The texture analysis of computed tomography studies in clear cell renal cell carcinoma: reproducibility of 2D and 3D segmentation
- Authors: Khromova S.V.1, Karmazanovsky G.G.1,2, Karelskaya N.A.1, Gruzdev I.S.1
-
Affiliations:
- The National Medical Research Center of Surgery named after A. Vishnevsky
- N.I. Pirogov Russian National Research Medical University
- Issue: Vol 52, No 1 (2024)
- Pages: 25-34
- Section: ARTICLES
- URL: https://journals.rcsi.science/2072-0505/article/view/257856
- DOI: https://doi.org/10.18786/2072-0505-2024-52-007
- ID: 257856
Cite item
Full Text
Abstract
Background: Differentiation of tumor grade at the preoperative stage is of utmost importance for the modification of the treatment strategy and the extent of operation. However, the routine analysis of computed tomography (CT) data in clear cell renal cell carcinoma (ccRCC) does not allow for reliable determination of the tumor grade.
Aim: To assess the reproducibility of the results of 2D and 3D segmentation of a kidney tumor in the cortico-medullary and nephrographic phases of CT studies, as well as the reproducibility of the first order texture parameters for 2D and 3D tumor segmentation in patients with verified ccRCC.
Materials and methods: This retrospective study included the CT data of 50 patients with morphologically verified ccRCC obtained before their surgical treatment. The first patient group included the patients with the renal tumor size in the axial plane of ≥ 4 cm (28 patients, 29 CT studies), and the second patient group included those with the renal tumor size in axial plane of < 4 cm (22 patients, 23 CT studies). Two radiologists independently performed segmentation of the renal tumor in the cortico-medullary and nephrographic phases of CT procedures done under a standard protocol with the bolus intravenous contrast enhancement. A two-dimensional region of interest (2D ROI) was selected by the investigators on a subjectively selected axial slice, where the tumor had the largest size. When forming a three-dimensional region of interest (3D ROI), the entire tumor volume was segmented. Next, the statistical analysis of the segmentation results and the results of calculation of the first order texture indices was performed with calculation of the intra-class correlation coefficient (ICC) to assess the strength of the data correlation. The ICC of ≥ 0.75 demonstrated the reproducibility of the segmentation results and the first order texture indices.
Results: The 3D segmentation method for ccRCC demonstrated the best ROI reproducibility results, regardless of the tumor size and the phase of contrast enhancement, with the ICC values of 0.961 (95% confidence interval: 0.946–0.971) for the cortico-medullary phase and 0.969 (95% CI: 0.958–0.977) for the nephrographic phase. The 2D tumor segmentation method showed unsatisfactory ROI reproducibility, with the ICC values of ≤ 0.058; however, the unsatisfactory reproducibility of the segmentation results in the patients with ccRCC tumor size of ≥ 4 cm did not significantly affect the reproducibility of the Entropy and Energy texture indices (good to excellent correlation). With the 3D segmentation of ccRCC, most first-order texture metrics were reproducible, with the exception of the Kurtosis parameter. The Entropy and Energy scores in both patient groups demonstrated a high degree of reproducibility. In the 2D tumor segmentation, high reproducibility of the first order texture metrics was obtained for the Entropy and Energy indices.
Conclusion: The 3D segmentation of the CT data for ccRCC has high reproducibility, the most first-order textural features were excellently reproducible when segmentations were performed in 3D. The 2D CT data segmentation method for ccRCC demonstrated low reproducibility; however, some of the first order texture indices were reproducible. Both segmentation methods can be used for the texture analysis of CT images.
Full Text
Почечно-клеточный рак (ПКР) – распространенная злокачественная опухоль, развивается из эпителия проксимальных канальцев и собирательных трубочек почки, наиболее часто встречается светлоклеточный ПКР (скПКР). Согласно статистике, в 2020 г. количество выявленных случаев ПКР в мире составило 431 288 [1].
Для светлоклеточного и папиллярного ПКР Всемирной организацией здравоохранения и Международной ассоциацией урологических патологов (ISUP) рекомендована четырехступенчатая градация (Grade 1–4) – система определения степени злокачественности опухоли, основанная на ядерных признаках и наличии саркоматоидной/рабдоидной дифференцировки [2].
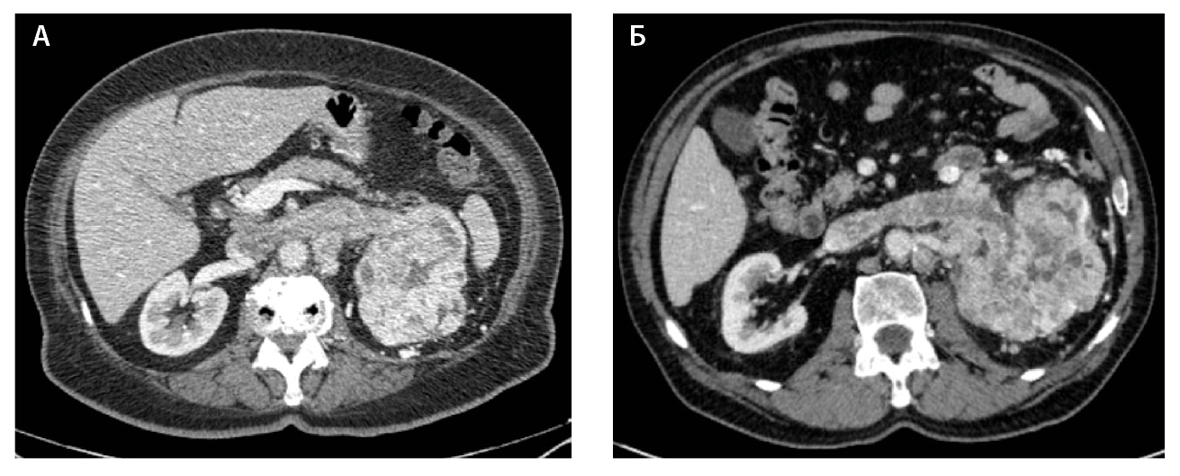
Компьютерная томография (КТ) с внутривенным контрастным усилением широко используется как метод диагностики и первичного стадирования скПКР. В настоящее время наиболее значимыми характеристиками опухоли для предоперационного стадирования и планирования хирургического лечения скПКР признаны расположение, размер опухоли и признаки ее инвазивного роста [3–6], а структура и характер контрастирования позволяют дифференцировать типы ПКР, но ни один из этих показателей не дает возможности достоверно прогнозировать степень дифференцировки опухоли. Структура скПКР любой степени дифференцировки, как правило, гетерогенная с наличием солидного и кистозного компонентов. Признаки инвазивного роста опухоли, наличие метастазов позволяют предположить низкую степень дифференцировки опухоли, однако не являются достоверными признаками. Как видно на рис. 1, скПКР разной степени дифференцировки по данным КТ выглядят практически идентично: в обоих случаях визуализируется опухолевый тромб в почечной вене с распространением в просвет нижней полой вены. Такие характеристики, как размер опухоли, пофазное накопление контрастного вещества и градиент накопления контрастного вещества при КТ-исследовании, также не являются строго специфичными для разных степеней дифференцировки скПКР (рис. 2).
Рис. 1. Светлоклеточный почечно-клеточный рак: А – Grade 4 (данные компьютерной томографии пациентки Б.), Б – Grade 2 (данные компьютерной томографии пациента Г.). На обоих снимках кортико-медуллярная фаза исследования: гиперваскулярная опухоль солидно-кистозного строения, замещающая паренхиму левой почки, опухолевый тромб в просвете левой почечной вены с распространением в нижнюю полую вену; метастически измененный регионарный лимфатический узел
Рис. 2. Светлоклеточный почечно-клеточный рак. А – Grade 1 (данные компьютерной томографии пациента С.), кортико-медуллярная фаза исследования: трансмуральная опухоль правой почки размером 6,6 см, с четкими и ровными контурами, прилежит к синусу почки, опухоль имеет солидно-кистозное строение, солидный компонент опухоли накапливает контрастное вещество (КВ) менее интенсивно, чем кортикальный слой почки, градиент накопления КВ солидным компонентом опухоли 50–60 HU. Б – Grade 4 (данные компьютерной томографии пациентки Щ.), кортико-медуллярная фаза исследования: трансмуральная опухоль левой почки размером 5,2 см, с четкими и ровными контурами, прилежит к синусу почки, опухоль имеет солидно-кистозное строение, солидный компонент опухоли накапливает КВ менее интенсивно, чем кортикальный слой почки, градиент накопления КВ солидным компонентом опухоли 45–60 HU
Текстурный анализ – перспективный метод поспроцессинговой обработки медицинских изображений для объективной, количественной оценки гетерогенности структуры опухоли; этот метод, возможно, позволит в будущем прогнозировать степень морфологической дифференцировки скПКР, а также улучшить стадирование опухоли и повысить точность оценки ответа опухоли на терапию на основании анализа данных КТ-исследований [7]. Первый этап текстурного анализа – сегментация опухоли, которая может выполняться автоматически (с использованием специального программного обеспечения) или вручную. Способы сегментации опухоли в настоящее время не стандартизированы, и наиболее часто сегментация выполняется исследователями вручную [8].
Цель исследования – оценить воспроизводимость результатов 2D- и 3D-сегментации опухоли в кортикомедуллярную и нефрографическую фазы КТ-исследований, а также воспроизводимость текстурных показателей первого порядка для 2D- и 3D-сегментации опухоли у пациентов с верифицированным скПКР.
Материал и методы
В ретроспективное исследование включены данные 50 пациентов с морфологически верифицированным скПКР, которым на дооперационном этапе была выполнена КТ с внутривенным контрастным усилением в ФГБУ «НМИЦ хирургии им. А. В. Вишневского» Минздрава России и сторонних учреждениях в период с января 2019 по декабрь 2020 г. включительно. Двум пациентам КТ выполнялась дважды, соответственно, анализ данных КТ включал 52 исследования. Критериями включения были наличие предоперационного КТ-исследования с внутривенным контрастным усилением, с выполнением стандартных нативной, кортикомедуллярной, нефрографической и экскреторной фаз исследования с толщиной реконструированного слоя не более 2 мм и данных гистологического анализа операционного материала с определением степени дифференцировки опухоли по четырехступенчатой системе WHO/ISUP, принятой с 2016 г. [9].
Дополнительно пациенты были разделены на две группы: в группу 1 включены пациенты с опухолью почки размером в аксиальной плоскости 4 см и более (n = 28, 29 КТ-исследований), в группу 2 вошли пациенты с опухолью почки размером в аксиальной плоскости менее 4 см (n = 22, 23 исследования). Деление на группы в соответствии с размером опухоли (до 4 см или 4 см и более) обосновано классификацией TNM8, согласно которой скПКР менее 4 см по критерию размера соответствует стадии Т1а, а скПКР 4 см и более – стадии Т1b [10]. Данное исследование было одобрено Комитетом по этике научных исследований ФГБУ «НМИЦ хирургии им. А. В. Вишневского» Минздрава России (протокол № 008-2022 от 14.10.2022). Поскольку исследование выполняли ретроспективно, не проводили дополнительных исследований и вмешательств, информированного добровольного согласия пациентов на участие в нем не требовалось.
Методика выполнения компьютерного томографического исследования
В ФГБУ «НМИЦ хирургии им. А. В. Вишневского» Минздрава России выполнены 35 КТ-исследований, 17 исследований – в других учреждениях. Методика выполнения исследований была аналогична той, что применялась в работе И. С. Груздева и соавт. [11]. В нашем центре КТ с внутривенным контрастированием выполнялась по стандартному протоколу на компьютерном томографе Philips Ingenuity 64, при этом использовали следующие параметры сканирования: толщина среза 1,5 мм, напряжение на рентгеновской трубке 100 кВ, интервал реконструкции 0,75 мм. Контрастный препарат с концентрацией йода 370 мг/мл вводили с помощью автоматического инжектора со скоростью 3,5 мл/с, с последующим введением физиологического раствора объемом 25 мл со скоростью 3,5 мл/с. Необходимый объем контрастного препарата рассчитывали по формуле: 1 мл/кг массы тела пациента, но не более 100 мл. Отслеживание болюса контрастного препарата выполняли по методике “bolus tracking” с порогом плотности 150 HU на нисходящей грудной аорте на уровне диафрагмы с запуском кортикомедуллярной фазы исследования на 10 с, нефрографической фазы на 40 с, экскреторной фазы исследования на 300 с от момента достижения пороговой плотности крови в аорте 150 HU. КТ в других центрах были выполнены с получением стандартных 4 фаз исследования на томографах с минимальным количеством срезов 32. Толщина среза составляла от 1 до 2 мм, напряжение на рентгеновской трубке варьировало от 100 до 140 КВ.
Текстурный анализ
Для вычисления текстурных показателей использовалось открытое бесплатное программное обеспечение LIFEx (версия v7.1.0, www.lifexsoft.org) [12]. Для выполнения сегментации опухоли почки с последующим проведением текстурного анализа были выбраны кортикомедуллярная и нефрографическая фазы, так как в эти фазы степень гетерогенности опухоли визуально наибольшая. Для устранения различий толщины среза КТ-исследований первым этапом выполнялась повторная выборка (ресэмплинг, англ. resampling). Cмысл этапа заключается в приведении данных всех КТ-исследований к единой толщине среза за счет интерполяции данных, в нашем исследовании выбрана толщина среза в 1 мм. Этот этап потенциально позволяет стандартизировать данные КТ-исследований, полученных на разных томографах.
В процессе обработки данных мы столкнулись с затруднениями на этапе повторной выборки в случаях, когда толщина реконструированного среза превышала 2 мм, поэтому толщина реконструированного среза более 2 мм стала критерием исключения данных КТ из нашего исследования.
Два врача-рентгенолога с опытом абдоминальной визуализации 3 года и 13 лет независимо друг от друга вручную проводили сегментацию опухоли почки методом выделения двухмерной и трехмерной области интереса (2D ROI и 3D ROI) в кортикомедуллярную и нефрографическую фазы КТ. Для выделения 2D ROI каждый исследователь независимо субъективно выбирал аксиальный срез, на котором опухоль имела наибольший размер. 2D ROI формировалась без отступа от края опухоли. Для выделения 3D ROI исследователи использовали аксиальные срезы с последующей корректировкой во фронтальной и сагиттальной проекциях. 3D ROI также формировалась без отступа от края опухоли.
Копирование ROI для последующего использования в другую фазу сканирования в нашем исследовании признано нецелесообразным вследствие варьирующего положения почки и, соответственно, положения опухоли почки в разные фазы сканирования, и также значимого различия субъективно определяемых границ опухоли в кортикомедуллярную и нефрографическую фазы.
С целью оптимизации сегментации опухоли почки ROI создавались с использованием фильтра плотности: минимальное значение для включения в область ROI было 0 HU, максимальное – 300 HU; при наличии в самой опухоли участков вне этого диапазона плотности после создания ROI мы использовали инструмент заполнения (Close). Применение фильтра позволяет избежать случайного включения в ROI перинефральной и синусной жировой клетчатки, кальцинатов в стенках сегментарных ветвей почечной артерии, конкрементов в чашечках почки.
После формирования ROI с использованием пороговых значений плотности (0–300 HU) в части скПКР (преимущественно в 1-й группе пациентов) выявились множественные точечные включения отрицательной плотности. Применение инструмента заполнения (Close) позволило избежать потери потенциально важных данных при последующем расчете текстурных показателей. Необходимо подчеркнуть, что при рутинном анализе КТ-изображений точечный жировой компонент в структуре скПКР не выявляется.
С целью минимизации эффекта цифрового шума и улучшения воспроизводимости текстурных характеристик после формирования ROI применялся фильтр Gaussian Laplacian с условиями Reflect, Periodic, Edge для каждой выделенной зоны интереса. Рабочий процесс показан на рис. 3.
Рис. 3. Рабочий процесс; КТ – компьютерная томография
После сегментации опухоли и применения фильтров рассчитывали текстурные показатели для каждой фазы исследования. Из них для статистического анализа были отобраны показатели первого порядка (гистограмма уровня серого): Mean (Средняя интенсивность уровня серого), Skewness (Асимметрия распределения значений относительно среднего значения), Kurtosis (Эксцесс, мера «остроконечности» распределения значений в ROI), Entropy (Энтропия, случайность распределения интенсивности уровней серого) и Energy (Энергия, мера величины значений вокселей). Аналогичный анализ в дальнейшем проводился отдельно в двух выделенных группах пациентов.
Статистический анализ
Для оценки межэкспертного согласия при разных способах сегментации при анализе данных двух фаз КТ (кортикомедуллярная, нефрографическая) рассчитывали внутриклассовый коэффициент корреляции и 95% доверительный интервал для него (ICC, двухфакторная смешанная модель, тип «абсолютное согласие») при помощи программы SPSS Statistics версии 26.0 (IBM, США). Корреляция результатов расценивалась как низкая при значении ICC менее 0,5, умеренная – от 0,5 до 0,75, хорошая – от 0,75 до 0,90, превосходная – выше 0,9. Статистический анализ полученных данных выполнялся последовательно для всего массива данных и в двух выделенных группах.
Результаты
На первом этапе статистического анализа оценивалась воспроизводимость результатов сегментации опухоли методами 2D, 3D двумя независимыми исследователями путем сравнения объемов сегментированных опухолей в кортикомедуллярную и нефрографическую фазы КТ-исследования. Способ 3D-сегментации опухоли показал превосходную воспроизводимость результатов как для кортикомедуллярной (ICC 0,961, превосходная корреляция), так и для нефрографической (ICC 0,969, превосходная корреляция) фаз КТ-исследования при скПКР. Анализ данных 2D-сегментации выявил низкую воспроизводимость результатов и для кортикомедуллярной (ICC 0,058), и для нефрографической (ICC 0,057) фаз КТ-исследования при скПКР. Однако при разделении пациентов на группы была выявлена превосходная воспроизводимость результатов сегментации для группы 2 (опухоли размером менее 4 см в аксиальной плоскости) для 2D- и 3D-сегментации ROI, а в случае группы 1 превосходная корреляция результатов была выявлена для данных 3D-сегментации (ICC 0,949), тогда как воспроизводимость результатов 2D-сегментации была крайне низкой (ICC 0,037). Данные ICC для воспроизводимости сегментации опухолей представлены в табл. 1 и 2.
Таблица 1. Результаты анализа воспроизводимости 3D- и 2D-сегментации опухоли в зависимости от фазы КТ-исследования
КТ-исследование (n = 52) | Значение ICC [95% ДИ] | |
3D-сегментация | 2D-сегментация | |
Кортикомедуллярная фаза | 0,058 [-0,282 – 0,309] | |
Нефрографическая фаза | 0,057 [-0,288 – 0,31] | |
n – количество исследований, ДИ – доверительный интервал, КТ – компьютерная томография
Таблица 2. Результаты анализа воспроизводимости 3D- и 2D-сегментации опухоли для КТ-исследований в зависимости от размера опухоли в аксиальном срезе
Группа | Значение ICC [95% ДИ] | |
3D-сегментация | 2D-сегментация | |
Размер опухоли ≥ 4 см (n = 29) | 0,037 [-0,282 – 0,279] | |
Размер опухоли < 4 см (n = 23) | ||
n – количество исследований, ДИ – доверительный интервал, КТ – компьютерная томография
Таким образом, наименее воспроизводимыми оказались результаты сегментации для способа 2D в группе пациентов с размером опухоли 4 см и более в аксиальной плоскости. При ретроспективном анализе положения срезов, которые два исследователя независимо и субъективно выбрали при формировании ROI, установлено: выбор среза для 2D-сегментации крупных опухолей двумя исследователями варьирует в пределах 20 близлежащих срезов. Опухоль в этих срезах может иметь разную форму, что, вероятно, обусловливает низкую воспроизводимость результатов 2D-сегментации ROI. Предсказуемо меньшая вариативность выбора среза была в группе пациентов с размером опухоли менее 4 см – в пределах 2–6 близлежащих срезов.
При статистическом анализе корреляции текстурных показателей первого порядка были получены следующие результаты для 3D- (табл. 3) и 2D-сегментации (табл. 4).
Таблица 3. Результаты статистического анализа воспроизводимости текстурных показателей первого порядка для 3D-сегментации
КТ-исследование (n = 52) | Значение ICC [95% ДИ] | |||||
текстурный показатель | ||||||
Mean | Skewness | Kurtosis | Entropy | Energy | ||
Кортикомедуллярная фаза | фильтр Edge | |||||
фильтр Periodic | ||||||
фильтр Reflect | ||||||
Нефрографическая фаза | фильтр Edge | |||||
фильтр Periodic | 0,4 [-0,04 – 0,655] | |||||
фильтр Reflect | ||||||
n – количество исследований, ДИ – доверительный интервал, КТ – компьютерная томография
Таблица 4. Результаты статистического анализа воспроизводимости текстурных показателей первого порядка для 2D-сегментации
КТ-исследование (n = 52) | Значение ICC [95% ДИ] | |||||
текстурный показатель | ||||||
Mean | Skewness | Kurtosis | Entropy | Energy | ||
Кортикомедуллярная фаза | фильтр Edge | |||||
фильтр Periodic | ||||||
фильтр Reflect | ||||||
Нефрографическая фаза | фильтр Edge | |||||
фильтр Periodic | 0,099 [-0,566 – 0,482] | 0,405 [-0,031 – 0,658] | ||||
фильтр Reflect | 0,025 [-0,705 – 0,441] | 0,353 [-0,094 – 0,622] | ||||
n – количество исследований, ДИ – доверительный интервал, КТ – компьютерная томография
При 3D-сегментации опухоли большинство текстурных показателей первого порядка были воспроизводимы, за исключением Kurtosis. Для этого показателя значение ICC соответствует умеренной и низкой степени надежности результатов в нефрографическую фазу, однако в кортикомедуллярную фазу результаты были воспроизводимы.
При сравнении воспроизводимости текстурных показателей первого порядка при 3D-сегментации с использованием фильтров Edge, Periodic, Reflect значимых преимуществ какого-либо из способов фильтрации получено не было, воспроизводимость результатов варьирует. Вместе с тем полученный результат может быть учтен, когда в дальнейшем при оценке текстурных показателей при различных степенях дифференцировки ПКР будут выделены наиболее значимые текстурные показатели. Например, перед расчетом показателя Kurtosis для 3D ROI в нефрографическую фазу, вероятно, предпочтительно проводить фильтрацию с использованием фильтра Reflect.
При 2D-сегментации опухоли высокая воспроизводимость текстурных показателей первого порядка была получена для текстурных показателей Entropy и Energy, воспроизводимость остальных текстурных показателей выраженно варьировалась в зависимости от выбранной фазы контрастного усиления и используемого фильтра.
Наилучшая воспроизводимость текстурных показателей первого порядка при 2D-сегментации выявлена для кортикомедуллярной фазы при использовании фильтра Edge. Наиболее воспроизводимыми показателями, по нашим данным, стали текстурные показатели Entropy и Energy в обе фазы контрастного усиления и Kurtosis в кортикомедуллярную фазу при использовании фильтров Periodic и Reflect (значения ICC > 0,8). Неудовлетворительные результаты воспроизводимости при 2D-сегментации выявлены для текстурных показателей Mean, Skewness. Неудовлетворительная воспроизводимость показателей также выявлена при использовании фильтров Periodic и Reflect в нефрографическую фазу для показателя Kurtosis.
При статистическом анализе корреляции текстурных показателей первого порядка в группах 1 (n = 29) и 2 (n = 23) получены следующие результаты воспроизводимости для 2D- и 3D-методов сегментации (табл. 5).
Таблица 5. Результаты статистического анализа воспроизводимости текстурных показателей первого порядка для 3D- и 2D-сегментации в зависимости от размера опухоли в аксиальном срезе
Текстурный показатель первого порядка | Значение ICC [95% ДИ] | ||||
Размер опухоли ≥ 4 см (n = 29) | Размер опухоли < 4 см (n = 23) | ||||
2D-сегментация | 3D-сегментация | 2D-сегментация | 3D-сегментация | ||
Mean | 0,122 [-0,224 – 0,371] | ||||
Skewness | |||||
Kurtosis | 0,178 [-0,098 – 0,387] | ||||
Entropy | |||||
Energy | |||||
n – количество исследований, ДИ – доверительный интервал
Наилучшая воспроизводимость показателей текстурного анализа первого порядка получена в группе пациентов с размером опухоли менее 4 см в аксиальном срезе (n = 23) при использовании метода 3D-сегментации – значения ICC для всех показателей более 0,94 (превосходная корреляция). Наихудшая воспроизводимость показателей текстурного анализа первого порядка получена в этой же группе пациентов при использовании метода 2D-сегментации. Показатели Entropy и Energy в обеих группах продемонстрировали высокую степень воспроизводимости – для 2D-сегментации в группе 2 ICC равнялся 0,895, для 3D-сегментации в обеих группах и 2D-сегментации в группе 1 показатель ICC был выше 0,9 (превосходная степень корреляции). Во 2-й группе пациентов (n = 23) неудовлетворительной была корреляция показателей Mean, Skewness, Kurtosis при методе сегментации 2D (ICC менее 0,75).
В группе пациентов с размером опухоли 4 см и более (n = 29) выявлена неудовлетворительная воспроизводимость показателей текстурного анализа Skewness (ICC 0,667) для метода 2D-сегментации и Kurtosis (ICC 0,178) для метода 3D-сегментации, значения ICC для остальных текстурных показателей были более 0,76 (хорошая степень корреляции).
Обсуждение
КТ-исследования при ПКР широко распространены, выполняются в разных учреждениях с варьирующими параметрами сканирования и алгоритмами постпроцессинговой обработки. Для устранения различий толщины среза КТ-исследований в нашей работе первым этапом выполнялась повторная выборка (ресэмплинг) с целью приведения данных всех КТ-исследований к единой толщине среза в 1 мм за счет интерполяции данных [13]. Этот способ ранее использовался другими авторами [14].
Светлоклеточный почечно-клеточный рак с высокой точностью выявляется при выполнении стандартной мультифазной компьютерной томографии с внутривенным контрастным усилением, однако определение границ опухоли и, соответственно, процесс сегментации опухоли могут представлять значительные трудности. Субъективная оценка границ опухоли двумя рентгенологами в нашем исследовании обусловливает варьирующую воспроизводимость результатов сегментации.
Наличие четкого контура опухоли облегчает выполнение сегментации опухоли. При гистологическом исследовании при скПКР визуализируется псевдокапсула, отграничивающая опухоль от окружающей паренхимы почки. При КТ-исследованиях псевдокапсула не всегда отчетливо дифференцируется, а границы опухоли наиболее достоверно определяются в экскреторную фазу. Вместе с тем наибольшая гетерогенность опухоли, типичная для скПКР, выявляется в кортикомедуллярную и нефрографическую фазы КТ, поэтому именно эти фазы чаще других используются для вычисления текстурных характеристик опухоли [15, 16].
В данном исследовании мы столкнулись с трудностями сегментации как мелких, так и крупных опухолей почки. Мелкие опухоли почки (скПКР размером менее 1 см), как правило, расположены кортикально, имеют относительно гомогенное солидное строение, накопление контрастного вещества, сравнимое с накоплением контрастным веществом кортикальным слоем почки, и только в экскреторную фазу за счет вымывания контрастного вещества границы между опухолью и неизмененной паренхимой дифференцируются отчетливо, поэтому сегментация мелких опухолей в традиционно используемые для получения текстурных характеристик кортикомедуллярную и нефрографическую фазы КТ затруднена. В нашей работе мы всегда анализировали экскреторную фазу с целью уточнения границ и размеров мелких опухолей, прежде чем приступить к сегментации опухоли в другие фазы исследования, что позволяло потенциально избежать ошибочного включения в ROI неизмененной паренхимы почки.
Опухоли почки размерами 4 см и более обычно достигают синуса почки, что обусловливает высокую вероятность ошибочного включения в ROI жировой клетчатки синуса, элементов чашечно-лоханочной системы. Использование пороговых значений плотности при выделении ROI позволяет уменьшить частоту ошибочного включения в ROI жировой клетчатки, кальцинатов в стенках почечных артерий, конкрементов в чашечках почки. Варьирующее положение почки и, соответственно, опухоли в разные фазы сканирования не позволяет применить копирование ROI. Кроме того, границы опухоли в зависимости от степени ее васкуляризации могут субъективно определяться рентгенологом в зависимости от выбора фазы исследования.
После формирования ROI с использованием пороговых значений плотности (0–300 HU) в части скПКР были выявлены точечные включения отрицательной плотности. При гистологическом исследовании в скПКР часто встречаются микроскопические жировые включения [17], но при анализе КТ-данных достоверно оценить плотность точечных участков и надежно установить наличие точечных участков отрицательной (жировой) плотности и их количество невозможно, этот признак скПКР ненадежный, а точечные включения отрицательной плотности воспринимаются рентгенологом как цифровой шум. С целью включения участков отрицательной плотности в ROI после формирования ROI с использованием фильтра плотности мы применяли инструмент заполнения (Close), что позволило избежать потери потенциально важных данных при последующем расчете текстурных показателей.
Перед расчетом текстурных показателей для удаления цифрового шума и улучшения текстурных характеристик применялся фильтр Gaussian Laplacian с условиями Reflect, Periodic, Edge для каждой выделенной зоны интереса, что позволяет улучшить воспроизводимость текстурных показателей [18]. Для крупных опухолей, размером более 6 см, по нашему опыту, в трети случаев расчет текстурных показателей для 3D ROI без применения фильтров резко замедляется или выполняется с множественными ошибками.
Сегментация опухоли методом 2D выполняется намного быстрее, чем методом 3D, особенно в случае крупного размера опухоли с инвазией в синус почки, часто коррекция границ 3D ROI в коронарной и сагиттальной плоскостях занимает больше времени, чем собственно сегментация на аксиальных срезах. При инвазии опухоли в синус почки и просвет почечных вен определение границ опухоли становится еще более субъективным, а надежное исключение из области ROI элементов чашечно-лоханочной системы, сегментарных сосудов почки не представляется возможным. Несмотря на эти ограничения, по данным нашего исследования, способ 3D-сегментации опухоли показал превосходную воспроизводимость результатов как для кортикомедуллярной (ICC 0,961, превосходная корреляция), так и для нефрографической (ICC 0,969, превосходная корреляция) фаз КТ-исследования при скПКР в обоих, выделенных по признаку размера опухоли, группах пациентов. Во 2-й группе пациентов (опухоли размером менее 4 см) была выявлена превосходная воспроизводимость результатов 2D- и 3D-сегментации ROI.
Для группы 1 (скПКР 4 см и более) воспроизводимость результатов 2D-сегментации была крайне низкой (ICC 0,037). Оказалось, что выбор среза для 2D-сегментации крупных опухолей двумя исследователями варьирует в пределах 20 близлежащих срезов. Вариабельность субъективно выбранного среза, по нашему мнению, обусловливает низкую воспроизводимость результатов 2D-сегментации ROI при крупном размере опухоли. Результаты сегментации опухолей малого размера методом 2D, по нашим данным и данным литературы, более воспроизводимы, что обусловлено меньшей вариабельностью формы опухоли [19].
Полученные нами результаты демонстрируют высокую воспроизводимость всех текстурных показателей первого порядка при использовании 3D-метода сегментации, высокую воспроизводимость части текстурных показателей первого порядка при использовании 2D-метода сегментации, что позволяет потенциально использовать оба метода сегментации в процессе текстурного анализа данных КТ при скПКР.
Наше исследование имело ряд ограничений: мы использовали данные КТ, полученные в разных центрах на разных томографах, что может влиять на результаты текстурного анализа. В исследование было включено мало пациентов с опухолями Grade 4, поскольку они редко встречаются. В настоящем исследовании не была выполнена валидация данных, она планируется нами при следующем исследовании на группе пациентов с верифицированным скПКР и КТ с внутривенным контрастированием, выполненным вне нашего центра.
Заключение
Возможность определения степени дифференцировки скПКР на дооперационном этапе с помощью метода текстурного анализа представляется перспективным направлением. Текстурному анализу обязательно предшествует этап сегментации опухоли, в случае скПКР процесс сегментации затруднен вследствие относительно невысокой контрастности опухоль/паренхима почки при КТ-исследованиях, что обусловливает потенциально низкую воспроизводимость сегментации опухоли. Наши результаты демонстрируют высокую воспроизводимость 3D-сегментирования данных КТ при скПКР, а также высокую воспроизводимость большинства текстурных показателей первого порядка при использовании 3D-метода сегментации. Метод 2D-сегментирования данных КТ при скПКР имеет низкую воспроизводимость сегментирования, однако часть текстурных показателей первого порядка воспроизводима. Варьирующая воспроизводимость текстурных показателей первого порядка при использовании различных способов фильтрации изображений отражает широкий диапазон возможностей обработки изображений; ценность этих возможностей еще недостаточно изучена.
Дополнительная информация
Финансирование
Работа проведена без привлечения дополнительного финансирования со стороны третьих лиц.
Конфликт интересов
Авторы декларируют отсутствие явных и потенциальных конфликтов интересов, связанных с публикацией настоящей статьи.
Участие авторов
С. В. Хромова и Н. А. Карельская – концепция и дизайн исследования, сбор и математический анализ данных, написание текста; Г. Г. Кармазановский и И. С. Груздев – сбор и математический анализ данных. Все авторы прочли и одобрили финальную версию статьи перед публикацией, согласны нести ответственность за все аспекты работы и гарантируют, что ими надлежащим образом были рассмотрены и решены вопросы, связанные с точностью и добросовестностью всех частей работы.
About the authors
Stanislava V. Khromova
The National Medical Research Center of Surgery named after A. Vishnevsky
Author for correspondence.
Email: stanislavakhromova@gmail.com
ORCID iD: 0000-0002-8083-4843
Postgraduate Student, Department of Radiology and Magnetic Resonance Imaging
Russian Federation, ul. Bol'shaya Serpukhovskaya 27, Moscow, 117997Grigory G. Karmazanovsky
The National Medical Research Center of Surgery named after A. Vishnevsky; N.I. Pirogov Russian National Research Medical University
Email: karmazanovsky@yandex.ru
ORCID iD: 0000-0002-9357-0998
MD, PhD, Professor, Member of Russ. Acad. Sci., Head of Department of Radiological Methods of Diagnosis and Treatment; Professor, Chair of X-ray Diagnostics and Treatment, Medical and Biological Faculty
Russian Federation, ul. Bol'shaya Serpukhovskaya 27, Moscow, 117997; ul. Ostrovityanova 1, Moscow, 117997Natalia A. Karelskaya
The National Medical Research Center of Surgery named after A. Vishnevsky
Email: karelskaya.n@yandex.ru
ORCID iD: 0000-0001-8723-8916
MD, PhD, Senior Research Fellow, Department of Radiology and Magnetic Resonance Imaging
Russian Federation, ul. Bol'shaya Serpukhovskaya 27, Moscow, 117997Ivan S. Gruzdev
The National Medical Research Center of Surgery named after A. Vishnevsky
Email: gruzdev_van@mail.ru
ORCID iD: 0000-0003-0781-9898
Research Fellow, Department of Radiology and Magnetic Resonance Imaging
Russian Federation, ul. Bol'shaya Serpukhovskaya 27, Moscow, 117997References
- Sung H, Ferlay J, Siegel RL, Laversanne M, Soerjomataram I, Jemal A, Bray F. Global Cancer Statistics 2020: GLOBOCAN Estimates of Incidence and Mortality Worldwide for 36 Cancers in 185 Countries. CA Cancer J Clin. 2021;71(3):209–249. doi: 10.3322/caac.21660.
- Moch H, Humphrey PA, Ulbright TM, Reuter VE. WHO (World Health Organization). Pathology and Genetics of Tumors of the Urinary System and Male Genital Organs. World Health Organization Classification of Tumors. Lyon, France: IARC Press; 2016.
- Klatte T, Ficarra V, Gratzke C, Kaouk J, Kutikov A, Macchi V, Mottrie A, Porpiglia F, Porter J, Rogers CG, Russo P, Thompson RH, Uzzo RG, Wood CG, Gill IS. A Literature Review of Renal Surgical Anatomy and Surgical Strategies for Partial Nephrectomy. Eur Urol. 2015;68(6):980–992. doi: 10.1016/j.eururo.2015.04.010.
- Kunath F, Schmidt S, Krabbe LM, Miernik A, Dahm P, Cleves A, Walther M, Kroeger N. Partial nephrectomy versus radical nephrectomy for clinical localised renal masses. Cochrane Database Syst Rev. 2017;5(5):CD012045. doi: 10.1002/14651858.CD012045.pub2.
- Gershman B, Thompson RH, Boorjian SA, Lohse CM, Costello BA, Cheville JC, Leibovich BC. Radical Versus Partial Nephrectomy for cT1 Renal Cell Carcinoma. Eur Urol. 2018;74(6):825–832. doi: 10.1016/j.eururo.2018.08.028.
- Kim SP, Campbell SC, Gill I, Lane BR, Van Poppel H, Smaldone MC, Volpe A, Kutikov A. Collaborative Review of Risk Benefit Trade-offs Between Partial and Radical Nephrectomy in the Management of Anatomically Complex Renal Masses. Eur Urol. 2017;72(1):64–75. doi: 10.1016/j.eururo.2016.11.038.
- Ursprung S, Beer L, Bruining A, Woitek R, Stewart GD, Gallagher FA, Sala E. Radiomics of computed tomography and magnetic resonance imaging in renal cell carcinoma – a systematic review and meta-analysis. Eur Radiol. 2020;30(6):3558–3566. doi: 10.1007/s00330-020-06666-3.
- Posada Calderon L, Eismann L, Reese SW, Reznik E, Hakimi AA. Advances in Imaging-Based Biomarkers in Renal Cell Carcinoma: A Critical Analysis of the Current Literature. Cancers (Basel). 2023;15(2):354. doi: 10.3390/cancers15020354.
- Moch H, Cubilla AL, Humphrey PA, Reuter VE, Ulbright TM. The 2016 WHO Classification of Tumours of the Urinary System and Male Genital Organs – Part A: Renal, Penile, and Testicular Tumours. Eur Urol. 2016;70(1):93–105. doi: 10.1016/j.eururo.2016.02.029.
- Sobin LH, Gospodarowicz MK, Wittekind C, editors. TNM Classification of Malignant Tumours. 7th Edition. Oxford: Blackwell Publishing; 2010.
- Gruzdev IS, Tikhonova VS, Zamyatina KA, Kaldarov AR, Kondrat'ev EV, Karmazanovsky GG. [Computed tomography in prediction of hypervascular pancreatic neuroendocrine tumors grade: texture analysis and contrast enhancement features]. REJR. 2021;11(4):105–114. Russian. doi: 10.21569/2222-7415-2021-11-4-105-114.
- Nioche C, Orlhac F, Boughdad S, Reuzé S, Goya-Outi J, Robert C, Pellot-Barakat C, Soussan M, Frouin F, Buvat I. LIFEx: A Freeware for Radiomic Feature Calculation in Multimodality Imaging to Accelerate Advances in the Characterization of Tumor Heterogeneity. Cancer Res. 2018;78(16):4786–4789. doi: 10.1158/0008-5472.CAN-18-0125.
- Ligero M, Jordi-Ollero O, Bernatowicz K, Garcia-Ruiz A, Delgado-Muñoz E, Leiva D, Mast R, Suarez C, Sala-Llonch R, Calvo N, Escobar M, Navarro-Martin A, Villacampa G, Dienstmann R, Perez-Lopez R. Minimizing acquisition-related radiomics variability by image resampling and batch effect correction to allow for large-scale data analysis. Eur Radiol. 2021;31(3):1460–1470. doi: 10.1007/s00330-020-07174-0.
- Xue C, Yuan J, Lo GG, Chang ATY, Poon DMC, Wong OL, Zhou Y, Chu WCW. Radiomics feature reliability assessed by intraclass correlation coefficient: a systematic review. Quant Imaging Med Surg. 2021;11(10):4431–4460. doi: 10.21037/qims-21-86.
- Garnier C, Ferrer L, Vargas J, Gallinato O, Jambon E, Le Bras Y, Bernhard JC, Colin T, Grenier N, Marcelin C. A CT-Based Clinical, Radiological and Radiomic Machine Learning Model for Predicting Malignancy of Solid Renal Tumors (UroCCR-75). Diagnostics (Basel). 2023;13(15):2548. doi: 10.3390/diagnostics13152548.
- Ding J, Xing Z, Jiang Z, Chen J, Pan L, Qiu J, Xing W. CT-based radiomic model predicts high grade of clear cell renal cell carcinoma. Eur J Radiol. 2018;103:51–56. doi: 10.1016/j.ejrad.2018.04.013.
- Zhang Y, Udayakumar D, Cai L, Hu Z, Kapur P, Kho EY, Pavía-Jiménez A, Fulkerson M, de Leon AD, Yuan Q, Dimitrov IE, Yokoo T, Ye J, Mitsche MA, Kim H, McDonald JG, Xi Y, Madhuranthakam AJ, Dwivedi DK, Lenkinski RE, Cadeddu JA, Margulis V, Brugarolas J, DeBerardinis RJ, Pedrosa I. Addressing metabolic heterogeneity in clear cell renal cell carcinoma with quantitative Dixon MRI. JCI Insight. 2017;2(15):e94278. doi: 10.1172/jci.insight.94278.
- Gillies RJ, Kinahan PE, Hricak H. Radiomics: Images Are More than Pictures, They Are Data. Radiology. 2016;278(2):563–577. doi: 10.1148/radiol.2015151169.
- Oh S, Sung DJ, Yang KS, Sim KC, Han NY, Park BJ, Kim MJ, Cho SB. Correlation of CT imaging features and tumor size with Fuhrman grade of clear cell renal cell carcinoma. Acta Radiol. 2017;58(3):376–384. doi: 10.1177/0284185116649795.
Supplementary files




