
- Новиков В.И., Новикова Т.Н. Методика эхокардиографии. - СПб., 2012. [Novikov VI, Novikova TN. Metodika ekhokardiographii. Saint Petersburg; 2012. (In Russ.)]
- Шарыкин А.С. Врожденные пороки сердца. - М.: БИНОМ, 2009. [Sharykin AS. Vrozdennye poroki serdtsa. Moscow: Binom; 2009. (In Russ.)]
- Files MD, Arya B. Preoperative Physiology, Imaging, and Management of Transposition of the Great Arteries. Semin Cardiothorac Vasc Anesth. 2015;19(3):210-222. doi: 10.1177/1089253215581851.
- Frescura C, Thiene G. The Spectrum of Congenital Heart Disease with Transposition of the Great Arteries from the Cardiac Registry of the University of Padua. Front Pediatr. 2016;4:84. doi: 10.3389/fped.2016.00084.
- Otto CM. Textbook of clinical echocardiography. 5th ed. Philadelphia: Elsevier; 2013.
- Placci A, Lovato L, Bonvicini M. Congenitally corrected transposition of the great arteries in an 83-year-old asymptomatic patient: description and literature review. BMJ Case Rep. 2014;2014. doi: 10.1136/bcr-2014-204228.
- Schallert EK, Danton GH, Kardon R, Young DA. Describing congenital heart disease by using three-part segmental notation. Radiographics. 2013;33(2):E33-46. doi: 10.1148/rg.332125086.
- Squarcia U, Macchi C. Transposition of the great arteries. Curr Opin Pediatr. 2011;23(5):518-522. doi: 10.1097/MOP.0b013e32834aa551.
- Thadani SR, Foster E. Echocardiographic evaluation in transposition of the great arteries in the adult. Echocardiography. 2015;32 Suppl 2: S157-165. doi: 10.1111/echo.12151.
- Uemura H, Ho SY, Devine WA, et al. Atrial appendages and venoatrial connections in hearts from patients with visceral heterotaxy. Ann Thorac Surg. 1995;60(3):561-9. doi: 10.1016/0003-4975(95)00538-v.
- Xie LJ, Jiang L, Yang ZG, et al. Assessment of transposition of the great arteries associated with multiple malformations using dual-source computed tomography. PLoS One. 2017;12(11):e0187578. doi: 10.1371/journal.pone.0187578.
Supplementary files














