Оценка безопасности воздействия ультразвуковой установки на состояние некоторых видов рыб Черного моря
- Авторы: Сигачева Т.Б.1, Гаврюсева Т.В.1, Скуратовская Е.Н.1, Кирин М.П.1, Мороз Н.А.2
-
Учреждения:
- ФГБУН ФИЦ «Институт биологии южных морей им. А.О. Ковалевского РАН»
- АО «Всероссийский научно-исследовательский институт по эксплуатации атомных электростанций»
- Выпуск: № 2 (2024)
- Страницы: 137-152
- Раздел: Статьи
- URL: https://journals.rcsi.science/2413-5577/article/view/260338
- EDN: https://elibrary.ru/WLEUIH
- ID: 260338
Цитировать
Аннотация
Для введения в эксплуатацию ультразвуковой установки, эффективной для борьбы с микрофитообрастаниями гидротехнических сооружений атомных электростанций, необходимо проведение натурных исследований, подтверждающих ее безопасность для гидробионтов, в частности рыб, попадающих в зону действия ультразвука. Цель работы состоит в оценке воздействия ультразвуковой установки (мощностью 500 Вт, частотой 27 кГц, силой тока 3 А) на поведенческие реакции, биохимические и гистопатологические показатели некоторых видов рыб Черного моря в условиях морской акватории (б. Карантинная, Черное море). Эксперимент проводили в течение трех дней, в каждый из которых ультразвуковую установку включали на 1 ч при частоте воздействия 27кГц. После этого особи содержались в садках еще на протяжении пяти дней для оценки возможных отсроченных эффектов. Установлено, что на небольшом расстоянии (10–30 см) ультразвуковая установка оказывает на рыб раздражающее и отпугивающее воздействие. Наиболее выраженные поведенческие реакции были отмечены у султанки Mullus ponticus, ставриды Trachurus ponticus, смариды Spicara flexuosum и морского кота Dasyatis pastinaca, наименее выраженные – у морского ерша Scorpaena porсus. При этом на протяжении всего эксперимента гибели рыб не наблюдали ни в опытном, ни в контрольном садках. Достоверные различия между биохимическими показателями в сыворотке крови и печени анализируемых видов рыб из опытного и контрольного садков отсутствуют. Сравнительный анализ индексов гистопатологических изменений печени, жабр и почек, а также общих индексов альтераций у рыб из опытного и контрольного садков не показал достоверных различий. Полученные результаты свидетельствуют, что ультразвуковая установка с заданными характеристиками воздействия не влияет на состояние рыб из опытной группы, что позволяет рекомендовать данную установку к использованию в системах технического водоснабжения атомных электростанций.
Полный текст
Введение
В настоящее время при эксплуатации атомных электростанций (АЭС) и плавучих атомных теплоэлектростанций (ПАТЭС) фиксируются отклонения в их работе, вызванные накоплением в технологических системах живых организмов – источников биопомех. Это существенным образом влияет на эксплуатационные характеристики систем технического водоснабжения, приводит к выходу из строя оборудования, снижению мощности энергоблоков АЭС/ПАТЭС и, как следствие, к недовыработке электроэнергии и экономическим потерям, связанным с выводом в ремонт, проведением внепланового технического обслуживания, заменой технологического оборудования [1].
Одним из эффективных и безреагентных методов борьбы с биологическими помехами является обработка воды ультразвуком. Специалисты отдела биохимических технологий и технологического обеспечения АО «ВНИИАЭС» разработали ультразвуковую установку (УЗУ) с разными режимами излучения для защиты гидротехнических сооружений от микрофитообрастаний. В результате совместной работы с сотрудниками отдела экологии бентоса Федерального государственного бюджетного учреждения науки Федерального исследовательского центра «Институт биологии южных морей имени А. О. Ковалевского РАН» (ФИЦ ИнБЮМ) была установлена высокая эффективность УЗУ против обрастаний, а также оптимальные режим и частоты воздействия [1]. При этом натурные исследования, подтверждающие безопасность установки для гидробионтов, в частности рыб, попадающих в зону действия УЗУ, до сих пор не проводились. Такие исследования являются необходимым этапом работы для безопасного применения УЗУ на АЭС, водоемы-охладители которых относятся к объектам рыбохозяйственного значения, в том числе к морским акваториям. Интерес к проведению подобного рода исследований в морских водах обусловлен функционированием на территории РФ двух АЭС (Ленинградской и Кольской) и ПАТЭС «Академик Ломоносов», которые в качестве водоема-охладителя используют прибрежные морские акватории, а также активным строительством ГК «Росатом» АЭС в морских акваториях Турции, Бангладеш, Египта и Индии.
К настоящему времени хорошо изучено влияние звука и ультразвука на сенсорные системы рыб [2], а также фокусированного ультразвука на периферические структуры органов чувств животных и человека [3]. При этом сведения о влиянии ультразвука на состояние здоровья рыб в целом в литературе по-прежнему ограниченны. Большинство работ, как правило, направлены на изучение влияния рыбозаградительных ультразвуковых устройств только на поведенческие реакции рыб [4], а также на изучение эффективности ультразвука для борьбы с эктопаразитами рыб [5]. Для оценки влияния ультразвука на рыб, выращиваемых в морских сооружениях или на морских многоцелевых платформах, сочетающих производство возобновляемой энергии и аквакультуру, С. Кноблох с соавторами изучали рост, выживаемость и микробиоту выращиваемого в лабораторных условиях европейского морского окуня (Dicentrarchus labrax) [6]. Установлено, что ультразвук в диапазоне от 17.5 до 49.7 кГц не оказывал какого-либо влияния на рост и выживаемость морского окуня. При этом микробиологический анализ с использованием чашечного подсчета и метатаксономии на основе гена 16S рРНК показал нарушение микробиоты жабр и кожи, включая увеличение числа предполагаемых патогенных бактерий [6]. Другими исследователями был поставлен долгосрочный 30‑дневный эксперимент по оценке влияния маломощной (7–9 Вт) двухчастотной антицианобактериальной УЗУ (23 и 46 кГц) в условиях пресноводных водоемов на рост, уровень кортизола в крови и активность антиоксидантных ферментов в гомогенатах печени карпа. Установленные в работе незначительные изменения биохимических показателей, по мнению авторов, свидетельствовали об отсутствии стрессовых состояний у рыб и, соответственно, какого-либо негативного влияния маломощной УЗУ с данными частотами воздействия [7].
В то же время влияние эффективной для борьбы с биообрастаниями УЗУ (мощностью 500 Вт, частотой 27 кГц, силой тока 3 А) на поведенческие реакций рыб, биохимические и гистопатологические параметры их тканей/органов в условиях морской акватории до сих пор не оценивали.
Таким образом, цель работы – оценка воздействия УЗУ (мощностью 500 Вт, частотой 27 кГц, силой тока 3 А) на поведенческие, биохимические и гистопатологические показатели некоторых видов рыб Черного моря в условиях морской акватории.
Материал и методы
Для оценки воздействия УЗУ (разработчик АО «ВНИИАЭС», г. Москва) мощностью 500 Вт, частотой 27 кГц, силой тока 3 А на поведенческие реакции, а также биохимические и гистопатологические показатели рыб были выполнены экспериментальные исследования в прибрежной акватории г. Севастополя (б. Карантинная, Черное море).
Для реализации эксперимента были поставлены следующие задачи: 1) монтаж экспериментальной установки (контрольный и опытный садки) и УЗУ; 2) отлов рыб; 3) оценка влияния УЗУ на поведенческие реакции рыб и их распределение в садках, а также выживаемость с использованием видеорегистрирующей аппаратуры; 4) оценка влияния УЗУ на биохимические и гистопатологические показатели рыб.
Для проведения эксперимента были подготовлены два садка – контрольный и экспериментальный. Садки представляли собой каркасы из полипропиленовых труб с откидными крышками (длина – 4 м, ширина – 2 м, высота – 1 м), обтянутые капроновой сеткой с ячейкой 10 мм. Дно садков изготавливали из армированного перфорированного поливинилхлоридного полотна с ячейкой 1.5 мм. Чтобы верхний край садков возвышался над поверхностью воды на 10–15 см, к верхней части садков крепили поплавки из пенополистирола, к нижней части – грузы. Садки были погружены в прибрежную морскую акваторию около лабораторного корпуса ФИЦ ИнБЮМ. Контрольный садок был отбуксирован от зоны опыта на расстояние 30 м. Экспериментальный садок был закреплен около причала для размещения в нем излучающей аппаратуры. Глубина под садками составляла 5 м.
В акватории г. Севастополя (Черное море) с использованием донных ловушек были выловлены некоторые виды рыб Черного моря: султанка Mullus ponticus Essipov, 1927 – 120 экз., рулена (губан) Symphodus tinca (Linnaeus, 1758) – 60 экз., морской ерш Scorpaena porсus Linnaeus, 1758 – 60 экз., морской кот Dasyatis pastinaca (Linnaeus, 1758) – 4 экз., морская лисица Raja clavata Linnaeus, 1758 – 2 экз., ставрида Trachurus ponticus Aleev, 1956 – 20 экз., ласкирь Diplodus annularis (Linnaeus, 1758) – 4 экз., темный горбыль Sciaena umbra Linnaeus 1758 – 6 экз., смарида Spicara flexuosum Rafinesque, 1810 – 6 экз., морская ласточка Chromis chromis (Linnaeus, 1758) – 2 экз.
Рыба была рассажена поровну в два садка. С целью адаптации особей к условиям содержания в садках, а также исключения из эксперимента особей, травмированных при вылове, рыбу держали в садках на протяжении пяти дней до начала эксперимента. Эксперимент проводили в течение трех дней, в каждый из которых УЗУ включали на 1 ч с частотой воздействия 27 кГц.
Оценку поведения и распределения рыб в опытном и контрольном садках проводили с применением подводной видеокамеры (7/9/10 inch AHD Underwater Fishing Camera, Китай) и визуально по расстоянию между фронтом стаи рыб и УЗУ. Выживаемость рыб в опытном садке оценивали путем подсчета погибших экземпляров рыб во время и после воздействия УЗУ, в контрольном – в течение всего эксперимента. После окончания трехдневного эксперимента по воздействию УЗУ на поведенческие реакции рыб особи оставались в садках еще пять дней для оценки возможных отсроченных эффектов.
Влияние УЗУ на биохимические и гистопатологические параметры оценивали на представителях разных экологических групп рыб – султанке и морском ерше. После изъятия рыб из садков проводили стандартный биологический анализ 21 экз. султанки и 20 экз. морского ерша: определяли основные линейные и весовые характеристики [1]), а также клинические и патологоанатомические признаки [8, 9]. Возраст рыб определяли по отолитам 1).
Материалом для биохимических исследований служили печень и сыворотка крови рыб. В печени рыб определяли содержание продуктов окислительной модификации белков (ОМБ), перекисного окисления липидов (ПОЛ), а также активность супероксиддисмутазы (СОД), каталазы (КАТ), пероксидазы (ПЕР) и холинэстеразы (ХЭ). В печени и сыворотке крови определяли активность аланинаминотрансферазы (АЛТ) и аспартатаминотрансферазы (АСТ) методами, описанными нами ранее [10].
Все определения проводили на спектрофотометре СФ-2000 (ОКБ «Спектр», г. Санкт-Петербург, Россия).
Для гистологического анализа пробы жабр, печени и почек фиксировали в течение 24–48 ч в растворе Дэвидсона, затем помещали в 70%-ный спирт. Дальнейшую обработку гистологических проб проводили по общепринятой методике 2). Срезы толщиной 4–5 мкм окрашивали гематоксилин-эозином по Мейеру и по Романовскому – Гимзе 2). Выявленные у рыб гистопатологические изменения анализировали с использованием модифицированного полуколичественного анализа альтераций по методике Д. Берне с соавторами [11], при котором учитывались фактор тяжести (𝑤) и распространенность повреждений в органах (a). Используя вышеуказанные значения, рассчитывали индекс органа [11, с. 30]
где org – орган; rp – тип реакции; alt – изменение; a – значение балла; w – фактор значимости. Высокий индекс указывает на значительную степень повреждения. Общий индекс альтераций 𝐼𝑇 вычисляли как сумму индексов органов.
Достоверность различий между выборками оценивали с применением U-критерия Манна – Уитни. Различия считали достоверными при уровне значимости р £ 0.05. Статистический анализ проводили с использованием компьютерных программ Past 3 и Microsoft Office Excel 2016.
Результаты и обсуждение
Поведенческие реакции, распределение и выживаемость рыб
Первый день эксперимента. За 30 мин до начала эксперимента в опытный садок была установлена излучающая аппаратура. Рыбы свободно передвигались внутри садка, не опасаясь плавающего предмета на поверхности воды. Султанка располагалась на дне группой, часть которой находилась под УЗУ. Особи рулены, морского ерша и горбыля находились в углах между дном и стенкой садка. Морская лисица располагалась на дне. Ставриды, смариды и ласкири собрались в группу и держались возле стенки садка. Особи морского кота и ласточка активно передвигались в толще воды по всей площади садка.
После включения УЗУ в экспериментальном садке рыбы (смариды, ласкири, ставриды, рулены, морские ерши, горбыли, морская лисица), которые находились вне прямого воздействия прибора, не изменяли своего поведения и местоположения. Особи морского кота при очередном приближении к УЗУ резко разворачивались и отплывали в противоположную сторону, избегая попадания в зону излучения под аппаратурой. Султанки, расположившиеся на дне садка под УЗУ, начали смещаться в сторону особей своего вида, находившихся вне зоны действия прибора. Во время работы прибора рыбы старались избегать зоны действия ультразвука. Вне зоны действия УЗУ – вели себя так же, как и до начала работы прибора.
Второй день эксперимента. Гибели рыб в опытном и контрольном садках не наблюдали. В момент включения УЗУ рыбы были распределены по всему объему садка. При попытке согнать группу султанки в зону действия ультразвука, рыба переместилась под прибор, где находилась длительное время, иногда приподнимаясь со дна в попытке переместиться, а затем снова опускаясь на дно. Визуально данные поведенческие реакции султанок в зоне воздействия УЗУ можно было характеризовать как потерю ориентации / оглушение. Аналогичные поведенческие реакции были отмечены у ставрид, смарид и морского кота. Другие виды рыб, которые не находились в зоне УЗУ, свободно передвигались по садку. Скаты изредка заплывали под прибор, но держались у дна, стараясь не подниматься в толщу воды ближе к прибору. После отключения излучающей аппаратуры рыбы не изменяли своего поведения и местоположения в садке.
Третий день эксперимента. Гибели рыб в опытном и контрольном садках не наблюдали. После включения УЗУ в опытном садке не было отмечено какого-либо заметного воздействия на рыб всех видов. Они спокойно перемещались по всей площади садка без признаков беспокойства или потери ориентации.
После окончания трехдневного эксперимента по воздействию УЗУ на поведенческие реакции рыб особи содержались в садках еще пять дней для оценки возможных отсроченных эффектов. Гибели рыб в опытном и контрольном садках не наблюдали.
Таким образом, УЗУ (27 кГц) способно оказывать раздражающее и отпугивающее воздействие на рыб, находящихся на небольшом расстоянии (10–30 см) от прибора. Наиболее выраженные поведенческие реакции были отмечены у султанки, ставриды, смариды и морского кота, которые избегали зоны воздействия УЗУ. Морской кот не имеет чешуи, из-за чего он, вероятно, более чувствителен к воздействию УЗУ. Наименее выраженные поведенческие реакции наблюдались у морского ерша. Оценка выживаемости особей в контрольном и опытном садках при действии УЗУ с частотой 27 кГц не выявила негативного эффекта (гибели рыб). Отсутствие негативного влияния на рост и выживаемость рыб было также отмечено в 72-дневном эксперименте по воздействию на морского окуня (Dicentrarchus labrax) ультразвуком с частотой в диапазоне от 17.5 до 49.7 кГц в виде случайно чередующихся последовательностей циклов [6]. В то же время результаты наших исследований позволили установить, что для оценки отпугивающего воздействия УЗУ на расстоянии больше 30 см необходим более мощный источник излучения (> 500 Вт).
Биохимические исследования
Результаты биохимических исследований показали отсутствие достоверных различий между всеми анализируемыми показателями в тканях султанки и морского ерша из опытной и контрольной групп (табл. 1).
Таблица 1. Некоторые биохимические показатели (M ± m) в тканях султанки M. ponticus в условиях воздействия ультразвуком
Table 1. Some biochemical parameters (M ± m) in tissues of red mullet M. ponticus under ultrasound exposure
Параметр / | Султанка / | Морской ерш / | ||
Контроль / | Опыт / | Контроль / | Опыт / | |
Печень / | ||||
ТБК-АП, нмоль ТБК-АП/мг белка / | 2.370 ± 0.240 | 3.000 ± 0.39 | 4.240 ± 0.700 | 4.020 ± 0.490 |
С356, опт. ед./мг белка / | 0.039 ± 0.007 | 0.049 ± 0.006 | 0.057 ± 0.009 | 0.059 ± 0.012 |
С370, опт. ед./мг белка / | 0.037 ± 0.006 | 0.047 ± 0.006 | 0.052 ± 0.008 | 0.055 ± 0.011 |
С430, опт. ед./мг белка / | 0.014 ± 0.004 | 0.020 ± 0.003 | 0.022 ± 0.005 | 0.024 ± 0.005 |
С530, опт. ед./мг белка / | 0.004 ± 0.002 | 0.006 ± 0.001 | 0.008 ± 0.003 | 0.009 ± 0.001 |
СОД, усл. ед./мг белка/мин / | 15.450 ± 2.730 | 23.110 ± 3.710 | 27.300 ± 3.900 | 34.460 ± 2.450 |
КАТ, мкат/мг белка / | 0.143 ± 0.022 | 0.160 ± 0.016 | 0.090 ± 0.014 | 0.080 ± 0.009 |
ПЕР, опт. ед./мг белка/мин / | 0.025 ± 0.009 | 0.016 ± 0.006 | 0.023 ± 0.006 | 0.028 ± 0.005 |
АЛТ, мкмоль/ч мг белка / | 0.430 ± 0.080 | 0.370 ± 0.030 | 0.200 ± 0.020 | 0.160 ± 0.020 |
Продолжение таблицы 1 / Continued Table 1
Параметр / | Султанка / | Морской ерш / | ||
Контроль / | Опыт / | Контроль / | Опыт / | |
АСТ, мкмоль/ч мг белка / | 0.120 ± 0.025 | 0.190 ± 0.030 | 0.057 ± 0.009 | 0.054 ± 0.007 |
ХЭ, μкат/г белка / | 0.360 ± 0.090 | 0.440 ± 0.050 | 0.350 ± 0.060 | 0.031 ± 0.040 |
Глюкоза, ммоль/г ткани / | 190.390 ± 37.660 | 182.840 ± 18.700 | 106.640 ± 15.830 | 120.020 ± 18.800 |
Сыворотка крови / | ||||
АЛТ, мкмоль/ч мг белка / | 0.013 ± 0.006 | 0.019 ± 0.005 | 0.017 ± 0.007 | 0.010 ± 0.0002 |
АСТ, мкмоль/ч мг белка / | 0.040 ± 0.028 | 0.026 ± 0.010 | 0.007 ± 0.002 | 0.013 ± 0.004 |
Примечание: ТБК-АП – ТБК-активные продукты, С356 – альдегиды нейтрального характера, С370 – кетоны нейтрального характера, С430 – альдегиды основного характера, С530 – кетоны основного характера, СОД – супероксиддисмутаза, КАТ – каталаза, ПЕР – пероксидаза, АЛТ – аланинаминотрансфераза, АСТ – аспартатаминотрансфераза, ХЭ – холинэстераза.
Note: TBARS – thiobarbituric acid reactive substances, C356 – neutral aldehydes, C370 – neutral ketones, C430 – basic aldehydes, C530 – basic ketones, SOD – superoxide dismutase, CAT – catalase, PER – peroxidase, ALT – alanine aminotransferase, AST – aspartate aminotransferase, ChE – cholinesterase.
Оценить характер ответной реакции организма на определенный стресс-фактор или их комплекс позволяет анализ соотношения интенсивности ПОЛ и ОМБ с реакциями антиоксидантной (АО) системы. Увеличение активности АО ферментов при воздействии неблагоприятных факторов среды является неспецифической адаптивной реакцией организма, направленной на обезвреживание активных форм кислорода. Снижение или сравнительно низкая активность АО ферментов на фоне высокого содержания продуктов ПОЛ и ОМБ, напротив, свидетельствует о сдвиге прооксидантно-антиоксидантных реакций в сторону процессов свободно-радикального окисления биомолекул и развитии окислительного стресса, предшествующего патологическим состояниям в организме [12–15]. В наших исследованиях отсутствие достоверных различий между показателями окислительного стресса (содержанием ТБК-АП, продуктов ОМБ) и активностью АО ферментов (СОД, КАТ, ПЕР) в печени рыб из опытной и контрольной групп могут свидетельствовать о том, что УЗУ (500 Вт) с заданной частотой, периодичностью и продолжительностью работы не оказывала какого-либо воздействия на состояние прооксидантно-антиоксидантной системы печени рыб. Отсутствие достоверных различий между активностью АО ферментов (СОД, глутатионпероксидазы, глутатион-S-трансферазы) в печени карпа (Cyprinus carpio) из опытных и контрольной групп было также отмечено при действии маломощной УЗУ (7–9 Вт; 23 и 46 кГц) в условиях пресноводных водоемов [7].
Другими информативными биомаркерами, рекомендованными для оценки цитолитического повреждения органов в условиях окислительного стресса, являются АЛТ и АСТ [16, 17]. В результате нарушения целостности клеточной мембраны аминотрансферазы попадают в кровь. При этом их активность снижается в органе и увеличивается в сыворотке крови. В наших исследованиях показатели активности АЛТ и АСТ в печени и сыворотке рыб из сравниваемых групп не различались, что также свидетельствует об отсутствии какого-либо влияния ультразвука (при данных характеристиках прибора, частоте и режиме воздействия) на организм рыб.
В комплексе с вышеперечисленными маркерами, как правило, анализируют содержание глюкозы в печени – показателя углеводного обмена [18]. Отсутствие достоверных различий между анализируемыми группами султанки и морского ерша может свидетельствовать об отсутствии адаптивных/ком-
пенсаторных перестроек метаболических процессов, характерных для организмов при действии стресс-факторов разной природы и интенсивности.
Другим важнейшим показателем, рекомендованным для оценки функционирования нервной системы и белоксинтезирующей функции печени при действии стресс факторов, является фермент ХЭ [19]. В наших исследованиях активность ХЭ в печени двух видов рыб из опытной группы не отличалась от аналогичного показателя рыб из контрольной группы. Полученные результаты могут свидетельствовать об отсутствии влияния ультразвука (при данных характеристиках прибора, частоте и режиме воздействия) на белоксинтезирующую функцию печени.
Гистологические исследования
Интегральным результатом физиолого-биохимических изменений являются гистопатологические альтерации, отражающие тяжесть патологических процессов на уровне тканей и органов [9, 20]. Гистологическими методами исследования у рыб выявили следующие изменения.
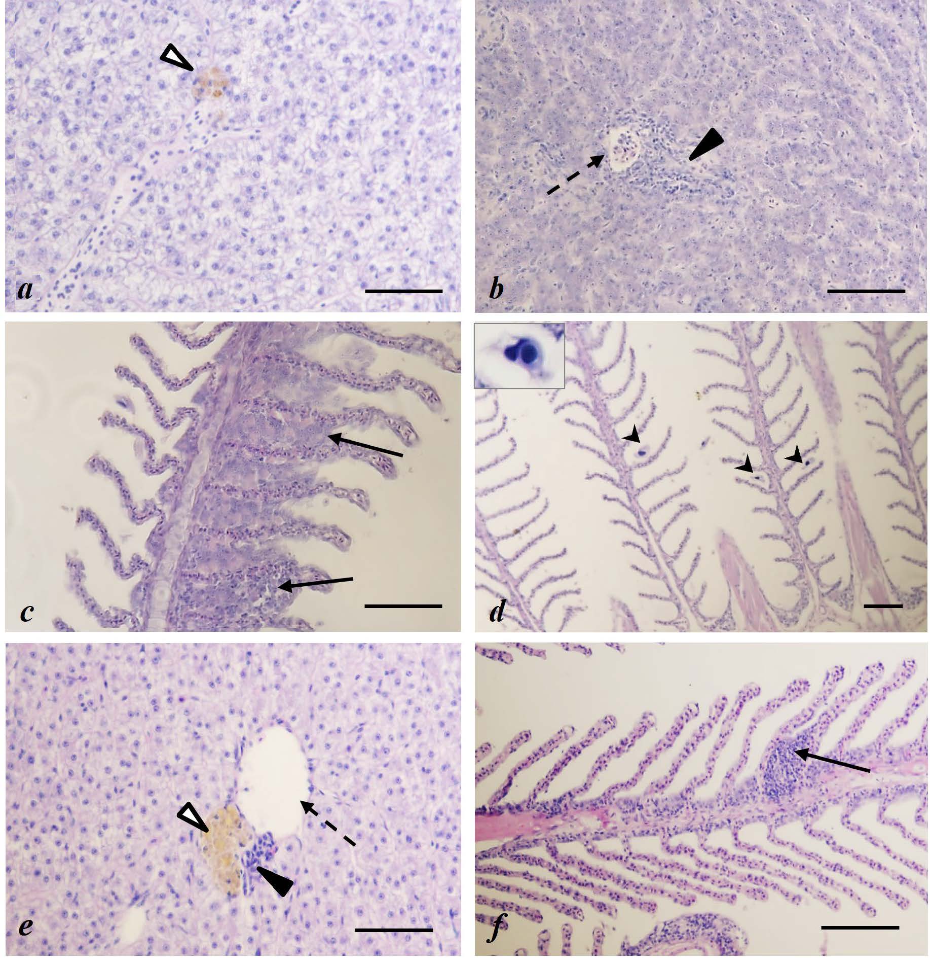
Султанка. В паренхиме печени наиболее часто отмечали меланомакрофагальные центры (у контрольной группы – 33.3 %, у опытной – 41.7 %) (рис. 1, a; 2, a). Показатели встречаемости липоидной вакуолизации гепатоцитов различались незначительно (22.2 и 25 %) (рис. 2, a). Локальную воспалительную реакцию около кровеносных сосудов (рис. 1, b) чаще наблюдали у рыб контрольной группы (33.3 против 16.7 %), а расширение печеночных синусоид и кровеносных сосудов (по 8.3 %) выявили у рыб только после воздействия УЗУ. В жабрах регистрировали локальную умеренную гиперплазию респираторного эпителия жаберных ламелл, показатели встречаемости которой различались незначительно (22.2 и 25 %) (рис. 1, c; 2, c). Единичных паразитических простейших обнаружили на жаберных ламеллах у контрольной и опытной групп (66.7 и 33.3 % соответственно) (рис. 1, d; 2, c). Хондрома – доброкачественная опухоль хрящевой ткани – была диагностирована у 8.3 % рыб опытной группы (рис. 2, c). В почках достоверных различий между анализируемыми группами не выявили (рис. 2, e).
Рис. 1. Гистологическая структура печени (a, b) и жабр (с, d) у султанки M. ponticus и морского ерша S. porcus (e – печень, f – жабры) в условиях воздействия ультразвуком. Обозначения: r – меланомакрофагальный центр; 5 – расширение кровеносного сосуда; ▲ – локальная воспалительная реакция; ↑ – гиперплазия эпителия жаберных ламелл; – паразитарные простейшие на жаберных ламеллах. Шкала 50 мкм
Fig. 1. Histological structure of liver (a, b) and gills (с, d) of red mullet M. ponticus and of European black scorpionfish S. porcus (e – liver, f – gills) under ultrasound exposure. Note: r – melanomacrophage center; 5 – blood vessel dilation; ▲ – local inflammatory reaction; ↑ – epithelial hyperplasia in gill lamellae; – parasitic protozoa on gill lamellae. Scale bar: 50 μm
Морской ерш. В печени встречаемость липоидной вакуолизации гепатоцитов и меланомакрофагальных центров различалась незначительно (рис. 2, b), тогда как расширение печеночных синусоид (9.1 %) и кровеносных сосудов (18.2 %), а также локальную воспалительную реакцию (9.1 %) отмечали только у рыб опытной группы (рис. 1, e; 2, b). В жабрах локальную гиперплазию эпителия и слипание жаберных ламелл, а также расширение кровеносных сосудов выявили только у рыб опытной группы (по 9.1 %) (рис. 1, f; 2, d). В почках наиболее часто наблюдали меланизацию макрофагов (22.2 и 9.1 % в контрольной и опытной группах соответственно). Локальную воспалительную реакцию, гиалиново-капельную дегенерацию и некроз клеток почечных канальцев регистрировали только у рыб опытной группы (9.1, 27.3 и 9.1 %) (рис. 2, f).
Рис. 2. Встречаемость (%) гистопатологических изменений в печени (a, b), жабрах (c, d) и почках (e, f) у султанки M. ponticus (слева) и морского ерша S. porcus (справа) в условиях воздействия ультразвуком
Fig. 2. Incidence (%) of histopathological changes in liver (a, b), gills (c, d) and kidneys (e, f) of red mullet M. ponticus and European black scorpionfish S. porcus (d, e, f) under ultrasound exposure
Выявленные нарушения гистологической структуры органов преимущественно относятся к первой группе тяжести [11] и являются обратимыми. Следует отметить, что встречаемость простейших паразитов на жаберных ламеллах у султанки в контрольной группе была в два раза выше, чем в опытной группе (рис. 2, c). Вероятно, воздействие ультразвука снизило паразитарную нагрузку на жабры рыб. Подобные исследования проводили на лососях, выращиваемых в морских садках в Южном Чили. Выявлено, что при использовании ультразвука происходило снижение общей эктопаразитарной нагрузки Caligus rogercresseyi без использования химических антипаразитарных средств 3).
При проведении сравнительного анализа индексов гистопатологических изменений печени, жабр и почек контрольной и опытной групп у двух видов рыб достоверных различий не выявили. Статистический анализ общих индексов альтераций контрольной и опытной групп султанки и морского ерша также не показал достоверных различий (табл. 2).
Таблица 2. Индексы гистопатологических альтераций органов (M ± m) султанки M. ponticus и морского ерша S. porcus в условиях воздействия ультразвуком
Table 2. Values of indices of histopathological alterations in organ (M ± m) of red mullet M. ponticus and European black scorpionfish S. porcus under ultrasound exposure
Параметр / | Султанка / | Морской ерш / European black scorpionfish | |||
Контроль / | Опыт / | Контроль / | Опыт / | ||
Индекс альтераций органов / |
|
|
|
| |
| печени Il / | 0.88 ± 0.78 | 1.00 ± 0.85 | 1.33 ± 1.58 | 1.45 ± 1.69 |
жабр Ig / | 1.50 ± 1.33 | 1.16 ± 1.33 | 0.11 ± 0.33 | 0.45 ± 0.07 | |
почек Ik / | 1.00 ± 0.50 | 1.08 ± 0.28 | 0.22 ± 0.47 | 0.73 ± 1.48 | |
Общий индекс альтераций 𝐼𝑇 / | 3.44 ± 1.58 | 3.25 ± 2.17 | 1.67 ± 1.50 | 2.18 ± 2.31 | |
Заключение
Анализ поведенческих реакций черноморских видов рыб (султанки, рулены, морского ерша, морского кота, морской лисицы, ставриды, ласкиря, темного горбыля, смариды, морской ласточки) под действием УЗУ (АО «ВНИИАЭС», г. Москва) (мощностью 500 Вт, частотой 27 кГц, силой тока 3 А) позволил установить раздражающее и отпугивающее воздействие на рыб на небольшом расстоянии (10–30 см) от прибора. Наиболее выраженные поведенческие реакции были отмечены у султанки, ставриды, смариды и морского кота, наименее выраженные – у морского ерша. Гибели рыб не наблюдали.
Результаты биохимических исследований показали отсутствие достоверных различий между анализируемыми параметрами (уровнем ОМБ и ПОЛ, активностью АО ферментов, аминотрансфераз и ХЭ, а также содержанием глюкозы) в тканях морского ерша и султанки из опытного и контрольного садков. Индексы гистопатологических изменений печени, жабр и почек, а также значения общего индекса альтераций у сравниваемых групп султанки и морского ерша также не различались.
Таким образом, анализ поведенческих, биохимических и гистологических показателей некоторых видов рыб Черного моря может свидетельствовать об отсутствии негативного влияния УЗУ (АО «ВНИИАЭС», г. Москва) (мощностью 500 Вт, частотой 27 кГц, силой тока 3 А) на состояние здоровья рыб из опытной группы, что позволяет рекомендовать данную установку к использованию в условиях вод технического водоснабжения АЭС.
[1]) Правдин И. Ф. Руководство по изучению рыб (преимущественно пресноводных). Москва : Пищевая промышленность, 1966. 374 c.
[2]) Bancroft J. D., Gamble M. Theory and practice of histological techniques. New York ; London : Churchill Livingstone, 2008. 744 p.
[3]) URL: https://aquavitro.org/2016/11/17/ispolzovanie-ultrazvuka-v-kontrole-chilijskoj-morskoj-vshi-caligus-rogercresseyi (дата обращения: 24.05.2024).
Об авторах
Татьяна Борисовна Сигачева
ФГБУН ФИЦ «Институт биологии южных морей им. А.О. Ковалевского РАН»
Email: mtk.fam@mail.ru
ORCID iD: 0000-0003-3125-898X
SPIN-код: 4526-5243
Scopus Author ID: 36990852700
ResearcherId: AAP-9877-2020
старший научный сотрудник, кандидат биологических наук
Россия, СевастопольТатьяна Владимировна Гаврюсева
ФГБУН ФИЦ «Институт биологии южных морей им. А.О. Ковалевского РАН»
Email: gavrt2004@mail.ru
ORCID iD: 0000-0002-9102-0861
SPIN-код: 3383-1290
Scopus Author ID: 16202640900
ResearcherId: AAP-9893-2020
старший научный сотрудник, кандидат биологических наук
Россия, СевастопольЕкатерина Николаевна Скуратовская
ФГБУН ФИЦ «Институт биологии южных морей им. А.О. Ковалевского РАН»
Автор, ответственный за переписку.
Email: skuratovskaya@ibss-ras.ru
ORCID iD: 0000-0003-4501-5065
SPIN-код: 3855-3979
Scopus Author ID: 12241009500
ResearcherId: U-9246-2019
ведущий научный сотрудник, кандидат биологических наук
Россия, СевастопольМаксим Петрович Кирин
ФГБУН ФИЦ «Институт биологии южных морей им. А.О. Ковалевского РАН»
Email: kirinmaxim@mail.ru
ORCID iD: 0000-0002-4214-565X
Scopus Author ID: 57502865700
ведущий инженер
Россия, СевастопольНаталья Анатольевна Мороз
АО «Всероссийский научно-исследовательский институт по эксплуатации атомных электростанций»
Email: sv_nata@mail.ru
ORCID iD: 0009-0002-5830-5694
SPIN-код: 9772-5896
начальник отдела биохимических технологий и технологического обеспечения
Россия, МоскваСписок литературы
- Методы борьбы с биообрастаниями на атомной электростанции / Н. А. Мороз [и др.] // Проблемы создания защитных покрытий нового поколения от коррозии, биообрастания и обледенения для морских, береговых и сухопутных объектов / Под ред. М. И. Орловой, В. А. Родионова. Санкт-Петербург : Изд-во СПбГЭУ, 2021. С. 94–103. EDN PKOOCR.
- Сенсорная физиология морских рыб (методологические аспекты) / Под ред. Г. Н. Акоева. Апатиты : Кольский филиал АН СССР, 1990. 128 с.
- Cенсopнoе вoсприятие (oпыт исследoвания с пoмoщью фoкyсиpoваннoгo yльтpaзвyкa) / И. A. Bapтанян [и др.]. Ленинград : Haукa, 1985. l89 с.
- Кудрявцев В. И. О проблеме использования акустических полей для управления поведением рыб и других водных животных // Известия ТРТУ. Материалы второй всероссийской конференции с международным участием «Экология 2002 – море и человек». Таганрог : Изд-во ТРТУ, 2002. С. 132–136. EDN HVRHAH.
- Effect of ultrasonic cavitation on small and large organisms for water disinfection during fish transport / E. Svendsen [et al.] // Aquaculture Research. 2017. Vol. 49, iss. 3. P. 1–10. https://doi.org/10.1111/are.13567
- The effect of ultrasonic antifouling control on the growth and microbiota of farmed European sea bass (Dicentrarchus labrax) / S. Knobloch [et al.] // Marine Pollution Bulletin. 2021. Vol. 164. P. 112072. https://doi.org/10.1016/j.marpolbul.2021.112072
- Techer D., Milla S., Banas D. Sublethal effect assessment of a low-power and dual-frequency anti-cyanobacterial ultrasound device on the common carp (Cyprinus carpio): a field study // Environmental Science and Pollution Research. 2017. Vol. 24. P. 5669–5678. https://doi.org/10.1007/s11356-016-8305-6
- Гаврюсева Т. В. Исследование визуальных патологий у рыб Юго-Западного побережья Черного моря // Юг России: экология, развитие. 2020. Т. 15, № 1. С. 118–129. EDN WFMKAH. https://doi.org/10.18470/1992-1098-2020-1-118-129
- Au D. W. T. The application of histocytopathological biomarkers in marine pollution monitoring: A review // Marine Pollution Bulletin. 2004. Vol. 48, iss. 9–10. P. 817–834. https://doi.org/10.1016/j.marpolbul.2004.02.032
- Sigacheva T., Skuratovskaya E. Application of biochemical and morphophysiological parameters of round goby Neogobius melanostomus (Pallas, 1814) for assessment of marine ecological state // Environmental Science and Pollution Research. 2022. Vol. 29, iss. 26. P. 39323–39330. https://doi.org/10.1007/s11356-022-18962-0
- Histopathology in fish: proposal for protocol to assess aquatic pollution / D. Bernet [et al.] // Journal of Fish Diseases. 1999. Vol. 22, iss. 1. Р. 25–34. https://doi.org/10.1046/j.1365-2761.1999.00134.x
- Van der Oost R., Beyer J., Vermeulen N. P. E. Fish bioaccumulation and biomarkers in environmental risk assessment: a review // Environmental Toxicology and Pharmacology. 2003. Vol. 13, iss. 2. P. 57–149. https://doi.org/10.1016/s1382-6689(02)00126-6
- Stoliar O. B., Lushchak V. I. Environmental pollution and oxidative stress in fish // Oxidative stress – environmental induction and dietary antioxidants. London : IntechOpen, 2012. P. 131–166. https://doi.org/10.5772/38094
- Regoli F., Giuliani M. Oxidative pathways of chemical toxicity and oxidative stress biomarkers in marine organisms // Marine Environmental Research. 2014. Vol. 93. P. 106–117. https://doi.org/10.1016/j.marenvres.2013.07.006
- Оценка рекреационного потенциала некоторых бухт города Севастополя с использованием методов биоиндикации / Т. Б. Сигачева [и др.] // Юг России: экология, развитие. 2021. Т. 16, № 1. С. 151–167. EDN KLUARE. https://doi.org/10.18470/1992-1098-2021-1-151-167
- Tkachenko H., Kurhaluk N., Grudniewska J. Effects of chloramine-T exposure on oxidative stress biomarkers and liver biochemistry of rainbow trout, Oncorhynchus mykiss (Walbaum), brown trout, Salmo trutta (L.), and grayling, Thymallus thymallus (L.) // Archives of Polish Fisheries. 2013. Vol. 21, iss. 1. P. 41–51. https://doi.org/10.2478/aopf-2013-0005
- Snails and fish as pollution biomarkers in Lake Manzala and laboratory A: Lake Manzala snails / H. M. M. El-Khayat [et al.] // Fisheries and Aquaculture Journal. 2015. Vol. 6, iss. 4. P. 1–9. https://doi.org/10.4172/2150-3508.1000153
- Changes in metabolic enzymes, cortisol and glucose concentrations of Beluga (Huso huso) exposed to dietary methylmercury / А. Gharaei [et al.] // Fish Physiology and Biochemistry. 2011. Vol. 37, iss. 3. P. 485–493. https://doi.org/10.1007/s10695-010-9450-3
- Gad N. S. Determination of glutathione related enzymes and cholinesterase activities in Oreochromis niloticus and Clarias gariepinus as bioindicator for pollution in Lake Manzala // Global Veterinaria. 2009. Vol. 3, iss. 1. P. 37–44. URL: http://www.idosi.org/gv/gv3(1)09/7.pdf (date of access: 26.04.2024).
- Минеев А. К. Неспецифические реакции у рыб из водоемов средней и нижней Волги // Известия Самарского научного центра Российской академии наук. 2013. Т. 15, № 3-7. С. 2301–2309. EDN SCLQKR.
Дополнительные файлы






