Experience of stem cell use in treatment of skin burns
- Authors: Zinovyev E.V.1, Yudin V.E.2, Asadulaev M.S.1, Tsygan V.N.3, Kostyakov D.V.3, Shabunin A.S.2, Smirnova N.V.2, Kryukov A.E.2, Paneiakh M.B.1, Lukyanov S.A.1, Artsimovich I.V.1, Lopatin I.M.1, Zubov V.V.1, Krylov P.K.4, Vagner D.O.4, Osmanov K.F.3, Bagaturia G.O.1
-
Affiliations:
- St. Petersburg State Pediatric Medical University
- Peter the Great St. Petersburg Polytechnic University
- S.M. Kirov Military Medical Academy
- I.I. Dzhanelidze Saint Petersburg Research Institute of Emergency Medicine
- Issue: Vol 9, No 4 (2018)
- Pages: 12-27
- Section: Articles
- URL: https://journals.rcsi.science/pediatr/article/view/10400
- DOI: https://doi.org/10.17816/PED9412-27
- ID: 10400
Cite item
Abstract
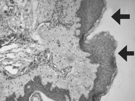
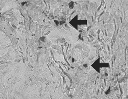
The results of three-year research on the use of allogeneic mesenchymal stem cells of adipose tissue (AMSCs) in the treatment of skin burns of II-III degree are presented. in a complex with wounds dressing of nanofibers chitosan and copolyamide, hyaluronic acid. It was found that with surgical necrectomy, introduction of AMSCs and substitution of defects with natural polymer coatings, the healing time is reduced by 89% (p < 0.05). Isolated administration of MSC reduces the healing period by no more than 5% (p > 0.05). The combined use of wounds dressings of nanofibers chitosan and copo lyamide with MSC accelerates the regeneration process by 26% (p < 0.05), with the introduction of AMSCs accelerating the development of granulation tissue by the fifth day of observation by 83% (p < 0.01). Joint use of wound coverings on the basis of hyaluronic acid with AMSCs is accompanied by an increase in the number of vessels of the microcirculatory bed in the defect area by 185% (p < 0.01). Clinical evaluation of the effectiveness of drugs with stem cells – a gel for topical application and a suspension of MSC LC for injection administration demonstrate their ability to optimize regeneration in the burn zone. Application of gel with AMSCs reduces the duration of epithelialization of border (dermal) burns by 2.2-2.4 times, with the final healing period being reduced by 59% (p < 0.01) and the suppuration frequency by 30% (p < 0.05). The introduction of a suspension of AMSCs into the zone of deep burn increases the frequency of engraftment of autografts, stimulates angiogenesis and proliferation of fibroblasts in the superficial and deep layers of the dermis. In the area of MSC administration, the LC perfusion level and the amplitude of blood flow fluctuation are twice as high as the values in the zones without the introduction of cells.
Full Text
##article.viewOnOriginalSite##About the authors
Evgeny V. Zinovyev
St. Petersburg State Pediatric Medical University
Author for correspondence.
Email: evz@list.ru
MD, PhD, Dr Mеd Sci, Professor, Department of Hospital Surgery with Traumatology and Military Surgery Courses
Russian Federation, Saint PetersburgVladimir E. Yudin
Peter the Great St. Petersburg Polytechnic University
Email: yudinve@gmail.com
DrSci, Professor, Head, Department of Medical Physics, Laboratory of Polymeric Materials for Tissue Engineering and Transplantology
Russian Federation, Saint PetersburgMarat S. Asadulaev
St. Petersburg State Pediatric Medical University
Email: marat.asadulaev@yandex.ru
Laboratory Assistant-Researcher, Research Center, Laboratory of Experimental Surgery
Russian Federation, Saint PetersburgVasiliy N. Tsygan
S.M. Kirov Military Medical Academy
Email: vn-t@mail.ru
MD, PhD, Dr Med Sci, Professor, Head, Department of Pathological Physiology
Russian Federation, Saint PetersburgDenis V. Kostyakov
S.M. Kirov Military Medical Academy
Email: kosdv@list.ru
MD, PhD, Assistant Professor, Department of Pathological Physiology
Russian Federation, Saint PetersburgAnton S. Shabunin
Peter the Great St. Petersburg Polytechnic University
Email: anton-shab@yandex.ru
Laboratory Assistant-Researcher, Department of Medical Physics, Laboratory of Polymeric Materials for Tissue Engineering and Transplantology
Russian Federation, Saint PetersburgNatalia V. Smirnova
Peter the Great St. Petersburg Polytechnic University
Email: nvsmirnoff@yandex.ru
PhD, Researcher, Department of Medical Physics, Laboratory of Polymeric Materials for Tissue Engineering and Transplantology
Russian Federation, Saint PetersburgArtem E. Kryukov
Peter the Great St. Petersburg Polytechnic University
Email: kryukov14@gmail.com
Laboratory Assistant-Researcher, Department of Medical Physics, Laboratory of Polymeric Materials for Tissue Engineering and Transplantology
Russian Federation, Saint PetersburgMoisei B. Paneiakh
St. Petersburg State Pediatric Medical University
Email: moisey031190@gmail.com
Assistant Professor, Department of Pathological Anatomy at the Rate of Forensic Medicine
Russian Federation, Saint PetersburgSergey A. Lukyanov
St. Petersburg State Pediatric Medical University
Email: Sergey.lukyanov95@yandex.ru
Laboratory Assistant-Researcher, Research Center, Laboratory of Experimental Surgery
Russian Federation, Saint PetersburgIlya V. Artsimovich
St. Petersburg State Pediatric Medical University
Email: enerdgezer@yandex.ru
Laboratory Assistant-Researcher, Research Center, Laboratory of Experimental Surgery
Russian Federation, Saint PetersburgIvan M. Lopatin
St. Petersburg State Pediatric Medical University
Email: forlopatin@yandex.ru
Laboratory Assistant-Researcher, Research Center, Laboratory of Experimental Surgery
Russian Federation, Saint PetersburgViktor V. Zubov
St. Petersburg State Pediatric Medical University
Email: viktorzubo@mail.ru
Laboratory Assistant-Researcher, Research Center, Laboratory of Experimental Surgery
Russian Federation, Saint PetersburgPavel K. Krylov
I.I. Dzhanelidze Saint Petersburg Research Institute of Emergency Medicine
Email: krilov_pk@mail.ru
MD, PhD, Head, Department of Burn Injuries
Russian Federation, Saint PetersburgDenis O. Vagner
I.I. Dzhanelidze Saint Petersburg Research Institute of Emergency Medicine
Email: 77wagner77@mail.ru
MD, PhD, Surgeon, Department of Burn Injuries
Russian Federation, Saint PetersburgKamil F. Osmanov
S.M. Kirov Military Medical Academy
Email: ikamilo26@gmail.com
Laboratory Assistant-Researcher, Department of Pathological Physiology
Russian Federation, Saint PetersburgGeorgiy O. Bagaturia
St. Petersburg State Pediatric Medical University
Email: geobag@mail.ru
MD, Dr Med Sci, Professor, Chief of Department of Operative Surgery and Topographic Anatomy
Russian Federation, Saint PetersburgReferences
- Аканов Ж.А. Перспективы применения стволовых клеточных технологий в медицине // Медицина и экология. - 2010. - № 2. [Akanov ZA. Perspectives of stem cell techniques application in medicine. Meditsina i ekologiya. 2010;(2). (In Russ.)]
- Алексеев А.А. Организация медицинской помощи пострадавшим от ожогов в Российской Федерации // Сборник тезисов IX съезда травматологов-ортопедов России; Саратов, 15-17 сентября 2010 г. - Саратов, 2010. - C. 15-16. [Alekseev AA. Organizatsiya meditsinskoy pomoshchi postradavshim ot ozhogov v rossiyskoy federatsii. In: Proceedings of the 9th congress of traumatologists-orthopedists of Russia; Saratov, 15-17 Sep 2010. Saratov; 2010. P. 15-16. (In Russ.)]
- Алексеева И.С., Волков А.В., Кулаков А.А., Гольдштейн Д.В. Клинико-экспериментальное обоснование использования комбинированного клеточного трансплантата на основе мультипотентных мезенхимных стромальных клеток жировой ткани у пациентов с выраженным дефицитом костной ткани челюстей // Клеточная трансплантология и тканевая инженерия. - 2012. - Т. 7. - № 1. - С. 97-105. [Alekseeva IS, Volkov AV, Kulakov AA, Goldshtein DV. Clinical and experimental study on the use of combined cell transplant on the basis of multipotent mesenchymal stromal cells of adipose tissue in patients with severe deficiency of jaws bone tissue. Cellular transplantology and tissue engineering. 2012;7(1):97-105. (In Russ.)]
- Баранов Е.В., Третьяк С.И., Василевич И.Б., и др. Клинические возможности применения аутогенных мультипотентных мезенхимных стромальных клеток жировой ткани при лечении пациентов с трофическими язвами нижних конечностей // Клеточная трансплантология и тканевая инженерия. - 2013. - Т. 8. - № 2. - С. 79-84. [Baranov EV, Tretyak SI, Vasilevich IB, et al. The clinical application of autologous mesenchimal stem cells isolated from fat tissue for the treatment of patients with trophic ulcers of lower extremities. Cellular transplantology and tissue engineering. 2013;8(2):79-84. (In Russ.)]
- Бондаренко Н.А., Лыков А.П., Казаков О.В., и др. Изменения функциональных свойств мезенхимальных стволовых клеток под влиянием эритропоэтина // Современные проблемы науки и образования. - 2017. - № 6. [Bondarenko NA, Lykov AP, Kazakov OV, et al. Changes in functional properties of mesenchymal stem cells under the influence of erythropoietin. Modern problems of science and education. 2017;(6). (In Russ.)]
- Брюховецкий И.С., Брюховецкий А.С., Мищенко П.В., Хотимченко Ю.С. Роль системных механизмов миграции и хоуминга стволовых клеток в развитии злокачественных опухолей центральной нервной системы и разработке новых методов противоопухолевой терапии // Российский биотерапевтический журнал. - 2013. - Т. 12. - № 4. - С. 3-12. [Bryukhovetskyi IS, Bryukhovetskyi AS, Mischenko PV, Khotimchenko YS. The role of systemic migration and homing mechanisms of stem cells in the development of malignant tumors of the central nervous system and the development of new cancer therapies. Rossiiskii bioterapevticheskii zhurnal. 2013;12(4):3-12. (In Russ.)]
- Венгерович Н.Г., Хрипунов А.К., Рузанова Э.А., и др. Регенеративная терапия тканевыми протекторными цитокинами в составе раневых покрытий на основе бактериальной целлюлозы // Вестник Санкт-Петербургского университета. Серия 11 «Медицина». - 2016. - Т. 11. - № 1. - С. 36-46. [Vengerovich NG, Khripunov AK, Ruzanova EA, et al. Regenerative therapy by tissue-protective cytokines as a component of bacterial cellulose based wound dressings. Vestnik Sankt-Peterburgskogo universiteta. Seriia 11 “Meditsina”. 2016;11(1):36-46. (In Russ.)]
- Зиновьев Е.В., Цыган В.Н., Асадулаев М.С., и др. Экспериментальная оценка эффективности применения адипогенных мезенхимальных стволовых клеток для лечения ожогов кожи III степени // Вестник Российской военно-медицинской академии. - 2017. - № 1. - С. 137-141. [Zinovev EV, Tsygan VN, Asadulaev MS, et al. Experimental evaluation of the effectiveness of adipogenic mesenchymal stem cells for the treatment of skin burns of III degree. Vestnik Rossiiskoi voenno-meditsinskoi akademii. 2017;(1):137-141. (In Russ.)]
- Киселева Е.П., Гаин М.Ю. Эффективность применения мезенхимальных стволовых клеток жировой ткани в восстановлении дефектов кожи в эксперименте // Вестник Национальной академии наук Белоруссии. Серия «Медицинские науки». - 2013. - № 2. - C. 75-81. [Kiseleva EP, Gain MY. Effectiveness of use of mesenchymal stem cells of the adipose tissue for skin defect restoration in experiment. Vestnik Natsional’noy akademii nauk Belorussii. Seriya “Meditsinskie nauki”. 2013;(2):75-81. (In Russ.)]
- Котенко К.В., Еремин И.И., Мороз Б.Б., и др. Клеточные технологии в лечении радиационных ожогов: опыт ФМБЦ им. А.И. Бурназяна // Клеточная трансплантология и тканевая инженерия. - 2012. - Т. 7. - № 2. - С. 97-102. [Kotenko KV, Eremin II, Moroz BB, et al. Cell technologies in the treatment of radiation burns: experience Burnasyan Federal Medical Biophysical Centre. Cellular transplantology and tissue engineering. 2012;7(2):97-102. (In Russ.)]
- Никольский Н.Н., Габай И.А., Сомова Н.В. Эмбриональные стволовые клетки человека. Проблемы и перспективы // Цитология. - 2007. - Т. 49. - № 7. - С. 529-537. [Nikolskiy NN, Gabay IA, Somova NV. Human embryonic stem cells problems and perspectives. Cell and tissue biology. 2007;49(7):529-537. (In Russ.)]
- Подойницына М.Г., Цепелев В.Л., Степанов А.В. Применение физических методов при лечении ожогов // Современные проблемы науки и образования. - 2015. - № 5. [Podoynitsyna MG, Tsepelev VL, Stepanov AV. The use of physical methods in the treatment of the skin burn. Modern problems of science and education. 2015;(5). (In Russ.)]
- Bassi EJ, Moraes-Vieira PM, Moreira-Sa CS, et al. Immune regulatory properties of allogeneic adipose-derived mesenchymal stem cells in the treatment of experimental autoimmune diabetes. Diabetes. 2012;61(10):2534-2545. doi: 10.2337/db11-0844.
- Cavallari G, Olivi E, Bianchi F, et al. Mesenchymal stem cells and islet cotransplantation in diabetic rats: improved islet graft revascularization and function by human adipose tissue-derived stem cells preconditioned with natural molecules. Cell Transplant. 2012;21(12):2771-2781. doi: 10.3727/096368912X637046.
- Cui L, Yin S, Liu W, et al. Expanded adipose-derived stem cells suppress mixed lymphocyte reaction by secretion of prostaglandin E2. Tissue Eng. 2007;13(6): 1185-1195. doi: 10.1089/ten.2006.0315.
- Gimble JM, Katz AJ, Bunnell BA. Adipose-derived stem cells for regenerative medicine. Circ Res. 2007;100(9):1249-1260. doi: 10.1161/01.RES.0000265074.83288.09.
- Gonzalez-Rey E, Gonzalez MA, Varela N, et al. Human adipose-derived mesenchymal stem cells reduce inflammatory and T cell responses and induce regulatory T cells in vitro in rheumatoid arthritis. Ann Rheum Dis. 2010;69(1):241-248. doi: 10.1136/ard.2008.101881.
- Kang Y, Park C, Kim D, et al. Unsorted human adipose tissue-derived stem cells promote angiogenesis and myogenesis in murine ischemic hindlimb model. Microvasc Res. 2010;80(3):310-316. doi: 10.1016/j.mvr.2010.05.006.
- Kim Y, Kim H, Cho H, et al. Direct comparison of human mesenchymal stem cells derived from adipose tissues and bone marrow in mediating neovascularization in response to vascular ischemia. Cell Physiol Biochem. 2007;20(6):867-876. doi: 10.1159/000110447.
- Kucerova L, Altanerova V, Matuskova M, et al. Adipose tissue-derived human mesenchymal stem cells mediated prodrug cancer gene therapy. Cancer Res. 2007;67(13):6304-6313. doi: 10.1158/0008-5472.CAN-06-4024.
- Kuo YR, Chen CC, Goto S, et al. Modulation of immune response and T-cell regulation by donor adipose-derived stem cells in a rodent hind-limb allotransplant model. Plast Reconstr Surg. 2011;128(6):661e-672e. doi: 10.1097/PRS.0b013e318230c60b.
- Xue L, Xu YB, Xie JL, et al. Effects of human bone marrow mesenchymal stem cells on burn injury healing in a mouse model. Int J Clin Exp Pathol. 2013;6(7): 1327-1336.
- Meza-Zepeda LA, Noer A, Dahl JA, et al. High-resolution analysis of genetic stability of human adipose tissue stem cells cultured to senescence. J Cell Mol Med. 2008;12(2):553-563. doi: 10.1111/j.1582-4934.2007. 00146.x.
- Mitchell JB, McIntosh K, Zvonic S, et al. Immunophenotype of human adipose-derived cells: temporal changes in stromal-associated and stem cell-associated markers. Stem Cells. 2006;24(2):376-385. doi: 10.1634/stemcells.2005-0234.
- Muehlberg FL, Song YH, Krohn A, et al. Tissue-resident stem cells promote breast cancer growth and metastasis. Carcinogenesis. 2009;30(4):589-597. doi: 10.1093/carcin/bgp036.
- Advances in Stem Cell Therapy. Bench to Bedside. Ed by E. Nagwa. Cham: Humana Press; 2017. doi: 10.1007/978-3-319-29149-9.
- Niemeyer P, Vohrer J, Schmal H, et al. Survival of human mesenchymal stromal cells from bone marrow and adipose tissue after xenogenic transplantation in immunocompetent mice. Cytotherapy. 2008;10(8): 784-795. doi: 10.1080/14653240802419302.
- Liu P, Deng Z, Han S, et al. Tissue-engineered skin containing mesenchymal stem cells improves burn wounds. Artif Organs. 2008;32(12):925-931. doi: 10.1111/j.1525-1594.2008.00654.x.
- Pittenger MF. Multilineage Potential of Adult Human Mesenchymal Stem Cells. Science. 1999;284(5411): 143-147. doi: 10.1126/science.284.5411.143.
- Planat-Benard V, Silvestre JS, Cousin B, et al. Plasticity of human adipose lineage cells toward endothelial cells: physiological and therapeutic perspectives. Circulation. 2004;109(5):656-663. doi: 10.1161/01.CIR.0000114522.38265.61.
- Puissant B, Barreau C, Bourin P, et al. Immunomodulatory effect of human adipose tissue-derived adult stem cells: comparison with bone marrow mesenchymal stem cells. Br J Haematol. 2005;129(1):118-129. doi: 10.1111/j.1365-2141.2005.05409.x.
- Safford KM, Hicok KC, Safford SD, et al. Neurogenic differentiation of murine and human adipose-derived stromal cells. Biochem Biophys Res Commun. 2002;294(2):371-379. doi: 10.1016/s0006-291x(02)00469-2.
- Seo MJ, Suh SY, Bae YC, Jung JS. Differentiation of human adipose stromal cells into hepatic lineage in vitro and in vivo. Biochem Biophys Res Commun. 2005;328(1): 258-264. doi: 10.1016/j.bbrc.2004.12.158.
- Timper K, Seboek D, Eberhardt M, et al. Human adipose tissue-derived mesenchymal stem cells differentiate into insulin, somatostatin, and glucagon expressing cells. Biochem Biophys Res Commun. 2006;341(4): 1135-1140. doi: 10.1016/j.bbrc.2006.01.072.
- Tse WT, Pendleton JD, Beyer WM, et al. Suppression of allogeneic T-cell proliferation by human marrow stromal cells: implications in transplantation. Transplantation. 2003;75(3):389-397. doi: 10.1097/01.TP.0000045055.63901.A9.
- Yanez R, Lamana ML, Garcia-Castro J, et al. Adipose tissue-derived mesenchymal stem cells have in vivo immunosuppressive properties applicable for the control of the graft-versus-host disease. Stem Cells. 2006;24(11):2582-2591. doi: 10.1634/stemcells.2006-0228.
- Zhu X, Shi W, Tai W, Liu F. The comparition of biological characteristics and multilineage differentiation of bone marrow and adipose derived Mesenchymal stem cells. Cell Tissue Res. 2012;350(2):277-287. doi: 10.1007/s00441-012-1453-1.
- Zuk PA, Zhu M, Ashjian P, et al. Human adipose tissue is a source of multipotent stem cells. Mol Biol Cell. 2002;13(12):4279-95. doi: 10.1091/mbc.e02-02-0105.
- Zuk PA, Zhu M, Mizuno H, et al. Multilineage cells from human adipose tissue: implications for cell-based therapies. Tissue Eng. 2001;7(2):211-228. doi: 10.1089/107632701300062859.
Supplementary files











