Test system for studying biotin transport upon SLC5A6 gene inactivation
- 作者: Rudenko A.Y.1, Zotova P.A.1, Averina O.A.1, Priymak A.V.1, Rubtsova M.P.1,2, Mariasina S.S.1,3, Ozhiganov R.M.1,4, Dontsova O.A.1,2,5, Sergiev P.V.1,5
 - 
							隶属关系: 
							
- Lomonosov Moscow State University
 - Shemyakin-Ovchinnikov Institute of Bioorganic Chemistry, Russian Academy of Sciences
 - Research and Educational Resource Center “Pharmacy”, RUDN University
 - Higher Chemical College RAS, Mendeleev University of Chemical Technology
 - Center for Molecular and Cellular Biology, Skolkovo Institute of Science and Technology
 
 - 期: 卷 17, 编号 3 (2025)
 - 页面: 119-129
 - 栏目: Research Articles
 - URL: https://journals.rcsi.science/2075-8251/article/view/348471
 - DOI: https://doi.org/10.32607/actanaturae.27645
 - ID: 348471
 
如何引用文章
详细
This paper introduces a test system for the investigation of biotin transport following inactivation of the SLC5A6 gene, which encodes the sodium-dependent multivitamin transporter SLC5A6. The aim was to develop a method for assessing the efficiency of biotin penetration across the cell membrane following inactivation of the SLC5A6 gene and to explore the feasibility of delivering biotin derivatives into cells independent of SLC5A6. The test system is built upon modified HEK293 cell lines with overexpression of the BirA* biotin ligase, with the first line comprising a functional SLC5A6 gene and the second one involving an inactivated version of this gene mimicking impaired biotin transport. This test system was used to investigate the transport of biotin and its two derivatives, namely the biotin conjugate with p-aminophenylalanine (Bio-1) and biotin methyl ester (Bio-2), through the cell membrane. It has been determined that biotin and its methyl ester (Bio-2) can enter cells independently of the SLC5A6 transporter, which points to the presence of alternative transport pathways. The biotin derivative Bio-1, which contains p-aminophenylalanine, is internalized into cells solely through the hSMVT transporter. The novel test system will serve as a tool for investigating the pathways involved in vitamin entry into cells and for developing therapeutic strategies for individuals with mutations in the SLC5A6 gene, as well as other transport-related genes.
全文:
ABBREVIATIONS
Strep-HRP – streptavidin conjugated with horseradish peroxidase; SLC5A6 or SMVT – sodium-dependent multivitamin transporter; BirA* – mutant biotin ligase from E. coli (BirA R118G); PBS – phosphate-buffered saline; GFP – green fluorescent protein.
INTRODUCTION
The SLC5A6 gene, located at locus 2p23.3 of human chromosome 2, encodes a membrane-bound sodium-dependent multivitamin transporter (SMVT). The human hSMVT protein is composed of 635 amino acid residues and is essential for the transport of water-soluble compounds such as biotin, pantothenic acid, and alpha-lipoic acid [1]. The SMVT protein demonstrates significant evolutionary conservation and is prevalent throughout the organism. This protein is most actively expressed in intestinal epithelium and brain capillary endothelial cells [2, 3]. It is also involved in the transport of biotin and pantothenic acid across the blood-brain barrier [4]. SMVT function is crucial for the typical growth and development of mammals, including humans, given that mammalian cells do not synthesize biotin and pantothenic acid, which only enter the body through the intestine [5, 6]. Biotin, a coenzyme for five carboxylases, plays a role in several metabolic functions, specifically fatty acid synthesis, gluconeogenesis, and amino acid catabolism [7]. Biotin also affects gene expression, as well as cell proliferation and survival [8, 9]. Pantothenic acid is essential for coenzyme A biosynthesis and fatty acid synthesis, which are crucial for energy metabolism and hormone synthesis [10].
In vivo investigations in mice indicate that the inactivation of the Slc5a6 gene in intestinal cells results in growth retardation, decreased bone density, and reduced bone length, along with changes in the small intestine (villi shortening, dysplasia) and cecum (chronic inflammation, dysplasia) [6]. Therapy involving elevated dosages of biotin and pantothenic acid forestalls growth retardation and intestinal inflammation [11].
Biallelic mutations in the SLC5A6 gene have been observed in children with growth and developmental delays, seizures, gastrointestinal, skin, and peripheral nervous system disorders, and immunodeficiency resulting from impaired T- and B-cell function [12–18]. Clinical improvements were noted in these children, who were predisposed to infant death, after they had undergone targeted treatment with vitamins to SLC5A6 gene mutation carriers [13–15, 18].
For example, whole exome sequencing of a 15-month-old boy with developmental delay, microcephaly, severe immunodeficiency, and severe gastroesophageal reflux disease revealed a mutation in the SLC5A6 gene. At 19 months of age, the child received vitamin therapy involving high doses of biotin (10 mg/day, then 30 mg/day), pantothenic acid (250 mg/day, then 500 mg/day), and lipoic acid (150 mg/day, then 300 mg/day), with the vitamin dosages subsequently increased at 24 months. Following 14 months of therapy, the immunoglobulin levels were normalized and no bone system abnormalities remained. Comparable clinical improvement was observed in other pediatric patients who were administered high doses of biotin [19, 20].
According to our analysis of published data, studies on vitamins have not assessed the effectiveness of their absorption, distribution, and metabolism. Only a few methods are currently available for the assessment of vitamin permeation efficiency across the membrane. Typically, tritium or carbon-14 isotopes are used to label biotin for this application [21]. This methodology offers enhanced sensitivity in detecting and quantifying biotin distribution, although it requires specialized equipment for handling radioactive substances. Furthermore, this method does not facilitate the evaluation of membrane permeation of biotin derivatives, which usually do not possess a radioactive label. Biotin quantification can also be achieved using mass spectrometric analysis, which, nonetheless, requires the use of advanced analytical instruments and time-intensive procedures.
This study aimed to create a method for assessing the effectiveness of biotin permeation through the cell membrane following inactivation of the SLC5A6 gene. Further, we examined the possibility of delivering biotin derivatives into cells independently of SLC5A6, which could provide new avenues for patient treatment in cases of SLC5A6 gene mutations.
We have developed a test system to assess the efficacy of biotin penetration through the cell membrane following inactivation of the SLC5A6 gene. The system relies on the inhibition of biotin-carrying cellular proteins through the utilization of streptavidin and a horseradish peroxidase conjugate. Biotinylation is artificially enhanced through the application of a mutant BirA biotin ligase with reduced specificity.
The test system involves modified HEK293 cell lines that overexpress the BirA* biotin ligase. One of the lines contains a functional SLC5A6 gene, while in the other line this gene is inactivated. The SLC5A6 gene is inactivated to simulate a state where biotin transport via hSMVT is impeded. The ectopic expression of biotin ligase results in the nonspecific biotinylation of proteins within the cell, which can be identified using Western blotting. Assessment of protein biotinylation levels in the cell lines following incubation with biotin or its derivatives facilitates the detection of biotin transport across the cell membrane.
The developed system was used to study the transport mechanism across the cell membrane of biotin and its two derivatives: biotin conjugate with p-aminophenylalanine (Bio-1) and biotin methyl ester (Bio-2).
EXPERIMENTAL PART
Oligonucleotide synthesis
All oligonucleotides (primers) were synthesized by Lumiprobe RUS LLC (Russia).
Cell cultivation
Wild-type (WT), as well as modified (BirA*, ΔSLC5A6, and BirA*_ΔSLC5A6) HEK293, cells were cultured in a DMEM/F12 medium (Gibco, USA) supplemented with 10% (v/v) fetal calf serum (FBS HI, Gibco), 1% (v/v) L-alanine-L-glutamine (2 mM, GlutaMAX, Gibco), a 1% (v/v) antibiotic mixture (100 units/mL penicillin and 100 μg/mL streptomycin, Gibco) at 37°C and 5% CO2. The cells were cultivated in culture vials designed for adherent cells (25 cm²). Once the cells reached 90-100% confluency, they were split at a 1 : 10 ratio, rinsed with PBS, then detached using a trypsin-EDTA solution (1×, Gibco) in PBS, and, finally, resuspended in a fresh medium to achieve the required cell density. For the experiments, the cells were cultured in 24-well plates.
Introduction of the BirA* gene
Cells with increased biotinylated protein levels were obtained by introducing the mutant E. coli BirAR118G biotin ligase (BirA*) into the cells. The cell selection process involved the introduction of the BirA* gene, along with the eGFP gene, which encodes a green fluorescent protein from jellyfish, optimized for mammalian cells. The BirA* and eGFP genes were inserted using the plasmid pSBbiGN_BirA*, which was constructed previously [22] based on the pSBbiGN vector (Addgene #60517) [23].
Wild-type (WT) HEK293 cells were transfected with plasmid pSBbiGN_BirA* and plasmid pCMV(CAT)T7-SBX100 [24] that encodes a transposase, using Lipofectamine 3000, following the manufacturer’s guidelines. At 24 hours post-incubation, cells producing BirA* and eGFP were selected using a FACSAria III BD sorter and the signal was recorded at 488/530 nm. The selected cells were seeded into 96-well plates (200 µl of medium per well), followed by culturing of individual clones in 24-well plates. The resulting monoclonal cells exhibited a stable BirA* and GFP expression.
Inactivation of the SLC5A6 gene
The SLC5A6 gene in WT and BirA* cell lines was inactivated using the CRISPR-Cas9 system. The sgRNA sequences were selected for cleavage using the Benchling CRISPR design tool (https://benchling.com). The selection was made of a guide RNA targeting exon 8 of the SLC5A6 gene (5′-GCGGTACCTCAGTCAGTTCCCGCA-3′).
The pX459-SLC5A6 construct, designed for inactivation, was derived from the pSpCas9(BB)-2A-Puro plasmid (pX459 V2.0, Addgene #62988 [25]), which includes CRISPR/Cas9 system elements and a puromycin resistance gene. The plasmid was pre-cleaved with BpiI endonuclease to generate sticky ends.
The guide RNA-encoding sequence was synthesized from two DNA oligonucleotides (5′-CACCACCGCGGCGGTACCTCAGTTCCCGCA-3′ and 5′-AAACTGCGGCGGGAACTGAGGAGGTACCGC-3′) designed to generate complementary sticky ends (4 nucleotides) after hybridization, which would then be compatible with the sticky ends on the pX459 vector. Oligonucleotides were hybridized within a T4-DNA ligase buffer (Thermo Scientific, USA), with each added to a concentration of 1 μM, and then incubated at 95°C for 5 minutes, followed by gradual cooling to 30°C in a closed thermostat. The resulting duplex (1 μl) was ligated at sticky ends into the pX459 vector using the Rapid DNA Ligation Kit (Thermo Fisher, USA).
Following transfection of competent E. coli JM109 cells with the ligase mixture, the colonies were cultivated on ampicillin-supplemented plates (50 μg/mL). Plasmid DNA was purified from overnight cultures, using the Plasmid Miniprep kit (Eurogen, Russia). Sanger sequencing, with a primer positioned on the U6 promoter (5′-GACTATCATCATATGCTTACCGT-3′), confirmed the correct insertion.
In order to generate cell lines with gene-specific knockouts, the cells were transfected with plasmid pX459-SLC5A6, using the LipofectamineTM 3000 reagent (Invitrogen™: L3000001). The transfection protocol employed 100,000 cells, 1 μg of plasmid, and 1.5 μl of lipofectamine. After a 24-h incubation, the culture medium was replaced with a fresh medium including puromycin (1 μg/mL). In parallel, wild-type HEK293 control cells were incubated in a medium containing puromycin, and after 48 h, cell death was observed in all the control cells. Cells transfected with the pX459-SLC5A6 plasmid were seeded into 96-well plates (200 μL medium per well), followed by individual clone culture in 24-well plates.
Monoclonal lines were genotyped using total DNA extracted from the cells (QuickExtract DNA Extraction Solution, Lucigen). Subsequently, the region within the predicted cleavage site was amplified via PCR (PCR primers: 5′-CTTCTGGACCTTGGACCTTGGCCTTCGG-3′ and 5′-GACCTTGCTCCACTCCACTCCCTTC-3′). Sanger sequencing of amplified fragments confirmed the presence of a mutation that resulted in inactivation of the SLC5A6 gene (Fig. 1). Consequently, cell lines with disrupted SLC5A6 reading frames were chosen for additional investigation, with a 1 bp insertion identified in the ΔSLC5A6 line and a 1 bp deletion identified in the BirA*_ΔSLC5A6 line.
Fig. 1. Inactivation of the SLC5A6 gene in HEK293 cells. Sanger sequencing results of the PCR-amplified target locus in the SLC5A6 gene are shown for wild-type (WT) cells, knockout cells (ΔSLC5A6, 1 bp insertion), and cells with the BirA* construct insertion (BirA*_ΔSLC5A6, 1 bp deletion)
Synthesis of Bio-1
Biotin (1.74 g, 7.13 mmol), HATU (2.71 g, 7.13 mmol), and DIPEA (2.49 mL, 14.27 mmol) were dissolved in 15 mL of anhydrous DMF via sonication. In a separate flask, a solution of 4-aminophenylalanine (2 g, 7.13 mmol) in 5 mL DMF was prepared. The biotin solution was introduced into the amino acid solution using a syringe pump with strong stirring for over an hour. Then the DMF was removed under vacuum. Under stirring, 100 mL of water was added to the residue, which was then left for one hour to precipitate. The precipitate was filtered, rinsed with H2O (2 × 100 mL), and then air-dried. Thus, Product 2, gray in color (3.1 g, 86%), was obtained.
1H-NMR (600 MHz, DMSO-d6) δ = 9.8 (s, 1H), 7.5 (d, J = 8.0, 2H), 7.1 (d, J = 8.0, 2H), 7.0 (d, J = 8.3, 1H), 6.4 (s, 1H), 6.4 (s, 1H), 4.3 (t, J = 6.8, 1H), 4.3–4.1 (m, 1H), 4.1–4.0 (m, 1H), 3.2–3.1 (m, 1H), 3.0–2.9 (m, 1H), 2.9–2.7 (m, 2H), 2.6 (d, J = 12.4, 1H), 2.3 (t, J = 7.1, 2H), 1.7–1.5 (m, 3H), 1.5–1.5 (m, 1H), 1.4–1.3 (m, 1H), 1.3 (s, 9H), 1.3–1.2 (m, 1H). 13C-NMR (151 MHz, DMSO-d6) δ = 173.8, 173.6, 171.0, 162.7, 155.4, 137.7, 132.5, 129.3, 118.9, 78.0, 61.1, 59.2, 55.4, 55.3, 36.2, 35.9, 28.2, 28.2, 28.1, 25.2.
Product 2, which was obtained in the preceding reaction (3 g, 5.9 mmol), was dissolved in 4 M HCl/dioxane (60 mL). The stirring of the reaction mixture for 5 h yielded a suspension. Following filtration, the precipitate was washed with Et2O (2 × 50 mL) and air-dried, producing colorless Bio-1 hydrochloride (2.6 g, 98%).
1H-NMR (600 MHz, D2O) δ = 7.4 (d, J=8.1, 2H), 7.3 (d, J = 8.1, 2H), 4.6–4.5 (m, 1H), 4.4 (dd, J = 8.0, 4.5, 1H), 4.3 (t, J = 6.7, 1H), 3.4–3.3 (m, 2H), 3.2 (dd, J = 14.8, 7.7, 1H), 3.0 (dd, J = 13.0, 4.8, 1H), 2.7 (d, J = 13.0, 1H), 2.4 (t, J = 7.3, 2H), 1.7 (tt, J = 14.8, 7.1, 3H), 1.6–1.5 (m, 1H), 1.5–1.4 (m, 2H). 13C-NMR (151 MHz, D2O) δ = 176.4, 171.9, 165.9, 137.1, 131.6, 130.8, 123.2, 62.7, 60.9, 56.0, 54.6, 40.3, 36.8, 35.7, 28.5, 28.3, 25.7.
Synthesis of Bio-2
Biotin (1 g, 4.1 mmol) was dissolved in 20 mL of methanol, then cooled to 0°C, and thionyl chloride (2 mL, 20 mmol) was subsequently added dropwise. The reaction mixture was stirred at 20°C for 10 h, and the solvent was removed in vacuo. The residue was neutralized using 1 M NaHCO3. The precipitate was filtered off, washed with water, and dried in air, yielding Bio-2 (939 mg, 91%) after recrystallization from acetone.
The Bio-2 spectral data were consistent with those described previously [26].
1H-NMR (600 MHz, DMSO-d6) δ = 6.4 (s, 1H), 6.4 (s, 1H), 4.4–4.3 (m, 1H), 4.2–4.1 (m, 1H), 3.6 (s, 3H), 3.2–3.0 (m, 1H), 2.8 (dd, J = 12.4, 5.1, 1H), 2.6 (d, J = 12.4, 1H), 2.3 (t, J = 7.5, 2H), 1.7–1.4 (m, 4H), 1.4–1.2 (m, 2H). 13C-NMR (151 MHz, DMSO-d6) δ = 173.3, 162.7, 61.0, 59.2, 55.3, 51.2, 39.8, 33.1, 28.1, 28.0, 24.5.
Western blotting
Protein biotinylation efficiency was assessed at varying biotin concentrations using HEK293 WT, BirA*, ΔSLC5A6, and BirA*_ΔSLC5A6 cell lines to determine the optimal concentration. Cells from each cell line were seeded into a 24-well plate and then incubated for 24 h. Subsequently, either an aqueous solution of biotin at the appropriate concentration or a control solution (water) was added to the culture medium. The cells were further incubated with biotin for 24 h. Afterward, the cells were lysed on ice using RIPA buffer containing benzonase (Sigma, USA) for 15 minutes and the enzyme was inactivated by heating at 80°C for 3 minutes.
Western blotting was employed to analyze diluted lysates, with normalization for total protein content. Electrophoretic separation of proteins was performed in a 10% polyacrylamide gel with 0.1% SDS, followed by transfer to a nitrocellulose membrane using wet transfer (1 h at 400 mA). The membrane was blocked using a 5% skim milk powder solution [27] in TBST (1–12 h), followed by incubation for 1 h at room temperature with a streptavidin-peroxidase conjugate solution (1 : 3000 in TBST, “IMTEK”, P-S Avs, Russia). Following sequential washes with TBST (3 × 5 min), TBS (3 × 5 min), and distilled water, detection was performed using the Clarity™ Western ECL substrate (Bio-Rad).
RESULTS AND DISCUSSION
The impact of the functional activity of the multivitamin transporter SLC5A6 on biotin internalization was evaluated using the human embryonic kidney cell line HEK293. The SLC5A6 gene was inactivated in this cell line using the CRISPR/Cas9 system, resulting in the generation of the ΔSLC5A6 cell line.
Maintenance of biotinylated biotin-dependent carboxylases in the HEK293 cell line does not require the SLC5A6 transporter
The efficiency of biotin transport across the cell membrane was assessed by comparing the levels of biotinylated proteins in the HEK293 WT and ΔSLC5A6 cell lines. To this end, cells were incubated with biotin at different concentrations, after which biotinylated proteins were visualized by Western blotting using the streptavidin-peroxidase conjugate (Strep-HRP, Fig. 2). No change in the level of biotinylation was observed following the inactivation of the SLC5A6 gene. We hypothesize that this may be due to transmembrane diffusion or endocytosis of biotin during the 24-h incubation, resulting in its comparatively elevated intracellular concentration. Moreover, other transporters, such as monocarboxylate transporter 1 (MCT1), could be involved in delivering biotin across the cell membrane [28–30]. It should be noted that Subramanian V.S. et al. formulated a hypothesis on vitamin diffusion through the membrane, which provides a rationale for the effectiveness of biotin and pantothenic acid therapy in patients with deficient multivitamin transporters [15].
Fig. 2. Western blotting results for HEK293 WT (left) and ΔSLC5A6 (right) cell lines incubated with different concentrations of biotin (50, 100, and 150 μM)
Test system for monitoring biotin permeation through the cell membrane
Having determined that the functioning of the multivitamin transporter SLC5A6 was not a factor limiting biotin entry into cells in culture at the natural biotinylated protein content, we decided to create cell lines with artificially increased biotinylation levels.
To this end, two additional cell lines were generated from HEK293 cells (Fig. 3).
Fig. 3. Generation of HEK293-derived cell lines. Cells with increased levels of biotinylated proteins (BirA* line) were generated by introducing the mutant biotin ligase BirA*. The BirA* gene was integrated into the genome using the pSBbi-GN_BirA* plasmid with the aid of a transposase. Inactivation of the SLC5A6 gene in WT and BirA* cell lines was performed using the CRISPR-Cas9 system with the pX459 vector carrying a guide RNA targeting exon 8 of the gene. As a result, ΔSLC5A6 and BirA*_ΔSLC5A6 lines were obtained
The BirA* gene, encoding a mutant E. coli BirAR118G biotin ligase, was introduced into HEK293 cells using a Sleeping beauty transposase-based vector (SB100X) [31, 32]. This enzyme mediates the indiscriminate binding of biotin to lysine residues found in the protein. Consequently, the biotin that enters the cell is quickly used to biotinylate proteins that do not typically bind biotin. The level of biotinylated proteins in the cell enables one to estimate the rate of biotin penetration through the membrane.
Next, we introduced an inactivating mutation into the SLC5A6 gene, which encodes the hSMVT protein. This enabled us to compare the biotinylation process in cells with active and inactive hSMVT transporters. The BirA*_ΔSLC5A6 line was created by introducing an inactivating mutation into cells containing the BirA* gene using CRISPR/Cas9 technology (Fig. 3), which was similar to how the ΔSLC5A6 line was generated from wild-type cells.
Assessment of biotin transport efficiency across the cell membrane using the test system
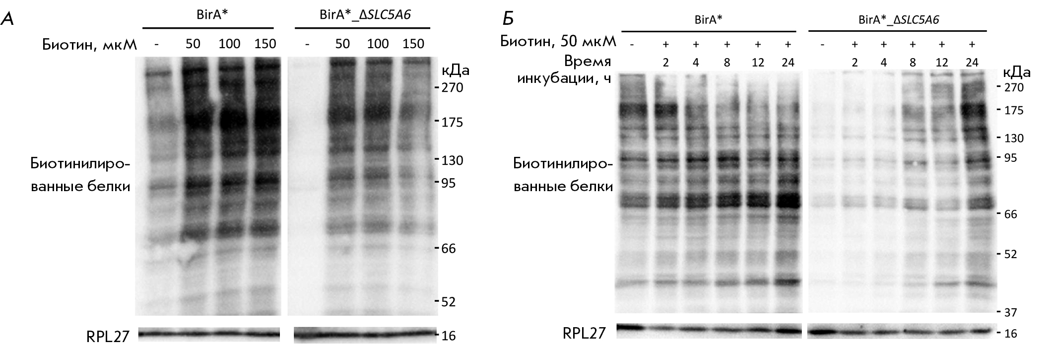
After establishing lines with ectopic expression of the nonspecific biotin ligase BirA*, we decided to determine the optimal biotin concentration in the medium suitable for detecting the transport of this vitamin. To this end, we incubated BirA* and BirA*_ΔSLC5A6 cell lines with different concentrations of biotin: 0, 50, 100, and 150 μM (Fig. 4A) for 24 h. Both lines exhibited a significant difference in biotinylation levels when biotin was absent and at a concentration of 50 μM, followed by saturation and a further increase in biotin concentration, which did not increase biotinylation levels. Consequently, a concentration of 50 μM is the optimal concentration for the evaluation of biotin transport. Furthermore, even in the absence of specifically added biotin, the level of biotinylation was lower in cells with inactivated hSMVT than in cells with the active transporter.
Fig. 4. Assessment of protein biotinylation levels in BirA* and BirA*_ΔSLC5A6 cells. (A) Dependence of the protein biotinylation level on biotin concentration in the medium after 24-h incubation. (B) Dependence of the protein biotinylation level on incubation time
Extended incubation with biotin correlated with augmented biotinylation (Fig. 4B), and notable disparities were evident relative to the presence of the SLC5A6 gene. In the first few hours of incubation, the maximum level of biotinylation in the BirA* cell line was already achieved. Concurrently, in BirA*_ΔSLC5A6 cells exhibiting compromised biotin transport, the accumulation of biotinylated proteins was decelerated, achieving a comparable level to the maximum observed in BirA* cells after a 24-h delay. These data suggest that hSMVT plays a critical role in biotin transport, potentially influencing the development of pathological conditions in patients with mutations in this gene.
Synthesis of biotin derivatives for cell penetration
The rationale for synthesizing biotin derivatives involved modifying their molecular properties to enable cell entry via alternative pathways that bypass the hSMVT transporter, which could broaden therapeutic options for individuals with SLC5A6 gene mutations. Two approaches were taken into consideration to accomplish this task.
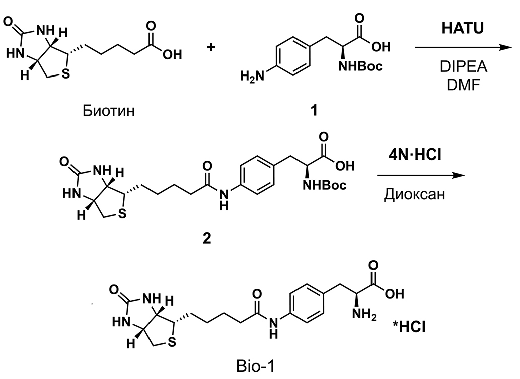
The first approach to delivering the molecule bypassing SLC5A6 is to create hybrid molecules (prodrugs) comprising a therapeutic part and a component that mimics a useful metabolite capable of being recognized by a specific transporter. For example, the LAT1 (Large Amino Acid Transporter-1) transporter has been successfully used to deliver ketoprofen and ferulic acid to neurons, as well as some drugs to tumor cells [33–35]. This process involves the modification of the therapeutic molecules by conjugating them to amino acids, which are LAT1 substrates. To evaluate the performance of this approach, we synthesized a biotin derivative of p-aminophenylalanine (Bio-1, Fig. 5A, Scheme 1). Our hypothesis was that upon intracellular delivery of this substance, the biotinidase enzyme would promote the release of biotin in its free form (Fig. 5A), as observed when biotinidase cleaves N-biotinyl-4-aminobenzoic acid into biotin and p-aminobenzoic acid [36, 37].
Fig. 5. Synthesized biotin analogs Bio-1 (A) and Bio-2 (B), with the proposed mechanism of membrane transport and subsequent enzymatic cleavage leading to the release of free biotin
Scheme 1. Synthesis of the Bio-1 compound
The second approach is to reduce the polarity of the molecule. This could either enable free diffusion of the molecule across the membrane or activate a different transporter, which would render hSMVT unnecessary. We synthesized a biotin methyl ester (Bio-2) that exhibits enhanced hydrophobicity. After entering the cell, biotin can be released by the action of esterases (Fig. 5B, Scheme 2).
Scheme 2. Synthesis of the Bio-2 compound
Transport efficiency of biotin and its derivatives across the cell membrane
Cellular permeability of biotin and its derivatives was assessed by incubating biotin, Bio-1, or Bio-2 with HEK293 (WT), ΔSLC5A6, BirA*, and BirA*_ΔSLC5A6 cell lines. All three molecules were shown to serve as a source of biotin in cells with a functional hSMVT transporter. Hence, no disparities in protein biotinylation levels were apparent in wild-type cells exposed to biotin, Bio-1, and Bio-2 (data not shown).
When cells with ectopic expression of BirA* biotin ligase were used, the level of protein biotinylation increased manifold. Under these conditions, each of the three molecules can be used to transport biotin into the cell (Fig. 6, BirA* line). A modest reduction in membrane permeation rates was observed for Bio-1 and Bio-2 compared to biotin. In all cases, saturation was observed after 4 h of incubation.
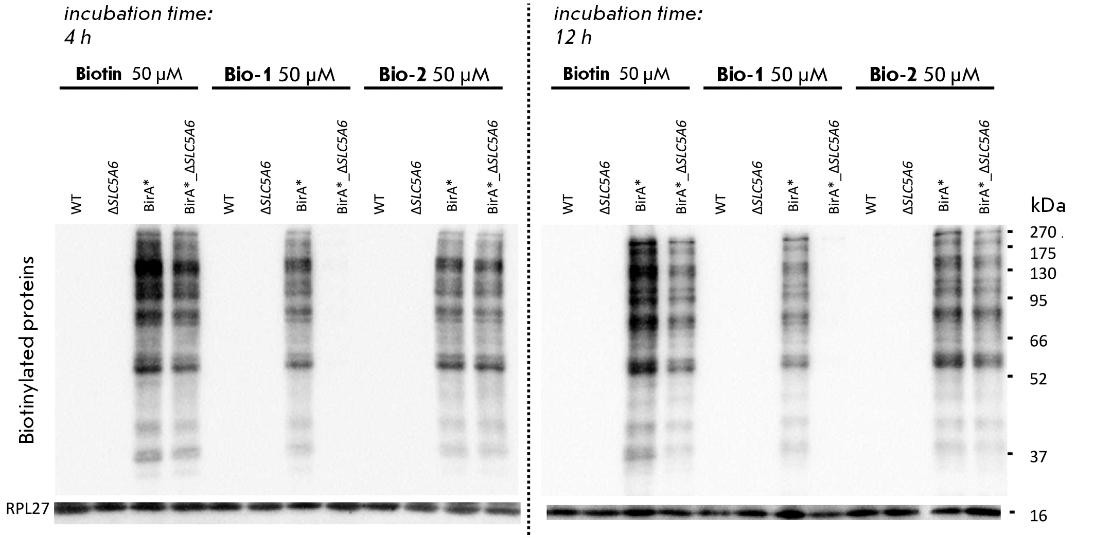
Fig. 6. Comparison of protein biotinylation levels in various cell lines after incubation with biotin, Bio-1, and Bio-2
Upon hSMVT inactivation, biotin entry into the cell was reduced. After both 4 h and 12 h of incubation, the level of biotinylated proteins in BirA*_ΔSLC5A6 cells was observed to be lower than in BirA* cells.
The cell incubation with Bio-1 yielded surprising outcomes: inactivating hSMVT prevented the increase of biotinylated proteins in cells even after 12 h of Bio-1 exposure (Fig. 6, BirA*_ΔSLC5A6 cells), but biotinylation remained high when a functional transporter was present (Fig. 6, BirA* line). Based on these findings, it is reasonable to conclude that the transport mechanism of Bio-1 does not involve LAT1, contrary to the initial hypothesis. The molecule in question probably can enter the cell solely through hSMVT participation, accounting for the high biotinylation level in BirA* cells and the absence thereof when the SLC5A6 gene is inactivated. Therefore, the effect we observed was contrary to our expectations. It was found that biotin can enter cells through several pathways, with the pathway via hSMVT being only one of many. In contrast, the Bio-1 derivative proved unable to use the transport pathway available to biotin and could enter cells only via hSMVT.
Conversely, when cells were incubated with Bio-2, the disparity in protein biotinylation between BirA*_ΔSLC5A6 cells and BirA* cells was negligible. These data indicate that the cellular penetration of the Bio-2 compound does not rely on the hSMVT transporter.
These findings suggest that biotin within the Bio-1 molecule is crucial for transporting related fragments via hSMVT. At the same time, p-aminophenylalanine coupled with biotin does not affect transport via hSMVT, but it does interfere with other transport pathways. This property finds application in targeted drug delivery into cells [38, 39] in the form of a biotin conjugate. The hSMVT protein is believed to be essential for the transport of these drugs. However, despite extensive research, several questions regarding the mechanism of transport of these conjugates remain unanswered [30]. For instance, research [40] has shown that an unbound carboxyl group in the biotin compound is necessary for its effective movement through the SMVT. Nevertheless, in studies positing SMVT-mediated prodrug transport, biotin was attached to the conjugate only through the carboxyl group [30]. Our findings also indicate that the free carboxyl group of biotin is not required for the transport of biotin derivatives via hSMVT.
The newly developed test system enabled us to demonstrate that biotin and its methyl ester Bio-2 could be transported into cells without the involvement of hSMVT. We anticipate that our test system will be instrumental in developing biotin-containing prodrugs.
CONCLUSION
This work introduces a new system for monitoring the cellular transport of biotin and its derivatives. This system offers an alternative to intricate methodologies involving radioactively labeled biotin.
Using this novel test system, we determined that biotin and its methyl ester (Bio-2) can permeate cells independently of the hSMVT transporter, encoded by the SLC5A6 gene, implying the existence of other methods of transportation. However, as cellular biotin demands increase, hSMVT becomes critical for efficient delivery.
The cellular uptake of the biotin conjugate with p-aminophenylalanine (Bio-1) is mediated solely by hSMVT, rendering it incompatible with alternative delivery pathways. Nevertheless, this specificity enables hSMVT to be used to transport other compounds into cells when conjugated with biotin. The developed test system is an important tool for investigating the process of vitamin uptake by cells, potentially enabling the development of treatment strategies and the assessment of drug efficacy in patients with SLC5A6 gene mutations and other transporter deficiencies.
This study was supported by the grant No. 24-S04-13 from the Moscow State University Scientific Schools (Moscow, Russia): “Personalized Mice: Creation and Study of Accurate Mouse Models of Genetically Determined Diseases”, as well as by a state assignment from Lomonosov Moscow State University.
The authors would acknowledge the Moscow State University Development Program for granting access to the CelenaX and SeqStudio instruments, which facilitated the analysis of transfection, cell growth, and the sequencing of genetic constructs.
作者简介
A. Rudenko
Lomonosov Moscow State University
							编辑信件的主要联系方式.
							Email: RudenkoAY@my.msu.ru
				                					                																			                								
Belozersky Institute of Physico-Chemical Biology; Faculty of Fundamental Medicine
俄罗斯联邦, Moscow, 119192P. Zotova
Lomonosov Moscow State University
														Email: RudenkoAY@my.msu.ru
				                					                																			                								
Belozersky Institute of Physico-Chemical Biology; Department of Chemistry
俄罗斯联邦, Moscow, 119192O. Averina
Lomonosov Moscow State University
														Email: RudenkoAY@my.msu.ru
				                					                																			                								
Belozersky Institute of Physico-Chemical Biology
俄罗斯联邦, Moscow, 119192A. Priymak
Lomonosov Moscow State University
														Email: RudenkoAY@my.msu.ru
				                					                																			                								
Belozersky Institute of Physico-Chemical Biology; Институт физико-химической биологии имени А.Н. Белозерского
俄罗斯联邦, Moscow, 119192M. Rubtsova
Lomonosov Moscow State University; Shemyakin-Ovchinnikov Institute of Bioorganic Chemistry, Russian Academy of Sciences
														Email: RudenkoAY@my.msu.ru
				                					                																			                								
Department of Chemistry, Lomonosov Moscow State University
俄罗斯联邦, Moscow, 119192; Moscow, 117997S. Mariasina
Lomonosov Moscow State University; Research and Educational Resource Center “Pharmacy”, RUDN University
														Email: RudenkoAY@my.msu.ru
				                					                																			                								
Belozersky Institute of Physico-Chemical Biology; Faculty of Fundamental Medicine Lomonosov Moscow State University; Department of Chemistry, Lomonosov Moscow State University
俄罗斯联邦, Moscow, 119192; Moscow, 117198R. Ozhiganov
Lomonosov Moscow State University; Higher Chemical College RAS, Mendeleev University of Chemical Technology
														Email: RudenkoAY@my.msu.ru
				                					                																			                								
Belozersky Institute of Physico-Chemical Biology
俄罗斯联邦, Moscow, 119192; Moscow, 125190O. Dontsova
Lomonosov Moscow State University; Shemyakin-Ovchinnikov Institute of Bioorganic Chemistry, Russian Academy of Sciences; Center for Molecular and Cellular Biology, Skolkovo Institute of Science and Technology
														Email: RudenkoAY@my.msu.ru
				                					                																			                								
Belozersky Institute of Physico-Chemical Biology; Department of Chemistry, Lomonosov Moscow State Universit
俄罗斯联邦, Moscow, 119192; Moscow, 117997; Moscow, 121205P. Sergiev
Lomonosov Moscow State University; Center for Molecular and Cellular Biology, Skolkovo Institute of Science and Technology
														Email: RudenkoAY@my.msu.ru
				                					                																			                								
Belozersky Institute of Physico-Chemical Biology; Department of Chemistry, Lomonosov Moscow State University
俄罗斯联邦, Moscow, 119192; Moscow, 121205参考
- Yee SW, Wang J, Giacomini KM. Rare Diseases linked to mutations in vitamin transporters expressed in the human blood–brain Barrier. Clin Pharmacol Ther. 2024;116(6):1513–1520. doi: 10.1002/cpt.3433
 - Uchida Y, Ito K, Ohtsuki S, Kubo Y, et al. Major involvement of Na+‐dependent multivitamin transporter (SLC5A6/SMVT) in uptake of biotin and pantothenic acid by human brain capillary endothelial cells. J Neurochem. 2015;134(1):97–112. doi: 10.1111/jnc.13092
 - Subramanian VS, Marchant JS, Boulware MJ, et al. Membrane targeting and intracellular trafficking of the human sodium-dependent multivitamin transporter in polarized epithelial cells. Am J Physiol Cell Physiol. 2009;296(4):C663–C671. doi: 10.1152/ajpcell.00396.2008
 - Neophytou C, Pitsouli C. Biotin controls intestinal stem cell mitosis and host-microbiome interactions. Cell Rep. 2022;38(10):110505. doi: 10.1016/j.celrep.2022.110505
 - Said HM. Intestinal absorption of water-soluble vitamins in health and disease. Biochem J. 2011;437(3):357–372. doi: 10.1042/bj20110326
 - Ghosal A, Lambrecht N, Subramanya SB, Kapadia R, Said HM. Conditional knockout of the Slc5a6 gene in mouse intestine impairs biotin absorption. Am J Physiol Gastrointest Liver Physiol. 2013;304(1):G64-G71. doi: 10.1152/ajpgi.00379.2012
 - Zempleni J, Wijeratne SSK, Hassan YI. Biotin. BioFactors. 2009;35(1):36–46. doi: 10.1002/biof.8
 - Karachaliou CE, Livaniou E. Biotin homeostasis and human disorders: recent findings and perspectives. Int J Mol Sci. 2024;25(12):6578. doi: 10.3390/ijms25126578
 - Atamna H, Newberry J, Erlitzki R, et al. Biotin deficiency inhibits heme synthesis and impairs mitochondria in human lung fibroblasts. J Nutr. 2007;137(1):25–30. doi: 10.1093/jn/137.1.25
 - Leonardi R, Jackowski S. Biosynthesis of pantothenic acid and coenzyme A. EcoSal Plus. 2007;2(2). doi: 10.1128/ecosalplus.3.6.3.4
 - Sabui S, Kapadia R, Ghosal A, et al. Biotin and pantothenic acid oversupplementation to conditional SLC5A6 KO mice prevents the development of intestinal mucosal abnormalities and growth defects. Am J Physiol Cell Physiol. 2018;315(1):C73–C79. doi: 10.1152/ajpcell.00319.2017
 - Hauth I, Waterham H, Wanders RJ, et al. A mild case of SMVT deficiency illustrating the importance of treatment response in variant classification. Cold Spring Harb Mol Case Stud. 2022;8(2):a006185. doi: 10.1101/mcs.a006185
 - Byrne AB, Arts P, Polyak SW, et al. Identification and targeted management of a neurodegenerative disorder caused by biallelic mutations in SLC5A6. NPJ Genom Med. 2019;4(1):28. doi: 10.1038/s41525-019-0103-x
 - Schwantje M, de Sain‐van der Velden M, Jans J, et al. Genetic defect of the sodium‐dependent multivitamin transporter: A treatable disease, mimicking biotinidase deficiency. JIMD Rep. 2019;48(1):11–14. doi: 10.1002/jmd2.12040
 - Subramanian VS, Constantinescu AR, Benke PJ, et al. Mutations in SLC5A6 associated with brain, immune, bone, and intestinal dysfunction in a young child. Hum Genet. 2017;136(2):253–261. doi: 10.1007/s00439-016-1751-x
 - Holling T, Nampoothiri S, Tarhan B, et al. Novel biallelic variants expand the SLC5A6-related phenotypic spectrum. Eur J Hum Gen. 2022;30(4):439–449. doi: 10.1038/s41431-021-01033-2
 - Montomoli M, Vetro A, Tubili F, et al. A novel SLC5A6 homozygous variant in a family with multivitamin-dependent neurometabolic disorder: Phenotype expansion and long-term follow-up. Eur J Med Genet. 2023;66(8):104808. doi: 10.1016/j.ejmg.2023.104808
 - Van Vyve F‐X, Mercier N, Papadopoulos J, et al. A new case of sodium‐dependent multivitamin transporter defect occurring as a life‐threatening condition responsive to early vitamin supplementation and literature review. Mol Genet Genomic Med. 2024;12(2). doi: 10.1002/mgg3.2388
 - Biotin. Reactions Weekly. 2024;2020(1):104. doi: 10.1007/s40278-024-64469-9
 - Arooran T, Fernando PMS, Dayasiri K, et al. Child with holocarboxylase synthetase deficiency. Clin Chim Acta. 2024;558:119086. doi: 10.1016/j.cca.2024.119086
 - Livaniou E, Costopoulou D, Vassiliadou I, et al. Analytical techniques for determining biotin. J Chromatogr A. 2000;881(1–2):331–343. doi: 10.1016/S0021-9673(00)00118-7
 - Mariasina SS, Chang CF, Navalayeu TL, et al. Williams-Beuren syndrome related methyltransferase WBSCR27: From structure to possible function. Front Mol Biosci. 2022;9. doi: 10.3389/fmolb.2022.865743
 - Kowarz E, Löscher D, Marschalek R. Optimized sleeping beauty transposons rapidly generate stable transgenic cell lines. Biotechnol J. 2015;10(4):647–653. doi: 10.1002/biot.201400821
 - Mátés L, Chuah MKL, Belay E, et al. Molecular evolution of a novel hyperactive Sleeping Beauty transposase enables robust stable gene transfer in vertebrates. Nat Genet. 2009;41(6):753–761. doi: 10.1038/ng.343
 - Ran FA, Hsu PD, Wright J, et al. Genome engineering using the CRISPR-Cas9 system. Nat Protoc. 2013;8(11):2281–2308. doi: 10.1038/nprot.2013.143
 - Karaj E, Sindi SH, Kuganesan N, et al.Tunable cysteine-targeting electrophilic heteroaromatic warheads induce ferroptosis. J Med Chem. 2022;65(17):11788–11817. doi: 10.1021/acs.jmedchem.2c00909
 - Cui Y, Ma L. Sequential use of milk and bovine serum albumin for streptavidin-probed western blot. Biotechniques. 2018;65(3):125–126. doi: 10.2144/btn-2018-0006
 - Daberkow RL, White BR, Cederberg RA, et al. Monocarboxylate transporter 1 mediates biotin uptake in human peripheral blood mononuclear cells. J Nutr. 2003;133(9):2703–2706. doi: 10.1093/jn/133.9.2703
 - Zempleni J, Hassan YI, Wijeratne SS. Biotin and biotinidase deficiency. Expert Rev Endocrinol Metab. 2008;3(6):715–724. doi: 10.1586/17446651.3.6.715
 - Tripathi R, Guglani A, Ghorpade R, et al. Biotin conjugates in targeted drug delivery: Is it mediated by a biotin transporter, a yet to be identified receptor, or (an)other unknown mechanism(s)? J Enzyme Inhib Med Chem. 2023;38(1):2276663. doi: 10.1080/14756366.2023.2276663
 - Roux KJ, Kim DI, Burke B, et al. BioID: A screen for protein‐protein interactions. Curr Protoc Protein Sci. 2018;91:19.23.1–19.23.15. doi: 10.1002/cpps.51
 - Choi-Rhee E, Schulman H, Cronan JE. Promiscuous protein biotinylation by Escherichia coli biotin protein ligase. Protein Science. 2004;13(11):3043–3050. doi: 10.1110/ps.04911804
 - Peura L, Malmioja K, Laine K, et al. Large amino acid transporter 1 (LAT1) prodrugs of valproic acid: new prodrug design ideas for central nervous system delivery. Mol Pharm. 2011;8(5):1857–1866. doi: 10.1021/mp2001878
 - Puris E, Gynther M, Huttunen J, et al. L-type amino acid transporter 1 utilizing prodrugs: How to achieve effective brain delivery and low systemic exposure of drugs. J Control Release. 2017;261:93–104. doi: 10.1016/j.jconrel.2017.06.023
 - Huttunen J, Peltokangas S, Gynther M, et al. l-Type amino acid transporter 1 (LAT1/Lat1)-utilizing prodrugs can improve the delivery of drugs into neurons, Astrocytes and microglia. Sci Rep. 2019;9(1):12860. doi: 10.1038/s41598-019-49009-z
 - Szabó E, Szatmári I, Szőnyi L, et al. Quantitative analytical method for the determination of biotinidase activity in dried blood spot samples. Anal Chem. 2015;87(20):10573–10578. doi: 10.1021/acs.analchem.5b02996
 - Kobza KA, Chaiseeda K, Sarath G, et al. Biotinyl-methyl 4-(amidomethyl)benzoate is a competitive inhibitor of human biotinidase. J Nutr Biochem. 2008;19(12):826–832. doi: 10.1016/j.jnutbio.2007.11.002
 - Maiti S, Paira P. Biotin conjugated organic molecules and proteins for cancer therapy: A review. Eur J Med Chem. 2018;145:206–223. doi: 10.1016/j.ejmech.2018.01.001
 - Park S, Kim E, Kim WY, et al. Biotin-guided anticancer drug delivery with acidity-triggered drug release. Chem Commun. 2015;51(45):9343–9345. doi: 10.1039/C5CC03003J
 - Said HM. Cell and molecular aspects of human intestinal biotin absorption. J Nutr. 2009;139(1):158–162. doi: 10.3945/jn.108.092023
 
补充文件
				
			
						
						
					
						
						
				









