使用卷积神经网络评估非小细胞肺癌患者纵隔淋巴结转移可能性的研究
- 作者: Shevtsov A.E.1, Tominin I.D.1, Tominin V.D.1, Malevanniy V.M.1, Esakov Y.S.2, Tukvadze Z.G.2, Nefedov A.O.3, Yablonskii P.K.3, Gavrilov P.V.3, Kozlov V.V.4, Blokhina M.E.5, Nalivkina E.A.5, Gombolevskiy V.A.1,6, Vasilev Y.A.7, Dugova M.N.1, Chernina V.Y.1, Omelyanskaya O.V.7, Reshetnikov R.V.7, Blokhin I.A.7, Belyaev M.G.1
- 
							隶属关系: 
							- IRA Labs
- Moscow City Clinical Oncological Hospital № 1
- Saint-Petersburg State Research Institute of Phthisiopulmonology
- Novosibirsk Regional Clinical Oncology Dispensary
- AstraZeneca Pharmaceuticals LLC
- Artificial Intelligence Research Institute
- Research and Practical Clinical Center for Diagnostics and Telemedicine Technologies
 
- 期: 卷 5, 编号 4 (2024)
- 页面: 765-783
- 栏目: 技术说明
- URL: https://journals.rcsi.science/DD/article/view/309835
- DOI: https://doi.org/10.17816/DD632008
- ID: 309835
如何引用文章
详细
背景。肺癌是全球第二大常见癌症,约占所有癌症死亡病例的 20%。其中晚期肺癌的五年生存率不足 10%。对于高发的 非小细胞肺癌(NSCLC),最新临床指南(TNM分类第8版)强调 纵隔淋巴结受累 的评估在分期中的重要性。非侵入性检查方法: 敏感性不足;侵入性检查方法: 某些患者可能存在禁忌;深度学习技术 的发展为克服上述挑战提供了新途径。然而,现有研究大多集中于 算法开发,忽略了 单个淋巴结受累评估的临床意义,限制了其在临床应用中的综合性和有效性。
目的。开发并验证一个基于内部数据训练的算法,通过 胸部CT图像 分割单个纵隔淋巴结,并评估其转移的可能性。
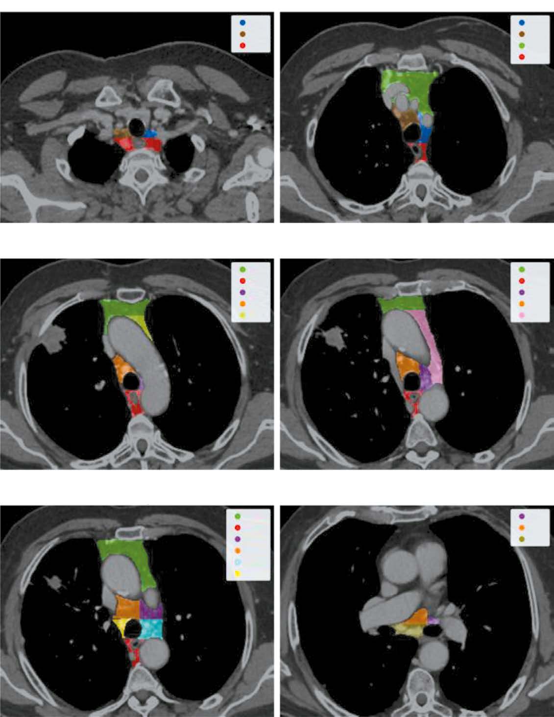
材料与方法。数据分割与处理:按照国际肺癌研究协会建议,对 淋巴结组 进行分割;获取纵隔区域的限制性矩形框,用于后续数据处理。深度学习技术应用:使用第一个神经网络对图像裁剪;使用第二个神经网络识别所有可视淋巴结并生成掩膜;在最后阶段,分离每个可视淋巴结,应用掩膜并利用前馈网络评估其转移的可能性。
结果。分割任务性能:平均响应值为 0.74±0.01;Dice Score 为 0.53±0.26。预测淋巴结转移性能:ROC曲线下面积(AUC)为 0.73;该结果优于基于传统 大小标准 的评估方法。
结论。所提出的算法通过深度学习技术实现了对纵隔淋巴结转移可能性的自动评估,在无显著肿大的淋巴结患者中优化了治疗方案。该方法提升了 肿瘤患者医疗服务的质量,并为淋巴结评估提供了一种有效的非侵入性选择。
作者简介
Alexey E. Shevtsov
IRA Labs
							编辑信件的主要联系方式.
							Email: a.shevtsov@ira-labs.com
				                	ORCID iD: 0000-0003-3085-4325
				                																			                												                	俄罗斯联邦, 							Moscow						
Iaroslav D. Tominin
IRA Labs
														Email: ya.tominin@ira-labs.com
				                	ORCID iD: 0000-0002-7210-7208
				                																			                												                	俄罗斯联邦, 							Moscow						
Vladislav D. Tominin
IRA Labs
														Email: v.tominin@ira-labs.com
				                	ORCID iD: 0000-0001-5678-3452
				                																			                												                	俄罗斯联邦, 							Moscow						
Vsevolod M. Malevanniy
IRA Labs
														Email: v.malevanniy@ira-labs.com
				                	ORCID iD: 0009-0005-8804-2102
				                																			                												                	俄罗斯联邦, 							Moscow						
Yury Esakov
Moscow City Clinical Oncological Hospital № 1
														Email: lungsurgery@mail.ru
				                	ORCID iD: 0000-0002-5933-924X
				                	SPIN 代码: 8424-0756
																		                								
MD, Cand. Sci. (Medicine)
俄罗斯联邦, MoscowZurab G. Tukvadze
Moscow City Clinical Oncological Hospital № 1
														Email: tukvadze.z.med@gmail.com
				                	ORCID iD: 0000-0002-4550-6107
				                																			                												                	俄罗斯联邦, 							Moscow						
Andrey O. Nefedov
Saint-Petersburg State Research Institute of Phthisiopulmonology
														Email: herurg78@mail.ru
				                	ORCID iD: 0000-0001-6228-182X
				                	SPIN 代码: 2365-9458
																		                								
MD, Cand. Sci. (Medicine)
俄罗斯联邦, Saint PetersburgPiotr K. Yablonskii
Saint-Petersburg State Research Institute of Phthisiopulmonology
														Email: glhirurgb2@mail.ru
				                	ORCID iD: 0000-0003-4385-9643
				                	SPIN 代码: 3433-2624
																		                								
MD, Dr. Sci. (Medicine), Professor
俄罗斯联邦, Saint PetersburgPavel V. Gavrilov
Saint-Petersburg State Research Institute of Phthisiopulmonology
														Email: spbniifrentgen@mail.ru
				                	ORCID iD: 0000-0003-3251-4084
				                	SPIN 代码: 7824-5374
																		                								
MD, Cand. Sci. (Med.)
俄罗斯联邦, Saint PetersburgVadim V. Kozlov
Novosibirsk Regional Clinical Oncology Dispensary
														Email: vadimkozlov80@mail.ru
				                	ORCID iD: 0000-0003-3211-5139
				                	SPIN 代码: 8045-4286
																		                								
MD, Cand. Sci. (Medicine)
俄罗斯联邦, NovosibirskMariya E. Blokhina
AstraZeneca Pharmaceuticals LLC
														Email: mariya.blokhina@astrazeneca.com
				                	ORCID iD: 0009-0002-9008-9485
				                																			                								
MD
俄罗斯联邦, MoscowElena A. Nalivkina
AstraZeneca Pharmaceuticals LLC
														Email: elena.nalivkina@astrazeneca.com
				                	ORCID iD: 0009-0003-5412-9643
				                																			                												                	俄罗斯联邦, 							Moscow						
Victor A. Gombolevskiy
IRA Labs; Artificial Intelligence Research Institute
														Email: gombolevskii@gmail.com
				                	ORCID iD: 0000-0003-1816-1315
				                	SPIN 代码: 6810-3279
																		                								
MD, Cand. Sci. (Med.)
俄罗斯联邦, Moscow; MoscowYuriy A. Vasilev
Research and Practical Clinical Center for Diagnostics and Telemedicine Technologies
														Email: VasilevYA1@zdrav.mos.ru
				                	ORCID iD: 0000-0002-5283-5961
				                	SPIN 代码: 4458-5608
																		                								
MD, Dr. Sci. (Medicine)
俄罗斯联邦, MoscowMariya N. Dugova
IRA Labs
														Email: m.dugova@ira-labs.com
				                	ORCID iD: 0009-0004-5586-8015
				                																			                								
MD
俄罗斯联邦, MoscowValeria Yu. Chernina
IRA Labs
														Email: v.chernina@ira-labs.com
				                	ORCID iD: 0000-0002-0302-293X
				                	SPIN 代码: 8896-8051
																		                								
MD
俄罗斯联邦, MoscowOlga V. Omelyanskaya
Research and Practical Clinical Center for Diagnostics and Telemedicine Technologies
														Email: OmelyanskayaOV@zdrav.mos.ru
				                	ORCID iD: 0000-0002-0245-4431
				                	SPIN 代码: 8948-6152
																		                												                	俄罗斯联邦, 							Moscow						
Roman V. Reshetnikov
Research and Practical Clinical Center for Diagnostics and Telemedicine Technologies
														Email: reshetnikov@fbb.msu.ru
				                	ORCID iD: 0000-0002-9661-0254
				                	SPIN 代码: 8592-0558
																		                								
Cand. Sci. (Physics and Mathematics)
俄罗斯联邦, MoscowIvan A. Blokhin
Research and Practical Clinical Center for Diagnostics and Telemedicine Technologies
														Email: BlokhinIA@zdrav.mos.ru
				                	ORCID iD: 0000-0002-2681-9378
				                	SPIN 代码: 3306-1387
																		                								
MD, Cand. Sci. (Medicine)
俄罗斯联邦, MoscowMikhail G. Belyaev
IRA Labs
														Email: belyaevmichel@gmail.com
				                	ORCID iD: 0000-0001-9906-6453
				                	SPIN 代码: 2406-1772
																		                								
Cand. Sci. (Physics and Mathematics)
俄罗斯联邦, Moscow参考
- Thandra KCh, Barsouk A, Saginala K, et al. Epidemiology of lung cancer. Contemporary Oncology. 2021;25(1):45–52. doi: 10.5114/wo.2021.103829
- Goldstraw P, Chansky K, Crowley J, et al. The IASLC lung cancer staging project: Proposals for revision of the TNM stage groupings in the forthcoming (Eighth) edition of the TNM classification for lung cancer. J Thorac Oncol. 2016;11(1):39–51. doi: 10.1016/j.jtho.2015.09.009
- Tanoue LT, Tanner NT, Gould MK, Silvestri GA. Lung cancer screening. Am J Respir Crit Care Med. 2015;191(1):19–33. doi: 10.1164/rccm.201410-1777CI
- Ettinger DS, Wood DE, Aggarwal C, et al. NCCN guidelines insights: Non small cell lung cancer, version 1. 2020. J Natl Compr Canc Netw. 2019;17(12):1464–1472. doi: 10.6004/jnccn.2019.0059
- Planchard D, Popat S, Kerr K, et al. Metastatic non small cell lung cancer: ESMO clin-ical practice guidelines for diagnosis, treatment and follow up [published correction appears in Ann Oncol. 2019;30(5):863–870. doi: 10.1093/annonc/mdy474]. Ann Oncol. 2018;29(Suppl 4):iv192–iv237. doi: 10.1093/annonc/mdy275
- Heleno B, Siersma V, Brodersen J. Estimation of overdiagnosis of lung cancer in low dose computed tomography screening: A secondary analysis of the danish lung cancer screening trial. JAMA Intern Med. 2018;178(10):1420–1422. doi: 10.1001/jamainternmed.2018.3056
- Lopes Pegna A, Picozzi G, Falaschi F, et al. Four year results of low dose CT screen ing and nodule management in the ITALUNG trial. J Thorac Oncol. 2013;8(7):866–875. doi: 10.1097/JTO.0b013e31828f68d6
- Infante M, Cavuto S, Lutman FR, et al. Long term follow up results of the DANTE trial, a randomized study of lung cancer screening with spiral computed tomography. Am J Respir Crit Care Med. 2015;191(10):1166–1175. doi: 10.1164/rccm.201408-1475OC
- De Koning H, van der Aalst C, de Jong P. Reduced lung cancer mortality with volume CT screening in a randomized trial. N Engl J Med. 2020;382(6):503–513. doi: 10.1056/NEJMoa1911793
- Pastorino U, Silva M, Sestini S, et al. Prolonged lung cancer screening reduced 10-year mortality in the MILD trial: new confirmation of lung cancer screening efficacy. Ann Oncol. 2019;30(10):1672. doi: 10.1093/annonc/mdz169
- Baldwin DR, Duffy SW, Wald NJ, et al. UK Lung Screen (UKLS) nodule management protocol: modelling of a single screen randomised controlled trial of low dose CT screening for lung cancer. Thorax. 2011;66(4):308–313. doi: 10.1136/thx.2010.152066
- Detterbeck FC, Boffa DJ, Kim AW, Tanoue LT. The eighth edition lung cancer stage classification. Chest. 2017;151(1):193–203. doi: 10.1016/j.chest.2016.10.010
- Nakajima T, Yasufuku K, Yoshino I. Current status and perspective of EBUS-TBNA. Gen Thorac Cardiovasc Surg. 2013;61(7):390–396. doi: 10.1007/s11748-013-0224-6
- Hartert M, Tripsky J, Huertgen M. Video-assisted mediastinoscopic lymphadenecto-my (VAMLA) for staging & treatment of non small cell lung cancer (NSCLC). Mediastinum. 2020;4:3. doi: 10.21037/med.2019.09.06
- Ettinger DS, Wood DE, Aisner DL, et al. Non small cell lung cancer, version 5.2017, NCCN clinical practice guidelines in oncology. J Natl Compr Canc Netw. 2017;15(4):504–535. doi: 10.6004/jnccn.2017.0050
- Roberts PF, Follette DM, von Haag D, et al. Factors associated with false positive staging of lung cancer by positron emission tomography. Ann Thorac Surg. 2000;70(4):1154–1160. doi: 10.1016/s0003-4975(00)01769-0
- Kanzaki R, Higashiyama M, Fujiwara A, et al. Occult mediastinal lymph node metas-tasis in NSCLC patients diagnosed as clinical N0-1 by preoperative integrated FDG-PET/CT and CT: risk factors, pattern, and histopathological study. Lung Cancer. 2011;71(3):333–337. doi: 10.1016/j.lungcan.2010.06.008
- Verduzco-Aguirre HC, Lopes G, Soto Perez De Celis E. Implementation of diagnostic resources for cancer in developing countries: a focus on PET/CT. Ecancermedical science. 2019;13:ed87. doi: 10.3332/ecancer.2019.ed87
- LeCun Y, Bengio Y, Hinton G. Deep learning. Nature. 2015;521(7553):436–444. doi: 10.1038/nature14539
- Guo D, Ye X, Ge J, et al. Deepstationing: thoracic lymph node station parsing in CT scans using anatomical context encoding and key organ auto search. In: International Conference on Medical Image Computing and Computer Assisted Intervention; 2021 September 27–October 1; Strasbourg. Available from: https://miccai2021.org/openaccess/paperlinks/2021/09/01/140-Paper0015.html
- Iuga AI, Carolus H, Höink AJ, et al. Automated detection and segmentation of thorac ic lymph nodes from CT using 3D foveal fully convolutional neural networks. BMC Med Imaging. 2021;21(1):69. doi: 10.1186/s12880-021-00599-z
- Iuga AI, Lossau T, Caldeira LL, et al. Automated mapping and N-staging of thoracic lymph nodes in contrast-enhanced CT scans of the chest using a fully convolutional neural network. Eur J Radiol. 2021;139:109718. doi: 10.1016/j.ejrad.2021.109718
- Zhong Y, Yuan M, Zhang T, et al. Radiomics approach to prediction of occult medi astinal lymph node metastasis of lung adenocarcinoma. AJR Am J Roentgenol. 2018;211(1):109–113. doi: 10.2214/AJR.17.19074
- Liu Y, Kim J, Balagurunathan Y, et al. Prediction of pathological nodal involvement by CT-based Radiomic features of the primary tumor in patients with clinically node negative pe ripheral lung adenocarcinomas. Med Phys. 2018;45(6):2518–2526. doi: 10.1002/mp.12901
- Cong M, Yao H, Liu H, et al. Development and evaluation of a venous computed to mography radiomics model to predict lymph node metastasis from non small cell lung cancer. Medicine (Baltimore). 2020;99(18):e20074. doi: 10.1097/MD.0000000000020074
- Gu P, Zhao YZ, Jiang LY, et al. Endobronchial ultrasound guided transbronchial nee dle aspiration for staging of lung cancer: a systematic review and meta analysis. Eur J Cancer. 2009;45(8):1389–1396. doi: 10.1016/j.ejca.2008.11.043
- Brown G, Richards CJ, Bourne MW, et al. Morphologic predictors of lymph node sta tus in rectal cancer with use of high spatial resolution MR imaging with histopathologic comparison. Radiology. 2003;227(2):371–377. doi: 10.1148/radiol.2272011747
- Som PM. Lymph nodes of the neck. Radiology. 1987;165(3):593–600. doi: 10.1148/radiology.165.3.3317494
- Curtin HD, Ishwaran H, Mancuso AA, et al. Comparison of CT and MR imaging in staging of neck metastases. Radiology. 1998;207(1):123–130. doi: 10.1148/radiology.207.1.9530307
- Loch FN, Asbach P, Haas M, et al. Accuracy of various criteria for lymph node stag ing in ductal adenocarcinoma of the pancreatic head by computed tomography and magnetic reso nance imaging. World J Surg Oncol. 2020;18(1):213. doi: 10.1186/s12957-020-01951-3
- Elsholtz FH, Asbach P, Haas M, et al. Introducing the node reporting and data system 1.0 (Node-RADS): a concept for standardized assessment of lymph nodes in cancer Eur Radiol. 2021;31(8):7217. Eur Radiol. 2021;31(9):6116–6124. doi: 10.1007/s00330-020-07572-4 Сorrected and republished from: Eur Radiol. 2021;31(9): 7217. doi: 10.1007/s00330-021-07795-z
- Ceylan N, Doğan S, Kocaçelebi K, et al. Contrast enhanced CT versus integrated PET-CT in pre-operative nodal staging of non-small cell lung cancer. Diagn Interv Radiol. 2012;18(5):435–440. doi: 10.4261/1305-3825.DIR.5100-11.2
- Kamnitsas K, Ledig C, Newcombe VF, et al. Efficient multi-scale 3D CNN with fully connected CRF for accurate brain lesion segmentation. Med Image Anal. 2017;36:61–78. doi: 10.1016/j.media.2016.10.004
- Çiçek Ö, Abdulkadir A, Lienkamp SS, et al. 3D U-net: learning dense volumetric segmentation from sparse annotation. In: Medical Image Computing and Computer Assisted Inter vention (MICCAI 2016), Part II: 19th International Conference; 2016 October 17–21; Athens. P. 424–432.
- Milletari F, Navab N, Ahmadi SA. V-net: fully convolutional neural networks for volumetric medical image segmentation. In: 2016 Fourth international conference on 3D vision (3DV): proceedings article. 2016 October 25–28; California. P. 565–571. doi: 10.1109/3DV.2016.79
- Van Ginneken B, Armato SG, de Hoop B, et al. Comparing and combining algorithms for computer aided detection of pulmonary nodules in computed tomography scans: the ANODE09 study. Med Image Anal. 2010;14(6):707–722. doi: 10.1016/j.media.2010.05.005
- Bakas S, Reyes M, Jakab A, et al. Identifying the best machine learning algorithms for brain tumor segmentation, progression assessment, and overall survival prediction in the BRATS challenge. The international multimodal brain tumor segmentation (BraTS) challenge. 2018. doi: 10.48550/arXiv.1811.02629
- Silva F, Pereira T, Frade J, et al. Pre training autoencoder for lung nodule malignancy assessment using CT images. Applied Sciences. 2020;10(21):7837. doi: 10.3390/app10217837
- Dubost F, Adams H, Yilmaz P, et al. Weakly supervised object detection with 2D and 3D regression neural networks. Med Image Anal. 2020;65:101767. doi: 10.1016/j.media.2020.101767
- Rusch VW, Asamura H, Watanabe H, et al. The IASLC lung cancer staging project: a proposal for a new international lymph node map in the forthcoming seventh edition of the TNM classification for lung cancer. J Thorac Oncol. 2009;4(5):568–577. doi: 10.1097/JTO.0b013e3181a0d82e
- Ronneberger O, Fischer P, Brox T. U-net: convolutional networks for biomedical image segmentation. In: Medical Image Computing and Computer Assisted Intervention (MICCAI 2015): 18th International Conference; 2015 May; Munich; Р. 234–241. doi: 10.48550/arXiv.1505.04597
- He K, Zhang X, Ren S, Sun J. Deep residual learning for image recognition. In: Proceedings of the IEEE conference on computer vision and pattern recognition; 2016 June 27–30; Las Vegas. P. 770–778. doi: 10.48550/arXiv.1512.03385
- Ioffe S, Szegedy Ch. Batch normalization: accelerating deep network training by reducing internal covariate shift. ArXiv. 2015;1. doi: 10.48550/arXiv.1502.03167
- Nair V, Hinton GE. Rectified linear units improve restricted boltzmann machines. In: Conference: proceedings of the 27th International Conference on Machine Learning (ICML-10); 2010 June 21–24; Haifa. Available from: https://icml.cc/Conferences/2010/papers/432.pdf
- Nair V, Hinton GE. Rectified linear units improve restricted boltzmann machines. In: Conference: proceedings of the 27th International Conference on Machine Learning (ICML-10), June 21–24, 2010. Haifa, Israel; 2010. Р. 807–814.
- Roth HR, Lu L, Seff A, et al. A new 2.5D representation for lymph node detection using random sets of deep convolutional neural network observations. Med Image Comput Comput Assist Interv. 2014;17(1):520–527. doi: 10.1007/978-3-319-10404-1_65
- Goncharov M, Pisov M, Shevtsov A, et al. CT-based COVID-19 triage: deep multi-task learning improves joint identification and severity quantification. Med Image Anal. 2021;71:102054. doi: 10.1016/j.media.2021.102054
补充文件
 
				
			 
						 
						 
						 
						 
					 
				 
  
  
  电邮这篇文章
			电邮这篇文章 








