The diagnosis of retroperitoneal tumors from a radiologist perspective: a case report of a giant intramuscular hemangioma in a 23-year old patient
- Authors: Aznaurov V.G.1, Kovalenko A.A.1, Shirokov V.S.1,2, Karmazanovsky G.G.1,3
-
Affiliations:
- National Medical Research Center of Surgery named after A. Vishnevsky
- Moscow Clinical Scientific Center named after A.S. Loginov
- N.I. Pirogov Russian National Research Medical University
- Issue: Vol 51, No 4 (2023)
- Pages: 246-252
- Section: CLINICAL CASES
- URL: https://journals.rcsi.science/2072-0505/article/view/253566
- DOI: https://doi.org/10.18786/2072-0505-2023-51-029
- ID: 253566
Cite item
Full Text
Abstract
Primary retroperitoneal tumors are a heterogeneous group of neoplasms with a prevalence of 0.02 to 1%. The results of diagnostic visualization of such tumors are usually ambiguous due to their diversity and similar radiological semiotics of malignant and benign tumor types. The paper describes a rare case of the diagnosis and management of a patient with one of retroperitoneal tumor, i. e. a giant intramuscular hemangioma.
A 23-year old male patient was referred with complaints of episodic pains in the right inguinal area for 7–8 years. The multiaxial computed tomography showed a mass of 145 × 125 × 125 mm located in the trunk and pelvis, and spreading to the right thigh. The tumor structure was markedly heterogeneous and contained calcinates, adipose tissue, soft tissue and vascular components. The mass showed a heterogeneous contrast accumulation, with predominant delayed-phase enhancement. The tumor was surgically resected, with the histological investigation characteristic of intramuscular hemangioma.
Rare retroperitoneal tumors are always challenging in the interpretation of the results of diagnostic visualization. Since their various types have similar radiological semiotics, the differential diagnosis is often impossible. Therefore, the main diagnostic issue should be the exact localization of the neoplasm, identification of the feeding vessels, and the assessment of the adjacent tissue abnormalities.
Full Text
Неорганные забрюшинные опухоли (НЗО) представляют собой гетерогенную группу новообразований с частотой от 0,02 до 1% [1, 2]. Развитие современных методов медицинской визуализации значительно повысило выявляемость НЗО, в том числе как случайных находок при диагностике иных патологий. Применение методов компьютерной томографии (КТ) и магнитно-резонансной томографии (МРТ) позволяет диагносту точно определить локализацию опухоли и ее распространение. Однако в силу схожей лучевой семиотики НЗО по-прежнему возникают трудности в их дифференциальной лучевой диагностике [3]. С точки зрения рентгенолога основная проблема – схожесть лучевой семиотики злокачественной и доброкачественной опухоли. Ниже мы представляем клиническое наблюдение диагностики и лечения пациента с забрюшинной внутримышечной гемангиомой.
Клиническое наблюдение
В течение 2022 г. в НМИЦ хирургии им. А.В. Вишневского наблюдался пациент мужского пола в возрасте 23 лет, обратившийся с жалобами на наличие объемного новообразования, локализованного в туловище, малом тазу и распространяющегося на правое бедро. У пациента длительный анамнез эпизодически возникающих болей в правой паховой области (жалобы беспокоят в течение 7–8 лет). После консультации хирурга с целью уточнения диагноза и оценки распространенности образования была назначена КТ органов брюшной полости, малого таза, нижних конечностей с 4-фазным контрастным усилением. КТ была проведена дважды – 1 раз до и 1 раз после оперативного вмешательства. Исследования выполнялись на 64-срезовом томографе Ingenuity CT (Philips, Нидерланды).
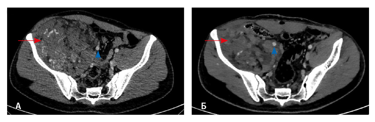
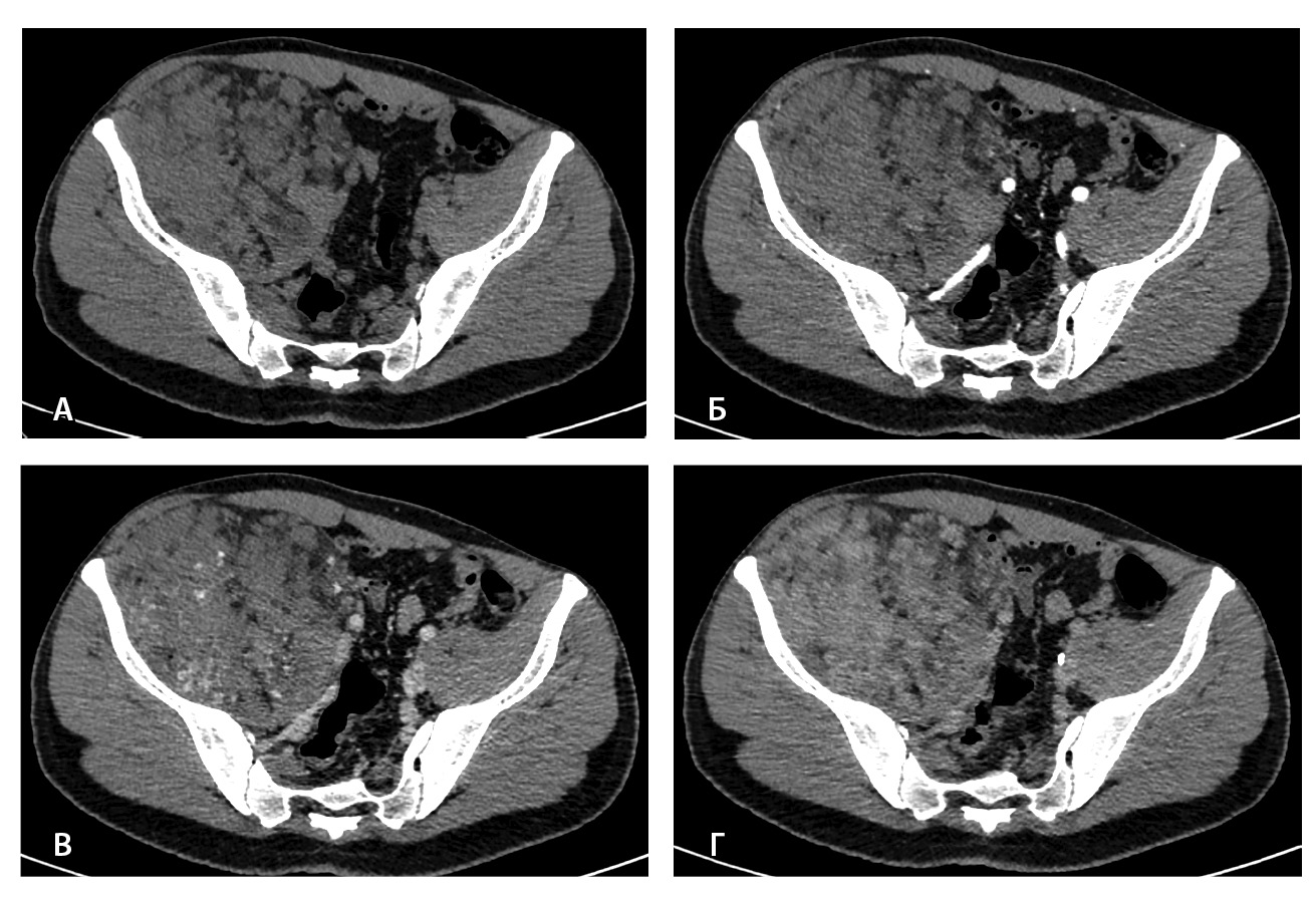
Результаты дооперационной мультиспиральной компьютерной томографии органов брюшной полости и забрюшинного пространства (рис. 1, 2): «В забрюшинном пространстве справа визуализируется образование, исходящее из подвздошно-поясничной мышцы, с выходом вдоль сосудистого пучка на верхнюю треть бедра. Образование с четкими и ровными контурами, размерами 145 × 125 × 125 мм. Структура образования гетерогенная, плотность в нативную фазу исследования от –40 до 50 HU, содержит единичные кальцинаты, жировую ткань и мягкотканный компонент. На фоне контрастирования в артериальную и венозную фазы в структуре выявляются извитой формы участки гиперконтрастирования (сосудистая сеть). Максимальное накопление контрастного препарата происходит преимущественно к отсроченной фазе исследования. Усредненные плотностные характеристики составляют 25, 36, 53 и 59 HU в нативную, артериальную, венозную и отсроченную фазы соответственно. Опухоль оттесняет тазовую брюшину, правую подвздошно-поясничную мышцу, илеоцекальный угол кпереди. Образование тесно прилежит сзади к крылу правой подвздошной кости и лобковой кости, спереди – к прямой и внутренней косым мышцам живота, верхним контуром – к поясничной мышце. Медиально в средней трети по контуру образования проходят правые наружные и внутренние подвздошные сосуды, со сдавлением наружной подвздошной вены. Данных за распространение на прилежащие внутренние органы и клетчатку не получено. Кости без деструктивных изменений».
Рис. 1. Мультиспиральная компьютерная томография органов брюшной полости и забрюшинного пространства с болюсным внутривенным контрастированием: А – нативная фаза, Б – артериальная фаза, В – венозная фаза, Г – отсроченная фаза. Крупное гетерогенной структуры образование забрюшинного пространства справа, с фокусами гиперваскуляризации в структуре. Тесно прилежит к крылу подвздошной кости и подвздошным сосудам, оттесняя последние медиально
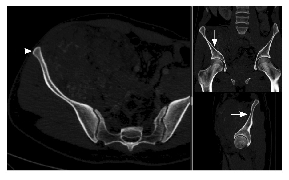
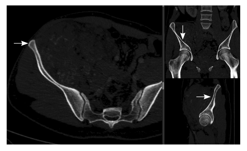
Рис. 2. Мультиспиральная компьютерная томография органов брюшной полости и забрюшинного пространства, режим костного окна. Кортикальный слой правой подвздошной кости прослеживается равномерно на всем протяжении, без признаков деструкции (стрелки)
Отсутствие инфильтративно-деструктивного характера роста образования, а также наличие в его структуре сосудистых лакун позволило предположить сосудистый генез опухоли и в большей степени – венозно-кавернозную форму ангиодисплазии, нежели злокачественное образование.
Следующим этапом с целью дообследования и оценки параметров кровотока было выполнено ультразвуковое исследование (УЗИ). По его результатам, образование представлено смешанной эхоструктурой с наличием солидных участков повышенной эхогенности и множественных анэхогенных извитых полостей, частично окрашивающихся в режиме цветового доплеровского картирования. Заключение УЗИ также свидетельствовало о сосудистом генезе образования.
По совокупности данных неинвазивных методов диагностики, для минимизации риска интра- и послеоперационного кровотечения была выполнена рентгенэндоваскулярная окклюзия ветвей, питающих гиперваскулярное образование (ветвей от верхней и нижней ягодичных артерий; от правой поверхностной артерии, огибающей подвздошную кость; от правой поверхностной надчревной артерии).
Вторым этапом хирургическая бригада приступила к удалению опухоли. Интраоперационно была обнаружена плотная фиксация опухоли к подвздошной кости на большом протяжении, с возникновением массивного кровотечения из венозных лакун при попытках мобилизации образования. Технически была ограничена мобилизация нижнего полюса образования ввиду высокого риска травматизации подвздошных сосудов. С учетом технической невозможности радикального удаления образования было принято решение о выполнении максимального объема циторедуктивной резекции опухоли. Ткани опухоли поэтапно пересечены на уровне входа в сосудистую лакуну с прошиванием остающейся части. Далее опухоль резецирована с оставлением ее части, фиксированной к подвздошной кости, с прошиванием.
При контрольной томографии, проведенной на 5-е сутки после операции, забрюшинно справа определялась остаточная ткань опухоли размерами 125 × 81 × 90 мм. Резидуальный фрагмент прилегал к правой подвздошной кости, по ходу подвздошных сосудов, с распространением на переднюю поверхность правого бедра. Признаков экстравазации контрастного препарата не обнаружено (рис. 3).
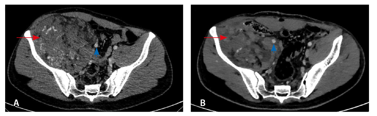
Рис. 3. Мультиспиральная компьютерная томография органов брюшной полости и забрюшинного пространства с болюсным внутривенным контрастированием, венозная фаза. А – исследование до операции, Б – исследование после операции: резидуальный фрагмент образования (красная стрелка) тесно прилежит к подвздошной кости и подвздошным сосудам (головка синей стрелки)
При плановом гистологическом исследовании морфологическая картина образования соответствует внутримышечной ангиоме (гемангиоме). Макроскопически удаленный фрагмент образования представлен участками зрелой жировой ткани с фрагментами скелетных мышц, а также многочисленными кистозно расширенными сосудами. В просвете части сосудов – тромботические массы. При микроскопическом исследовании сосудистый компонент разного типа и калибра (крупные, средние и мелкие сосуды преимущественно венозного и капиллярного типов). В просветах крупных сосудов имеются организованные смешанные тромбы, а также скопления эмболизирующего материала. Часть скелетных мышц с дистрофическими изменениями. При иммуногистохимическом исследовании клетки образования не экспрессируют HMB-45 (маркер меланосом).
Обсуждение
Первичные НЗО развиваются из тканей мезодермального происхождения, в частности из кровеносных сосудов, – гемангиомы и гемангиосаркомы, доброкачественная и злокачественная гемангиоперицитомы [4, 5].
Гемангиомы относятся к доброкачественным сосудистым опухолям из пролиферирующих эндотелиальных клеток. Возникновение их возможно в любой части тела – коже, подкожно-жировой клетчатке, мышцах, внутренних органах или костях. Внутримышечная локализация является редкой, на нее приходится до 0,8% всех случаев гемангиом. Порядка 45% внутримышечных гемангиом встречаются в нижних конечностях, 27% – в верхних конечностях [6]. Известен случай крайне редкой локализации гемангиомы в сердце [7]. Согласно некоторым исследованиям, данные образования чаще возникают у женщин, однако подобная корреляция по половому признаку имеется не всегда [8].
Не существует единого мнения об этиологии и патогенезе гемангиом. Обсуждается врожденный характер заболевания. Согласно другой гипотезе, внутримышечные гемангиомы являются предшественниками подкожных липом, в которых под воздействием гормональных факторов инициируются процессы пролиферации и дифференцировки. Предполагается, что сосудистый компонент возникает в результате травмы и геморрагической трансформации жирового некроза [9].
Внутримышечные гемангиомы содержат в себе в различных соотношениях жир, гладкомышечный компонент, миксоидную строму, тромбы и гемосидерин [8]. В соответствии с гистологической картиной гемангиомы мягких тканей классифицируются на 5 типов: капиллярные, кавернозные, артериовенозные, венозные и смешанные (капиллярный и кавернозный типы). Наиболее часто встречаются капиллярные гемангиомы, с превалированием в первой декаде жизни. Они локализуются в коже и подкожно-жировой клетчатке и нередко подвергаются спонтанной инволюции. Кавернозные гемангиомы, напротив, локализуются в глубоких тканях и внутримышечно, возникают в более поздних возрастных категориях, не подвергаются спонтанному регрессу и потому требуют хирургического лечения [8, 10].
Клинические проявления и прогноз заболевания вариабельны и зависят в первую очередь от локализации и распространенности процесса. Возможны рецидивы гемангиом. Среди всех типов наибольшую тенденцию к рецидиву имеет смешанный тип (28%), за ним следуют капиллярный и кавернозный типы (20 и 9% соответственно). До 18% пациентов имеют местные рецидивы, до 7% – более одного случая рецидива [11]. До настоящего момента достоверно не выявлено случаев метастазирования внутримышечных гемангиом. Пациенты с внутримышечными гемангиомами могут предъявлять жалобы на патологическое выпячивание и дискомфорт, что обычно ассоциировано с крупными размерами образований. В случае небольших размеров образования симптоматика, как правило, отсутствует. Во многом столь скрытое течение процесса объясняет сравнительно низкие показатели дооперационной диагностики (до 19%) [6]. Локализация в ягодичной области и нижних конечностях по клиническим проявлениям может имитировать вертеброгенный болевой синдром, отдаляя тем самым установление верного диагноза [6]. В ряде случаев симптомы могут быть обусловлены невральной компрессией [12]. К возможным осложнениям относят кровотечение, тромбоз, миосклероз, контрактуры и деформации костно-суставной системы, компрессионное воздействие с нейротрофическими нарушениями.
Спектр диагностических возможностей включает как прямую ангиографию, так и неинвазивные методики (УЗИ, мультиспиральную компьютерную томографию и МРТ). В качестве скринингового метода на этапе первичной диагностики может применяться УЗИ с доплерографией.
По данным КТ гемангиомы представлены мягкотканными образованиями с неровными контурами, слабо дифференцируемыми на нативных изображениях от скелетных мышц. Паттерн и интенсивность контрастирования варьируют от значительного до слабовыраженного, что коррелирует с размером образования и его гистологическими характеристиками. КТ обладает высокой чувствительностью в обнаружении флеболитов [13]. КТ с внутривенным контрастированием отводится важная роль не только в диагностике забрюшинных образований, но и в периоперационном планировании. К преимуществам данного метода относятся доступность и быстрота исследования, высокая воспроизводимость и пространственное разрешение, мультифазность исследования, широкая анатомическая зона покрытия, а также тонкосрезовое сканирование с мультипланарными реконструкциями. Все это в совокупности способствует детальной оценке локализации образования, его морфометрических особенностей (характер и степень накопления контрастного вещества), а также взаимоотношениям с прилежащими органами и магистральными сосудами. Степень васкуляризации образования, оценка питающих и дренирующих сосудов могут сыграть решающую роль в периоперационном ведении пациента, послужить причиной отказа от планируемой биопсии образования ввиду высокого риска кровотечения.
В нашем клиническом наблюдении изначально у рентгенологов не было сведений о гистологическом строении образования и заключений по КТ-исследованиям, выполненным в сторонних учреждениях. Однако имелось предыдущее КТ-исследование, выполненное год назад. При проведении КТ-исследования в нашем центре был отмечен рост образования. Не наблюдалось инвазии образования в органы и сосуды брюшной полости, которые были им оттеснены. Не обнаружено и увеличения лимфоузлов брюшной полости. На уровне краниальных отделов образования по его медиальной поверхности прослеживалась несколько утолщенная брюшина, что позволило сделать вывод о забрюшинной локализации образования. Краниальнее образования имелась забрюшинная жировая ткань, которая отличалась неизмененной структурой относительно тяжистых жировых включений в образовании. Отсутствие изменений костных структур, к которым интимно прилегало образование, также указывало на его доброкачественную природу. Однако изначально в силу крупных размеров образования, с учетом роста относительно предыдущего исследования и его неоднородного контрастирования (в частности, в портальную фазу), а также отсутствия видимой границы с подвздошной мышцей сделано предположение о его малигнизации или, что менее вероятно, первично злокачественной природе. Было также выдвинуто предположение о неопухолевом генезе образования, то есть наличии ангиодисплазии. Таким образом, основная проблема визуализации вышеописанных изменений заключалась в трудности дифференциальной диагностики между критериями «доброкачественный/злокачественный» и «опухолевый/неопухолевый» и определении границ образования с мягкими тканями, в частности, подвздошной мышцей.
Высокая разрешающая контрастность МРТ делает данный метод преимущественным в определении границ опухоли и точной локализации относительно мышечно-сухожильных комплексов. По данным МРТ сосудистый компонент гемангиом демонстрирует промежуточную интенсивность сигнала на Т1-взвешенном изображении (ВИ) и выраженно гиперинтенсивный сигнал на Т2-ВИ. В целом структура образований может быть выраженно гетерогенна за счет жирового компонента, продуктов кровоизлияний, фиброзных и гладкомышечных включений. Высокая контрастность Т2-ВИ позволяет оценить морфометрические особенности образования: кавернозный тип имеет преимущественно дольчатые контуры, а капиллярный – змеевидную структуру. Растут гемангиомы как экспансивно, отодвигая окружающие ткани, так и инфильтративно и вдоль сосудисто-нервных пучков [13]. В нашем исследовании метод МРТ не применялся, гемангиома показывала экспансивный рост.
Близкое расположение внутримышечных гемангиом к костям приводит к контактным изменениям последних. Методами лучевой диагностики выделяют три типа изменений костных структур – периостальные, кортикальные и медуллярные. Близость расположения образования к кости статически значимо коррелирует с любым типом костной реакции, а размер образования – лишь с медуллярным [14]. Агрессивный тип периостальной реакции и деструкция кортикального слоя могут быть ошибочно приняты за первичную опухоль кости [6, 15]. Однако эти изменения факультативны: так, в нашем исследовании никаких изменений костных структур отмечено не было.
Дифференцировать гемангиомы необходимо в первую очередь со злокачественными опухолями мягких тканей. Интерес представляет исследование дифференциальной оценки магнитно-резонансной семиотики гемангиом и злокачественных опухолей, проведенное E.L. Teo и соавт. [16]. Согласно результатам исследования, статистически значимыми диагностическими критериями для гемангиом оказались следующие: дольчатые контуры, наличие перегородок и центральноориентированных точечных участков выпадения сигнала. Последний феномен может представлять собой перегородки в поперечном сечении, тромбированные сосудистые каналы, быстрый ток крови или кальцинаты. Интенсивность сигнала от гемангиом на Т2-ВИ при субъективном анализе и количественной оценке выше, чем от злокачественных образований. Бесконтрастные Т1-ВИ в дифференцировке гемангиом и злокачественных опухолей не представляют диагностической значимости.
Заключение
Сосудистые новообразования неорганного происхождения с точки зрения лучевой диагностики обладают зачастую критично схожей семиотикой. На примере описанного в статье клинического наблюдения мы хотели познакомить читателя с возможностями неинвазивных методов диагностики в обследовании пациентов с НЗО, а также продемонстрировать трудности в диагностике одного из вариантов НЗО – внутримышечной гемангиомы.
Таким образом, основная цель диагностической работы при исследовании компьютерных и магнитно-резонансных томограмм должна сводиться к точному определению локализации образования, определению наличия питающих сосудов, а также к оценке изменений соседствующих с образованием структур. Диагностическая работа с пациентами с НЗО должна базироваться не только на детальном исследовании собственно зоны интереса, но и на оценке иных областей, так как иногда схожей семиотикой могут обладать метастазы из других областей тела человека, в том числе не вошедших в область исследования.
Врачам как диагностических, так и клинических специальностей следует проявлять настороженность в отношении диагностированных НЗО и иметь осведомленность о вероятности злокачественной природы образования.
Единственным радикальным методом лечения НЗО остается полное иссечение образования в пределах здоровых тканей. Хирургические методы лечения включают как мини-инвазивные (абляция, склеротерапия, лучевая терапия), так и открытые операции, иногда поэтапно дополняющие друг друга. Выбор метода и объема вмешательства, радикальность проводимого лечения обусловливаются во многом локализацией и распространенностью процесса, которые становятся очевидными на этапе обследования методами неинвазивной диагностики. Данные лучевых методов исследования в обязательном порядке должны быть верифицированы иммуногистохимическим и гистологическим исследованиями для грамотной и своевременной маршрутизации пациента в случае обнаружения злокачественности образования.
Дополнительная информация
Согласие пациента
Пациент добровольно подписал информированное согласие на медицинские диагностические и лечебные процедуры, а также публикацию медицинской информации в обезличенной форме, включая изображения, в журнале «Альманах клинической медицины».
Финансирование
Работа проведена без привлечения дополнительного финансирования со стороны третьих лиц.
Конфликт интересов
Авторы декларируют отсутствие явных и потенциальных конфликтов интересов, связанных с публикацией настоящей статьи.
Участие авторов
В.Г. Азнауров – концепция и дизайн статьи, сбор и обработка данных, написание текста; А.А. Коваленко – сбор и обработка данных, написание текста; В.С. Широков – сбор и обработка данных, редактирование текста; Г.Г. Кармазановский – концепция и дизайн статьи, утверждение итогового варианта текста рукописи. Все авторы прочли и одобрили финальную версию статьи перед публикацией, согласны нести ответственность за все аспекты работы и гарантируют, что ими надлежащим образом были рассмотрены и решены вопросы, связанные с точностью и добросовестностью всех частей
работы.
About the authors
Vladimir G. Aznaurov
National Medical Research Center of Surgery named after A. Vishnevsky
Author for correspondence.
Email: vaznaurov@ya.ru
ORCID iD: 0000-0003-2139-9439
MD, PhD, Research Fellow, Radiologist, Rаdiology Depаrtment
Russian Federation, ul. Bol'shaya Serpukhovskaya 27, Moscow, 117997Anastasia A. Kovalenko
National Medical Research Center of Surgery named after A. Vishnevsky
Email: nastua_kovalenko@mail.ru
ORCID iD: 0000-0001-8276-3594
Resident Physician, Rаdiology Depаrtment
Russian Federation, ul. Bol'shaya Serpukhovskaya 27, Moscow, 117997Vadim S. Shirokov
National Medical Research Center of Surgery named after A. Vishnevsky; Moscow Clinical Scientific Center named after A.S. Loginov
Email: vadimshirokov@yandex.ru
ORCID iD: 0000-0001-7683-3672
Radiologist, Rаdiology Depаrtment
Russian Federation, ul. Bol'shaya Serpukhovskaya 27, Moscow, 117997; ul. Novogireevskaya 1–1, Moscow, 111123Grigory G. Karmazanovsky
National Medical Research Center of Surgery named after A. Vishnevsky; N.I. Pirogov Russian National Research Medical University
Email: karmazanovsky@yandex.ru
ORCID iD: 0000-0002-9357-0998
MD, PhD, Professor, Member of Russ. Асаd. Sсi., Heаd of Rаdiology Depаrtment; Professor, Chair of Radiology, Medical and Biological Faculty
Russian Federation, ul. Bol'shaya Serpukhovskaya 27, Moscow, 117997; ul. Ostrovityanova 1, Moscow, 117997References
- Kaganov OI, Samoylov KV, Popova TF, Somov AN, Dudko SM, Dovyborov AO. [Results of surgical treatment the patients with the diagnosis of retroperitoneal tumor]. Izvestia of Samara Scientific Center of the Russian Academy of Sciences. 2015;17(2–3):529–533. Russian.
- Samudunov BT. [Retroperitoneal extra-organ tumors (Review)]. Herald of Kyrgyz-Russian Slavic University. 2018;18(2):140–144.
- Egorova EA, Shaposhnikova EA, Lezhnev DA, Kleymenova EP, Bazhin AV, Semenova MV, Truten VP. [A case of aggressive angiomyxoma. Differential diagnosis of abandoned nonorgan organ tumors (literature review with their own clinical observations)]. Journal of Clinical Practice. 2020;11(3):95–101. Russian. doi: 10.17816/clinpract33429.
- Ahn KS, Han HS, Yoon YS, Kim HH, Lee TS, Kang SB, Cho JY. Laparoscopic resection of nonadrenal retroperitoneal tumors. Arch Surg. 2011;146(2):162–167. doi: 10.1001/archsurg.2010.342.
- Mimokhod AA, Znamenskiy AA, Son AI. [Modern views at retroperitoneal formations]. Kremlin Medicine Journal. 2017;(4-2):45–53. Russian.
- Li Y, Chou K, Xiong J, Zhu W, Yu M. Easily misdiagnosed intramuscular hemangioma: a case report. J Int Med Res. 2020;48(12):300060520966897. doi: 10.1177/0300060520966897.
- Sotoda Y, Hirooka S, Kohi M, Orita H, Mori M. Intramuscular hemangioma in the right ventricle. Gen Thorac Cardiovasc Surg. 2008;56(2):85–87. doi: 10.1007/s11748-007-0197-4.
- Pourbagher A, Pourbagher MA, Karan B, Ozkoc G. MRI manifestations of soft-tissue haemangiomas and accompanying reactive bone changes. Br J Radiol. 2011;84(1008):1100–1108. doi: 10.1259/bjr/58308513.
- DeGiovanni JC, Simmonds J, Lang-Orsini M, Lee A. Recurrent Intramuscular Hemangioma (Infiltrating Angiolipoma) of the Lower Lip: A Case Report and Review of the Literature. Ear Nose Throat J. 2022;101(5):306–311. doi: 10.1177/0145561320957759.
- Krotov GO, Gontarenko VN, Makhovskaya EA. [Soft tissue hemangioma: radiological findings and related bone changes]. Russian Electronic Journal Of Radiology. 2019;9(4):202–207. doi: 10.21569/2222-7415-2019-9-4-202-207.
- Wu JL, Wu CC, Wang SJ, Chen YJ, Huang GS, Wu SS. Imaging strategies in intramuscular haemangiomas: an analysis of 20 cases. Int Orthop. 2007;31(4):569–575. doi: 10.1007/s00264-006-0229-1.
- Niu X, Hu Y, Zha G, Hu J, Yi J, Xiao L. Posterior interosseous nerve syndrome secondary to compression by an intramuscular hemangioma. Muscle Nerve. 2019;60(1):E5–E6. doi: 10.1002/mus.26506.
- Pattamapaspong N, Peh WC, Shek TW. Imaging of intramuscular haemangiomas of the extremities. Singapore Med J. 2020;61(3):122–128. doi: 10.11622/smedj.2020030.
- Ly JQ, Sanders TG, Mulloy JP, Soares GM, Beall DP, Parsons TW, Slabaugh MA. Osseous change adjacent to soft-tissue hemangiomas of the extremities: correlation with lesion size and proximity to bone. AJR Am J Roentgenol. 2003;180(6):1695–1700. doi: 10.2214/ajr.180.6.1801695.
- Yeh YL, Yeh SI, Cheng CT. Intramuscular hemangioma causing periosteal reaction and cortical hypertrophy misdiagnosed as osteoid osteoma. Int J Surg Case Rep. 2017;34:106–109. doi: 10.1016/j.ijscr.2017.03.013.
- Teo EL, Strouse PJ, Hernandez RJ. MR imaging differentiation of soft-tissue hemangiomas from malignant soft-tissue masses. AJR Am J Roentgenol. 2000;174(6):1623–1628. doi: 10.2214/ajr.174.6.1741623.
Supplementary files








