Особенности экспериментальной работы с приматами вида Callithrix jacchus в ходе доклинических испытаний противовирусных вакцин
- Авторы: Гордейчук И.В.1,2, Ганчарова О.С.1,3, Гуляев С.А.1, Гуляева Т.В.1, Житкевич А.С.1, Авдошина Д.В.1, Мороз А.В.1, Лунин А.С.1, Соцкова С.Е.1, Кордубан Е.А.1, Тухватулин А.И.4, Баюрова Е.О.1, Ишмухаметов А.А.1,2
-
Учреждения:
- Федеральный научный центр исследований и разработки иммунобиологических препаратов им. М.П. Чумакова РАН (Институт полиомиелита)
- Сеченовский университет
- Московский государственный университет имени М.В. Ломоносова
- Национальный исследовательский центр эпидемиологии и микробиологии имени почетного академика Н.Ф. Гамалеи Министерства здравоохранения Российской Федерации
- Выпуск: Том 16, № 2 (2024)
- Страницы: 30-39
- Раздел: Экспериментальные статьи
- URL: https://journals.rcsi.science/2075-8251/article/view/263371
- DOI: https://doi.org/10.32607/actanaturae.27372
- ID: 263371
Цитировать
Аннотация
Callithrix jacchus – вид приматов Нового Света, представляющий интерес для доклинических испытаний иммунобиологических препаратов. В ходе данного исследования разработаны подходы к длительному лабораторному содержанию и разведению C. jacchus, установлены референсные значения основных клинических и биохимических показателей крови, оцениваемых в ходе доклинических испытаний иммунобиологических препаратов, а также проведено гистологическое описание структуры лимфоидных органов в норме и в ходе формирования поствакцинального иммунного ответа. Показано, что C. jacchus, выращенные в лабораторных условиях, исключающих фоновую инфекционную патологию, являются адекватной моделью, позволяющей с высоким уровнем достоверности характеризовать профиль безопасности и иммуногенности противовирусных вакцин в ходе доклинических испытаний.
Полный текст
ВВЕДЕНИЕ
Приматы являются наиболее релевантной лабораторной моделью для большинства вирусных заболеваний человека, позволяющей воспроизводить все этапы развития инфекции, включая путь заражения, места репликации вируса, особенности патогенеза и формирование всех звеньев иммунного ответа. В настоящее время завершающие этапы доклинических испытаний эффективности и безопасности противовирусных вакцин в основном проводятся на макаках-резусах (Macaca mulatta), яванских макаках (M. fascicularis) и зеленых мартышках (Chlorocebus sabaeus), однако длительное содержание большого количества крупных приматов в экспериментальных лабораториях связано с этическими ограничениями и крайне высокими затратами, а приматы, содержащиеся в открытых питомниках, перед использованием в лаборатории требуют длительной акклиматизации и обследования, исключающего наличие сопутствующей патологии. Кроме того, у макак наблюдается значительно более высокая, чем у людей, вариабельность генов главного комплекса гистосовместимости (MHC) класса I, что в ряде случаев требует генотипирования животных перед включением в эксперимент или значительного увеличения численности экспериментальных групп, дополнительно повышая стоимость исследований [1].
Обыкновенные игрунки Callithrix jacchus (C. jacchus) используются во многих областях биомедицинских исследований, включая репродуктивную биологию, когнитивные исследования, изучение аутоиммунных заболеваний, инфекционных болезней, онкологию и токсикологию [2]. Клетки C. jacchus также используются в эмбриологии и регенеративной медицине [3].
C. jacchus как биологический вид обладает рядом характеристик, обуславливающих их применимость в качестве лабораторной модели. К таким характеристикам относятся: (1) филогенетическая близость к человеку; (2) небольшая масса тела (300–500 г); (3) относительная простота содержания и разведения в лабораторных условиях [4]. Важной особенностью C. jacchus является минимальное разнообразие локусов МНС как класса I, так и II [5, 6], что способствует получению высоко воспроизводимых результатов.
C. jacchus восприимчивы ко многим вирусным, протозойным и бактериальным патогенам человека [7], включая вирус желтой лихорадки, вирус Эпштейна–Барр и другие герпесвирусы, вирус гепатита А, вирус Хунин, вирус кори, вирус гепатита Е и др. При этом работа с патогенами при использовании C. jacchus технически значительно менее сложна, и, соответственно, представляет меньшую опасность для экспериментатора, чем работа с крупными приматами. Кроме того, геном C. jacchus полностью расшифрован, что позволяет использовать этих приматов в in vivo испытаниях новых генотерапевтических препаратов, а также получать трансгенных животных [8, 9].
В сочетании с разработанными в последние годы методиками оценки гуморального и Т-клеточного иммунного ответа [10] описанные выше факторы делают вид C. jacchus оптимальной моделью для оценки безопасности, иммуногенности и эффективности противовирусных вакцин. Тем не менее, более широкое экспериментальное применение C. jacchus требует решения ряда задач, включая разработку и стандартизацию условий их длительного лабораторного содержания, а также функциональную и морфологическую характеристику органов иммунной системы.
В ходе данной работы оптимизированы условия длительного лабораторного содержания животных, выработаны подходы к их разведению, установлены референсные значения основных клинических и биохимических показателей крови, оцениваемых при проведении доклинических испытаний противовирусных вакцин, а также описаны гистологические характеристики лимфоидных органов C. jacchus в норме и при формировании поствакцинального иммунного ответа.
ЭКСПЕРИМЕНТАЛЬНАЯ ЧАСТЬ
Этические требования
Протоколы всех описанных экспериментов с участием приматов одобрены Этическим комитетом ФНЦИРИП им. М.П. Чумакова РАН (Институт полиомиелита) (протоколы № 110520-1 от 11.05.2020 г., № 140720-1 от 14.07.2020 г. и № 141021-2 от 14.10.2021 г.).
Содержание и разведение приматов C. jacchus в лабораторных условиях
Животных содержали в виварии Лаборатории моделирования иммунобиологических процессов с экспериментальной клиникой игрунковых обезьян ФНЦИРИП им. М.П. Чумакова РАН (Институт полиомиелита) (далее – Лаборатории) в соответствии с СП 3.3686-21 «Санитарно-эпидемиологические требования по профилактике инфекционных болезней», ГОСТ 33218-2014 «Руководство по содержанию и уходу за лабораторными животными» и Директивой Европейского парламента и Совета Европейского cоюза 2010/63/ЕС от 22.09.2010 года по охране животных, используемых в научных целях.
Помещения Лаборатории включают зону разведения и экспериментальную зону с разделенными потоками перемещения персонала и материалов. Система автоматической вентиляции и кондиционирования круглогодично обеспечивает температуру воздуха в интервале 24–30˚С, влажность не ниже 50% и содержит два независимых контура для чистой и грязной зоны.
Комнаты зоны разведения оснащены окнами для естественной инсоляции, а также лампами дневного света с круглогодичным ежедневным включением с 7:00 по 17:00.
В зоне разведения C. jacchus содержали семейными группами в вольерах размером 810 × 470 × 1760 мм (Д×Г×В). Семейные группы C. jacchus включали пару взрослых животных с двумя поколениями их потомства. Общая численность животных на один вольер в зоне разведения могла достигать шести. В возрасте 10–13 месяцев взрослых особей отсаживали в отдельные вольеры для неполовозрелых животных. Новые семейные пары составляли из приматов в возрасте не менее 18 месяцев с последующим наблюдением с целью оценки индивидуальной совместимости новой пары.
Энергетическая ценность рациона, используемого в Лаборатории, составляла 140 ккал в сутки на взрослое животное массой 350–450 г, при этом 18–24% составлял белок, получаемый из отварного куриного мяса, яиц, гречневой каши, овсяной каши и творожной запеканки. Рацион ежедневно дополнялся 360 МЕ витамина D3, глюконатом кальция и витаминным комплексом.
Разборные автоклавируемые капельные поилки объемом 100 мл с питьевой водой, соответствующей ГОСТ Р 51232-98, закреплялись на стенках верхнего уровня каждого вольера.
Очистка поддонов вольеров от остатков пищи производилась ежедневно до утренней раздачи кормов и после полудня по мере загрязнения. Биологические отходы, получаемые в экспериментальной зоне, обеззараживали путем автоклавирования.
Условия проведения экспериментальных манипуляций
Все манипуляции с приматами проводились сертифицированными ветеринарными врачами либо специалистом, имеющим сертификат Федерации европейских научных ассоциаций по лабораторным животным (FELASA), прошедшим курс обучения работе с приматами.
Экспериментальные процедуры проводились в боксе микробиологической безопасности 2 класса типа A в исполнении vis-a-vis, установленном в операционной, оборудованной для проведения всех видов процедур с C. jacchus – от взятия биоматериала и введения экспериментальных препаратов до хирургических вмешательств.
Ингаляционную общую анестезию проводили с использованием прибора 410AP Anesthesia Unit (Univentor, Мальта) путем подачи животному через полнолицевую маску потока воздушно-газовой смеси, содержащей 4% изофлурана для индукции и 2–2,5% для поддержания наркоза.
Для идентификации животных использовали подкожные радиочипы стандарта ISO 11784 (LifeChip, Destron Fearing, США) в капсулах из биосовместимого стекла с антимиграционным покрытием. Микрочип является энергетически пассивным устройством без источника питания, что обеспечивает возможность его использования в течение всей жизни животного.
Массу тела приматов определяли с помощью электронных весов Pioneer PA4102 (Ohaus, США).
Все экспериментальные манипуляции с приматами проводились в операционной при исключении визуального и аудиального контакта животного, находившегося в эксперименте, с другими животными.
Методики оценки клинических и биохимических параметров крови
Взятие образцов цельной крови для клинического и биохимического анализа проводилось путем пункции бедренной вены с использованием трехкомпонентных шприцев объемом 2.5 мл с иглами 27G. Максимальный единовременно забираемый объем крови составлял 3 мл, что не превышает 8% циркулирующего объема. Для клинического анализа крови в шприцы предварительно набирался раствор Na-EDТА (финальная концентрация – 5 ммоль Na-EDТА на литр крови). Для биохимического анализа кровь собирали в сухие стерильные пробирки, перемешивали и выдерживали в течение 45 мин при комнатной температуре, после чего сыворотка отделялась центрифугированием (5810R, Eppendorf, Германия) при 600 g в течение 10 мин.
Клинический анализ крови с подсчетом количества эритроцитов и лейкоцитов, а также с определением лейкоцитарной формулы с окрашиванием по Романовскому проводили с использованием камеры Горяева.
Биохимический анализ сывороток крови животных проводили с использованием автоматизированного биохимического анализатора Cobas с 111 (Roche, Швейцария) с соответствующими наборами реактивов. Значения ниже минимального уровня детекции прибора учитывали как 0.
Гистологическое исследование поствакцинальных изменений в лимфоидных органах
Для исследования поствакцинальных изменений в лимфоидных органах C. jacchus использовали семь животных (три самца и четыре самки) в возрасте 2–5 лет, рожденных в Лаборатории и участвовавших в доклинических испытаниях инактивированной цельновирионной очищенной сорбированной вакцины КовиВак против COVID-19 [11].
В день первой иммунизации, а также через 14 суток в бедренные мышцы правой и левой нижних конечностей животным из экспериментальной группы вводили по 250 мкл препарата вакцины в виде суспензии для внутримышечного введения (суммарный введенный объем – 500 мкл на животное). Животным контрольной группы в те же дни вводили препарат плацебо, содержащий вакцинный адъювант (гидроокись алюминия), тем же путем, в том же объеме.
Эвтаназию проводили путем передозировки наркоза (внутримышечное введение трехкратной дозы смеси препаратов Ксила (De Adelaar, Нидерланды) и Золетил (Virbac, Франция)) под изофлурановой анестезией.
Лимфоидные органы (тимус, селезенка, мезентериальный лимфатический узел и паховый лимфатический узел, региональный к месту введения препарата) для гистологического исследования были зафиксированы сразу после некропсии путем погружения в 10% забуференный формалин («Биовитрум», Россия).
Образцы органов подвергали автоматизированной гистологической проводке, включавшей последовательную дегидратацию в повышающихся концентрациях этанола и в ксилоле, заливку в парафиновую среду Histomix («Биовитрум») на заливочной станции Leica EG1150Н (Leica, Германия) и микротомию полученных блоков с образцами на ротационном микротоме Leica RM 2245 (Leica) с получением парафиновых срезов толщиной 3 мкм. Срезы лимфоидных органов монтировали на предметных стеклах, высушивали, депарафинировали, гидратировали, окрашивали квасцовым гематоксилином и водно-спиртовым эозином («Биовитрум») и заключали под покровные стекла в среду BioMount (Bio-Optica, Италия) для получения постоянных гистологических препаратов. С одного блока получали 1–4 репрезентативных среза надлежащего качества.
Готовые срезы анализировали под световым микроскопом Zeiss Axio Observer A1 (Carl Zeiss, Германия). Репрезентативные микрофотографии получали с помощью камеры высокого разрешения Digital Microscopy Camera AxioCam 305 в программном обеспечении Zeiss Zen 2 lite blue edition (Carl Zeiss). Обработку микрофотографий и составление панелей проводили с использованием программного обеспечения AxioVision v.3.0 (Carl Zeiss) и GIMP (S. Kimball, P. Mattis, США).
Статистический анализ
Возраст самок на момент родов, выживаемость потомства в неонатальном периоде, а также интервалы между родами представлены в виде среднего значения и стандартного отклонения (СО). Статистическую значимость различий параметров клинического и биохимического анализа крови оценивали с использованием критерия Манна–Уитни в программе GraphPad Prism 9 (9.3.0). Различия считали значимыми при p <0.05.
РЕЗУЛЬТАТЫ
Разведение Callithrix jacchus в условиях лабораторного содержания
Ретроспективное исследование проводилось на основании данных наблюдения за 23 родившимися в Лаборатории самками C. jacchus, у которых с 2015 по 2023 год в общей сложности произошло 69 родов. Результаты оценки среднего возраста самок на момент первых родов, а также среднего интервала между родами представлены на рис. 1.
Рис. 1. Частота родов у самок C. jacchus в условиях лабораторного содержания. Розовыми окружностями обозначен возраст самок (n = 23) на момент первых родов (А). Черными окружностями обозначены интервалы между родами (n = 46) (Б). Вертикальными сплошными линиями обозначены среднее и стандартное отклонение
Средний возраст самок на момент первых родов составил 37 (СО 12.2) месяцев, минимальный – 24.2 месяца (pис. 1A).
Средний интервал между родами в период наблюдения составил 220.1 (СО 102.9) суток, при этом в 21 из 46 случаев роды наступали через 148–158 суток после предыдущих (pис. 1Б). Поскольку продолжительность беременности у C. jacchus составляет в среднем 143–144 суток [4], наиболее часто наблюдаемый нами интервал между родами в 148–158 суток свидетельствует о том, что новое зачатие происходило в течение одной-двух недель после родов.
В общей сложности за исследуемый период одни роды произошли у 7 из 23 наблюдавшихся самок, двое – у 4, трое – у 8, четверо родов – у 2, восемь родов – у 1 и 14 родов у 1. Выжившими считались все детеныши, прошедшие неонатальный период, так как смертность после 28 суток жизни полностью отсутствовала. Основной причиной смерти детенышей были нарушения работы желудочно-кишечного тракта в первые 3-е суток после родов. Детенышей, погибших в неонатальном периоде, учитывали как мертворожденных. Таким образом, среднее количество выживших детенышей на одни роды в ходе периода наблюдения составило 1.45, при этом значительно различаясь между отдельными самками.
За период наблюдения наиболее частым результатом родов (N = 69) у самок C. jacchus в условиях лабораторного содержания было рождение двух детенышей (31/69). Один живой детеныш родился в 20/69 случаев, трое – в 6/69. В 12 случаях роды закончились появлением от 1 до 5 мертворожденных детенышей или их гибелью в течение первых 3-х суток.
Согласно нашим наблюдениям, значимые изменения плодовитости у самок отсутствовали как минимум до восьмых-девятых родов, однако данный вывод требует дополнительного подтверждения, так как за период наблюдения только у двух самок из 23 произошло более четырех родов.
В апреле 2023 года в течение недели было проведено взвешивание 69 содержавшихся в Лаборатории животных (37 самцов и 32 самки в возрасте от 2.6 мес. до 9.6 лет). Результаты приведены на рис. 2.
Рис. 2. Масса тела и возраст C. jacchus, содержащихся в Лаборатории. Общее количество животных – 69; самцов 37, самок 32
В результате эксперимента установлено, что наиболее быстро масса тела C. jacchus нарастала в течение первых полутора лет жизни. К 18–20 мес. масса тела животных в среднем достигала 400 г и оставалась на том же уровне у всех исследованных животных до 9.6 лет. Не выявлено значимых различий между массой тела самцов и самок (критерий Манна–Уитни, p = 0.0823).
Определение референсных значений клинического и биохимического анализа крови
С целью определения референсных значений результатов клинического анализа крови с мая 2020 по декабрь 2021 года в общей сложности были взяты образцы крови 38 C. jacchus (26 самцов и 12 самок) в возрасте 2–5 лет. Результаты оценки параметров клинического анализа крови у животных, содержащихся в Лаборатории, приведены на рис. 3.
Рис. 3. Количество эритроцитов (А) и лейкоцитов (Б), а также доля лимфоцитов (В), сегментоядерных нейтрофилов (Г), палочкоядерных нейтрофилов (Д), моноцитов (Е), базофилов (Ж) и эозинофилов (З) в лейкоцитарной формуле крови C. jacchus (N = 38), содержащихся в Лаборатории. Горизонтальными линиями показаны средние значения. Статистическую значимость различий исследуемых параметров между самцами и самками оценивали с использованием критерия Манна–Уитни. **Статистически значимые различия (p <0.05)
Среднее количество эритроцитов в крови C. jacchus, содержащихся в Лаборатории, составило 6.6 (4.1–9.2) млн клеток/мкл; лейкоцитов – 7.8 (3.9–15.3) тыс. клеток/мкл. В лейкоцитарной формуле средняя доля лимфоцитов составила 32.8 (10–60)%, сегментоядерных нейтрофилов – 61.8 (37–89)%, палочкоядерных нейтрофилов – 0.8 (0–3)%, моноцитов – 4.3 (1–8)%, базофилов – 0.2 (0–1)%, эозинофилов – 0.1 (0–1)%. У самок в крови в среднем наблюдалось большее количество лейкоцитов (критерий Манна–Уитни, p = 0.0047), чем у самцов. Не выявлено статистически значимых различий в значениях других параметров крови между самцами и самками.
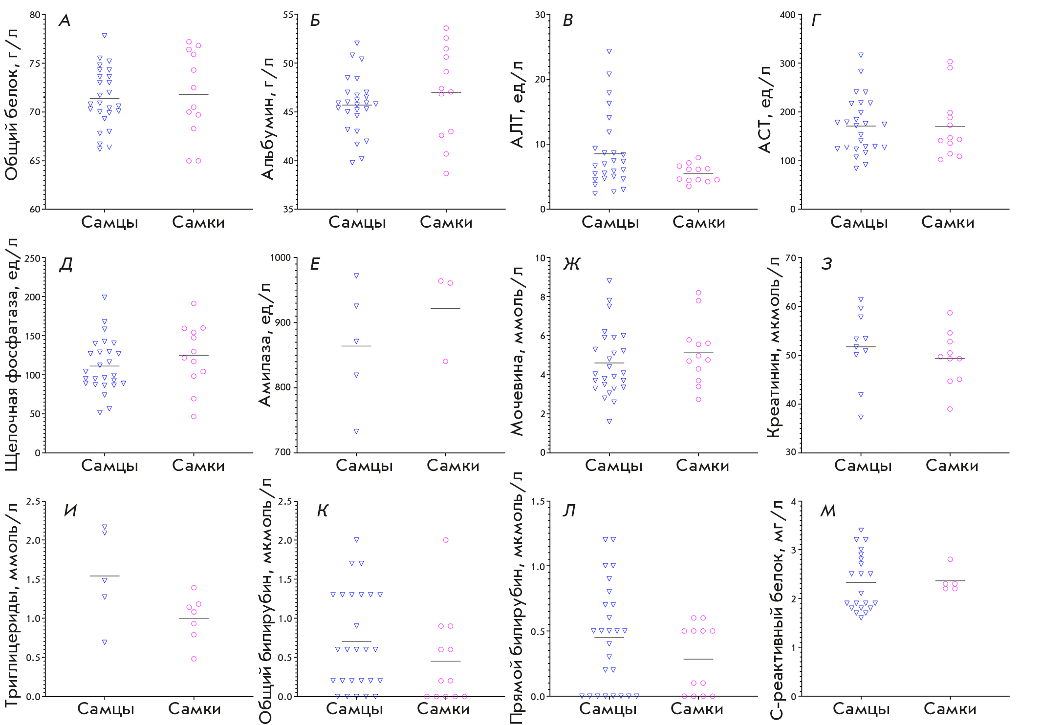
С целью определения референсных значений биохимических параметров крови у C. jacchus, содержащихся в Лаборатории, оценивали уровень креатинина у 20 животных (10 самцов и 10 самок), триглицеридов – у 12 животных (5 самцов и 7 самок), амилазы – у 8 животных (5 самцов и 3 самок), С-реактивного белка – у 26 животных (21 самец и 5 самок), остальные параметры оценивали у 38 животных (26 самцов и 12 самок). Результаты биохимического анализа крови у животных, содержащихся в Лаборатории, приведены на рис. 4.
Рис. 4. Результаты биохимического анализа крови приматов C. jacchus, содержащихся в Лаборатории. Представлены уровни общего белка (А), альбумина (Б), аланинаминотрансферазы [АЛТ] (В), аспартатаминотрансферазы [АСТ] (Г), щелочной фосфатазы (Д), амилазы (Е), мочевины (Ж), креатинина (З), триглицеридов (И), общего билирубина (К), прямого билирубина (Л) и С-реактивного белка (М). Уровни креатинина определяли у 20 животных, триглицериды у 12, амилазу у 8, С-реактивный белок – у 26; остальные показатели – у 38. Горизонтальными линиями показано среднее значение. Статистическую значимость различий исследуемых параметров между самцами и самками оценивали с использованием критерия Манна–Уитни
Среднее содержание общего белка в сыворотке крови C. jacchus, содержавшихся в Лаборатории, составило 71.3 (65–77.8) г/л; альбумина – 44.8 (38.7–53.58) г/л; активности АЛТ – 8.0 (2.4–24.3) ед/л; АСТ – 182.8 (84.3–316.1) ед/л; щелочной фосфатазы – 106.5 (46.7–199) ед/л; амилазы – 885.7 (732.9–964) ед/л; содержание мочевины — 4.8 (1.6–8.8) ммоль/л; креатинина — 51 (37.3–61.4) мкмоль/л; триглицеридов – 1.22 (0.48–2.17) ммоль/л; общего билирубина – 0.8 (0–2) мкмоль/л; прямого билирубина – 0.4 (0–1.2) мкмоль/л; С-реактивного белка – 2.3 (1.6–3.4) мг/л. Не выявлено статистически значимых различий в биохимических параметрах крови у самцов и самок (критерий Манна–Уитни, р> 0.05 для всех показателей).
Исследование поствакцинальных изменений в лимфоидных органах приматов Callithrix jacchus
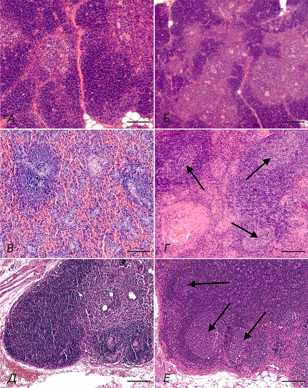
В ходе доклинических испытаний инактивированной очищенной цельновирионной сорбированной вакцины против COVID-19 КовиВак было проведено гистологическое исследование основных лимфоидных органов у четырех вакцинированных (один самец и три самки) и трех контрольных (два самца и одна самка) C. jacchus в возрасте 2–5 лет. Охарактеризована морфологическая структура лимфоидных органов у животных, получавших плацебо, а также описаны изменения микроструктуры тимуса, селезенки и лимфатических узлов, наблюдаемые в ходе формирования специфического поствакцинального иммунного ответа.
Морфология лимфоидных органов контрольных животных. Тимус (рис. 5А) был сохранен у всех животных. Морфологически легко различались более светлое мозговое и более темное корковое вещество органа. Акцидентальная (стрессовая) инволюция коркового вещества тимуса отсутствовала или была выражена минимально, как и липоматоз коркового вещества. Гистологически строение органа соответствовало описанной в литературе видовой норме [12], в том числе присутствовали тельца Гассаля мозгового вещества.
Рис. 5. Лимфоидные органы приматов C. jacchus, получивших цельновирионную инактивированную вакцину КовиВак (Б, Г, Е), в сравнении с контрольными животными, получившими плацебо (А, В, Д): тимус (А, Б), селезенка (В, Г), регионарный (паховый) лимфатический узел (Д, Е). Стрелки указывают на герминативные центры в корковом плато лимфатического узла и в мантийной зоне белой пульпы селезенки – области T-зависимого В-иммуногенеза. Гематоксилин и эозин, увеличение: ×100. Масштабная линейка 200 мкм
В селезенке (рис. 5В) контрольных приматов выявлено правильное строение белой и красной пульпы: атрофические и дистрофические изменения отсутствовали, патологическое расширение зон белой пульпы не наблюдалось, красная пульпа умеренно полнокровна. Макрофаги селезенки контрольных животных не демонстрировали вакуолизации или видимого накопления компонентов адъюванта (геля гидроокиси алюминия) либо иных веществ. Морфологические признаки миелоидной метаплазии красной пульпы у всех исследованных животных отсутствовали.
У контрольных животных паховый лимфатический узел, регионарный к месту введения плацебо (pис. 5Д), был построен правильно, состоял из коркового плато, паракортикальной зоны с медуллярными тяжами и системы синусов. У всех исследованных животных лимфатический узел не имел патологических изменений, соответствуя морфологически видовой норме.
Мезентериальный лимфатический узел (не показано) как у вакцинированных, так и у контрольных животных не имел особенностей и патологических изменений и демонстрировал морфологические проявления иммуногенеза: ярко выраженные герминативные (светлые) центры в корковом плато и минимально выраженный гистиоцитоз краевого синуса, что является нормальным отражением функции органа, получающего постоянную антигенную стимуляцию из кишечника.
Морфология лимфоидных органов вакцинированных животных. Тимус вакцинированных животных (рис. 5Б) не отличался морфологически от тимуса животных, получавших плацебо. Тимус является первичным лимфоидным органом, в котором при антиген-опосредованном B-иммуногенезе не возникают морфофункциональные изменения.
В некоторых образцах селезенки, взятых от вакцинированных C. jacchus (рис. 5Г), обнаружено формирование герминативных (светлых) центров в мантийной зоне белой пульпы. Эта картина морфологически отражает Т-зависимый B-иммуногенез, что соответствует формированию поствакцинального ответа. В остальном строение селезенки было таким же, как у контрольных животных. В макрофагах маргинальной зоны и красной пульпы селезенки вакцинированных животных отсутствовали вакуолизация или видимое накопление компонентов вакцины, геля гидроокиси алюминия либо иных веществ.
У вакцинированных приматов паховый лимфатический узел, регионарный к месту введения вакцины (рис. 5Е), был построен правильно, состоял из коркового плато, паракортикальной зоны с медуллярными тяжами и системы синусов. В нем наблюдались выраженные в разной степени морфофункциональные проявления иммуногенеза: возникновение герминативных (светлых) центров в корковом плато (так называемая B-зависимая зона лимфатического узла), а также минимальный гистиоцитоз краевого синуса, что соответствует формированию поствакцинального ответа и морфологически сходно с событиями в лимфатических узлах человека при антигенном воздействии.
ОБСУЖДЕНИЕ
C. jacchus (игрунка обыкновенная) – вид обезьян-эндемиков, обитающий в тропической зоне атлантического побережья северо-восточной Бразилии. В дикой природе C. jacchus живут семьями, состоящими из устойчивой пары животных и их многочисленного потомства. В группах наблюдается доминирование одной самки с подавлением репродуктивной активности окружающих самок, особенно матерей над дочерьми [4]. C. jacchus ведут дневной образ жизни и обитают в густых верхних и средних ярусах крон лиственных деревьев, спасаясь от змей и хищных птиц.
Этологические особенности вида были учтены в ходе разработки методик лабораторного содержания C. jacchus: периодичность включения освещения в помещениях для разведения животных соответствует продолжительности светового дня в регионах их обитания, состав семейных групп соответствует составу в дикой природе, а высокие вольеры позволяют животным перемещаться в верхние отделы, т.е. реализовывать поведенческий каскад, связанный с поиском укрытия при приближении опасности. Повышение разнообразия поведенческой активности животных в вольерах при длительном лабораторном содержании обеспечивается ветеринарным врачом в соответствии с циклической схемой изменения расположения компонентов обогащения среды внутри вольеров. Элементы обогащения среды обитания направлены на повышение разнообразия поведения и путей перемещения (звонки, зеркала, ветви, подвесы, качели-гамаки и перекладины) и усложнение доступа к пище (кормушки с отверстиями, располагаемые в различных зонах вольера). К однообразному расположению элементов обогащения среды приматы привыкают и теряют интерес в течение 3–5 суток, что впоследствии может приводить к стереотипиям и повышению уровня агрессии внутри группы.
В данной работе определен средний возраст самок на момент первых родов, средний интервал между родами, выживаемость детенышей и кинетика нарастания массы тела C. jacchus, что в совокупности позволяет управлять численностью колонии в зависимости от экспериментальных задач. По нашим данным, в среднем одна самка приносит около трех детенышей в год, при этом численность колонии C. jacchus при лабораторном содержании может повышаться как за счет составления максимального количества пар, так и путем отбора наиболее плодовитых самок.
Исследования безопасности иммунобиологических препаратов с применением C. jacchus, длительно содержащихся в лабораторных условиях, требуют определения референсных значений показателей клинического и биохимического анализа крови, так как опубликованные референсные показатели зачастую основываются на результатах, полученных при исследовании биоматериала, взятого у небольшого количества животных, содержащихся в открытых вольерах в питомниках и зоопарках. Анализ образцов, взятых от 38 здоровых самцов и самок C. jacchus в возрасте 2–5 лет, позволил определить уровни основных клинических и биохимических показателей крови. Статистичеcки значимые различия между самцами и самками наблюдались только для количества лейкоцитов (критерий Манна–Уитни, p = 0.0047).
На доклиническом этапе испытания безопасности и иммуногенности вакцин необходимо определять гистологические изменения в лимфоидных органах, обусловленные иммунизацией. В ходе данной работы нами проведена гистологическая характеристика лимфоидных органов C. jacchus в норме, а также после применения инактивированной цельновирионной сорбированной вакцины против COVID-19.
Гистологически в мозговом веществе тимуса C. jacchus наблюдались тельца Гассаля – скопления концентрически расположенных эозинофильно окрашенных терминально дифференцированных эпителиальных клеток, что делает тимус C. jacchus морфологически сходным с тимусом человека. Известно, что у грызунов, наиболее часто использующихся в доклинических и экспериментальных исследованиях лекарственных препаратов, в том числе вакцин, строение тимуса отличается от такового у человека, и в мозговом веществе тимуса тельца Гассаля отсутствуют [13].
Другим важным гистологическим наблюдением является отсутствие у исследованных приматов миелоидной метаплазии красной пульпы селезенки, при которой морфологические признаки кроветворной ткани возникают вне костного мозга. У C. jacchus, как и у людей, наличие миелоидной метаплазии квалифицируется как фоновое патологическое состояние, связанное с кровотечениями [14], поэтому изменения в селезенке C. jacchus проще квалифицировать и проецировать на человека, нежели результаты, получаемые при работе с селезенками мышевидных грызунов.
Таким образом, в ходе проведенной работы нами получены свидетельства высокой степени сходства структуры лимфоидных органов C. jacchus и человека в норме, а также в ходе формирования поствакцинального иммунного ответа.
Полученные данные позволяют утверждать, что приматы C. jacchus, выращенные в изолированных лабораторных условиях, исключающих фоновую инфекционную патологию, являются адекватной лабораторной моделью, позволяющей с высоким уровнем достоверности характеризовать профиль безопасности и иммуногенности противовирусных вакцин в ходе доклинических испытаний.
ЗАКЛЮЧЕНИЕ
Благодаря ряду биологических особенностей вида, а также разработке методик содержания, разведения и экспериментальной работы, приматы C. jacchus, содержащиеся в Лаборатории, показали высокую востребованность в биомедицинских исследованиях, включая доклинические испытания инактивированной [11, 15] и аденовирусной векторной [10] вакцин против COVID-19, аденовирусной векторной вакцины против ближневосточного респираторного синдрома [16], а также кандидатной рекомбинантной вакцины против гепатита Е [17].
Финансирование: ФГАНУ «ФНЦИРИП им. М.П. Чумакова РАН» (Институт полиомиелита).
Об авторах
И. В. Гордейчук
Федеральный научный центр исследований и разработки иммунобиологических препаратов им. М.П. Чумакова РАН (Институт полиомиелита); Сеченовский университет
Автор, ответственный за переписку.
Email: gordeychuk_iv@chumakovs.su
Институт трансляционной медицины и биотехнологии
Россия, Москва, 108819; Москва, 117418О. С. Ганчарова
Федеральный научный центр исследований и разработки иммунобиологических препаратов им. М.П. Чумакова РАН (Институт полиомиелита); Московский государственный университет имени М.В. Ломоносова
Email: gordeychuk_iv@chumakovs.su
Научно-исследовательский институт физико-химической биологии имени А.Н. Белозерского
Россия, Москва, 108819; Москва, 119992С. А. Гуляев
Федеральный научный центр исследований и разработки иммунобиологических препаратов им. М.П. Чумакова РАН (Институт полиомиелита)
Email: gordeychuk_iv@chumakovs.su
Россия, Москва, 108819
Т. В. Гуляева
Федеральный научный центр исследований и разработки иммунобиологических препаратов им. М.П. Чумакова РАН (Институт полиомиелита)
Email: gordeychuk_iv@chumakovs.su
Россия, Москва, 108819
А. С. Житкевич
Федеральный научный центр исследований и разработки иммунобиологических препаратов им. М.П. Чумакова РАН (Институт полиомиелита)
Email: gordeychuk_iv@chumakovs.su
Россия, Москва, 108819
Д. В. Авдошина
Федеральный научный центр исследований и разработки иммунобиологических препаратов им. М.П. Чумакова РАН (Институт полиомиелита)
Email: gordeychuk_iv@chumakovs.su
Россия, Москва, 108819
А. В. Мороз
Федеральный научный центр исследований и разработки иммунобиологических препаратов им. М.П. Чумакова РАН (Институт полиомиелита)
Email: gordeychuk_iv@chumakovs.su
Россия, Москва, 108819
А. С. Лунин
Федеральный научный центр исследований и разработки иммунобиологических препаратов им. М.П. Чумакова РАН (Институт полиомиелита)
Email: gordeychuk_iv@chumakovs.su
Россия, Москва, 108819
С. Е. Соцкова
Федеральный научный центр исследований и разработки иммунобиологических препаратов им. М.П. Чумакова РАН (Институт полиомиелита)
Email: gordeychuk_iv@chumakovs.su
Россия, Москва, 108819
Е. А. Кордубан
Федеральный научный центр исследований и разработки иммунобиологических препаратов им. М.П. Чумакова РАН (Институт полиомиелита)
Email: gordeychuk_iv@chumakovs.su
Россия, Москва, 108819
А. И. Тухватулин
Национальный исследовательский центр эпидемиологии и микробиологии имени почетного академика Н.Ф. Гамалеи Министерства здравоохранения Российской Федерации
Email: gordeychuk_iv@chumakovs.su
Россия, Москва, 123098
Е. О. Баюрова
Федеральный научный центр исследований и разработки иммунобиологических препаратов им. М.П. Чумакова РАН (Институт полиомиелита)
Email: gordeychuk_iv@chumakovs.su
Россия, Москва, 108819
А. А. Ишмухаметов
Федеральный научный центр исследований и разработки иммунобиологических препаратов им. М.П. Чумакова РАН (Институт полиомиелита); Сеченовский университет
Email: gordeychuk_iv@chumakovs.su
Институт трансляционной медицины и биотехнологии
Россия, Москва, 108819; Москва, 117418Список литературы
- Heijmans C.M.C., de Groot N.G., Bontrop R.E. // Int. J. Immunogenet. 2020. V. 47. № 3. P. 243–260.
- ‘t Hart B.A., Abbott D.H., Nakamura K., Fuchs E. // Drug Discov. Today. 2012. V. 17. № 21–22. P. 1160–1165.
- Bayurova E., Zhitkevich A., Avdoshina D., Kupriyanova N., Kolyako Y., Kostyushev D., Gordeychuk I. // Cells. 2023. V. 12. № 16. P. 2020.
- Tardif S.D., Smucny D.A., Abbott D.H., Mansfield K., Schultz-Darken N., Yamamoto M.E. // Comparative Medicine. 2003. V. 53. № 4. P. 364–368.
- Antunes S.G., de Groot N.G., Brok H., Doxiadis G., Menezes A.A., Otting N., Bontrop R.E. // Proc. Natl. Acad. Sci. USA. 1998. V. 95. № 20. P. 11745–11750.
- Cao Y.H., Fan J.W., Li A.X., Liu H.F., Li L.R., Zhang C.L., Zeng L., Sun Z.Z. // Am. J. Primatol. 2015. V. 77. № 5. P. 527–534.
- Carrion R., Patterson J.L. // Curr. Opin. Virol. 2012. V. 2. № 3. P. 357–362.
- Marmoset Genome Sequencing and Analysis Consortium // Nat. Genet. 2014. V. 46. № 8. P. 850–857.
- Sasaki E., Suemizu H., Shimada A., Hanazawa K., Oiwa R., Kamioka M., Tomioka I., Sotomaru Y., Hirakawa R., Eto T., et al. // Nature. 2009. V. 459. № 7246. P. 523–527.
- Tukhvatulin A.I., Gordeychuk I.V., Dolzhikova I.V., Dzharullaeva A.S., Krasina M.E., Bayurova E.O., Grousova D.M., Kovyrshina A.V., Kondrashova A.S., Avdoshina D.V., et al. // Emerg. Microbes Infect. 2022. V. 11. № 1. P. 2229–2247.
- Kozlovskaya L.I., Piniaeva A.N., Ignatyev G.M., Gordeychuk I.V., Volok V.P., Rogova Y.V., Shishova A.A., Kovpak A.A., Ivin Y.Y., Antonova L.P., et al. // Emerg. Microbes Infect. 2021. V. 10. № 1. P. 1790–1806.
- Kaspareit J., Friderichs-Gromoll S., Buse E., Habermann G. // Exp. Toxicol. Pathol. 2006. V. 57. № 5–6. P. 405–410.
- Pearse G. // Toxicol. Pathol. 2006. V. 34. № 5. P. 504–514.
- David J.M., Dick E.J., Hubbard G.B. // J. Med. Primatol. 2009. V. 38. № 5. P. 347–359.
- Gordeychuk I.V., Kozlovskaya L.I., Siniugina A.A., Yagovkina N.V., Kuzubov V.I., Zakharov K.A., Volok V.P., Dodina M.S., Gmyl L.V., Korotina N.A., et al. // Viruses. 2023. V. 15. № 9. P. 1828.
- Dolzhikova I.V., Grousova D.M., Zubkova O.V., Tukhvatulin A.I., Kovyrshina A.V., Lubenets N.L., Ozharovskaia T.A., Popova O., Esmagambetov I.B., Shcheblyakov D.V., et al. // Acta Naturae. 2020. V. 12. № 3. P. 114–123.
- Gordeychuk I., Kyuregyan K., Kondrashova A., Bayurova E., Gulyaev S., Gulyaeva T., Potemkin I., Karlsen A., Isaeva O., Belyakova A., et al. // Vaccine. 2022. V. 40. № 1. P. 89–99.
Дополнительные файлы







