A clinical case of Crohn's disease with late-onset familial Mediterranean fever
- Authors: Ganich E.G.1, Davydov D.A.2, Kuznetsova D.A.1, Gorbacheva D.S.1, Sidorenko D.V.1, Lapin S.V.1, Nazarov V.D.1, Deviatkina Y.A.1, Shchukina O.B.1
-
Affiliations:
- I.P. Pavlov First St. Petersburg State Medical University
- Pavlov UniversityI.P. Pavlov First St. Petersburg State Medical University
- Issue: Vol 53, No 4 (2025)
- Pages: 217-225
- Section: CLINICAL CASES
- URL: https://journals.rcsi.science/2072-0505/article/view/356854
- DOI: https://doi.org/10.18786/2072-0505-2025-53-014
- ID: 356854
Cite item
Full Text
Abstract
A rare co-occurrence of Crohn’s disease (CD) and familial Mediterranean fever (FMF) is a complex comorbidity with similarities in their immune pathophysiology and clinical manifestations. This case highlights the challenges in differential diagnosis and therapeutic dilemmas arising from the need to simultaneously manage two immune-mediated diseases.
We report a clinical case of an Armenian man with recurrent abdominal pain, chronic diarrhea, episodes of dynamic intestinal obstruction and weight loss. His examination at the age of 39 years revealed signs of systemic inflammation, such as increased erythrocyte sedimentation rate to 62 mm/h, C-reactive protein level to 63 mg/l, and fecal calprotectin to 1039 micrograms/g. Endoscopic examination showed gastric ulcers (0.7 × 0.5 cm), an ileum stricture impenetrable with an endoscope, as well as multiple ulcers of the terminal ileum (SES-CD 9 points). The histological report concluded on chronic ulcerative ileitis with high activity. After one year, the results of molecular genetic testing showed a homozygous pathogenic variant of the MEFV c.2177T>C gene (p.Val726Ala) was identified, confirming FMF with persistent activity (serum amyloid A was increased to 32.3 micrograms/ml). The patient was diagnosed with stricturing CD with severe progressive course (A2L1L4B2p) and colchicine-resistant FMF. For CD, the patient consecutively treated with adalimumab, upadacitinib, and ustekinumab with partial response and subsequent ileocecal resection. For FMF, he received colchicine without an effect and canakinumab with complete cessation of attacks. Administration of two targeted agents for two diseases was discussed, but no final decision was taken. By the time of writing this manuscript (January 2025), the patient retained the endoscopic activity of CD with no attacks FMF under treatment with ustekinumab and colchicine.
In patients with Crohn’s disease, particularly those of Armenian descent, presenting with atypical abdominal pain and treatment resistance, FMF should be excluded. Molecular genetic testing for MEFV mutations should be included into the diagnostic workup, as their presence should be regarded as a CD modifying factor associated with the disease severity and complication risks. FMF-effective drugs (e. g., canakinumab) may not control CD progression, while CD-targeted therapies (adalimumab, ustekinumab) may not fully resolve FMF manifestations. The safety and efficacy of combining biologics remain unresolved. This case underscores the need for a multidisciplinary approach, development of clear criteria to assessing the activity of combined disease, and further research to optimize treatment strategies.
Full Text
Болезнь Крона (БК) – хроническое воспалительное заболевание желудочно-кишечного тракта (ЖКТ), характеризующееся рецидивирующим течением, прогрессирующим поражением кишечной стенки и риском тяжелых осложнений [1]. В основе патогенеза БК лежит сложное взаимодействие генетических факторов, нарушений иммунного ответа и дисбиоза кишечника. Ключевую роль играют мутации в генах, регулирующих врожденный иммунитет (NOD2 / CARD15), аутофагию (ATG16L1) и воспалительные процессы (NLRP3, IL23R) [2]. Ряд авторов относит БК к полигенным аутовоспалительным заболеваниям, при которых нарушается работа инфламмасомы и усиливается реакция на кишечную микробиоту [2, 3].
Семейная средиземноморская лихорадка (ССЛ) – аутовоспалительное заболевание, которое, в отличие от БК, является моногенным и связано с мутациями в гене MEFV, кодирующем белок пирин. Это приводит к неконтролируемому воспалению с эпизодами лихорадки, серозита и артрита [4]. ССЛ имеет четкую этническую принадлежность: главные носители патогенных вариантов MEFV – турки, армяне, евреи, а также коренные жители стран Средиземноморского региона (Южная Европа, Северная Африка, Ближний Восток, страны Закавказья). В России ССЛ наиболее часто встречается среди представителей армянской и азербайджанской этнических групп [5]. Несвоевременная диагностика ССЛ может привести к развитию системного амилоидоза – одного из самых серьезных и поздних осложнений заболевания, которое возникает в результате отложений нерастворимого белка амилоида во внеклеточном матриксе тканей различных систем и органов, в частности почек, сердечно-сосудистой и нервной систем, легких, печени и ЖКТ [6].
Примечательно, что гены MEFV и NOD2 / CARD15 локализованы на одной хромосоме (16p13), а их белковые продукты принадлежат к одному семейству белков и играют роль в регуляции апоптоза, высвобождении цитокинов и воспалении [7]. У пациентов с БК часто выявляют полиморфизм гена MEFV, что ассоциировано с более тяжелым течением болезни, внекишечными проявлениями и риском амилоидоза [8, 9]. Присутствие двух нозологий у одного пациента может создавать диагностические трудности вследствие схожести симптомов БК и ССЛ.
Представляем клинический случай мужчины армянской национальности с сочетанием ССЛ и стриктурирующей формы БК, свидетельствующий о важности генетического тестирования и междисциплинарного подхода у пациентов с сочетанной аутоиммунной и аутовоспалительной патологией.
Клиническое наблюдение
Из анамнеза пациента Ч. известно, что в 2012 г. (в возрасте 32 лет) после эмоционального стресса он впервые отметил эпизоды дискомфорта в эпигастральной области и учащенного жидкого стула. В амбулаторных условиях обследовался у гастроэнтеролога. По результатам эзофагогастродуоденоскопии (ЭГДС) выявлены эрозивный дуоденит, поверхностный гастрит и гиперпластические эрозии антрального отдела желудка. По данным илеоколоноскопии (ИКС) зафиксированы множественные продольные язвы слизистой оболочки терминального отдела подвздошной кишки, в области илеоцекального клапана – отек слизистой и несколько язв под фибрином. При гистологическом исследовании биоптатов измененной слизистой выявлен хронический илеит. По совокупности данных установлен диагноз БК. Пациент получал препараты месалазина, курсы антибактериальной терапии, глюкокортикостероиды внутривенно с переходом на пероральный прием. Лечение способствовало временному улучшению самочувствия, однако сохранялся жидкий стул до 2–3 раз в сутки и дискомфорт в верхней части живота.
В дальнейшем с 2015 г. с частотой 2–3 раза в год возникали эпизоды динамической кишечной непроходимости, разрешающиеся самопроизвольно, однако длительное время пациент у гастроэнтеролога не наблюдался. В августе 2019 г. абдоминальная боль и вздутие живота усилились, уменьшился аппетит, увеличилась частота дефекации до 5 раз в сутки с жидким и кашицеобразным стулом, произошла немотивированная потеря массы тела до 7 кг в течение 2 месяцев.
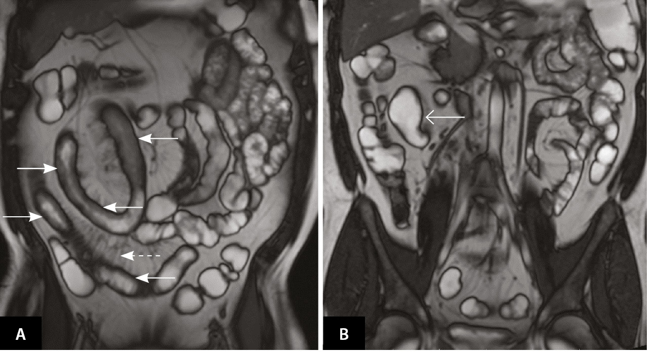
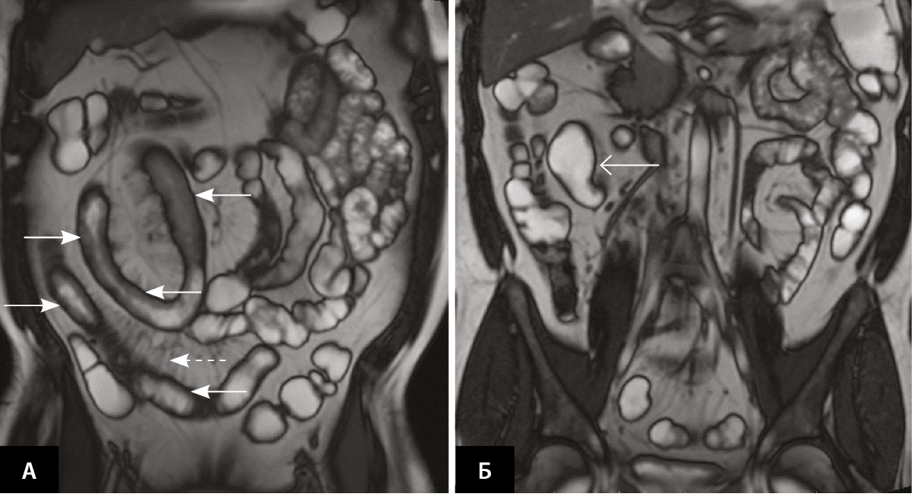
Осенью 2019 г. (в возрасте 39 лет) пациент обратился в кабинет воспалительных заболеваний кишечника (ВЗК) ФГБОУ ВО «Первый Санкт-Петербургский государственный медицинский университет имени академика им. И. П. Павлова» Минздрава России. При лабораторном обследовании выявлено повышение скорости оседания эритроцитов до 62 мм/ч (норма (N) – 2–15 мм/ч), С-реактивного белка (СРБ) до 63,01 мг/л (N ≤ 5 мг/л), фекального кальпротектина (ФК) до 1039 мкг/г (N ≤ 50 мкг/г). Результат ЭГДС: по большой кривизне тела желудка язвенный дефект 0,7 × 0,5 см, дно язвы под фибрином с налетом гематина, край умеренно приподнятый. Гистологическое исследование биоптата слизистой оболочки желудка: эпителизирующаяся острая эрозия фундального отдела желудка, хронический фундальный гастрит со слабым воспалительным компонентом, минимальной активностью, обсеменения Helicobacter pylori не выявлено. При ИКС наблюдалось сужение подвздошной кишки (на 5 см дистальнее баугиниевой заслонки), непроходимое для эндоскопа диаметром 12 мм, отек и гиперемия слизистой оболочки терминального отдела подвздошной кишки с утолщенными ворсинами и множественными сливными афтозно-язвенными дефектами под фибрином, а также деформация илеоцекального клапана с формированием на поверхности плоских язвенных дефектов до 1,0–1,5 см (9 баллов по SES-CD (англ. Simple Endoscopic Score for Crohn’s Disease – Простая эндоскопическая шкала БК)). При гистологическом исследовании обнаружен хронический сегментарный эрозивно-язвенный илеит с фокально выраженным воспалительным компонентом и высокой активностью, толстокишечной метаплазией эпителия; хронический сегментарный эрозивно-язвенный баугинит с фокально выраженным воспалительным компонентом и высокой активностью, распространенной воспалительной инфильтрацией в подслизистом слое, без признаков гранулематозного компонента; поверхностный колит с минимальным воспалительным компонентом, без активности. По данным магнитно-резонансной энтерографии выявлены признаки стриктурирующей формы БК умеренной активности (по классификации J. Panes) с поражением дистальных петель и терминального отдела подвздошной кишки (рис. 1).
Рис. 1. Магнитно-резонансная энтерография (01.10.2019), Т1-взвешенное изображение после внутривенного контрастного усиления (гадобутрол, 5 мл), фронтальная проекция: A – асимметричное утолщение стенки в дистальных петлях подвздошной кишки и терминальном отделе подвздошной кишки (сплошные стрелки), незначительно выраженная сосудистая реакция брыжейки (пунктирная стрелка); Б – престенотическое расширение подвздошной кишки перед местом поражения (открытая стрелка)
По результатам выполненного обследования подтверждено предположение о стриктурирующей форме БК с тяжелым прогрессирующим течением. В связи с высокой клинической, лабораторной и эндоскопической активностью БК принято решение об инициации генно-инженерной биологической терапии с последующим плановым оперативным вмешательством, и 14.11.2019 инициирована терапия ингибитором фактора некроза опухоли α (ФНО-α) адалимумабом (препарат Хумира) 160–80 мг подкожно с клиническим и лабораторным ответом. Далее пациент получал поддерживающую терапию адалимумабом 40 мг подкожно 1 раз в 2 недели. Достигнуто клиническое улучшение: прошли боли, стул стал кашицеобразный, 2–3 раза в сутки. При контрольной ИКС 23.01.2020 выявлена положительная динамика воспалительных изменений слизистой с сохранением субкомпенсированной стриктуры терминального отдела подвздошной кишки (6 баллов по SES-CD).
Несмотря на положительную клиническую, лабораторную и эндоскопическую динамику на фоне терапии адалимумабом, получаемой с февраля по июнь 2020 г., примерно 2 раза в месяц на фоне переохлаждения отмечались эпизоды приступов острой спастической боли в животе с иррадиацией в спину, не купируемой приемом спазмолитиков. В контрольных анализах во время приступов регистрировались нейтрофильный лейкоцитоз (лейкоциты – 14,4 × 109/л) и повышение СРБ до 18,7 мг/л. Данные клинико-лабораторные проявления, а также факт армянской этнической принадлежности пациента заставили задуматься о наличии у него ССЛ. Выполнено молекулярно-генетическое тестирование на определение мутаций гена MEFV, по результатам которого выявлен патогенный гомозиготный генотип c.2177T>C; p.Val726Ala. В июне 2020 г. пациент консультирован ревматологом. Подтвержден диагноз ССЛ с типичными неполными атаками, соответствующими I фенотипу заболевания [10], назначена терапия колхицином 1,0–1,5 мг в сутки. Однако на фоне постоянного приема препарата приступы абдоминальной боли сохранялись.
К сентябрю 2020 г. пациент начал отмечать постепенное ухудшение самочувствия в виде возвращения разлитой абдоминальной боли, в том числе в ночное время, и увеличения кратности стула до 6 раз в сутки. При этом атаки ССЛ сохранялись с прежней частотой. В связи с хорошей приверженностью и переносимостью терапии доза колхицина была увеличена до 3,0 мг в сутки, но без эффекта. Во время очередной инъекции адалимумаба (23-е введение) выполнено исследование остаточной концентрации препарата в крови – 2,6 мкг/мл (низкие значения), ввиду чего доза адалимумаба была увеличена до 80 мг 1 раз в 2 недели подкожно, также без улучшения. В связи с отсутствием эффекта от проводимой терапии (повышение СРБ, сохранение приступов боли в животе) пациент был повторно консультирован ревматологом, принято решение о назначении генно-инженерной биологической терапии блокатором интерлейкина-1 канакинумабом (препарат Иларис).
В начале февраля 2021 г. терапия адалимумабом была отменена, 17.02.2021 инициирована терапия канакинумабом 150 мг 1 раз в 4 недели подкожно и снижена доза колхицина до 1,5 мг в сутки. На этом фоне пациент отметил полное прекращение атак ССЛ. После отмены адалимумаба через несколько месяцев стали рецидивировать эпизоды динамической кишечной непроходимости. Пациент отказывался от проведения хирургического лечения и в течение последующих 2 лет продолжал наблюдаться у гастроэнтеролога. Периодически на фоне болевого синдрома в анализах отмечалось повышение СРБ. Получал курсами метронидазол, преднизолон внутривенно, с временным положительным эффектом. Продолжалась также терапия канакинумабом 1 раз в 4 недели с полным контролем атак ССЛ. В апреле 2022 г. выполнена энтероскопия, выявлены единичные эрозии проксимального отдела подвздошной кишки, множественные язвы терминального отдела подвздошной кишки, стриктура илеоцекального клапана (рис. 2). Пациент согласился на оперативное вмешательство.
Рис. 2. Энтероскопия от 08.04.2022: множественные сливающиеся эрозии и язвы под фибрином (сплошная стрелка), участки гиперемии слизистой оболочки в терминальном отделе подвздошной кишки (пунктирные стрелки)
В условиях хирургического отделения СПбГБУЗ «Городская клиническая больница № 31» 02.03.2023 пациенту выполнена резекция слепой кишки, 100 см подвздошной кишки с формированием илеоасцендоанастомоза по поводу множественных стриктур подвздошной кишки (рис. 3). Последнее введение канакинумаба выполнено 10.03.2024.
Рис. 3. Фото операционного материала. Препарат тонкой кишки со стриктурами и феноменом «ползучий жир»
В рамках профилактики послеоперационного рецидива и контроля приступов ССЛ по совместному с ревматологом решению 17.03.2023 назначен прием селективного ингибитора янус-киназы 1-го типа (JAK-1) упадацитиниба (препарат Ранвэк) 30 мг в сутки. На фоне терапии отмечена положительная динамика в виде нормализации стула и набора веса. Приступов ССЛ не было. В контрольных анализах признаков системной воспалительной активности и лейкоцитоза не наблюдалось.
В конце июня 2023 г. на фоне продолжающейся терапии упадацитинибом 30 мг возник послеоперационный рецидив БК (послабление и учащение стула, появление потливости, СРБ – 11,1 мг/л, ФК – 549 мкг/г). По данным видеокапсульной эндоскопии: афтозно-язвенное поражение проксимальных отделов тощей кишки до зоны анастомоза, язвенное поражение зоны неоилеума. В связи с неэффективностью ингибитора JAK-1 в рамках профилактики послеоперационного рецидива 26.07.2023 инициирована терапия ингибитором интерлейкина-12/23 устекинумабом (препарат Стелара), с переходом на поддерживающую терапию по 90 мг каждые 8 недель подкожно, с улучшением самочувствия.
В октябре 2023 г. в рамках оценки уровня системного и кишечного воспалительного ответа и мальабсорбции желчных кислот выполнено определение содержания ФК – 287,69 мкг/г, сывороточного амилоида А в крови – 19,2 мг/мл (N ≤ 10 мг/мл), желчных кислот в стуле – 105,25 мкмоль/г (N ≤ 7,0 мкмоль/г) и ионного дефицита в стуле – до 25,36 мОсмоль/кг (N = 50–125 мОсмоль/кг). Полученные результаты указывают на умеренный воспалительный процесс в кишечнике, риск развития вторичного амилоидоза и выраженную мальабсорбцию желчных кислот после перенесенной илеоцекальной резекции. В целях генетического подтверждения ССЛ, исключения других моногенных аутовоспалительных заболеваний и обнаружения дополнительных модифицирующих генетических факторов, ассоциированных с БК, выполнено молекулярно-генетическое тестирование с использованием панели генов при аутовоспалительных заболеваниях (MEFV, MVK, TNFRSF1A, NLRP3, NOD2, LPIN2, PLCG2, PSTPIP1, IL1RN, IL10RA и IL10RB) с помощью метода NGS (англ. next generation sequencing – секвенирование следующего поколения). Подтвержден патогенный гомозиготный вариант c.2177T>C; p.Val726Ala гена MEFV. При этом в других исследованных генах патогенных и вероятно патогенных вариантов не обнаружено.
В январе 2024 г. зафиксировано нарастание лабораторной активности заболевания: ФК – 681,9 мкг/г, СРБ – 16,6 мг/л (N ≤ 5,0 мг/л). По результатам капсульной эндоскопии 04.03.2024: БК; эндоскопическая активность; распространенное поражение: желудок, двенадцатиперстная кишка, тощая, подвздошная кишка (неоилеум), толстая кишка; положительная динамика (уменьшение размера язв) в сравнении с предыдущим исследованием.
В связи с признаками потери ответа на устекинумаб проведена оптимизация терапии в виде сокращения интервала введения препарата до 4 недель, с положительной лабораторной динамикой. В настоящее время продолжается поддерживающая терапия устекинумабом (90 мг подкожно каждые 4 недели), но без достижения эндоскопической ремиссии БК. При этом отсутствуют атаки ССЛ, пациент продолжает прием колхицина 3,0 мг/сут. Однако лабораторно сохраняется активность ССЛ: кальпротектин (S100 A8/A9) в крови – 14,98 мкг/мл (N ≤ 2,9 мкг/мл), сывороточный амилоид А – 32,3 мкг/мл (N ≤ 10 мг/мл). Обсуждалось, но не было принято решение о назначении двух таргетных препаратов по двум нозологиям. Пациент находится под динамическим наблюдением гастроэнтеролога и ревматолога, ведется обсуждение тактики, в том числе рассматриваются альтернативные терапевтические подходы.
Обсуждение
В приведенном клиническом наблюдении описано редкое сочетание БК с поздним дебютом ССЛ. Оба заболевания имеют общие клинические и биологические характеристики: боль в животе, диарея, лихорадка, артралгия, хроническое рецидивирующее течение и воспалительный характер поражения, связанный с нейтрофильной инфильтрацией в месте повреждения и нарушением регуляции апоптоза [11]. Наличие патогенных вариантов гена MEFV многими исследователями предложено рассматривать в качестве дополнительного неблагоприятного фактора, оказывающего модифицирующее воздействие на течение ВЗК [7, 12, 13]. При этом, учитывая этнический характер распространенности ССЛ, у пациентов с ВЗК в армянской популяции рекомендуется выполнение генетического тестирования MEFV, особенно в случаях атипичного течения ВЗК, резистентного к традиционному лечению, и недифференцированного колита [13].
Выявленный у нашего пациента патогенный гомозиготный вариант c.2177T>C; p.Val726Ala в гене MEFV является одним из трех генотипов, связанных с поздним дебютом ССЛ. Позднее начало ССЛ по сравнению с дебютом в возрасте до 40 лет ассоциировано с более легким фенотипом заболевания, характеризующимся значительно меньшей частотой лихорадки, кожных проявлений и болей в груди [14].
Вместе с тем представляют интерес данные о так называемом энтероколите, ассоциированном с геном MEFV, который клинически и эндоскопически имитирует ВЗК и отвечает на терапию колхицином. Показано, что псевдополипозоподобные и правосторонние поражения слизистой оболочки толстой кишки, подобные таковым при язвенном колите, с вовлечением прямой кишки могут быть признаками эндоскопической картины ССЛ с энтероколитом [15]. В исследованиях T. Kitade и соавт. [16] и A. Demir и соавт. [17] эндоскопическая картина поражения тонкой кишки при ССЛ характеризовалась покраснением, наличием афт, эрозий и язв. Вовлечение терминального отдела подвздошной кишки описано у японских [18] и турецких пациентов с ССЛ [19]. Кроме того, несмотря на растущее число зарегистрированных случаев, клинические и эндоскопические признаки энтероколита, связанного с патогенными вариантами гена MEFV, остаются неясными. В описанном нами клиническом наблюдении мы можем говорить о двух заболеваниях – БК и ССЛ с поздним дебютом, так как помимо эпизодов острого живота с некоторой задержкой стула, типичных для ССЛ, клиническая картина характеризовалась хронической диареей и абдоминальной болью, перианальными проявлениями, а распространенное трансмуральное поражение кишечника в итоге привело к стриктурирующим осложнениям болезни, потребовавшим хирургического вмешательства. В пользу сочетания заболеваний свидетельствует разнонаправленный эффект терапевтического вмешательства: так, в данном случае терапия канакинумабом оказалась высокоэффективным средством подавления атак ССЛ, но не приводила к замедлению прогрессирования поражения кишечника в рамках БК.
Хроническое течение активного воспалительного процесса с повышением содержания сывороточного амилоида А в крови пациента приводит к развитию вторичного АА-амилоидоза. Кишечный амилоидоз может проявляться болью в животе, кишечной непроходимостью, синдромом мальабсорбции, тяжелой диареей и интестинальной псевдообструкцией, реже – иметь бессимптомное течение [20]. Увеличение содержания желчных кислот в стуле пациента указывает на нарушение их всасывания, обусловленное резекцией протяженного участка подвздошной кишки, что клинически проявляется хологенной диареей [21].
Сочетание индивидуальных стратегий лечения – основополагающий подход при БК и ССЛ. Показано, что тяжесть БК увеличивается при наличии патогенных вариантов гена MEFV и, более того, использование традиционных методов лечения (не генно-инженерной биологической терапии) не позволяет достичь клинической ремиссии [7]. В некоторых случаях активность ВЗК у пациента с наличием патогенных вариантов в гене MEFV не могла контролироваться до начала лечения колхицином [15, 22].
Ведение ССЛ и ВЗК у одного пациента сопряжено с необходимостью комплексного подхода с учетом безопасности назначаемой терапии. Колхицин используется в первой линии терапии ССЛ и в большинстве случаев позволяет достигнуть полного клинического и лабораторного ответа. Колхицин-резистентное течение ССЛ наблюдается в 5–10% случаев. Однако при хорошей переносимости данный препарат рекомендуется назначать всем пациентам с ССЛ, так как он обладает доказанной эффективностью в профилактике системного АА-амилоидоза [23]. Известно, что колхицин нередко ассоциирован с желудочно-кишечной токсичностью (тошнота, рвота, диарея и боль в животе), что может осложнить ведение пациента с ВЗК [24].
Ингибиторы ФНО-α, включая адалимумаб, широко применяются в терапии ВЗК. Согласно клиническим рекомендациям EULAR (англ. European League Against Rheumatism – Европейская антиревматическая лига) (2016), препараты этого класса могут контролировать атаки ССЛ вплоть до достижения полной ремиссии у пациентов с резистентностью к колхицину [25]. Стоит отметить, что количество исследований, посвященных изучению ингибиторов ФНО-α при ССЛ, ограничено, и большинство данных получено из описания отдельных клинических случаев или небольших обсервационных исследований [26].
Несмотря на то что ингибиторы ФНО-α продемонстрировали эффективность у пациентов с ССЛ, доказательная база по ним менее обширна по сравнению с препаратами, таргетно воздействующими на интерлейкин-1β, которые показывают более стабильные результаты в терапии ССЛ. Согласно данным рандомизированного двойного слепого плацебо-контролируемого исследования III фазы CLUSTER, клинический ответ на канакинумаб к 16-й неделе наблюдался у 61% пациентов по сравнению с 6% в группе плацебо (p < 0,001). При этом ремиссия заболевания (определяемая как значение индекса активности аутовоспалительных заболеваний < 10) была достигнута у 52% пациентов [27]. Результаты нерандомизированных и обсервационных исследований также подтверждают высокую эффективность канакинумаба при ССЛ [28]. На основании этих данных препарат рекомендован в качестве терапии второй линии при колхицин-резистентных формах ССЛ, что и определило наш выбор после неэффективности адалимумаба. Тем не менее на фоне достижения контроля над симптомами ССЛ мы наблюдали клиническое и эндоскопическое прогрессирование БК после отмены адалимумаба. В то время как экспериментальные данные свидетельствуют о вовлечении интерлейкина-1 в патогенез ВЗК [29], клинические наблюдения выявляют парадоксальный эффект: в ряде случаев прием ингибиторов ИЛ-1β ассоциирован с дебютом ВЗК или обострением существующего заболевания. Таким образом, при сочетании ССЛ и БК применение антагонистов интерлейкина-1β требует особой осторожности, так как их профиль эффективности и безопасности при коморбидной патологии остается недостаточно изученным.
У нашего пациента после хирургического вмешательства канакинумаб был отменен. В качестве профилактики послеоперационного рецидива БК был выбран ингибитор JAK-1 упадацитиниб, что обусловлено данными о сохранении его эффективности во второй и последующих линиях терапии [29]. Кроме того, известно о 6 случаях назначения неселективного ингибитора JAK тофацитиниба при ССЛ, при этом у 3 пациентов был отмечен полный ответ и у 3 – частичный [30]. На момент написания данной статьи (январь 2025 г.) в литературе (поиск производился по PubMed, Google Scholar, eLibrary) отсутствуют свидетельства применения упадацитиниба при ССЛ. Примечательно, что на фоне его приема у нашего пациента не отмечалось атак ССЛ. Однако в связи с неэффективностью ингибитора JAK-1 в рамках профилактики послеоперационного рецидива была проведена смена поддерживающей терапии на ингибитор интерлейкина-12/23 устекинумаб.
Заключение
Наше клиническое наблюдение иллюстрирует диагностические и терапевтические сложности при позднем дебюте ССЛ в сочетании с БК, что обусловлено сходством патогенетических механизмов и клинических проявлений. У пациентов с ВЗК, особенно определенных этнических групп, молекулярно-генетическое тестирование на ССЛ следует включать в алгоритм дифференциальной диагностики аутовоспалительных синдромов даже в отсутствие типичной симптоматики.
Выявление патогенного варианта р.V726A гена MEFV следует рассматривать как значимый модифицирующий фактор течения БК, ассоциированный с повышенной тяжестью заболевания, недостаточным ответом на иммуносупрессивную терапию, высоким риском осложнений (включая вторичный амилоидоз), неблагоприятным хирургическим прогнозом.
В настоящее время не выработана дефиниция низкой активности ССЛ, не ясен долгосрочный прогноз. Кроме того, не определены показания для назначения двух генно-инженерных биологических препаратов в случае сочетания ССЛ и ВЗК, как у нашего пациента.
Дополнительная информация
Согласие пациента
Пациент добровольно подписал информированное согласие на публикацию персональной медицинской информации в обезличенной форме в журнале «Альманах клинической медицины».
Финансирование
Работа проведена без привлечения дополнительного финансирования со стороны третьих лиц.
Конфликт интересов
Авторы декларируют отсутствие явных и потенциальных конфликтов интересов, связанных с публикацией настоящей статьи.
Участие авторов
Е.Г. Ганич, Д.А. Давыдов – курация, лечение пациента, сбор и анализ данных литературы, написание и редактирование текста; Д.А. Кузнецова – получение, анализ и интерпретация клинико-лабораторных результатов исследования пациента, анализ данных литературы, подготовка и написание текста; Д.Ш. Горбачева – курация и хирургическое лечение пациента, редактирование итогового варианта текста; Д.В. Сидоренко – выполнение и интерпретация молекулярно-генетического обследования пациента; С.В. Лапин – переработка важного научного и интеллектуального содержания статьи, редактирование текста; В.Д. Назаров – анализ и интерпретация результатов лабораторного обследования пациента, анализ данных литературы; Е.А. Девяткина – сбор биоматериала, подготовка и выполнение молекулярно-генетического обследования пациента; О.Б. Щукина – курация пациента, диагностический мониторинг и лечение пациента, редактирование и утверждение итогового варианта текста рукописи. Все авторы прочли и одобрили финальную версию статьи перед публикацией, согласны нести ответственность за все аспекты работы и гарантируют, что ими надлежащим образом были рассмотрены и решены вопросы, связанные с точностью и добросовестностью всех частей работы.
Благодарности
Коллектив авторов благодарит Собко Виктора Юрьевича за консультирование и предоставление фотографий магнитно-резонансной энтерографии, Григоряна Вадима Вирабовича за предоставление фотографий операционного материала.
About the authors
Ekaterina G. Ganich
I.P. Pavlov First St. Petersburg State Medical University
Author for correspondence.
Email: dr.ganich@yandex.ru
ORCID iD: 0000-0003-1376-4651
MD, Gastroenterologist, Inflammatory Bowel Disease Unit of the Outpatient Clinic
Russian Federation, ul. Lva Tolstogo, 6–8, St. Petersburg, 197022Denis A. Davydov
Pavlov UniversityI.P. Pavlov First St. Petersburg State Medical University
Email: davydov.rheum@gmail.com
ORCID iD: 0000-0002-5524-1616
MD, PhD, Rheumatologist, Cardiology Department No. 2, Clinic of the Research Institute of Rheumatology and Allergology, Scientific and Clinical Research Center, Assistant, Department of Hospital Therapy with a Course of Allergology and Immunology named after Academician Chernorutskiy with Clinic
Russian Federation, ul. Lva Tolstogo, 6–8, St. Petersburg, 197022Daria A. Kuznetsova
I.P. Pavlov First St. Petersburg State Medical University
Email: lariwar@mail.ru
ORCID iD: 0000-0001-5318-354X
SPIN-code: 6110-6168
Scopus Author ID: 57211460283
ResearcherId: AAL-2712-2020
MD, PhD, Сlinical Laboratory Diagnostics Physician, Laboratory of Diagnostics of Autoimmune Diseases, Center of Molecular Medicine
Russian Federation, ul. Lva Tolstogo, 6–8, St. Petersburg, 197022Dina S. Gorbacheva
I.P. Pavlov First St. Petersburg State Medical University
Email: dinadoc9@gmail.com
ORCID iD: 0009-0002-2407-9641
MD, Coloproctologist, Inflammatory Bowel Disease Unit of the Outpatient Clinic
Russian Federation, ul. Lva Tolstogo, 6–8, St. Petersburg, 197022Daria V. Sidorenko
I.P. Pavlov First St. Petersburg State Medical University
Email: si-do-renko@mail.ru
ORCID iD: 0000-0001-8503-0759
Laboratory Geneticist, Laboratory of Diagnostics of Autoimmune Diseases, Center of Molecular Medicine
Russian Federation, ul. Lva Tolstogo, 6–8, St. Petersburg, 197022Sergey V. Lapin
I.P. Pavlov First St. Petersburg State Medical University
Email: svlapin@mail.ru
ORCID iD: 0000-0002-4998-3699
SPIN-code: 9852-7501
MD, PhD, Head of the Laboratory of Diagnostics of Autoimmune Diseases, Center of Molecular Medicine
Russian Federation, ul. Lva Tolstogo, 6–8, St. Petersburg, 197022Vladimir D. Nazarov
I.P. Pavlov First St. Petersburg State Medical University
Email: nazarov19932@mail.ru
ORCID iD: 0000-0002-9354-8790
MD, PhD, Head of the Laboratory of Molecular Diagnostics, Center of Molecular Medicine
Russian Federation, ul. Lva Tolstogo, 6–8, St. Petersburg, 197022Yekaterina A. Deviatkina
I.P. Pavlov First St. Petersburg State Medical University
Email: e.deviatkina@list.ru
ORCID iD: 0000-0003-1905-3324
Postgraduate Student, Department of Clinical Laboratory Diagnostics with a Course in Molecular Medicine, Laboratory Geneticist, Laboratory of Diagnostics of Autoimmune Diseases, Center of Molecular Medicine
Russian Federation, ul. Lva Tolstogo, 6–8, St. Petersburg, 197022Oksana B. Shchukina
I.P. Pavlov First St. Petersburg State Medical University
Email: burmao@gmail.com
ORCID iD: 0000-0001-8402-0743
MD, PhD, Professor, Department of General Medical Practice (Family Medicine), Head of the Inflammatory Bowel Disease Unit of the Outpatient Clinic
Russian Federation, ul. Lva Tolstogo, 6–8, St. Petersburg, 197022References
- Seyedian SS, Nokhostin F, Malamir MD. A review of the diagnosis, prevention, and treatment methods of inflammatory bowel disease. J Med Life. 2019;12(2):113–122. doi: 10.25122/jml-2018-0075.
- Padoan A, Musso G, Contran N, Basso D. Inflammation, autoinflammation and autoimmunity in inflammatory bowel diseases. Curr Issues Mol Biol. 2023;45(7):5534–5557. doi: 10.3390/cimb45070350.
- Abacar K, Macleod T, Direskeneli H, McGonagle D. How underappreciated autoinflammatory (innate immunity) mechanisms dominate disparate autoimmune disorders. Front Immunol. 2024;15:1439371. doi: 10.3389/fimmu.2024.1439371.
- Lancieri M, Bustaffa M, Palmeri S, Prigione I, Penco F, Papa R, Volpi S, Caorsi R, Gattorno M. An update on familial Mediterranean fever. Int J Mol Sci. 2023;24(11):9584. doi: 10.3390/ijms24119584.
- Kostik MM, Zhogova OV, Lagunova NV, Ivanovskiy SV, Kolobova OL, Melnikova LN. [Familial Mediterranean fever: Current approaches to diagnosis and treatment]. Current Pediatrics. 2018;17(5):371–380. Russian. doi: 10.15690/vsp.v17i5.1953.
- Mirioglu S, Uludag O, Hurdogan O, Kumru G, Berke I, Doumas SA, Frangou E, Gul A. AA Amyloidosis: A contemporary view. Curr Rheumatol Rep. 2024;26(7):248–259. doi: 10.1007/s11926-024-01147-8.
- Sahin S, Gulec D, Günay S, Cekic C. Evaluation of the clinical effects and frequency of MEFV gene mutation in patients with inflammatory bowel disease. Gastroenterol Res Pract. 2021;2021:5538150. doi: 10.1155/2021/5538150.
- Papadopoulos VP, Antoniadou C, Ritis K, Skendros P. MEFV mutations in IBD patients: A systematic review and meta-analysis. J Gastrointestin Liver Dis. 2022;31(1):85–97. doi: 10.15403/jgld-4070.
- Akyuz F, Besisik F, Ustek D, Ekmekçi C, Uyar A, Pinarbasi B, Demir K, Ozdil S, Kaymakoglu S, Boztas G, Mungan Z, Gul A. Association of the MEFV gene variations with inflammatory bowel disease in Turkey. J Clin Gastroenterol. 2013;47(3):e23–e27. doi: 10.1097/MCG.0b013e3182597992.
- Soriano A, Manna R. Familial Mediterranean fever: New phenotypes. Autoimmun Rev. 2012;12(1):31–37. doi: 10.1016/ j.autrev.2012.07.019.
- Villani AC, Lemire M, Louis E, Silverberg MS, Collette C, Fortin G, Nimmo ER, Renaud Y, Brunet S, Libioulle C, Belaiche J, Bitton A, Gaudet D, Cohen A, Langelier D, Rioux JD, Arnott ID, Wild GE, Rutgeerts P, Satsangi J, Vermeire S, Hudson TJ, Franchimont D. Genetic variation in the familial Mediterranean fever gene (MEFV) and risk for Crohn's disease and ulcerative colitis. PLoS One. 2009;4(9):e7154. doi: 10.1371/journal.pone.0007154.
- Fidder HH, Chowers Y, Lidar M, Sternberg M, Langevitz P, Livneh A. Crohn disease in patients with familial Mediterranean fever. Medicine (Baltimore). 2002;81(6):411–416. doi: 10.1097/00005792-200211000-00001.
- Fidder H, Chowers Y, Ackerman Z, Pollak RD, Crusius JB, Livneh A, Bar-Meir S, Avidan B, Shinhar Y. The familial Mediterranean fever (MEVF) gene as a modifier of Crohn's disease. Am J Gastroenterol. 2005;100(2):338–343. doi: 10.1111/j.1572-0241.2005.40810.x.
- Kriegshäuser G, Enko D, Hayrapetyan H, Atoyan S, Oberkanins C, Sarkisian T. Clinical and genetic heterogeneity in a large cohort of Armenian patients with late-onset familial Mediterranean fever. Genet Med. 2018;20(12):1583–1588. doi: 10.1038/gim.2018.46.
- Saito D, Hibi N, Ozaki R, Kikuchi O, Sato T, Tokunaga S, Minowa S, Ikezaki O, Mitsui T, Miura M, Sakuraba A, Hayashida M, Miyoshi J, Matsuura M, Nakase H, Hisamatsu T. MEFV gene-related enterocolitis account for some cases diagnosed as inflammatory bowel disease unclassified. Digestion. 2020;101(6):785–793. doi: 10.1159/000502640.
- Kitade T, Horiki N, Katsurahara M, Totoki T, Harada T, Tano S, Yamada R, Hamada Y, Inoue H, Tanaka K, Gabazza EC, Hayashi H, Tanaka M, Takei Y. Usefulness of small intestinal endoscopy in a case of adult-onset familial Mediterranean fever associated with jejunoileitis. Intern Med. 2015;54(11):1343–1347. doi: 10.2169/internalmedicine.54.3690.
- Demir A, Akyüz F, Göktürk S, Evirgen S, Akyüz U, Örmeci A, Soyer Ö, Karaca C, Demir K, Gundogdu G, Güllüoğlu M, Erer B, Kamalı S, Kaymakoglu S, Besisik F, Gül A. Small bowel mucosal damage in familial Mediterranean fever: Results of capsule endoscopy screening. Scand J Gastroenterol. 2014;49(12):1414–1418. doi: 10.3109/00365521.2014.976838.
- Asakura K, Yanai S, Nakamura S, Kawaski K, Eizuka M, Ishida K, Endo M, Sugai T, Migita K, Matsumoto T. Familial Mediterranean fever mimicking Crohn disease: A case report. Medicine (Baltimore). 2018;97(1):e9547. doi: 10.1097/MD.0000000000009547.
- Beşer OF, Kasapçopur O, Cokuğraş FC, Kutlu T, Arsoy N, Erkan T. Association of inflammatory bowel disease with familial Mediterranean fever in Turkish children. J Pediatr Gastroenterol Nutr. 2013;56(5):498–502. doi: 10.1097/MPG.0b013e31827dd763.
- Bathobakae L, Ansari N, Mahmoud A, Hasan S, Yuridullah R, Qayyum S, Rae S. Gastric, colonic, and rectal amyloidosis in the setting of familial Mediterranean fever: A unique cause of intractable diarrhea. Case Rep Gastrointest Med. 2024;2024:6679725. doi: 10.1155/2024/6679725.
- Kuznetsova DA, Lapin SV, Gubonina IV. [Bile acid dysmetabolism in inflammatory bowel diseases]. Almanac of Clinical Medicine. 2023;51(1):1–13. Russian. doi: 10.18786/2072-0505-2023-51-007.
- Sag E, Demir F, Ercin ME, Kalyoncu M, Cakir M. Neonatal ulcerative colitis associated with familial Mediterranean fever: A case report. Rheumatol Int. 2018;38(1):137–140. doi: 10.1007/s00296-017-3848-5.
- Yildirim D, Kardas RC, Gun M, Kaya B, Vasi I, Duran R, Karadeniz H, Avanoglu Guler A, Kucuk H, Erden A, Goker B, Ozturk MA, Tufan A. Colchicine-intolerant familial Mediterranean fever patients: A comparative study between different colchicine doses and IL-1 inhibitor monotherapy. Int Immunopharmacol. 2024;128:111491. doi: 10.1016/j.intimp.2024.111491.
- Stewart S, Yang KCK, Atkins K, Dalbeth N, Robinson PC. Adverse events during oral colchicine use: A systematic review and meta-analysis of randomised controlled trials. Arthritis Res Ther. 2020;22(1):28. doi: 10.1186/s13075-020-2120-7.
- Ozen S, Demirkaya E, Erer B, Livneh A, Ben-Chetrit E, Giancane G, Ozdogan H, Abu I, Gattorno M, Hawkins PN, Yuce S, Kallinich T, Bilginer Y, Kastner D, Carmona L. EULAR recommendations for the management of familial Mediterranean fever. Ann Rheum Dis. 2016;75(4):644–651. doi: 10.1136/annrheumdis-2015-208690.
- Kuemmerle-Deschner JB, Gautam R, George AT, Raza S, Lomax KG, Hur P. A systematic literature review of efficacy, effectiveness and safety of biologic therapies for treatment of familial Mediterranean fever. Rheumatology (Oxford). 2020;59(10):2711–2724. doi: 10.1093/rheumatology/keaa205.
- De Benedetti F, Gattorno M, Anton J, Ben-Chetrit E, Frenkel J, Hoffman HM, Koné-Paut I, Lachmann HJ, Ozen S, Simon A, Zeft A, Calvo Penades I, Moutschen M, Quartier P, Kasapcopur O, Shcherbina A, Hofer M, Hashkes PJ, Van der Hilst J, Hara R, Bujan-Rivas S, Constantin T, Gul A, Livneh A, Brogan P, Cattalini M, Obici L, Lheritier K, Speziale A, Junge G. Canakinumab for the treatment of autoinflammatory recurrent fever syndromes. N Engl J Med. 2018;378(20):1908–1919. doi: 10.1056/NEJMoa1706314.
- Carter JD, Valeriano J, Vasey FB. Crohn disease worsened by anakinra administration. J Clin Rheumatol. 2003;9(4):276–277. doi: 10.1097/01.RHU.0000081265.06408.e4.
- Shelygin YuA, Ivashkin VT, Achkasov SI, Reshetov IV, Maev IV, Belousova EA, Vardanyan AV, Nanaeva BA, Adamyan LV, Drapkina OM, Namazova-Baranova LS, Razumovsky AYu, Revishvili ASh, Khatkov IE, Shabunin AV, Livzan MA, Sazhin AV, Timerbulatov VM, Khlynova OV, Abdulganieva DI, Abdulkhakov RA, Aleksandrov TL, Alekseeva OP, Alekseenko SA, Anosov IS, Bakulin IG, Barysheva OYu, Bolikhov KV, Veselov VV, Golovenko OV, Gubonina IV, Dolgushina AI, Zhigalova TN, Kagramanova AV, Kashnikov VN, Knyazev OV, Kostenko NV, Likutov AA, Lomakina EY, Loranskaya ID, Mingazov AF, Moskalev AI, Nazarov IV, Nikitina NV, Odintsova AH, Omelyanovsky VV, Osipenko MF, Оshchepkov АV, Pavlenko VV, Poluektova EA, Rodoman GV, Segal AM, Sitkin SI, Skalinskaya MI, Surkov AN, Sushkov OI, Tarasova LV, Uspenskaya YuB, Frolov SA, Chashkova EYu, Shifrin OS, Shcherbakova OV, Shchukina OB, Shkurko TV, Makarchuk PA. Clinical guidelines. Crohn’s disease (К50), adults. Koloproktologia. 2023;22(3):10–49. Russian. doi: 10.33878/2073-7556-2023-22-3-10-49.
- Boyadzhieva Z, Ruffer N, Burmester G, Pankow A, Krusche M. Effectiveness and safety of JAK inhibitors in autoinflammatory diseases: A systematic review. Front Med (Lausanne). 2022;9:930071. doi: 10.3389/fmed.2022.930071.
Supplementary files




