NON-CATALYTIC DOMAINS OF DNA POLYMERASE λ: INFLUENCE ON ENZYME ACTIVITY AND ITS REGULATION
- Autores: Maltseva E.A.1, Rechkunova N.I.1, Lavrik O.I.1
-
Afiliações:
- Institute of Chemical Biology and Fundamental Medicine Siberian Branch of Russian Academy of Sciences
- Edição: Volume 512, Nº 1 (2023)
- Páginas: 422-427
- Seção: Articles
- URL: https://journals.rcsi.science/2686-7389/article/view/140837
- DOI: https://doi.org/10.31857/S2686738923600358
- EDN: https://elibrary.ru/OZLFUZ
- ID: 140837
Citar
Texto integral
Resumo
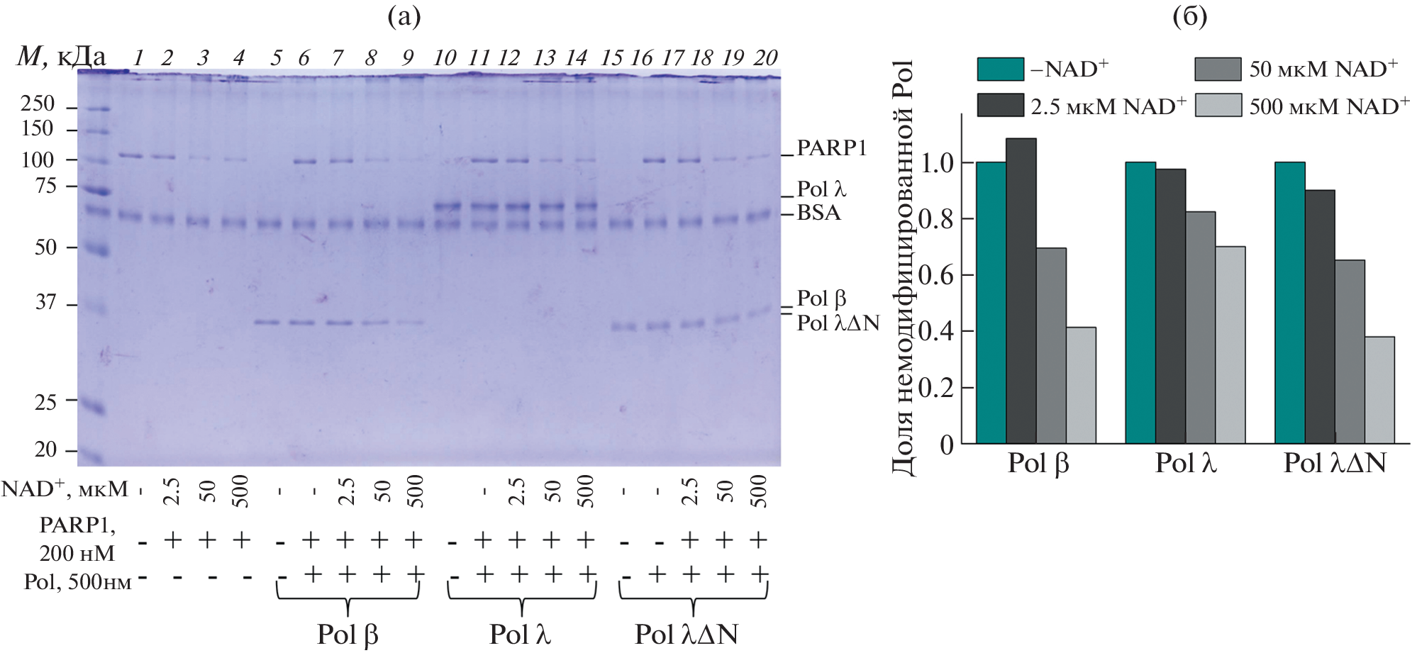
DNA polymerase λ (Polλ) belongs to the same structural X-family as DNA polymerase β, the main polymerase of base excision repair. The role of Polλ in this process remains not fully understood. A significant difference between the two DNA polymerases is the presence of an extended non-catalytic N-terminal region in the Polλ structure. The influence of this region on the interaction of Polλ with DNA and multifunctional proteins, poly(ADP-ribose)polymerase 1 (PARP1) and replication protein A (RPA), was studied in detail for the first time. The data obtained suggest that non-catalytic Polλ domains play a suppressor role both in relation to the polymerase activity of the enzyme and in interaction with DNA and PARP1.
Palavras-chave
Sobre autores
Ekaterina Maltseva
Institute of Chemical Biology and Fundamental Medicine Siberian Branch of Russian Academy of Sciences
Email: lavrik@niboch.nsc.ru
Russian Federation,
Moscow
Nadejda Rechkunova
Institute of Chemical Biology and Fundamental Medicine Siberian Branch of Russian Academy of Sciences
Email: lavrik@niboch.nsc.ru
Russian Federation,
Moscow
Olga. Lavrik
Institute of Chemical Biology and Fundamental Medicine Siberian Branch of Russian Academy of Sciences
Autor responsável pela correspondência
Email: lavrik@niboch.nsc.ru
Russian Federation,
Moscow
Bibliografia
- Belousova E.A., Lavrik OI. DNA polymerases β and λ and their roles in cell. // DNA Repair (Amst). 2015. V. 29. P. 112–126.
- Beard W.A., Wilson S.H. DNA polymerase beta and other gap-filling enzymes in mammalian base excision repair. // Enzymes. 2019. V. 45. P. 1–26.
- Carter R.J., Parsons J.L. Base Excision Repair, a Pathway Regulated by Posttranslational Modifications. // Mol Cell Biol. 2016. V. 36. № 10. P. 1426–37.
- Sukhanova M., Khodyreva S., Lavrik O. Poly(ADP-ribose) polymerase 1 regulates activity of DNA polymerase beta in long patch base excision repair. // Mutat Res. 2010. V. 685. № 1–2. P. 80–9.
- Maltseva E.A., Krasikova Y.S., Sukhanova M.V., et al. Replication protein A as a modulator of the poly(ADP-ribose)polymerase 1 activity. // DNA Repair (Amst). 2018. V. 72. P. 28–38.
- Maga G., Crespan E., Wimmer U., et al. Replication protein A and proliferating cell nuclear antigen coordinate DNA polymerase selection in 8-oxo-guanine repair. // Proc Natl Acad Sci U S A. 2008. V. 105. № 52. P. 20689–94.
- Lebedeva N.A., Rechkunova N.I., Dezhurov S.V., et al. Comparison of functional properties of mammalian DNA polymerase lambda and DNA polymerase beta in reactions of DNA synthesis related to DNA repair. // Biochim Biophys Acta. 2005. V. 1751. № 2. P. 150–8.
- Thapar U., Demple B. Deployment of DNA polymerases beta and lambda in single-nucleotide and multinucleotide pathways of mammalian base excision DNA repair. // DNA Repair (Amst). 2019. V. 76. P. 11–19.
- Fiala K.A., Duym W.W., Zhang J., et al. Up-regulation of the fidelity of human DNA polymerase lambda by its non-enzymatic proline-rich domain. // J Biol Chem. 2006. V. 281. № 28. P. 19038–44.
- Taggart D.J., Dayeh D.M., Fredrickson S.W., et al. N-terminal domains of human DNA polymerase lambda promote primer realignment during translesion DNA synthesis. // DNA Repair (Amst). 2014. V. 22. P. 41–52.
- Braithwaite E.K., Kedar P.S., Lan L., et al. DNA polymerase lambda protects mouse fibroblasts against oxidative DNA damage and is recruited to sites of DNA damage/repair. // J Biol Chem. 2005. V. 280. № 36. P. 31641–7.
- Shimazaki N., Yoshida K., Kobayashi T., et al. Over-expression of human DNA polymerase lambda in E. coli and characterization of the recombinant enzyme. // Genes Cells. 2002. V. 7. № 7. P. 639–51.
- Blanca G., Shelev I., Ramadan K., et al. Human DNA polymerase λ diverged in evolution from DNA polymerase β toward specific Mn++ dependence: a kinetic and thermodynamic study. // Biochemistry 42 (2003) 7467–7476.
- Prasad R., Williams J.G., Hou E.W., et al. Pol β associated complex and base excision repair factors in mouse fibroblasts. // Nucleic Acids Res. 2012. V. 40. № 22. P. 11571–82.
- Moor N.A., Vasil’eva I.A., Anarbaev R.O., et al. Quantitative characterization of protein-protein complexes involved in base excision DNA repair. // Nucleic Acids Res. 2015. V. 43. № 12. P. 6009–22.
- Howard M.J., Horton J.K., Zhao M.L., et al. Lysines in the lyase active site of DNA polymerase β destabilize nonspecific DNA binding, facilitating searching and DNA gap recognition. // J Biol Chem. 2020. V. 295. № 34. P. 12181–12187.
- Jelezcova E., Trivedi R.N., Wang X.H., Tang J.B., et al. Parp1 activation in mouse embryonic fibroblasts promotes Pol beta-dependent cellular hypersensitivity to alkylation damage. // Mutat Res. 2010. V. 686. № 1–2. P. 57–67.
Arquivos suplementares






