An algorithm for quantitative ultrasound steatometry of the liver: development of the technique and evaluation of its sensitivity, specificity, and reproducibility
- Авторлар: Shestakova D.Y.1, Borsukov A.V.1
-
Мекемелер:
- Smolensk State Medical University
- Шығарылым: Том 52, № 7 (2024)
- Беттер: 351-366
- Бөлім: ARTICLES
- URL: https://journals.rcsi.science/2072-0505/article/view/280034
- DOI: https://doi.org/10.18786/2072-0505-2024-52-037
- ID: 280034
Дәйексөз келтіру
Толық мәтін
Аннотация
Rationale: Due to rising prevalence of metabolic syndrome, obesity and type 2 diabetes mellitus, the prevalence of metabolic-associated hepatic steatosis has amounted to 38–42% worldwide. The burden of its dangerous complications, such as steatohepatitis, liver fibrosis and cirrhosis, hepatocellular carcinoma, make the search for effective diagnostic methods of liver steatosis a priority. However, lack standardization of assessments reduces the accuracy and reproducibility of their results and requires elaboration of unified protocols for such assessments.
Aim: To develop a unified algorithm for quantitative ultrasound steatometry of the liver and to evaluate its diagnostic accuracy (sensitivity, specificity, and reproducibility).
Methods: This was a three step study, with its 1st part including 34 specialists on echography diagnostics aged 28 to 64 years with varying levels of experience (1 to 3 years, n = 5, 15.6%; 4 to 10 years, n = 18, 50%; 11 to 20 years, n = 8, 25%; ≥ 21 years: n = 3, 9.4%). The accuracy of quantitative ultrasound steatometry procedure evaluated with a test questionnaire, by analysis of archived echograms (340 clinical cases), and real-time ultrasound steatometry performed in 102 patients under the direct or remote supervision of the authors. In the 2nd part of the study we examined 173 patients with liver steatosis confirmed by multiparametric echography, comprehensive clinical and biochemical SteatoTest, magnetic resonance spectroscopy, multiaxial computed tomography with color mapping, dual-energy X-ray absorptiometry in the "whole body" mode, and histological examination of liver biopsy samples.
In the 3rd part of the study we assessed the reproducibility of the quantitative ultrasound steatometry algorithm proposed by the authors, 12 ultrasound diagnostic physicians with varying levels of experience were involved (1 to 3 years: n = 3; 4 to 10 years: n = 3; 11 to 20 years: n = 3; more than 21 years: n = 3). Each physician examined 20 patients (5 patients in groups with no steatosis and with histologically confirmed steatosis of grades 1 to 3).
Results: In the 1st part of the study, we identified the main patterns of quantitative ultrasound steatometry of the liver by specialists in the ultrasound diagnostics. Based on the international and Russian guidelines, as well as our own research, we proposed standardized operational procedure for quantitative ultrasound steatometry. The comparative analysis in the 2nd part of the study showed that the implementation of the operational procedure proposed by the author was associated with more narrow intervals for the ultrasound wave attenuation coefficient and better reproducibility, compared to the most common “rules” used by specialists in the ultrasound diagnostics. There were significant differences in the diagnosis of moderate and maximal steatosis with these two approaches (p < 0.05). The sensitivity and specificity of the operational procedure proposed by the authors were 89% and 94%, respectively, compared to 75% and 79% for the commonly used approach. In the 3rd part of the study, there were no significant differences in the ultrasound wave attenuation coefficient measured by specialists with various levels of experience according to the authors’ algorithm. The inter-rater correlation coefficient was 0.948 (95% confidence interval [0.914; 0.973], p < 0.001), confirming the authors method's high reproducibility and consistency.
Conclusion: We have proposed an operational procedure for ultrasound quantitative steatometry of the liver, based on determination of the attenuation coefficient of the ultrasound wave in tissues. The implementation of this algorithm by medical specialists irrespective of their working experience provides high reproducibility of the method, with maximal sensitivity (89%) and specificity (94%).
Негізгі сөздер
Толық мәтін
Метаболически ассоциированная жировая болезнь печени (МАЖБП) представляет собой глобальную проблему здравоохранения [1]. К настоящему времени в связи с ростом распространенности метаболического синдрома, ожирения и сахарного диабета 2-го типа частота МАЖБП в мире достигла 38–42% [2, 3]. Эпидемия МАЖБП и бремя таких ее опасных осложнений, как стеатогепатит, фиброз и цирроз печени, гепатоцеллюлярный рак, определяют приоритетность исследований эффективных диагностических методов и стратегий лечения стеатоза печени [4, 5].
Количественная ультразвуковая (УЗ) стеатометрия широко используется в клинической практике для диагностики и мониторинга стеатоза печени, а также для оценки его тяжести. Один из ключевых параметров этого метода – измерение коэффициента затухания УЗ-волны (в дБ/см, дБ/м, дБ/см/МГц), который позволяет количественно оценить содержание жира в ткани печени. Чем выше содержание жира, тем сильнее затухание УЗ-волны. В отличие от пункционной биопсии печени количественная УЗ-стеатометрия – неинвазивный метод, но при этом она показывает высокую диагностическую точность и коррелирует с результатами гистологического исследования [6–11]. Однако метод имеет существенное ограничение: отсутствие единого протокола и унифицированных правил проведения количественной УЗ-стеатометрии, а также четких инструкций от производителей приводит к расхождению результатов, полученных врачами на разных моделях оборудования, что осложняет интерпретацию данных и сравнение показателей между медицинскими организациями – как следствие, снижается точность диагностики, затрудняется мониторинг прогрессирования заболевания. Разработка стандартизированных рекомендаций по проведению исследования необходима для улучшения воспроизводимости и надежности метода.
Цель – создание унифицированного алгоритма проведения количественной УЗ-стеатометрии печени и оценка его диагностической точности (чувствительности, специфичности и воспроизводимости).
Материал и методы
На базе проблемной научно-исследовательской лаборатории (ПНИЛ) «Диагностические исследования и малоинвазивные технологии» ФГБОУ ВО «Смоленский государственный медицинский университет» Минздрава России (СГМУ) в период с февраля 2022 по август 2024 г. проведено проспективное диагностическое исследование, состоящее из трех частей. Этапы и схема исследования отражены на рис. 1.
Рис. 1. Дизайн исследования; S – степень стеатоза по данным гистологического исследования биоптатов печени по шкале SAF (Steatosis, Activity, Fibrosis)
Первая часть исследования проведена с участием 34 врачей УЗ-диагностики с февраля по май 2022 г. для определения наиболее типичных «правил», которыми пользуются врачи при проведении количественной УЗ-стеатометрии печени.
Критерии включения: согласие на очное или дистанционное участие в исследовании, наличие опыта проведения УЗ-исследования органов брюшной полости, наличие опыта проведения количественной УЗ-стеатометрии печени, наличие архива эхограмм с количественной УЗ-стеатометрией печени (готовность предоставить для анализа не менее 10 клинических случаев), подписание информированного согласия. Критерии невключения: отсутствие опыта проведения УЗ-исследования органов брюшной полости и количественной УЗ-стеатометрии печени, отсутствие или малый (менее 10 клинических случаев) архив эхограмм с количественной УЗ-стеатометрией печени, отказ от подписания информированного согласия. Критерий преждевременного исключения из исследования – отзыв информированного согласия врачом УЗ-диагностики.
Всего в исследовании участвовали 34 врача УЗ-диагностики в возрасте от 28 до 64 лет с разным стажем работы (5 (14,7%) врачей имели опыт работы от 1 до 3 лет, 18 (52,9%) – от 4 до 10 лет, 8 (23,5%) – от 11 до 20 лет, 3 (8,8%) – более 21 года) из Смоленска, Москвы и Санкт-Петербурга. Врачи из Смоленска принимали участие в очном формате, врачи из других городов – в дистанционном онлайн-формате. Всем врачам был предложен единый алгоритм участия в исследовании, состоящий из четырех этапов:
- 1-й этап. Тестовый опросник (22 вопроса), разработанный авторами, касающийся методики проведения количественной УЗ-стеатометрии печени (приложение). Опросник утвержден на заседании ПНИЛ СГМУ от 17.01.2022, протокол № 1. Заполнен 34 врачами;
- 2-й этап. Оценка врачами пяти предоставленных текстовых клинических ситуационных задач с реальными эхограммами на корректность, по их мнению, проведения количественной УЗ-стеатометрии печени (n = 170);
- 3-й этап. Предоставление врачами архивных эхограмм (10 клинических случаев) для последующего анализа авторами и выявления общих тенденций проведения количественной УЗ-стеатометрии печени и формирования наиболее типичных «правил» врачей УЗ-диагностики (n = 340). В данном случае значение имело не только количество исследований, но и показатель отношения интерквартильного размаха к медиане, который является критичным для определения корректности получаемого коэффициента затухания УЗ-волны;
- 4-й этап. Выполнение 34 врачами УЗ-стеато-метрии печени (3 пациентам) в режиме реального времени при личном или дистанционном присутствии авторов (n = 102) с выявлением типичных паттернов проведения исследования. Врачи выполняли данное исследование в разных городах, в разных медицинских организациях, на разных моделях УЗ-оборудования, с которым они знакомы и на котором постоянно работают (модели оборудования: БИОСС (Россия), Mindray (КНР), Fujifilm (Япония), Canon (Япония), GE (США)), – в данном случае авторы стремились к получению максимально приближенных к реальности условий, в которых врачи работают ежедневно.
По результатам первой части исследования были определены наиболее типичные «правила», по которым большинство врачей УЗ-диагностики проводят количественную УЗ-стеатометрию печени (в настоящее время конкретные правила существуют только в рамках общего печеночного протокола для изучения диффузных изменений печени – например, эластографии печени). Далее эти наиболее типичные «правила» врачей УЗ-диагностики использовали во второй части исследования для сравнения с правилами, предложенными авторами статьи.
Во второй части исследования авторами статьи (n = 2) в период с июня 2022 по март 2024 г. обследованы 184 пациента (случайная выборка) многопрофильного стационара (ОГБУЗ «Клиническая больница № 1» г. Смоленска), из них 96 (52,2%) женщин, 88 (47,8%) мужчин (средний возраст – 47 ± 5,6 года).
Критерием включения было наличие стеатоза печени по данным хотя бы одного референсного метода диагностики. Стеатоз печени был подтвержден комплексным клинико-биохимическим тестом с определением стеатоза печени (SteatoTest) у 16 (8,7%) пациентов (на основании показателей возраста, пола, массы тела, роста, α-2-макроглобулина, гаптоглобина, аполипопротеина А1, общего билирубина, гамма-глутамилтрансферазы, глюкозы натощак, триглицеридов, холестерола, аланинаминотрансферазы, аспартатаминотрансферазы), цветовым картированием при мультиспиральной компьютерной томографии – у 68 (37%), магнитно-резонансной спектроскопией – у 23 (12,5%), двухэнергетической рентгеновской абсорбциометрией в режиме «все тело» (основной референсный тест) – у 173 (94%), гистологическим исследованием биоптата печени по шкалам NAS/SAF (NAFLD Activity Score / Steatosis, Activity, Fibrosis) – у 24 (13%) пациентов. Критерии невключения: отсутствие стеатоза печени по данным мультипараметрического УЗ-исследования по правилам, предложенным авторами, и отсутствие данных всех предложенных референсных методов диагностики; отсутствие стеатоза печени по данным хотя бы одного из предложенных референсных методов диагностики. Критерии преждевременного исключения из исследования: отзыв информированного согласия, наличие дефектов проведения референсного метода исследования в случае, если его нельзя заменить другим методом (11 (6%) пациентов).
Таким образом, в анализ включены данные 173 пациентов (основная группа), которым была выполнена двухэнергетическая рентгеновская абсорбциометрия в режиме «все тело» (референсный метод), а также УЗ-стеатометрия печени по наиболее типичным «правилам» врачей УЗ-диагностики, выявленным в первой части исследования, и УЗ-стеатометрия печени по правилам, предложенным авторами (индексный тест). Отсутствующие данные пациентов исключали из анализа; сомнительные результаты индексного теста оценивали повторно. Контрольную группу составили 98 пациентов (47 женщин, 51 мужчина) без признаков стеатоза печени по данным количественной УЗ-стеатометрии. Исследование проводили на УЗ-оборудовании БИОСС АНГИОДИН СОНО-П/Ультра (Россия). Всем пациентам контрольной группы также выполнена двухэнергетическая рентгеновская абсорбциометрия в режиме «все тело».
В третьей части исследования, проведенной с апреля по август 2024 г., оценивали воспроизводимость методики, предложенной авторами. Для этого были приглашены 12 врачей из Смоленска, имеющих опыт работы в сфере УЗ-диагностики не менее 1 года (3 (25%) врача имели опыт работы от 1 до 3 лет, 3 (25%) врача – от 4 до 10 лет, 3 (25%) врача – от 11 до 20 лет и 3 (25%) врача – более 21 года). Каждый врач очно обследовал 20 пациентов – по 5 в каждой группе (отсутствие стеатоза, стеатоз 1-й, 2-й и 3-й степени), у которых поражение печени или его отсутствие было подтверждено ранее гистологическим методом исследования биоптата по шкале SAF. Исследование одобрено локальным этическим комитетом при ОГБУЗ «Клиническая больница № 1» г. Смоленска (протокол № 62 от 13.01.2022). Информированное согласие получено от всех участников исследования. Исследование проводили на УЗ-оборудовании БИОСС АНГИОДИН СОНО-П/Ультра (Россия).
Статистический анализ выполняли с использованием статистических пакетов gtsummary (v. 1.7.2), ggplot2 (v. 3.5.0) языка программирования R 4.4.2. Количественные показатели оценивали на предмет соответствия нормальному распределению с помощью критерия Колмогорова – Смирнова. В связи с отклонением наблюдаемого распределения от нормального количественные данные представляли в виде медианы с интерквартильным размахом (Me [Q1; Q3]). Для категориальных данных указывали абсолютные значения и процентные доли. При определении уровня воспроизводимости использовали коэффициент внутриклассовой корреляции. Сравнение двух групп по количественному показателю осуществляли с помощью критерия Манна – Уитни, анализ более трех групп проводили с использованием критерия Краскела – Уоллиса. При проверке статистических гипотез нулевые гипотезы отвергали при p < 0,05. Информативность и разрешающую способность диагностического метода оценивали с помощью расчета чувствительности и специфичности. Чувствительность рассчитывали как долю пациентов, действительно имеющих заболевание, среди тех, у кого исследуемый показатель превышал референсные значения. Специфичность определяли как долю лиц, не имеющих заболевания, среди тех, у кого исследуемый показатель оставался в пределах референсных значений. Расчет чувствительности и специфичности проводили на выборках: основная группа (173 пациента многопрофильного стационара со стеатозом) и контрольная группа (98 пациентов без признаков стеатоза печени по данным количественной УЗ-стеатометрии). Определяли наличие / отсутствие стеатоза печени (диагностируемое состояние). В качестве «золотого стандарта» (референсного метода) использовали двухэнергетическую рентгеновскую абсорбциометрию в режиме «все тело» с оценкой структуры абдоминального ожирения. Отсутствие стеатоза печени верифицировали также с использованием метода двухэнергетической рентгеновской абсорбциометрии в режиме «все тело» с оценкой структуры абдоминального ожирения.
Результаты
Первая часть
По результатам анализа 1–4-го этапов первой части исследования были выявлены основные варианты проведения количественной УЗ-стеато-метрии печени врачами УЗ-диагностики с последующим формированием типичных признаков проведения исследования (рис. 2–8). Таковыми оказались отсутствие предварительного отдыха, длина региона интереса (РИ) 20–25 мм, 1 измерение без учета соотношения интерквартильного размаха и медианы.
Рис. 2. Варианты проведения количественной ультразвуковой стеатометрии печени с различием в ширине и длине региона интереса (РИ)
Рис. 3. Распределение вариантов проведения количественной ультразвуковой стеатометрии печени с различием в ширине (А) и длине (Б) региона интереса (РИ) врачами ультразвуковой диагностики (n = 34)
Рис. 4. Варианты проведения количественной ультразвуковой (УЗ) стеатометрии печени с различием в расположении региона интереса (РИ) на эхограмме по отношению к УЗ-лучам и капсуле печени
Рис. 5. Распределение вариантов проведения количественной ультразвуковой (УЗ) стеатометрии печени врачами УЗ-диагностики (n = 34) в зависимости от расположения региона интереса (РИ) на эхограмме и по отношению к капсуле печени и к УЗ-лучам
Рис. 6. Варианты проведения количественной ультразвуковой стеатометрии печени с различием в глубине расположения региона интереса (РИ) в паренхиме печени
Рис. 7. Варианты проведения количественной ультразвуковой стеатометрии печени с различием в расположении региона интереса (РИ) по отношению к соседним органам и/или структурам
Рис. 8. Варианты проведения врачами ультразвуковой диагностики (n = 34) количественной ультразвуковой стеатометрии печени в зависимости от расположения региона интереса по глубине (А), по отношению к соседним органам и/или структурам (Б)
На основании анализа действующих зарубежных и отечественных клинических рекомендаций, касающихся количественной оценки различных клинико-морфологических форм диффузных изменений печени (преимущественно фиброза)1 [12–16], и результатов собственных исследований [17–21] нами предложены следующие правила проведения количественной УЗ-стеатометрии печени у пациентов с подозрением на стеатоз печени (рис. 9):
- натощак (не рекомендуется принимать пищу, напитки за 4 часа до проведения исследования);
- без предварительной физической нагрузки (за 4 часа до проведения исследования), с отдыхом в положении сидя в течение 15 минут и последующим отдыхом в положении лежа на спине в течение 5 минут до проведения исследования (этого времени обычно достаточно для выбора оптимального расположения РИ в В-режиме);
- расположение пациента лежа на спине с заведенной за голову правой рукой (для расширения межреберных промежутков);
- расположение датчика по ходу межреберья, в передней, средней, задней подмышечных линиях (linea axillaris anterior, media, posterior) – в зависимости от индивидуальных особенностей расположения печени, в правой доле печени;
- использовать при наличии возможность сопоставления двух окон с единой визуализацией печени в В-режиме и в режиме количественной стеатометрии для дополнительного контроля;
- коррекция размера РИ: средняя ширина – 10–15 мм, большая длина – более 25 мм (для стандартизированной оценки коэффициента затухания УЗ-волны с вовлечением максимального объема ткани печени по глубине), не доходя нижней границей РИ до диафрагмы (оптимальная площадь РИ – 5–6 см2);
- центральное расположение РИ параллельно капсуле печени, на глубине не менее 10 мм (фиксация верхней границы РИ), под прямым углом к УЗ-лучам для минимизации количества артефактов;
- расположение РИ вдали от соседних органов и/или структур;
- в случае наличия у разных моделей УЗ-обо-рудования первого большого и второго малого проверочного РИ рекомендовано расположение первого РИ по правилу 5, второго РИ – внутри первого РИ по правилу 7;
- определение среднего значения коэффициента затухания УЗ-волны по данным не менее 5 измерений;
- отношение интерквартильного размаха (IQR, interquartile range) к медиане (M, median) не более 30%.
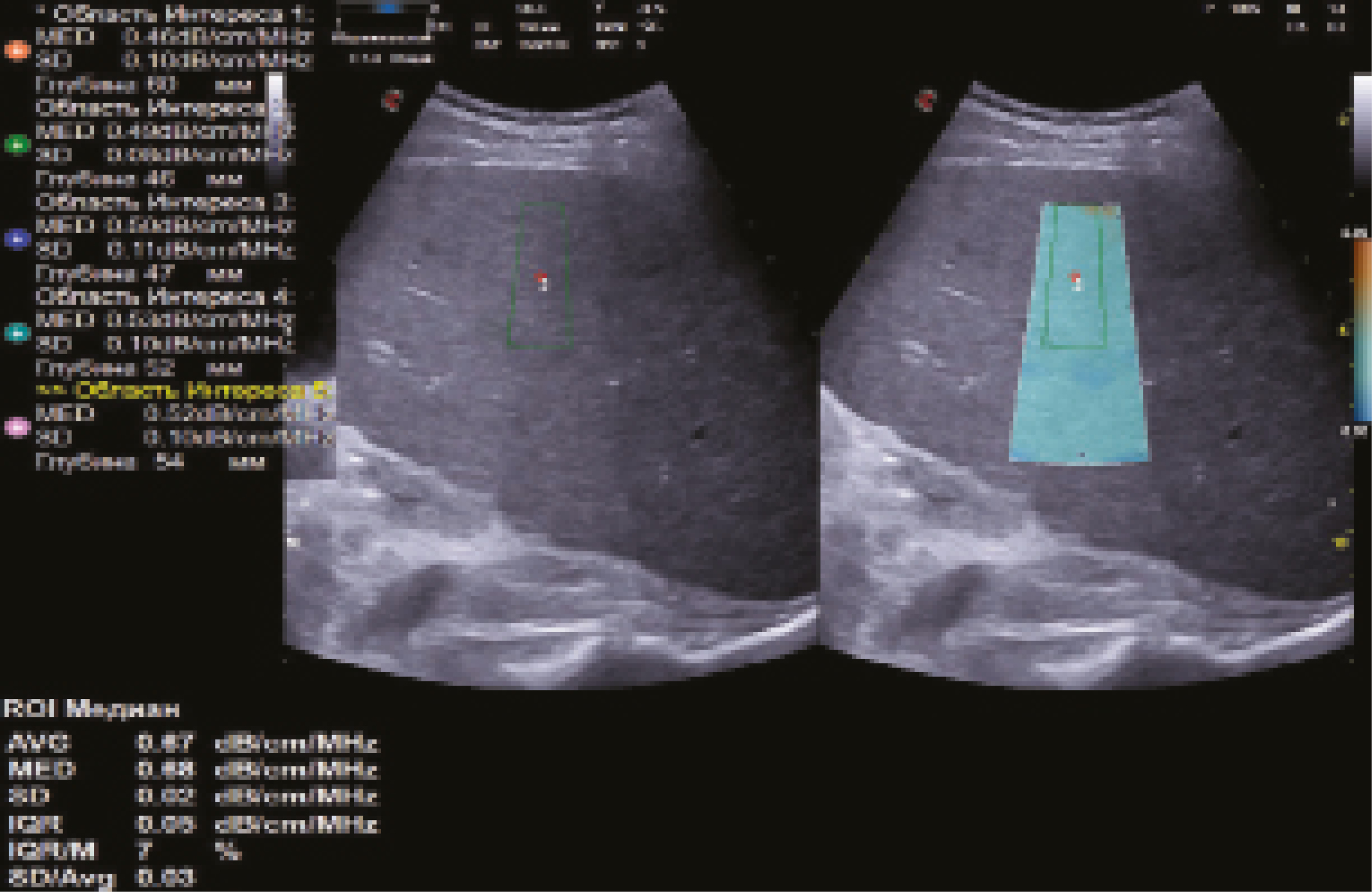
Рис. 9. Эхограмма количественной ультразвуковой стеатометрии печени с определением коэффициента затухания ультразвуковой волны (0,67 дБ/см/МГц, стеатоз печени S1 – минимально выраженный), выполненная по правилам, предложенным авторами
Вторая часть
Сравнительный анализ данных количественной УЗ-стеатометрии печени, выполненной по правилам, предложенным авторами, и количественной УЗ-стеатометрии, проведенной по типичным признакам наиболее часто встречающихся «правил» врачей УЗ-диагностики (определены в первой части исследования), выявил более широкие интервалы, в том числе перекрывающие другие, в каждой группе пациентов – с минимально выраженным стеатозом печени (S1), умеренно выраженным (S2) и максимально выраженным (S3) (табл. 1, рис. 10). Статистически значимые различия установлены при диагностике умеренно и максимально выраженного стеатоза печени (p < 0,05) по наиболее типичным «правилам» врачей УЗ-диагностики и по правилам, предложенным авторами статьи. Стоит отметить, что при диагностике всех степеней стеатоза с использованием референсного подхода продемонстрирован наибольший интерквартильный размах коэффициента затухания УЗ-волны по сравнению с предложенной нами методикой. Полученные данные также подтверждаются результатами F-теста Фишера, который показывает неравенство дисперсий при использовании измерений по наиболее типичным «правилам» врачей УЗ-диагностики и по правилам, предложенным авторами (p < 0,05).
Таблица 1. Описательная статистика коэффициента затухания ультразвуковой волны с использованием наиболее типичных «правил» врачей ультразвуковой диагностики и правил, предлагаемых авторами статьи, Me [Q1; Q3]
Степень стеатоза | По наиболее типичным «правилам» врачей ультразвуковой диагностики | По правилам, предлагаемым авторами статьи | Значение p | F-тест | |
F | Значение p | ||||
Стеатоз 1-й степени | 0,4 | – | – | ||
Стеатоз 2-й степени | 0,010 | 0,141 | 5,506e-11 | ||
Стеатоз 3-й степени | 0,003 | 0,082 | 7,61e-11 | ||
Рис. 10. Распределение показателей количественной ультразвуковой (УЗ) стеатометрии, выполненной по правилам, предложенным авторами, и по типичным признакам наиболее часто встречающихся «правил» врачей УЗ-диагностики
Чувствительность и специфичность количественной УЗ-стеатометрии, выполненной по правилам, предложенным авторами, составили 89 и 94% соответственно; количественной УЗ-стеатометрии, выполненной по типичным «правилам» врачей УЗ-диагностики, – 75 и 79% (табл. 2).
Таблица 2. Сравнительная характеристика методов проведения количественной ультразвуковой стеатометрии на основе таблиц сопряженности
Метод | Результат (n = 271) | Чувствительность | Специфичность | |||
ИП | ЛО | ЛП | ИО | |||
Правила, предложенные авторами | 155 | 18 | 6 | 92 | 0,896 | 0,939 |
Наиболее типичные «правила» врачей ультразвуковой диагностики | 130 | 43 | 21 | 77 | 0,751 | 0,786 |
ИО – истинно отрицательный, ИП – истинно положительный, ЛО – ложноотрицательный, ЛП – ложноположительный
Третья часть
Как видно из данных табл. 3, результаты измерений коэффициента затухания УЗ-волны, полученные врачами с разным опытом работы, выполнявшими количественную УЗ-стеатометрию по правилам, предложенным авторами, не продемонстрировали статистически значимых отличий, что свидетельствует в пользу предлагаемой методики.
Таблица 3. Сравнительный анализ результатов измерений коэффициента затухания ультразвуковой волны среди врачей с разным опытом (n = 12), Me [Q1; Q3]
Степень стеатоза | Стаж работы | Значение p | |||
1–3 года | 11–20 лет | 4–10 лет | более 21 года | ||
Нет стеатоза | 0,6 | ||||
Стеатоз 1-й степени | 0,3 | ||||
Стеатоз 2-й степени | > 0,9 | ||||
Стеатоз 3-й степени | 0,4 | ||||
С целью оценки согласованности и воспроизводимости количественных измерений, проведенных докторами с разным стажем по правилам, предложенным авторами (рис. 11), был рассчитан коэффициент внутриклассовой корреляции (r), который составил 0,948 (95% доверительный интервал 0,914–0,973, p < 0,001). Данный коэффициент, использованный для оценки интер- и интраоператорной вариабельности для определения степени согласия между измерениями, проведенными разными операторами, превысил 0,94, что соответствует высокому уровню надежности и воспроизводимости предложенного способа оценки степени стеатоза у пациентов.
Рис. 11. Сопоставимость результатов измерения коэффициента затухания ультразвуковой волны у врачей ультразвуковой (УЗ) диагностики с разным стажем работы; на оси абсцисс указаны порядковые номера пациентов в группах
Обсуждение
Данные, полученные в первой части исследования, подтвердили, что врачи с разным стажем работы получают отличающиеся показатели коэффициента затухания УЗ-волны, так как руководствуются «правилами», которые они полагают верными, опираясь на свои знания, опыт или общие сведения мировых и российских рекомендаций по УЗ-диагностике диффузных изменений печени в рамках общего печеночного протокола (например, УЗ-эластографии, для которой правила уже определены, их эффективность доказана) [12, 13, 15, 22]. Показатель коэффициента затухания УЗ-волны в тканях при проведении количественной УЗ-стеатометрии значительно варьировался не только между врачами, имеющими разный опыт работы, но и между врачами с одинаковым стажем. Это говорит о том, что на результаты исследования влияют и уровень опыта врача, и индивидуальные подходы к проведению исследования. Ключевая причина вариативности результатов – отсутствие унифицированного алгоритма выполнения УЗ-стеатометрии, а значит, его разработка и внедрение могли бы минимизировать расхождения и обеспечить высокую точность и надежность метода независимо от опыта специалиста. Анализ архивных эхограмм и наблюдения за выполнением процедуры в реальном времени, проведенные в первой части настоящего исследования, позволили авторам выявить типичные ошибки и предложить набор правил, направленных на нивелирование субъективных факторов. В будущем эти правила, вероятно, лягут в основу стандартизации методики.
Во второй части исследования в результате сравнительного анализа данных количественной УЗ-стеатометрии, выполненной по правилам, предложенным авторами, и по наиболее типичным «правилам» врачей УЗ-диагностики, выявлены статистически значимые различия при диагностике умеренно выраженного (S2) и максимально выраженного (S3) стеатоза печени (p < 0,05). Широкие интервалы коэффициента затухания УЗ-волны при использовании типичных «правил» врачей значительно перекрывали значения в других группах, что снижало точность диагностики. В противоположность этому, показатели коэффициента затухания УЗ-волны, полученные при проведении стеатометрии по предложенным авторами правилам, показали меньший интерквартильный размах, что свидетельствует о большей воспроизводимости и точности методики. Таким образом, унификация методики позволит не только улучшить точность диагностики стеатоза печени, но и стандартизировать подход, обеспечив его надежность в клинической практике.
Вопрос применения количественной УЗ-стеато-метрии как самостоятельного метода активно обсуждается в литературе [6, 7, 23]. В отечественных публикациях часто делается акцент на возможности количественной УЗ-стеатометрии для скрининга и мониторинга стеатоза печени в условиях ограниченных ресурсов, что подтверждает значимость метода в повседневной клинической практике [4, 9, 24]. В зарубежных исследованиях количественная УЗ-стеатометрия рассматривается как инструмент первичной диагностики, позволяющий выделить группы риска и обосновать необходимость более детального обследования [23–25]. Однако в большинстве случаев авторы подчеркивают необходимость использования стеатометрии в сочетании с другими методами, такими как эластография или лабораторные маркеры, для повышения диагностической точности, не приводя конкретных правил проведения метода стеатометрии [7, 11, 26]. Обобщение этих данных подтверждает, что методика имеет потенциал для самостоятельного применения в отдельных клинических ситуациях, однако наибольшая ее ценность раскрывается при унифицированном выполнении врачами с разным опытом работы и интеграции в комплексный диагностический подход. Предложенные нами правила проведения количественной УЗ-стеатометрии гармонично сочетаются с существующими российскими и мировыми клиническими рекомендациями по диагностике заболеваний печени. В частности, наш подход основан на ключевых принципах, отраженных в рекомендациях Европейской ассоциации по изучению заболеваний печени (англ. European Association for the Study of the Liver – EASL) [27, 28], Американской ассоциации по изучению заболеваний печени (англ. American Association for the Study of Liver Diseases – AASLD) [29], действующих российских клинических рекомендаций1. Однако в рамках наших правил эти положения были синтезированы именно в отношении стеатозной болезни печени, дополнены на основе собственного многолетнего клинического опыта и анализа большого массива данных, что позволило оптимизировать подход для улучшения воспроизводимости, точности и универсальности метода в клинической практике [17–21]. Таким образом, правила, предложенные авторами, включают как уже доказавшие свою эффективность положения относительно диффузных изменений печени, адаптированные под метод стеатометрии, так и свои собственные дополнения, которые направлены на минимизацию влияния субъективных факторов и повышение чувствительности и специфичности диагностики стеатозной болезни печени.
Результаты третьей части исследования подтвердили высокую воспроизводимость предложенных правил выполнения количественной УЗ-стеатометрии. Независимо от опыта врачей, унифицированный подход обеспечивал сопоставимые результаты в разных группах пациентов. Это подчеркивает универсальность и практическую применимость методики в условиях клинической практики. Тем не менее необходимы дальнейшие исследования для подтверждения эффективности предложенного алгоритма на более широких выборках специалистов и пациентов.
Количественная УЗ-стеатометрия как самостоятельный метод безусловно обладает высоким потенциалом для использования, особенно для скрининга и динамического наблюдения за состоянием печени у пациентов с метаболическим синдромом, ожирением или другими факторами риска [5]. Однако необходимо учитывать, что изолированное использование стеатометрии без оценки жесткости или фиброза паренхимы печени может ограничивать возможности диагностики на более поздних стадиях заболевания [7]. Полное мультипараметрическое исследование печени, включающее помимо стеатометрии оценку жесткости органа и воспалительной активности, совместно с дополнительным лабораторным обследованием остается предпочтительным для комплексной оценки состояния печени при подозрении на прогрессирующие формы стеатогепатита или фиброза [30–32], что необходимо учитывать при дальнейшем исследовании метода. Таким образом, стандартизация правил выполнения УЗ-стеатометрии позволяет достичь высокой степени воспроизводимости и точности метода, что делает его важным компонентом комплексного подхода, при этом методику количественной стеатометрии можно успешно применять в отрыве от полного печеночного протокола, особенно в ситуациях, требующих быстрого и доступного скрининга.
Заключение
Предложены правила проведения количественной УЗ-стеатометрии печении, основанной на определении коэффициента затухания УЗ-волны в тканях, которые позволяют врачам с разным опытом работы демонстрировать высокую воспроизводимость метода с максимальными уровнями чувствительности (89%) и специфичности (94%).
Приложение
Опросник, касающийся методики проведения количественной ультразвуковой стеатометрии печени, разработанный для исследования
Утвержден на заседании проблемной научно-исследовательской лаборатории «Диагностические исследования и малоинвазивные технологии» ФГБОУ ВО «Смоленский государственный медицинский университет» Минздрава России (протокол № 1 от 17.01.2022), размещен в свободном доступе на сайте лаборатории по ссылке: http://borsukov.ru/steato.
- Необходимо ли пациенту голодать до начала исследования?
Да Нет
- Если Ваш ответ «Да», то в течение какого времени пациенту рекомендовано воздерживаться от приема пищи до проведения исследования?
До 2 часов 3–4 часа 5–6 часов 7–8 часов
- Необходим ли пациенту физический отдых перед проведением исследования?
Да Нет
- Если Ваш ответ «Да», то в течение какого времени пациенту рекомендовано физически отдыхать (сидя или лежа) до проведения исследования?
До 5 минут 6–10 минут 11–15 минут 16–20 минут 21–30 минут Более 30 минут
- В каком положении необходимо проводить количественную УЗ-стеатометрию для максимально быстрого получения корректных результатов?
Лежа на спине
Лежа на левом боку
Лежа на спине с заведенной за голову правой рукой
Лежа на спине с заведенными за голову обеими руками
- Влияет ли на корректность получаемых показателей УЗ-стеатометрии дыхание пациента во время измерения коэффициента затухания УЗ-волны?
Да Нет
- Если Ваш ответ «Да», то в какой момент дыхания пациента вероятнее всего получить корректные показатели?
Во время глубокого вдоха
На задержке дыхания после глубокого вдоха
Во время глубокого выдоха
На задержке дыхания после глубокого выдоха
На задержке дыхания без форсированного вдоха и/или выдоха
- Влияет ли на корректность получаемых показателей УЗ-стеатометрии длина региона интереса?
Да Нет
- Если Ваш ответ «Да», то при какой длине региона интереса вероятнее всего получить корректные показатели?
Малая длина (до 20 мм)
Средняя длина (20–25 мм)
Большая длина (более 25 мм)
- Влияет ли на корректность получаемых показателей УЗ-стеатометрии ширина региона интереса?
Да Нет
- Если Ваш ответ «Да», то при какой ширине региона интереса вероятнее всего получить корректные показатели?
Малая ширина (до 10 мм)
Средняя ширина (10–15 мм)
Большая ширина (более 15 мм)
- Влияет ли на корректность получаемых показателей УЗ-стеатометрии глубина расположения региона интереса?
Да Нет
- Если Ваш ответ «Да», то при какой глубине расположения региона интереса вероятнее всего получить корректные показатели?
Прилегание к капсуле печени
Глубина 10–20 мм от капсулы печени
Глубина 21–39 мм от капсулы печени
Глубина 40 мм и более от капсулы печени
Прилегание к диафрагме
- Влияет ли на корректность получаемых показателей УЗ-стеатометрии угол расположения региона интереса по отношению к УЗ-лучам?
Да Нет
- Если Ваш ответ «Да», то при каком угле расположения региона интереса по отношению к УЗ-лучам вероятнее всего получить корректные показатели?
Прямой угол Тупой угол Острый угол
- Влияет ли на корректность получаемых показателей УЗ-стеатометрии угол расположения региона интереса по отношению к капсуле печени?
Да Нет
- Если Ваш ответ «Да», то при каком расположении региона интереса по отношению к капсуле печени вероятнее всего получить корректные показатели?
Параллельно капсуле печени
Под углом к капсуле печени
- Влияет ли на корректность получаемых показателей УЗ-стеатометрии место расположения региона интереса на эхограмме?
Да Нет
- Если Ваш ответ «Да», то при каком расположении региона интереса на эхограмме вероятнее всего получить корректные показатели?
Центральное
Периферическое
- Влияет ли на корректность получаемых показателей УЗ-стеатометрии расположение региона интереса по отношению к соседним органам и структурам?
Да Нет
- Если Ваш ответ «Да», то при каком расположении региона интереса по отношению к соседним органам и структурам вероятнее всего получить корректные показатели?
Отдаленное Прилегающее Наслаивающееся
- Сталкиваетесь ли Вы со сложностью оценки показателей количественной УЗ-стеатометрии в динамике с учетом значительной разницы между получаемыми числами?
Да Нет
Дополнительная информация
Финансирование
Работа проведена без привлечения дополнительного финансирования со стороны третьих лиц.
Конфликт интересов
Авторы заявляют об отсутствии явных и потенциальных конфликтов интересов, связанных с публикацией настоящей статьи.
Участие авторов
Д.Ю. Шестакова – концепция и дизайн исследования, проведение исследования, сбор, анализ и интерпретация данных, идея статьи, написание текста; А.В. Борсуков – участие в разработке концепции и дизайна исследования, редактирование текста. Оба автора прочли и одобрили финальную версию статьи перед публикацией, согласны нести ответственность за все аспекты работы и гарантируют, что ими надлежащим образом были рассмотрены и решены вопросы, связанные с точностью и добросовестностью всех частей работы.
1 Неалкогольная жировая болезнь печени. Клинические рекомендации Минздрава России. 2024. Доступно по: https://cr.minzdrav.gov.ru/schema/748_2 (дата обращения 15.10.2024).
Авторлар туралы
Daria Shestakova
Smolensk State Medical University
Хат алмасуға жауапты Автор.
Email: daria@venidiktova.ru
ORCID iD: 0000-0001-5497-1476
MD, PhD, Senior Research Fellow, Problem Scientific Research Laboratory “Diagnostic Research and Minimally Invasive Technologies”
Ресей, ul. Krupskoy 28, Smolensk, 214019Alexey Borsukov
Smolensk State Medical University
Email: bor55@yandex.ru
ORCID iD: 0000-0003-4047-7252
MD, PhD, Professor, Head of the Problem Scientific Research Laboratory “Diagnostic Research and Minimally Invasive Technologies”
Ресей, ul. Krupskoy 28, Smolensk, 214019Әдебиет тізімі
- Chan WK, Chuah KH, Rajaram RB, Lim LL, Ratnasingam J, Vethakkan SR. Metabolic Dysfunction-Associated Steatotic Liver Disease (MASLD): A state-of-the-art review. J Obes Metab Syndr. 2023;32(3):197–213. doi: 10.7570/jomes23052.
- Riazi K, Azhari H, Charette JH, Underwood FE, King JA, Afshar EE, Swain MG, Congly SE, Kaplan GG, Shaheen AA. The prevalence and incidence of NAFLD worldwide: a systematic review and meta-analysis. Lancet Gastroenterol Hepatol. 2022;7(9):851–861. doi: 10.1016/S2468-1253(22)00165-0.
- Ciardullo S, Carbone M, Invernizzi P, Perseghin G. Exploring the landscape of steatotic liver disease in the general US population. Liver Int. 2023;43(11):2425–2433. doi: 10.1111/liv.15695.
- Muthiah MD, Cheng Han N, Sanyal AJ. A clinical overview of non-alcoholic fatty liver disease: A guide to diagnosis, the clinical features, and complications – What the non-specialist needs to know. Diabetes Obes Metab. 2022;24 Suppl 2:3–14. doi: 10.1111/dom.14521.
- Zhirkov II, Gordienko AV, Pavlovich IM, Golofeevsky VYu, Makoveeva OV. [Noninvasive methods of diagnosis of steatosis in non-alcoholic fatty liver disease]. Experimental and Clinical Gastroenterology. 2020;174(5):61–66. Russian. doi: 10.31146/1682-8658-ecg-177-5-61-66.
- Tarasova OI, Kuhareva EI, Krasnitskaya SK, Mazurchik NV, Ngameni MY, Malinina NA, Zykin BI, Ogurtsov PP. [Evaluation of the effectiveness of ultrasound shear elastography and liver steatometry]. Therapeutic Archive. 2020;92(4):17–22. Russian. doi: 10.26442/00403660.2020.04.000497.
- Serkova MYu, Skvortsova TE, Bakulin IG. [Diagnostic possibilities of the method of elastography and shear wave steatorei patients with non-alcoholic fatty liver disease]. Experimental and Clinical Gastroenterology. 2020;184(12):49–52. Russian. doi: 10.31146/1682-8658-ecg-184-12-49-52.
- de Oliveira Andrade LJ, Matos de Oliveira GC. Quantificação da ecogenicidade da doença pancreática gordurosa não alcoólica – esteatometria pancreática [Quantification of ecogenicity of non-alcoholic fatty pancreatic disease – pancreatic steatometry]. Revista De Ciências Médicas E Biológicas. 2020;19(2):243–248. Portuguese. doi: 10.9771/cmbio.v19i2.34707.
- Mare RG, Lupusoru R, Sporea I, Popescu A, Sima A, Timar R, Sirli R, Less S. Steatosis and fibrosis predictive scores in patients with type 2 diabetes. Ultrasound Med Biol. 2022;48 Suppl 1:S11–S12. doi: 10.1016/j.ultrasmedbio.2022.04.049.
- Karaman ZF, Hatipoğlu N, Kardaş F, Saraçoğlu S, Direk G, Kendirci M, Coşkun A. Identifying the effects of excess weight, metabolic syndrome and insulin resistance on liver stiffness using ultrasound elastography in children. Turk J Pediatr. 2022;64(4):671–682. doi: 10.24953/turkjped. 2021.1876.
- Yagmur VB, Demeshkina LV, Melanich SL, Kyslova RM. [Influence of age, body mass index and gender on sonographic indicators of the liver in patients with metabolic dysfunction-associated steatotic liver disease]. Gastroenterologìa. 2024;58(2):114–120. Ukrainian. doi: 10.22141/2308-2097.58.2.2024.604.
- Ferraioli G, Barr RG, Berzigotti A, Sporea I, Wong VW, Reiberger T, Karlas T, Thiele M, Cardoso AC, Ayonrinde OT, Castera L, Dietrich CF, Iijima H, Lee DH, Kemp W, Oliveira CP, Sarin SK. WFUMB Guideline/Guidance on liver multiparametric ultrasound: Part 1. Update to 2018 Guidelines on liver ultrasound elastography. Ultrasound Med Biol. 2024;50(8):1071–1087. doi: 10.1016/j.ultrasmedbio.2024.03.013.
- Ferraioli G, Barr RG, Berzigotti A, Sporea I, Wong VW, Reiberger T, Karlas T, Thiele M, Cardoso AC, Ayonrinde OT, Castera L, Dietrich CF, Iijima H, Lee DH, Kemp W, Oliveira CP, Sarin SK. WFUMB Guidelines/Guidance on liver multiparametric ultrasound. Part 2: Guidance on liver fat quantification. Ultrasound Med Biol. 2024;50(8):1088–1098. doi: 10.1016/j.ultrasmedbio.2024.03.014.
- Barr RG, Wilson SR, Rubens D, Garcia-Tsao G, Ferraioli G. Update to the Society of Radiologists in Ultrasound Liver Elastography Consensus Statement. Radiology. 2020;296(2):263–274. doi: 10.1148/radiol.2020192437.
- Dietrich CF, Bamber J, Berzigotti A, Bota S, Cantisani V, Castera L, Cosgrove D, Ferraioli G, Friedrich-Rust M, Gilja OH, Goertz RS, Karlas T, de Knegt R, de Ledinghen V, Piscaglia F, Procopet B, Saftoiu A, Sidhu PS, Sporea I, Thiele M. EFSUMB guidelines and recommendations on the clinical use of liver ultrasound elastography, Update 2017 (Long version). Ultraschall Med. 2017;38(4):e16–e47. doi: 10.1055/ s-0043-103952.
- Cosgrove D, Piscaglia F, Bamber J, Bojunga J, Correas JM, Gilja OH, Klauser AS, Sporea I, Calliada F, Cantisani V, D'Onofrio M, Drakonaki EE, Fink M, Friedrich-Rust M, Fromageau J, Havre RF, Jenssen C, Ohlinger R, Săftoiu A, Schaefer F, Dietrich CF; EFSUMB. EFSUMB guidelines and recommendations on the clinical use of ultrasound elastography. Part 2: Clinical applications. Ultraschall Med. 2013;34(3):238–253. doi: 10.1055/s-0033-1335375.
- Venidiktova DYu, Borsukov AV. [Ultrasound quantitative liver steatometry in overweight patients: The possibilities of improved technique]. Diagnostic radiology and radiotherapy. 2020;11(1):64–69. Russian. doi: 10.22328/2079-5343-2020-11-1-64-69.
- Venidiktova DYu, Borsukov AV. [Non-drug treatment of non-alcoholic fatty liver disease: evaluation of effectiveness with ultrasound steatometry]. Medical alphabet. 2020;(10):38–42. Russian. doi: 10.33667/2078-5631-2020-10-38-42.
- Borsukov AV, Shestakova DYu, Skutar’ AI. [The range of diagnostic possibilities of ultrasound liver elastometry in patients with chronic heart failure and diffuse changes in the liver]. Medical alphabet. 2024;1(6):51–57. Russian. doi: 10.33667/2078-5631-2024-6-51-57.
- Borsukov AV, Venidiktova DYu, Skutar AI, Ahmedova AR. [Elastography and steatometry of the liver from the position of world experts 2018–2022]. Journal of oncology: diagnostic radiology and radiotherapy. 2023;6(3):32–40. Russian. doi: 10.37174/2587-7593-2023-6-3-32-40.
- Venidiktova DYu. [Patient compliance level as a basis for personalization of non-drug treatment of non-alcoholic fatty liver disease]. Practical Medicine. 2021;19(1):96–104. Russian. doi: 10.32000/2072-1757-2021-1-96-104.
- Morozova TG, Borsukov AV, Bueverov AO. [Multiparametric elastography – principles of individual selection in the diffuse liver diseases]. Meditsinskiy Sovet. 2017;(15):148–152. Russian. doi: 10.21518/2079-701X-2017-15-148-152.
- Savchenkov YuN, Trufanov GE, Fokin VA, Ionova EA, Arakelov SE, Titova IYu, Efimtsev AYu, Meltonyan AR. [Methods of radiology in the diagnostics of chronic liver diseases]. Bulletin of the Medical Institute "REAVIZ" (Rehabilitation, Doctor and Health). 2024;14(2):111–122. Russian. doi: 10.20340/vmi-rvz.2024.2.MIM.1.
- Diomidova VN, Tarasova LV, Tsyganova YuV, Valeeva OV, Ivanova AL. [Ultrasound hepatic elastography with decaying signal technology allows assessing the degree of steatosis and dynamic monitoring of the effectiveness of NAFLD treatment]. Experimental and Clinical Gastroenterology. 2020;(9):45–54. Russian. doi: 10.31146/1682-8658-ecg-181-9-45-54.
- Gong W, Ren H, Tong H, Shen X, Luo J, Chen S, Lai J, Chen X, Chen H, Yu W. A comparison of ultrasound and magnetic resonance imaging to assess visceral fat in the metabolic syndrome. Asia Pac J Clin Nutr. 2007;16 Suppl 1:339–345.
- Liebig S, Stöckmann N, Geier A, Rau M, Schattenberg J, Bahr M, Manns M, Schulze-Osthoff K, Jaeckel E, Bantel H. Diagnostic algorithm to detect NASH and fibrosis in NAFLD patients with low NAFLD fibrosis score or liver stiffness. Zeitschrift für Gastroenterologie. 2020;58(01):14–15. doi: 10.1055/s-0039-3402138.
- European Association for Study of Liver; Asociacion Latinoamericana para el Estudio del Higado. EASL-ALEH Clinical Practice Guidelines: Non-invasive tests for evaluation of liver disease severity and prognosis. J Hepatol. 2015;63(1):237–264. doi: 10.1016/ j.jhep.2015.04.006.
- European Association for the Study of the Liver (EASL); European Association for the Study of Diabetes (EASD); European Association for the Study of Obesity (EASO). EASL-EASD-EASO Clinical Practice Guidelines for the management of non-alcoholic fatty liver disease. Obes Facts. 2016;9(2):65–90. doi: 10.1159/000443344.
- Rinella ME, Neuschwander-Tetri BA, Siddiqui MS, Abdelmalek MF, Caldwell S, Barb D, Kleiner DE, Loomba R. AASLD Practice Guidance on the clinical assessment and management of nonalcoholic fatty liver disease. Hepatology. 2023;77(5):1797–1835. doi: 10.1097/HEP.0000000000000323.
- Ferraioli G, Raimondi A, Maiocchi L, De Silvestri A, Poma G, Kumar V, Barr RG. Liver fat quantification with ultrasound: Depth dependence of attenuation coefficient. J Ultrasound Med. 2023;42(10):2247–2255. doi: 10.1002/jum.16242.
- Gaber A, Youness HA, Hamdy A, Abdelaal HM, Hassan AM. Automatic classification of fatty liver disease based on supervised learning and genetic algorithm. Appl Sci. 2022;12(1):521. doi: 10.3390/app12010521.
- Destrempes F, Gesnik M, Chayer B, Roy-Cardinal MH, Olivié D, Giard JM, Sebastiani G, Nguyen BN, Cloutier G, Tang A. Quantitative ultrasound, elastography, and machine learning for assessment of steatosis, inflammation, and fibrosis in chronic liver disease. PLoS One. 2022;17(1):e0262291. doi: 10.1371/journal.pone.0262291.
Қосымша файлдар
























