Challenging diagnosis of amebiasis in a non-endemic region: a clinical case
- Authors: Akhmedova E.F.1, Galyavin A.V.2, Zotov A.V.3
-
Affiliations:
- Polyclinika.ru
- I.M. Sechenov First Moscow State Medical University
- LabQuest
- Issue: Vol 50, No 6 (2022)
- Pages: 408-413
- Section: CLINICAL CASES
- URL: https://journals.rcsi.science/2072-0505/article/view/148980
- DOI: https://doi.org/10.18786/2072-0505-2022-50-026
- ID: 148980
Cite item
Full Text
Abstract
In Russia, amebiasis is sporadically registered mainly in the southern regions. An endemic area is the Republic of Dagestan. We describe a clinical case, which illustrates challenges in the diagnosis of amebial colitis related to low awareness of physicians of parasitic diseases in non-endemic regions. A 38-year old female patient living in Moscow was initially misdiagnosed with Crohn's disease. Erosive and ulcerative colonic lesions found at colonoscopy were interpreted by a gastroenterologist as symptoms of an inflammatory bowel disease. No differential diagnosis with infections and parasitic diseases was performed. Long (2 years) persistence of symptoms despite treatment with 5-aminosalicylic agents for suspected Crohn's disease, absence of any significant laboratory abnormalities and no history of travelling to Asian countries were the reason for subsequent additional diagnostic work-up. After the patient was finally diagnosed with intestinal amebiasis, she was treated with metronidazole with some positive effect of decreased abdominal bloating and bowel growling. At the control colonoscopy, there was a positive trend seen in colonic mucosa, with healing of ulcers without any scarring. No protozoan cysts were any more found in her feces. According to the recommendations, the patient is regularly seen by a specialist in infectious diseases and a gastroenterologist. Expansion of amebiasis outside endemic regions points to the necessity to perform a wider diagnostic work-up in cases of mucosal lesions found at colonoscopy.
Keywords
Full Text
Амебиаз – кишечная инфекция, вызываемая простейшим микроорганизмом Entamoeba histolytica. Ежегодно в мире заболевают около 50 млн, погибает 0,2% от выявленных случаев. Среди паразитарных болезней амебиаз занимает третье место в мире по смертности после малярии и шистосомоза. Эндемичными регионами считаются Индия, Южная и Западная Африка, Корея, Китай, Южная и Центральная Америка [1]. В России эта инфекция встречается в основном спорадически на юге страны. Эндемичным очагом считается Дагестан, где регистрируют больных с внекишечной формой амебиаза [1].
В 90% случаев заражение приводит к бессимптомному носительству, в 10% развивается острая инфекция в виде кишечного амебиаза, печеночного абсцесса, а также поражения других органов. В случае острого течения заболевание может самостоятельно разрешиться без лечения через несколько недель, возможно с хронизацией инфекционного процесса или исходом в бессимптомное носительство [2].
Клиническая картина амебиаза кишечника проявляется неспецифическими симптомами, характерными практически для всех кишечных заболеваний: диареей, метеоризмом, спастическими болями в животе, также может ощущаться дискомфорт в правом подреберье или эпигастральной зоне, отмечаться повышение температуры, общая интоксикация организма. Для внекишечного амебиаза характерны абсцедирующее поражение печени, легких, иногда наблюдаются поражения кожи, особенно вокруг промежности и ягодиц в случае хронической инфекции [3].
Диагностика амебиаза до сих пор вызывает сложности. Во-первых, это связано с гибелью амеб в процессе хранения кала и необходимостью исследовать материал немедленно после дефекации. Во-вторых, затруднения вызваны схожестью эндоскопической картины эрозивно-язвенного поражения толстой и терминального отдела тонкой кишки при амебиазе и воспалительных заболеваниях кишечника (ВЗК). В-третьих, гистологическое исследование может выявить вегетативную форму в содержимом язв, то есть в более позднем периоде заболевания [2, 4]. Лабораторные методы диагностики амебиаза основаны на паразитологических, иммунологических и молекулярных методах. Микроскопическое обнаружение паразита в образце стула, жидкостях организма или ткани считается золотым стандартом в диагностике амебиаза. Лабораторный диагноз кишечного заболевания можно поставить с помощью микроскопии, посева, иммуноферментного анализа кала и крови, исследования кала с копроантигеном, полимеразной цепной реакции. В основе лабораторной диагностики внекишечных форм амебиаза лежат серологические исследования крови: реакция непрямой иммунофлюоресценции и метод иммуноферментного анализа, которые дают положительные результаты в среднем в 70% случаев. В эндемичном регионе тесты мало пригодны, что связано с выявлением следовых антител после выздоровления от амебиаза в течение 1 года и более. Таким образом, установление окончательного диагноза с помощью методики иммуноферментного анализа представляет собой проблему из-за сложности верификации постинфекции или реинвазии. В настоящее время для выявления специфичных для амебы участков рибонуклеиновой кислоты используют метод полимеразной цепной реакции. Данный вид анализа направлен на выявление малой субъединицы РНК и был разработан для обнаружения разных видов Entamoeba в образцах стула [2, 5, 6]. Для установления диагноза кишечного амебиаза наряду с лабораторными исследованиями применяют инструментальную диагностику (колоноскопию). Эндоскопическая картина амебиаза проявляется воспалительными изменениями в любом отделе толстой кишки на фоне неизмененной слизистой оболочки, отмечаются участки гиперемии диаметром 2–5 мм, несколько возвышающиеся над уровнем неизмененных отделов кишки, визуализируются мелкие эрозии, покрытые белым или желтоватым экссудатом. С прогрессированием болезни обнаруживаются крупные язвы размером до 20 мм с подрытыми краями, заполненные некротическими массами. Вокруг язв отмечается венчик гиперемии. Слизистая между дефектами, как правило, не изменена [7, 8].
Дифференциальную диагностику амебиаза следует проводить с другими протозойными и бактериальными поражениями желудочно-кишечного тракта (кишечным шистосомозом, трихоцефалезом, шигеллезом, кампилобактериозом, эшерихиозом, иерсиниозом), новообразованиями толстой кишки, язвенным колитом, болезнью Крона, псевдомембранозным колитом. В неэндемичных районах, как правило, нет настороженности врачей в отношении паразитарных заболеваний кишечника, поэтому установление диагноза может затянуться на длительный срок. В реальной практике при наличии эрозивно-язвенных изменений в подвздошной и/или толстой кишке обычно обсуждается диагноз ВЗК (язвенного колита и болезни Крона). Отсутствие своевременного лечения может привести к генерализации процесса, развитию внекишечных форм амебиаза в виде печеночного и легочного абсцессов. Приводим клиническое наблюдение, служащее примером такой диагностической ошибки, которая значительно затянула установление правильного диагноза и начало этиотропного лечения.
Клиническое наблюдение
Пациентка Ц. 38 лет, проживает в Москве. Из анамнеза известно, что в марте 2019 г. госпитализирована в стационар с жалобами на боль в эпигастрии со смещением в правую подвздошную область в течение 7 дней, а также метеоризм. При ультразвуковом исследовании (УЗИ) брюшной полости в правой подвздошной области прослеживается участок неперистальтирующей петли кишки в окружении гипоэхогенных тканей с увеличенными лимфоузлами вдоль подвздошных сосудов (размер измененного участка примерно 6,5 × 5,4 см), расцененный как аппендикулярный инфильтрат. Данные лабораторных исследований: лейкоциты 7,57 × 109/л, тромбоциты 295 × 109/л, гемоглобин 131 г/л, скорость оседания эритроцитов 5 мм/ч. Проводилась инфузионная терапия. При контрольном УЗИ отмечено уменьшение размеров инфильтрата, прослеживается неизмененный участок слепой кишки на протяжении 5,0 × 6,6 см, данных за наличие осумкованной жидкости не выявлено. Пациентка выписана под наблюдение хирурга поликлиники с рекомендацией плановой госпитализации через 2 месяца для проведения лапароскопической аппендэктомии.
При повторной госпитализации в мае 2019 г. сохранялись жалобы на вздутие и урчание в животе. По данным УЗИ органов брюшной полости в правой подвздошной области прослеживается участок слепой кишки с гипоэхогенным аппендиксом 3,9 × 0,8 см, структура его существенно не изменена, жидкости вокруг отростка не выявлено. Согласно заключению УЗИ, эхографические признаки могут соответствовать хроническому аппендициту. Впервые выполнена колоноскопия с осмотром до купола слепой кишки: слизистая слепой кишки отечна, гиперемирована с налетом фибрина, ткань при биопсии ригидная. Имеются единичные язвы слизистой восходящей и поперечноободочной кишки и в области селезеночного сгиба. Гистологическое описание биоптатов: кусочек слизистой оболочки толстой кишки с отеком, рассеянной лимфоцитарной инфильтрацией, формированием на одном участке нечеткой гранулемы. Заключение: хронический активный язвенный колит, полностью исключить болезнь Крона не представляется возможным. Рентгенография тонкой кишки с бариевой взвесью патологии не выявила. В клиническом и биохимическом анализах крови изменений не обнаружено. Установлен предположительный диагноз болезни Крона. Проводилась терапия месалазином 4 г/сут 2 месяца.
При контрольной колоноскопии в амбулаторных условиях в июле 2019 г.: очаговая гиперемия слизистой оболочки слепой кишки, умеренно выраженный илеит. Гистологическое исследование биоптатов: фрагменты слизистой оболочки толстой кишки с умеренными проявлениями хронического воспаления низкой степени активности. В пределах биоптатов данных за болезнь Крона не обнаружено. Пациентка направлена на долечивание с рекомендацией приема месалазина 4 г/сут под динамическое наблюдение гастроэнтеролога по месту жительства. Жалобы на вздутие и урчание в животе сохранялись.
В апреле 2021 г. (через 13 месяцев после появления первых симптомов) пациентка обратилась с сохраняющимися жалобами к гастроэнтерологу в клинику ООО «Поликлиника.ру». При дополнительном сборе анамнеза выяснилось, что в январе 2019 г. и феврале 2020 г. пациентка выезжала в Азию, что позволило предположить возможность затянувшегося инфекционного процесса. Объективно: состояние удовлетворительное. Кожные покровы чистые, тургор сохранен. Рост 167 см, масса тела 59 кг. Индекс массы тела 21 кг/м2. Подкожная жировая клетчатка выражена слабо. Гемодинамических нарушений нет. Язык влажный, обложен тонким белым налетом. Живот мягкий, безболезненный. Стул регулярный, без патологических примесей, тип 4–5 по Бристольской шкале. Лабораторные показатели: лейкоциты 4,82 × 109/л, тромбоциты 274 × 109/л, гемоглобин 141 г/л, скорость оседания эритроцитов 3 мм/ч, С-реактивный белок 3,0 мг/л. Уровень фекального кальпротектина 153,9 мкг/г. По данным колоноскопии выявлены глубокие щелевидные дефекты слизистой оболочки с очаговым утолщением и отеком, покрытые гноем и фибрином в куполе слепой кишки и восходящей ободочной кишке. Единичные эрозии поперечноободочной кишки (рис. 1). Заключение: предположительно болезнь Крона толстой кишки. Необходимо дифференцировать с инфекционным поражением толстой кишки.
Рис. 1. Эндофото до лечения. В восходящей ободочной кишке и куполе слепой кишки видны щелевидные глубокие язвенные дефекты
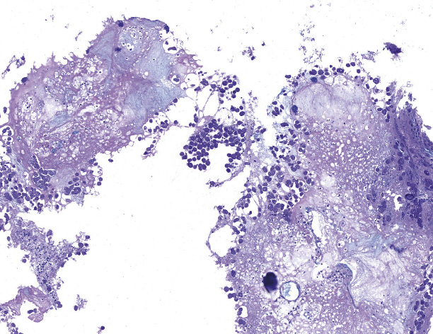
Гистологическое исследование биоптатов: фрагменты слизистой оболочки толстой кишки, замещенные преимущественно гнойно-некротическим детритом, с наличием среди детрита множества макрофагоподобных структур овальной и овоидной формы с гранулированной эозинофильной цитоплазмой, с наличием округлых ядер, смещенных на периферию, железы слизистой оболочки сохранны только в базальном отделе, с резким уменьшением количества бокаловидных клеток и клеток Панета, с умеренно выраженным ядерным полиморфизмом (рис. 2). Заключение: эрозивно-язвенный колит, наиболее вероятно – амебиазной этиологии (E. histolytica). Пациентка консультирована инфекционистом, по заключению которого неспецифичность эндоскопических изменений нуждалась в уточнении. При дополнительном обследовании бактериологические и серологические тесты не выявили кишечных инфекций (Salmonella spp., Shigella spp., anti-Y. pseudotuberculosis, anti-Y. enterocolitica, anti-Salmonella A, B, C1, C2, D, E, anti-Shigella flexneri I–V, anti-Shigella sonnei). Токсины А и В Clostridium difficile, а также простейшие в кале не обнаружены. Антитела класса IgG к амебам от 10.06.2021: 94,908 у.е. (референсные значения 0–9 у.е.). Гистологический препарат пересмотрен в июне 2021 г. в клинико-диагностической лаборатории Института медицинской паразитологии, тропических и трансмиссивных заболеваний имени Е.И. Марциновского: обнаружена Entamoeba histolytica.
Рис. 2. Гистологическое исследование препарата из язвы купола слепой кишки: скопления трофозоитов E. histolytica. Окраска альциановым синим и ШИК-реакция (PAS); × 400
Основной диагноз сформулирован как «кишечный амебиаз, хроническое течение». Проводилась терапия метронидазолом 500 мг 3 раза в день 10 дней. После лечения проведен анализ кала методом формалин-эфирного осаждения на наличие яиц гельминтов, трофозоитов, цист простейших – Entamoeba histolytica не обнаружено, выявлены цисты других паразитов (Blastocystis spp., Entamoeba coli). Основной диагноз: кишечный амебиаз, реконвалесцент. Сопутствующее: носитель Entamoeba coli, Blastocystis spp. Рекомендовано лечение синбиотиком (препарат Максилак) 1 раз в день 10 дней. На фоне терапии пациентка отмечает исчезновение урчания и уменьшение вздутия живота. При контрольной колоноскопии наблюдалась положительная динамика в слизистой оболочке толстой кишки, ее заживление без рубцовых изменений (рис. 3). По данным проведенного через 3 месяца анализа кала методом формалин-эфирного осаждения на наличие яиц гельминтов, трофозоитов, цист простейших не обнаружено ни Entamoeba histolytica, ни других паразитов (Blastocystis spp., Entamoeba coli). Согласно клиническим рекомендациям по ведению пациентов с амебиазом, для профилактики рецидива заболевания рекомендовано динамическое наблюдение в течение 6 месяцев со сдачей контрольных анализов кала [1].
Рис. 3. Эндофото после терапии: отсутствие эрозий и язв, просвет слизистой не изменен, заживление без рубцов
Обсуждение
Амебиаз больше не относится к заболеваниям развивающихся стран. В связи с расширением границ, путешествиями в эндемичные регионы участилось инфицирование простейшими. Описанное нами клиническое наблюдение демонстрирует длительность диагностики амебиаза в связи с отсутствием у специалистов настороженности к данной инфекции. В анамнезе пациентки обращает на себя внимание первичное проявление заболевания в виде аппендикулярного инфильтрата с лечением у хирурга и гастроэнтеролога без уточнения генеза инфильтрата. В литературе описаны клинические случаи амебного аппендицита, выявленного в морфологическом препарате, что значительно утяжеляло состояние пациентов в послеоперационном периоде [8, 9]. При наблюдении 150 пациентов с амебиазом в Астрахани основным симптомом была разлитая абдоминальная боль, в дальнейшем у 56 пациентов боль локализовалась в правой подвздошной области, у 44 оставалось только вздутие живота, а у 31 – только урчание [10].
Однако чаще амебиаз ошибочно принимают за ВЗК по причине схожей эндоскопической картины, что и произошло с нашей пациенткой на начальных этапах наблюдения. По данным систематического обзора D.A. Shirley и S. Moonah, вследствие неверной интерпретации клинико-диагностических результатов устанавливается ошибочный диагноз ВЗК, проводится лечение стероидами и иммуносупрессивными препаратами, что может привести к острому течению амебиаза, осложнениям и летальному исходу [11]. Инфекция E. histolytica должна исключаться как при первичном установлении диагноза язвенного колита или болезни Крона, так и на фоне установленных ВЗК, так как не исключается вторичное инфицирование [12]. Поводом для дальнейшего обследования и диагностического поиска у нашей пациентки послужило длительное (2 года) сохранение жалоб несмотря на проведенное лечение предполагаемой болезни Крона, отсутствие значимых лабораторных отклонений и информация о путешествиях в страны Азии в анамнезе.
У пациентки изначально не проводилась дифференциальная диагностика с инфекционным/паразитарным заболеванием, не было отклонений в лабораторных исследованиях несмотря на выраженное воспаление в толстой кишке при эндоскопическом исследовании. Стертые клинические проявления заболевания, отсутствие настороженности со стороны врачей, несмотря на путешествия в эндемичные регионы, неверная интерпретация эндоскопического заключения не позволили своевременно установить правильный диагноз. Следует также обратить внимание на прогрессирование воспалительно-деструктивных изменений в толстой кишке за два года, с момента первого эндоскопического исследования в 2019 до момента установления диагноза в 2021 г.
В терапии амебного колита и внекишечных проявлений амебиаза используются препараты метронидазола и тинидазола. В международных рекомендациях указано, что для элиминации цист простейших необходимо продолжать терапию паромомицином или йодохинолом, поскольку у 4–10% возможен рецидив заболевания в течение года [13], но в настоящее время в Российской Федерации указанные препараты не зарегистрированы. В отсутствие своевременной диагностики и адекватной терапии течение кишечного амебиаза может осложниться перфорацией язв кишечника с развитием перитонита, возможно формирование абсцесса брюшной полости, а также кишечное кровотечение. В редких случаях встречается формирование амебной стриктуры кишечника, полипоз, амебомы (опухолевидные инфильтраты в стенке кишки). В литературе описаны случаи развития амебного перикардита, амебиаза кожи, эмпиемы плевры и абсцесса забрюшинного пространства как следствие прорыва амебных абсцессов [1].
Заключение
Описанное клиническое наблюдение демонстрирует трудность своевременной диагностики паразитарного колита в связи с отсутствием настороженности среди врачей-гастроэнтерологов, хирургов и эндоскопистов, а также необходимость включения амебного колита в дифференциальный ряд у пациентов с эрозивно-язвенными изменениями толстой и тонкой кишки, особенно при указании в анамнезе на путешествия в эндемичные регионы. В данном случае владение навыками эндоскопии врачом-гастроэнтерологом имело большое значение в установлении диагноза. Это позволило провести дифференциально-диагностический поиск, сопоставив данные анамнеза и результаты клинико-лабораторных исследований с эндоскопической картиной заболевания. Командной работой врача-гастроэнтеролога, инфекциониста и патоморфолога удалось установить диагноз и назначить адекватную терапию.
Дополнительная информация
Согласие пациента
Пациентка подписала информированное согласие на использование ее медицинских данных в научных целях.
Финансирование
Работа проведена без привлечения дополнительного финансирования со стороны третьих лиц.
Конфликт интересов
Авторы заявляют об отсутствии конфликтов интересов.
Участие авторов
Э.Ф. Ахмедова – концепция статьи, обследование, лечение и динамическое наблюдение пациентки, анализ клинического материала, написание текста; А.В. Галявин – обследование, лечение и динамическое наблюдение пациентки, анализ клинического материала; А.В. Зотов – интерпретация полученного биопсийного материала, подготовка рисунков гистологических препаратов. Все авторы прочли и одобрили финальную версию статьи перед публикацией, согласны нести ответственность за все аспекты работы и гарантируют, что ими надлежащим образом были рассмотрены и решены вопросы, связанные с точностью и добросовестностью всех частей работы.
About the authors
Elvira F. Akhmedova
Polyclinika.ru
Author for correspondence.
Email: elvira@ahmadova.com
ORCID iD: 0000-0001-8159-4311
Gastroenterologist, Endoscopist
Russian Federation, 19–2, Bol'shoy Sukharevskiy per., Moscow, 127051Alexey V. Galyavin
I.M. Sechenov First Moscow State Medical University
Email: elvira@ahmadova.com
Infectologist, Clinical Department of Medical Parasitology and Tropical Medicine
Russian Federation, 20–1, ul. Malaya Pirogovskaya, Moscow, 119435Alexander V. Zotov
LabQuest
Email: elvira@ahmadova.com
Pathomorphologist
Russian Federation, 20–13, Berezhkovskaya nab., Moscow, 121059References
- Клинические рекомендации (протокол лечения) оказания медицинской помощи детям больным амебиазом [Интернет]. ФГБУ НИИДИ ФМБА России; 2013. 66 с. Доступно на: http://niidi.ru/dotAsset/144a99cc-dcc1-443a-a862-d217a596d684.pdf. [Clinical guidelines (treatment protocol) for medical care to children with amebiasis] [Internet]. Scientific and Clinical Center of Children's Infections; 2013. 66 p. Russian. Available from: http://niidi.ru/dotAsset/144a99cc-dcc1-443a-a862-d217a596d684.pdf.]
- Юрченко ИН, Дьячков ВА, Фатенков ОВ, Иванова ОВ, Сухачев ПА, Пирогова ЮЮ. Клинический случай амебного язвенного колита. Современные проблемы науки и образования. 2020;(6):211. doi: 10.17513/spno.30376. [Yurchenko IN, Dyachkov VA, Fatenkov OV, Ivanova OV, Sukhachev PA, Pirogova YY. [Clinical case of amoebic ulcerative colitis]. Modern Problems of Science and Education. 2020;(6):211. Russian. doi: 10.17513/spno.30376.]
- Пирсон РД. Обзор кишечных протозойных и микроспоридийных инфекций [Интернет].Апрель 2020. Доступно на: https://www.msdmanuals.com/ru-ru. [Pearson RD. Overview of Intestinal Protozoan and Microsporidia Infections [Internet]. Apr 2020. Russian. Available from: https://www.msdmanuals.com/ru-ru.]
- Никулина ИВ, Цодиков ГВ, Белоусова ЕА, Морозова НА, Великанов ЕВ. Дифференциальная диагностика болезней кишечника в клинических примерах: кишечный амебиаз и иерсиниоз. Фарматека. 2007;(2):65–70. [Nikulina IV, Codikov GV, Belousova EA, Morozova NA, Velikanov EV. [Differential diagnosis of intestinal diseases in clinical cases: intestinal amebiasis and yersiniosis]. Farmateka. 2007;(2):65–70. Russian.]
- Tanyuksel M, Petri WA Jr. Laboratory diagnosis of amebiasis. Clin Microbiol Rev. 2003;16(4):713–729. doi: 10.1128/CMR.16.4.713-729.2003.
- Dos Santos Gomes T, Garcia MC, de Souza Cunha F, Werneck de Macedo H, Peralta JM, Saramago Peralta RH. Differential diagnosis of Entamoeba spp. in clinical stool samples using SYBR green real-time polymerase chain reaction. ScientificWorldJournal. 2014;2014:645084. doi: 10.1155/2014/645084.
- Yue B, Meng Y, Zhou Y, Zhao H, Wu Y, Zong Y. Characteristics of endoscopic and pathological findings of amebic colitis. BMC Gastroenterol. 2021;21(1):367. doi: 10.1186/s12876-021-01941-z.
- Herrera GC, Herrera AC, Pontón P, Molina GA, Constante JE, Delgado JA. Amebiasis, a rare cause of acute appendicitis. J Surg Case Rep. 2019;2019(3):rjz076. doi: 10.1093/jscr/rjz076.
- Kafadar MT, Bakan V, Çaviş T. Chronic amebiasis presenting as appendicitis and preliminary diagnosed as a mucocele: A diagnostic dilemma and unexpected histopathological finding after surgery. Van Tip Derg. 2017;24(4):386–390. doi: https://doi.org/10.5505/vtd.2017.71463.
- Черенова ЛП, Аракельян РС, Михайловская ТИ. Особенности течения кишечного амебиаза в современных условиях. Инфекция и иммунитет. 2020;10(3):575–580. doi: 10.15789/2220-7619-FOT-904. [Cherenova LP, Arakelyan RS, Mikhailovskaya TM. [Features of the course of contemporary intestinal amebiasis]. Russian Journal of Infection and Immunity. 2020;10(3):575–580. Russian. doi: 10.15789/2220-7619-FOT-904.]
- Shirley DA, Moonah S. Fulminant Amebic Colitis after Corticosteroid Therapy: A Systematic Review. PLoS Negl Trop Dis. 2016;10(7):e0004879. doi: 10.1371/journal.pntd.0004879.
- Babić E, Bevanda M, Mimica M, Karin M, Volarić M, Bogut A, Barišić T, Pravdić D, Šutalo N. Prevalence of amebiasis in inflammatory bowel disease in University Clinical Hospital Mostar. Springerplus. 2016;5(1):1586. doi: 10.1186/s40064-016-3261-7.
- Cope JR, Ali IK. Amebiasis. In: Kozarsky PE, Henry R. Travel Health & the CDC Yellow Book. Chapter 4. Travel-Related Infectious Diseases [Internet]. Available from: https://wwwnc.cdc.gov/travel/yellowbook/2020/travel-related-infectious-diseases/amebiasis.
Supplementary files





