Том 1, № 1 (2020)
- Год: 2020
- Статей: 7
- URL: https://journals.rcsi.science/DD/issue/view/2773
- DOI: https://doi.org/10.17816/DD.11
Письма в редакцию
Мобилизация научно-практического потенциала службы лучевой диагностики г. Москвы в пандемию COVID-19
Аннотация
Уже в начале первой волны пандемии COVID-19 для компьютерной томографической (КТ) диагностики поражения лёгких у пациентов с подозрением на вирусную пневмонию в Москве была сформирована сеть амбулаторных КТ-центров (АКТЦ) с круглосуточным режимом работы. Введение шкалы «КТ 0-4» позволило проводить эффективную маршрутизацию. Для предотвращения распространения инфекции среди пациентов и персонала было введено зонирование АКТЦ с разбиением на «красную», «буферную» и «зелёную» зоны. В рамках мобилизации службы лучевой диагностики создан Московский референс-центр, осуществляющий контроль качества, экспертные дистанционные консультации и организационно-методическое сопровождение. Разработано несколько дистанционных курсов и обучающих вебинаров. Для распознавания признаков COVID-19 и оценки степени тяжести были подключены сервисы искусственного интеллекта. Разработанная стратегия службы лучевой диагностики г. Москвы обеспечила готовность к высокой нагрузке на систему здравоохранения города и позволила минимизировать потери среди медицинского персонала. Специалисты службы внесли существенный вклад в эффективное сдерживание распространения инфекции за счёт доступной, своевременной и качественной диагностики и маршрутизации.



Систематические обзоры
Диагностическая ценность ультразвукового исследования лёгких для выявления COVID-19: систематический обзор и метаанализ
Аннотация
Обоснование. При оценке степени тяжести состояния пациентов с COVID-19 опираются в первую очередь на объём поражения лёгочной ткани. Существует ряд диагностических подходов, позволяющих анализировать этот показатель, каждый из которых сопряжён с определёнными ограничениями. Цель и дизайн исследования, характеристики наблюдаемых пациентов, доступность оборудования ― все эти параметры способны повлиять на выбор оптимальной методики.
Цель ― провести оценку чувствительности и специфичности ультразвукового исследования (УЗИ) в качестве метода анализа степени поражения лёгких у пациентов с COVID-19 посредством систематического обзора статей на английском языке, доступных в базах данных PubMed и Google Scholar. Ключевые слова для поиска: lung ultrasound, chest ultrasound, thoracic ultrasound, ultrasonography, COVID-19, SARS-CoV-2, coronavirus, diagnosis, diagnostic value, specificity и sensitivity. В обзор включали только исследования, затрагивавшие вопросы диагностической точности УЗИ лёгких для пациентов с подозрением на COVID-19. В качестве эталонных методов рассматривали компьютерную томографию грудной клетки, детекцию вирусной РНК с помощью полимеразной цепной реакции с обратной транскрипцией или лабораторные данные. Извлечение статей проводили два автора независимо друг от друга с заполнением заданных полей стандартизованной таблицы и последующей оценкой индикаторов качества исследования. Для анализа и группировки данных о чувствительности и специфичности УЗИ лёгких для оценки объёма изменённой лёгочной ткани в отобранных работах использовали модель случайных эффектов. По заданным критериям включения подходили 16 работ, однако только в трёх проводили разделение пациентов на чётко заданные группы по тяжести заболевания. Из остальных работ для оценки вторичных результатов использовали значения чувствительности и специфичности УЗИ лёгких для диагностики COVID-19 вне зависимости от состояния пациента. Наблюдаемая гетерогенность для первичных и вторичных результатов сохранялась при группировке исследований по сценариям (скрининг, оценка тяжести заболевания) и когортам пациентов. УЗИ лёгких показало наиболее высокую точность для подтверждения поражения лёгких у пациентов с диагностированной тяжёлой коронавирусной инфекцией COVID-19 (чувствительность 87,6 ± 12,3%, специфичность 80,5 ± 7,1%). При этом самую низкую точность метод продемонстрировал у пациентов с заболеванием лёгкой степени тяжести (чувствительность 72,8 ± 7,1%, специфичность 74,3 ± 2,7%).
Заключение. УЗИ лёгких может быть использовано у пациентов с подтверждённым COVID-19 для выявления значительных повреждений лёгочной ткани. Диагностическая ценность метода для оценки умеренных и незначительных поражений лёгких относительно низкая.



Оригинальные исследования
Прогнозирование исходов при лабораторно верифицированном COVID-19 по данным компьютерной томографии органов грудной клетки: ретроспективный анализ 38 051 пациента
Аннотация
Обоснование. В условиях сложившейся эпидемиологической ситуации компьютерная томография органов грудной клетки (КТ ОГК) играет важную роль в диагностике заболевания. Клинические и КТ-данные позволяют врачам в короткие сроки установить вероятность наличия и прогноз у пациентов с COVID-19.
Цель ― прогнозирование исходов у лабораторно верифицированных больных COVID-19 по данным КТ ОГК с помощью полуколичественной визуальной шкалы степени поражения лёгочной паренхимы (шкала КТ0–КТ4).
Материал и методы. Выполнен ретроспективный анализ выгрузки историй болезни из Единого медицинского информационного-аналитического сервиса (ЕМИАС) и протоколов из Единого радиологического информационного сервиса (ЕРИС) в период с 01.03.2020 по 30.07.2020. В исследование включены истории болезней пациентов с диагнозом U07.1 по МКБ-10 (лабораторно верифицированная коронавирусная инфекция), которым с 1 марта по 30 июля 2020 г. включительно проведена КТ ОГК по направлению врача-терапевта при подозрении на внебольничную пневмонию, вызванную COVID-19; максимально допустимый срок между лабораторной верификацией и КТ ОГК ― не более 5 дней. Срок наблюдения за каждым пациентом ― не менее 30 сут от даты проведения КТ. Исследования были выполнены в 48 медицинских организациях, оказывающих первичную медицинскую помощь взрослому населению Москвы. Не вошли в исследование пациенты, у которых результаты теста полимеразной цепной реакции на COVID-19 были отрицательными к 30.07.2020. Шкала КТ0–КТ4 рекомендована к применению в Российской Федерации для оценки объёма поражения паренхимы лёгкого при подозрении на COVID-19.
Результаты. Итоговый объём выборки ― 38 051 пациент. По результатам исследования выявлено, что для категории КТ4 риск смерти выше в 3 раза по сравнению с категорией КТ0. По кривым Каплана–Мейера для анализа выживаемости доля выживших пациентов в категории КТ3 почти в 3 раза ниже (HR = 2,94), чем в категориях КТ0–КТ2. Кроме того, установлено, что чем выше исходная категория КТ, тем ниже риск ухудшения. Время до госпитализации снижалось при увеличении категории по данным КТ ОГК.
Заключение. Визуальная шкала КТ0–КТ4 может быть использована в качестве предиктора исходов (госпитализаций и летальных исходов) у пациентов, которым при подозрении на COVID-19 выполнена КТ ОГК на базе первичного звена здравоохранения.



Сравнение частоты и характера внебольничных пневмоний до начала и во время эпидемии COVID-19 в многопрофильной больнице
Аннотация
Обоснование. Вспышка коронавирусной инфекции 2019 года (COVID-19) быстро ― всего за месяц ― охватила весь мир. В диагностике этого заболевания помогает метод полимеразной цепной реакции (ПЦР), однако данный тест имеет ограничения, связанные с ложноотрицательными результатами, а также сроками выполнения. С учётом повышенного распространения инфекции компьютерная томография (КТ) органов грудной клетки (ОГК) может стать одной из основных методик в арсенале клинициста для раннего выявления COVID-19 у впервые обратившихся за медицинской помощью пациентов.
Цель ― сравнение частоты внебольничных пневмоний и их характеристик по данным КТ в многопрофильной больнице Москвы до начала и во время эпидемии COVID-19 и изучение возможностей их своевременного выявления и дифференциального диагноза.
Материалы и методы. Проведён ретроспективный анализ результатов КТ грудной клетки пациентов Городской клинической больницы имени И.В. Давыдовского (Москва) за период с 1 по 17 апреля 2020 года. В исследование включены все пациенты с диагнозом вирусной пневмонии по заключению КТ. Всем пациентам с подозрением на вирусную пневмонию выполняли тестирование ПЦР. В качестве группы сравнения ретроспективно проанализированы данные КТ грудных клеток пациентов с подозрением на пневмонию за аналогичный промежуток 2019 г.
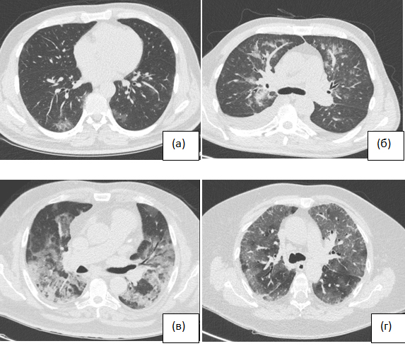
Результаты. С 1 по 17 апреля 2020 г. по данным КТ ОГК пневмония диагностирована в 140 случаях, из которых 65 (46,4%) описаны как вирусные, в сравнении с тем же периодом 2019 г. ― 7 (10,3%) диагнозов вирусной пневмонии: наблюдается значимое увеличение частоты вирусных пневмоний (5,723; р <0,01). Результаты ПЦР-теста у пациентов с вирусной пневмонией по данным КТ: положительный ― у 34 (52,3%), отрицательный ― у 22 (33,8%), у 9 (13,9%) больных тест не проводился. При сравнении частоты обнаружения на КТ паттернов вирусной пневмонии у пациентов за одинаковый промежуток времени в 2019 и 2020 гг. не было обнаружено никаких достоверных различий. Вероятность COVID-19 по КТ-картине ОГК: средняя ― 13,8%, высокая ― 75,4%. Тяжесть вирусной пневмонии по данным КТ ОГК: лёгкая ― 38,5%, среднетяжёлая ― 46,2%, тяжёлая ― 12,3%, крайне тяжёлая ― 3,1%.
Заключение. КТ-диагностика COVID-19, в том числе при ложноотрицательных результатах ПЦР-тестов, позволяет вовремя изолировать пациента с подозрением на COVID-19, своевременно приступить к лечению и предотвратить дальнейшее распространение вирусной инфекции в условиях пандемии. Однако ввиду неспецифичности выявляемых изменений возможности КТ для идентификации поражения лёгких конкретными вирусными агентами ограничены.



Наборы данных
MosMedData: датасет 1110 компьютерных томографий органов грудной клетки, выполненных во время эпидемии COVID-19
Аннотация
В условиях пандемии COVID-19 и лавинообразного роста числа выполняемых компьютерных томографий (КТ) лёгких особое значение приобретают методы автоматизации процесса анализа изображений, использование которых позволит повысить производительность и минимизировать ошибки. Создание качественных наборов данных необходимо для развития технологий искусственного интеллекта. Алгоритмы искусственного интеллекта обладают достаточной точностью для диагностики COVID-19. Данный датасет содержит как анонимизированные компьютерные томограммы (КТ) лёгких человека с признаками COVID-19, так и нормальные исследования грудной клетки. Некоторая часть исследований была размечена с использованием бинарных пиксельных масок представляющих интерес областей (например, зон консолидации и уплотнений по типу матового стекла). КТ-данные были получены в период с 1 марта 2020 г. по 25 апреля 2020 г. и предоставлены муниципальными больницами г. Москвы (Россия). Предлагаемый набор данных лицензирован Creative Commons Attribution-NonCommercial-NoDerivs 3.0 Unported (CC BY-NC-ND 3.0).



Клинические случаи и серии клинических случаев
МРТ лёгких беременной пациентки с пневмонией COVID-19
Аннотация
В работе представлен клинический случай 39-летней беременной женщины с респираторными признаками новой коронавирусной инфекции COVID-19. Результаты исследования органов грудной клетки методом магнитно-резонансной томографии (МРТ) показали билатеральное поражение в базальных отделах. Тест на коронавирус методом полимеразной цепной реакции был положительным. Оценка состояния лёгких проведена без потери значимой диагностической информации. Кроме того, отсутствие воздействия ионизирующего излучения позволило избежать высокой дозовой нагрузки на пациентку и плод. Данный случай раскрывает перспективные возможности МРТ в диагностике лёгочной патологии без воздействия ионизирующего излучения, особенно в группах риска (дети, беременные и др.).



Биографии
Профессор Анатолий Ильич Шехтер (18 января 1935 – 26 ноября 2020)
Аннотация
26 ноября 2020 г. нас постигла печальная весть ― на 85-м году жизни после болезни скончался один из самых известных и уважаемых советских и российских рентгенологов профессор Анатолий Ильич Шехтер.
Десятки лет Анатолий Ильич нёс знания, свет и добро множеству поколений студентов и врачей. Его имя широко известно в нашей стране и за рубежом. Вся его жизнь с самого рождения была связана с медициной.


