Орто- и мета-монохлорированные бифенилы угнетают гуморальный иммунитет и оказывают токсическое воздействие на клетки печени мышей
- Авторы: Егорова Д.О.1, Гейн С.В.1, Королев Н.А.1, Логинова Н.П.2
-
Учреждения:
- Федеральное государственное бюджетное учреждение науки Пермский федеральный исследовательский центр Уральского отделения Российской академии наук
- Федеральное государственное бюджетное образовательное учреждение высшего образования «Пермский государственный медицинский университет имени академика Е.А. Вагнера» Министерства здравоохранения Российской Федерации
- Выпуск: Том 17, № 3 (2025)
- Страницы: 40-43
- Раздел: Экспериментальные статьи
- URL: https://journals.rcsi.science/2075-8251/article/view/348462
- DOI: https://doi.org/10.32607/actanaturae.27596
- ID: 348462
Цитировать
Аннотация
Широкомасштабное загрязнение окружающей среды полихлорированными бифенилами ведет к серьезным нарушениям здоровья человека и животных. Основное внимание уделяется изучению негативных эффектов, вызванных проникновением в организм человека средне- и высокохлорированных бифенилов. Имеются единичные сведения о влиянии низкохлорированных бифенилов, содержащих 1–2 заместителя, на функции органов и систем млекопитающих. Известно, что в природных условиях полихлорбифенилы могут подвергаться бактериальной деструкции, продукты которой относятся к группе вторичных поллютантов и рассматриваются как опасные для природы агенты. Ввиду малой изученности влияния вышеупомянутых соединений на здоровье человека, вопрос о воздействии монозамещенных хлорбифенилов, а также продуктов их биотрансформации на иммунитет и состояние внутренних органов млекопитающих остается открытым. В представленной работе впервые показаны эффекты воздействия орто- и мета-замещенных монохлорированных бифенилов на функции клеток иммунной системы и морфофункциональное состояние печени млекопитающих in vivo. Установлено, что ПХБ 1 и ПХБ 2 угнетают гуморальный иммунитет и вызывают продуктивную воспалительную реакцию, распространенную белковую дистрофию с фокусами некроза в печени. Продукты аэробной бактериальной трансформации ПХБ 1 и ПХБ 2 не оказывают негативного влияния на иммунную систему млекопитающих, но обладают токсичностью в отношении гепатоцитов, хотя и в меньшей степени, чем исходные хлорбифенилы.
Ключевые слова
Полный текст
СПИСОК СОКРАЩЕНИЙ
ПХБ – полихлорированные бифенилы; ПХБ 1 – орто-монохлорбифенил; ПХБ 2 – мета-монохлорбифенил; АОК – антителообразующие клетки; ГХ-МС – газовая хроматография с масс-спектрометрическим анализом; ВЭЖХ – высокоэффективная жидкостная хроматография.
ВВЕДЕНИЕ
Одной из актуальных проблем современности является воздействие на организм человека и животных полихлорированных бифенилов (ПХБ), а также их производных, образующихся в окружающей среде под действием природных факторов. Согласно Стокгольмской конвенции, ПХБ запрещены к производству и применению, однако они сохраняются в объектах окружающей среды и несут прямую угрозу здоровью населения [1]. Группа ПХБ состоит из 209 соединений, отличающихся количеством заместителей и их положением в молекуле. Поступление ПХБ в организм человека происходит в результате их аккумуляции в пищевых цепях [2]. ПХБ вызывают нарушения в развитии плода животных, заболевания кожи и нервной системы, рассматриваются как одна из причин возникновения диабета, а также провоцируют развитие опухолевых заболеваний и генетических нарушений [3, 4]. На примере отдельных средне- и высокохлорированных конгенеров ПХБ, содержащих более трех заместителей в молекуле, а также коммерческих смесей, показано их негативное влияние на иммунитет [5–7]. Однако вопрос о значимости низкохлорированных бифенилов для здоровья животных и человека в настоящий момент остается открытым.
Основным направлением для предотвращения перемещения ПХБ по пищевым цепям является их биодеструкция в природных средах, обусловленная деятельностью ферментативных систем аэробных бактерий. При этом образуются гидроксилированные производные хлорбифенилов и хлорбензойные кислоты, которые также могут вызывать негативные эффекты при поступлении в организм млекопитающих [8].
В данной работе впервые показаны эффекты орто- и мета-замещенных монохлорированных бифенилов и продуктов их бактериальной деструкции на показатели адаптивного иммунитета и морфофункциональное состояние печени мышей in vivo.
ЭКСПЕРИМЕНТАЛЬНАЯ ЧАСТЬ
В работе использовали белых мышей породы Swiss, массой 18–23 г обоих полов. Животных содержали в условиях лабораторного вивария с 12-часовым циклом освещения, двухразовым питанием натуральным кормом в количестве, соответствующем суточным нормам, при неограниченном доступе к воде. Эксперименты были проведены в соответствии с рекомендациями и этическими нормами, указанными в «Европейской конвенции по защите позвоночных животных, используемых для экспериментальных и других научных целей». Получено разрешение локального этического комитета «ИЭГМ УрО РАН» IRB00010009 (Пермь, Россия) (протокол № 29 от 08.10.2024 г.).
орто-Монохлорбифенил (ПХБ 1) и мета-монохлорбифенил (ПХБ 2) вводили мышам перорально, в кукурузном масле, последовательно, через день, в дозе 100 мг/кг. Выбор дозы основан на опубликованных данных [9]. Продукты биодеструкции ПХБ 1 и ПХБ 2 вводили мышам перорально в виде водного раствора, через день, в дозе, соответствующей 100 мг/кг исходного субстрата. Контрольным группам вводили кукурузное масло и минеральную среду культивирования, освобожденную от бактериальных клеток, каждая группа содержала 7–11 особей.
Продолжительность эксперимента составила 25 сут. Гуморальный иммунитет индуцировали на 19 день эксперимента введением эритроцитов барана (108 клеток в 200 мкл физиологического раствора) в брюшную полость мышей. Реакцию гиперчувствительности замедленного типа (ГЗТ) индуцировали на 24 день эксперимента введением разрешающей дозы эритроцитов барана под кожу левой стопы и аналогичный объем 0.9% раствора NaCl вводили под кожу правой стопы. На 25 день животных выводили из эксперимента путем декапитации под эфирным наркозом. Гуморальный иммунный ответ оценивали по количеству антителообразующих клеток методом локального гемолиза в геле агарозы по методу Ерне. Выраженность реакции ГЗТ оценивали, измеряя отек лапы по индексу массы, который рассчитывали по формуле: , где Ро – показатели массы опытной конечности, Рк – показатели массы контрольной конечности.
Ткани печени фиксировали в 10 % нейтральном формалине на фосфатном буфере (рН 7.2), с дальнейшей заливкой в парафин Histomix. Гистологические препараты готовили стандартным методом. Для оценки общей морфологической картины срезы окрашивали гематоксилином и эозином. Оценку и фотосъемку проводили на микроскопе Olimpus (Япония) с программным пакетом Imeg pro+ (free version).
Продукты биодеструкции ПХБ 1 и ПХБ 2 получали в экспериментах с отмытыми клетками аэробного штамма Rhodococcus sp. FG1 (ВКМ Ас-3030) согласно [10]. Культивирование осуществляли в течение 24 ч. Количественный анализ хлорбифенилов и их гидроксипроизводных проводили в условиях ГХ-МС [10]. Содержание веществ в каждом исследуемом образце рассчитывали методом внутренней нормализации. Качественный анализ производили по базе NIST17. Наличие бензойной и хлорбензойных кислот определяли методом ВЭЖХ в культуральной среде, освобожденной от бактериальных клеток центрифугированием (9660 g, 3 мин, центрифуга miniSpin (Eppendorf, Германия)), согласно [10].
Статистический анализ результатов проводили с использованием непарного t-критерия Стьюдента в программном пакете Microsoft Excel. Данные в таблицах представлены в виде среднего и его стандартной ошибки (M±m).
РЕЗУЛЬТАТЫ И ОБСУЖДЕНИЕ
Как описано ранее, средне- и высокохлорированные бифенилы оказывают депрессивное воздействие на гуморальный и клеточно-опосредованный иммунитет позвоночных [5–7]. Нами установлено, что ПХБ 1 и ПХБ 2 в эксперименте in vivo статистически значимо снижали количество АОК в селезенке как по относительным, так и абсолютным показателям, на выраженность реакции ГЗТ исследуемые соединения не влияли (табл. 1).
Таблица 1. Влияние орто-монохлорбифенила (ПХБ 1) и мета-монохлорбифенила (ПХБ 2) на количество АОК в селезенке и выраженность реакции ГЗТ
Вещество | lgАОК/млн | lgАОК/орг | Индекс реакции ГЗТ, % |
Кукурузное масло (Км) | 2.25 ± 0.11 | 4.66 ± 0.09 | 20.06 ± 1.78 |
ПХБ 1 | 1.70 ± 0.19* | 4.11 ± 0.20* | 21.73 ± 2.37 |
ПХБ 2 | 1.69 ± 0.22* | 4.07 ± 0.22* | 25.59 ± 3.62 |
Примечание: *р ≤ 0.05 по сравнению с контролем.
Таким образом, ПХБ 1 и ПХБ 2 угнетают гуморальный иммунитет, но не влияют на показатели клеточно-опосредованного иммунитета.
Установлено, что продукты микробной трансформации ПХБ 1 и ПХБ 2 не оказывали статистически значимого влияния на количество антителообразующих клеток в селезенке и выраженность реакции ГЗТ по сравнению с группой животных, получавших в качестве контроля минеральную среду (Кс), в которой культивировали микроорганизмы, использованные для деструкции (табл. 2).
Таблица 2. Влияние продуктов биодеструкции орто-монохлорбифенила (ПХБ 1) и мета-монохлорбифенила (ПХБ 2) на количество АОК в селезенке и выраженность реакции ГЗТ
Вещество | lgАОК/млн | lgАОК/орг | Индекс реакции ГЗТ, % |
Минеральная среда (Кс) | 2.04 ± 0.15 | 4.29 ± 0.19 | 30.97 ± 4.56 |
Продукты деструкции ПХБ 1 | 2.00 ± 0.07 | 4.48 ± 0.11 | 24.63 ± 5.38 |
Продукты деструкции ПХБ 2 | 2.02 ± 0.17 | 4.43 ± 0.19 | 19.59 ± 2.68 |
На основании результатов ГХ-МС, ВЭЖХ, баз данных NIST17 и KEGG (http://kegg.jp) установлено, что штамм Rhodococcus sp. FG1 осуществляет разложение ПХБ 1 по классическому аэробному окислительному пути с формированием в качестве основного соединения 2-хлорбензойной кислоты, а ПХБ 2 – с образованием двух конгенеров гидроксилированных производных хлорбифенила, а также бензойной и 3-хлорбензойной кислот (рис. 1). Однако, в отличие от метаболитов 2,4,4’-трихлорбифенила [8], они не оказывали негативное влияние на иммунную систему мышей.
Рис. 1. Схема окисления ПХБ 2 ферментативной системой штамма Rhodococcus sp. FG1 и основные продукты деструкции. А – метаболический путь начинается с окисления 2 и 3 атомов углерода в незамещенном кольце молекулы бифенила. Б – метаболический путь начинается с окисления 2 и 3 атомов углерода в замещенном кольце молекулы бифенила
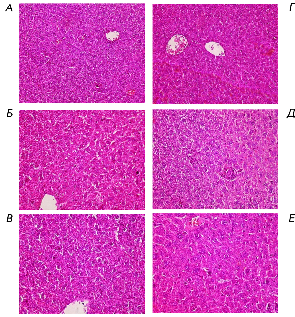
Гистологическое исследование показало, что печень животных в группах контроля имела нормальное строение, все структуры имели признаки функциональной активности (рис. 2А,Г). Пероральное введение ПХБ 1 и ПХБ 2 привело (в сравнении с группой контроля) к значительному увеличению числа двуядерных гепатоцитов, а также клеток с ядрами разной величины, мелкие фокусы некроза гепатоцитов и выраженную продуктивную воспалительную реакцию с признаками белковой дистрофии, имеющей распространенный характер (рис. 2Б,В). Согласно [11], выраженность реакции оценена на три балла. Согласно [12], внутрибрюшинное введение низкохлорированных бифенилов в тканях печени приводит к обширным клеточным изменениям, при этом не выявлено зависимости выраженности эффекта от введенного конгенера ПХБ. В печени животных, получавших продукты бактериальной деструкции ПХБ 1 и ПХБ 2, сохранялись признаки умеренной белковой дистрофии гепатоцитов, умеренный анизокариоз, увеличение числа двуядерных гепатоцитов в центральных областях печеночных долек, умеренно продуктивная воспалительная реакция (рис. 2Д,Е). Выраженность реакции согласно [11], оценена на 1.5 балла. Таким образом, можно предположить, что гидроксипроизводные ПХБ 1 и ПХБ 2 и (хлор)бензойные кислоты менее токсичны для гепатоцитов, нежели исходные монохлорбифенилы.
Рис. 2. Структура печени мышей в контрольных группах (А – кукурузное масло, Г – среда культивирования бактерий), под воздействием ПХБ 1 (Б), ПХБ 2 (В), продуктов биодеструкции ПХБ 1 (Д) и продуктов биодеструкции ПХБ 2 (Е) штаммом Rhodococcus sp. FG1. Ув. 400. Окраска: гематоксилин-эозином
ЗАКЛЮЧЕНИЕ
В результате проведенного исследования впервые установлено, что орто- и мета-монохлорированные бифенилы угнетают гуморальный иммунитет, вызывают в печени продуктивную воспалительную реакцию, сопровождающуюся признаками клеточной дистрофии с фокусами некроза. Продукты бактериальной деструкции рассматриваемых хлорбифенилов не обладают иммуносупрессивным эффектом, однако оказывают токсическое воздействие на клетки печени, хотя и менее выраженное.
Работа поддержана грантом РНФ (№ 24-24-00498).
Об авторах
Д. О. Егорова
Федеральное государственное бюджетное учреждение науки Пермский федеральный исследовательский центр Уральского отделения Российской академии наук
Автор, ответственный за переписку.
Email: daryao@rambler.ru
Россия, Пермь, 614990
С. В. Гейн
Федеральное государственное бюджетное учреждение науки Пермский федеральный исследовательский центр Уральского отделения Российской академии наук
Email: daryao@rambler.ru
Россия, Пермь, 614990
Н. А. Королев
Федеральное государственное бюджетное учреждение науки Пермский федеральный исследовательский центр Уральского отделения Российской академии наук
Email: daryao@rambler.ru
Россия, Пермь, 614990
Н. П. Логинова
Федеральное государственное бюджетное образовательное учреждение высшего образования «Пермский государственный медицинский университет имени академика Е.А. Вагнера» Министерства здравоохранения Российской Федерации
Email: daryao@rambler.ru
Россия, Пермь, 614990
Список литературы
- Zhu M., Yuan Y., Yin H., Guo Z., Wei X., Qi X., Liu H., Dang Z. // Sci. Total. Environ. 2022. V. 805. Article 150270. doi: 10.1016/j.scitotenv.2021.150270.
- Frossard V., Vagnon C., Cottin N., Pin M., Santoul F., Naffrechoux E. // Sci. Total. Environ. 2023. V. 902. Article 166037. https://doi.org/10.1016/j.scitotenv.2023.166037.
- Lan T., Liu B., Bao W., Thorne P.S. // Sci. Repts. 2023. V. 13. №. 1. Article 18322. https://doi.org/10.1038/s41598-023-45301-1.
- Miletić M., Kmetič I., Kovač V., Šimić B., Petković T., Štrac D.Š., Pleadin J., Murati T. // Env. Sci. Pollut. Res. 2023. V. 30. № 31. P. 77318–77327. https://doi.org/10.1007/s11356-023-27812-6.
- Gao Y., Huang W., Jiang N., Fang J.K.H., Hu M., Shang Y., Wang Y. // Marine Environ. Res. 2023. V. 192. Article 106214. https://doi.org/10.1016/j.marenvres.2023.106214.
- Duffy J.E., Carlson E., Li Y., Prophete C., Zelikoff J.T. // Marine Environ. Res. 2002. V. 54. № 3–5. P. 559–563. https://doi.org/10.1016/s0141-1136(02)00176-9.
- Hammond J.A., Hall A.J., Dyrynda E.A. // Aquatic Toxicol. 2005. V. 74. № 2. P. 126–138. https://doi.org/10.1016/j.aquatox.2005.05.006.
- Rengelshausen J., Randerath I., Schettgen T., Esser A., Kaifie A., Lang J., Kraus T., Ziegler P. // Arch. Toxicol. 2023. V. 97. № 10. P. 2609–2623. doi: 10.1007/s00204-023-03578-1.
- Руководство по проведению доклинических исследований лекарственных средств. Часть первая. М.: Гриф и К, 2012. 944 с.
- Egorova D.O., Gorbunova T.I., Pervova M.G., Kir’yanova T.D., Demakov V.A., Saloutin V.I., Chupakhin O.N. // J. Haz. Mat. 2020. V. 400. Article 123328. https://doi.org/10.1016/j.jhazmat.2020.123328
- Сенькова А.В., Савин И.А., Черноповская Е.Л., Давыдова А.С., Мещанинова М.И., Бишани А., Воробьева М.А., Зенкова М.А. // Acta Nature. 2024. Т. 16. № 2 (61). С. 61–71. https://doi.org/10.32607/actanaturae.27393
- Ludewig G., Robertson L.W. // Cancer Lett. 2013. V. 334. P. 46–55. https://doi.org/10.1016/j.canlet.2012.11.041.
Дополнительные файлы



