Cell-intercell interactions in adenocarcinoma of the small intestine with neuroendocrine component
- Authors: Todorov (jr.) S.S.1, Todorov S.S.1
-
Affiliations:
- Rostov State Medical University
- Issue: Vol 2, No 4 (2022)
- Pages: 19-23
- Section: Articles
- URL: https://journals.rcsi.science/2782-3024/article/view/251732
- ID: 251732
Cite item
Full Text
Abstract
Neoplasia of the small intestine is extremely rare. Morphoimmunohistochemical examination of the tumor revealed tubular adenocarcinoma with a neuroendocrine component (chromogranin A+, NSE+, alcian+) with invasion into the subserous base. In vivo pathoanatomical diagnosis of an intestinal tumor should include morphological, histochemical, immunohistochemical studies with the detection of tumor neuroendocrine cells and assessment of malignant potential.
Full Text
Неоплазии тонкого кишечника встречаются крайне редко и составляют не более 1,2 случая на 100 тыс. населения. Карциномы данной локализации могут быть представлены тубулярной аденокарциномой, нейроэндокринной и нейроэндокринно – ненейроэндокринной опухолями. Тубулярные аденокарциномы с нейроэндокринным компонентом тонкого кишечника занимают особое место в связи с особенностями клинического течения и прогноза заболевания [1-4]. Особый интерес заслуживает формирование особенности структурной клеточно-межклеточной перестройки в карциномах тонкого кишечника с нейроэндокринным компонентом [5-8].
Цель работы.
Оценить клеточно-межклеточные взаимоотношения в аденокарциноме тонкой кишки с нейроэндокринным компонентом.
Методика исследования.
Для работы была изучена история болезни и операционный материал больного с опухолью тонкого кишечника.
Из истории болезни установлено, что мужчина 61 года обратился с жалобами на частые спазмообразные боли в левых отделах живота, усиливающихся после приема пищи, иногда изжогу, нарушение стула в виде чередования запоров с диареей, вздутие и урчание в животе, выраженную общую слабость, потерю массы тела на 7 кг за последние 6 месяцев.
Из анамнеза известно, что заболевание началось 4 года назад, когда появилась тяжесть в животе, сопровождающаяся тошнотой, нарушением стула. За медицинской помощью пациент не обращался, самостоятельно принимал спазмолитики, ферментные, антисекреторные препараты. В декабре 2020 года в связи с усилением абдоминального болевого синдрома, частым возникновением запоров и диареи, больной обратился за помощью к гастроэнтерологу в клинику РостГМУ. Больному в клинике было выполнено диагностическое рентгенологическое обследование органов брюшной полости, которое выявило признаки частичной тонкокишечной непроходимости, дивертикула Меккеля. В этой связи после врачебного консилиума хирургами было принято решение о выполнении операции в объеме лапаротомии, висцеролиза, резекции тощей кишки с анастомозом бок в бок, дренированием брюшной полости, удалением дивертикула Меккеля.
Операционный материал был отправлен в морфологический отдел клиники РостГМУ. Доставленный материал был представлен резецированным участком тонкой кишки длиной 14 см, периметром 6 см. На расстоянии 8 см от одного из краев резекции имелся язвенный дефект диаметром 0,6 см с утолщением стенки кишки в области язвы до 1 см, белесовато-желтоватого цвета, хрящевидной консистенции. Просвет кишки в области опухоли был резко сужен до 1 см в диаметре по типу «песочных часов». Морфологическое исследование операционного материала тонкой кишки было выполнено в два этапа – с выполнением стандартного гистологического исследования с использованием окраски гематоксилином-эозином, PAS-реакции и иммуногистохимического исследования молекулярно-биологического профиля опухоли (антитела к виментину, хромогранину А, синаптофизину).
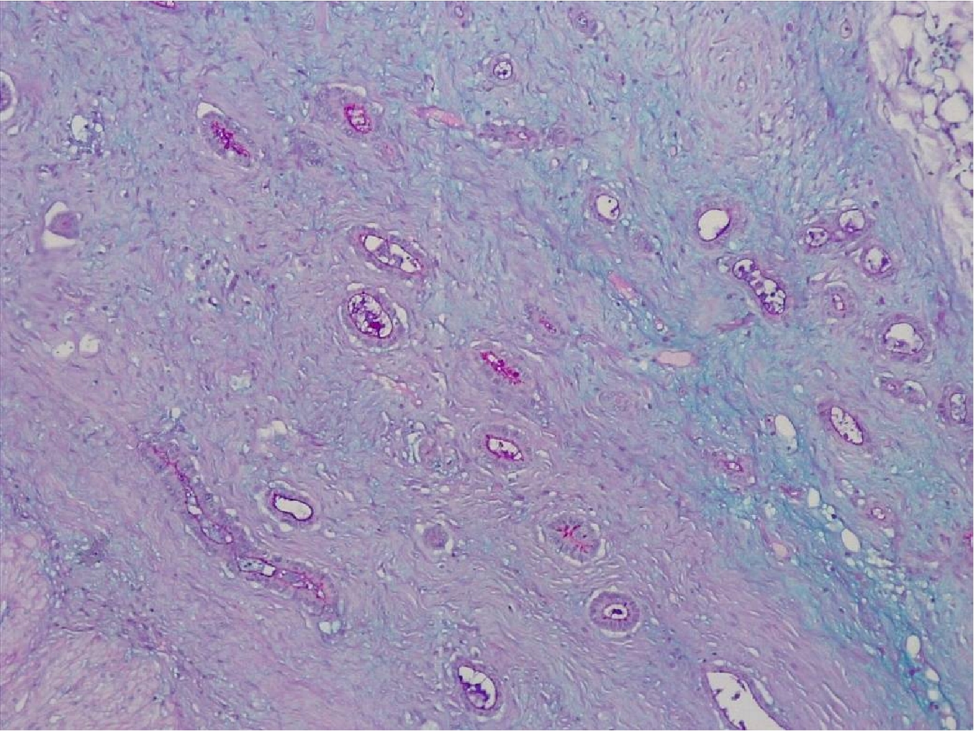
Рис.1. В просветах тубулярных структур аденокарциномы хорошо видны скопления PAS+ слизи. PAS-реакция с докраской альциановым синим. Увеличение х100.
Результаты исследования и обсуждение.
При гистологическом исследовании опухоль тонкого кишечника была представлена тубулярными структурами, построенными из атипичных клеток эпителия, расположенных в один ряд. Многие железистые структуры опухоли содержали муцин (PAS+), проникали в подслизистую, мышечную, серозную оболочки стенки кишки. Обращало внимание развитие десмопластической реакции стромы вокруг опухолевых желез аденокарциномы, представленной миксоматозной рыхлой волокнистой соединительной тканью, содержащей PAS+ вещества.
Для уточнения нейроэндокринного профайла карциномы были использованы антитела к хромогранину А и синаптофизину, которые выявили наличие нейроэндокринных гранул в цитоплазме части опухолевых клеток (рис.2).
Рис.2. Яркая экспрессия нейрон-специфической энолазы в цитоплазме опухолевых клеток тубулярной аденокарциномы. Иммуногистохимическое исследование с антителами к синаптофизину. Увеличение Х200.
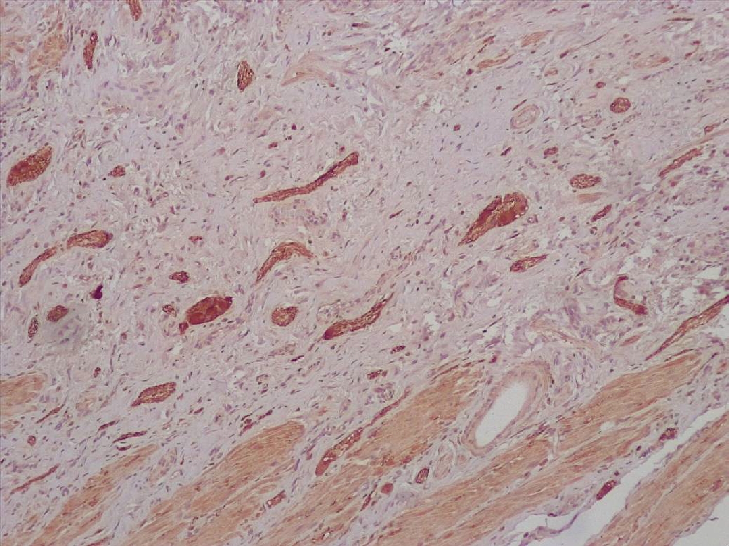
Строма вокруг опухоли была представлена рыхлой волокнистой соединительной тканью с признаками миксоматоза, с немногочисленными тонкими коллагеновыми волокнами, с экспрессией виментина (рис.3).
Рис.3. Строма аденокарциномы тонкой кишки с нейроэндокринным компонентом представлена немногочисленными тонкими коллагеновыми волокнами. Иммуногистохимическое исследование с антителами к виментину. Увеличение Х200.
Заключение.
Приведенный клинический случай тубулярной аденокарциномы тонкого кишечника с нейроэндокринным компонентом у мужчины 61 года представляет собой редкую патологию и имеет клинические и морфо-иммуногистохимические особенности.
В клиническом течении заболевания у больного обращает внимание прогрессирующее нарушение стула в виде чередования запоров и диареи, астенизация, потеря массы тела, развитие частичной тонкокишечной непроходимости. Морфологическое исследование выявило признаки инвазивного роста карциномы с прорастанием всех слоев стенки тонкой кишки, наличием выраженной десмопластической перестройкой стромы.
Гистохимическое и иммуногистохимическое исследование опухоли тонкой кишки выявило среди железистых структур неравномерное скопление эндокринных клеток, экспрессирующих хромогранин А, синаптофизин наряду со слизеобразованием [9-10].
About the authors
S. S. Todorov (jr.)
Rostov State Medical University
Email: todorov_1970@mail.ru
Russian Federation, 29, Nakhichevansky lane, Rostov-on-Don
Sergey S. Todorov
Rostov State Medical University
Author for correspondence.
Email: todorov_1970@mail.ru
Doctor of Medical Sciences
Russian Federation, 29, Nakhichevansky lane, Rostov-on-DonReferences
- Пинский С.Б., Белобородов В.А., Батороев Ю.К., Дворниченко В.В. Нейроэндокринные опухоли желудочно-кишечного тракта (сообщение 4) нейроэндокринные опухоли тонкой кишки. // Сибирский медицинский журнал (Иркутск). – 2015. - 133(2).- С. 10-16.
- Shan B, Zhang Q, Li Y, Han F. Synchronous multiple carcinoma with small intestine and pulmonary neuroendocrine involvement: A case report. // Medicine (Baltimore).-2017.-Nov.96(45):e8623. doi: 10.1097/MD.0000000000008623. PMID: 29137096; PMCID: PMC5690789.
- Oktay E, Yalcin GD, Ekmekci S, Kahraman DS, Yalcin A, Degirmenci M, Dirican A, Altin Z, Ozdemir O, Surmeli Z, Diniz G, Ayhan S, Bulut G, Erdogan A, Uslu R. Programmed cell death ligand-1 expression in gastroenteropancreatic neuroendocrine tumors. // J BUON.- 2019.- Mar-Apr:24(2).-P.779-790. PMID: 31128036.
- Remes SM, Leijon H, Vesterinen T, Louhimo J, Pulkkinen V, Ezer S, Kere J, Haglund C, Arola J. PCSK2 expression in neuroendocrine tumors points to a midgut, pulmonary, or pheochromocytoma-paraganglioma origin. // APMIS. - 2020 Nov: 128(11).- P.563-572. doi: 10.1111/apm.13071. Epub 2020 Sep 28. PMID: 32794589; PMCID: PMC7702075.
- Huang Z, Xiao WD, Li Y, Huang S, Cai J, Ao J. Mixed adenoneuroendocrine carcinoma of the ampulla: two case reports. // World J. Gastroenterol. – 2015.-21(7).-P.2254-9. doi: 10.3748/wjg. v21.i7.2254. PMID: 25717267; PMCID: PMC4326169.
- Ginori A, Lo Bello G, Vassallo L, Tripodi SA. Amphicrine carcinoma of the ampullary region. // Tumori. – 2015.- 101(2): e70-2. doi: 10.5301/tj.5000254. PMID: 25702653.
- Kanada S, Sugita A, Mikami T, Ohashi K, Hayashi H. Microcarcinoid arising in patients with long-standing ulcerative colitis: histological analysis. // Hum Pathol. – 2017.- P. 6428-36. doi: 10.1016/j.humpath.2017.04.001. Epub 2017 Apr 17. PMID: 28428105.
- Rao P, Sikora SS, Narayanaswamy S, Ghosal N, Kini D. Ampullary carcinosarcoma with osteosarcomatous, small cell neuroendocrine carcinoma and conventional adenocarcinoma components; First report. // Pathol Res Pract. – 2016. – Nov: 212(11).-P.1071-1075. doi: 10.1016/j.prp.2016.08.007. Epub 2016 Sep 1. PMID: 27640104.
- Mia-Jan K, Munkhdelger J, Lee MR, Ji SY, Kang TY, Choi E, Cho MY. Expression of CD133 in neuroendocrine neoplasms of the digestive tract: a detailed immunohistochemical analysis. Tohoku // J. Exp. Med.- 2013.- Apr;229(4).-P.301-9. doi: 10.1620/tjem.229.301. PMID: 23615455.
- Тодоров С.С. Микросателлитная нестабильность колоректального рака в детском возрасте (клиническое наблюдение) // Онкологическая колопроктология. – 2017. – Т. 7. – № 1. – С. 69-71. doi: 10.17650/2220-3478-2017-7-1-69-71.
Supplementary files





